DNA-Methylation Analysis as a Tool for Thymoma Classification
Abstract
Simple Summary
Abstract
1. Introduction
2. Material and Methods
2.1. Sample Selection and Quality Control
2.2. DNA Extraction and Quantification
2.3. Methylation Array Processing and Copy Number Profiling
2.4. Statistical Analysis
3. Results
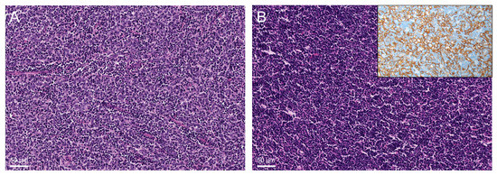
3.1. Thymoma Methylation Classes and Histological Characteristics
3.2. Case-by-Case Discussion for “No Match” Samples
3.3. Copy Number Profiling of Thymomas
4. Discussion
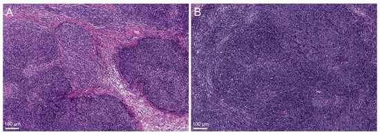
4.1. (a) A-Thymomas Cluster Together with Atypical A-Thymomas
4.2. (b) Methylation Analyses Separate AB-Thymomas into Two Subgroups: Monophasic and Bi-Phasic AB-Thymoma
4.3. (c) Methylation Analyses Separate B2-Thymomas into Two Subgroups: Conventional and “B1-like” B2-Thymomas
4.4. (d) Composite Thymomas Consisting of B2 and B3 Components Clustered Accordingly between MC-B2 and MC-B3
4.5. (e) A-Thymoma and Micronodular Thymoma with Lymphoid Stroma form Distinct Methylation Groups Distant from Each Other
Supplementary Materials
Author Contributions
Funding
Institutional Review Board Statement
Informed Consent Statement
Data Availability Statement
Acknowledgments
Conflicts of Interest
References
- Engels, E.A. Epidemiology of thymoma and associated malignancies. J. Thorac. Oncol. 2010, 5 (Suppl. 4), S260–S265. [Google Scholar] [CrossRef] [PubMed]
- Oselin, K.; Girard, N.; Lepik, K.; Adamson-Raieste, A.; Vanakesa, T.; Almre, I.; Leismann, T.; Chalabreysse, L. Pathological discrepancies in the diagnosis of thymic epithelial tumors: The Tallinn-Lyon experience. J. Thorac. Dis. 2019, 11, 456–464. [Google Scholar] [CrossRef]
- Travis, W.D.; Brambilla, E.; Burke, A.P.; Marx, A.; Nicholson, A.G. Introduction to the 2015 World Health Organization Classification of Tumors of the Lung, Pleura, Thymus, and Heart. J. Thorac. Oncol. 2015, 10, 1240–1242. [Google Scholar] [CrossRef] [PubMed]
- Rosai, J.; Sobin, L. Histological Typing of Tumours of the Thymus; Springer: Berlin/Heidelberg, Germany, 1999. [Google Scholar]
- Suster, S.; Moran, C.A. Thymoma classification: Current status and future trends. Am. J. Clin. Pathol. 2006, 125, 542–554. [Google Scholar] [CrossRef] [PubMed]
- Suster, S.; Moran, C.A. Histologic classification of thymoma: The World Health Organization and beyond. Hematol. Oncol. Clin. N. Am. 2008, 22, 381–392. [Google Scholar] [CrossRef] [PubMed]
- Weissferdt, A.; Kalhor, N.; Bishop, J.A.; Jang, S.J.; Ro, J.; Petersson, F.; Wu, B.; Langman, G.; Bancroft, H.; Bi, Y.; et al. Thymoma: A clinicopathological correlation of 1470 cases. Hum. Pathol. 2018, 73, 7–15. [Google Scholar] [CrossRef] [PubMed]
- Radovich, M.; Pickering, C.R.; Felau, I.; Ha, G.; Zhang, H.; Jo, H.; Hoadley, K.A.; Anur, P.; Zhang, J.; McLellan, M.; et al. The Integrated Genomic Landscape of Thymic Epithelial Tumors. Cancer Cell 2018, 33, 244–258.e10. [Google Scholar] [CrossRef] [PubMed]
