Differential Intracellular Protein Distribution in Cancer and Normal Cells—Beta-Catenin and CapG in Gynecologic Malignancies
Abstract
Simple Summary
Abstract
1. Introduction
2. Beta-Catenin
2.1. Beta-Catenin and Cancer
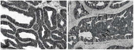
2.2. Change of the Steady-State Distribution of Beta-Catenin in Endometrial Cancer
3. CapG
3.1. CapG and Cancer
3.2. Change in the Dynamic Distribution of CapG in Breast Cancer
4. Discussion
5. Conclusions
Author Contributions
Funding
Conflicts of Interest
References
- Dulbecco, R. A turning point in cancer research: Sequencing the human genome. Science 1986, 231, 1055–1056. [Google Scholar] [CrossRef] [PubMed]
- Collins, F. Cancer: A Disease of the Genome. Cancer Res. 2007, 67, PL01-01-PL01-01. [Google Scholar]
- Weinstein, J.N.; Collisson, E.A.; Mills, G.B.; Shaw, K.R.; Ozenberger, B.A.; Ellrott, K.; Shmulevich, I.; Sander, C.; Stuart, J.M. The Cancer Genome Atlas Pan-Cancer analysis project. Nat. Genet. 2013, 45, 1113–1120. [Google Scholar] [CrossRef] [PubMed]
- Ozawa, M.; Baribault, H.; Kemler, R. The cytoplasmic domain of the cell adhesion molecule uvomorulin associates with three independent proteins structurally related in different species. EMBO J. 1989, 8, 1711–1717. [Google Scholar] [CrossRef] [PubMed]
- Nusse, R.; Varmus, H.E. Many tumors induced by the mouse mammary tumor virus contain a provirus integrated in the same region of the host genome. Cell 1982, 31, 99–109. [Google Scholar] [CrossRef]
- Albuquerque, C.; Breukel, C.; van der Luijt, R.; Fidalgo, P.; Lage, P.; Slors, F.J.; Leitao, C.N.; Fodde, R.; Smits, R. The ‘just-right’ signaling model: APC somatic mutations are selected based on a specific level of activation of the beta-catenin signaling cascade. Hum. Mol. Genet. 2002, 11, 1549–1560. [Google Scholar] [CrossRef]
- Segditsas, S.; Rowan, A.J.; Howarth, K.; Jones, A.; Leedham, S.; Wright, N.A.; Gorman, P.; Chambers, W.; Domingo, E.; Roylance, R.R.; et al. APC and the three-hit hypothesis. Oncogene 2009, 28, 146–155. [Google Scholar] [CrossRef]
- Wellenstein, M.D.; Coffelt, S.B.; Duits, D.E.M.; van Miltenburg, M.H.; Slagter, M.; de Rink, I.; Henneman, L.; Kas, S.M.; Prekovic, S.; Hau, C.S.; et al. Loss of p53 triggers WNT-dependent systemic inflammation to drive breast cancer metastasis. Nature 2019, 572, 538–542. [Google Scholar] [CrossRef]
- Luga, V.; Zhang, L.; Viloria-Petit, A.M.; Ogunjimi, A.A.; Inanlou, M.R.; Chiu, E.; Buchanan, M.; Hosein, A.N.; Basik, M.; Wrana, J.L. Exosomes mediate stromal mobilization of autocrine Wnt-PCP signaling in breast cancer cell migration. Cell 2012, 151, 1542–1556. [Google Scholar] [CrossRef]
- Harper, K.L.; Sosa, M.S.; Entenberg, D.; Hosseini, H.; Cheung, J.F.; Nobre, R.; Avivar-Valderas, A.; Nagi, C.; Girnius, N.; Davis, R.J.; et al. Mechanism of early dissemination and metastasis in Her2(+) mammary cancer. Nature 2016, 540, 588–592. [Google Scholar] [CrossRef]
- Xu, C.; Xu, Z.; Zhang, Y.; Evert, M.; Calvisi, D.F.; Chen, X. Beta-Catenin signaling in hepatocellular carcinoma. J. Clin. Investig. 2022, 132, e154515. [Google Scholar] [CrossRef] [PubMed]
- Aguilera, K.Y.; Dawson, D.W. WNT Ligand Dependencies in Pancreatic Cancer. Front. Cell Dev. Biol. 2021, 9, 671022. [Google Scholar] [CrossRef] [PubMed]
- Kandoth, C.; Schultz, N.; Cherniack, A.D.; Akbani, R.; Liu, Y.; Shen, H.; Robertson, A.G.; Pashtan, I.; Shen, R. Integrated genomic characterization of endometrial carcinoma. Nature 2013, 497, 67–73. [Google Scholar] [CrossRef]
