Increased Thyroidal Activity on Routine FDG-PET/CT after Combination Immune Checkpoint Inhibition: Temporal Associations with Clinical and Biochemical Thyroiditis
Abstract
:Simple Summary
Abstract
1. Introduction
2. Methods and Analysis
2.1. Test Methods
2.1.1. Reference Standard
2.1.2. Index Test
2.2. Analysis
3. Results
3.1. Participants
3.2. Established Thyroiditis
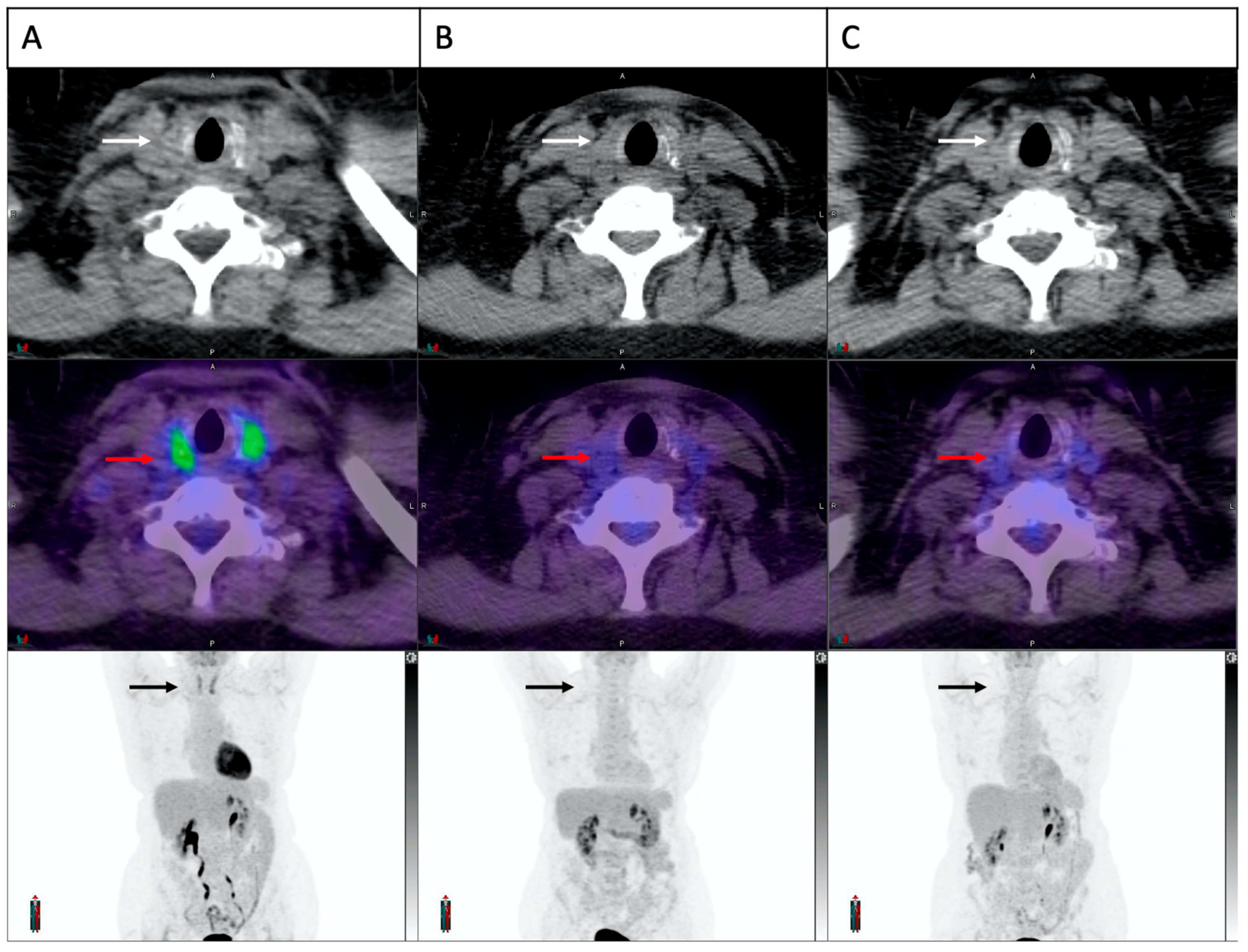
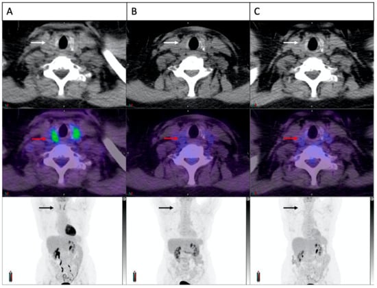
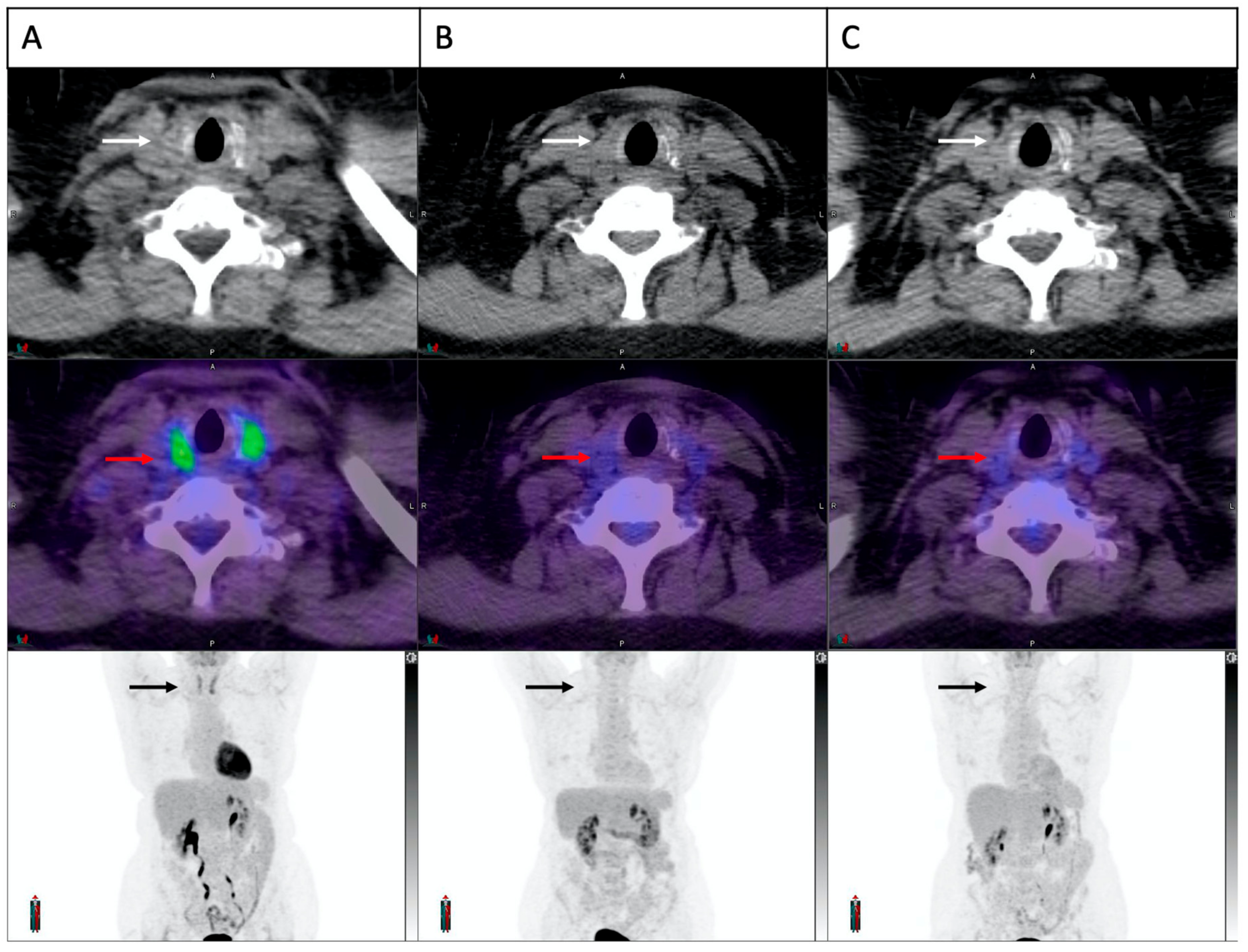
3.3. Index Test Results
3.3.1. Interobserver Agreement
3.3.2. Semiquantitative Analysis
3.4. Clinical Correlation
3.5. Concomitant Muscle Uptake
4. Discussion
4.1. Pathophysiology of Thyroiditis
4.2. FDG-PET/CT in ICI Related Thyroiditis
4.3. Increased Incidence of Thyroiditis in Patients Previously Exposed to BRAF/MEK Inhibition
5. Conclusions
Author Contributions
Funding
Institutional Review Board Statement
Informed Consent Statement
Data Availability Statement
Acknowledgments
Conflicts of Interest
References
- U.S. Food and Drug Administration. FDA Approves Nivolumab plus Ipilimumab and Chemotherapy for First-Line Treatment of Metastatic NSCLC. Drug Approvals and Databases 2020. Available online: https://www.fda.gov/drugs/drug-approvals-and-databases/fda-approves-nivolumab-plus-ipilimumab-and-chemotherapy-first-line-treatment-metastatic-nsclc (accessed on 4 July 2020).
- Wolchok, J.D.; Chiarion-Sileni, V.; Gonzalez, R.; Grob, J.-J.; Rutkowski, P.; Lao, C.D.; Cowey, C.L.; Schadendorf, D.; Wagstaff, J.; Dummer, R.; et al. CheckMate 067: 6.5-year outcomes in patients (pts) with advanced melanoma. J. Clin. Oncol. 2021, 39 (Suppl. 15), 9506. [Google Scholar] [CrossRef]
- Twomey, J.D.; Zhang, B. Cancer Immunotherapy Update: FDA-Approved Checkpoint Inhibitors and Companion Diagnostics. AAPS J. 2021, 23, 39. [Google Scholar] [CrossRef] [PubMed]
- Larkin, J.; Chiarion-Sileni, V.; Gonzalez, R.; Grob, J.-J.; Cowey, C.L.; Lao, C.D.; Schadendorf, D.; Dummer, R.; Smylie, M.; Rutkowski, P.; et al. Combined Nivolumab and Ipilimumab or Monotherapy in Untreated Melanoma. N. Engl. J. Med. 2015, 373, 23–34. [Google Scholar] [CrossRef] [PubMed]
