Update on PET Radiopharmaceuticals for Imaging Hepatocellular Carcinoma
Abstract
Simple Summary
Abstract
1. Introduction
2. Role of Imaging
3. Conventional Radiological Imaging
4. PET/CT Imaging of HCC
4.1. Fluorine-18-fluoro-2-deoxyglucose
4.1.1. Intrahepatic Detection
4.1.2. Metastases
4.2. Gallium-68 PSMA
4.2.1. Intrahepatic Detection
4.2.2. Metastases
4.3. Radiolabelled Choline Derivatives
4.3.1. Intrahepatic Detection
4.3.2. Metastases
4.4. 11C-Acetate
4.4.1. Intrahepatic Detection
4.4.2. Metastases
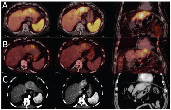
4.5. Fibroblast Activation Protein Inhibitor
4.5.1. Intrahepatic Detection
4.5.2. Metastases
4.6. Hypoxia Imaging
4.7. Imaging in HCC Treated with SIRT
5. Conclusions
Author Contributions
Funding
Conflicts of Interest
References
- Zhu, A.X.; Duda, D.G.; Sahani, D.V.; Jain, R.K. HCC and angiogenesis: Possible targets and future directions. Nat. Rev. Clin. Oncol. 2011, 8, 292. [Google Scholar] [CrossRef]
- McGlynn, K.A.; Petrick, J.L.; London, W.T. Global epidemiology of hepatocellular carcinoma: An emphasis on demographic and regional variability. Clin. Liver Dis. 2015, 19, 223–238. [Google Scholar] [CrossRef]
- Lu, R.-C.; She, B.; Gao, W.-T.; Ji, Y.-H.; Xu, D.-D.; Wang, Q.-S.; Wang, S.-B. Positron-emission tomography for hepatocellular carcinoma: Current status and future prospects. World J. Gastroenterol. 2019, 25, 4682. [Google Scholar] [CrossRef]
- McGlynn, K.A.; Petrick, J.L.; El-Serag, H.B. Epidemiology of Hepatocellular Carcinoma. Hepatology 2021, 73, 4–13. [Google Scholar] [CrossRef]
- Ho, C.L.; Yu, S.C.; Yeung, D.W. 11C-acetate PET imaging in hepatocellular carcinoma and other liver masses. J. Nucl. Med. 2003, 44, 213–221. [Google Scholar]
- Addissie, B.D.; Roberts, L.R. Classification and staging of hepatocellular carcinoma: An aid to clinical decision-making. Clin. Liver Dis. 2015, 19, 277–294. [Google Scholar] [CrossRef]
- Khan, M.A.; Combs, C.S.; Brunt, E.M.; Lowe, V.J.; Wolverson, M.K.; Solomon, H.; Collins, B.T.; Bisceglie, A.M.D. Positron emission tomography scanning in the evaluation of hepatocellular carcinoma. J. Hepatol. 2000, 32, 792–797. [Google Scholar] [CrossRef]
- Bruix, J.; Reig, M.; Sherman, M. Evidence-Based Diagnosis, Staging, and Treatment of Patients With Hepatocellular Carcinoma. Gastroenterology 2016, 150, 835–853. [Google Scholar] [CrossRef]
- Hirmas, N.; Leyh, C.; Sraieb, M.; Barbato, F.; Schaarschmidt, B.; Umutlu, L.; Nader, M.; Wedemeyer, H.; Ferdinandus, J.; Rischpler, C.; et al. Ga-68-PSMA-11 PET/CT improves tumor detection and impacts management in patients with hepatocellular carcinoma (HCC). Nuklearmedizin 2021, 60, V55. [Google Scholar]
- Koulouris, A.; Tsagkaris, C.; Spyrou, V.; Pappa, E.; Troullinou, A.; Nikolaou, M. Hepatocellular Carcinoma: An Overview of the Changing Landscape of Treatment Options. J. Hepatocell. Carcinoma 2021, 8, 387–401. [Google Scholar] [CrossRef]
- Choi Jin-Young, M.; Lee Jeong-Min, M.; Sirlin Claude, B.M. CT and MR Imaging Diagnosis and Staging of Hepatocellular Carcinoma: Part I. Development, Growth, and Spread: Key Pathologic and Imaging Aspects. Radiology 2014, 272, 635–654. [Google Scholar] [CrossRef] [PubMed]
- European Association for the Study of the Liver; European Organisation for Research And Treatment of Cancer. EASL–EORTC Clinical Practice Guidelines: Management of hepatocellular carcinoma. J. Hepatol. 2012, 56, 908–943. [Google Scholar] [CrossRef] [PubMed]
- Yu, S.J. A concise review of updated guidelines regarding the management of hepatocellular carcinoma around the world: 2010–2016. Clin. Mol. Hepatol. 2016, 22, 7–17. [Google Scholar] [CrossRef]
- Simpson, H.N.; McGuire, B.M. Screening and detection of hepatocellular carcinoma. Clin. Liver Dis. 2015, 19, 295–307. [Google Scholar] [CrossRef]