- Wright, K.; Wilson, P.; Morland, S.; Campbell, I.; Walsh, M.; Hurst, T.; Ward, B.; Cummings, M.; Chenevix-Trench, G. beta-catenin mutation and expression analysis in ovarian cancer: Exon 3 mutations and nuclear translocation in 16% of endometrioid tumours. Int. J. Cancer 1999, 82, 625–629. [Google Scholar] [CrossRef]
- Costigan, D.C.; Dong, F.; Nucci, M.R.; Howitt, B.E. Clinicopathologic and Immunohistochemical Correlates of CTNNB1 Mutated Endometrial Endometrioid Carcinoma. Int. J. Gynecol. Pathol. 2020, 39, 119–127. [Google Scholar] [CrossRef] [PubMed]
- Kurnit, K.C.; Kim, G.N.; Fellman, B.M.; Urbauer, D.L.; Mills, G.B.; Zhang, W.; Broaddus, R.R. CTNNB1 (beta-catenin) mutation identifies low grade, early stage endometrial cancer patients at increased risk of recurrence. Mod. Pathol. 2017, 30, 1032–1041. [Google Scholar] [CrossRef]
- Southwick, F.S.; DiNubile, M.J. Rabbit alveolar macrophages contain a Ca2+-sensitive, 41,000-dalton protein which reversibly blocks the “barbed” ends of actin filaments but does not sever them. J. Biol. Chem. 1986, 261, 14191–14195. [Google Scholar] [CrossRef]
- Yu, F.X.; Johnston, P.A.; Sudhof, T.C.; Yin, H.L. gCap39, a calcium ion- and polyphosphoinositide-regulated actin capping protein. Science 1990, 250, 1413–1415. [Google Scholar] [CrossRef]
- Akin, O.; Mullins, R.D. Capping protein increases the rate of actin-based motility by promoting filament nucleation by the Arp2/3 complex. Cell 2008, 133, 841–851. [Google Scholar] [CrossRef]
- Silacci, P.; Mazzolai, L.; Gauci, C.; Stergiopulos, N.; Yin, H.L.; Hayoz, D. Gelsolin superfamily proteins: Key regulators of cellular functions. Cell. Mol. Life Sci. 2004, 61, 2614–2623. [Google Scholar] [CrossRef]
- Sun, H.Q.; Kwiatkowska, K.; Wooten, D.C.; Yin, H.L. Effects of CapG overexpression on agonist-induced motility and second messenger generation. J. Cell Biol. 1995, 129, 147–156. [Google Scholar] [CrossRef]
- Van Impe, K.; De Corte, V.; Eichinger, L.; Bruyneel, E.; Mareel, M.; Vandekerckhove, J.; Gettemans, J. The Nucleo-cytoplasmic actin-binding protein CapG lacks a nuclear export sequence present in structurally related proteins. J. Biol. Chem. 2003, 278, 17945–17952. [Google Scholar] [CrossRef] [PubMed]
- Pellieux, C.; Desgeorges, A.; Pigeon, C.H.; Chambaz, C.; Yin, H.; Hayoz, D.; Silacci, P. Cap G, a gelsolin family protein modulating protective effects of unidirectional shear stress. J. Biol. Chem. 2003, 278, 29136–29144. [Google Scholar] [CrossRef] [PubMed]
- Dahl, E.; Sadr-Nabavi, A.; Klopocki, E.; Betz, B.; Grube, S.; Kreutzfeld, R.; Himmelfarb, M.; An, H.X.; Gelling, S.; Klaman, I.; et al. Systematic identification and molecular characterization of genes differentially expressed in breast and ovarian cancer. J. Pathol. 2005, 205, 21–28. [Google Scholar] [CrossRef] [PubMed]
- Glaser, J.; Neumann, M.H.; Mei, Q.; Betz, B.; Seier, N.; Beyer, I.; Fehm, T.; Neubauer, H.; Niederacher, D.; Fleisch, M.C. Macrophage capping protein CapG is a putative oncogene involved in migration and invasiveness in ovarian carcinoma. Biomed. Res. Int. 2014, 2014, 379847. [Google Scholar] [CrossRef]
- Lovero, D.; D’Oronzo, S.; Palmirotta, R.; Cafforio, P.; Brown, J.; Wood, S.; Porta, C.; Lauricella, E.; Coleman, R.; Silvestris, F. Correlation between targeted RNAseq signature of breast cancer CTCs and onset of bone-only metastases. Br. J. Cancer 2022, 126, 419–429. [Google Scholar] [CrossRef]
