Towards a Molecular Classification of Sinonasal Carcinomas: Clinical Implications and Opportunities
Abstract
:Simple Summary
Abstract
1. Introduction
2. Squamous Cell Carcinoma
3. Adenocarcinomas
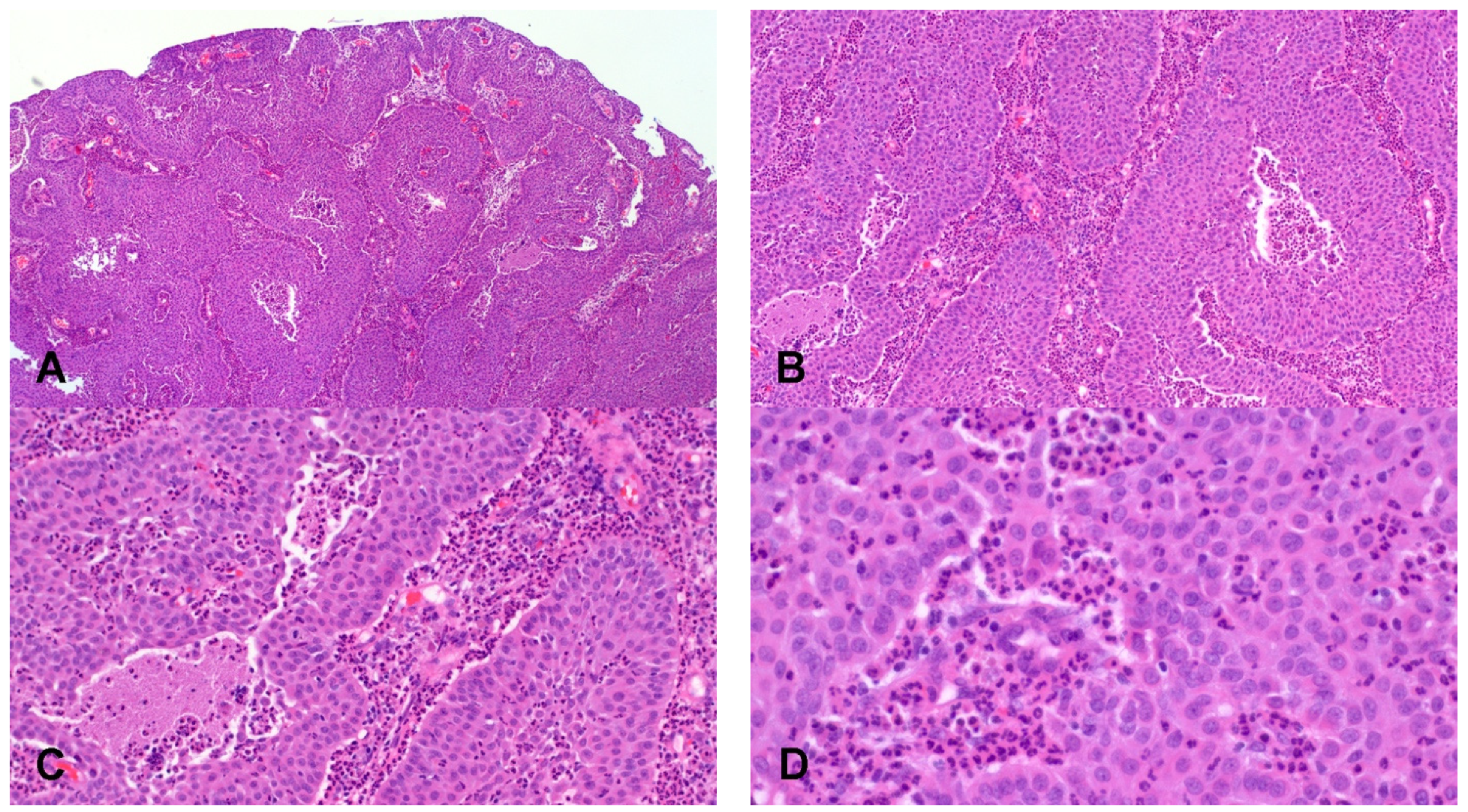
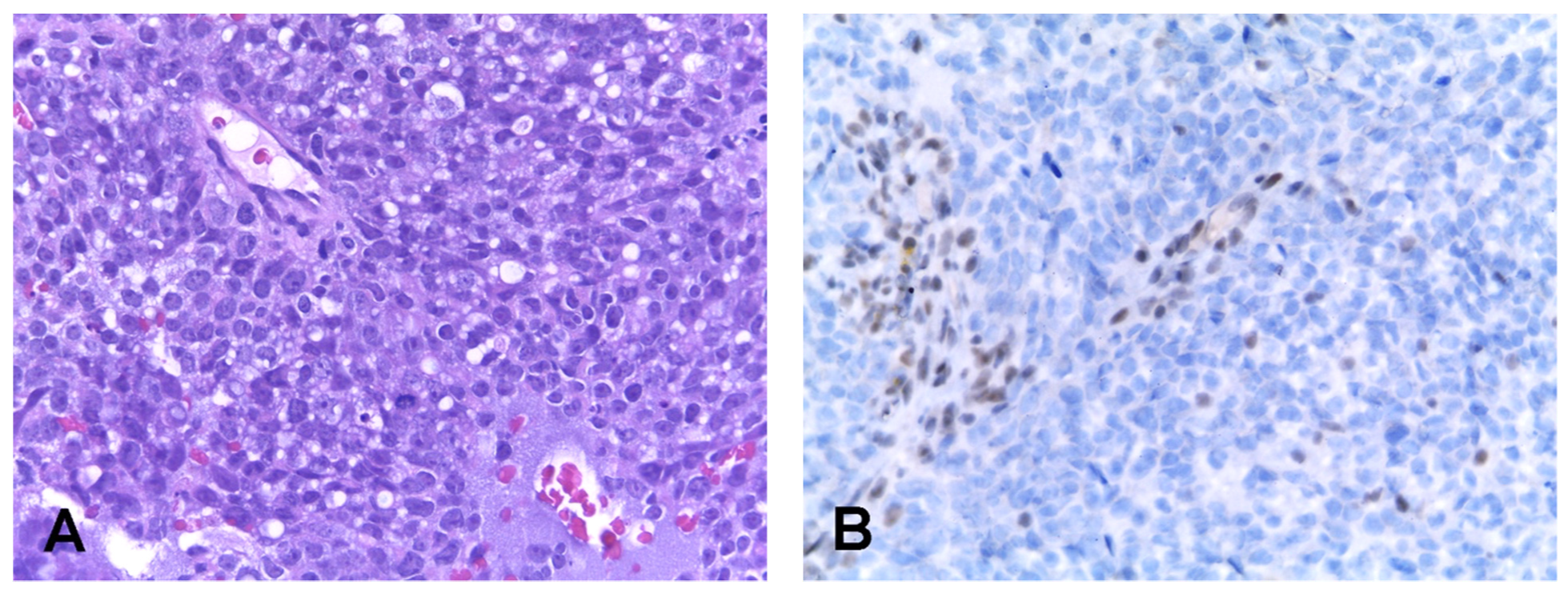
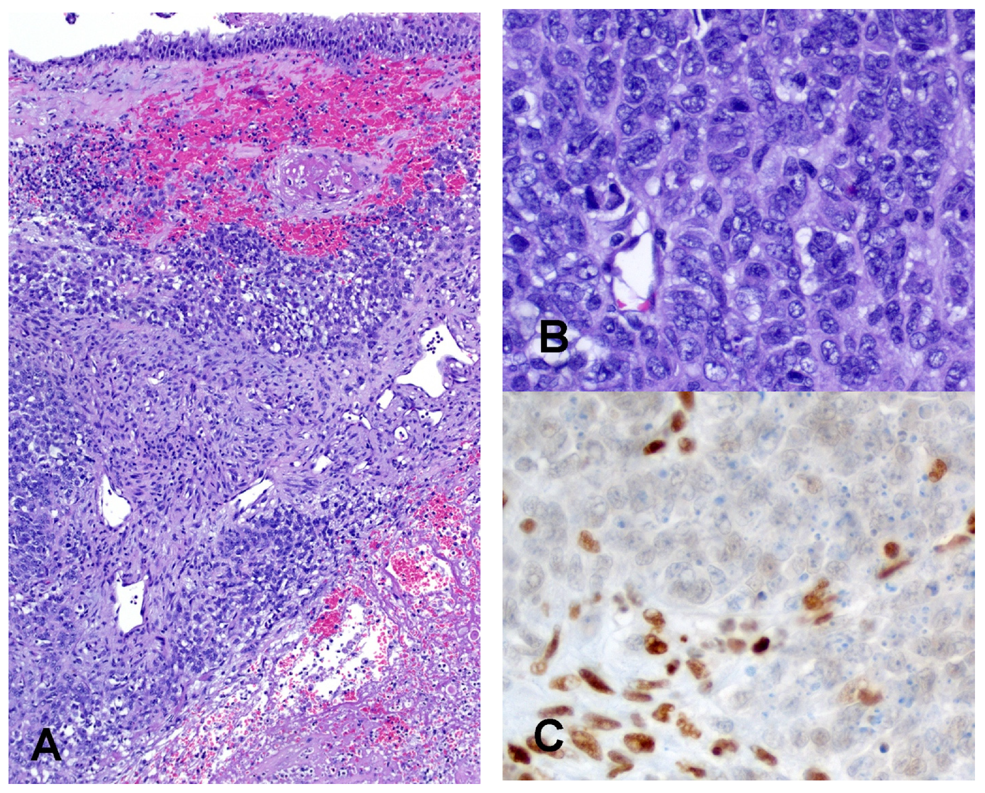
4. Undifferentiated Carcinomas
5. Conclusions
Author Contributions
Funding
Conflicts of Interest
References
- Dutta, R.; Dubal, P.M.; Svider, P.F.; Liu, J.K.; Baredes, S.; Eloy, J.A. Sinonasal malignancies: A population-based analysis of site-specific incidence and survival. Laryngoscope 2015, 125, 2491–2497. [Google Scholar] [CrossRef] [PubMed]
- Van Dijk, B.A.; Gatta, G.; Capocaccia, R.; Pierannunzio, D.; Strojan, P.; Licitra, L.; Group, R.W. Rare cancers of the head and neck area in Europe. Eur. J. Cancer 2012, 48, 783–796. [Google Scholar] [CrossRef] [PubMed]
- Binazzi, A.; Corfiati, M.; Di Marzio, D.; Cacciatore, A.M.; Zajacovà, J.; Mensi, C.; Galli, P.; Miligi, L.; Calisti, R.; Romeo, E.; et al. Sinonasal cancer in the Italian national surveillance system: Epidemiology, occupation, and public health implications. Am. J. Ind. Med. 2018, 61, 239–250. [Google Scholar] [CrossRef] [PubMed]
- Thompson, L.D.R.; Franchi, A. New tumor entities in the 4th edition of the World Health Organization classification of head and neck tumors: Nasal cavity, paranasal sinuses and skull base. Virchows Arch. 2018, 472, 315–330. [Google Scholar] [CrossRef] [PubMed]
- Fakhri, B.; Lim, K.H. Molecular landscape and sub-classification of gastrointestinal cancers: A review of literature. J. Gastrointest. Oncol. 2017, 8, 379–386. [Google Scholar] [CrossRef] [PubMed] [Green Version]
- Louis, D.N.; Perry, A.; Reifenberger, G.; von Deimling, A.; Figarella-Branger, D.; Cavenee, W.K.; Ohgaki, H.; Wiestler, O.D.; Kleihues, P.; Ellison, D.W. The 2016 World Health Organization Classification of Tumors of the Central Nervous System: A summary. Acta Neuropathol. 2016, 131, 803–820. [Google Scholar] [CrossRef] [PubMed] [Green Version]
- Turner, J.H.; Reh, D.D. Incidence and survival in patients with sinonasal cancer: A historical analysis of population-based data. Head Neck 2012, 34, 877–885. [Google Scholar] [CrossRef] [PubMed]
- Jain, S.; Li, Y.; Kuan, E.C.; Tajudeen, B.A.; Batra, P.S. Prognostic Factors in Paranasal Sinus Squamous Cell Carcinoma and Adenocarcinoma: A SEER Database Analysis. J. Neurol. Surg. B Skull Base 2019, 80, 258–263. [Google Scholar] [CrossRef] [PubMed]
- Llorente, J.L.; Lopez, F.; Suarez, C.; Hermsen, M.A. Sinonasal carcinoma: Clinical, pathological, genetic and therapeutic advances. Nat. Rev. Clin. Oncol. 2014, 11, 460–472. [Google Scholar] [CrossRef] [PubMed]
- Svajdler, M.; Nemcova, J.; Dubinsky, P.; Metelkova, A.; Svajdler, P.; Straka, L.; Sakar, R.; Daum, O.; Michal, M.; Skalova, A.; et al. Significance of transcriptionally-active high-risk human papillomavirus in sinonasal squamous cell carcinoma: Case series and a meta-analysis. Neoplasma 2020, 67, 1456–1463. [Google Scholar] [CrossRef] [PubMed]
- Lopez, F.; Llorente, J.L.; Garcia-Inclan, C.; Alonso-Guervos, M.; Cuesta-Albalad, M.P.; Fresno, M.F.; Alvarez-Marcos, C.; Suarez, C.; Hermsen, M.A. Genomic profiling of sinonasal squamous cell carcinoma. Head Neck 2011, 33, 145–153. [Google Scholar] [CrossRef] [PubMed]
- Soussi, T. The p53 pathway and human cancer. Br. J. Surg. 2005, 92, 1331–1332. [Google Scholar] [CrossRef] [PubMed]
- Levine, A.J. p53, the cellular gatekeeper for growth and division. Cell 1997, 88, 323–331. [Google Scholar] [CrossRef] [Green Version]
- Kastan, M.B.; Onyekwere, O.; Sidransky, D.; Vogelstein, B.; Craig, R.W. Participation of p53 protein in the cellular response to DNA damage. Cancer Res. 1991, 51, 6304–6311. [Google Scholar] [CrossRef] [PubMed] [Green Version]
- Holmila, R.; Bornholdt, J.; Heikkila, P.; Suitiala, T.; Fevotte, J.; Cyr, D.; Hansen, J.; Snellman, S.M.; Dictor, M.; Steiniche, T.; et al. Mutations in TP53 tumor suppressor gene in wood dust-related sinonasal cancer. Int. J. Cancer 2010, 127, 578–588. [Google Scholar] [CrossRef] [PubMed]
- Wang, X.; Lv, W.; Qi, F.; Gao, Z.; Yang, H.; Wang, W.; Gao, Y. Clinical effects of p53 overexpression in squamous cell carcinoma of the sinonasal tract: A systematic meta-analysis with PRISMA guidelines. Medicine 2017, 96, e6424. [Google Scholar] [CrossRef] [PubMed]
- Trivedi, S.; Ferris, R.L. Epidermal Growth Factor Receptor-Targeted Therapy for Head and Neck Cancer. Otolaryngol Clin. North. Am. 2021, 54, 743–749. [Google Scholar] [CrossRef] [PubMed]
- Cripps, C.; Winquist, E.; Devries, M.C.; Stys-Norman, D.; Gilbert, R.; the Head and Neck Cancer Disease Site Group. Epidermal growth factor receptor targeted therapy in stages III and IV head and neck cancer. Curr. Oncol 2010, 17, 37–48. [Google Scholar] [CrossRef] [PubMed] [Green Version]