- Chen, J.; Zhu, J.; Zhang, C.; Song, Y.; Huang, P. Contrast-enhanced ultrasound for the characterization of portal vein thrombosis vs. tumor-in-vein in HCC patients: A systematic review and meta-analysis. Eur. Radiol. 2020, 30, 2871–2880. [Google Scholar] [CrossRef]
- Anis, M. Imaging of hepatocellular carcinoma: New approaches to diagnosis. Clin. Liver. Dis. 2015, 19, 325–340. [Google Scholar] [CrossRef]
- Lee, Y.J.; Lee, J.M.; Lee, J.S.; Lee, H.Y.; Park, B.H.; Kim, Y.H.; Han, J.K.; Choi, B.I. Hepatocellular Carcinoma: Diagnostic Performance of Multidetector CT and MR Imaging—A Systematic Review and Meta-Analysis. Radiology 2015, 275, 97–109. [Google Scholar] [CrossRef]
- Heimbach, J.K.; Kulik, L.M.; Finn, R.S.; Sirlin, C.B.; Abecassis, M.M.; Roberts, L.R.; Zhu, A.X.; Murad, M.H.; Marrero, J.A. AASLD guidelines for the treatment of hepatocellular carcinoma. Hepatology 2018, 67, 358–380. [Google Scholar] [CrossRef]
- Chernyak, V.; Fowler, K.J.; Kamaya, A.; Kielar, A.Z.; Elsayes, K.M.; Bashir, M.R.; Kono, Y.; Do, R.K.; Mitchell, D.G.; Singal, A.G.; et al. Liver Imaging Reporting and Data System (LI-RADS) Version 2018: Imaging of Hepatocellular Carcinoma in At-Risk Patients. Radiology 2018, 289, 816–830. [Google Scholar] [CrossRef]
- Czernin, J.; Allen-Auerbach, M.; Nathanson, D.; Herrmann, K. PET/CT in Oncology: Current Status and Perspectives. Curr. Radiol. Rep. 2013, 1, 177–190. [Google Scholar] [CrossRef]
- Beyer, T.; Townsend, D.W.; Brun, T.; Kinahan, P.E.; Charron, M.; Roddy, R.; Jerin, J.; Young, J.; Byars, L.; Nutt, R. A combined PET/CT scanner for clinical oncology. J. Nucl. Med. 2000, 41, 1369–1379. [Google Scholar] [PubMed]
- Izuishi, K.; Yamamoto, Y.; Mori, H.; Kameyama, R.; Fujihara, S.; Masaki, T.; Suzuki, Y. Molecular mechanisms of [18F]fluorodeoxyglucose accumulation in liver cancer. Oncol. Rep. 2014, 31, 701–706. [Google Scholar] [CrossRef]
- Lundholm, K.; Edstrom, S.; Karlberg, I.; Ekman, L.; Schersten, T. Glucose turnover, gluconeogenesis from glycerol, and estimation of net glucose cycling in cancer patients. Cancer 1982, 50, 1142–1150. [Google Scholar] [CrossRef] [PubMed]
- Sacks, A.; Peller, P.J.; Surasi, D.S.; Chatburn, L.; Mercier, G.; Subramaniam, R.M. Value of PET/CT in the management of primary hepatobiliary tumors, part 2. AJR. Am. J. Roentgenol. 2011, 197, W260–W265. [Google Scholar] [CrossRef]
- Torizuka, T.; Tamaki, N.; Inokuma, T.; Magata, Y.; Sasayama, S.; Yonekura, Y.; Tanaka, A.; Yamaoka, Y.; Yamamoto, K.; Konishi, J. In Vivo Assessment of Glucose Metabolism in Hepatocellular Carcinoma with FDG-PET. J. Nucl. Med. 1995, 36, 1811–1817. [Google Scholar]
- Cho, K.J.; Choi, N.K.; Shin, M.H.; Chong, A.R. Clinical usefulness of FDG-PET in patients with hepatocellular carcinoma undergoing surgical resection. Ann. Hepatobiliary Pancreat. Surg. 2017, 21, 194–198. [Google Scholar] [CrossRef] [PubMed]
- Talbot, J.N.; Fartoux, L.; Balogova, S.; Nataf, V.; Kerrou, K.; Gutman, F.; Huchet, V.; Ancel, D.; Grange, J.D.; Rosmorduc, O. Detection of hepatocellular carcinoma with PET/CT: A prospective comparison of 18F-fluorocholine and 18F-FDG in patients with cirrhosis or chronic liver disease. J. Nucl. Med. 2010, 51, 1699–1706. [Google Scholar] [CrossRef]
- Wolfort, R.; Papillion, P.; Turnage, R.; Lillien, D.; Ramaswamy, M.; Zibari, G. Role of FDG-PET in the evaluation and staging of hepatocellular carcinoma with comparison of tumor size, AFP level, and histologic grade. Int. Surg. 2010, 95, 67–75. [Google Scholar]
- Sacks, A.; Peller, P.J.; Surasi, D.S.; Chatburn, L.; Mercier, G.; Subramaniam, R.M. Value of PET/CT in the management of liver metastases, part 1. AJR. Am. J. Roentgenol. 2011, 197, W256–W259. [Google Scholar] [CrossRef]
