TRPM4 Participates in Irradiation-Induced Aortic Valve Remodeling in Mice
Abstract
Simple Summary
Abstract
1. Introduction
2. Materials and Methods
2.1. Ethical Approval
2.2. Animal Model and Irradiation
2.3. Echocardiography
2.4. Magnetic Resonance Imaging
2.5. Histological Analysis and Staining
2.6. Data Analysis
3. Results
3.1. Irradiation-Induced Functional Remodeling
3.2. Irradiation-Induced Morphological Remodeling
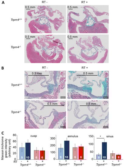
3.3. Effect of Irradiation on Aortic Valve Fibrosis
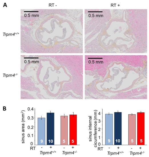
3.4. Effect of Irradiation on Aortic Valve Calcification
3.5. Tricuspid and Bicuspid Aortic Valves in Trpm4−/− Mice
4. Discussion
5. Conclusions
Author Contributions
Funding
Institutional Review Board Statement
Informed Consent Statement
Data Availability Statement
Acknowledgments
Conflicts of Interest
References
- Sárközy, M.; Varga, Z.; Gáspár, R.; Szűcs, G.; Kovács, M.G.; Kovács, Z.Z.A.; Dux, L.; Kahán, Z.; Csont, T. Pathomechanisms and therapeutic opportunities in radiation-induced heart disease: From bench to bedside. Clin. Res. Cardiol. 2021, 110, 507–531. [Google Scholar] [CrossRef] [PubMed]
- Gujral, D.M.; Lloyd, G.; Bhattacharyya, S. Radiation-induced valvular heart disease. Heart 2016, 102, 269–276. [Google Scholar] [CrossRef]
- Cutter, D.J.; Schaapveld, M.; Darby, S.C.; Hauptmann, M.; van Nimwegen, F.A.; Krol, A.D.; Janus, C.P.; van Leeuwen, F.E.; Aleman, B.M. Risk of valvular heart disease after treatment for Hodgkin lymphoma. J. Natl. Cancer. Inst. 2015, 107, djv008. [Google Scholar] [CrossRef]
- Heidenreich, P.A.; Hancock, S.L.; Lee, B.K.; Mariscal, C.S.; Schnittger, I. Asymptomatic cardiac disease following mediastinal irradiation. J. Am. Coll. Cardiol. 2003, 42, 743–749. [Google Scholar] [CrossRef]
- Lee, M.S.; Finch, W.; Mahmud, E. Cardiovascular complications of radiotherapy. Am. J. Cardiol. 2013, 112, 1688–1696. [Google Scholar] [CrossRef] [PubMed]
- Yarnold, J.; Brotons, M.-C.V. Pathogenetic mechanisms in radiation fibrosis. Radiother. Oncol. 2010, 97, 149–161. [Google Scholar] [CrossRef] [PubMed]
- Simard, C.; Magaud, C.; Adjlane, R.; Dupas, Q.; Sallé, L.; Manrique, A.; Bois, P.; Faivre, J.F.; Guinamard, R. TRPM4 non-selective cation channel in human atrial fibroblast growth. Pflugers Arch. 2020, 472, 1719–1732. [Google Scholar] [CrossRef]
- Hof, T.; Chaigne, S.; Récalde, A.; Sallé, L.; Brette, F.; Guinamard, R. Transient receptor potential channels in cardiac health and disease. Nat. Rev. Cardiol. 2019, 16, 344–360. [Google Scholar] [CrossRef]
- Dienes, C.; Kovács, Z.M.; Hézső, T.; Almássy, J.; Magyar, J.; Bányász, T.; Nánási, P.P.; Horváth, B.; Szentandrássy, N. Pharmacological Modulation and (Patho)Physiological Roles of TRPM4 Channel-Part 2: TRPM4 in Health and Disease. Pharmaceuticals 2021, 15, 40. [Google Scholar] [CrossRef]
