Prognostic Significance of CD163+ and/or CD206+ Tumor-Associated Macrophages Is Linked to Their Spatial Distribution and Tumor-Infiltrating Lymphocytes in Breast Cancer
Abstract
Simple Summary
Abstract
1. Introduction
2. Materials and Methods
2.1. Patients
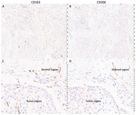
2.2. Immunohistochemistry (IHC) Staining of Tumor Sections
2.3. Digital Image Analysis by QuPath
2.4. Statistical Analysis
3. Results
3.1. Cohort Features
3.2. Correlations of CD163 and CD206 TAM Density with Clinico-Pathological and Biomarker Features in Different Regions
3.3. Correlations of sCD163 and sCD206 TAM Distance from Tumor Nest with Clinico-Pathological and Biomarker Features
3.4. Survival Analysis
4. Discussion
5. Conclusions
Supplementary Materials
Author Contributions
Funding
Institutional Review Board Statement
Informed Consent Statement
Data Availability Statement
Conflicts of Interest
References
- Soysal, S.D.; Tzankov, A.; Muenst, S.E. Role of the Tumor Microenvironment in Breast Cancer. Pathobiology 2015, 82, 142–152. [Google Scholar] [CrossRef] [PubMed]
- Lewis, C.E.; Pollard, J.W. Distinct role of macrophages in different tumor microenvironments. Cancer Res. 2006, 66, 605–612. [Google Scholar] [CrossRef] [PubMed]
- Goswami, K.K.; Ghosh, T.; Ghosh, S.; Sarkar, M.; Bose, A.; Baral, R. Tumor promoting role of anti-tumor macrophages in tumor microenvironment. Cell. Immunol. 2017, 316, 1–10. [Google Scholar] [CrossRef] [PubMed]
- DeNardo, D.G.; Ruffell, B. Macrophages as regulators of tumour immunity and immunotherapy. Nat. Rev. Immunol. 2019, 19, 369–382. [Google Scholar] [CrossRef]
- López-Janeiro, A.; Padilla-Ansala, C.; de Andrea, C.E.; Hardisson, D.; Melero, I. Prognostic value of macrophage polarization markers in epithelial neoplasms and melanoma. A systematic review and meta-analysis. Mod. Pathol. 2020, 33, 1458–1465. [Google Scholar] [CrossRef]
- Leek, R.D.; E Lewis, C.; Whitehouse, R.; Greenall, M.; Clarke, J.; Harris, A.L. Association of macrophage infiltration with angiogenesis and prognosis in invasive breast carcinoma. Cancer Res. 1996, 56, 4625–4629. [Google Scholar]
- Larionova, I.; Tuguzbaeva, G.; Ponomaryova, A.; Stakheyeva, M.; Cherdyntseva, N.; Pavlov, V.; Choinzonov, E.; Kzhyshkowska, J. Tumor-Associated Macrophages in Human Breast, Colorectal, Lung, Ovarian and Prostate Cancers. Front. Oncol. 2020, 10, 566511. [Google Scholar] [CrossRef] [PubMed]
- Strack, E.; Rolfe, P.A.; Fink, A.F.; Bankov, K.; Schmid, T.; Solbach, C.; Savai, R.; Sha, W.; Pradel, L.; Hartmann, S.; et al. Identification of tumor-associated macrophage subsets that are associated with breast cancer prognosis. Clin. Transl. Med. 2020, 10, e239. [Google Scholar] [CrossRef] [PubMed]
