Sarcopenia and Treatment Toxicity in Older Adults Undergoing Chemoradiation for Head and Neck Cancer: Identifying Factors to Predict Frailty
Abstract
:Simple Summary
Abstract
1. Introduction
2. Materials and Methods
2.1. Patient Selection
2.2. Treatment and Toxicity
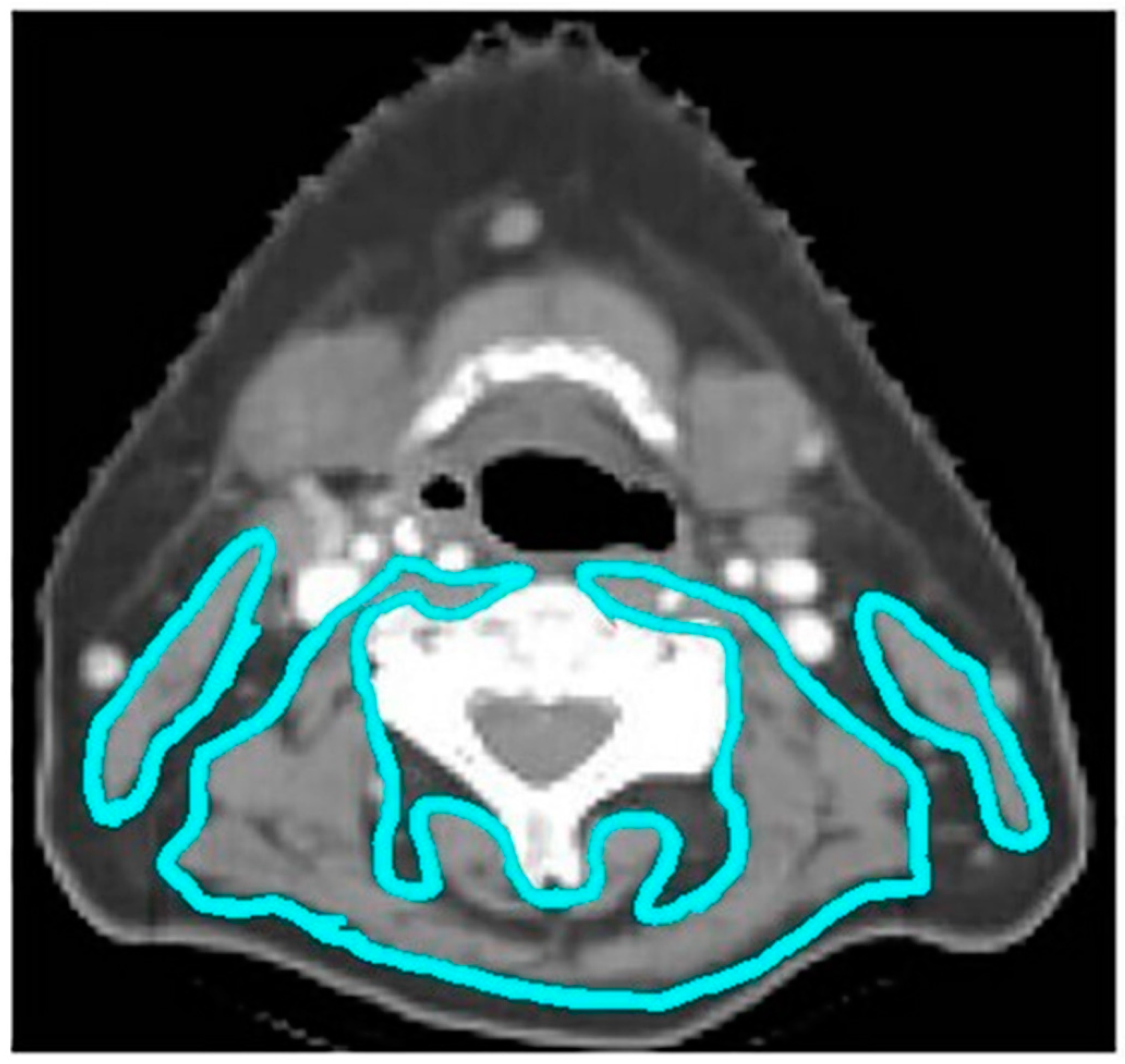
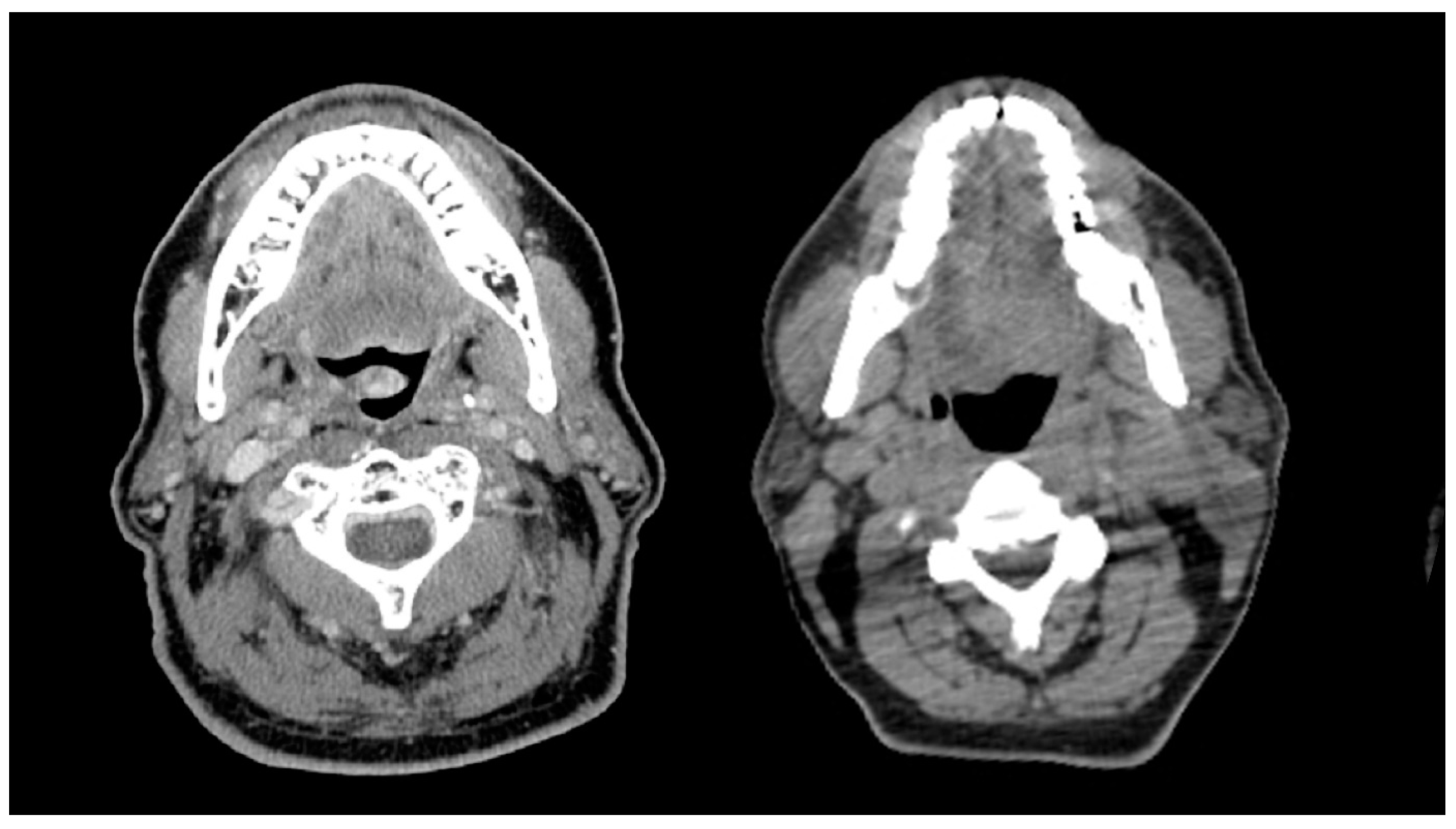
2.3. Body Composition Measurement
2.4. Statistical Analysis
3. Results
3.1. Patients
3.2. Treatment Toxicity
4. Discussion
5. Conclusions
Supplementary Materials
Author Contributions
Funding
Institutional Review Board Statement
Informed Consent Statement
Data Availability Statement
Conflicts of Interest
References
- Smith, B.D.; Smith, G.L.; Hurria, A.; Hortobagyi, G.N.; Buchholz, T.A. Future of cancer incidence in the United States: Burdens upon an aging, changing nation. Clin. Oncol. 2009, 27, 2758–2765. [Google Scholar] [CrossRef] [PubMed]
- Lichtman, S.M.; Cohen, H.J.; Muss, H.; Tew, W.P.; Korc-Grodzicki, B. From Assessment to Implementation and Beyond in Cancer and Aging Research. J. Clin. Oncol. 2021, 39, 2217–2225. [Google Scholar] [CrossRef] [PubMed]
- Bertagnolli, M.M.; Singh, H. Treatment of Older Adults with Cancer—Addressing Gaps in Evidence. N. Engl. J. Med. 2021, 385, 1062–1065. [Google Scholar] [CrossRef]
- VanderWalde, N.A.; Dockter, T.; Wakefield, D.V.; Satele, D.; Sloan, J.; Jagsi, R.; Lichtman, S.M.; Freedman, R.A.; Lafky, J.M.; Muss, H.; et al. Disparities in older adult accrual to cancer trials: Analysis from the alliance for clinical trials in oncology (A151736). J. Geriatr. Oncol. 2021, 13, 20–26. [Google Scholar] [CrossRef]
- Monfardini, S.; Ferrucci, L.; Fratino, L.; del Lungo, I.; Serraino, D.; Zagonel, V. Validation of a multidimensional evaluation scale for use in elderly cancer patients. Cancer 1996, 77, 395–401. [Google Scholar] [CrossRef]
- Extermann, M.; Overcash, J.; Lyman, G.H.; Parr, J.; Balducci, L. Comorbidity and functional status are independent in older cancer patients. J. Clin. Oncol. 1998, 16, 1582–1587. [Google Scholar] [CrossRef]
- Dale, W.; Williams, G.R.; MacKenzie, A.R.; Soto-Perez-De-Celis, E.; Maggiore, R.J.; Merrill, J.K.; Katta, S.; Smith, K.T.; Klepin, H.D. How Is Geriatric Assessment Used in Clinical Practice for Older Adults With Cancer? A Survey of Cancer Providers by the American Society of Clinical Oncology. JCO Oncol. Pract. 2021, 17, 336–344. [Google Scholar] [CrossRef]