- Lopez, F.; Llorente, J.L.; Oviedo, C.M.; Vivanco, B.; Marcos, C.A.; Garcia-Inclan, C.; Scola, B.; Hermsen, M.A. Gene amplification and protein overexpression of EGFR and ERBB2 in sinonasal squamous cell carcinoma. Cancer 2012, 118, 1818–1826. [Google Scholar] [CrossRef] [PubMed] [Green Version]
- Sasaki, E.; Nishikawa, D.; Hanai, N.; Hasegawa, Y.; Yatabe, Y. Sinonasal squamous cell carcinoma and EGFR mutations: A molecular footprint of a benign lesion. Histopathology 2018, 73, 953–962. [Google Scholar] [CrossRef] [PubMed]
- Hongo, T.; Yamamoto, H.; Jiromaru, R.; Nozaki, Y.; Yasumatsu, R.; Hashimoto, K.; Yoneda, R.; Sugii, A.; Taguchi, K.; Masuda, M.; et al. Clinicopathologic Significance of EGFR Mutation and HPV Infection in Sinonasal Squamous Cell Carcinoma. Am. J. Surg. Pathol. 2021, 45, 108–118. [Google Scholar] [CrossRef] [PubMed]
- Takahashi, Y.; Bell, D.; Agarwal, G.; Roberts, D.; Xie, T.X.; El-Naggar, A.; Myers, J.N.; Hanna, E.Y. Comprehensive assessment of prognostic markers for sinonasal squamous cell carcinoma. Head Neck 2014, 36, 1094–1102. [Google Scholar] [CrossRef] [PubMed]
- Nishikawa, D.; Sasaki, E.; Suzuki, H.; Beppu, S.; Sawabe, M.; Terada, H.; Sone, M.; Hanai, N. Treatment outcome and pattern of recurrence of sinonasal squamous cell carcinoma with EGFR-mutation and human papillomavirus. J. Craniomaxillofac Surg. 2021, 49, 494–500. [Google Scholar] [CrossRef] [PubMed]
- Furuta, Y.; Takasu, T.; Asai, T.; Yoshimura, S.; Tokuchi, F.; Shinohara, T.; Nagashima, K.; Inuyama, Y. Clinical significance of the epidermal growth factor receptor gene in squamous cell carcinomas of the nasal cavities and paranasal sinuses. Cancer 1992, 69, 358–362. [Google Scholar] [CrossRef]
- Cabal, V.N.; Menendez, M.; Vivanco, B.; Potes-Ares, S.; Riobello, C.; Suarez-Fernandez, L.; Garcia-Marin, R.; Blanco-Lorenzo, V.; Lopez, F.; Alvarez-Marcos, C.; et al. EGFR mutation and HPV infection in sinonasal inverted papilloma and squamous cell carcinoma. Rhinology 2020, 58, 368–376. [Google Scholar] [CrossRef] [PubMed]
- Jiromaru, R.; Yamamoto, H.; Yasumatsu, R.; Hongo, T.; Nozaki, Y.; Hashimoto, K.; Taguchi, K.; Masuda, M.; Nakagawa, T.; Oda, Y. HPV-related Sinonasal Carcinoma: Clinicopathologic Features, Diagnostic Utility of p16 and Rb Immunohistochemistry, and EGFR Copy Number Alteration. Am. J. Surg. Pathol. 2020, 44, 305–315. [Google Scholar] [CrossRef] [PubMed]
- Chowdhury, N.; Alvi, S.; Kimura, K.; Tawfik, O.; Manna, P.; Beahm, D.; Robinson, A.; Kerley, S.; Hoover, L. Outcomes of HPV-related nasal squamous cell carcinoma. Laryngoscope 2017, 127, 1600–1603. [Google Scholar] [CrossRef] [PubMed]
- Laco, J.; Sieglova, K.; Vosmikova, H.; Dundr, P.; Nemejcova, K.; Michalek, J.; Celakovsky, P.; Chrobok, V.; Mottl, R.; Mottlova, A.; et al. The presence of high-risk human papillomavirus (HPV) E6/E7 mRNA transcripts in a subset of sinonasal carcinomas is evidence of involvement of HPV in its etiopathogenesis. Virchows Arch. 2015, 467, 405–415. [Google Scholar] [CrossRef] [PubMed]
- Yamashita, Y.; Hasegawa, M.; Deng, Z.; Maeda, H.; Kondo, S.; Kyuna, A.; Matayoshi, S.; Agena, S.; Uehara, T.; Kouzaki, H.; et al. Human papillomavirus infection and immunohistochemical expression of cell cycle proteins pRb, p53, and p16(INK4a) in sinonasal diseases. Infect. Agent Cancer 2015, 10, 23. [Google Scholar] [CrossRef] [Green Version]
- El-Mofty, S.K.; Lu, D.W. Prevalence of high-risk human papillomavirus DNA in nonkeratinizing (cylindrical cell) carcinoma of the sinonasal tract: A distinct clinicopathologic and molecular disease entity. Am. J. Surg. Pathol. 2005, 29, 1367–1372. [Google Scholar] [CrossRef]
- Alos, L.; Moyano, S.; Nadal, A.; Alobid, I.; Blanch, J.L.; Ayala, E.; Lloveras, B.; Quint, W.; Cardesa, A.; Ordi, J. Human papillomaviruses are identified in a subgroup of sinonasal squamous cell carcinomas with favorable outcome. Cancer 2009, 115, 2701–2709. [Google Scholar] [CrossRef] [PubMed]
- Bishop, J.A.; Guo, T.W.; Smith, D.F.; Wang, H.; Ogawa, T.; Pai, S.I.; Westra, W.H. Human papillomavirus-related carcinomas of the sinonasal tract. Am. J. Surg. Pathol. 2013, 37, 185–192. [Google Scholar] [CrossRef] [Green Version]
- Larque, A.B.; Hakim, S.; Ordi, J.; Nadal, A.; Diaz, A.; del Pino, M.; Marimon, L.; Alobid, I.; Cardesa, A.; Alos, L. High-risk human papillomavirus is transcriptionally active in a subset of sinonasal squamous cell carcinomas. Mod. Pathol. 2014, 27, 343–351. [Google Scholar] [CrossRef] [PubMed]
- Sahnane, N.; Ottini, G.; Turri-Zanoni, M.; Furlan, D.; Battaglia, P.; Karligkiotis, A.; Albeni, C.; Cerutti, R.; Mura, E.; Chiaravalli, A.M.; et al. Comprehensive analysis of HPV infection, EGFR exon 20 mutations and LINE1 hypomethylation as risk factors for malignant transformation of sinonasal-inverted papilloma to squamous cell carcinoma. Int. J. Cancer 2019, 144, 1313–1320. [Google Scholar] [CrossRef] [PubMed]
