Adaptive Aquila Optimizer with Explainable Artificial Intelligence-Enabled Cancer Diagnosis on Medical Imaging
Abstract
Simple Summary
Abstract
1. Introduction
1.1. Related Works
1.2. Paper Contributions
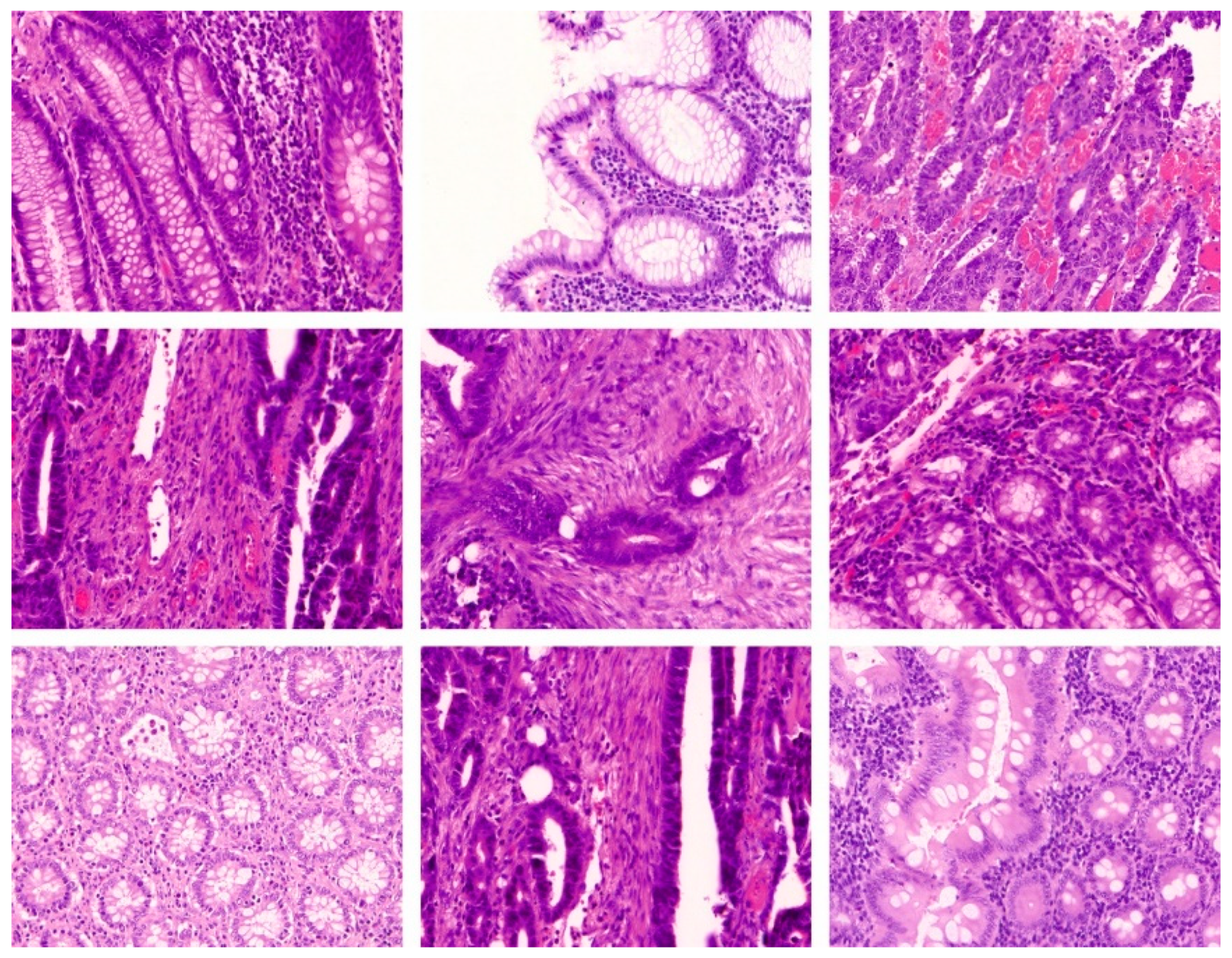
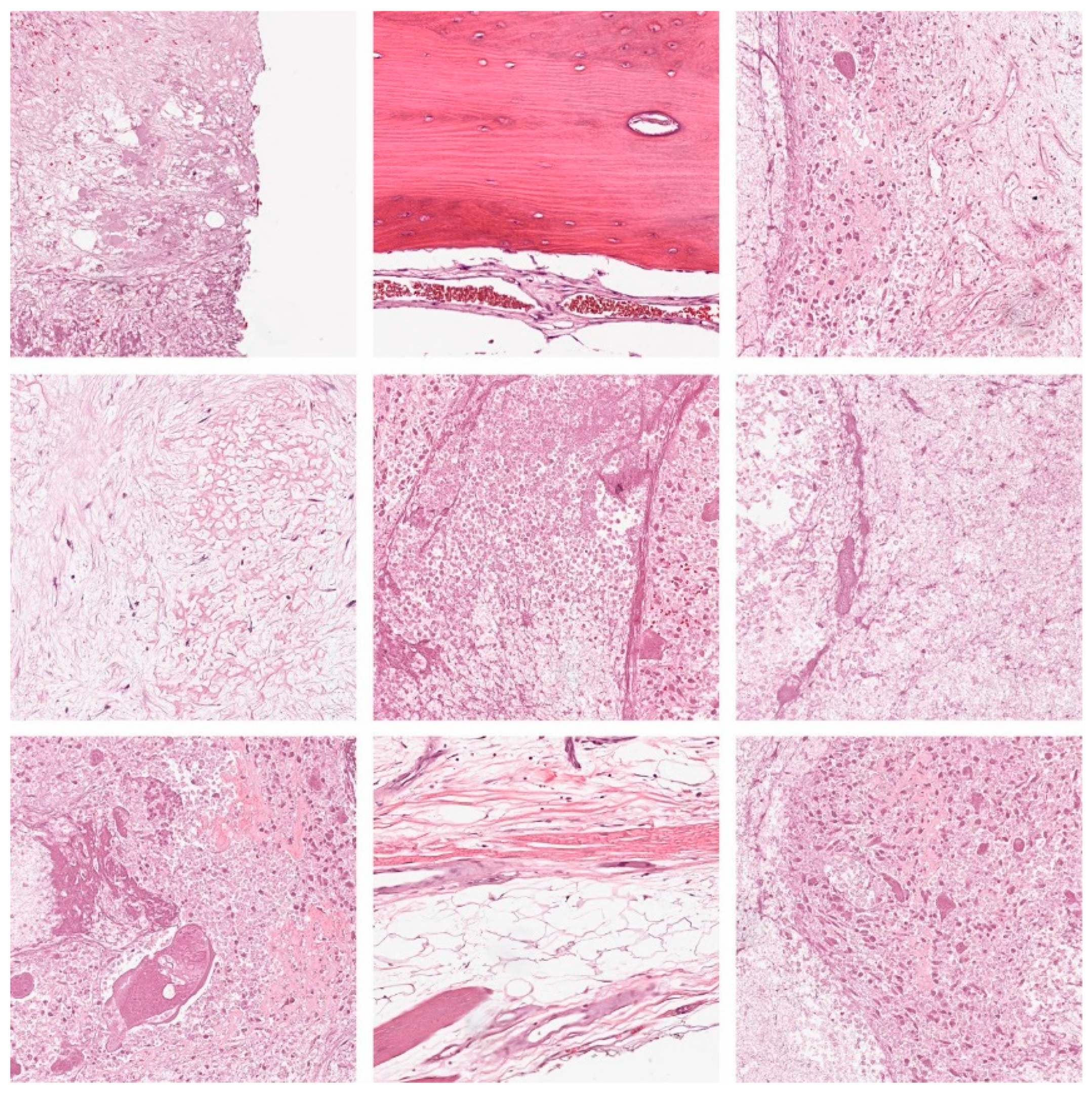
2. Materials and Methods
| Algorithm 1: Process Involved in AAOXAI-CD Technique |
| Step 1: Input Dataset (Training Images) |
| Step 2: Image Pre-Processing |
| Step 3: Feature Extraction Using Faster SqueezeNet Model |
| Step 4: Parameter Tuning Process |
| Step 4.1: Initialize the Population and Its Parameters |
| Step 4.2: Calculate the Fitness Values |
| Step 4.3: Exploration Process and Exploitation Process |
| Step 4.4: Update the Fitness Values |
| Step 4.5: Obtain Best Solution |
| Step 5: Ensemble of Classifier (RNN, GRU, and Bi-LSTM) |
| Step 6: Classification Output |
2.1. Feature Extraction Using Faster SqueezeNet
2.2. Ensemble Learning-Based Classification
2.2.1. RNN Model
2.2.2. GRU Model
2.2.3. BiLSTM Model
2.3. Modeling of XAI Using LIMA Approach
3. Results and Discussion
4. Conclusions
Author Contributions
Funding
Institutional Review Board Statement
Informed Consent Statement
Data Availability Statement
Acknowledgments
Conflicts of Interest
References
- Cordova, C.; Muñoz, R.; Olivares, R.; Minonzio, J.G.; Lozano, C.; Gonzalez, P.; Marchant, I.; González-Arriagada, W.; Olivero, P. HER2 classification in breast cancer cells: A new explainable machine learning application for immunohistochemistry. Oncol. Lett. 2023, 25, 44. [Google Scholar] [CrossRef] [PubMed]
- Hauser, K.; Kurz, A.; Haggenmüller, S.; Maron, R.C.; von Kalle, C.; Utikal, J.S.; Meier, F.; Hobelsberger, S.; Gellrich, F.F.; Sergon, M.; et al. Explainable artificial intelligence in skin cancer recognition: A systematic review. Eur. J. Cancer 2022, 167, 54–69. [Google Scholar] [CrossRef] [PubMed]
- Farmani, A.; Soroosh, M.; Mozaffari, M.H.; Daghooghi, T. Optical nanosensors for cancer and virus detections. In Nanosensors for Smart Cities; Elsevier: Amsterdam, The Netherlands, 2020; pp. 419–432. [Google Scholar]
- Salehnezhad, Z.; Soroosh, M.; Farmani, A. Design and numerical simulation of a sensitive plasmonic-based nanosensor utilizing MoS2 monolayer and graphene. Diam. Relat. Mater. 2023, 131, 109594. [Google Scholar] [CrossRef]