- Levit, L.A.; Singh, H.; Klepin, H.D.; Hurria, A. Expanding the Evidence Base in Geriatric Oncology: Action Items From an FDA-ASCO Workshop. J. Natl. Cancer Inst. 2018, 110, 1163–1170. [Google Scholar] [CrossRef]
- Singh, H.; Beaver, J.A.; Kim, G.; Pazdur, R. Enrollment of older adults on oncology trials: An FDA perspective. J. Geriatr. Oncol. 2017, 8, 149–150. [Google Scholar] [CrossRef]
- Mohile, S.G.; Dale, W.; Somerfield, M.R.; Schonberg, M.A.; Boyd, C.M.; Burhenn, P.S.; Canin, B.; Cohen, H.J.; Holmes, H.M.; Hopkins, J.O.; et al. Practical Assessment and Management of Vulnerabilities in Older Patients Receiving Chemotherapy: ASCO Guideline for Geriatric Oncology. J. Clin. Oncol. 2018, 36, 2326–2347. [Google Scholar] [CrossRef]
- Gajra, A.; Loh, K.P.; Hurria, A.; Muss, H.; Maggiore, R.; Dale, W.; Klepin, H.D.; Magnuson, A.; Lichtman, S.; Williams, G.; et al. Comprehensive Geriatric Assessment-Guided Therapy Does Improve Outcomes of Older Patients With Advanced Lung Cancer. J. Clin. Oncol. 2016, 34, 4047–4048. [Google Scholar] [CrossRef] [PubMed]
- Corre, R.; Greillier, L.; Le Caër, H.; Audigier-Valette, C.; Baize, N.; Bérard, H.; Falchero, L.; Monnet, I.; Dansin, E.; Vergnenègre, A.; et al. Use of a Comprehensive Geriatric Assessment for the Management of Elderly Patients with Advanced Non-Small-Cell Lung Cancer: The Phase III Randomized ESOGIA-GFPC-GECP 08-02 Study. J. Clin. Oncol. 2016, 34, 1476–1483. [Google Scholar] [CrossRef] [PubMed]
- Adelstein, D.J.; Li, Y.; Adams, G.L.; Wagner, H., Jr.; Kish, J.A.; Ensley, J.F.; Schuller, D.E.; Forastiere, A.A. An intergroup phase III comparison of standard radiation therapy and two schedules of concurrent chemoradiotherapy in patients with unresectable squamous cell head and neck cancer. J. Clin. Oncol. 2003, 21, 92–98. [Google Scholar] [CrossRef] [PubMed] [Green Version]
- Meerkerk, C.D.A.; Chargi, N.; de Jong, P.A.; van den Bos, F.; de Bree, R. Sarcopenia measured with handgrip strength and skeletal muscle mass to assess frailty in older patients with head and neck cancer. J. Geriatr. Oncol. 2020, 12, 434–440. [Google Scholar] [CrossRef]
