‘The Reports of My Death Are Greatly Exaggerated’—Evaluating the Effect of Necrosis on MGMT Promoter Methylation Testing in High-Grade Glioma
Abstract
Simple Summary
Abstract
1. Introduction
2. Materials and Methods
2.1. Case Selection
2.2. Histopathology Review
2.3. MGMT Promoter Methylation Testing
2.4. Statistical Analysis
3. Results
3.1. Study Cohort Characteristics
3.2. The Effect of Necrosis on MGMTp Status in Primary Presentations of High-Grade Glioma
3.3. The Effect of Necrosis on MGMTp Status in Recurrent Presentations of High-Grade Glioma
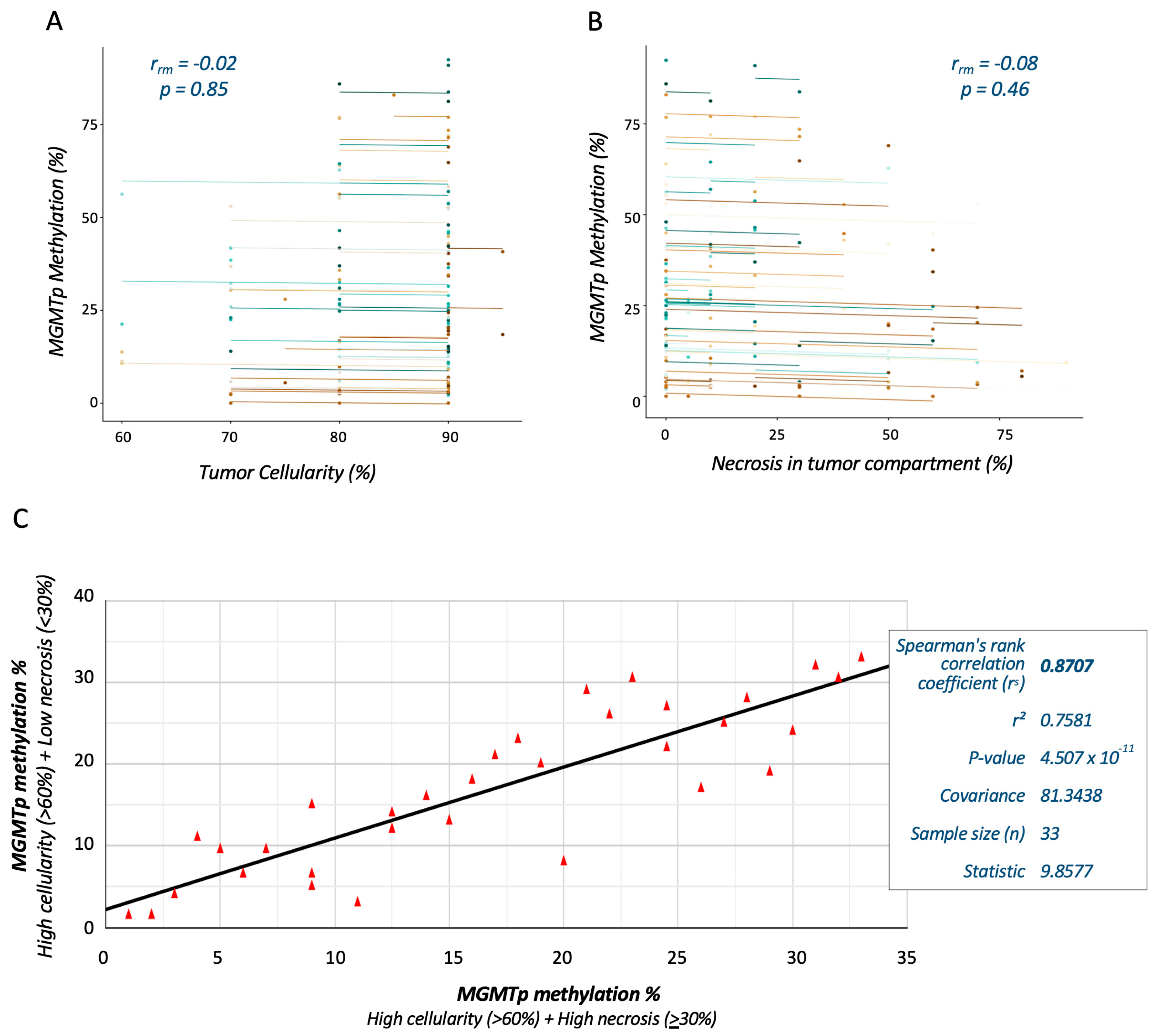
3.4. Establishing Thresholds for Tumor Cellularity and Degrees of Necrosis in MGMTp Methylation Testing
3.5. Changes in MGMTp Status in Less Common HGG Subtypes
3.6. Evaluation of MGMTp Status Switches between Matched Primary and Recurrent HGGs
4. Discussion
5. Conclusions
Supplementary Materials
Author Contributions
Funding
Institutional Review Board Statement
Informed Consent Statement
Data Availability Statement
Acknowledgments
Conflicts of Interest
References
- Singh, K.; Hotchkiss, K.M.; Parney, I.F.; De Groot, J.; Sahebjam, S.; Sanai, N.; Platten, M.; Galanis, E.; Lim, M.; Wen, P.Y.; et al. Correcting the drug development paradigm for glioblastoma requires serial tissue sampling. Nat. Med. 2023, 29, 2402–2405. [Google Scholar] [CrossRef] [PubMed]
- Aldape, K.; Brindle, K.M.; Chesler, L.; Chopra, R.; Gajjar, A.; Gilbert, M.R.; Gottardo, N.; Gutmann, D.H.; Hargrave, D.; Holland, E.C.; et al. Challenges to curing primary brain tumours. Nat. Rev. Clin. Oncol. 2019, 16, 509–520. [Google Scholar] [CrossRef]
- Weller, M.; van den Bent, M.; Preusser, M.; Le Rhun, E.; Tonn, J.C.; Minniti, G.; Bendszus, M.; Balana, C.; Chinot, O.; Dirven, L.; et al. EANO guidelines on the diagnosis and treatment of diffuse gliomas of adulthood. Nat. Rev. Clin. Oncol. 2021, 18, 170–186. [Google Scholar] [CrossRef] [PubMed]
- Stupp, R.; Mason, W.P.; van den Bent, M.J.; Weller, M.; Fisher, B.; Taphoorn, M.J.; Belanger, K.; Brandes, A.A.; Marosi, C.; Bogdahn, U.; et al. Radiotherapy plus concomitant and adjuvant temozolomide for glioblastoma. N. Engl. J. Med. 2005, 352, 987–996. [Google Scholar] [CrossRef] [PubMed]
- van den Bent, M.J.; Tesileanu, C.M.S.; Wick, W.; Sanson, M.; Brandes, A.A.; Clement, P.M.; Erridge, S.; Vogelbaum, M.A.; Nowak, A.K.; Baurain, J.F.; et al. Adjuvant and concurrent temozolomide for 1p/19q non-co-deleted anaplastic glioma (CATNON; EORTC study 26053-22054): Second interim analysis of a randomised, open-label, phase 3 study. Lancet Oncol. 2021, 22, 813–823. [Google Scholar] [CrossRef] [PubMed]