- Zhao, X.; Qu, J.; Sun, Y.; Wang, J.; Liu, X.; Wang, F.; Zhang, H.; Wang, W.; Ma, X.; Gao, X.; et al. Prognostic significance of tumor-associated macrophages in breast cancer: A meta-analysis of the literature. Oncotarget 2017, 8, 30576–30586. [Google Scholar] [CrossRef]
- Roca, H.; Varsos, Z.S.; Sud, S.; Craig, M.J.; Ying, C.; Pienta, K.J. CCL2 and interleukin-6 promote survival of human CD11b+ peripheral blood mononuclear cells and induce M2-type macrophage polarization. J. Biol. Chem. 2009, 284, 34342–34354. [Google Scholar] [CrossRef]
- Kaku, Y.; Imaoka, H.; Morimatsu, Y.; Komohara, Y.; Ohnishi, K.; Oda, H.; Takenaka, S.; Matsuoka, M.; Kawayama, T.; Takeya, M.; et al. Overexpression of CD163, CD204 and CD206 on alveolar macrophages in the lungs of patients with severe chronic obstructive pulmonary disease. PLoS ONE 2014, 9, e87400. [Google Scholar] [CrossRef]
- Mosser, D.M.; Edwards, J.P. Exploring the full spectrum of macrophage activation. Nat. Rev. Immunol. 2008, 8, 958–969. [Google Scholar] [CrossRef] [PubMed]
- Bobrie, A.; Massol, O.; Ramos, J.; Mollevi, C.; Lopez-Crapez, E.; Bonnefoy, N.; Boissière-Michot, F.; Jacot, W. Association of CD206 Protein Expression with Immune Infiltration and Prognosis in Patients with Triple-Negative Breast Cancer. Cancers 2022, 14, 4829. [Google Scholar] [CrossRef] [PubMed]
- Allison, E.; Edirimanne, S.; Matthews, J.; Fuller, S.J. Breast Cancer Survival Outcomes and Tumor-Associated Macrophage Markers: A Systematic Review and Meta-Analysis. Oncol. Ther. 2023, 11, 27–48. [Google Scholar] [CrossRef] [PubMed]
- Koru-Sengul, T.; Santander, A.M.; Miao, F.; Sanchez, L.G.; Jorda, M.; Glück, S.; Ince, T.A.; Nadji, M.; Chen, Z.; Penichet, M.L.; et al. Breast cancers from black women exhibit higher numbers of immunosuppressive macrophages with proliferative activity and of crown-like structures associated with lower survival compared to non-black Latinas and Caucasians. Breast Cancer Res. Treat. 2016, 158, 113–126. [Google Scholar] [CrossRef] [PubMed]
- Zwager, M.C.; Bense, R.; Waaijer, S.; Qiu, S.-Q.; Timmer-Bosscha, H.; de Vries, E.G.E.; Schröder, C.P.; van der Vegt, B. Assessing the role of tumour-associated macrophage subsets in breast cancer subtypes using digital image analysis. Breast Cancer Res. Treat. 2023, 198, 11–22. [Google Scholar] [CrossRef] [PubMed]
- Kuroda, H.; Jamiyan, T.; Yamaguchi, R.; Kakumoto, A.; Abe, A.; Harada, O.; Masunaga, A. Tumor microenvironment in triple-negative breast cancer: The correlation of tumor-associated macrophages and tumor-infiltrating lymphocytes. Clin. Transl. Oncol. 2021, 23, 2513–2525. [Google Scholar] [CrossRef] [PubMed]