- Amoroso, N.; Pomarico, D.; Fanizzi, A.; Didonna, V.; Giotta, F.; La Forgia, D.; Latorre, A.; Monaco, A.; Pantaleo, E.; Petruzzellis, N.; et al. A roadmap towards breast cancer therapies supported by explainable artificial intelligence. Appl. Sci. 2021, 11, 4881. [Google Scholar] [CrossRef]
- Eminaga, O.; Loening, A.; Lu, A.; Brooks, J.D.; Rubin, D. Detection of prostate cancer and determination of its significance using explainable artificial intelligence. J. Clin. Oncol. 2020, 38, 5555. [Google Scholar] [CrossRef]
- Sakai, A.; Komatsu, M.; Komatsu, R.; Matsuoka, R.; Yasutomi, S.; Dozen, A.; Shozu, K.; Arakaki, T.; Machino, H.; Asada, K.; et al. Medical professional enhancement using explainable artificial intelligence in fetal cardiac ultrasound screening. Biomedicines 2022, 10, 551. [Google Scholar] [CrossRef]
- Ragab, M.; Albukhari, A.; Alyami, J.; Mansour, R.F. Ensemble deep-learning-enabled clinical decision support system for breast cancer diagnosis and classification on ultrasound images. Biology 2022, 11, 439. [Google Scholar] [CrossRef]
- Escorcia-Gutierrez, J.; Mansour, R.F.; Beleño, K.; Jiménez-Cabas, J.; Pérez, M.; Madera, N.; Velasquez, K. Automated deep learning empowered breast cancer diagnosis using biomedical mammogram images. Comput. Mater. Contin. 2022, 71, 3–4221. [Google Scholar] [CrossRef]
- Mansour, R.F.; Alfar, N.M.; Abdel-Khalek, S.; Abdelhaq, M.; Saeed, R.A.; Alsaqour, R. Optimal deep learning based fusion model for biomedical image classification. Expert Syst. 2022, 39, e12764. [Google Scholar] [CrossRef]
- Davagdorj, K.; Bae, J.W.; Pham, V.H.; Theera-Umpon, N.; Ryu, K.H. Explainable artificial intelligence based framework for non-communicable diseases prediction. IEEE Access 2021, 9, 123672–123688. [Google Scholar] [CrossRef]
- Severn, C.; Suresh, K.; Görg, C.; Choi, Y.S.; Jain, R.; Ghosh, D. A Pipeline for the Implementation and Visualization of Explainable Machine Learning for Medical Imaging Using Radiomics Features. Sensors 2022, 22, 5205. [Google Scholar] [CrossRef] [PubMed]
- Pintelas, E.; Liaskos, M.; Livieris, I.E.; Kotsiantis, S.; Pintelas, P. Explainable machine learning framework for image classification problems: Case study on glioma cancer prediction. J. Imaging 2020, 6, 37. [Google Scholar] [CrossRef] [PubMed]