- Picart, T.; Barritault, M.; Poncet, D.; Berner, L.P.; Izquierdo, C.; Tabouret, E.; Figarella-Branger, D.; Idbaïh, A.; Bielle, F.; Bourg, V.; et al. Characteristics of diffuse hemispheric gliomas, H3 G34-mutant in adults. Neurooncol. Adv. 2021, 3, vdab061. [Google Scholar] [CrossRef] [PubMed]
- Meyronet, D.; Esteban-Mader, M.; Bonnet, C.; Joly, M.O.; Uro-Coste, E.; Amiel-Benouaich, A.; Forest, F.; Rousselot-Denis, C.; Burel-Vandenbos, F.; Bourg, V.; et al. Characteristics of H3 K27M-mutant gliomas in adults. Neuro-Oncology 2017, 19, 1127–1134. [Google Scholar] [CrossRef] [PubMed]
- Hegi, M.E.; Diserens, A.C.; Gorlia, T.; Hamou, M.F.; de Tribolet, N.; Weller, M.; Kros, J.M.; Hainfellner, J.A.; Mason, W.; Mariani, L.; et al. MGMT gene silencing and benefit from temozolomide in glioblastoma. N. Engl. J. Med. 2005, 352, 997–1003. [Google Scholar] [CrossRef] [PubMed]
- Malmström, A.; Grønberg, B.H.; Marosi, C.; Stupp, R.; Frappaz, D.; Schultz, H.; Abacioglu, U.; Tavelin, B.; Lhermitte, B.; Hegi, M.E.; et al. Temozolomide versus standard 6-week radiotherapy versus hypofractionated radiotherapy in patients older than 60 years with glioblastoma: The Nordic randomised, phase 3 trial. Lancet Oncol. 2012, 13, 916–926. [Google Scholar] [CrossRef]
- Gilbert, M.R.; Wang, M.; Aldape, K.D.; Stupp, R.; Hegi, M.E.; Jaeckle, K.A.; Armstrong, T.S.; Wefel, J.S.; Won, M.; Blumenthal, D.T.; et al. Dose-dense temozolomide for newly diagnosed glioblastoma: A randomized phase III clinical trial. J. Clin. Oncol. 2013, 31, 4085–4091. [Google Scholar] [CrossRef]
- Wick, W.; Platten, M.; Meisner, C.; Felsberg, J.; Tabatabai, G.; Simon, M.; Nikkhah, G.; Papsdorf, K.; Steinbach, J.P.; Sabel, M.; et al. Temozolomide chemotherapy alone versus radiotherapy alone for malignant astrocytoma in the elderly: The NOA-08 randomised, phase 3 trial. Lancet Oncol. 2012, 13, 707–715. [Google Scholar] [CrossRef]
- Stupp, R.; Hegi, M.E.; Mason, W.P.; van den Bent, M.J.; Taphoorn, M.J.; Janzer, R.C.; Ludwin, S.K.; Allgeier, A.; Fisher, B.; Belanger, K.; et al. Effects of radiotherapy with concomitant and adjuvant temozolomide versus radiotherapy alone on survival in glioblastoma in a randomised phase III study: 5-year analysis of the EORTC-NCIC trial. Lancet Oncol. 2009, 10, 459–466. [Google Scholar] [CrossRef]
- Perry, J.R.; Laperriere, N.; O’Callaghan, C.J.; Brandes, A.A.; Menten, J.; Phillips, C.; Fay, M.; Nishikawa, R.; Cairncross, J.G.; Roa, W.; et al. Short-Course Radiation plus Temozolomide in Elderly Patients with Glioblastoma. N. Engl. J. Med. 2017, 376, 1027–1037. [Google Scholar] [CrossRef]
- Turcan, S.; Rohle, D.; Goenka, A.; Walsh, L.A.; Fang, F.; Yilmaz, E.; Campos, C.; Fabius, A.W.; Lu, C.; Ward, P.S.; et al. IDH1 mutation is sufficient to establish the glioma hypermethylator phenotype. Nature 2012, 483, 479–483. [Google Scholar] [CrossRef]