- Fliegert, R.; Glassmeier, G.; Schmid, F.; Cornils, K.; Genisyuerek, S.; Harneit, A.; Schwarz, J.R.; Guse, A.H. Modulation of Ca2+ entry and plasma membrane potential by human TRPM4b. FEBS J. 2007, 274, 704–713. [Google Scholar] [CrossRef]
- Diszházi, G.; Magyar, Z.É.; Lisztes, E.; Tóth-Molnár, E.; Nánási, P.P.; Vennekens, R.; Tóth, B.I.; Almássy, J. TRPM4 links calcium signaling to membrane potential in pancreatic acinar cells. J. Biol. Chem. 2021, 297, 101015. [Google Scholar] [CrossRef]
- Launay, P.; Cheng, H.; Srivatsan, S.; Penner, R.; Fleig, A.; Kinet, J.-P. TRPM4 regulates calcium oscillations after T cell activation. Science 2004, 306, 1374–1377. [Google Scholar] [CrossRef] [PubMed]
- Guinamard, R.; Bouvagnet, P.; Hof, T.; Liu, H.; Simard, C.; Sallé, L. TRPM4 in cardiac electrical activity. Cardiovasc. Res. 2015, 108, 21–30. [Google Scholar] [CrossRef] [PubMed]
- Demion, M.; Thireau, J.; Gueffier, M.; Finan, A.; Khoueiry, Z.; Cassan, C.; Serafini, N.; Aimond, F.; Granier, M.; Pasquié, J.-L.; et al. Trpm4 gene invalidation leads to cardiac hypertrophy and electrophysiological alterations. PLoS ONE 2014, 9, e115256. [Google Scholar] [CrossRef] [PubMed]
- Gueffier, M.; Zintz, J.; Lambert, K.; Finan, A.; Aimond, F.; Chakouri, N.; Hédon, C.; Granier, M.; Launay, P.; Thireau, J.; et al. The TRPM4 channel is functionally important for the beneficial cardiac remodeling induced by endurance training. J. Muscle Res. Cell. Motil. 2017, 38, 3–16. [Google Scholar] [CrossRef]
- Guo, Y.; Yu, Z.Y.; Wu, J.; Gong, H.; Kesteven, S.; Iismaa, S.E.; Chan, A.Y.; Holman, S.; Pinto, S.; Pironet, A.; et al. The Ca2+-activated cation channel TRPM4 is a positive regulator of pressure overload-induced cardiac hypertrophy. eLife 2021, 10, e66582. [Google Scholar] [CrossRef]
- Al-Shammari, H.; Latif, N.; Sarathchandra, P.; McCormack, A.; Rog-Zielinska, E.A.; Raja, S.; Kohl, P.; Yacoub, M.H.; Peyronnet, R.; Chester, A.H. Expression and function of mechanosensitive ion channels in human valve interstitial cells. PLoS ONE 2020, 15, e0240532. [Google Scholar] [CrossRef]
- Barbet, G.; Demion, M.; Moura, I.C.; Serafini, N.; Léger, T.; Vrtovsnik, F.; Monteiro, R.C.; Guinamard, R.; Kinet, J.P.; Launay, P. The calcium-activated nonselective cation channel TRPM4 is essential for the migration but not the maturation of dendritic cells. Nat. Immunol. 2008, 9, 1148–1156. [Google Scholar] [CrossRef]
- Joubert, M.; Tager, P.; Legallois, D.; Defourneaux, E.; Le Guellec, B.; Gerber, B.; Morello, R.; Manrique, A. Test-retest reproducibility of cardiac magnetic resonance imaging in healthy mice at 7-Tesla: Effect of anesthetic procedures. Sci. Rep. 2017, 7, 6698. [Google Scholar] [CrossRef]