- Van der Velden, B.H.; Kuijf, H.J.; Gilhuijs, K.G.; Viergever, M.A. Explainable artificial intelligence (XAI) in deep learning-based medical image analysis. Med. Image Anal. 2022, 79, 102470. [Google Scholar] [CrossRef] [PubMed]
- Esmaeili, M.; Vettukattil, R.; Banitalebi, H.; Krogh, N.R.; Geitung, J.T. Explainable artificial intelligence for human-machine interaction in brain tumor localization. J. Pers. Med. 2021, 11, 1213. [Google Scholar] [CrossRef]
- Hassan, M.R.; Islam, M.F.; Uddin, M.Z.; Ghoshal, G.; Hassan, M.M.; Huda, S.; Fortino, G. Prostate cancer classification from ultrasound and MRI images using deep learning based Explainable Artificial Intelligence. Future Gener. Comput. Syst. 2022, 127, 462–472. [Google Scholar] [CrossRef]
- Kobylińska, K.; Orłowski, T.; Adamek, M.; Biecek, P. Explainable machine learning for lung cancer screening models. Applied Sciences 2022, 12, 1926. [Google Scholar] [CrossRef]
- Peng, J.; Zou, K.; Zhou, M.; Teng, Y.; Zhu, X.; Zhang, F.; Xu, J. An explainable artificial intelligence framework for the deterioration risk prediction of hepatitis patients. J. Med. Syst. 2021, 45, 61. [Google Scholar] [CrossRef]
- Watson, M.; Al Moubayed, N. Attack-agnostic adversarial detection on medical data using explainable machine learning. In Proceedings of the 2020 25th International Conference on Pattern Recognition (ICPR), Milan, Italy, 10–15 January 2021; pp. 8180–8187. [Google Scholar]
- Idrees, M.; Sohail, A. Explainable machine learning of the breast cancer staging for designing smart biomarker sensors. Sens. Int. 2022, 3, 100202. [Google Scholar] [CrossRef]
- Xu, Y.; Yang, G.; Luo, J.; He, J. An Electronic component recognition algorithm based on deep learning with a faster SqueezeNet. Math. Probl. Eng. 2020, 2020, 2940286. [Google Scholar] [CrossRef]
- Zhang, Y.; Xu, X.; Zhang, N.; Zhang, K.; Dong, W.; Li, X. Adaptive Aquila Optimizer Combining Niche Thought with Dispersed Chaotic Swarm. Sensors 2023, 23, 755. [Google Scholar] [CrossRef]
- Bowes, B.D.; Sadler, J.M.; Morsy, M.M.; Behl, M.; Goodall, J.L. Forecasting groundwater table in a flood prone coastal city with long short-term memory and recurrent neural networks. Water 2019, 11, 1098. [Google Scholar] [CrossRef]