- Marx, A.; Chan, J.K.; Chalabreysse, L.; Dacic, S.; Detterbeck, F.; French, C.A.; Hornick, J.L.; Inagaki, H.; Jain, D.; Lazar, A.J.; et al. The 2021 WHO Classification of Tumors of the Thymus and Mediastinum: What Is New in Thymic Epithelial, Germ Cell, and Mesenchymal Tumors? J. Thorac. Oncol. 2022, 17, 200–213. [Google Scholar] [CrossRef]
- Molina, T.J.; Bluthgen, M.V.; Chalabreysse, L.; de Montpréville, V.T.; de Muret, A.; Dubois, R.; Hofman, V.; Lantuejoul, S.; le Naoures, C.; Mansuet-Lupo, A.; et al. Impact of expert pathologic review of thymic epithelial tumours on diagnosis and management in a real-life setting: A RYTHMIC study. Eur. J. Cancer 2021, 143, 158–167. [Google Scholar] [CrossRef] [PubMed]
- Wolf, J.L.; van Nederveen, F.; Blaauwgeers, H.; Marx, A.; Nicholson, A.G.; Roden, A.C.; Ströbel, P.; Timens, W.; Weissferdt, A.; von der Thüsen, J.; et al. Interobserver variation in the classification of thymic lesions including biopsies and resection specimens in an international digital microscopy panel. Histopathology 2020, 77, 734–741. [Google Scholar] [CrossRef]
- Verghese, E.T.; Den Bakker, M.A.; Campbell, A.; Hussein, A.; Nicholson, A.G.; Rice, A.; Corrin, B.; Rassl, D.; Langman, G.; Monaghan, H.; et al. Interobserver variation in the classification of thymic tumours—A multicentre study using the WHO classification system. Histopathology 2008, 53, 218–223. [Google Scholar] [CrossRef] [PubMed]
- Ströbel, P.; Hartmann, E.; Rosenwald, A.; Kalla, J.; Ott, G.; Friedel, G.; Schalke, B.; Kasahara, M.; Tomaru, U.; Marx, A. Corticomedullary differentiation and maturational arrest in thymomas. Histopathology 2014, 64, 557–566. [Google Scholar] [CrossRef] [PubMed]
- Marino, M.; Muller-Hermelink, H.K. Thymoma and thymic carcinoma. Relation of thymoma epithelial cells to the cortical and medullary differentiation of thymus. Virchows Arch. A Pathol. Anat. Histopathol. 1985, 407, 119–149. [Google Scholar] [CrossRef]
- Hoadley, K.A.; Yau, C.; Hinoue, T.; Wolf, D.M.; Lazar, A.J.; Drill, E.; Shen, R.; Taylor, A.M.; Cherniack, A.D.; Thorsson, V.; et al. Cell-of-Origin Patterns Dominate the Molecular Classification of 10,000 Tumors from 33 Types of Cancer. Cell 2018, 173, 291–304.e6. [Google Scholar] [CrossRef] [PubMed]
- Yamada, Y.; Bohnenberger, H.; Kriegsmann, M.; Kriegsmann, K.; Sinn, P.; Goto, N.; Nakanishi, Y.; Seno, H.; Chigusa, Y.; Fujimoto, M.; et al. Tuft cell-like carcinomas: Novel cancer subsets present in multiple organs sharing a unique gene expression signature. Br. J. Cancer 2022, 127, 1876–1885. [Google Scholar] [CrossRef]
- Capper, D.; Jones, D.T.; Sill, M.; Hovestadt, V.; Schrimpf, D.; Sturm, D.; Koelsche, C.; Sahm, F.; Chavez, L.; Reuss, D.E.; et al. DNA methylation-based classification of central nervous system tumours. Nature 2018, 555, 469–474. [Google Scholar] [CrossRef]
- WHO Classification of Tumours Editorial Board. Central Nervous System Tumours, 5th ed.; WHO Classification of Tumours Series; International Agency for Research on Cancer: Lyon, France, 2021; Volume 6, Available online: https://publications.iarc.fr/601 (accessed on 23 September 2022).