- Delbeke, D.; Martin, W.H.; Sandler, M.P.; Chapman, W.C.; Wright, J.; Kelly, J.; Pinson, C.W. Evaluation of Benign vs. Malignant Hepatic Lesions with Positron Emission Tomography. Arch. Surg. 1998, 133, 510–516. [Google Scholar] [CrossRef]
- Kubota, R.; Kubota, K.; Yamada, S.; Tada, M.; Ido, T.; Tamahashi, N. Active and passive mechanisms of [fluorine-18] fluorodeoxyglucose uptake by proliferating and prenecrotic cancer cells in vivo: A microautoradiographic study. J. Nucl. Med. 1994, 35, 1067–1075. [Google Scholar] [PubMed]
- Trojan, J.; Schroeder, O.; Raedle, J.; Baum, R.P.; Herrmann, G.; Jacobi, V.; Zeuzem, S. Fluorine-18 FDG positron emission tomography for imaging of hepatocellular carcinoma. Am. J. Gastroenterol. 1999, 94, 3314–3319. [Google Scholar] [CrossRef] [PubMed]
- Park, J.-W.; Kim, J.H.; Kim, S.K.; Kang, K.W.; Park, K.W.; Choi, J.-I.; Lee, W.J.; Kim, C.-M.; Nam, B.H. A prospective evaluation of 18F-FDG and 11C-acetate PET/CT for detection of primary and metastatic hepatocellular carcinoma. J. Nucl. Med. 2008, 49, 1912–1921. [Google Scholar] [CrossRef]
- Shiomi, S.; Nishiguchi, S.; Ishizu, H.; Iwata, Y.; Sasaki, N.; Tamori, A.; Habu, D.; Takeda, T.; Kubo, S.; Ochi, H. Usefulness of positron emission tomography with fluorine-18-fluorodeoxyglucose for predicting outcome in patients with hepatocellular carcinoma. Am. J. Gastroenterol. 2001, 96, 1877–1880. [Google Scholar] [CrossRef] [PubMed]
- Kawaoka, T.; Aikata, H.; Takaki, S.; Uka, K.; Azakami, T.; Saneto, H.; Jeong, S.C.; Kawakami, Y.; Takahashi, S.; Toyota, N.; et al. FDG positron emission tomography/computed tomography for the detection of extrahepatic metastases from hepatocellular carcinoma. Hepatol. Res. 2009, 39, 134–142. [Google Scholar] [CrossRef]
- Wudel, L.J., Jr.; Delbeke, D.; Morris, D.; Rice, M.; Washington, M.K.; Shyr, Y.; Pinson, C.W.; Chapman, W.C. The role of [18F]fluorodeoxyglucose positron emission tomography imaging in the evaluation of hepatocellular carcinoma. Am. Surg. 2003, 69, 117–124; discussion 124–116. [Google Scholar] [CrossRef] [PubMed]
- Kornberg, A.; Witt, U.; Schernhammer, M.; Kornberg, J.; Ceyhan, G.O.; Mueller, K.; Friess, H.; Thrum, K. Combining 18F-FDG positron emission tomography with Up-to-seven criteria for selecting suitable liver transplant patients with advanced hepatocellular carcinoma. Sci. Rep. 2017, 7, 14176. [Google Scholar] [CrossRef]
- Perera, M.; Papa, N.; Christidis, D.; Wetherell, D.; Hofman, M.S.; Murphy, D.G.; Bolton, D.; Lawrentschuk, N. Sensitivity, Specificity, and Predictors of Positive (68)Ga-Prostate-specific Membrane Antigen Positron Emission Tomography in Advanced Prostate Cancer: A Systematic Review and Meta-analysis. Eur. Urol. 2016, 70, 926–937. [Google Scholar] [CrossRef]
- Afshar-Oromieh, A.; Avtzi, E.; Giesel, F.L.; Holland-Letz, T.; Linhart, H.G.; Eder, M.; Eisenhut, M.; Boxler, S.; Hadaschik, B.A.; Kratochwil, C.; et al. The diagnostic value of PET/CT imaging with the (68)Ga-labelled PSMA ligand HBED-CC in the diagnosis of recurrent prostate cancer. Eur. J. Nucl. Med. Mol. Imaging 2015, 42, 197–209. [Google Scholar] [CrossRef]
- Donin, N.M.; Reiter, R.E. Why Targeting PSMA Is a Game Changer in the Management of Prostate Cancer. J. Nucl. Med. 2018, 59, 177–182. [Google Scholar] [CrossRef]
- Lee Zhenghong, S.A.; Sergeeva, O.; Kenyon, J.; Sergeev, M.; Sexton, S.; Iyer, R.; Basilion, J. Avril Norbert 68Ga-PSMA imaging of tumor associated neovasculature in hepatocellular carcinoma. J. Nucl. Med. 2017, 58, 55. [Google Scholar]
- Sasikumar, A.; Joy, A.; Nanabala, R.; Pillai, M.R.; Thomas, B.; Vikraman, K.R. (68)Ga-PSMA PET/CT imaging in primary hepatocellular carcinoma. Eur. J. Nucl. Med. Mol. Imaging 2016, 43, 795–796. [Google Scholar] [CrossRef] [PubMed]
