A Score to Predict the Malignancy of a Breast Lesion Based on Different Contrast Enhancement Patterns in Contrast-Enhanced Spectral Mammography
Abstract
:Simple Summary
Abstract
1. Introduction
1.1. Breast Cancer and Radiologist Role
1.2. Current Breast Imaging Methods
1.3. Limitations of Imaging Methods: The Role of a Predictive Score of CESM Enhancement
2. Materials and Methods
2.1. Study Design and Population
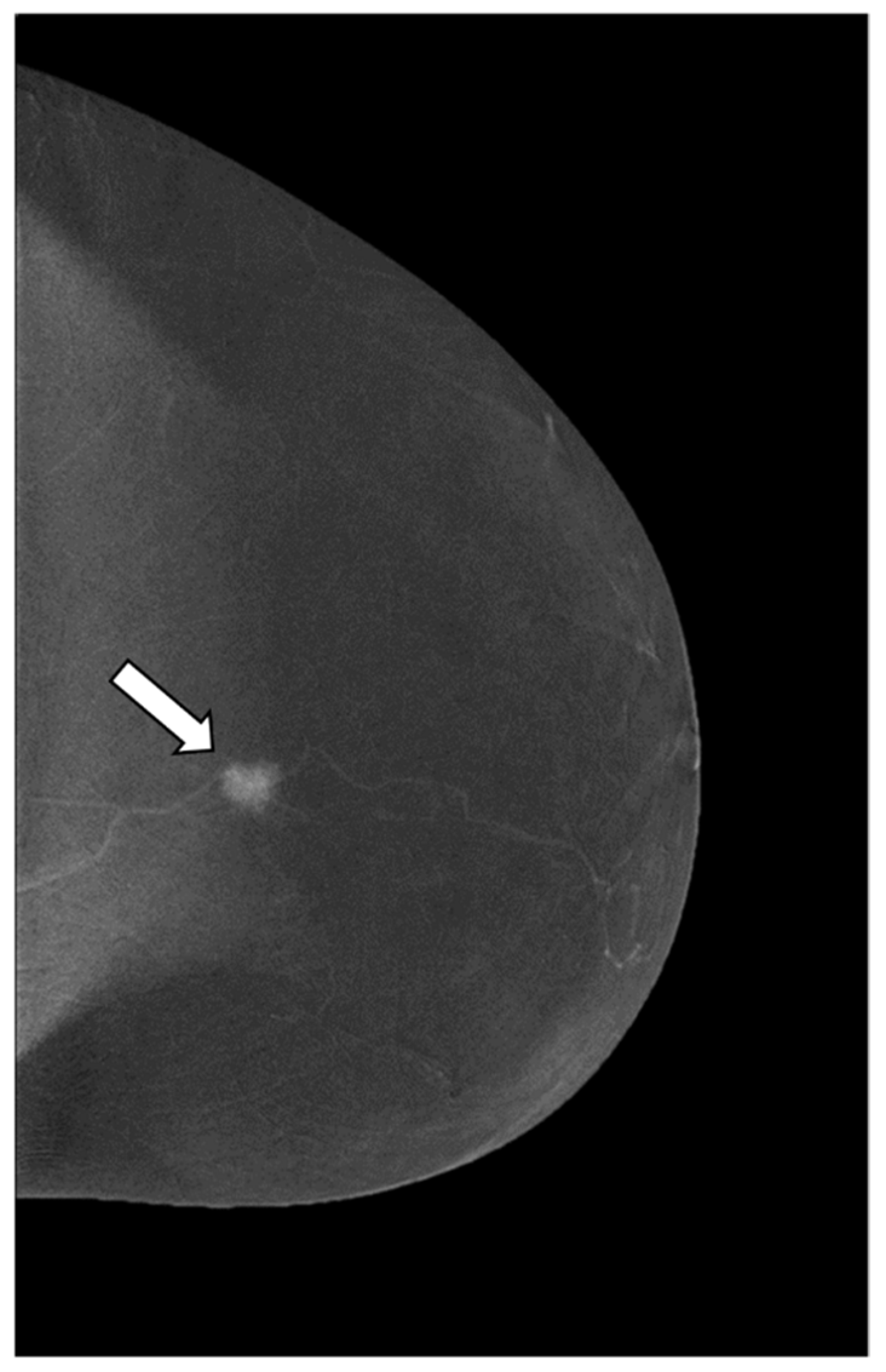
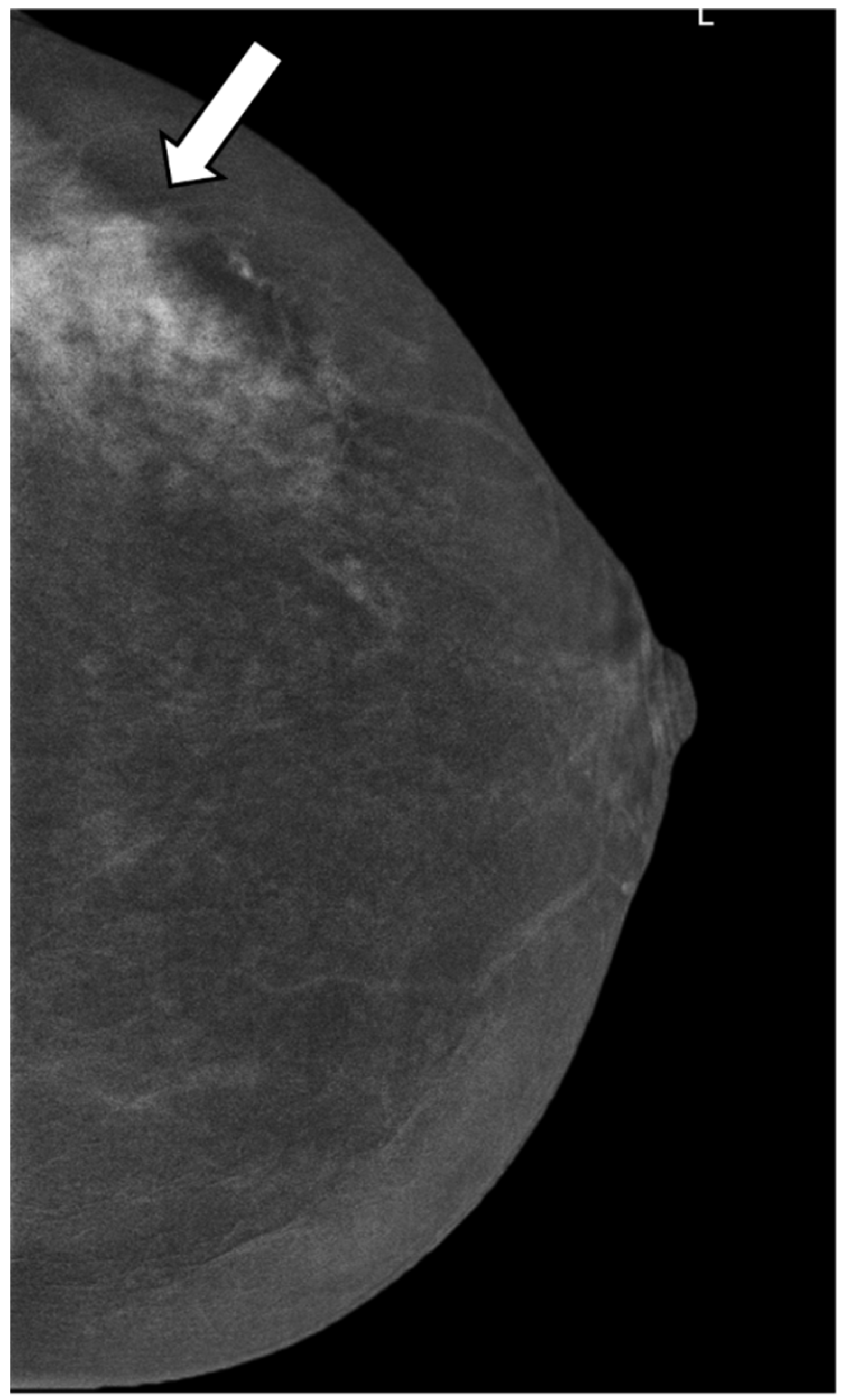
- Intensity of enhancement: absent, mild, moderate, and marked. Absent and mild were considered predictive of benignity, moderate and marked predictive of malignancy;
- Margin morphology: absent, regular, and irregular. Absent and regular were considered predictive of benignity, irregular predictive of malignancy;
- Pattern: absent, homogeneous, heterogeneous, and ring. Absent and homogeneous were considered predictive of benignity, heterogeneous, and ring predictive of malignancy;
- Ground glass: absent, purified, and unpurified. Absent and purified were considered predictive of benignity, unpurified predictive of malignancy.