- Edge, S.B.; Compton, C.C. The American Joint Committee on Cancer: The 7th edition of the AJCC cancer staging manual and the future of TNM. Ann. Surg. Oncol. 2010, 17, 1471–1474. [Google Scholar] [CrossRef]
- Oken, M.M.; Creech, R.H.; Tormey, D.C.; Horton, J.; Davis, T.E.; McFadden, E.T.; Carbone, P.P. Toxicity and response criteria of the Eastern Cooperative Oncology Group. Am. J. Clin. Oncol. 1982, 5, 649–655. [Google Scholar] [CrossRef]
- Bernier, J.; Cooper, J.S.; Pajak, T.F.; Van Glabbeke, M.; Bourhis, J.; Forastiere, A.; Ozsahin, E.M.; Jacobs, J.R.; Jassem, J.; Ang, K.-K.; et al. Defining risk levels in locally advanced head and neck cancers: A comparative analysis of concurrent postoperative radiation plus chemotherapy trials of the EORTC (#22931) and RTOG (# 9501). Head Neck 2005, 27, 843–850. [Google Scholar] [CrossRef]
- Gomez-Perez, S.L.; Haus, J.M.; Sheean, P.; Patel, B.; Mar, W.; Chaudhry, V.; McKeever, L.; Braunschweig, C. Measuring Abdominal Circumference and Skeletal Muscle From a Single Cross-Sectional Computed Tomography Image: A Step-by-Step Guide for Clinicians Using National Institutes of Health ImageJ. J. Parenter. Enter. Nutr. 2015, 40, 308–318. [Google Scholar] [CrossRef] [Green Version]
- Swartz, J.E.; Pothen, A.J.; Wegner, I.; Smid, E.J.; Swart, K.M.; de Bree, R.; Leenen, L.P.; Grolman, W. Feasibility of using head and neck CT imaging to assess skeletal muscle mass in head and neck cancer patients. Oral Oncol. 2016, 62, 28–33. [Google Scholar] [CrossRef]
- Martin, L.; Birdsell, L.; MacDonald, N.; Reiman, T.; Clandinin, M.T.; McCargar, L.J.; Murphy, R.; Ghosh, S.; Sawyer, M.B.; Baracos, V.E. Cancer cachexia in the age of obesity: Skeletal muscle depletion is a powerful prognostic factor, independent of body mass index. J. Clin. Oncol. 2013, 31, 1539–1547. [Google Scholar] [CrossRef]
- Weinberg, M.S.; Shachar, S.S.; Muss, H.B.; Deal, A.M.; Popuri, K.; Yu, H.; Nyrop, K.A.; Alston, S.M.; Williams, G.R. Beyond sarcopenia: Characterization and integration of skeletal muscle quantity and radiodensity in a curable breast cancer population. Breast J. 2018, 24, 278–284. [Google Scholar] [CrossRef] [PubMed]
- Breiman, L. Random Forests. Mach. Learn. 2001, 45, 5–32. [Google Scholar] [CrossRef] [Green Version]
- Schaap, L.A.; Pluijm, S.M.; Deeg, D.J.; Visser, M. Inflammatory markers and loss of muscle mass (sarcopenia) and strength. Am. J. Med. 2006, 119, 526.e9–526.e17. [Google Scholar] [CrossRef] [PubMed]