- Kesler, M.; Levine, C.; Hershkovitz, D.; Mishani, E.; Menachem, Y.; Lerman, H.; Zohar, Y.; Shibolet, O.; Even-Sapir, E. 68Ga-labeled prostate-specific membrane antigen is a novel PET/CT tracer for imaging of hepatocellular carcinoma: A prospective pilot study. J. Nucl. Med. 2019, 60, 185–191. [Google Scholar] [CrossRef]
- Denmeade, S.R.; Mhaka, A.M.; Rosen, D.M.; Brennen, W.N.; Dalrymple, S.; Dach, I.; Olesen, C.; Gurel, B.; Demarzo, A.M.; Wilding, G.; et al. Engineering a prostate-specific membrane antigen-activated tumor endothelial cell prodrug for cancer therapy. Sci. Transl. Med. 2012, 4, 140ra186. [Google Scholar] [CrossRef]
- Grant, C.L.; Caromile, L.A.; Ho, V.; Durrani, K.; Rahman, M.M.; Claffey, K.P.; Fong, G.-H.; Shapiro, L.H. Prostate specific membrane antigen (PSMA) regulates angiogenesis independently of VEGF during ocular neovascularization. PLoS ONE 2012, 7, e41285. [Google Scholar] [CrossRef] [PubMed]
- Gündoğan, C.; Ergül, N.; Çakır, M.S.; Kılıçkesmez, Ö.; Gürsu, R.U.; Aksoy, T.; Çermik, T.F. 68Ga-PSMA PET/CT versus 18F-FDG PET/CT for imaging of hepatocellular carcinoma. Mol. Imaging Radionucl. Ther. 2021, 30, 79. [Google Scholar] [CrossRef]
- Sergeeva Olga, Z.Y.; Sergeev, M.; Shi, W.; Sexton, S.; Iyer, R.; Basilion, J.; Avril, N.; Lee, Z. Characterization of tumor-associated neovasculature in HCC. J. Nucl. Med. 2018, 59, 1274. [Google Scholar]
- Yamamoto, Y.; Nishiyama, Y.; Kameyama, R.; Okano, K.; Kashiwagi, H.; Deguchi, A.; Kaji, M.; Ohkawa, M. Detection of hepatocellular carcinoma using 11C-choline PET: Comparison with 18F-FDG PET. J. Nucl. Med. 2008, 49, 1245–1248. [Google Scholar] [CrossRef]
- Filippi, L.; Schillaci, O.; Bagni, O. Recent advances in PET probes for hepatocellular carcinoma characterization. Expert Rev. Med. Devices 2019, 16, 341–350. [Google Scholar] [CrossRef]
- Kwee, S.A.; Sato, M.M.; Kuang, Y.; Franke, A.; Custer, L.; Miyazaki, K.; Wong, L.L. [(18)F]Fluorocholine PET/CT Imaging of Liver Cancer: Radiopathologic Correlation with Tissue Phospholipid Profiling. Mol. Imaging Biol. 2017, 19, 446–455. [Google Scholar] [CrossRef]
- Bertagna, F.; Bertoli, M.; Bosio, G.; Biasiotto, G.; Sadeghi, R.; Giubbini, R.; Treglia, G. Diagnostic role of radiolabelled choline PET or PET/CT in hepatocellular carcinoma: A systematic review and meta-analysis. Hepatol. Int. 2014, 8, 493–500. [Google Scholar] [CrossRef] [PubMed]
- Treglia, G.; Giovannini, E.; Di Franco, D.; Calcagni, M.L.; Rufini, V.; Picchio, M.; Giordano, A. The role of positron emission tomography using carbon-11 and fluorine-18 choline in tumors other than prostate cancer: A systematic review. Ann. Nucl. Med. 2012, 26, 451–461. [Google Scholar] [CrossRef] [PubMed]
- Talbot, J.-N.; Michaud, L.; Grange, J.-D.; Rosmorduc, O.; Balogova, S. Use of choline PET for studying hepatocellular carcinoma. Clin. Transl. Imaging 2014, 2, 103–113. [Google Scholar] [CrossRef]
- Talbot, J.-N.; Gutman, F.; Fartoux, L.; Grange, J.-D.; Ganne, N.; Kerrou, K.; Grahek, D.; Montravers, F.; Poupon, R.; Rosmorduc, O. PET/CT in patients with hepatocellular carcinoma using [18F]fluorocholine: Preliminary comparison with [18F]FDG PET/CT. Eur. J. Nucl. Med. Mol. Imaging 2006, 33, 1285–1289. [Google Scholar] [CrossRef] [PubMed]
- Castilla-Lièvre, M.-A.; Franco, D.; Gervais, P.; Kuhnast, B.; Agostini, H.; Marthey, L.; Désarnaud, S.; Helal, B.-O. Diagnostic value of combining 11 C-choline and 18 F-FDG PET/CT in hepatocellular carcinoma. Eur. J. Nucl. Med. Mol. Imaging 2016, 43, 852–859. [Google Scholar] [CrossRef] [PubMed]
- Wu, H.-B.; Wang, Q.-S.; Li, B.-Y.; Li, H.-S.; Zhou, W.-L.; Wang, Q.-Y. F-18 FDG in Conjunction With 11C-Choline PET/CT in the Diagnosis of Hepatocellular Carcinoma. Clin. Nucl. Med. 2011, 36, 1092–1097. [Google Scholar] [CrossRef]