- Wolchok, J.D.; Chiarion-Sileni, V.; Gonzalez, R.; Grob, J.-J.; Rutkowski, P.; Lao, C.D.; Cowey, C.L.; Schadendorf, D.; Wagstaff, J.; Dummer, R.; et al. Long-Term Outcomes with Nivolumab Plus Ipilimumab or Nivolumab Alone Versus Ipilimumab in Patients with Advanced Melanoma. J. Clin. Oncol. 2022, 40, 127–137. [Google Scholar] [CrossRef] [PubMed]
- Martins, F.; Sofiya, L.; Sykiotis, G.P.; Lamine, F.; Maillard, M.; Fraga, M.; Shabafrouz, K.; Ribi, C.; Cairoli, A.; Guex-Crosier, Y.; et al. Adverse effects of immune-checkpoint inhibitors: Epidemiology, management and surveillance. Nat. Rev. Clin. Oncol. 2019, 16, 563–580. [Google Scholar] [CrossRef] [PubMed]
- Muir, C.A.; Tsang, V.H.M.; Menzies, A.M.; Clifton-Bligh, R.J. Immune Related Adverse Events of the Thyroid—A Narrative Review. Front. Endocrinol. 2022, 13, 886930. [Google Scholar] [CrossRef] [PubMed]
- Ramos-Casals, M.; Brahmer, J.R.; Callahan, M.K.; Flores-Chávez, A.; Keegan, N.; Khamashta, M.A.; Lambotte, O.; Mariette, X.; Prat, A.; Suárez-Almazor, M.E. Immune-related adverse events of checkpoint inhibitors. Nat. Rev. Dis. Primers 2020, 6, 38. [Google Scholar] [CrossRef]
- Angell, T.E. Thyroiditis While Receiving Programmed Death Ligand 1 (PD-L1) Inhibitor Therapy for Nonthyroid Cancers Is Associated with Improved Overall Survival. Clin. Thyroid. 2020, 32, 65–68. [Google Scholar] [CrossRef]
- Muir, C.A.; Menzies, A.M.; Clifton-Bligh, R.J.; Long, G.V.; Scolyer, R.A.; Tsang, V. Phenotypic Differences in Thyroid Immune Related Adverse Events Following Treatment with Immune Checkpoint Inhibitors. J. Endocr. Soc. 2021, 5, A876–A877. [Google Scholar] [CrossRef]
- Yamauchi, I.; Sakane, Y.; Fukuda, Y.; Fujii, T.; Taura, D.; Hirata, M.; Hirota, K.; Ueda, Y.; Kanai, Y.; Yamashita, Y.; et al. Clinical Features of Nivolumab-Induced Thyroiditis: A Case Series Study. Thyroid 2017, 27, 894–901. [Google Scholar] [CrossRef]