- Syrjanen, K.; Syrjanen, S. Detection of human papillomavirus in sinonasal carcinoma: Systematic review and meta-analysis. Hum. Pathol. 2013, 44, 983–991. [Google Scholar] [CrossRef] [PubMed]
- Bishop, J.A.; Ogawa, T.; Stelow, E.B.; Moskaluk, C.A.; Koch, W.M.; Pai, S.I.; Westra, W.H. Human papillomavirus-related carcinoma with adenoid cystic-like features: A peculiar variant of head and neck cancer restricted to the sinonasal tract. Am. J. Surg. Pathol. 2013, 37, 836–844. [Google Scholar] [CrossRef] [PubMed] [Green Version]
- Kilic, S.; Kilic, S.S.; Kim, E.S.; Baredes, S.; Mahmoud, O.; Gray, S.T.; Eloy, J.A. Significance of human papillomavirus positivity in sinonasal squamous cell carcinoma. Int. Forum Allergy Rhinol. 2017, 7, 980–989. [Google Scholar] [CrossRef]
- Lewis, J.S., Jr. Sinonasal Squamous Cell Carcinoma: A Review with Emphasis on Emerging Histologic Subtypes and the Role of Human Papillomavirus. Head Neck Pathol. 2016, 10, 60–67. [Google Scholar] [CrossRef] [Green Version]
- Bishop, J.A.; Andreasen, S.; Hang, J.F.; Bullock, M.J.; Chen, T.Y.; Franchi, A.; Garcia, J.J.; Gnepp, D.R.; Gomez-Fernandez, C.R.; Ihrler, S.; et al. HPV-related Multiphenotypic Sinonasal Carcinoma: An Expanded Series of 49 Cases of the Tumor Formerly Known as HPV-related Carcinoma With Adenoid Cystic Carcinoma-like Features. Am. J. Surg. Pathol. 2017, 41, 1690–1701. [Google Scholar] [CrossRef]
- Elgart, K.; Faden, D.L. Sinonasal Squamous Cell Carcinoma: Etiology, Pathogenesis, and the Role of Human Papilloma Virus. Curr. Otorhinolaryngol. Rep. 2020, 8, 111–119. [Google Scholar] [CrossRef]
- Cohen, E.; Coviello, C.; Menaker, S.; Martinez-Duarte, E.; Gomez, C.; Lo, K.; Kerr, D.; Franzmann, E.; Leibowitz, J.; Sargi, Z. P16 and human papillomavirus in sinonasal squamous cell carcinoma. Head Neck 2020, 42, 2021–2029. [Google Scholar] [CrossRef] [PubMed]
- Barnes, L. Schneiderian papillomas and nonsalivary glandular neoplasms of the head and neck. Mod. Pathol. 2002, 15, 279–297. [Google Scholar] [CrossRef] [PubMed] [Green Version]
- Nudell, J.; Chiosea, S.; Thompson, L.D. Carcinoma ex-Schneiderian papilloma (malignant transformation): A clinicopathologic and immunophenotypic study of 20 cases combined with a comprehensive review of the literature. Head Neck Pathol. 2014, 8, 269–286. [Google Scholar] [CrossRef] [PubMed] [Green Version]
- Buchwald, C.; Franzmann, M.B.; Jacobsen, G.K.; Juhl, B.R.; Lindeberg, H. Carcinomas occurring in papillomas of the nasal septum associated with human papilloma virus (HPV). Rhinology 1997, 35, 74–78. [Google Scholar]
- Terada, T. Malignant transformation of exophytic Schneiderian papilloma of the nasal cavity. Pathol. Int. 2012, 62, 199–203. [Google Scholar] [CrossRef]
- Udager, A.M.; Rolland, D.C.M.; McHugh, J.B.; Betz, B.L.; Murga-Zamalloa, C.; Carey, T.E.; Marentette, L.J.; Hermsen, M.A.; DuRoss, K.E.; Lim, M.S.; et al. High-Frequency Targetable EGFR Mutations in Sinonasal Squamous Cell Carcinomas Arising from Inverted Sinonasal Papilloma. Cancer Res. 2015, 75, 2600–2606. [Google Scholar] [CrossRef] [Green Version]
- Udager, A.M.; McHugh, J.B.; Goudsmit, C.M.; Weigelin, H.C.; Lim, M.S.; Elenitoba-Johnson, K.S.J.; Betz, B.L.; Carey, T.E.; Brown, N.A. Human papillomavirus (HPV) and somatic EGFR mutations are essential, mutually exclusive oncogenic mechanisms for inverted sinonasal papillomas and associated sinonasal squamous cell carcinomas. Ann. Oncol. 2018, 29, 466–471. [Google Scholar] [CrossRef] [PubMed]
- Mehrad, M.; Stelow, E.B.; Bishop, J.A.; Wang, X.; Haynes, W.; Oliver, D.; Chernock, R.D.; Lewis, J.S., Jr. Transcriptionally Active HPV and Targetable EGFR Mutations in Sinonasal Inverted Papilloma: An Association Between Low-risk HPV, Condylomatous Morphology, and Cancer Risk? Am. J. Surg. Pathol. 2020, 44, 340–346. [Google Scholar] [CrossRef]
- Udager, A.M.; McHugh, J.B.; Betz, B.L.; Montone, K.T.; Livolsi, V.A.; Seethala, R.R.; Yakirevich, E.; Iwenofu, O.H.; Perez-Ordonez, B.; DuRoss, K.E.; et al. Activating KRAS mutations are characteristic of oncocytic sinonasal papilloma and associated sinonasal squamous cell carcinoma. J. Pathol. 2016, 239, 394–398. [Google Scholar] [CrossRef]
- Brown, N.A.; Plouffe, K.R.; Yilmaz, O.; Weindorf, S.C.; Betz, B.L.; Carey, T.E.; Seethala, R.R.; McHugh, J.B.; Tomlins, S.A.; Udager, A.M. TP53 mutations and CDKN2A mutations/deletions are highly recurrent molecular alterations in the malignant progression of sinonasal papillomas. Mod. Pathol. 2021, 34, 1133–1142. [Google Scholar] [CrossRef]
- Salgia, R.; Pharaon, R.; Mambetsariev, I.; Nam, A.; Sattler, M. The improbable targeted therapy: KRAS as an emerging target in non-small cell lung cancer (NSCLC). Cell Rep. Med. 2021, 2, 100186. [Google Scholar] [CrossRef] [PubMed]