- Hartenbach, M.; Weber, S.; Albert, N.L.; Hartenbach, S.; Hirtl, A.; Zacherl, M.J.; Paprottka, P.M.; Tiling, R.; Bartenstein, P.; Hacker, M.; et al. Evaluating Treatment Response of Radioembolization in Intermediate-Stage Hepatocellular Carcinoma Patients Using <sup>18</sup>F-Fluoroethylcholine PET/CT. J. Nucl. Med. 2015, 56, 1661–1666. [Google Scholar] [CrossRef]
- Fartoux, L.; Balogova, S.; Nataf, V.; Kerrou, K.; Huchet, V.; Rosmorduc, O.; Talbot, J.-N. A pilot comparison of 18F-fluorodeoxyglucose and 18F-fluorocholine PET/CT to predict early recurrence of unifocal hepatocellular carcinoma after surgical resection. Nucl. Med. Commun. 2012, 33, 757–765. [Google Scholar] [CrossRef]
- Salem, N.; Kuang, Y.; Wang, F.; Maclennan, G.; Lee, Z. PET imaging of hepatocellular carcinoma with 2-deoxy-2 [^ sup 18^ F] fluoro-D-glucose, 6-deoxy-6 [^ sup 18^ F] fluoro-D-glucose, [^ sup 1-11^ C]-acetate and [N-methyl-^ sup 11^ C]-choline. Q. J. Nucl. Med. Mol. Imaging 2009, 53, 144. [Google Scholar]
- Bieze, M.; Klümpen, H.J.; Verheij, J.; Beuers, U.; Phoa, S.S.; van Gulik, T.M.; Bennink, R.J. Diagnostic accuracy of 18F-methylcholine positron emission tomography/computed tomography for intra-and extrahepatic hepatocellular carcinoma. Hepatology 2014, 59, 996–1006. [Google Scholar] [CrossRef]
- Hwang, K.H.; Choi, D.-J.; Lee, S.-Y.; Lee, M.K.; Choe, W. Evaluation of patients with hepatocellular carcinomas using [11C]acetate and [18F]FDG PET/CT: A preliminary study. Appl. Radiat. Isot. 2009, 67, 1195–1198. [Google Scholar] [CrossRef] [PubMed]
- Lhommel, R.; Annet, L.; Bol, A.; Gigot, J.-F.; Sempoux, C.; Mathieu, I.; Seret, M.; Lonneux, M. PET scan with 11 C-acetate for the imaging of liver masses: Report of a false positive case. Eur. J. Nucl. Med. Mol. Imaging 2005, 32, 629. [Google Scholar] [CrossRef] [PubMed]
- Cheung, T.T.; Ho, C.L.; Lo, C.M.; Chen, S.; Chan, S.C.; Chok, K.S.; Fung, J.Y.; Chan, A.C.Y.; Sharr, W.; Yau, T. 11C-acetate and 18F-FDG PET/CT for clinical staging and selection of patients with hepatocellular carcinoma for liver transplantation on the basis of Milan criteria: Surgeon’s perspective. J. Nucl. Med. 2013, 54, 192–200. [Google Scholar] [CrossRef] [PubMed]
- Li, S.; Peck-Radosavljevic, M.; Ubl, P.; Wadsak, W.; Mitterhauser, M.; Rainer, E.; Pinter, M.; Wang, H.; Nanoff, C.; Kaczirek, K.; et al. The value of [11C]-acetate PET and [18F]-FDG PET in hepatocellular carcinoma before and after treatment with transarterial chemoembolization and bevacizumab. Eur. J. Nucl. Med. Mol. Imaging 2017, 44, 1732–1741. [Google Scholar] [CrossRef] [PubMed]
- Chalaye, J.; Costentin, C.E.; Luciani, A.; Amaddeo, G.; Ganne-Carrié, N.; Baranes, L.; Allaire, M.; Calderaro, J.; Azoulay, D.; Nahon, P.; et al. Positron emission tomography/computed tomography with 18F-fluorocholine improve tumor staging and treatment allocation in patients with hepatocellular carcinoma. J. Hepatol. 2018, 69, 336–344. [Google Scholar] [CrossRef]
- Kuyumcu, S.; Has-Simsek, D.; Iliaz, R.; Sanli, Y.; Buyukkaya, F.; Akyuz, F.; Turkmen, C. Evidence of prostate-specific membrane antigen expression in hepatocellular carcinoma using 68Ga-PSMA PET/CT. Clin. Nucl. Med. 2019, 44, 702–706. [Google Scholar] [CrossRef]
- Wang, H.; Zhu, W.; Ren, S.; Kong, Y.; Huang, Q.; Zhao, J.; Guan, Y.; Jia, H.; Chen, J.; Lu, L. 68Ga-FAPI-04 versus 18F-FDG PET/CT in the detection of hepatocellular carcinoma. Front. Oncol. 2021, 11, 693640. [Google Scholar] [CrossRef]
- Shi, X.; Xing, H.; Yang, X.; Li, F.; Yao, S.; Zhang, H.; Zhao, H.; Hacker, M.; Huo, L.; Li, X. Fibroblast imaging of hepatic carcinoma with 68Ga-FAPI-04 PET/CT: A pilot study in patients with suspected hepatic nodules. Eur. J. Nucl. Med. Mol. Imaging 2021, 48, 196–203. [Google Scholar] [CrossRef]