- Bankhead, P.; Loughrey, M.B.; Fernández, J.A.; Dombrowski, Y.; McArt, D.G.; Dunne, P.D.; McQuaid, S.; Gray, R.T.; Murray, L.J.; Coleman, H.G.; et al. QuPath: Open source software for digital pathology image analysis. Sci. Rep. 2017, 7, 16878. [Google Scholar] [CrossRef]
- Simard, C.; Ferchaud, V.; Sallé, L.; Milliez, P.; Manrique, A.; Alexandre, J.; Guinamard, R. TRPM4 Participates in Aldosterone-Salt-Induced Electrical Atrial Remodeling in Mice. Cells 2021, 10, 636. [Google Scholar] [CrossRef] [PubMed]
- Hinton, R.B., Jr.; Alfieri, C.M.; Witt, S.A.; Glascock, B.J.; Khoury, P.R.; Benson, D.W.; Yutzey, K.E. Mouse heart valve structure and function: Echocardiographic and morphometric analyses from the fetus through the aged adult. Am. J. Physiol. Heart Circ. Physiol. 2008, 294, H2480–H2488. [Google Scholar] [CrossRef] [PubMed]
- Xu, P.; Yi, Y.; Luo, Y.; Liu, Z.; Xu, Y.; Cai, J.; Zeng, Z.; Liu, A. Radiation induced dysfunction of energy metabolism in the heart results in the fibrosis of cardiac tissues. Mol. Med. Rep. 2021, 24, 842. [Google Scholar] [CrossRef] [PubMed]
- Wang, Z.; Jia, Z.; Zhou, Z.; Zhao, X.; Wang, F.; Zhang, X.; Tse, G.; Li, G.; Liu, Y.; Liu, T. Long-Term Cardiac Damage Associated With Abdominal Irradiation in Mice. Front. Pharmacol. 2022, 13, 850735. [Google Scholar] [CrossRef] [PubMed]
- Dreyfuss, A.D.; Goia, D.; Shoniyozov, K.; Shewale, S.V.; Velalopoulou, A.; Mazzoni, S.; Avgousti, H.; Metzler, S.D.; Bravo, P.E.; Feigenberg, S.J.; et al. A Novel Mouse Model of Radiation-Induced Cardiac Injury Reveals Biological and Radiological Biomarkers of Cardiac Dysfunction with Potential Clinical Relevance. Clin. Cancer Res. 2021, 27, 2266–2276. [Google Scholar] [CrossRef]
- Walls, G.M.; O’Kane, R.; Ghita, M.; Kuburas, R.; McGarry, C.K.; Cole, A.J.; Jain, S.; Butterworth, K.T. Murine models of radiation cardiotoxicity: A systematic review and recommendations for future studies. Radiother. Oncol. 2022, 173, 19–31. [Google Scholar] [CrossRef] [PubMed]
- Sárközy, M.; Gáspár, R.; Zvara, Á.; Kiscsatári, L.; Varga, Z.; Kővári, B.; Kovács, M.G.; Szűcs, G.; Fábián, G.; Diószegi, P.; et al. Selective Heart Irradiation Induces Cardiac Overexpression of the Pro-hypertrophic miR-212. Front. Oncol. 2019, 9, 598. [Google Scholar] [CrossRef]
- Swaney, J.S.; Roth, D.M.; Olson, E.R.; Naugle, J.E.; Meszaros, J.G.; Insel, P.A. Inhibition of cardiac myofibroblast formation and collagen synthesis by activation and overexpression of adenylyl cyclase. Proc. Natl. Acad. Sci. USA 2005, 102, 437–442. [Google Scholar] [CrossRef]
- Barker, H.E.; Paget, J.T.; Khan, A.A.; Harrington, K.J. The tumour microenvironment after radiotherapy: Mechanisms of resistance and recurrence. Nat. Rev. Cancer. 2015, 15, 409–425. [Google Scholar] [CrossRef]