- Wick, W.; Meisner, C.; Hentschel, B.; Platten, M.; Schilling, A.; Wiestler, B.; Sabel, M.C.; Koeppen, S.; Ketter, R.; Weiler, M.; et al. Prognostic or predictive value of MGMT promoter methylation in gliomas depends on IDH1 mutation. Neurology 2013, 81, 1515–1522. [Google Scholar] [CrossRef]
- Korshunov, A.; Capper, D.; Reuss, D.; Schrimpf, D.; Ryzhova, M.; Hovestadt, V.; Sturm, D.; Meyer, J.; Jones, C.; Zheludkova, O.; et al. Histologically distinct neuroepithelial tumors with histone 3 G34 mutation are molecularly similar and comprise a single nosologic entity. Acta Neuropathol. 2016, 131, 137–146. [Google Scholar] [CrossRef]
- Belanich, M.; Randall, T.; Pastor, M.A.; Kibitel, J.T.; Alas, L.G.; Dolan, M.E.; Schold, S.C., Jr.; Gander, M.; Lejeune, F.J.; Li, B.F.; et al. Intracellular Localization and intercellular heterogeneity of the human DNA repair protein O(6)-methylguanine-DNA methyltransferase. Cancer Chemother. Pharmacol. 1996, 37, 547–555. [Google Scholar] [CrossRef]
- Weiler, M.; Blaes, J.; Pusch, S.; Sahm, F.; Czabanka, M.; Luger, S.; Bunse, L.; Solecki, G.; Eichwald, V.; Jugold, M.; et al. mTOR target NDRG1 confers MGMT-dependent resistance to alkylating chemotherapy. Proc. Natl. Acad. Sci. USA 2014, 111, 409–414. [Google Scholar] [CrossRef]
- Liu, L.; Gerson, S.L. Targeted modulation of MGMT: Clinical implications. Clin. Cancer Res. 2006, 12, 328–331. [Google Scholar] [CrossRef]
- Nakagawachi, T.; Soejima, H.; Urano, T.; Zhao, W.; Higashimoto, K.; Satoh, Y.; Matsukura, S.; Kudo, S.; Kitajima, Y.; Harada, H.; et al. Silencing effect of CpG island hypermethylation and histone modifications on O6-methylguanine-DNA methyltransferase (MGMT) gene expression in human cancer. Oncogene 2003, 22, 8835–8844. [Google Scholar] [CrossRef]
- Everhard, S.; Tost, J.; El Abdalaoui, H.; Crinière, E.; Busato, F.; Marie, Y.; Gut, I.G.; Sanson, M.; Mokhtari, K.; Laigle-Donadey, F.; et al. Identification of regions correlating MGMT promoter methylation and gene expression in glioblastomas. Neuro-Oncology 2009, 11, 348–356. [Google Scholar] [CrossRef]
- Esteller, M.; Hamilton, S.R.; Burger, P.C.; Baylin, S.B.; Herman, J.G. Inactivation of the DNA repair gene O6-methylguanine-DNA methyltransferase by promoter hypermethylation is a common event in primary human neoplasia. Cancer Res. 1999, 59, 793–797. [Google Scholar]
- Mansouri, A.; Hachem, L.D.; Mansouri, S.; Nassiri, F.; Laperriere, N.J.; Xia, D.; Lindeman, N.I.; Wen, P.Y.; Chakravarti, A.; Mehta, M.P.; et al. MGMT promoter methylation status testing to guide therapy for glioblastoma: Refining the approach based on emerging evidence and current challenges. Neuro-Oncology 2019, 21, 167–178. [Google Scholar] [CrossRef]