- Shachar, S.S.; Deal, A.M.; Weinberg, M.; Nyrop, K.A.; Williams, G.; Nishijima, T.F.; Benbow, J.M.; Muss, H.B. Skeletal Muscle Measures as Predictors of Toxicity, Hospitalization, and Survival in Patients with Metastatic Breast Cancer Receiving Taxane-Based Chemotherapy. Clin. Cancer Res. 2017, 23, 658–665. [Google Scholar] [CrossRef] [PubMed] [Green Version]
- Shachar, S.S.; Williams, G.R.; Muss, H.B.; Nishijima, T.F. Prognostic value of sarcopenia in adults with solid tumours: A meta-analysis and systematic review. Eur. J. Cancer 2016, 57, 58–67. [Google Scholar] [CrossRef] [PubMed]
- Grossberg, A.J.; Chamchod, S.; Fuller, C.D.; Mohamed, A.S.; Heukelom, J.; Eichelberger, H.; Kantor, M.E.; Hutcheson, K.; Gunn, G.B.; Garden, A.; et al. Association of Body Composition With Survival and Locoregional Control of Radiotherapy-Treated Head and Neck Squamous Cell Carcinoma. JAMA Oncol. 2016, 2, 782–789. [Google Scholar] [CrossRef]
- Shaikh, T.; Handorf, E.A.; Murphy, C.T.; Mehra, R.; Ridge, J.A.; Galloway, T.J. The Impact of Radiation Treatment Time on Survival in Patients with Head and Neck Cancer. Int. J. Radiat. Oncol. 2016, 96, 967–975. [Google Scholar] [CrossRef] [Green Version]
- Xue, Q.L. The frailty syndrome: Definition and natural history. Clin. Geriatr. Med. 2011, 27, 1–15. [Google Scholar] [CrossRef] [Green Version]
- Paccagnella, A.; Morello, M.; Da Mosto, M.C.; Baruffi, C.; Marcon, M.L.; Gava, A.; Baggio, V.; Lamon, S.; Babare, R.; Rosti, G.; et al. Early nutritional intervention improves treatment tolerance and outcomes in head and neck cancer patients undergoing concurrent chemoradiotherapy. Support. Care Cancer 2009, 18, 837–845. [Google Scholar] [CrossRef]
- Lønbro, S.; Dalgas, U.; Primdahl, H.; Johansen, J.; Nielsen, J.L.; Aagaard, P.; Hermann, A.P.; Overgaard, J.; Overgaard, K. Progressive resistance training rebuilds lean body mass in head and neck cancer patients after radiotherapy—Results from the randomized DAHANCA 25B trial. Radiother. Oncol. 2013, 108, 314–319. [Google Scholar] [CrossRef]
- Lonkvist, C.K.; Lønbro, S.; Vinther, A.; Zerahn, B.; Rosenbom, E.; Primdahl, H.; Hojman, P.; Gehl, J. Progressive resistance training in head and neck cancer patients during concomitant chemoradiotherapy—Design of the DAHANCA 31 randomized trial. BMC Cancer 2017, 17, 400. [Google Scholar] [CrossRef] [PubMed] [Green Version]