- Kim, A.R.; Kim, H.S.; Kang, C.H.; Kim, S.Y. The Design of the 1D CNN–GRU Network Based on the RCS for Classification of Multiclass Missiles. Remote Sens. 2023, 15, 577. [Google Scholar] [CrossRef]
- Wang, Q.; Cao, D.; Zhang, S.; Zhou, Y.; Yao, L. The Cable Fault Diagnosis for XLPE Cable Based on 1DCNNs-BiLSTM Network. J. Control. Sci. Eng. 2023, 2023, 1068078. [Google Scholar] [CrossRef]
- Zafar, M.R.; Khan, N.M. DLIME: A deterministic local interpretable model-agnostic explanations approach for computer-aided diagnosis systems. arXiv 2019, arXiv:1906.10263. [Google Scholar]
- Sirinukunwattana, K.; Snead, D.R.J.; Rajpoot, N.M. A Stochastic Polygons Model for Glandular Structures in Colon Histology Images. IEEE Trans. Med. Imaging 2015, 34, 2366–2378. [Google Scholar] [CrossRef]
- Leavey, P.; Sengupta, A.; Rakheja, D.; Daescu, O.; Arunachalam, H.B.; Mishra, R. Osteosarcoma data from UT Southwestern/UT Dallas for Viable and Necrotic Tumor Assessment [Data set]. Cancer Imaging Arch. 2019, 14. [Google Scholar] [CrossRef]
- Ragab, M.; Albukhari, A. Automated Artificial Intelligence Empowered Colorectal Cancer Detection and classification Model. Comput. Mater. Contin. 2022, 72, 5577–5591. [Google Scholar] [CrossRef]
- Sarwinda, D.; Paradisa, R.H.; Bustamam, A.; Anggia, P. Deep Learning in Image Classification using Residual Network (ResNet) Variants for Detection of Colorectal Cancer. Procedia Comput. Sci. 2021, 179, 423–431. [Google Scholar] [CrossRef]
- Sirinukunwattana, K.; Raza, S.E.A.; Tsang, Y.W.; Snead, D.R.; Cree, I.A.; Rajpoot, N.M. Locality sensitive deep learning for detection and classification of nuclei in routine colon cancer histology images. IEEE Trans. Med. Imaging 2016, 35, 1196–1206. [Google Scholar] [CrossRef]
- Vaiyapuri, T.; Jothi, A.; Narayanasamy, K.; Kamatchi, K.; Kadry, S.; Kim, J. Design of a Honey Badger Optimization Algorithm with a Deep Transfer Learning-Based Osteosarcoma Classification Model. Cancers 2022, 14, 6066. [Google Scholar] [CrossRef]
- Fakieh, B.; Al-Ghamdi, A.S.A.-M.; Ragab, M. Optimal Deep Stacked Sparse Autoencoder Based Osteosarcoma Detection and Classification Model. Healthcare 2022, 10, 1040. [Google Scholar] [CrossRef] [PubMed]













| Classes | MCC | |||||
|---|---|---|---|---|---|---|
| Training Phase (80%) | ||||||