- Rooper, L.M.; Bishop, J.A.; Westra, W.H. Transcriptionally Active High-Risk Human Papillomavirus is Not a Common Etiologic Agent in the Malignant Transformation of Inverted Schneiderian Papillomas. Head Neck Pathol. 2017, 11, 346–353. [Google Scholar] [CrossRef] [PubMed] [Green Version]
- Scheel, A.; Lin, G.C.; McHugh, J.B.; Komarck, C.M.; Walline, H.M.; Prince, M.E.; Zacharek, M.A.; Carey, T.E. Human papillomavirus infection and biomarkers in sinonasal inverted papillomas: Clinical significance and molecular mechanisms. Int. Forum Allergy Rhinol. 2015, 5, 701–707. [Google Scholar] [CrossRef] [PubMed] [Green Version]
- Bishop, J.A.; Gagan, J.; Paterson, C.; McLellan, D.; Sandison, A. Nonkeratinizing Squamous Cell Carcinoma of the Sinonasal Tract With DEK-AFF2: Further Solidifying an Emerging Entity. Am. J. Surg. Pathol. 2021, 45, 718–720. [Google Scholar] [CrossRef] [PubMed]
- Kuo, Y.J.; Lewis, J.S., Jr.; Zhai, C.; Chen, Y.A.; Chernock, R.D.; Hsieh, M.S.; Lan, M.Y.; Lee, C.K.; Weinreb, I.; Hang, J.F. DEK-AFF2 fusion-associated papillary squamous cell carcinoma of the sinonasal tract: Clinicopathologic characterization of seven cases with deceptively bland morphology. Mod. Pathol. 2021, 34, 1820–1830. [Google Scholar] [CrossRef] [PubMed]
- Rooper, L.M.; Agaimy, A.; Dickson, B.C.; Dueber, J.C.; Eberhart, C.G.; Gagan, J.; Hartmann, A.; Khararjian, A.; London, N.R.; MacMillan, C.M.; et al. DEK-AFF2 Carcinoma of the Sinonasal Region and Skull Base: Detailed Clinicopathologic Characterization of a Distinctive Entity. Am. J. Surg. Pathol. 2021, 45, 1682–1693. [Google Scholar] [CrossRef] [PubMed]
- Bubola, J.; MacMillan, C.M.; Weinreb, I.; Witterick, I.; Swanson, D.; Zhang, L.; Antonescu, C.R.; Dickson, B.C. A Poorly Differentiated Non-keratinizing Sinonasal Squamous Cell Carcinoma with a Novel ETV6-TNFRSF8 Fusion Gene. Head Neck Pathol. 2021, 15, 1284–1288. [Google Scholar] [CrossRef] [PubMed]
- Hongo, T.; Yamamoto, H.; Jiromaru, R.; Yasumatsu, R.; Kuga, R.; Nozaki, Y.; Hashimoto, K.; Matsuo, M.; Wakasaki, T.; Tamae, A.; et al. PD-L1 expression, tumor-infiltrating lymphocytes, mismatch repair deficiency, EGFR alteration and HPV infection in sinonasal squamous cell carcinoma. Mod. Pathol. 2021, 34, 1966–1978. [Google Scholar] [CrossRef] [PubMed]
- Barnes, L. Intestinal-type adenocarcinoma of the nasal cavity and paranasal sinuses. Am. J. Surg. Pathol. 1986, 10, 192–202. [Google Scholar] [CrossRef]
- Kleinsasser, O.; Schroeder, H.G. Adenocarcinomas of the inner nose after exposure to wood dust. Morphological findings and relationships between histopathology and clinical behavior in 79 cases. Arch. Otorhinolaryngol. 1988, 245, 1–15. [Google Scholar] [CrossRef] [PubMed]
- Franchi, A.; Gallo, O.; Santucci, M. Clinical relevance of the histological classification of sinonasal intestinal-type adenocarcinomas. Hum. Pathol. 1999, 30, 1140–1145. [Google Scholar] [CrossRef]
- Yom, S.S.; Rashid, A.; Rosenthal, D.I.; Elliott, D.D.; Hanna, E.Y.; Weber, R.S.; El-Naggar, A.K. Genetic analysis of sinonasal adenocarcinoma phenotypes: Distinct alterations of histogenetic significance. Mod. Pathol. 2005, 18, 315–319. [Google Scholar] [CrossRef] [PubMed]
- Franchi, A.; Palomba, A.; Fondi, C.; Miligi, L.; Paglierani, M.; Pepi, M.; Santucci, M. Immunohistochemical investigation of tumorigenic pathways in sinonasal intestinal-type adenocarcinoma. A tissue microarray analysis of 62 cases. Histopathology 2011, 59, 98–105. [Google Scholar] [CrossRef] [PubMed]
- Lopez-Hernandez, A.; Perez-Escuredo, J.; Vivanco, B.; Garcia-Inclan, C.; Potes-Ares, S.; Cabal, V.N.; Riobello, C.; Costales, M.; Lopez, F.; Llorente, J.L.; et al. Genomic profiling of intestinal-type sinonasal adenocarcinoma reveals subgroups of patients with distinct clinical outcomes. Head Neck 2018, 40, 259–273. [Google Scholar] [CrossRef] [PubMed]
- Perrone, F.; Oggionni, M.; Birindelli, S.; Suardi, S.; Tabano, S.; Romano, R.; Moiraghi, M.L.; Bimbi, G.; Quattrone, P.; Cantu, G.; et al. TP53, p14ARF, p16INK4a and H-ras gene molecular analysis in intestinal-type adenocarcinoma of the nasal cavity and paranasal sinuses. Int. J. Cancer 2003, 105, 196–203. [Google Scholar] [CrossRef] [PubMed] [Green Version]
- Perez-Escuredo, J.; Martinez, J.G.; Vivanco, B.; Marcos, C.A.; Suarez, C.; Llorente, J.L.; Hermsen, M.A. Wood dust-related mutational profile of TP53 in intestinal-type sinonasal adenocarcinoma. Hum. Pathol. 2012, 43, 1894–1901. [Google Scholar] [CrossRef] [PubMed]
- Licitra, L.; Suardi, S.; Bossi, P.; Locati, L.D.; Mariani, L.; Quattrone, P.; Lo Vullo, S.; Oggionni, M.; Olmi, P.; Cantù, G.; et al. Prediction of TP53 status for primary cisplatin, fluorouracil, and leucovorin chemotherapy in ethmoid sinus intestinal-type adenocarcinoma. J. Clin. Oncol. 2004, 22, 4901–4906. [Google Scholar] [CrossRef] [PubMed]