- Koelsche, C.; Schrimpf, D.; Stichel, D.; Sill, M.; Sahm, F.; Reuss, D.E.; Blattner, M.; Worst, B.; Heilig, C.E.; Beck, K.; et al. Sarcoma classification by DNA methylation profiling. Nat. Commun. 2021, 12, 498. [Google Scholar] [CrossRef] [PubMed]
- Sturm, D.; Witt, H.; Hovestadt, V.; Khuong-Quang, D.A.; Jones, D.T.; Konermann, C.; Pfaff, E.; Tönjes, M.; Sill, M.; Bender, S.; et al. Hotspot mutations in H3F3A and IDH1 define distinct epigenetic and biological subgroups of glioblastoma. Cancer Cell 2012, 22, 425–437. [Google Scholar] [CrossRef] [PubMed]
- Aryee, M.J.; Jaffe, A.E.; Corrada-Bravo, H.; Ladd-Acosta, C.; Feinberg, A.P.; Hansen, K.D.; Irizarry, R.A. Minfi: A flexible and comprehensive Bioconductor package for the analysis of Infinium DNA methylation microarrays. Bioinformatics 2014, 30, 1363–1369. [Google Scholar] [CrossRef]
- Nonaka, D.; Rosai, J. Is there a spectrum of cytologic atypia in type a thymomas analogous to that seen in type B thymomas? A pilot study of 13 cases. Am. J. Surg. Pathol. 2012, 36, 889–894. [Google Scholar] [CrossRef] [PubMed]
- Green, A.C.; Marx, A.; Ströbel, P.; Mason, M.; Lim, E.; Jordan, S.; Ladas, G.; Dusmet, M.; Rice, A.; Nicholson, A.G. Type A and AB thymomas: Histological features associated with increased stage. Histopathology 2015, 66, 884–891. [Google Scholar] [CrossRef] [PubMed]
- Vladislav, I.T.; Gokmen-Polar, Y.; Kesler, K.A.; Loehrer, P.J., Sr.; Badve, S. The role of histology in predicting recurrence of type A thymomas: A clinicopathologic correlation of 23 cases. Mod. Pathol. 2013, 26, 1059–1064. [Google Scholar] [CrossRef] [PubMed]
- Bürger, T.; Schaefer, I.M.; Küffer, S.; Bohnenberger, H.; Reuter-Jessen, K.; Chan, J.K.; Emmert, A.; Hinterthaner, M.; Marx, A.; Ströbel, P. Metastatic type A thymoma: Morphological and genetic correlation. Histopathology 2017, 70, 704–710. [Google Scholar] [CrossRef] [PubMed]
- Suster, D.; Mackinnon, A.C.; Pihan, G.; Everts, R.; Suster, S. Lymphocyte-Rich Spindle Cell Thymoma: Clinicopathologic, Immunohistochemical, Ultrastructural and Molecular Genetic Study of 80 Cases. Am. J. Surg. Pathol. 2022, 46, 603–616. [Google Scholar] [CrossRef]
- Inoue, M.; Starostik, P.; Zettl, A.; Ströbel, P.; Schwarz, S.; Scaravilli, F.; Henry, K.; Willcox, N.; Muller-Hermelink, H.K.; Marx, A. Correlating genetic aberrations with World Health Organization-defined histology and stage across the spectrum of thymomas. Cancer Res. 2003, 63, 3708–3715. [Google Scholar] [PubMed]
- Girard, N.; Ruffini, E.; Marx, A.; Faivre-Finn, C.; Peters, S.; Committee, E.G. Thymic epithelial tumours: ESMO Clinical Practice Guidelines for diagnosis, treatment and follow-up. Ann. Oncol. 2015, 26 (Suppl. 5), v40–v55. [Google Scholar] [CrossRef] [PubMed]
- Strobel, P.; Bauer, A.; Puppe, B.; Kraushaar, T.; Krein, A.; Toyka, K.; Gold, R.; Semik, M.; Kiefer, R.; Nix, W.; et al. Tumor recurrence and survival in patients treated for thymomas and thymic squamous cell carcinomas: A retrospective analysis. J. Clin. Oncol. 2004, 22, 1501–1509. [Google Scholar] [CrossRef]
- Massoth, L.R.; Hung, Y.P.; Dias-Santagata, D.; Onozato, M.; Shah, N.; Severson, E.; Duncan, D.; Gillespie, B.J.; Williams, N.F.; Ross, J.S.; et al. Pan-Cancer Landscape Analysis Reveals Recurrent KMT2A-MAML2 Gene Fusion in Aggressive Histologic Subtypes of Thymoma. JCO Precis. Oncol. 2020, 4, 109–115. [Google Scholar] [CrossRef]