| Benign | 100.00 | 96.67 | 100.00 | 97.30 | 98.31 | 96.98 |
| Malignant | 97.30 | 100.00 | 97.30 | 100.00 | 98.63 | 96.98 |
| Average | 98.65 | 98.33 | 98.65 | 98.65 | 98.47 | 96.98 |
| Testing Phase (20%) | ||||||
| Benign | 100.00 | 94.12 | 100.00 | 94.12 | 96.97 | 94.12 |
| Malignant | 94.12 | 100.00 | 94.12 | 100.00 | 96.97 | 94.12 |
| Average | 97.06 | 97.06 | 97.06 | 97.06 | 96.97 | 94.12 |
| Classes | Accuracy | Precision | Recall | Specificity | F-Score | MCC |
| Training Phase (70%) | ||||||
| Benign | 98.00 | 100.00 | 98.00 | 100.00 | 98.99 | 98.24 |
| Malignant | 100.00 | 98.48 | 100.00 | 98.00 | 99.24 | 98.24 |
| Average | 99.00 | 99.24 | 99.00 | 99.00 | 99.11 | 98.24 |
| Testing Phase (30%) | ||||||
| Benign | 95.83 | 100.00 | 95.83 | 100.00 | 97.87 | 96.06 |
| Malignant | 100.00 | 96.30 | 100.00 | 95.83 | 98.11 | 96.06 |
| Average | 97.92 | 98.15 | 97.92 | 97.92 | 97.99 | 96.06 |
| Methods | Precision | Recall | Accuracy |
|---|---|---|---|
| ResNet-18 (60–40) | 82.00 | 63.00 | 72.00 |
| ResNet-18 (80–20) | 86.00 | 82.00 | 84.00 |
| ResNet-50 (60–40) | 91.00 | 59.00 | 76.00 |
| ResNet-50 (80–20) | 82.00 | 92.00 | 87.00 |
| SC-CNN Model | 80.00 | 82.00 | 81.00 |
| CP-CNN Model | 71.00 | 68.00 | 69.00 |
| AAI-CCDC Model | 96.00 | 98.00 | 97.00 |
| AAOXAI-CD | 99.24 | 99.00 | 99.00 |
| Classes | MCC | |||||
|---|---|---|---|---|---|---|
| Training Phase (80%) | ||||||
| VT | 98.69 | 98.94 | 96.88 | 99.52 | 97.89 | 96.95 |
| NVT | 98.47 | 98.55 | 94.88 | 99.57 | 96.68 | 95.72 |
| NT | 97.16 | 95.31 | 98.54 | 96.02 | 96.90 | 94.32 |
| Average | 98.11 | 97.60 | 96.77 | 98.37 | 97.16 | 95.66 |
| Testing Phase (20%) | ||||||
| VT | 99.56 | 98.28 | 100.00 | 99.42 | 99.13 | 98.85 |
| NVT | 99.13 | 100.00 | 95.83 | 100.00 | 97.87 | 97.36 |
| NT | 99.56 | 99.20 | 100.00 | 99.05 | 99.60 | 99.12 |
| Average | 99.42 | 99.16 | 98.61 | 99.49 | 98.87 | 98.44 |
| Classes | MCC | |||||
| Training Phase (70%) | ||||||
| VT | 98.12 | 94.24 | 99.57 | 97.54 | 96.83 | 95.57 |
| NVT | 98.00 | 98.85 | 92.47 | 99.67 | 95.56 | 94.35 |
| NT | 99.88 | 100.00 | 99.74 | 100.00 | 99.87 | 99.75 |
| Average | 98.67 | 97.70 | 97.26 | 99.07 | 97.42 | 96.56 |
| Testing Phase (30%) | ||||||
| VT | 99.71 | 99.14 | 100.00 | 99.56 | 99.57 | 99.35 |
| NVT | 99.13 | 98.68 | 97.40 | 99.63 | 98.04 | 97.48 |