- Li, D.; Sun, C.-L.; Kim, H.; Soto-Perez-De-Celis, E.; Chung, V.; Koczywas, M.; Fakih, M.; Chao, J.; Chien, L.C.; Charles, K.; et al. Geriatric Assessment-Driven Intervention (GAIN) on Chemotherapy-Related Toxic Effects in Older Adults With Cancer: A Randomized Clinical Trial. JAMA Oncol. 2021, 7, e214158. [Google Scholar] [CrossRef] [PubMed]
- Mohile, S.G.; Mohamed, M.R.; Xu, H.; Culakova, E.; Loh, K.P.; Magnuson, A.; Flannery, M.A.; Obrecht, S.; Gilmore, N.; Ramsdale, E.; et al. Evaluation of geriatric assessment and management on the toxic effects of cancer treatment (GAP70+): A cluster-randomised study. Lancet 2021, 398, 1894–1904. [Google Scholar] [CrossRef]
- Soo, W.-K.; King, M.; Pope, A.; Parente, P.; Darzins, P.; Davis, I.D. Integrated geriatric assessment and treatment (INTEGERATE) in older people with cancer planned for systemic anticancer therapy. J. Clin. Oncol. 2020, 38 (Suppl. S15), 12011. [Google Scholar] [CrossRef]
- VanderWalde, N.; Deal, A.; Comitz, E.; Stravers, L.; Muss, H.; Reeve, B.; Basch, E.; Chera, B. Comprehensive geriatric assessment as a predictor of tolerance, quality of life, and toxicity in older patients receiving radiation. J. Radiat. Oncol. Biol. Phys. 2016, 94, 885. [Google Scholar] [CrossRef]
- Neve, M.; Jameson, M.B.; Govender, S.; Hartopeanu, C. Impact of geriatric assessment on the management of older adults with head and neck cancer: A pilot study. J. Geriatr. Oncol. 2016, 7, 457–462. [Google Scholar] [CrossRef]
- VanderWalde, N.A.; Fleming, M.; Weiss, J.; Chera, B.S. Treatment of older patients with head and neck cancer: A review. Oncologist 2013, 18, 568–578. [Google Scholar] [CrossRef] [Green Version]
- Damgacioglu, H.; Sonawane, K.; Chhatwal, J.; Lairson, D.R.; Clifford, G.M.; Giuliano, A.R.; Deshmukh, A.A. Long-term impact of HPV vaccination and COVID-19 pandemic on oropharyngeal cancer incidence and burden among men in the USA: A modeling study. Lancet Reg. Health Am. 2021, 8, 100143. [Google Scholar] [CrossRef]
- Zhang, Y.; Fakhry, C.; D’Souza, G. Projected Association of Human Papillomavirus Vaccination with Oropharynx Cancer Incidence in the US, 2020–2045. JAMA Oncol. 2021, 7, e212907. [Google Scholar] [CrossRef]