- Wang, B.; Wang, H.; Zhang, M.; Ji, R.; Wei, J.; Xin, Y.; Jiang, X. Radiation-induced myocardial fibrosis: Mechanisms underlying its pathogenesis and therapeutic strategies. J. Cell. Mol. Med. 2020, 24, 7717–7729. [Google Scholar] [CrossRef]
- Lipson, K.E.; Wong, C.; Teng, Y.; Spong, S. CTGF is a central mediator of tissue remodeling and fibrosis and its inhibition can reverse the process of fibrosis. Fibrogenesis Tissue Repair. 2012, 5, S24. [Google Scholar] [CrossRef] [PubMed]
- Lin, W.; Shi, C.; Wang, W.; Wu, H.; Yang, C.; Wang, A.; Shen, X.; Tian, Y.; Cao, P.; Yuan, W. Osmolarity and calcium regulate connective tissue growth factor (CTGF/CCN2) expression in nucleus pulposus cells. Gene 2019, 704, 15–24. [Google Scholar] [CrossRef] [PubMed]
- Feng, J.; Zong, P.; Yan, J.; Yue, Z.; Li, X.; Smith, C.; Ai, X.; Yue, L. Upregulation of transient receptor potential melastatin 4 (TRPM4) in ventricular fibroblasts from heart failure patients. Pflugers Arch. 2021, 473, 521–531. [Google Scholar] [CrossRef]
- Du, J.; Xie, J.; Zhang, Z.; Tsujikawa, H.; Fusco, D.; Silverman, D.; Liang, B.; Yue, L. TRPM7-mediated Ca2+ signals confer fibrogenesis in human atrial fibrillation. Circ. Res. 2010, 106, 992–1003. [Google Scholar] [CrossRef] [PubMed]
- Monceau, V.; Llach, A.; Azria, D.; Bridier, A.; Petit, B.; Mazevet, M.; Strup-Perrot, C.; To, T.H.; Calmels, L.; Germaini, M.M.; et al. Epac contributes to cardiac hypertrophy and amyloidosis induced by radiotherapy but not fibrosis. Radiother. Oncol. 2014, 111, 63–71. [Google Scholar] [CrossRef]
- Barjaktarovic, Z.; Shyla, A.; Azimzadeh, O.; Schulz, S.; Haagen, J.; Dörr, W.; Sarioglu, H.; Atkinson, M.J.; Zischka, H.; Tapio, S. Ionising radiation induces persistent alterations in the cardiac mitochondrial function of C57BL/6 mice 40 weeks after local heart exposure. Radiother. Oncol. 2013, 106, 404–410. [Google Scholar] [CrossRef]
- Nilius, B.; Prenen, J.; Voets, T.; Droogmans, G. Intracellular nucleotides and polyamines inhibit the Ca2+-activated cation channel TRPM4b. Pflugers Arch. 2004, 448, 70–75. [Google Scholar] [CrossRef]
- Straub, J.M.; New, J.; Hamilton, C.D.; Lominska, C.; Shnayder, Y.; Thomas, S.M. Radiation-induced fibrosis: Mechanisms and implications for therapy. J. Cancer Res. Clin. Oncol. 2015, 141, 1985–1994. [Google Scholar] [CrossRef]
- Zhu, L.; Miao, B.; Dymerska, D.; Kuswik, M.; Bueno-Martínez, E.; Sanoguera-Miralles, L.; Velasco, E.A.; Paramasivam, N.; Schlesner, M.; Kumar, A.; et al. Germline Variants of CYBA and TRPM4 Predispose to Familial Colorectal Cancer. Cancers 2022, 14, 670. [Google Scholar] [CrossRef]
- Wang, C.; Chen, J.; Wang, M.; Naruse, K.; Takahashi, K. Role of the TRPM4 channel in mitochondrial function, calcium release, and ROS generation in oxidative stress. Biochem. Biophys. Res. Commun. 2021, 566, 190–196. [Google Scholar] [CrossRef]