2.2. Inclusion Criterion of the Study
- -
- Patients with dubious breast lesions (BIRADS > 3) at the conventional imaging examination (FFDM and US) for which a cito/micro histological assessment is recommended;
- -
- Patients capable and willing to comply with study procedures, and having signed and dated the informed consent form;
- -
- Patients with breast size compatible with the dimensions of the image detector;
- -
- Patients in sufficiently good health to undergo a CESM examination. We used Eastern Cooperative Oncology Group (ECOG) performance status scale [39]. Only patients with ECOG scale of 0 or 1 were enrolled in the study;
- -
- Patients with an age > 18 years old.
2.3. Exclusion Criterion of the Study
- -
- Patients with risks of adverse effects with iodine contrast agents;
- -
- Patients with breast implant(s);
- -
- Patients with proved or supposed pregnancy. For all women with childbearing potential, a pregnancy test was performed before the CESM;
- -
- Patients with severe (i.e., GFR < 30 mL/min), mild, and moderate renal function were excluded from the study;
- -
- Patients with manifest hyperthyroidism;
- -
- Patients in therapy with a biguanide such as metformin were excluded from the study, due to possible interactions.
2.4. Technique
2.5. Statistical Analysis
3. Results
4. Discussion
5. Conclusions
Supplementary Materials
Author Contributions
Funding
Institutional Review Board Statement
Informed Consent Statement
Data Availability Statement
Conflicts of Interest
References
- Sung, H.; Ferlay, J.; Siegel, R.L.; Laversanne, M.; Soerjomataram, I.; Jemal, A.; Bray, F. Global Cancer Statistics 2020: GLOBOCAN Estimates of Incidence and Mortality Worldwide for 36 Cancers in 185 Countries. CA Cancer J. Clin. 2021, 71, 209–249. [Google Scholar] [CrossRef] [PubMed]
- Merino Bonilla, J.A.; Torres Tabanera, M.; Ros Mendoza, L.H. Breast cancer in the 21st century: From early detection to new therapies. Radiologia 2017, 59, 368–379. [Google Scholar] [CrossRef] [PubMed]
- Berg, W.A. Reducing Unnecessary Biopsy and Follow-up of Benign Cystic Breast Lesions. Radiology 2020, 295, 52–53. [Google Scholar] [CrossRef]
- Fallenberg, E.M. Kontrastmittelunterstützte Mammographie. Der Radiol. 2021, 61, 177–182. [Google Scholar] [CrossRef]
- Duffy, S.W.; Tabár, L.; Yen, A.M.; Dean, P.B.; Smith, R.A.; Jonsson, H.; Törnberg, S.; Chen, S.L.-S.; Chiu, S.Y.; Fann, J.C.; et al. Mammography screening reduces rates of advanced and fatal breast cancers: Results in 549,091 women. Cancer 2020, 126, 2971–2979. [Google Scholar] [CrossRef] [PubMed]
- Boyd, N.F.; Martin, L.J.; Bronskill, M.; Yaffe, M.J.; Duric, N.; Minkin, S. Breast Tissue Composition and Susceptibility to Breast Cancer. JNCI: J. Natl. Cancer Inst. 2010, 102, 1224–1237. [Google Scholar] [CrossRef] [PubMed]
- Vourtsis, A.; Berg, W.A. Breast density implications and supplemental screening. Eur. Radiol. 2019, 29, 1762–1777. [Google Scholar] [CrossRef]
- Lee, C.I.; Chen, L.E.; Elmore, J.G. Risk-based Breast Cancer Screening: Implications of Breast Density. Med Clin. N. Am. 2017, 101, 725–741. [Google Scholar] [CrossRef]