- Iyer, P.C.; Cabanillas, M.E.; Waguespack, S.G.; Hu, M.I.; Thosani, S.; Lavis, V.R.; Busaidy, N.L.; Subudhi, S.K.; Diab, A.; Dadu, R. Immune-Related Thyroiditis with Immune Checkpoint Inhibitors. Thyroid 2018, 28, 1243–1251. [Google Scholar] [CrossRef] [PubMed]
- Lewin, J.; Sayers, L.; Kee, D.; Walpole, I.; Sanelli, A.; Marvelde, L.T.; Herschtal, A.; Spillane, J.; Gyorki, D.; Speakman, D.; et al. Surveillance imaging with FDG-PET/CT in the post-operative follow-up of stage 3 melanoma. Ann. Oncol. 2018, 29, 1569–1574. [Google Scholar] [CrossRef] [PubMed]
- Iravani, A.; Wallace, R.; Lo, S.N.; Galligan, A.; Weppler, A.M.; Hicks, R.J.; Sandhu, S. FDG PET/CT Prognostic Markers in Patients with Advanced Melanoma Treated with Ipilimumab and Nivolumab. Radiology 2023, 307, e221180. [Google Scholar] [CrossRef] [PubMed]
- Iravani, A.; Osman, M.M.; Weppler, A.M.; Wallace, R.; Galligan, A.; Lasocki, A.; Hunter, M.O.; Akhurst, T.; Hofman, M.S.; Lau, P.K.H.; et al. FDG PET/CT for tumoral and systemic immune response monitoring of advanced melanoma during first-line combination ipilimumab and nivolumab treatment. Eur. J. Nucl. Med. Mol. Imaging 2020, 47, 2776–2786. [Google Scholar] [CrossRef]
- Yamauchi, I.; Yasoda, A.; Matsumoto, S.; Sakamori, Y.; Kim, Y.H.; Nomura, M.; Otsuka, A.; Yamasaki, T.; Saito, R.; Kitamura, M.; et al. Incidence, features, and prognosis of immune-related adverse events involving the thyroid gland induced by nivolumab. PLoS ONE 2019, 14, e0216954. [Google Scholar] [CrossRef] [PubMed]
- Cherk, M.H.; Nadebaum, D.P.; Barber, T.W.; Beech, P.; Haydon, A.; Yap, K.S. 18F-FDG PET/CT features of immune-related adverse events and pitfalls following immunotherapy. J. Med. Imaging Radiat. Oncol. 2022, 66, 483–494. [Google Scholar] [CrossRef]
- Lasocki, A.; Iravani, A.; Galligan, A. The imaging of immunotherapy-related hypophysitis and other pituitary lesions in oncology patients. Clin. Radiol. 2021, 76, 325–332. [Google Scholar] [CrossRef]