- Von Hoff, K.; Haberler, C.; Schmitt-Hoffner, F.; Schepke, E.; De Rojas, T.; Jacobs, S.; Zapotocky, M.; Sumerauer, D.; Perek-Polnik, M.; Dufour, C.; et al. Therapeutic implications of improved molecular diagnostics for rare CNS embryonal tumor entities: Results of an international, retrospective study. Neuro Oncol. 2021, 23, 1597–1611. [Google Scholar] [CrossRef]
- Suster, S.; Moran, C.A. Micronodular thymoma with lymphoid B-cell hyperplasia: Clinicopathologic and immunohistochemical study of eighteen cases of a distinctive morphologic variant of thymic epithelial neoplasm. Am. J. Surg. Pathol. 1999, 23, 955–962. [Google Scholar] [CrossRef] [PubMed]
- Tateyama, H.; Saito, Y.; Fujii, Y.; Okumura, M.; Nakamura, K.; Tada, H.; Yasumitsu, T.; Eimoto, T. The spectrum of micronodular thymic epithelial tumours with lymphoid B-cell hyperplasia. Histopathology 2001, 38, 519–527. [Google Scholar] [CrossRef] [PubMed]
- Penzel, R.; Hoegel, J.; Schmitz, W.; Blaeker, H.; Morresi-Hauf, A.; Aulmann, S.; Hecker, E.; Mechtersheimer, G.; Otto, H.F.; Rieker, R.J. Clusters of chromosomal imbalances in thymic epithelial tumours are associated with the WHO classification and the staging system according to Masaoka. Int. J. Cancer 2003, 105, 494–498. [Google Scholar] [CrossRef] [PubMed]
- Zettl, A.; Ströbel, P.; Wagner, K.; Katzenberger, T.; Ott, G.; Rosenwald, A.; Peters, K.; Krein, A.; Semik, M.; Müller-Hermelink, H.K.; et al. Recurrent genetic aberrations in thymoma and thymic carcinoma. Am. J. Pathol. 2000, 157, 257–266. [Google Scholar] [CrossRef] [PubMed]
- Karakousis, C.P. Modified anterior compartment resection. J. Surg. Oncol. 1991, 46, 25–30. [Google Scholar] [CrossRef] [PubMed]






| Publisher’s Note: MDPI stays neutral with regard to jurisdictional claims in published maps and institutional affiliations. | 
© 2022 by the authors. Licensee MDPI, Basel, Switzerland. This article is an open access article distributed under the terms and conditions of the Creative Commons Attribution (CC BY) license (https://creativecommons.org/licenses/by/4.0/).
Share and Cite
Gaiser, T.; Hirsch, D.; Porth, I.; Sahm, F.; Ströbel, P.; von Deimling, A.; Marx, A. DNA-Methylation Analysis as a Tool for Thymoma Classification. Cancers 2022, 14, 5876. https://doi.org/10.3390/cancers14235876
Gaiser T, Hirsch D, Porth I, Sahm F, Ströbel P, von Deimling A, Marx A. DNA-Methylation Analysis as a Tool for Thymoma Classification. Cancers. 2022; 14(23):5876. https://doi.org/10.3390/cancers14235876
Chicago/Turabian StyleGaiser, Timo, Daniela Hirsch, Isabel Porth, Felix Sahm, Philipp Ströbel, Andreas von Deimling, and Alexander Marx. 2022. "DNA-Methylation Analysis as a Tool for Thymoma Classification" Cancers 14, no. 23: 5876. https://doi.org/10.3390/cancers14235876
APA StyleGaiser, T., Hirsch, D., Porth, I., Sahm, F., Ströbel, P., von Deimling, A., & Marx, A. (2022). DNA-Methylation Analysis as a Tool for Thymoma Classification. Cancers, 14(23), 5876. https://doi.org/10.3390/cancers14235876
 
         
                                                