- Wick, W.; Weller, M.; van den Bent, M.; Sanson, M.; Weiler, M.; von Deimling, A.; Plass, C.; Hegi, M.; Platten, M.; Reifenberger, G. MGMT testing—The challenges for biomarker-based glioma treatment. Nat. Rev. Neurol. 2014, 10, 372–385. [Google Scholar] [CrossRef]
- Malley, D.S.; Hamoudi, R.A.; Kocialkowski, S.; Pearson, D.M.; Collins, V.P.; Ichimura, K. A distinct region of the MGMT CpG island critical for transcriptional regulation is preferentially methylated in glioblastoma cells and xenografts. Acta Neuropathol. 2011, 121, 651–661. [Google Scholar] [CrossRef]
- Bady, P.; Sciuscio, D.; Diserens, A.C.; Bloch, J.; van den Bent, M.J.; Marosi, C.; Dietrich, P.Y.; Weller, M.; Mariani, L.; Heppner, F.L.; et al. MGMT methylation analysis of glioblastoma on the Infinium methylation BeadChip identifies two distinct CpG regions associated with gene silencing and outcome, yielding a prediction model for comparisons across datasets, tumor grades, and CIMP-status. Acta Neuropathol. 2012, 124, 547–560. [Google Scholar] [CrossRef]
- Johannessen, L.E.; Brandal, P.; Myklebust, T.; Heim, S.; Micci, F.; Panagopoulos, I. MGMT Gene Promoter Methylation Status—Assessment of Two Pyrosequencing Kits and Three Methylation-specific PCR Methods for their Predictive Capacity in Glioblastomas. Cancer Genom. Proteom. 2018, 15, 437–446. [Google Scholar] [CrossRef]
- Mikeska, T.; Bock, C.; El-Maarri, O.; Hübner, A.; Ehrentraut, D.; Schramm, J.; Felsberg, J.; Kahl, P.; Büttner, R.; Pietsch, T.; et al. Optimization of quantitative MGMT promoter methylation analysis using pyrosequencing and combined bisulfite restriction analysis. J. Mol. Diagn. 2007, 9, 368–381. [Google Scholar] [CrossRef]
- Xia, D.; Reardon, D.A.; Bruce, J.L.; Lindeman, N.I. The Clinical Implications of Inconsistently Methylated Results from Glioblastoma MGMT Testing by Replicate Methylation-Specific PCR. J. Mol. Diagn. 2016, 18, 864–871. [Google Scholar] [CrossRef] [PubMed]
- Wiestler, B.; Capper, D.; Sill, M.; Jones, D.T.; Hovestadt, V.; Sturm, D.; Koelsche, C.; Bertoni, A.; Schweizer, L.; Korshunov, A.; et al. Integrated DNA methylation and copy-number profiling identify three clinically and biologically relevant groups of anaplastic glioma. Acta Neuropathol. 2014, 128, 561–571. [Google Scholar] [CrossRef] [PubMed]
- Håvik, A.B.; Brandal, P.; Honne, H.; Dahlback, H.-S.S.; Scheie, D.; Hektoen, M.; Meling, T.R.; Helseth, E.; Heim, S.; Lothe, R.A.; et al. MGMT promoter methylation in gliomas-assessment by pyrosequencing and quantitative methylation-specific PCR. J. Transl. Med. 2012, 10, 36. [Google Scholar] [CrossRef]