- Shi, X.; Xing, H.; Yang, X.; Li, F.; Yao, S.; Congwei, J.; Zhao, H.; Hacker, M.; Huo, L.; Li, X. Comparison of PET imaging of activated fibroblasts and 18F-FDG for diagnosis of primary hepatic tumours: A prospective pilot study. Eur. J. Nucl. Med. Mol. Imaging 2021, 48, 1593–1603. [Google Scholar] [CrossRef]
- Guo, W.; Pang, Y.; Yao, L.; Zhao, L.; Fan, C.; Ke, J.; Guo, P.; Hao, B.; Fu, H.; Xie, C. Imaging fibroblast activation protein in liver cancer: A single-center post hoc retrospective analysis to compare [68Ga] Ga-FAPI-04 PET/CT versus MRI and [18F]-FDG PET/CT. Eur. J. Nucl. Med. Mol. Imaging 2021, 48, 1604–1617. [Google Scholar] [CrossRef]
- Sharma, P.; Singh, S.S.; Gayana, S. Fibroblast Activation Protein Inhibitor PET/CT: A Promising Molecular Imaging Tool. Clin. Nucl. Med. 2021, 46, e141–e150. [Google Scholar] [CrossRef] [PubMed]
- Siripongsatian, D.; Promteangtrong, C.; Kunawudhi, A.; Kiatkittikul, P.; Boonkawin, N.; Chinnanthachai, C.; Jantarato, A.; Chotipanich, C. Comparisons of Quantitative Parameters of Ga-68-Labelled Fibroblast Activating Protein Inhibitor (FAPI) PET/CT and [18F] F-FDG PET/CT in Patients with Liver Malignancies. Mol. Imaging Biol. 2022, 24, 818–829. [Google Scholar] [CrossRef] [PubMed]
- Zhang, J.; He, Q.; Jiang, S.; Li, M.; Xue, H.; Zhang, D.; Li, S.; Peng, H.; Liang, J.; Liu, Z.; et al. [18F]FAPI PET/CT in the evaluation of focal liver lesions with [18F]FDG non-avidity. Eur. J. Nucl. Med. Mol. Imaging 2023, 50, 937–950. [Google Scholar] [CrossRef] [PubMed]
- Geist, B.K.; Xing, H.; Wang, J.; Shi, X.; Zhao, H.; Hacker, M.; Sang, X.; Huo, L.; Li, X. A methodological investigation of healthy tissue, hepatocellular carcinoma, and other lesions with dynamic 68 Ga-FAPI-04 PET/CT imaging. EJNMMI Phys. 2021, 8, 8. [Google Scholar] [CrossRef]
- Kosmala, A.; Serfling, S.E.; Schlötelburg, W.; Lindner, T.; Michalski, K.; Schirbel, A.; Higuchi, T.; Hartrampf, P.E.; Buck, A.K.; Weich, A. Impact of 68Ga-FAPI-04 PET/CT on Staging and Therapeutic Management in Patients With Digestive System Tumors. Clin. Nucl. Med. 2023, 48, 35–42. [Google Scholar] [CrossRef]
- Shah, R.P.; Laeseke, P.F.; Shin, L.K.; Chin, F.T.; Kothary, N.; Segall, G.M. Limitations of Fluorine 18 Fluoromisonidazole in Assessing Treatment-induced Tissue Hypoxia after Transcatheter Arterial Embolization of Hepatocellular Carcinoma: A Prospective Pilot Study. Radiol. Imaging Cancer 2022, 4, e210094. [Google Scholar] [CrossRef]
- Clavo, A.C.; Brown, R.S.; Wahl, R.L. Fluorodeoxyglucose Uptake in Human Cancer Cell Lines Is Increased by Hypoxia. J. Nudear Med. 1995, 36, 1625–1632. [Google Scholar]
- Salem, R.; Lewandowski, R.J.; Mulcahy, M.F.; Riaz, A.; Ryu, R.K.; Ibrahim, S.; Atassi, B.; Baker, T.; Gates, V.; Miller, F.H.; et al. Radioembolization for Hepatocellular Carcinoma Using Yttrium-90 Microspheres: A Comprehensive Report of Long-term Outcomes. Gastroenterology 2010, 138, 52–64. [Google Scholar] [CrossRef]
- Padia, S.A.; Kwan, S.W.; Roudsari, B.; Monsky, W.L.; Coveler, A.; Harris, W.P. Superselective Yttrium-90 Radioembolization for Hepatocellular Carcinoma Yields High Response Rates with Minimal Toxicity. J. Vasc. Interv. Radiol. 2014, 25, 1067–1073. [Google Scholar] [CrossRef]
- Gates, V.L.; Esmail, A.A.H.; Marshall, K.; Spies, S.; Salem, R. Internal Pair Production of <sup>90</sup>Y Permits Hepatic Localization of Microspheres Using Routine PET: Proof of Concept. J. Nucl. Med. 2011, 52, 72. [Google Scholar] [CrossRef]