- Sarmiento, D.; Montorfano, I.; Cerda, O.; Cáceres, M.; Becerra, A.; Cabello-Verrugio, C.; Elorza, A.A.; Riedel, C.; Tapia, P.; Velásquez, L.A.; et al. Increases in reactive oxygen species enhance vascular endothelial cell migration through a mechanism dependent on the transient receptor potential melastatin 4 ion channel. Microvasc. Res. 2015, 98, 187–196. [Google Scholar] [CrossRef] [PubMed]
- Simon, F.; Leiva-Salcedo, E.; Armisén, R.; Riveros, A.; Cerda, O.; Varela, D.; Eguiguren, A.L.; Olivero, P.; Stutzin, A. Hydrogen peroxide removes TRPM4 current desensitization conferring increased vulnerability to necrotic cell death. J. Biol. Chem. 2010, 285, 37150–37158. [Google Scholar] [CrossRef] [PubMed]
- Ding, X.Q.; Ban, T.; Liu, Z.Y.; Lou, J.; Tang, L.L.; Wang, J.X.; Chu, W.F.; Zhao, D.; Song, B.L.; Zhang, Z.R. Transient Receptor Potential Melastatin 4 (TRPM4) Contributes to High Salt Diet-Mediated Early-Stage Endothelial Injury. Cell. Physiol. Biochem. 2017, 41, 835–848. [Google Scholar] [CrossRef] [PubMed]
- Fantozzi, I.; Zhang, S.; Platoshyn, O.; Remillard, C.V.; Cowling, R.T.; Yuan, J.X. Hypoxia increases AP-1 binding activity by enhancing capacitative Ca2+ entry in human pulmonary artery endothelial cells. Am. J. Physiol. Lung. Cell. Mol. Physiol. 2003, 285, L1233–L1245. [Google Scholar] [CrossRef]
- Mathar, I.; Vennekens, R.; Meissner, M.; Kees, F.; Van der Mieren, G.; Camacho Londoño, J.E.; Uhl, S.; Voets, T.; Hummel, B.; van den Bergh, A.; et al. Increased catecholamine secretion contributes to hypertension in TRPM4-deficient mice. J. Clin. Investig. 2010, 120, 3267–3279. [Google Scholar] [CrossRef]
- Becerra, A.; Echeverría, C.; Varela, D.; Sarmiento, D.; Armisén, R.; Nuñez-Villena, F.; Montecinos, M.; Simon, F. Transient receptor potential melastatin 4 inhibition prevents lipopolysaccharide-induced endothelial cell death. Cardiovasc. Res. 2011, 91, 677–684. [Google Scholar] [CrossRef]
- Gerzanich, V.; Kwon, M.S.; Woo, S.K.; Ivanov, A.; Simard, J.M. SUR1-TRPM4 channel activation and phasic secretion of MMP-9 induced by tPA in brain endothelial cells. PLoS ONE 2018, 13, e0195526. [Google Scholar] [CrossRef]
- Meerman, M.; Driessen, R.; van Engeland, N.C.A.; Bergsma, I.; Steenhuijsen, J.L.G.; Kozono, D.; Aikawa, E.; Hjortnaes, J.; Bouten, C.V.C. Radiation Induces Valvular Interstitial Cell Calcific Response in an in vitro Model of Calcific Aortic Valve Disease. Front. Cardiovasc. Med. 2021, 8, 687885. [Google Scholar] [CrossRef]
- Nadlonek, N.A.; Weyant, M.J.; Yu, J.A.; Cleveland, J.C., Jr.; Reece, T.B.; Meng, X.; Fullerton, D.A. Radiation induces osteogenesis in human aortic valve interstitial cells. J. Thorac. Cardiovasc. Surg. 2012, 144, 1466–1470. [Google Scholar] [CrossRef] [PubMed]