- Westbrook, J.A.; Cairns, D.A.; Peng, J.; Speirs, V.; Hanby, A.M.; Holen, I.; Wood, S.L.; Ottewell, P.D.; Marshall, H.; Banks, R.E.; et al. CAPG and GIPC1: Breast Cancer Biomarkers for Bone Metastasis Development and Treatment. J. Natl. Cancer Inst. 2016, 108, djv360. [Google Scholar] [CrossRef]
- Da Costa, G.G.; Gomig, T.H.; Kaviski, R.; Santos Sousa, K.; Kukolj, C.; De Lima, R.S.; De Andrade Urban, C.; Cavalli, I.J.; Ribeiro, E.M. Comparative Proteomics of Tumor and Paired Normal Breast Tissue Highlights Potential Biomarkers in Breast Cancer. Cancer Genom. Proteom. 2015, 12, 251–261. [Google Scholar]
- Thompson, C.C.; Ashcroft, F.J.; Patel, S.; Saraga, G.; Vimalachandran, D.; Prime, W.; Campbell, F.; Dodson, A.; Jenkins, R.E.; Lemoine, N.R.; et al. Pancreatic cancer cells overexpress gelsolin family-capping proteins, which contribute to their cell motility. Gut 2007, 56, 95–106. [Google Scholar] [CrossRef]
- Bahrami, S.; Gheysarzadeh, A.; Sotoudeh, M.; Bandehpour, M.; Khabazian, R.; Zali, H.; Hedayati, M.; Basiri, A.; Kazemi, B. The Association Between Gelsolin-like Actin-capping Protein (CapG) Overexpression and Bladder Cancer Prognosis. Urol. J. 2020, 18, 186–193. [Google Scholar] [CrossRef]
- Van Ginkel, P.R.; Gee, R.L.; Walker, T.M.; Hu, D.N.; Heizmann, C.W.; Polans, A.S. The identification and differential expression of calcium-binding proteins associated with ocular melanoma. Biochim. Biophys. Acta 1998, 1448, 290–297. [Google Scholar] [CrossRef]
- Chen, Z.F.; Huang, Z.H.; Chen, S.J.; Jiang, Y.D.; Qin, Z.K.; Zheng, S.B.; Chen, T. Oncogenic potential of macrophagecapping protein in clear cell renal cell carcinoma. Mol. Med. Rep. 2021, 23, 1. [Google Scholar] [CrossRef]
- Nader, J.S.; Boissard, A.; Henry, C.; Valo, I.; Verriele, V.; Gregoire, M.; Coqueret, O.; Guette, C.; Pouliquen, D.L. Cross-Species Proteomics Identifies CAPG and SBP1 as Crucial Invasiveness Biomarkers in Rat and Human Malignant Mesothelioma. Cancers 2020, 12, 2430. [Google Scholar] [CrossRef]
- Lal, A.; Lash, A.E.; Altschul, S.F.; Velculescu, V.; Zhang, L.; McLendon, R.E.; Marra, M.A.; Prange, C.; Morin, P.J.; Polyak, K.; et al. A public database for gene expression in human cancers. Cancer Res. 1999, 59, 5403–5407. [Google Scholar]
- Fu, Q.; Shaya, M.; Li, S.; Kugeluke, Y.; Dilimulati, Y.; Liu, B.; Zhou, Q. Analysis of clinical characteristics of macrophage capping protein (CAPG) gene expressed in glioma based on TCGA data and clinical experiments. Oncol. Lett. 2019, 18, 1344–1350. [Google Scholar] [CrossRef]
- Yun, D.P.; Wang, Y.Q.; Meng, D.L.; Ji, Y.Y.; Chen, J.X.; Chen, H.Y.; Lu, D.R. Actin-capping protein CapG is associated with prognosis, proliferation and metastasis in human glioma. Oncol. Rep. 2018, 39, 1011–1022. [Google Scholar] [CrossRef]
- Xing, W.; Zeng, C. An integrated transcriptomic and computational analysis for biomarker identification in human glioma. Tumour Biol. 2016, 37, 7185–7192. [Google Scholar] [CrossRef]
- Kimura, K.; Ojima, H.; Kubota, D.; Sakumoto, M.; Nakamura, Y.; Tomonaga, T.; Kosuge, T.; Kondo, T. Proteomic identification of the macrophage-capping protein as a protein contributing to the malignant features of hepatocellular carcinoma. J. Proteom. 2013, 78, 362–373. [Google Scholar] [CrossRef]
- Renz, M.; Betz, B.; Niederacher, D.; Bender, H.G.; Langowski, J. Invasive breast cancer cells exhibit increased mobility of the actin-binding protein CapG. Int. J. Cancer 2008, 122, 1476–1482. [Google Scholar] [CrossRef]
- Axelrod, D.; Koppel, D.E.; Schlessinger, J.; Elson, E.; Webb, W.W. Mobility measurement by analysis of fluorescence photobleaching recovery kinetics. Biophys. J. 1976, 16, 1055–1069. [Google Scholar] [CrossRef]