- Lombardi, G.; Simonelli, M.; Bellu, L.; Villani, V.; Rizzato, S.; Ius, T.; Pasqualetti, F.; Russo, M.; Franchino, F.; Rosina, A.; et al. Defining the prognostic role of MGMT methylation value by pyrosequencing assay in glioblastoma patients: A large Italian multicenter study. J. Clin. Oncol. 2020, 38, 2539. [Google Scholar] [CrossRef]
- Dunn, J.; Baborie, A.; Alam, F.; Joyce, K.; Moxham, M.; Sibson, R.; Crooks, D.; Husband, D.; Shenoy, A.; Brodbelt, A.; et al. Extent of MGMT promoter methylation correlates with outcome in glioblastomas given temozolomide and radiotherapy. Br. J. Cancer 2009, 101, 124–131. [Google Scholar] [CrossRef] [PubMed]
- Hosoya, T.; Takahashi, M.; Honda-Kitahara, M.; Miyakita, Y.; Ohno, M.; Yanagisawa, S.; Omura, T.; Kawauchi, D.; Tamura, Y.; Kikuchi, M.; et al. MGMT gene promoter methylation by pyrosequencing method correlates volumetric response and neurological status in IDH wild-type glioblastomas. J. Neuro-Oncol. 2022, 157, 561–571. [Google Scholar] [CrossRef]
- Rocca, A.; Brigliadori, G.; Calistri, D.; Foca, F.; Dall’Agata, M.; Rengucci, C.; Cerasoli, S.; Faedi, M. Defining the cutoff value of MGMT gene promoter methylation and its predictive capacity. J. Clin. Oncol. 2015, 33, 2017. [Google Scholar] [CrossRef]
- Gurrieri, L.; De Carlo, E.; Gerratana, L.; De Maglio, G.; Macerelli, M.; Pisa, F.E.; Masiero, E.; Aprile, G.; Follador, A.; Puglisi, F.; et al. MGMT pyrosequencing-based cut-off methylation level and clinical outcome in patients with glioblastoma multiforme. Future Oncol. 2018, 14, 699–707. [Google Scholar] [CrossRef] [PubMed]
- Reifenberger, G.; Hentschel, B.; Felsberg, J.; Schackert, G.; Simon, M.; Schnell, O.; Westphal, M.; Wick, W.; Pietsch, T.; Loeffler, M.; et al. Predictive impact of MGMT promoter methylation in glioblastoma of the elderly. Int. J. Cancer 2012, 131, 1342–1350. [Google Scholar] [CrossRef] [PubMed]
- Chen, H.; Luthra, R.; Goswami, R.S.; Singh, R.R.; Roy-Chowdhuri, S. Analysis of Pre-Analytic Factors Affecting the Success of Clinical Next-Generation Sequencing of Solid Organ Malignancies. Cancers 2015, 7, 1699–1715. [Google Scholar] [CrossRef] [PubMed]
- Mikkelsen, V.E.; Solheim, O.; Salvesen, Ø.; Torp, S.H. The histological representativeness of glioblastoma tissue samples. Acta Neurochir. 2021, 163, 1911–1920. [Google Scholar] [CrossRef]
- WHO Classification of Tumours Editorial Board. Central Nervous System Tumours, 5th ed.; International Agency for Research on Cancer: Lyon, France, 2021. [Google Scholar]
- Badrick, T.; Steward, P. Measurement Uncertainty. Common. Sense Pathol. 2015, 2–8. Available online: https://www.rcpa.edu.au/getattachment/40f61099-e909-46e1-9678-dd2b98109bdd/Measurement-Uncertainty.aspx#:~:text=The%20commonly%20used%20term%20used,MU%20for%20all%20quantitative%20results (accessed on 16 March 2024).