- Jääskeläinen, M.M.; Tiainen, S.; Siiskonen, H.; Ahtiainen, M.; Kuopio, T.; Rönkä, A.; Kettunen, T.; Hämäläinen, K.; Rilla, K.; Harvima, I.; et al. The prognostic and predictive role of tumor-infiltrating lymphocytes (FoxP3+ and CD8+) and tumor-associated macrophages in early HER2 + breast cancer. Breast Cancer Res. Treat. 2023, 201, 183–192. [Google Scholar] [CrossRef]
- Maisel, B.A.; Yi, M.; Peck, A.R.; Sun, Y.; Hooke, J.A.; Kovatich, A.J.; Shriver, C.D.; Hu, H.; Nevalainen, M.T.; Tanaka, T.; et al. Spatial Metrics of Interaction between CD163-Positive Macrophages and Cancer Cells and Progression-Free Survival in Chemo-Treated Breast Cancer. Cancers 2022, 14, 308. [Google Scholar] [CrossRef]
- Huang, Y.-K.; Wang, M.; Sun, Y.; Di Costanzo, N.; Mitchell, C.; Achuthan, A.; Hamilton, J.A.; Busuttil, R.A.; Boussioutas, A. Macrophage spatial heterogeneity in gastric cancer defined by multiplex immunohistochemistry. Nat. Commun. 2019, 10, 3928. [Google Scholar] [CrossRef]
- Jääskeläinen, M.M.; Tumelius, R.; Hämäläinen, K.; Rilla, K.; Oikari, S.; Rönkä, A.; Selander, T.; Mannermaa, A.; Tiainen, S.; Auvinen, P. High Numbers of CD163+ Tumor-Associated Macrophages Predict Poor Prognosis in HER2+ Breast Cancer. Cancers 2024, 16, 634. [Google Scholar] [CrossRef] [PubMed]
- Wcote, B. (Ed.) WHO Classification of Tumours of the Breast, 5th ed.; IARC: Lyon, France, 2019. [Google Scholar]
- Elston, C.W.; Ellis, I.O. Pathological prognostic factors in breast cancer. I. The value of histological grade in breast cancer: Experience from a large study with long-term follow-up. Histopathology 1991, 19, 403–410. [Google Scholar] [CrossRef] [PubMed]
- Chan, R.; Aphivatanasiri, C.; Poon, I.K.; Tsang, J.Y.; Ni, Y.; Lacambra, M.; Li, J.; Lee, C.; Tse, G.M. Spatial Distribution and Densities of CD103+ and FoxP3+ Tumor Infiltrating Lymphocytes by Digital Analysis for Outcome Prediction in Breast Cancer. Oncologist 2023, 29, e299–e308. [Google Scholar] [CrossRef] [PubMed]
- Altman, D.G.; McShane, L.M.; Sauerbrei, W.; Taube, S.E. Reporting recommendations for tumor marker prognostic studies (REMARK): Explanation and elaboration. BMC Med. 2012, 10, 51. [Google Scholar] [CrossRef] [PubMed]
- Lee, A.L.S.; To, C.C.K.; Lee, A.L.H.; Li, J.J.X.; Chan, R.C.K. Model architecture and tile size selection for convolutional neural network training for non-small cell lung cancer detection on whole slide images. Inform. Med. Unlocked 2022, 28, 100850. [Google Scholar] [CrossRef]
- Egeblad, M.; Ewald, A.J.; Askautrud, H.A.; Truitt, M.L.; Welm, B.E.; Bainbridge, E.; Peeters, G.; Krummel, M.F.; Werb, Z. Visualizing stromal cell dynamics in different tumor microenvironments by spinning disk confocal microscopy. Dis. Model. Mech. 2008, 1, 155–167, discussion 6. [Google Scholar] [CrossRef] [PubMed]