- Lhommel, R.; van Elmbt, L.; Goffette, P.; Van den Eynde, M.; Jamar, F.; Pauwels, S.; Walrand, S. Feasibility of 90Y TOF PET-based dosimetry in liver metastasis therapy using SIR-Spheres. Eur. J. Nucl. Med. Mol. Imaging 2010, 37, 1654–1662. [Google Scholar] [CrossRef] [PubMed]
- Duan, H.; Khalaf, M.H.; Ferri, V.; Baratto, L.; Srinivas, S.M.; Sze, D.Y.; Iagaru, A. High quality imaging and dosimetry for yttrium-90 (90Y) liver radioembolization using a SiPM-based PET/CT scanner. Eur. J. Nucl. Med. Mol. Imaging 2021, 48, 2426–2436. [Google Scholar] [CrossRef] [PubMed]
- Alsultan, A.A.; Smits, M.L.J.; Barentsz, M.W.; Braat, A.J.A.T.; Lam, M.G.E.H. The value of yttrium-90 PET/CT after hepatic radioembolization: A pictorial essay. Clin. Transl. Imaging 2019, 7, 303–312. [Google Scholar] [CrossRef]
- Filippi, L.; Braat, A.J. Theranostics in primary and secondary liver tumors: The need for a personalized approach. Q. J. Nucl. Med. Mol. Imaging 2021, 65, 353–370. [Google Scholar] [PubMed]
- Filippi, L.; Di Costanzo, G.G.; D’Agostini, A.; Tortora, R.; Pelle, G.; Cianni, R.; Schillaci, O.; Bagni, O. Decrease in total lesion glycolysis and survival after yttrium-90-radioembolization in poorly differentiated hepatocellular carcinoma with portal vein tumour thrombosis. Nucl. Med. Commun. 2018, 39, 845–852. [Google Scholar] [CrossRef]
- Reizine, E.; Chalaye, J.; Mule, S.; Regnault, H.; Perrin, C.; Calderaro, J.; Laurent, A.; Amaddeo, G.; Kobeiter, H.; Tacher, V. Utility of Early Posttreatment PET/CT Evaluation Using FDG or 18F-FCH to Predict Response to 90Y Radioembolization in Patients With Hepatocellular Carcinoma. Am. J. Roentgenol. 2022, 218, 359–369. [Google Scholar] [CrossRef] [PubMed]
- Filippi, L.; Bagni, O.; Notarianni, E.; Saltarelli, A.; Ambrogi, C.; Schillaci, O. PET/CT with 18F-choline or 18F-FDG in Hepatocellular Carcinoma Submitted to 90Y-TARE: A Real-World Study. Biomedicines 2022, 10, 2996. [Google Scholar] [CrossRef] [PubMed]




| References | Year of Publication | Type of Study | Metabolic Probes | Patients (N) | Sensitivity (%) | Specificity (%) | Comment |
|---|---|---|---|---|---|---|---|
| Ho et al. [5] | 2003 | Single centre, prospective | FDG, 11C-acetate | 57 | FDG: 47.3 11C-acetate: 87.3 | Not available | Evaluation of the characteristics of 11C-acetate and FDG metabolism in HCC and other liver masses |
| Park et al. [33] | 2008 | Single centre, prospective | FDG, 11C-acetate | 112 | FDG: 60.9 11C-acetate: 75.4 | Not available | Biopsy-based analysis demonstrated lower sensitivity of FDG PET for primary HCC compared with 11C-acetate |
| Cheung et al. [63] | 2013 | Single centre, retrospective | FDG, 11C-acetate | 43 | FDG: 32.8 11C-acetate: 93.1 | FDG: 100 11C-acetate:100 | Sensitivity and specificity of dual-tracer PET for liver transplantation selection were significantly higher than those of contrast CT |
| Li S et al. [64] | 2017 | Single centre prospective | FDG, 11C-acetate | 22 | FDG: 45 11C-acetate: 68 | * Not available | Assessment of the response in HCC treated with TACE plus bevacizumab |
| Yamamoto et al. [48] | 2008 | Single centre, retrospective | FDG, 11C-choline | 12 | FDG: 63 11C-choline: 50 | * Not available | 11C-choline is a potential tracer to complement FDG in detection of HCC lesions |
| Wu et al. [56] | 2011 | Single centre prospective | FDG, 11C-choline | 76 | FDG: 63.1 11C-choline: 71.4 | ǂ FDG: 94.8 11C-choline: Not available | The dual-tracer modality improved the diagnostic sensitivity of FDG PET |
| Talbot et al. [27] | 2010 | Single centre, prospective | FDG, FCH | 81 | FDG: 88 FCH: 68 | FDG: 94 FCH: 47 | FCH proved useful to detect HCC, but dual tracer PET resulted in the best option |
| Castilla-Lièvre et al. [55] | 2016 | Single centre, prospective | FDG, 11C-choline | 33 | FDG: 11C-choline: | FDG: 11C-choline | The combined use of 11C-choline and FDG detected HCC with high sensitivity |