- Sjostedt, S.; Schmidt, A.Y.; Vieira, F.G.; Willemoe, G.L.; Agander, T.K.; Olsen, C.; Nielsen, F.C.; von Buchwald, C. Major driver mutations are shared between sinonasal intestinal-type adenocarcinoma and the morphologically identical colorectal adenocarcinoma. J. Cancer Res. Clin. Oncol. 2021, 147, 1019–1027. [Google Scholar] [CrossRef]
- Frattini, M.; Perrone, F.; Suardi, S.; Balestra, D.; Caramuta, S.; Colombo, F.; Licitra, L.; Cantu, G.; Pierotti, M.A.; Pilotti, S. Phenotype-genotype correlation: Challenge of intestinal-type adenocarcinoma of the nasal cavity and paranasal sinuses. Head Neck 2006, 28, 909–915. [Google Scholar] [CrossRef] [PubMed]
- Lopez, F.; Garcia Inclan, C.; Perez-Escuredo, J.; Alvarez Marcos, C.; Scola, B.; Suarez, C.; Llorente, J.L.; Hermsen, M.A. KRAS and BRAF mutations in sinonasal cancer. Oral. Oncol. 2012, 48, 692–697. [Google Scholar] [CrossRef]
- Garcia-Inclan, C.; Lopez, F.; Perez-Escuredo, J.; Cuesta-Albalad, M.P.; Vivanco, B.; Centeno, I.; Balbin, M.; Suarez, C.; Llorente, J.L.; Hermsen, M.A. EGFR status and KRAS/BRAF mutations in intestinal-type sinonasal adenocarcinomas. Cell Oncol. 2012, 35, 443–450. [Google Scholar] [CrossRef] [PubMed]
- Franchi, A.; Innocenti, D.R.; Palomba, A.; Miligi, L.; Paiar, F.; Franzese, C.; Santucci, M. Low prevalence of K-RAS, EGF-R and BRAF mutations in sinonasal adenocarcinomas. Implications for anti-EGFR treatments. Pathol. Oncol. Res. 2014, 20, 571–579. [Google Scholar] [CrossRef] [PubMed]
- Franchi, A.; Fondi, C.; Paglierani, M.; Pepi, M.; Gallo, O.; Santucci, M. Epidermal growth factor receptor expression and gene copy number in sinonasal intestinal type adenocarcinoma. Oral. Oncol. 2009, 45, 835–838. [Google Scholar] [CrossRef] [PubMed]
- Projetti, F.; Mesturoux, L.; Coulibaly, B.; Durand, K.; Chaunavel, A.; Leobon, S.; Gadeaud, E.; Caire, F.; Bessede, J.P.; Labrousse, F. Study of MET protein levels and MET gene copy number in 72 sinonasal intestinal-type adenocarcinomas. Head Neck 2015, 37, 1563–1568. [Google Scholar] [CrossRef] [PubMed]
- Perez-Ordonez, B.; Huynh, N.N.; Berean, K.W.; Jordan, R.C. Expression of mismatch repair proteins, beta catenin, and E cadherin in intestinal-type sinonasal adenocarcinoma. J. Clin. Pathol. 2004, 57, 1080–1083. [Google Scholar] [CrossRef] [PubMed] [Green Version]
- Diaz-Molina, J.P.; Llorente, J.L.; Vivanco, B.; Martinez-Camblor, P.; Fresno, M.F.; Perez-Escuredo, J.; Alvarez-Marcos, C.; Hermsen, M.A. Wnt-pathway activation in intestinal-type sinonasal adenocarcinoma. Rhinology 2011, 49, 593–599. [Google Scholar] [CrossRef] [PubMed]
- Sanchez-Fernandez, P.; Riobello, C.; Costales, M.; Vivanco, B.; Cabal, V.N.; Garcia-Marin, R.; Suarez-Fernandez, L.; Lopez, F.; Cabanillas, R.; Hermsen, M.A.; et al. Next-generation sequencing for identification of actionable gene mutations in intestinal-type sinonasal adenocarcinoma. Sci. Rep. 2021, 11, 2247. [Google Scholar] [CrossRef] [PubMed]
- Purgina, B.; Bastaki, J.M.; Duvvuri, U.; Seethala, R.R. A Subset of Sinonasal Non-Intestinal Type Adenocarcinomas are Truly Seromucinous Adenocarcinomas: A Morphologic and Immunophenotypic Assessment and Description of a Novel Pitfall. Head Neck Pathol. 2015, 9, 436–446. [Google Scholar] [CrossRef] [PubMed] [Green Version]
- Yue, C.; Piao, Y.; Bai, Y.; Liu, H.; Zhang, L. Sinonasal low-grade non-intestinal-type adenocarcinoma: A retrospective analysis and literature review. Ann. Diagn. Pathol. 2021, 52, 151709. [Google Scholar] [CrossRef] [PubMed]
- Kleinsasser, O. Terminal tubulus adenocarcinoma of the nasal seromucous glands. A specific entity. Arch. Otorhinolaryngol. 1985, 241, 183–193. [Google Scholar] [CrossRef]
- Blumberg, J.M.; Escobar-Stein, J.; Vining, E.M.; Prasad, M.L. Low-Grade, Nonintestinal Nonsalivary Sinonasal Adenocarcinoma Associated With an Exophytic Schneiderian Papilloma: A Case Report. Int. J. Surg Pathol. 2015, 23, 662–666. [Google Scholar] [CrossRef] [PubMed]
- Jo, V.Y.; Mills, S.E.; Cathro, H.P.; Carlson, D.L.; Stelow, E.B. Low-grade sinonasal adenocarcinomas: The association with and distinction from respiratory epithelial adenomatoid hamartomas and other glandular lesions. Am. J. Surg. Pathol. 2009, 33, 401–408. [Google Scholar] [CrossRef] [PubMed]
- Baneckova, M.; Michal, M.; Laco, J.; Leivo, I.; Ptakova, N.; Horakova, M.; Michal, M.; Skalova, A. Immunohistochemical and genetic analysis of respiratory epithelial adenomatoid hamartomas and seromucinous hamartomas: Are they precursor lesions to sinonasal low-grade tubulopapillary adenocarcinomas? Hum. Pathol. 2020, 97, 94–102. [Google Scholar] [CrossRef] [PubMed]