- Vitale, I.; Manic, G.; Coussens, L.M.; Kroemer, G.; Galluzzi, L. Macrophages and Metabolism in the Tumor Microenvironment. Cell Metab. 2019, 30, 36–50. [Google Scholar] [CrossRef] [PubMed]
- Ben-Chetrit, N.; Niu, X.; Sotelo, J.; Swett, A.D.; Rajasekhar, V.K.; Jiao, M.S.; Stewart, C.M.; Bhardwaj, P.; Kottapalli, S.; Ganesan, S.; et al. Breast Cancer Macrophage Heterogeneity and Self-renewal are Determined by Spatial Localization. bioRxiv 2023. [Google Scholar] [CrossRef] [PubMed]
- Sousa, S.; Brion, R.; Lintunen, M.; Kronqvist, P.; Sandholm, J.; Mönkkönen, J.; Kellokumpu-Lehtinen, P.-L.; Lauttia, S.; Tynninen, O.; Joensuu, H.; et al. Human breast cancer cells educate macrophages toward the M2 activation status. Breast Cancer Res. 2015, 17, 101. [Google Scholar] [CrossRef]
- Kloosterman, D.J.; Akkari, L. Macrophages at the interface of the co-evolving cancer ecosystem. Cell 2023, 186, 1627–1651. [Google Scholar] [CrossRef]
- Zheng, X.; Weigert, A.; Reu, S.; Guenther, S.; Mansouri, S.; Bassaly, B.; Gattenlöhner, S.; Grimminger, F.; Savai Pullamsetti, S.; Seeger, W.; et al. Spatial Density and Distribution of Tumor-Associated Macrophages Predict Survival in Non-Small Cell Lung Carcinoma. Cancer Res. 2020, 80, 4414–4425. [Google Scholar] [CrossRef] [PubMed]
- Zizzo, G.; Hilliard, B.A.; Monestier, M.; Cohen, P.L. Efficient clearance of early apoptotic cells by human macrophages requires M2c polarization and MerTK induction. J. Immunol. 2012, 189, 3508–3520. [Google Scholar] [CrossRef]
- Kim, Y.; Wen, X.; Bae, J.M.; Kim, J.H.; Cho, N.; Kang, G.H. The distribution of intratumoral macrophages correlates with molecular phenotypes and impacts prognosis in colorectal carcinoma. Histopathology 2018, 73, 663–671. [Google Scholar] [CrossRef] [PubMed]
- Shinohara, H.; Kobayashi, M.; Hayashi, K.; Nogawa, D.; Asakawa, A.; Ohata, Y.; Kubota, K.; Takahashi, H.; Yamada, M.; Tokunaga, M.; et al. Spatial and Quantitative Analysis of Tumor-Associated Macrophages: Intratumoral CD163-/PD-L1+ TAMs as a Marker of Favorable Clinical Outcomes in Triple-Negative Breast Cancer. Int. J. Mol. Sci. 2022, 23, 13235. [Google Scholar] [CrossRef] [PubMed]
- Skytthe, M.K.; Graversen, J.H.; Moestrup, S.K. Targeting of CD163+ Macrophages in Inflammatory and Malignant Diseases. Int. J. Mol. Sci. 2020, 21, 5497. [Google Scholar] [CrossRef] [PubMed]
- Van Berckelaer, C.; Rypens, C.; Van Laere, S.; Marien, K.; Van Dam, P.-J.; Vermeulen, P.B.; Colpaert, C.; Dirix, L.Y.; Kockx, M.; Van Dam, P. The spatial localization of CD163+ tumor-associated macrophages predicts prognosis and response to therapy in inflammatory breast cancer. J. Clin. Oncol. 2020, 38, 3086. [Google Scholar] [CrossRef]