- Mori, M.; Akashi-Tanaka, S.; Suzuki, S.; Daniels, M.I.; Watanabe, C.; Hirose, M.; Nakamura, S. Diagnostic accuracy of contrast-enhanced spectral mammography in comparison to conventional full-field digital mammography in a population of women with dense breasts. Breast Cancer 2017, 24, 104–110. [Google Scholar] [CrossRef]
- Fallenberg, E.M.; Schmitzberger, F.F.; Amer, H.; Ingold-Heppner, B.; Balleyguier, C.; Diekmann, F.; Dromain, C. Contrast-enhanced spectral mammography vs. mammography and MRI-clinical performance in a multi- reader evaluation. Eur. Radiol. 2017, 27, 2752–2764. [Google Scholar] [CrossRef]
- Sorin, V.; Yagil, Y.; Yosepovich, A.; Shalmon, A.; Gotlieb, M.; Neiman, O.H.; Sklair-Levy, M. Contrast-Enhanced Spectral Mammography in Women with Intermediate Breast Cancer Risk and Dense Breasts. Am. J. Roentgenol. 2018, 211, W267–W274. [Google Scholar] [CrossRef]
- Cheung, Y.C.; Lin, Y.C.; Wan, Y.L.; Yeow, K.M.; Huang, P.C.; Lo, Y.F.; Chang, C.J. Diagnostic performance of dual-energycontrast-enhanced subtracted mammography in dense breasts compared to mammography alone: Interobserver blind-reading analysis. Eur. Radiol. 2014, 24, 2394–2403. [Google Scholar] [CrossRef] [PubMed]
- Amornsiripanitch, N.; Mangano, M.; Niell, B.L. Screening Mammography: Patient Perceptions and Preferences Regarding Communication of Estimated Breast Cancer Risk. Am. J. Roentgenol. 2017, 208, 1163–1170. [Google Scholar] [CrossRef] [PubMed]
- Bosch, A.M.; Kessels, A.G.; Beets, G.L.; Rupa, J.D.; Koster, D.; van Engelshoven, J.M.; von Meyenfeldt, M.F. Preoperative estimation of the pathological breast tumour size by physical examination, mammography and ultrasound: A prospective study on 105 invasive tumours. Eur. J. Radiol. 2003, 48, 285–292. [Google Scholar] [CrossRef]
- Berg, W.A.; Blume, J.D.; Cormack, J.B.; Mendelson, E.B. Operator Dependence of Physician-performed Whole-Breast US: Lesion Detection and Characterization. Radiology 2006, 241, 355–365. [Google Scholar] [CrossRef] [PubMed]
- Lee, C.H.; Dershaw, D.D.; Kopans, D.; Evans, P.; Monsees, B.; Monticciolo, D.; Brenner, R.J.; Bassett, L.; Berg, W.; Feig, S.; et al. Breast Cancer Screening with Imaging: Recommendations from the Society of Breast Imaging and the ACR on the Use of Mammography, Breast MRI, Breast Ultrasound, and Other Technologies for the Detection of Clinically Occult Breast Cancer. J. Am. Coll. Radiol. 2010, 7, 18–27. [Google Scholar] [CrossRef] [PubMed]
- Monsees, B.S. Evaluation of Breast Microcalcifications. Radiol. Clin. N. Am. 1995, 33, 1109–1121. [Google Scholar] [CrossRef]
- Hashimoto, Y.; Murata, A.; Miyamoto, N.; Takamori, T.; Hosoda, Y.; Endo, Y.; Kodani, Y.; Sato, K.; Hosoya, K.; Ishiguro, K.; et al. Clinical Significance of Microcalcifications Detection in Invasive Breast Carcinoma. Yonago Acta Medica 2015, 58, 89–93. [Google Scholar]
- Han, M.; Kim, T.H.; Kang, D.K.; Kim, K.S.; Yim, H. Prognostic role of MRI enhancement features in patients with breast cancer: Value of adjacent vessel sign and increased ipsilateral whole-breast vascularity. Am. J. Roentgenol. 2012, 199, 921–928. [Google Scholar] [CrossRef]