| NT | 99.42 | 99.34 | 99.34 | 99.48 | 99.34 | 98.82 |
| Average | 99.42 | 99.05 | 98.91 | 99.56 | 98.98 | 98.55 |
| Methods | Precision | Recall | Accuracy |
|---|---|---|---|
| AAOXAI-CD | 99.05 | 98.91 | 99.42 |
| HBODL-AOC | 98.94 | 98.12 | 98.43 |
| WDODTL-ODC | 98.76 | 97.65 | 98.17 |
| CNN-EfficientNet | 97.00 | 97.00 | 97.00 |
| CNN-Xception | 94.00 | 96.00 | 96.00 |
| CNN-ResNet-50 | 98.00 | 94.00 | 97.00 |
| CNN-MobileNet-V2 | 98.00 | 98.00 | 98.00 |
Disclaimer/Publisher’s Note: The statements, opinions and data contained in all publications are solely those of the individual author(s) and contributor(s) and not of MDPI and/or the editor(s). MDPI and/or the editor(s) disclaim responsibility for any injury to people or property resulting from any ideas, methods, instructions or products referred to in the content. |
© 2023 by the authors. Licensee MDPI, Basel, Switzerland. This article is an open access article distributed under the terms and conditions of the Creative Commons Attribution (CC BY) license (https://creativecommons.org/licenses/by/4.0/).
Share and Cite
Alkhalaf, S.; Alturise, F.; Bahaddad, A.A.; Elnaim, B.M.E.; Shabana, S.; Abdel-Khalek, S.; Mansour, R.F. Adaptive Aquila Optimizer with Explainable Artificial Intelligence-Enabled Cancer Diagnosis on Medical Imaging. Cancers 2023, 15, 1492. https://doi.org/10.3390/cancers15051492
Alkhalaf S, Alturise F, Bahaddad AA, Elnaim BME, Shabana S, Abdel-Khalek S, Mansour RF. Adaptive Aquila Optimizer with Explainable Artificial Intelligence-Enabled Cancer Diagnosis on Medical Imaging. Cancers. 2023; 15(5):1492. https://doi.org/10.3390/cancers15051492
Chicago/Turabian StyleAlkhalaf, Salem, Fahad Alturise, Adel Aboud Bahaddad, Bushra M. Elamin Elnaim, Samah Shabana, Sayed Abdel-Khalek, and Romany F. Mansour. 2023. "Adaptive Aquila Optimizer with Explainable Artificial Intelligence-Enabled Cancer Diagnosis on Medical Imaging" Cancers 15, no. 5: 1492. https://doi.org/10.3390/cancers15051492
APA StyleAlkhalaf, S., Alturise, F., Bahaddad, A. A., Elnaim, B. M. E., Shabana, S., Abdel-Khalek, S., & Mansour, R. F. (2023). Adaptive Aquila Optimizer with Explainable Artificial Intelligence-Enabled Cancer Diagnosis on Medical Imaging. Cancers, 15(5), 1492. https://doi.org/10.3390/cancers15051492