- Eshghi, N.; Garland, L.L.; Nia, E.; Betancourt, R.; Krupinski, E.; Kuo, P.H. 18F-FDG PET/CT Can Predict Development of Thyroiditis Due to Immunotherapy for Lung Cancer. J. Nucl. Med. Technol. 2018, 46, 260–264. [Google Scholar] [CrossRef]
- Kaalep, A.; Sera, T.; Oyen, W.; Krause, B.J.; Chiti, A.; Liu, Y.; Boellaard, R. EANM/EARL FDG-PET/CT accreditation—Summary results from the first 200 accredited imaging systems. Eur. J. Nucl. Med. Mol. Imaging 2018, 45, 412–422. [Google Scholar] [CrossRef]
- Landis, J.R.; Koch, G.G. The Measurement of Observer Agreement for Categorical Data. Biometrics 1977, 33, 159–174. [Google Scholar] [CrossRef]
- Muir, C.A.; Clifton-Bligh, R.J.; Long, G.V.; Scolyer, R.A.; Lo, S.N.; Carlino, M.S.; Tsang, V.H.M.; Menzies, A.M. Thyroid Immune-related Adverse Events Following Immune Checkpoint Inhibitor Treatment. J. Clin. Endocrinol. Metab. 2021, 106, e3704–e3713. [Google Scholar] [CrossRef]
- Wachsmann, J.W.; Ganti, R.; Peng, F. Immune-mediated Disease in Ipilimumab Immunotherapy of Melanoma with FDG PET-CT. Acad. Radiol. 2017, 24, 111–115. [Google Scholar] [CrossRef]
- Fröhlich, E.; Wahl, R. Thyroid Autoimmunity: Role of Anti-thyroid Antibodies in Thyroid and Extra-Thyroidal Diseases. Front. Immunol. 2017, 8, 521. [Google Scholar] [CrossRef]
- Muir, C.A.; Wood, C.C.G.; Clifton-Bligh, R.J.; Long, G.V.; Scolyer, R.A.; Carlino, M.S.; Menzies, A.M.; Tsang, V.H.M. Association of Antithyroid Antibodies in Checkpoint Inhibitor-Associated Thyroid Immune-Related Adverse Events. J. Clin. Endocrinol. Metab. 2022, 107, e1843–e1849. [Google Scholar] [CrossRef]
- Brancatella, A.; Viola, N.; Brogioni, S.; Montanelli, L.; Sardella, C.; Vitti, P.; Marcocci, C.; Lupi, I.; Latrofa, F. Graves’ Disease Induced by Immune Checkpoint Inhibitors: A Case Report and Review of the Literature. Eur. Thyroid J. 2019, 8, 192–195. [Google Scholar] [CrossRef]