- Bakdash, J.Z.; Marusich, L.R. Repeated Measures Correlation. Front. Psychol. 2017, 8, 456. [Google Scholar] [CrossRef] [PubMed]
- Marusich, L.R.; Bakdash, J.Z. rmcorrShiny: A web and standalone application for repeated measures correlation. F1000Research 2021, 10, 697. [Google Scholar] [CrossRef] [PubMed]
- Cree, I.A.; Deans, Z.; Ligtenberg, M.J.; Normanno, N.; Edsjö, A.; Rouleau, E.; Solé, F.; Thunnissen, E.; Timens, W.; Schuuring, E.; et al. Guidance for laboratories performing molecular pathology for cancer patients. J. Clin. Pathol. 2014, 67, 923–931. [Google Scholar] [CrossRef] [PubMed]
- Souza da Silva, R.; Pinto, R.; Cirnes, L.; Schmitt, F. Tissue management in precision medicine: What the pathologist needs to know in the molecular era. Front. Mol. Biosci. 2022, 9, 983102. [Google Scholar] [CrossRef] [PubMed]
- Dudley, J.; Tseng, L.-H.; Rooper, L.; Harris, M.; Haley, L.; Chen, G.; Gocke, C.D.; Eshleman, J.R.; Lin, M.-T. Challenges posed to pathologists in the detection of KRAS mutations in colorectal cancers. Arch. Pathol. Lab. Med. 2015, 139, 211–218. [Google Scholar] [CrossRef] [PubMed]
- da Silveira Corrêa, B.; De-Paris, F.; Viola, G.D.; Andreis, T.F.; Rosset, C.; Vianna, F.S.L.; da Rosa Rivero, L.F.; de Oliveira, F.H.; Ashton-Prolla, P.; de Souza Macedo, G. Challenges to the effectiveness of next-generation sequencing in formalin-fixed paraffin-embedded tumor samples for non-small cell lung cancer. Ann. Diagn. Pathol. 2024, 69, 152249. [Google Scholar] [CrossRef] [PubMed]
- Büttner, J.; Lehmann, A.; Klauschen, F.; Hummel, M.; Lenze, D.; Dietel, M.; Jöhrens, K. Influence of mucinous and necrotic tissue in colorectal cancer samples on KRAS mutation analysis. Pathol.-Res. Pract. 2017, 213, 606–611. [Google Scholar] [CrossRef]
- Lee, S.; Brophy, V.H.; Cao, J.; Velez, M.; Hoeppner, C.; Soviero, S.; Lawrence, H.J. Analytical performance of a PCR assay for the detection of KRAS mutations (codons 12/13 and 61) in formalin-fixed paraffin-embedded tissue samples of colorectal carcinoma. Virchows Arch. 2012, 460, 141–149. [Google Scholar] [CrossRef] [PubMed]
- Conroy, J.M.; Pabla, S.; Glenn, S.T.; Burgher, B.; Nesline, M.; Papanicolau-Sengos, A.; Andreas, J.; Giamo, V.; Lenzo, F.L.; Hyland, F.C.L.; et al. Analytical Validation of a Next-Generation Sequencing Assay to Monitor Immune Responses in Solid Tumors. J. Mol. Diagn. 2018, 20, 95–109. [Google Scholar] [CrossRef] [PubMed]
- Goswami, R.S.; Luthra, R.; Singh, R.R.; Patel, K.P.; Routbort, M.J.; Aldape, K.D.; Yao, H.; Dang, H.D.; Barkoh, B.A.; Manekia, J.; et al. Identification of factors affecting the success of next-generation sequencing testing in solid tumors. Am. J. Clin. Pathol. 2016, 145, 222–237. [Google Scholar] [CrossRef]
- Mikkelsen, V.E.; Dai, H.Y.; Stensjøen, A.L.; Berntsen, E.M.; Salvesen, Ø.; Solheim, O.; Torp, S.H. MGMT promoter methylation status is not related to histological or radiological features in IDH wild-type glioblastomas. J. Neuropathol. Exp. Neurol. 2020, 79, 855–862. [Google Scholar] [CrossRef] [PubMed]