- Sardanelli, F.; Iozzelli, A.; Fausto, A.; Carriero, A.; Kirchin, M.A. Gadobenate dimeglumine-enhanced MR imaging breast vascular maps: Association between invasive cancer and ipsilateral increased vascularity. Radiology 2005, 235, 791–797. [Google Scholar] [CrossRef]
- Peters, N.H.G.M.; Rinkes, I.H.M.B.; Zuithoff, N.P.A.; Mali, W.P.T.M.; Moons, K.G.M.; Peeters, P.H.M. Meta-Analysis of MR Imaging in the Diagnosis of Breast Lesions. Radiology 2008, 246, 116–124. [Google Scholar] [CrossRef] [PubMed]
- Bonelli, L.A.; Calabrese, M.; Belli, P.; Corcione, S.; Losio, C.; Montemezzi, S.; Pediconi, F.; Petrillo, A.; Zuiani, C.; Camera, L.; et al. MRI versus Mammography plus Ultrasound in Women at Intermediate Breast Cancer Risk: Study Design and Protocol of the MRIB Multicenter, Randomized, Controlled Trial. Diagnostics 2021, 11, 1635. [Google Scholar] [CrossRef] [PubMed]
- Sardanelli, F.; Boetes, C.; Borisch, B.; Decker, T.; Federico, M.; Gilbert, F.J.; Helbich, T.; Heywang-Köbrunner, S.H.; Kaiser, W.A.; Kerin, M.J.; et al. Magnetic resonance imaging of the breast: Recommendations from the EUSOMA working group. Eur. J. Cancer 2010, 46, 1296–1316. [Google Scholar] [CrossRef] [PubMed]
- Pinker, K.; Helbich, T.H.; Morris, E.A. The potential of multiparametric MRI of the breast. Br. J. Radiol. 2017, 90, 20160715e. [Google Scholar] [CrossRef] [PubMed]
- Huang, W.; Fisher, P.R.; Dulaimy, K.; Tudorica, L.A.; O’Hea, B.; Button, T.M. Detection of Breast Malignancy: Diagnostic MR Protocol for Improved Specificity. Radiology 2004, 232, 585–591. [Google Scholar] [CrossRef]
- Houssami, N.; Turner, R.; Morrow, M. Preoperative magnetic resonance imaging in breast cancer: Meta-analysis of surgical outcomes. Ann. Surg. 2013, 257, 249–255. [Google Scholar] [CrossRef]
- Wang, S.-Y.; Kuntz, K.M.; Tuttle, T.M.; Jacobs, D.R., Jr.; Kane, R.L.; Virnig, B.A. The association of preoperative breast magnetic resonance imaging and multiple breast surgeries among older women with early stage breast cancer. Breast Cancer Res. Treat. 2013, 138, 137–147. [Google Scholar] [CrossRef]
- Mann, R.M.; Balleyguier, C.; Baltzer, P.A.; Bick, U.; Colin, C.; Cornford, E.; Evans, A.N.; Fallenberg, E.M.; Forrai, G.; Fuchsjäger, M.H.; et al. Breast MRI: EUSOBI recommendations for women’s information. Eur. Radiol. 2015, 25, 3669–3678. [Google Scholar] [CrossRef]
- Dromain, C.; Thibault, F.; Muller, S.; Rimareix, F.; Delaloge, S.; Tardivon, A.; Balleyguier, C. Dual-energy contrast-enhanced digital mammography: Initial clinical results. Eur. Radiol. 2011, 21, 565–574. [Google Scholar] [CrossRef]
- Bozzini, A.; Nicosia, L.; Pruneri, G.; Maisonneuve, P.; Meneghetti, L.; Renne, G.; Vingiani, A.; Cassano, E.; Mastropasqua, M.G. Clinical performance of contrast-enhanced spectral mammography in pre-surgical evaluation of breast malignant lesions in dense breasts: A single center study. Breast Cancer Res Treat. 2020, 184, 723–731. [Google Scholar] [CrossRef]