| Chalaye J et al [65]. | 2018 | Multicentre, retrospective | FDG, FCH | 177 | Not available | Not available | Dual-tracer PET-CT is able to disclose lesions not detected by conventional imaging |
| Kesler [43] | 2019 | Prospective pilot study | PSMA, FDG | 7 | Not available | Not available | 68Ga PSMA was superior to 18F -FDG for imaging patients with HCC and also detected unexpected extrahepatic metastases |
| Kuyumcu S et al. [66] | 2019 | Single centre, prospective Patients for restaging | PSMA, FDG | 19 | Not available | Not available | No significant difference between PSMA and FDG in advance HCC. Regenerative nodules did not accumulate PSMA. PSMA imaging detected metastases not seen on CT, including in bone marrow, adrenal, and peritoneum. |
| Gündoğan C et al. [46] | 2021 | Single centre, prospective Patients for restaging | PSMA, FDG | 14 | Not available | Not available | 68Ga PSMA is superior to 18F -FDG PET/CT in diagnosis and staging of HCC and is superior to MRI in demonstrating extrahepatic involvement |
| Wang et al. [67] | 2021 | Prospective—post-TACE and post-surgery | FAPI, FDG | 29 | FDG: 57.1 FAPI: 85.7 | Not available | FAPI sensitivity is superior to FDG. FAPI is sensitive in staging patients, including those with cirrhosis, low AFP, multiple tumours, and microvessel invasion. It also detected more of the small lesions, including in extrahepatic disease involvement. |
| Shi X et al., pilot [68] | 2021 | Prospective pilot study—detection in hepatic cancers not specific for HCC | FAPI, FDG | 20 (14 with HCC) | FDG: 58.8 FAPI: 100 | FDG: 100 FAPI: 100 | FAPI was more sensitive in detecting primary hepatic cancer, with 100% sensitivity and specificity. It resulted in higher TBR than FDG |
| Shi et al. [69] | 2021 | Retrospective, single-centre | FAPI, FDG | 25 (17 with HCC) | Not available | Not available | FAPI was 100% sensitive, while FDG was only 58%. FAPI with dedicated MRI was superior in detecting hepatic malignancy than FDG and MRI alone |
| Guo et al. [70] | 2021 | Retrospective, single-centre | FAPI, FDG | 34 (20 with HCC) | FDG: 65 FAPI: 96 | Not available | Detection sensitivity with FAPI was 100% in upstaged patients, leading to a change in management in up to 30% |
Disclaimer/Publisher’s Note: The statements, opinions and data contained in all publications are solely those of the individual author(s) and contributor(s) and not of MDPI and/or the editor(s). MDPI and/or the editor(s) disclaim responsibility for any injury to people or property resulting from any ideas, methods, instructions or products referred to in the content. |
© 2023 by the authors. Licensee MDPI, Basel, Switzerland. This article is an open access article distributed under the terms and conditions of the Creative Commons Attribution (CC BY) license (https://creativecommons.org/licenses/by/4.0/).
Share and Cite
Nyakale, N.; Filippi, L.; Aldous, C.; Sathekge, M. Update on PET Radiopharmaceuticals for Imaging Hepatocellular Carcinoma. Cancers 2023, 15, 1975. https://doi.org/10.3390/cancers15071975
Nyakale N, Filippi L, Aldous C, Sathekge M. Update on PET Radiopharmaceuticals for Imaging Hepatocellular Carcinoma. Cancers. 2023; 15(7):1975. https://doi.org/10.3390/cancers15071975
Chicago/Turabian StyleNyakale, Nozipho, Luca Filippi, Colleen Aldous, and Mike Sathekge. 2023. "Update on PET Radiopharmaceuticals for Imaging Hepatocellular Carcinoma" Cancers 15, no. 7: 1975. https://doi.org/10.3390/cancers15071975
APA StyleNyakale, N., Filippi, L., Aldous, C., & Sathekge, M. (2023). Update on PET Radiopharmaceuticals for Imaging Hepatocellular Carcinoma. Cancers, 15(7), 1975. https://doi.org/10.3390/cancers15071975