- Andreasen, S.; Skalova, A.; Agaimy, A.; Bishop, J.A.; Laco, J.; Leivo, I.; Franchi, A.; Larsen, S.R.; Erentaite, D.; Ulhoi, B.P.; et al. ETV6 Gene Rearrangements Characterize a Morphologically Distinct Subset of Sinonasal Low-grade Non-intestinal-type Adenocarcinoma: A Novel Translocation-associated Carcinoma Restricted to the Sinonasal Tract. Am. J. Surg. Pathol. 2017, 41, 1552–1560. [Google Scholar] [CrossRef] [PubMed]
- Andreasen, S.; Kiss, K.; Melchior, L.C.; Laco, J. The ETV6-RET Gene Fusion Is Found in ETV6-rearranged Low-grade Sinonasal Adenocarcinoma Without NTRK3 Involvement. Am. J. Surg. Pathol. 2018, 42, 985–988. [Google Scholar] [CrossRef] [PubMed]
- Baneckova, M.; Agaimy, A.; Andreasen, S.; Vanecek, T.; Steiner, P.; Slouka, D.; Svoboda, T.; Miesbauerova, M.; Michal, M., Jr.; Skalova, A. Mammary Analog Secretory Carcinoma of the Nasal Cavity: Characterization of 2 Cases and Their Distinction From Other Low-grade Sinonasal Adenocarcinomas. Am. J. Surg. Pathol. 2018, 42, 735–743. [Google Scholar] [CrossRef] [PubMed]
- Drilon, A.; Li, G.; Dogan, S.; Gounder, M.; Shen, R.; Arcila, M.; Wang, L.; Hyman, D.M.; Hechtman, J.; Wei, G.; et al. What hides behind the MASC: Clinical response and acquired resistance to entrectinib after ETV6-NTRK3 identification in a mammary analogue secretory carcinoma (MASC). Ann. Oncol. 2016, 27, 920–926. [Google Scholar] [CrossRef] [PubMed]
- Soon, G.S.T.; Chang, K.T.E.; Kuick, C.H.; Petersson, F. A case of nasal low-grade non-intestinal-type adenocarcinoma with aberrant CDX2 expression and a novel SYN2-PPARG gene fusion in a 13-year-old girl. Virchows Arch. 2019, 474, 619–623. [Google Scholar] [CrossRef] [PubMed]
- Villatoro, T.M.; Mardekian, S.K. Two Cases of Sinonasal Non-Intestinal-Type Adenocarcinoma with Squamoid Morules Expressing Nuclear beta-Catenin and CDX2: A Curious Morphologic finding Supported by Molecular Analysis. Case Rep. Pathol. 2018, 2018, 8741017. [Google Scholar] [CrossRef] [PubMed]
- Franchi, A.; Palomba, A.; Massi, D.; Biancalani, M.; Sardi, I.; Gallo, O.; Santucci, M. Low-grade salivary type tubulo-papillary adenocarcinoma of the sinonasal tract. Histopathology 2006, 48, 881–884. [Google Scholar] [CrossRef] [PubMed]
- Zur, K.B.; Brandwein, M.; Wang, B.; Som, P.; Gordon, R.; Urken, M.L. Primary description of a new entity, renal cell-like carcinoma of the nasal cavity: Van Meegeren in the house of Vermeer. Arch. Otolaryngol. Head Neck Surg. 2002, 128, 441–447. [Google Scholar] [CrossRef] [PubMed]
- Storck, K.; Hadi, U.M.; Simpson, R.; Ramer, M.; Brandwein-Gensler, M. Sinonasal renal cell-like adenocarcinoma: A report on four patients. Head Neck Pathol. 2008, 2, 75–80. [Google Scholar] [CrossRef] [PubMed]
- Shen, T.; Shi, Q.; Velosa, C.; Bai, S.; Thompson, L.; Simpson, R.; Wei, S.; Brandwein-Gensler, M. Sinonasal renal cell-like adenocarcinomas: Robust carbonic anhydrase expression. Hum. Pathol. 2015, 46, 1598–1606. [Google Scholar] [CrossRef] [PubMed]
- Stelow, E.B.; Jo, V.Y.; Mills, S.E.; Carlson, D.L. A histologic and immunohistochemical study describing the diversity of tumors classified as sinonasal high-grade nonintestinal adenocarcinomas. Am. J. Surg. Pathol. 2011, 35, 971–980. [Google Scholar] [CrossRef] [PubMed]
- Agaimy, A.; Mueller, S.K.; Bishop, J.A.; Chiosea, S.I. Primary and Secondary/ Metastatic Salivary Duct Carcinoma Presenting within the Sinonasal Tract. Head Neck Pathol. 2021, 15, 769–779. [Google Scholar] [CrossRef] [PubMed]
- Shah, A.A.; Jain, D.; Ababneh, E.; Agaimy, A.; Hoschar, A.P.; Griffith, C.C.; Magliocca, K.R.; Wenig, B.M.; Rooper, L.M.; Bishop, J.A. SMARCB1 (INI-1)-Deficient Adenocarcinoma of the Sinonasal Tract: A Potentially Under-Recognized form of Sinonasal Adenocarcinoma with Occasional Yolk Sac Tumor-Like Features. Head Neck Pathol. 2020, 14, 465–472. [Google Scholar] [CrossRef] [PubMed]
- Frierson, H.F., Jr.; Mills, S.E.; Fechner, R.E.; Taxy, J.B.; Levine, P.A. Sinonasal undifferentiated carcinoma. An aggressive neoplasm derived from schneiderian epithelium and distinct from olfactory neuroblastoma. Am. J. Surg. Pathol. 1986, 10, 771–779. [Google Scholar] [CrossRef] [PubMed]
- Agaimy, A.; Franchi, A.; Lund, V.J.; Skalova, A.; Bishop, J.A.; Triantafyllou, A.; Andreasen, S.; Gnepp, D.R.; Hellquist, H.; Thompson, L.D.R.; et al. Sinonasal Undifferentiated Carcinoma (SNUC): From an Entity to Morphologic Pattern and Back Again-A Historical Perspective. Adv. Anat. Pathol. 2020, 27, 51–60. [Google Scholar] [CrossRef] [PubMed]
- French, C.A. NUT midline carcinoma. Cancer Genet. Cytogenet. 2010, 203, 16–20. [Google Scholar] [CrossRef] [PubMed]
- Agaimy, A.; Hartmann, A.; Antonescu, C.R.; Chiosea, S.I.; El-Mofty, S.K.; Geddert, H.; Iro, H.; Lewis, J.S., Jr.; Markl, B.; Mills, S.E.; et al. SMARCB1 (INI-1)-deficient Sinonasal Carcinoma: A Series of 39 Cases Expanding the Morphologic and Clinicopathologic Spectrum of a Recently Described Entity. Am. J. Surg. Pathol. 2017, 41, 458–471. [Google Scholar] [CrossRef] [Green Version]