- Brahmer, J.R.; Lacchetti, C.; Schneider, B.J.; Atkins, M.B.; Brassil, K.J.; Caterino, J.M.; Chau, I.; Ernstoff, M.S.; Gardner, J.M.; Ginex, P.; et al. Management of immune-related adverse events in patients treated with immune checkpoint inhibitor therapy: American Society of Clinical Oncology Clinical Practice Guideline. J. Clin. Oncol. 2018, 36, 1714–1768. [Google Scholar] [CrossRef]
- Rees Smith, B.; McLachlan, S.M.; Furmaniak, J. Autoantibodies to the Thyrotropin Receptor. Endocr. Rev. 1988, 9, 106–121. [Google Scholar] [CrossRef] [PubMed]
- Kim, Y.H.; Chang, Y.; Kim, Y.; Kim, S.J.; Rhee, E.J.; Kwon, H.; Ahn, J.; Ryu, S. Diffusely Increased 18F-FDG Uptake in the Thyroid Gland and Risk of Thyroid Dysfunction: A Cohort Study. J. Clin. Med. 2019, 8, 443. [Google Scholar] [CrossRef]
- Schubert, L.; Mariko, M.L.; Clerc, J.; Huillard, O.; Groussin, L. MAPK Pathway Inhibitors in Thyroid Cancer: Preclinical and Clinical Data. Cancers 2023, 15, 710. [Google Scholar] [CrossRef] [PubMed]
- Zhi, J.; Zhang, P.; Zhang, W.; Ruan, X.; Tian, M.; Guo, S.; Zhang, W.; Zheng, X.; Zhao, L.; Gao, M. Inhibition of BRAF Sensitizes Thyroid Carcinoma to Immunotherapy by Enhancing tsMHCII-mediated Immune Recognition. J. Clin. Endocrinol. Metab. 2021, 106, 91–107. [Google Scholar] [CrossRef]







| Thyroiditis (n = 43) | No Thyroiditis (n = 84) | p Value | |
|---|---|---|---|
| No. (%) Male | 29 (67.4%) | 61 (72.6%) | 0.54 |
| No. (%) Female | 14 (32.6%) | 23 (27.4%) | |
| Age, median (IQR), years | 58 (50–67) | 61 (47–69) | 0.99 |
| BMI, median (IQR), kg/m2 | 28 (25–34) | 27 (24–30) | 0.055 |
| No. (%) prior exposure to single-agent ICI or BRAF/MEK inhibitors | |||
| CTLA4 inhibitor | 1 (2.3%) | 5 (6.0%) | 0.36 |
| PD-1 inhibitor | 4 (9.3%) | 30 (35.7%) | 0.002 |
| BRAF/MEK Inhibitors | 25 (58.1%) | 26 (31.0%) | 0.003 |
| No. (%) Prior Autoimmunity (where specified) | |||
| ≥1 autoimmune condition | 3 (7.0%) | 10 (11.9%) | 0.39 |
| Rheumatoid Arthritis | 0 (0.0%) | 2 (2.4%) | 0.31 |
| Inflammatory Bowel Disease | 1 (2.3%) | 1 (1.2%) | 0.63 |
| Psoriasis | 0 (0.0%) | 2 (2.4%) | 0.31 |
| Vitiligo | 1 (2.3%) | 0 (0.0%) | |
| Alopecia | 0 (0.0%) | 1 (1.2%) | |
| Sjogren’s Syndrome | 0 (0.0%) | 1 (1.2%) | |