- Laviron, M.; Petit, M.; Weber-Delacroix, E.; Combes, A.J.; Arkal, A.R.; Barthélémy, S.; Courau, T.; Hume, D.A.; Combadière, C.; Krummel, M.F.; et al. Tumor-associated macrophage heterogeneity is driven by tissue territories in breast cancer. Cell Rep. 2022, 39, 110865. [Google Scholar] [CrossRef] [PubMed]
- Ray, A.; Hu, K.H.; Kersten, K.; Kuhn, N.F.; Samad, B.; Combes, A.J.; Krummel, M.F. Critical role of CD206+ macrophages in organizing anti-tumor immunity. bioRxiv 2023. [Google Scholar] [CrossRef] [PubMed]
- Modak, M.; Mattes, A.-K.; Reiss, D.; Skronska-Wasek, W.; Langlois, R.; Sabarth, N.; Konopitzky, R.; Ramirez, F.; Lehr, K.; Mayr, T.; et al. CD206+ tumor-associated macrophages cross-present tumor antigen and drive antitumor immunity. JCI Insight 2022, 7. [Google Scholar] [CrossRef]
- Mantovani, A.; Allavena, P.; Marchesi, F.; Garlanda, C. Macrophages as tools and targets in cancer therapy. Nat. Rev. Drug Discov. 2022, 21, 799–820. [Google Scholar] [CrossRef]
- Lepland, A.; Asciutto, E.K.; Malfanti, A.; Simón-Gracia, L.; Sidorenko, V.; Vicent, M.J.; Teesalu, T.; Scodeller, P. Targeting Pro-Tumoral Macrophages in Early Primary and Metastatic Breast Tumors with the CD206-Binding mUNO Peptide. Mol. Pharm. 2020, 17, 2518–2531. [Google Scholar] [CrossRef] [PubMed]



| Features | sCD163 | tCD163 | sCD206 | tCD206 | |||||
|---|---|---|---|---|---|---|---|---|---|
| LO | HI | LO | HI | LO | HI | LO | HI | ||
| Clinico-pathological features | |||||||||
| Age | Mean | 48.3 | 49.0 | 48.7 | 48.6 | 47.7 | 49.3 | 48.7 | 48.6 | 
| SD | 10.1 | 10.1 | 10.1 | 10.1 | 9.5 | 10.9 | 10.1 | 10.2 | |
| Median | 46.5 | 48.0 | 47.0 | 47.0 | 46.0 | 47.5 | 47.0 | 47.0 | |
| IQR | 41–56 | 41–45 | 42–54 | 40–56 | 41–54 | 41–57 | 41–54 | 41–56 | |
| Range | 30–82 | 29–75 | 31–82 | 29–75 | 31–75 | 29–82 | 31–82 | 29–75 | |
| p | 0.972 | 0.584 | 0.316 | 0.818 | |||||
| Size | Mean | 1.89 | 2.27 | 1.87 | 2.29 | 1.90 | 2.31 | 1.87 | 2.29 | 
| SD | 1.06 | 1.31 | 1.04 | 1.31 | 1.03 | 1.37 | 1.04 | 1.32 | |
| Median | 1.60 | 1.90 | 1.7 | 1.9 | 1.7 | 1.9 | 1.7 | 1.9 | |
| IQR | 1.2–2.4 | 1.5–2.5 | 1.2–2.2 | 1.5–2.8 | 1.2–2.3 | 1.5–2.8 | 1.3–2.2 | 1.5–3.1 | |
| Range | 0.2–5.6 | 0.1–7.6 | 0.1–5.6 | 0.2–7.6 | 0.2–5.6 | 0.1–7.6 | 0.1–5.6 | 0.2–7.6 | |
| p | 0.008 | 0.008 | 0.016 | 0.003 | |||||
| TIL | Low | 101 | 69 | 100 | 70 | 91 | 72 | 100 | 63 | 
| High (>20) | 7 | 41 | 8 | 40 | 10 | 36 | 17 | 29 | |
| p | <0.001 | <0.001 | <0.001 | 0.003 | |||||
| Fibrotic focus | No | 93 | 93 | 89 | 95 | 84 | 92 | 95 | 81 | 
| Yes | 17 | 17 | 19 | 15 | 17 | 16 | 22 | 11 | |