- Price, K.A.R.; Nichols, A.C.; Shen, C.J.; Rammal, A.; Lang, P.; Palma, D.A.; Rosenberg, A.J.; Chera, B.S.; Agrawal, N. Novel Strategies to Effectively De-escalate Curative-Intent Therapy for Patients With HPV-Associated Oropharyngeal Cancer: Current and Future Directions. Am. Soc. Clin. Oncol. Educ. Book 2020, 40, 257–269. [Google Scholar] [CrossRef]
- Pignon, J.P.; le Maître, A.; Maillard, E.; Bourhis, J. Meta-analysis of chemotherapy in head and neck cancer (MACH-NC): An update on 93 randomised trials and 17,346 patients. Radiother. Oncol. 2009, 92, 4–14. [Google Scholar] [CrossRef] [PubMed]
- Szturz, P.; Cristina, V.; Herrera Gómez, R.G.; Bourhis, J.; Simon, C.; Vermorken, J.B. Cisplatin Eligibility Issues and Alternative Regimens in Locoregionally Advanced Head and Neck Cancer: Recommendations for Clinical Practice. Front. Oncol. 2019, 9, 464. [Google Scholar] [CrossRef] [PubMed] [Green Version]


| Younger Patients N (%) | Older Patients N (%) | p Value | |
|---|---|---|---|
| Total Patients | 221 (100) | 51 (100) | |
| Gender | 0.52 | ||
| Male | 182 (82.4) | 40 (78.4) | |
| Female | 39 (17.6) | 11 (21.6) | |
| Race | 0.035 | ||
| White | 195 (88.2) | 50 (98.0) | |
| Non-white | 26 (11.8) | 1 (2.0) | |
| Smoking Status | |||
| Never | 62 (28.1) | 19 (37.3) | 0.16 |
| Former | 103 (46.6) | 25 (49.0) | |
| Current | 56 (25.3) | 7 (13.7) | |
| BMI | 0.25 | ||
| Non-obese (<30 kg/m2) | 146 (66.1) | 38 (74.5) | |
| Obese (>30 kg/m2) | 75 (33.9) | 13 (25.5) | |
| ECOG status | 0.022 | ||
| 0–1 | 202 (91.4) | 41 (80.4) | |
| 2+ | 19 (8.6) | 10 (19.6) | |
| TNM Stage | 0.18 | ||
| Stage III | 53 (24.0) | 8 (15.7) | |
| Stage IVA | 153 (69.2) | 42 (82.4) | |
| Stage IVB | 15 (6.8) | 1 (2.0) | |
| Subsite | 0.48 | ||
| Larynx/hypopharynx | 49 (22.2) | 12 (23.5) | |
| Oropharynx | 146 (66.1) | 30 (58.8) | |
| Other | 26 (11.8) | 9 (17.6) | |
| p16 oropharynx status | 0.050 | ||
| Yes | 105 (47.5) | 32 (62.7) | |
| No | 116 (52.5) | 19 (37.3) |
| Chemotherapy Toxicity | Any Radiation Break | Prolonged Radiation Breaks | ||||
|---|---|---|---|---|---|---|
| Odds Ratio (95% CI) | p-Value | Odds Ratio (95% CI) | p-Value | Odds Ratio (95% CI) | p-Value | |
| Age ≥ 70 | 2.76 (1.36–5.60) | <0.01 | 2.23 (1.19–4.19) | 0.012 * | 3.21 (1.37–7.51) | <0.01 |