| Graves’ Disease | 0 (0.0%) | 0 (0.0%) | |
| Hashimoto’s Thyroiditis | 0 (0.0%) | 2 (2.4%) | |
| Coeliac Disease | 0 (0.0%) | 1 (1.2%) | |
| Type 1 Diabetes | 0 (0.0%) | 1 (1.2%) | |
| Multiple Sclerosis | 0 (0.0%) | 0 (0.0%) | |
| Behcet’s Disease | 0 (0.0%) | 1 (1.2%) | |
| Immune Glomerulonephritis | 1 (2.3%) | 0 (0.0%) | |
| Aortitis | 0 (0.0%) | 1 (1.2%) | 0.47 |
| Immune-related adverse events | |||
| No. (%) with ≥1 irAE (other than thyroiditis) | 40 (90.1%) | 74 (88.1%) | 0.26 |
| No. (%) with at least one grade 3/4 irAE | 23 (52.3%) | 35 (41.7%) | 0.27 |
| No. (%) by organ system | |||
| Hypophysitis | 9 (20.9%) | 18 (21.4%) | 1.0 |
| Dermatological | 22 (51.2%) | 39 (46.4%) | 0.71 |
| Hepatitis | 14 (32.6%) | 26 (31.0%) | 0.84 |
| Enteritis/Colitis | 14 (32.6%) | 28 (33.3%) | 1.0 |
| Rheumatic | 7 (16.3%) | 8 (9.5%) | 0.38 |
| Pneumonitis | 5 (11.6%) | 9 (10.7%) | 1.0 |
| Nephritis | 1 (2.3%) | 3 (3.6%) | 1.0 |
| Myocarditis | 0 (0.0%) | 1 (1.2%) | 1.0 |
| CNS including eye and ear | 2 (4.7%) | 3 (3.6%) | 1.0 |
| Other (Lymphadenitis, Haemolytic Anaemia, Panniculitis-like T-cell Lymphoma) | 1 (2.3%) | 3 (3.6%) | 1.0 |
| Reference Test + | Reference Test − | Total | |
|---|---|---|---|
| Index Test + | 26 | 2 | 28 |
| Index Test − | 17 | 82 | 99 |
| Total | 43 | 84 | 127 |
| User 1: Index Test + | User 2: Index Test − | Total | |
|---|---|---|---|
| User 2: Index test + | 28 | 5 | 33 |
| User 2: Index test − | 3 | 91 | 94 |
| Total | 31 | 96 | 127 |
| Time to Biochemical Diagnosis (Weeks) | Time to FDG-PET/CT (Weeks) | Time Interval (Weeks) | |
|---|---|---|---|
| FDG-PET-detected thyroiditis N = 26 | Median 2.8 (range 1.1–97) | Median 11 (range 2.6–32.1) | Median 6.35 (range 0–86.7) |
| No FDG-PET-detected thyroiditis N = 17 | Median 3.1 (range 1.4–14.1) | Median 10.6 (range 2.7–13.1) | Median 6 (range 0.9–9.7) |
| p value | 0.34 | 0.57 | 0.62 |