| p | 0.954 | 0.421 | 0.689 | 0.178 | |||||
| Necrosis | No | 93 | 66 | 85 | 74 | 87 | 70 | 93 | 64 | 
| Yes | 15 | 44 | 23 | 36 | 14 | 38 | 24 | 28 | |
| p | <0.001 | 0.058 | <0.001 | 0.100 | |||||
| Apocrine | No | 99 | 97 | 98 | 98 | 93 | 96 | 104 | 85 | 
| Yes | 9 | 13 | 10 | 12 | 8 | 12 | 13 | 7 | |
| p | 0.393 | 0.686 | 0.433 | 0.393 | |||||
| Grade | 1 | 12 | 3 | 12 | 3 | 10 | 4 | 11 | 3 | 
| 2 | 67 | 52 | 62 | 57 | 56 | 59 | 63 | 52 | |
| 3 | 29 | 55 | 34 | 50 | 35 | 45 | 43 | 37 | |
| p | <0.001 | 0.006 | 0.108 | 0.209 | |||||
| LVI | No | 101 | 92 | 100 | 93 | 94 | 89 | 104 | 79 | 
| Yes | 7 | 17 | 8 | 16 | 6 | 19 | 12 | 13 | |
| p | 0.032 | 0.088 | 0.010 | 0.404 | |||||
| LN met | No | 57 | 58 | 56 | 59 | 62 | 52 | 67 | 47 | 
| Yes | 47 | 50 | 49 | 48 | 35 | 54 | 48 | 41 | |
| p | 0.872 | 0.792 | 0.033 | 0.490 | |||||
| Subtype | Lum A | 34 | 15 | 30 | 19 | 30 | 20 | 32 | 18 | 
| Lum B | 60 | 61 | 64 | 57 | 53 | 61 | 67 | 47 | |
| HER2-OE | 4 | 17 | 4 | 17 | 5 | 12 | 8 | 9 | |
| TNBC | 9 | 16 | 9 | 16 | 13 | 13 | 9 | 17 | |
| p | 0.001 | 0.005 | 0.149 | 0.071 | |||||
| Biomarkers | |||||||||
| Ki67 | Lo | 42 | 21 | 38 | 25 | 39 | 24 | 39 | 24 | 
| Hi | 64 | 88 | 68 | 84 | 61 | 82 | 76 | 67 | |
| p | 0.001 | 0.038 | 0.011 | 0.244 | |||||
| HER2 | Neg | 102 | 84 | 101 | 85 | 94 | 88 | 105 | 77 | 
| Pos | 4 | 26 | 5 | 25 | 6 | 19 | 10 | 15 | |
| p | <0.001 | <0.001 | 0.009 | 0.095 | |||||
| EGFR | Neg | 106 | 105 | 105 | 106 | 98 | 104 | 114 | 88 | 
| Pos | 1 | 4 | 3 | 2 | 2 | 3 | 3 | 2 | |
| p | 0.369 | 1.00 | 1.00 | 1.00 | |||||
| ER | Neg | 14 | 37 | 14 | 37 | 19 | 27 | 19 | 27 | 
| Pos | 91 | 72 | 91 | 72 | 81 | 78 | 96 | 63 | |
| p | <0.001 | <0.001 | 0.249 | 0.022 | |||||
| PR | Neg | 17 | 36 | 20 | 33 | 23 | 27 | 20 | 30 | 
| Pos | 88 | 72 | 87 | 73 | 77 | 77 | 95 | 59 | |
| p | 0.004 | 0.036 | 0.623 | 0.007 | |||||
| c-kit | Neg | 98 | 99 | 97 | 100 | 92 | 98 | 108 | 82 | 
| Pos | 10 | 10 | 11 | 9 | 9 | 9 | 9 | 9 | |
| p | 0.983 | 0.623 | 0.898 | 0.572 | |||||
| P63 | Neg | 103 | 93 | 99 | 97 | 88 | 101 | 105 | 84 | 
| Pos | 5 | 16 | 9 | 12 | 12 | 7 | 11 | 8 | |
| p | 0.012 | 0.505 | 0.168 | 0.845 | |||||
| CK5/6 | Neg | 83 | 89 | 99 | 73 | 88 | 90 | 100 | 103 | 
| Pos | 18 | 18 | 18 | 18 | 20 | 19 | 7 | 7 | |
| p | 0.849 | 0.406 | 0.835 | 0.957 | |||||
| CK14 | Neg | 100 | 103 | 102 | 101 | 96 | 99 | 114 | 81 | 
| Pos | 7 | 7 | 6 | 8 | 4 | 9 | 3 | 10 | |
| p | 0.957 | 0.593 | 0.197 | 0.019 | |||||
| PDL1ic | Neg | 83 | 62 | 84 | 61 | 76 | 65 | 85 | 56 | 
| Pos | 24 | 48 | 23 | 49 | 25 | 43 | 32 | 36 | |
| p | 0.001 | <0.001 | 0.020 | 0.071 | |||||
| PDL1T | Neg | 87 | 90 | 86 | 91 | 81 | 88 | 96 | 73 | 