- Agaimy, A.; Jain, D.; Uddin, N.; Rooper, L.M.; Bishop, J.A. SMARCA4-deficient Sinonasal Carcinoma: A Series of 10 Cases Expanding the Genetic Spectrum of SWI/SNF-driven Sinonasal Malignancies. Am. J. Surg. Pathol. 2020, 44, 703–710. [Google Scholar] [CrossRef] [PubMed] [Green Version]
- Dogan, S.; Chute, D.J.; Xu, B.; Ptashkin, R.N.; Chandramohan, R.; Casanova-Murphy, J.; Nafa, K.; Bishop, J.A.; Chiosea, S.I.; Stelow, E.B.; et al. Frequent IDH2 R172 mutations in undifferentiated and poorly-differentiated sinonasal carcinomas. J. Pathol. 2017, 242, 400–408. [Google Scholar] [CrossRef] [PubMed]
- Jo, V.Y.; Chau, N.G.; Hornick, J.L.; Krane, J.F.; Sholl, L.M. Recurrent IDH2 R172X mutations in sinonasal undifferentiated carcinoma. Mod. Pathol. 2017, 30, 650–659. [Google Scholar] [CrossRef] [PubMed]
- Mito, J.K.; Bishop, J.A.; Sadow, P.M.; Stelow, E.B.; Faquin, W.C.; Mills, S.E.; Krane, J.F.; French, C.A.; Fletcher, C.D.M.; Hornick, J.L.; et al. Immunohistochemical Detection and Molecular Characterization of IDH-mutant Sinonasal Undifferentiated Carcinomas. Am. J. Surg. Pathol. 2018, 42, 1067–1075. [Google Scholar] [CrossRef] [PubMed]
- Dogan, S.; Frosina, D.; Fayad, M.; de Oliveira, T.B.; Alemar, B.; Rosenblum, M.; Tang, L.H.; Hameed, M.; Xu, B.; Ghossein, R.A.; et al. The role of a monoclonal antibody 11C8B1 as a diagnostic marker of IDH2-mutated sinonasal undifferentiated carcinoma. Mod. Pathol. 2019, 32, 205–215. [Google Scholar] [CrossRef] [PubMed]
- Riobello, C.; Lopez-Hernandez, A.; Cabal, V.N.; Garcia-Marin, R.; Suarez-Fernandez, L.; Sanchez-Fernandez, P.; Vivanco, B.; Blanco, V.; Lopez, F.; Franchi, A.; et al. IDH2 Mutation Analysis in Undifferentiated and Poorly Differentiated Sinonasal Carcinomas for Diagnosis and Clinical Management. Am. J. Surg. Pathol. 2020, 44, 396–405. [Google Scholar] [CrossRef] [PubMed]
- Dogan, S.; Vasudevaraja, V.; Xu, B.; Serrano, J.; Ptashkin, R.N.; Jung, H.J.; Chiang, S.; Jungbluth, A.A.; Cohen, M.A.; Ganly, I.; et al. DNA methylation-based classification of sinonasal undifferentiated carcinoma. Mod. Pathol. 2019, 32, 1447–1459. [Google Scholar] [CrossRef] [PubMed]
- Gloss, S.; Jurmeister, P.; Thieme, A.; Schmid, S.; Cai, W.Y.; Serrette, R.N.; Perner, S.; Ribbat-Idel, J.; Pagenstecher, A.; Blaker, H.; et al. IDH2 R172 Mutations Across Poorly Differentiated Sinonasal Tract Malignancies: Forty Molecularly Homogenous and Histologically Variable Cases With Favorable Outcome. Am. J. Surg. Pathol. 2021, 45, 1190–1204. [Google Scholar] [CrossRef] [PubMed]
- Rooper, L.M.; Uddin, N.; Gagan, J.; Brosens, L.A.A.; Magliocca, K.R.; Edgar, M.A.; Thompson, L.D.R.; Agaimy, A.; Bishop, J.A. Recurrent Loss of SMARCA4 in Sinonasal Teratocarcinosarcoma. Am. J. Surg. Pathol. 2020, 44, 1331–1339. [Google Scholar] [CrossRef] [PubMed]
- Zamecnik, M.; Rychnovsky, J.; Syrovatka, J. Sinonasal SMARCB1 (INI1) Deficient Carcinoma With Yolk Sac Tumor Differentiation: Report of a Case and Comparison With INI1 Expression in Gonadal Germ Cell Tumors. Int. J. Surg. Pathol. 2018, 26, 245–249. [Google Scholar] [CrossRef]
- Li, C.Y.; Han, Y.M.; Xu, K.; Wu, S.Y.; Lin, X.Y.; Cao, H.Y. Case Report: SMARCB1 (INI-1)-Deficient Carcinoma of the Nasal Cavity with Pure Yolk Sac Tumor Differentiation and Elevated Serum AFP Levels. Onco Targets Ther. 2021, 14, 2227–2233. [Google Scholar] [CrossRef] [PubMed]
- Stelow, E.B.; French, C.A. Carcinomas of the upper aerodigestive tract with rearrangement of the nuclear protein of the testis (NUT) gene (NUT midline carcinomas). Adv. Anat. Pathol. 2009, 16, 92–96. [Google Scholar] [CrossRef] [PubMed]
- Contrera, K.J.; Woody, N.M.; Rahman, M.; Sindwani, R.; Burkey, B.B. Clinical management of emerging sinonasal malignancies. Head Neck 2020, 42, 2202–2212. [Google Scholar] [CrossRef] [PubMed]
- Pirozzi, C.J.; Yan, H. The implications of IDH mutations for cancer development and therapy. Nat. Rev. Clin. Oncol. 2021, 18, 645–661. [Google Scholar] [CrossRef] [PubMed]
- Shaverdashvili, K.; Azimi-Nekoo, E.; Cohen, P.; Akbar, N.; Ow, T.J.; Halmos, B.; Castellucci, E. INI-1 (SMARCB1)-Deficient Undifferentiated Sinonasal Carcinoma: Novel Paradigm of Molecular Testing in the Diagnosis and Management of Sinonasal Malignancies. Oncologist 2020, 25, 738–744. [Google Scholar] [CrossRef] [PubMed] [Green Version]
- Agaimy, A.; Bishop, J.A. SWI/SNF-deficient head and neck neoplasms: An overview. Semin Diagn. Pathol. 2021, 38, 175–182. [Google Scholar] [CrossRef] [PubMed]
- Morrison-Smith, C.D.; Knox, T.M.; Filic, I.; Soroko, K.M.; Eschle, B.K.; Wilkens, M.K.; Gokhale, P.C.; Giles, F.; Griffin, A.; Brown, B.; et al. Combined Targeting of the BRD4-NUT-p300 Axis in NUT Midline Carcinoma by Dual Selective Bromodomain Inhibitor, NEO2734. Mol. Cancer Ther. 2020, 19, 1406–1414. [Google Scholar] [CrossRef] [PubMed]