- Grasbon-Frodl, E.M.; Kreth, F.W.; Ruiter, M.; Schnell, O.; Bise, K.; Felsberg, J.; Reifenberger, G.; Tonn, J.-C.; Kretzschmar, H.A. Intratumoral homogeneity of MGMT promoter hypermethylation as demonstrated in serial stereotactic specimens from anaplastic astrocytomas and glioblastomas. Int. J. Cancer 2007, 121, 2458–2464. [Google Scholar] [CrossRef] [PubMed]
- Parker, N.R.; Hudson, A.L.; Khong, P.; Parkinson, J.F.; Dwight, T.; Ikin, R.J.; Zhu, Y.; Cheng, Z.J.; Vafaee, F.; Chen, J.; et al. Intratumoral heterogeneity identified at the epigenetic, genetic and transcriptional level in glioblastoma. Sci. Rep. 2016, 6, 22477. [Google Scholar] [CrossRef] [PubMed]
- Feldheim, J.; Kessler, A.F.; Monoranu, C.M.; Ernestus, R.I.; Löhr, M.; Hagemann, C. Changes of O(6)-Methylguanine DNA Methyltransferase (MGMT) Promoter Methylation in Glioblastoma Relapse-A Meta-Analysis Type Literature Review. Cancers 2019, 11, 1837. [Google Scholar] [CrossRef] [PubMed]
- Choi, H.J.; Choi, S.H.; You, S.H.; Yoo, R.E.; Kang, K.M.; Yun, T.J.; Kim, J.H.; Sohn, C.H.; Park, C.K.; Park, S.H. MGMT Promoter Methylation Status in Initial and Recurrent Glioblastoma: Correlation Study with DWI and DSC PWI Features. AJNR Am. J. Neuroradiol. 2021, 42, 853–860. [Google Scholar] [CrossRef] [PubMed]
- Jiménez, V.G.; Doval, M.B.; Bellvert, C.G.; Goliney, V.G.; Asencio, O.S.; Martín, A.G.; Domínguez, J.I. Quantitative analysis of MGMT promoter methylation status changes by pyrosequencing in recurrent glioblastoma. Neuropathology 2023, 43, 306–312. [Google Scholar] [CrossRef] [PubMed]
- Storey, K.; Leder, K.; Hawkins-Daarud, A.; Swanson, K.; Ahmed, A.U.; Rockne, R.C.; Foo, J. Glioblastoma recurrence and the role of MGMT promoter methylation. bioRxiv 2018. bioRxiv:317636. [Google Scholar]
- Yu, W.; Zhang, L.; Wei, Q.; Shao, A. O(6)-Methylguanine-DNA Methyltransferase (MGMT): Challenges and New Opportunities in Glioma Chemotherapy. Front. Oncol. 2019, 9, 1547. [Google Scholar] [CrossRef]





| All Patients (n = 64) | ||
|---|---|---|
| Age at diagnosis (years) | ||
| Median | 60 | |
| Range | 31 to 86 | |
| Gender | n | % |
| Male | 40 | 62.5 |
| Female | 24 | 37.5 |
| Integrated WHO diagnosis 1 | ||
| GBM, IDHwt | 57 | 89.1 |
| Astro IDHm G4 | 2 | 3.1 |
| DHG H3 G34 | 1 | 1.6 |
| ‘molecular GBM’ | 4 | 6.3 |
| Primary tumor | 58 | 90.6 |
| Gross total resection | 46 | 71.9 |
| Partial/subtotal resection/biopsy | 12 | 18.6 |
| Chemotherapy | 56 | 87.5 |
| Radiotherapy (60 Gy or 40 Gy) | 47 | 73.4 |
| Stupp protocol completed | 35 | 54.7 |
| Recurrent tumor | 23 | 37.5 |
| Matched primary | 16 | 25.0 |
| Unmatched | 7 | 12.5 |
| Gross total resection | 17 | 32.8 |
| Partial/subtotal resection/biopsy | 6 | 9.8 |
| MGMTp Status | Viable Tumor Block (VT) | Necrotic Tumor Block (NT) | p-Value |
|---|---|---|---|
| Primary presentation | Median %, (range) | Median %, (range) | |
| Methylated (n = 35) | 36.8 (14–92.5) | 42.3 (14.5–83.8) | 0.93 |