- Edidin, M.; Zagyansky, Y.; Lardner, T.J. Measurement of membrane protein lateral diffusion in single cells. Science 1976, 191, 466–468. [Google Scholar] [CrossRef]
- Ellenberg, J.; Siggia, E.D.; Moreira, J.E.; Smith, C.L.; Presley, J.F.; Worman, H.J.; Lippincott-Schwartz, J. Nuclear membrane dynamics and reassembly in living cells: Targeting of an inner nuclear membrane protein in interphase and mitosis. J. Cell Biol. 1997, 138, 1193–1206. [Google Scholar] [CrossRef]
- Rabut, G.; Ellenberg, J. Photobleaching techniques to study mobility and mo- lecular dynamics of proteins in live cells: FRAP, iFRAP, and FLIP. In Live Cell Imaging. A Laboratory Manual; Goldman, R., Spector, D.L., Eds.; Cold Spring Harbor Laboratory Press: Cold Spring Harbor, NY, USA, 2005; pp. 101–126. [Google Scholar]
- Soumpasis, D.M. Theoretical analysis of fluorescence photobleaching recovery experiments. Biophys. J. 1983, 41, 95–97. [Google Scholar] [CrossRef]
- Vergote, I.B.; Lund, B.; Peen, U.; Umajuridze, Z.; Mau-Sorensen, M.; Kranich, A.; Van Nieuwenhuysen, E.; Haslund, C.; Nottrup, T.; Han, S.N.; et al. Phase 2 study of the Exportin 1 inhibitor selinexor in patients with recurrent gynecological malignancies. Gynecol. Oncol. 2020, 156, 308–314. [Google Scholar] [CrossRef]
- Vergote, I.; Perez-Fidalgo, J.A.; Hamilton, E.P.; Gorp, T.V.; Valabrega, G.; Laenen, A.; Oza, A.M.; Levy, T.; Cibula, D.; Sehouli, J.; et al. SIENDO/ENGOT-EN5/GOG-3055: A randomized phase 3 trial of maintenance selinexor versus placebo after combination platinum-based chemotherapy in advanced or recurrent endometrial cancer. J. Clin. Oncol. 2021, 39, TPS5610. [Google Scholar] [CrossRef]
- Vergote, I.; Fidalgo, A.P.; Hamilton, E.; Valabrega, G.; Van Gorp, T.; Sehouli, J.; Cibula, D.; Levy, T.; Welch, S.; Richardson, D.L. Prospective double-blind, randomized phase III ENGOT-EN5/GOG-3055/SIENDO study of oral selinexor/placebo as maintenance therapy after first-line chemotherapy for advanced or recurrent endometrial cancer. Ann. Oncol. 2022, 33, 448–450. [Google Scholar] [CrossRef]



| Normal | Cancer | |
|---|---|---|
| 1736 ± 193 s | 730 ± 11 s | |
| 30.8 ± 6% | 3.3 ± 1% |
Publisher’s Note: MDPI stays neutral with regard to jurisdictional claims in published maps and institutional affiliations. |
© 2022 by the authors. Licensee MDPI, Basel, Switzerland. This article is an open access article distributed under the terms and conditions of the Creative Commons Attribution (CC BY) license (https://creativecommons.org/licenses/by/4.0/).
Share and Cite
Fernandez, M.K.; Sinha, M.; Renz, M. Differential Intracellular Protein Distribution in Cancer and Normal Cells—Beta-Catenin and CapG in Gynecologic Malignancies. Cancers 2022, 14, 4788. https://doi.org/10.3390/cancers14194788
Fernandez MK, Sinha M, Renz M. Differential Intracellular Protein Distribution in Cancer and Normal Cells—Beta-Catenin and CapG in Gynecologic Malignancies. Cancers. 2022; 14(19):4788. https://doi.org/10.3390/cancers14194788
Chicago/Turabian StyleFernandez, Maria Kristha, Molika Sinha, and Malte Renz. 2022. "Differential Intracellular Protein Distribution in Cancer and Normal Cells—Beta-Catenin and CapG in Gynecologic Malignancies" Cancers 14, no. 19: 4788. https://doi.org/10.3390/cancers14194788
APA StyleFernandez, M. K., Sinha, M., & Renz, M. (2022). Differential Intracellular Protein Distribution in Cancer and Normal Cells—Beta-Catenin and CapG in Gynecologic Malignancies. Cancers, 14(19), 4788. https://doi.org/10.3390/cancers14194788