- Grand, T.; Demion, M.; Norez, C.; Mettey, Y.; Launay, P.; Becq, F.; Bois, P.; Guinamard, R. 9-phenanthrol inhibits human TRPM4 but not TRPM5 cationic channels. Br. J. Pharmacol. 2008, 153, 1697–1705. [Google Scholar] [CrossRef]
- Fernández, B.; Soto-Navarrete, M.T.; López-García, A.; López-Unzu, M.Á.; Durán, A.C.; Fernández, M.C. Bicuspid Aortic Valve in 2 Model Species and Review of the Literature. Vet. Pathol. 2020, 57, 321–331. [Google Scholar] [CrossRef] [PubMed]
- Biben, C.; Weber, R.; Kesteven, S.; Stanley, E.; McDonald, L.; Elliott, D.A.; Barnett, L.; Köentgen, F.; Robb, L.; Feneley, M.; et al. Cardiac septal and valvular dysmorphogenesis in mice heterozygous for mutations in the homeobox gene Nkx2-5. Circ. Res. 2000, 87, 888–895. [Google Scholar] [CrossRef] [PubMed]
- Mitra, A.K.; Singh, R.K.; Krishna, M. MAP kinases: Differential activation following in vivo and ex vivo irradiation. Mol. Cell. Biochem. 2007, 294, 65–72. [Google Scholar] [CrossRef] [PubMed]
- Stewart, B.F.; Siscovick, D.; Lind, B.K.; Gardin, J.M.; Gottdiener, J.S.; Smith, V.E.; Kitzman, D.W.; Otto, C.M. Clinical factors associated with calcific aortic valve disease. Cardiovascular Health Study. J. Am. Coll. Cardiol. 1997, 29, 630–634. [Google Scholar] [CrossRef]
- Csípő, T.; Czikora, Á.; Fülöp, G.Á.; Gulyás, H.; Rutkai, I.; Tóth, E.P.; Pórszász, R.; Szalai, A.; Bölcskei, K.; Helyes, Z.; et al. A Central Role for TRPM4 in Ca2+-Signal Amplification and Vasoconstriction. Int. J. Mol. Sci. 2022, 23, 1465. [Google Scholar] [CrossRef] [PubMed]
- Vandewiele, F.; Pironet, A.; Jacobs, G.; Kecskés, M.; Wegener, J.; Kerselaers, S.; Hendrikx, L.; Verelst, J.; Philippaert, K.; Oosterlinck, W.; et al. TRPM4 inhibition by meclofenamate suppresses Ca2+-dependent triggered arrhythmias. Eur. Heart J. 2022, ehac354. [Google Scholar] [CrossRef]










| Trpm4+/+ RT− | Trpm4+/+ RT+ | Trpm4−/− RT− | Trpm4−/− RT+ | |
|---|---|---|---|---|
| Baseline | n = 18 | n = 20 | n = 15 | n = 15 |
| Body weight (g) | 28.9 ± 0.5 | 29.0 ± 0.4 | 28.9 ± 0.7 | 28.1 ± 0.7 |
| Heart rate (bpm) | 414 ± 12 | 428 ± 9 | 400 ± 16 | 426 ± 16 |
| LA diameter (mm) | 1.74 ± 0.07 | 1.73 ± 0.05 | 1.78 ± 0.05 | 1.65 ± 0.07 |
| A root diameter (mm) | 1.78 ± 0.03 | 1.79 ± 0.03 | 1.73 ± 0.05 | 1.71 ± 0.05 |
| Aortic valve jet Vmax (cm.s−1) | 157.1 ± 7.4 | 155.7 ± 6.0 | 158.8 ± 7.4 | 144.7 ± 4.7 |
| ΔPmean (mmHg) | 4.6 ± 0.4 | 4.6 ± 0.3 | 5.1 ± 0.5 | 3.8 ± 0.3 |
| M5 | n = 18 | n = 20 | n = 14 | n = 15 |
| Body weight (g) | 33.7 ± 0.6 | 33.7 ± 0.7 | 34.2 ± 2.6 | 33.9 ± 1.1 |
| Heart rate (bpm) | 455 ± 12 | 447 ± 14 | 430 ± 16 | 418 ± 16 |
| LA diameter (mm) | 1.80 ± 0.05 | 1.88 ± 0.05 | 1.80 ± 0.05 | 1.81 ± 0.04 |
| A root diameter (mm) | 1.78 ± 0.04 | 1.78 ± 0.04 | 1.89 ± 0.05 | 1.78 ± 0.04 |
| Aortic valve jet Vmax (cm.s−1) | 185.2 ± 7.9 | 240.9 ± 17.2 * | 212.3 ± 11.7 | 210.9 ± 8.3 |