| Pos | 9 | 15 | 11 | 13 | 11 | 12 | 11 | 12 | |
| p | 0.284 | 0.800 | 0.993 | 0.416 | |||||
| Features | sCD163 | sCD206 | |||
|---|---|---|---|---|---|
| LO | HI | LO | HI | ||
| Clinico-pathological features | |||||
| Age | Mean | 49.4 | 47.9 | 47.5 | 49.4 | 
| SD | 10.1 | 10.1 | 10.0 | 10.3 | |
| Median | 48.0 | 46.0 | 45.0 | 48.0 | |
| IQR | 42–48 | 41–54 | 40–53 | 43–56 | |
| Range | 30–75 | 29–82 | 29–75 | 29–82 | |
| p | 0.208 | 0.121 | |||
| Size | Mean | 2.33 | 1.81 | 2.15 | 2.02 | 
| SD | 1.40 | 0.91 | 1.34 | 1.10 | |
| Median | 1.90 | 1.70 | 1.80 | 1.80 | |
| IQR | 1.4–2.9 | 1.3–2.2 | 1.2–2.6 | 1.4–2.3 | |
| Range | 0.2–7.6 | 0.1–5.6 | 0.2–7.0 | 0.1–7.6 | |
| p | 0.010 | 0.964 | |||
| TIL | Low | 84 | 86 | 84 | 84 | 
| High (>20) | 24 | 23 | 23 | 24 | |
| p | 0.841 | 0.897 | |||
| Fibrotic focus | No | 94 | 89 | 93 | 89 | 
| Yes | 14 | 20 | 14 | 19 | |
| p | 0.275 | 0.359 | |||
| Necrosis | No | 79 | 79 | 84 | 74 | 
| Yes | 29 | 30 | 23 | 34 | |
| p | 0.912 | 0.097 | |||
| Apocrine | No | 100 | 95 | 99 | 95 | 
| Yes | 8 | 14 | 8 | 13 | |
| p | 0.185 | 0.260 | |||
| Grade | 1 | 5 | 10 | 10 | 4 | 
| 2 | 54 | 64 | 57 | 63 | |
| 3 | 49 | 35 | 40 | 41 | |
| p | 0.028 | 0.438 | |||
| LVI | No | 95 | 98 | 95 | 95 | 
| Yes | 13 | 10 | 11 | 13 | |
| p | 0.508 | 0.700 | |||
| LN met | No | 61 | 55 | 65 | 52 | 
| Yes | 45 | 50 | 39 | 53 | |
| p | 0.451 | 0.059 | |||
| Subtype | Lum A | 24 | 25 | 28 | 22 | 
| Lum B | 62 | 59 | 61 | 58 | |
| HER2-OE | 10 | 10 | 6 | 12 | |
| TNBC | 12 | 13 | 10 | 16 | |
| p | 0.988 | 0.247 | |||
| Biomarkers | |||||
| Ki67 | Lo | 29 | 33 | 32 | 31 | 
| Hi | 78 | 74 | 72 | 77 | |
| p | 0.547 | 0.742 | |||
| HER2 | Neg | 90 | 95 | 94 | 92 | 
| Pos | 17 | 13 | 11 | 16 | |
| p | 0.415 | 0.341 | |||
| EGFR | Neg | 106 | 104 | 105 | 103 | 
| Pos | 1 | 4 | 0 | 5 | |
| p | 0.369 | 0.060 | |||
| ER | Neg | 25 | 25 | 18 | 31 | 
| Pos | 82 | 81 | 86 | 76 | |
| p | 0.970 | 0.045 | |||
| PR | Neg | 24 | 27 | 17 | 33 | 
| Pos | 81 | 80 | 87 | 73 | |
| p | 0.686 | 0.012 | |||
| c-kit | Neg | 98 | 98 | 98 | 97 | 
| Pos | 9 | 11 | 9 | 10 | |
| p | 0.670 | 0.810 | |||
| P63 | Neg | 94 | 100 | 100 | 94 | 
| Pos | 14 | 8 | 7 | 13 | |
| p | 0.177 | 0.159 | |||
| CK5/6 | Neg | 91 | 88 | 94 | 84 | 
| Pos | 16 | 21 | 13 | 23 | |
| p | 0.400 | 0.068 | |||
| CK14 | Neg | 100 | 102 | 100 | 100 | 
| Pos | 7 | 7 | 6 | 8 | |
| p | 0.971 | 0.605 | |||
| PDL1ic | Neg | 69 | 75 | 73 | 70 | 
| Pos | 38 | 34 | 34 | 38 | |
| p | 0.501 | 0.596 | |||
| PDL1T | Neg | 89 | 87 | 90 | 83 | 
| Pos | 14 | 10 | 9 | 16 | |
| p | 0.475 | 0.134 | |||
| sCD163 density | Lo | 46 | 61 | 51 | 52 | 
| Hi | 61 | 47 | 51 | 55 | |
| p | 0.048 | 0.839 | |||