| ECOG Performance status | 0.11 | |||||
| 0–1 | 0.50 (0.22–1.18) | |||||
| ≥2 | Ref | |||||
| Smoking Status | <0.01 | |||||
| Never | Ref | |||||
| Former | 0.61 (0.32–1.15) | |||||
| Current | 2.32 (1.11–4.89) | |||||
| BMI | 0.18 | |||||
| <30 | 0.47 (0.16–1.42) | |||||
| ≥30 | Ref | |||||
| Low SMI | <0.01 * | 0.044 * | ||||
| Yes | 2.14 (1.25–3.66) | 2.70 (1.03–7.11) | ||||
| No | Ref | Ref | ||||
| SMG | 0.06 | 0.24 | ||||
| High | Ref | Ref | ||||
| Low | 1.67 (0.97–2.88) | 1.71 (0.70–4.19) | ||||
| Pre-treatment albumin | 0.033 * | |||||
| >3.5 g/dL | Ref | |||||
| ≤3.5 g/dL | 2.83 (1.09–7.37) |
Publisher’s Note: MDPI stays neutral with regard to jurisdictional claims in published maps and institutional affiliations. |
© 2022 by the authors. Licensee MDPI, Basel, Switzerland. This article is an open access article distributed under the terms and conditions of the Creative Commons Attribution (CC BY) license (https://creativecommons.org/licenses/by/4.0/).
Share and Cite
Morse, R.T.; Ganju, R.G.; Gan, G.N.; Cao, Y.; Neupane, P.; Kakarala, K.; Shnayder, Y.; Lominska, C.E. Sarcopenia and Treatment Toxicity in Older Adults Undergoing Chemoradiation for Head and Neck Cancer: Identifying Factors to Predict Frailty. Cancers 2022, 14, 2094. https://doi.org/10.3390/cancers14092094
Morse RT, Ganju RG, Gan GN, Cao Y, Neupane P, Kakarala K, Shnayder Y, Lominska CE. Sarcopenia and Treatment Toxicity in Older Adults Undergoing Chemoradiation for Head and Neck Cancer: Identifying Factors to Predict Frailty. Cancers. 2022; 14(9):2094. https://doi.org/10.3390/cancers14092094
Chicago/Turabian StyleMorse, Ryan T., Rohit G. Ganju, Gregory N. Gan, Ying Cao, Prakash Neupane, Kiran Kakarala, Yelizaveta Shnayder, and Christopher E. Lominska. 2022. "Sarcopenia and Treatment Toxicity in Older Adults Undergoing Chemoradiation for Head and Neck Cancer: Identifying Factors to Predict Frailty" Cancers 14, no. 9: 2094. https://doi.org/10.3390/cancers14092094
APA StyleMorse, R. T., Ganju, R. G., Gan, G. N., Cao, Y., Neupane, P., Kakarala, K., Shnayder, Y., & Lominska, C. E. (2022). Sarcopenia and Treatment Toxicity in Older Adults Undergoing Chemoradiation for Head and Neck Cancer: Identifying Factors to Predict Frailty. Cancers, 14(9), 2094. https://doi.org/10.3390/cancers14092094