| ΔPmean (mmHg) | 6.5 ± 0.7 | 11.7 ± 2.1 * | 8.3 ± 1.4 | 8.4 ± 0.6 |
| Trpm4+/+ RT− | Trpm4+/+ RT+ | Trpm4−/− RT− | Trpm4−/− RT+ | |
|---|---|---|---|---|
| Baseline | n = 17 | n = 20 | n = 14 | n = 15 |
| LV mass/body mass (mg.g−1) | 2.59 ± 0.11 | 2.79 ± 0.10 | 2.92 ± 0.12 * | 2.95 ± 0.12 * |
| LVEDV/body mass (μL.g−1) | 2.18 ± 0.12 | 2.25 ± 0.20 | 1.91 ± 0.16 | 1.99 ± 0.15 |
| LVESV/body mass (μL.g−1) | 0.81 ± 0.06 | 0.97 ± 0.11 | 0.71 ± 0.08 | 0.77 ± 0.08 |
| LVEF (%) | 63 ± 2 | 59 ± 3 | 64 ± 2 | 62 ± 3 |
| RVEDV/body mass (μL.g−1) | 0.93 ± 0.08 | 0.86 ± 0.12 | 0.97 ± 0.14 | 0.89 ± 0.10 |
| RVESV/body mass (μL.g−1) | 0.29 ± 0.04 | 0.37 ± 0.08 | 0.30 ± 0.06 | 0.35 ± 0.09 |
| RVEF (%) | 70 ± 3 | 63 ± 3 | 70 ± 2 | 66 ± 4 |
| M5 | n = 18 | n = 20 | n = 14 | n = 15 |
| LV mass/body mass (mg.g−1) | 2.26 ± 0.14 | 2.43 ± 0.11 | 2.77 ± 0.14 † | 2.86 ± 0.16 ‡ |
| LVEDV/body mass (μL.g−1) | 1.50 ± 0.18 | 1.63 ± 0.18 | 1.60 ± 0.15 | 1.68 ± 0.18 |
| LVESV/body mass (μL.g−1) | 0.52 ± 0.09 | 0.57 ± 0.10 | 0.62 ± 0.09 | 0.58 ± 0.10 |
| LVEF (%) | 68 ± 3 | 69 ± 3 | 62 ± 3 | 67 ± 3 |
| RVEDV/body mass (μL.g−1) | 0.36 ± 0.11 | 0.45 ± 0.09 | 0.52 ± 0.11 | 0.62 ± 0.15 |
| RVESV/body mass (μL.g−1) | 0.14 ± 0.06 | 0.11 ± 0.02 | 0.20 ± 0.07 | 0.16 ± 0.05 |
| RVEF (%) | 67 ± 2 | 72 ± 2 | 65 ± 4 | 71 ± 4 |
Publisher’s Note: MDPI stays neutral with regard to jurisdictional claims in published maps and institutional affiliations. |
© 2022 by the authors. Licensee MDPI, Basel, Switzerland. This article is an open access article distributed under the terms and conditions of the Creative Commons Attribution (CC BY) license (https://creativecommons.org/licenses/by/4.0/).
Share and Cite
Mpweme Bangando, H.; Simard, C.; Aize, M.; Lebrun, A.; Manrique, A.; Guinamard, R.; on behalf of the STOP-AS Investigators. TRPM4 Participates in Irradiation-Induced Aortic Valve Remodeling in Mice. Cancers 2022, 14, 4477. https://doi.org/10.3390/cancers14184477
Mpweme Bangando H, Simard C, Aize M, Lebrun A, Manrique A, Guinamard R, on behalf of the STOP-AS Investigators. TRPM4 Participates in Irradiation-Induced Aortic Valve Remodeling in Mice. Cancers. 2022; 14(18):4477. https://doi.org/10.3390/cancers14184477
Chicago/Turabian StyleMpweme Bangando, Harlyne, Christophe Simard, Margaux Aize, Alexandre Lebrun, Alain Manrique, Romain Guinamard, and on behalf of the STOP-AS Investigators. 2022. "TRPM4 Participates in Irradiation-Induced Aortic Valve Remodeling in Mice" Cancers 14, no. 18: 4477. https://doi.org/10.3390/cancers14184477
APA StyleMpweme Bangando, H., Simard, C., Aize, M., Lebrun, A., Manrique, A., Guinamard, R., & on behalf of the STOP-AS Investigators. (2022). TRPM4 Participates in Irradiation-Induced Aortic Valve Remodeling in Mice. Cancers, 14(18), 4477. https://doi.org/10.3390/cancers14184477