| tCD163 density | Lo | 40 | 67 | 45 | 58 | 
| Hi | 67 | 41 | 57 | 49 | |
| p | <0.001 | 0.145 | |||
| sCD206 density | Lo | 49 | 48 | 49 | 50 | 
| Hi | 52 | 53 | 56 | 51 | |
| p | 0.888 | 0.684 | |||
| tCD206 density | Lo | 45 | 68 | 51 | 63 | 
| Hi | 56 | 33 | 54 | 38 | |
| p | 0.001 | 0.045 | |||
| Feature * | HR | Lower 95% CI | Upper 95% CI | p-Value | 
|---|---|---|---|---|
| OS | ||||
| pN | 2.866 | 1.602 | 5.127 | <0.001 | 
| sCD163/TIL | 3.477 | 1.238 | 9.767 | 0.018 | 
| DFS | ||||
| Tumor Size | 1.588 | 1.077 | 2.342 | 0.020 | 
| pN | 2.111 | 1.227 | 3.632 | 0.007 | 
| sCD163/TIL | 1.671 | 0.983 | 2.840 | 0.058 | 
| Disclaimer/Publisher’s Note: The statements, opinions and data contained in all publications are solely those of the individual author(s) and contributor(s) and not of MDPI and/or the editor(s). MDPI and/or the editor(s) disclaim responsibility for any injury to people or property resulting from any ideas, methods, instructions or products referred to in the content. | 
© 2024 by the authors. Licensee MDPI, Basel, Switzerland. This article is an open access article distributed under the terms and conditions of the Creative Commons Attribution (CC BY) license (https://creativecommons.org/licenses/by/4.0/).
Share and Cite
Fang, C.; Cheung, M.Y.; Chan, R.C.; Poon, I.K.; Lee, C.; To, C.C.; Tsang, J.Y.; Li, J.; Tse, G.M. Prognostic Significance of CD163+ and/or CD206+ Tumor-Associated Macrophages Is Linked to Their Spatial Distribution and Tumor-Infiltrating Lymphocytes in Breast Cancer. Cancers 2024, 16, 2147. https://doi.org/10.3390/cancers16112147
Fang C, Cheung MY, Chan RC, Poon IK, Lee C, To CC, Tsang JY, Li J, Tse GM. Prognostic Significance of CD163+ and/or CD206+ Tumor-Associated Macrophages Is Linked to Their Spatial Distribution and Tumor-Infiltrating Lymphocytes in Breast Cancer. Cancers. 2024; 16(11):2147. https://doi.org/10.3390/cancers16112147
Chicago/Turabian StyleFang, Canbin, Maisy Y. Cheung, Ronald C. Chan, Ivan K. Poon, Conrad Lee, Curtis C. To, Julia Y. Tsang, Joshua Li, and Gary M. Tse. 2024. "Prognostic Significance of CD163+ and/or CD206+ Tumor-Associated Macrophages Is Linked to Their Spatial Distribution and Tumor-Infiltrating Lymphocytes in Breast Cancer" Cancers 16, no. 11: 2147. https://doi.org/10.3390/cancers16112147
APA StyleFang, C., Cheung, M. Y., Chan, R. C., Poon, I. K., Lee, C., To, C. C., Tsang, J. Y., Li, J., & Tse, G. M. (2024). Prognostic Significance of CD163+ and/or CD206+ Tumor-Associated Macrophages Is Linked to Their Spatial Distribution and Tumor-Infiltrating Lymphocytes in Breast Cancer. Cancers, 16(11), 2147. https://doi.org/10.3390/cancers16112147
 
        


 
       