- Shapiro, G.I.; LoRusso, P.; Dowlati, A.; Do, K.T.; Jacobson, C.A.; Vaishampayan, U.; Weise, A.; Caimi, P.F.; Eder, J.P.; French, C.A.; et al. A Phase 1 study of RO6870810, a novel bromodomain and extra-terminal protein inhibitor, in patients with NUT carcinoma, other solid tumours, or diffuse large B-cell lymphoma. Br. J. Cancer 2021, 124, 744–753. [Google Scholar] [CrossRef] [PubMed]





| Molecular Subgroup | Defining Genetic Findings | Histologic Subtype/Features | Other Genetic Findings | Clinical Significance | 
|---|---|---|---|---|
| EGFR amplification | Copy number gains | De novo keratinizing SCC (30%) | Absence of KRAS mutations | ND | 
| EGFR mutated | Mainly EGFR exon 20 mutations; rare involvement of exon 19 | SCC arising in ISP (90–95%); de novo keratinizing SCC (6–15%) | Absence of KRAS mutations; recurrent TP53 and CDKN2A mutations in SCC arising in SP | Worse survival in some studies; potential targeted treatment | 
| KRAS mutated | G12V and G12D mutations | SCC arising in OSP (100%) | ND | ND | 
| HR-HPV related (monotypic) | Mainly HPV 16; HPV-18, 31, and 33 rarely detected | Non-keratinizing SCC (50%); Keratinizing SCC (4–25%) | ND | Favorable prognosis | 
| HR-HPV related multiphenotypic carcinoma | Mainly HPV 33, rarely 52, 56 and others | Non-keratinizing SCC (50%); Keratinizing SCC (4–25%) | ND | Favorable prognosis | 
| DEK::AFF2 translocated | DEK::AFF2 fusion | Exophytic and endophytic growth; non keratinizing SCC; less frequently keratinizing | Negative for EGFR and KRAS mutations; absence of HR-HPV | Lymph node metastases in 30% of the patients; metastases to bone and brain; good response to check-point inhibitors in one case, not confirmed in others | 
| Molecular Subgroup | Defining Genetic Findings | Histologic Subtype/Features | Immunohistochemical Markers | Other Genetic Findings | Clinical Significance | 
|---|---|---|---|---|---|
| IDH2 mutant | R172X mutations | SNUC; rarely: large cell neuroendocrine carcinoma; high grade non ITAC | Cytokeratins (simple epithelia); positive with anti-IDH2 mutant R132/R172 | Distinctive hypermethylation pattern; increase in repressive trimethylation of H3K27; gains on chromosome arm 1q | Better DFS; specific IDH-guided therapies | 
| IDH2 wild- type | Absence of IDH2 mutations | SCNEC; poorly differentiated carcinomas with NE differentiation | Variable | Frequent ARID1A mutations; TP53 mutations in SCNEC; alterations in Wnt pathway genes | ND | 
| SMARCB1 deficient | Homozygous deletion, hemizygous deletion, or truncating mutations of SMARCB1 | Undifferentiated  carcinoma with basaloid features or less frequently rhabdoid cells; high grade non ITAC | Loss of INI1; CK5/6, P63, CDX2 + in 50–60%; focal positivity for neuroendocrine markers in some cases | Loss of NF2 and CHEK2, chromosome 7 gain, TP53 V157F, CDKN2A W110, and CTNNB1 S45F mutations | Poorer DFS; possible treatment with EZH2 inhibitors | 
| SMARCA4 deficient | SMARCA4 inactivating mutations | Undifferentiated carcinoma with large or less frequently basaloid cells, sometimes rhabdoid; teratocarcinosarcoma | Loss of SMARCA4 (BRG1); limited neuroendocrine markers in many cases | Activating p.S45F mutation of β-catenin in teratocarcinosarcoma | possible treatment with EZH2 inhibitors | 
| NUT carcinoma | NUTM1 gene rearrangement | Uniform neoplastic population of round/polygonal cells; abrupt keratinization in 43% | Homogeneous NUT nuclear positivity; cytokeratins, p63+/−, CD34−/+ | ND | Possible treatment with bromodomain inhibitors | 
| Publisher’s Note: MDPI stays neutral with regard to jurisdictional claims in published maps and institutional affiliations. | 
© 2022 by the authors. Licensee MDPI, Basel, Switzerland. This article is an open access article distributed under the terms and conditions of the Creative Commons Attribution (CC BY) license (https://creativecommons.org/licenses/by/4.0/).
Share and Cite
Taverna, C.; Agaimy, A.; Franchi, A. Towards a Molecular Classification of Sinonasal Carcinomas: Clinical Implications and Opportunities. Cancers 2022, 14, 1463. https://doi.org/10.3390/cancers14061463
Taverna C, Agaimy A, Franchi A. Towards a Molecular Classification of Sinonasal Carcinomas: Clinical Implications and Opportunities. Cancers. 2022; 14(6):1463. https://doi.org/10.3390/cancers14061463
Chicago/Turabian StyleTaverna, Cecilia, Abbas Agaimy, and Alessandro Franchi. 2022. "Towards a Molecular Classification of Sinonasal Carcinomas: Clinical Implications and Opportunities" Cancers 14, no. 6: 1463. https://doi.org/10.3390/cancers14061463
APA StyleTaverna, C., Agaimy, A., & Franchi, A. (2022). Towards a Molecular Classification of Sinonasal Carcinomas: Clinical Implications and Opportunities. Cancers, 14(6), 1463. https://doi.org/10.3390/cancers14061463
 
         
                                                



 
       