| Borderline (n = 3) | 11.3 (9.8–12.5) | 10.5 (9.3–12.5) | 0.82 |
| Unmethylated (n = 6) | 4 (3.3–5.5) | 3.4 (2.3–4) | 0.07 |
| Recurrent presentation | Median %, (range) | Median %, (range) | |
| Methylated (n = 8) | 30.3 (19.5–83) | 34.7 (24.5–73.5) | 0.57 |
| Unmethylated (n = 10) | 3.4 (2.5–5.8) | 3.6 (2.3–6.5) | 0.97 |
| Degree of Necrosis (%) | Primary Cases (n) | Primary MGMTp Status Changes (n) | Changes 1 | Recurrence Cases (n) | Recurrence MGMTp Changes (n) | Changes 1 |
|---|---|---|---|---|---|---|
| 90 | 2 | 0 | - | 0 | 0 | - |
| 80 | 1 | 1 | M→U * | 1 | 1 | M→U * |
| 70 | 2 | 1 | M→B | 3 | 0 | - |
| 60 | 5 | 0 | - | 2 | 1 | U→M * |
| 50 | 8 | 2 | M→B B→U * | 2 | 0 | - |
| 40 | 6 | 0 | - | 0 | 0 | - |
| 30 | 5 | 1 | B→U * | 3 | 0 | - |
| 20 | 8 | 0 | - | 2 | 1 | M→U * |
| ≤10 | 15 | 3 | B→M M→B M→B | 10 | 2 | M→B U→M * |
Disclaimer/Publisher’s Note: The statements, opinions and data contained in all publications are solely those of the individual author(s) and contributor(s) and not of MDPI and/or the editor(s). MDPI and/or the editor(s) disclaim responsibility for any injury to people or property resulting from any ideas, methods, instructions or products referred to in the content. |
© 2024 by the authors. Licensee MDPI, Basel, Switzerland. This article is an open access article distributed under the terms and conditions of the Creative Commons Attribution (CC BY) license (https://creativecommons.org/licenses/by/4.0/).
Share and Cite
Satgunaseelan, L.; Lee, M.; Iannuzzi, S.; Hallal, S.; Deang, K.; Stanceski, K.; Wei, H.; Mason, S.; Shivalingam, B.; Sim, H.-W.; et al. ‘The Reports of My Death Are Greatly Exaggerated’—Evaluating the Effect of Necrosis on MGMT Promoter Methylation Testing in High-Grade Glioma. Cancers 2024, 16, 1906. https://doi.org/10.3390/cancers16101906
Satgunaseelan L, Lee M, Iannuzzi S, Hallal S, Deang K, Stanceski K, Wei H, Mason S, Shivalingam B, Sim H-W, et al. ‘The Reports of My Death Are Greatly Exaggerated’—Evaluating the Effect of Necrosis on MGMT Promoter Methylation Testing in High-Grade Glioma. Cancers. 2024; 16(10):1906. https://doi.org/10.3390/cancers16101906
Chicago/Turabian StyleSatgunaseelan, Laveniya, Maggie Lee, Sebastian Iannuzzi, Susannah Hallal, Kristine Deang, Kristian Stanceski, Heng Wei, Sofia Mason, Brindha Shivalingam, Hao-Wen Sim, and et al. 2024. "‘The Reports of My Death Are Greatly Exaggerated’—Evaluating the Effect of Necrosis on MGMT Promoter Methylation Testing in High-Grade Glioma" Cancers 16, no. 10: 1906. https://doi.org/10.3390/cancers16101906
APA StyleSatgunaseelan, L., Lee, M., Iannuzzi, S., Hallal, S., Deang, K., Stanceski, K., Wei, H., Mason, S., Shivalingam, B., Sim, H.-W., Buckland, M. E., & Alexander, K. L. (2024). ‘The Reports of My Death Are Greatly Exaggerated’—Evaluating the Effect of Necrosis on MGMT Promoter Methylation Testing in High-Grade Glioma. Cancers, 16(10), 1906. https://doi.org/10.3390/cancers16101906