Disclaimer/Publisher’s Note: The statements, opinions and data contained in all publications are solely those of the individual author(s) and contributor(s) and not of MDPI and/or the editor(s). MDPI and/or the editor(s) disclaim responsibility for any injury to people or property resulting from any ideas, methods, instructions or products referred to in the content. |
© 2023 by the authors. Licensee MDPI, Basel, Switzerland. This article is an open access article distributed under the terms and conditions of the Creative Commons Attribution (CC BY) license (https://creativecommons.org/licenses/by/4.0/).
Share and Cite
Galligan, A.; Wallace, R.; Krishnamurthy, B.; Kay, T.W.H.; Sachithanandan, N.; Chiang, C.; Sandhu, S.; Hicks, R.J.; Iravani, A. Increased Thyroidal Activity on Routine FDG-PET/CT after Combination Immune Checkpoint Inhibition: Temporal Associations with Clinical and Biochemical Thyroiditis. Cancers 2023, 15, 5803. https://doi.org/10.3390/cancers15245803
Galligan A, Wallace R, Krishnamurthy B, Kay TWH, Sachithanandan N, Chiang C, Sandhu S, Hicks RJ, Iravani A. Increased Thyroidal Activity on Routine FDG-PET/CT after Combination Immune Checkpoint Inhibition: Temporal Associations with Clinical and Biochemical Thyroiditis. Cancers. 2023; 15(24):5803. https://doi.org/10.3390/cancers15245803
Chicago/Turabian StyleGalligan, Anna, Roslyn Wallace, Balasubramanian Krishnamurthy, Thomas W. H. Kay, Nirupa Sachithanandan, Cherie Chiang, Shahneen Sandhu, Rodney J. Hicks, and Amir Iravani. 2023. "Increased Thyroidal Activity on Routine FDG-PET/CT after Combination Immune Checkpoint Inhibition: Temporal Associations with Clinical and Biochemical Thyroiditis" Cancers 15, no. 24: 5803. https://doi.org/10.3390/cancers15245803
APA StyleGalligan, A., Wallace, R., Krishnamurthy, B., Kay, T. W. H., Sachithanandan, N., Chiang, C., Sandhu, S., Hicks, R. J., & Iravani, A. (2023). Increased Thyroidal Activity on Routine FDG-PET/CT after Combination Immune Checkpoint Inhibition: Temporal Associations with Clinical and Biochemical Thyroiditis. Cancers, 15(24), 5803. https://doi.org/10.3390/cancers15245803