- Suter, M.B.; Pesapane, F.; Agazzi, G.M.; Gagliardi, T.; Nigro, O.; Bozzini, A.; Priolo, F.; Penco, S.; Cassano, E.; Chini, C.; et al. Diagnostic accuracy of contrast-enhanced spectral mammography for breast lesions: A systematic review and meta-analysis. Breast 2020, 53, 8–17. [Google Scholar] [CrossRef] [PubMed]
- Travieso-Aja, M.D.M.; Maldonado-Saluzzi, D.; Naranjo-Santana, P.; Fernández-Ruiz, C.; Severino-Rondón, W.; Rodríguez, M.R.; Benítez, V.V.; Pérez-Luzardo, O. Diagnostic performance of contrast-enhanced dual-energy spectral mammography (CESM): A retrospective study involving 644 breast lesions. La Radiol. Med. 2019, 124, 1006–1017. [Google Scholar] [CrossRef] [PubMed]
- Chi, X.; Zhang, L.; Xing, D.; Gong, P.; Chen, Q.; Lv, Y. Diagnostic value of the enhancement intensity and enhancement pattern of CESM to benign and malignant breast lesions. Medicine 2020, 99, e22097. [Google Scholar] [CrossRef] [PubMed]
- Liu, Y.; Zhao, S.; Huang, J.; Zhang, X.; Qin, Y.; Zhong, H.; Yu, J. Quantitative Analysis of Enhancement Intensity and Patterns on Contrast-enhanced Spectral Mammography. Sci. Rep. 2020, 10, 9807. [Google Scholar] [CrossRef]
- Boy, F.N.S.; Goksu, K.; Tasdelen, I. Association between lesion enhancement and breast cancer in contrast-enhanced spectral mammography. Acta Radiol. 2021, 2841851211060021. [Google Scholar] [CrossRef]
- Deng, C.-Y.; Juan, Y.-H.; Cheung, Y.C.; Lin, Y.-C.; Lo, Y.-F.; Lin, G.; Chen, S.-C.; Ng, S.-H. Quantitative analysis of enhanced malignant and benign lesions on contrast-enhanced spectral mammography. Br. J. Radiol. 2018, 91, 20170605. [Google Scholar] [CrossRef]
- American College of Radiology. ACR BI-RADS Atlas: Breast Imaging Reporting and Data System, 5th ed.; American College of Radiology: Reston, VA, USA, 2013. [Google Scholar]
- Hoon Tan, P.; Ellis, I.; Allison, K.; Brogi, E.; Fox, S.B.; Lakhani, S.; Lazar, A.J.; Morris, E.A.; Sahin, A.; Salgado, R.; et al. The 2019 World Health Organization classification of tumours of the breast. Histopathology 2020, 77, 181–185. [Google Scholar] [CrossRef]
- Azam, F.; Latif, M.F.; Farooq, A.; Tirmazy, S.H.; AlShahrani, S.; Bashir, S.; Bukhari, N. Performance Status Assessment by Using ECOG (Eastern Cooperative Oncology Group) Score for Cancer Patients by Oncology Healthcare Professionals. Case Rep. Oncol. 2019, 12, 728–736. [Google Scholar] [CrossRef]
- Xiang, W.; Rao, H.; Zhou, L. A meta-analysis of contrast-enhanced spectral mammography versus MRI in the diagnosis of breast cancer. Thorac. Cancer 2020, 11, 1423–1432. [Google Scholar] [CrossRef]
- Berg, W.A.; Blume, J.D.; Cormack, J.B.; Mendelson, E.B.; Lehrer, D.; Böhm-Vélez, M. Combined screening with ultrasound and mammography vs. mammography alone in women at elevated risk of breast cancer. JAMA 2008, 299, 2151–2163. [Google Scholar] [CrossRef]
- Emaus, M.J.; Bakker, M.F.; Peeters, P.H.; Loo, C.E.; Mann, R.M.; de Jong, M.D.; van Gils, C.H. MR Imaging as an additional screening modality for the detection of breast cancer in women aged 50-75 years with extremely dense breasts: The DENSE trial study design. Radiology 2015, 277, 527–537. [Google Scholar] [CrossRef] [PubMed] [Green Version]
- Li, L.; Roth, R.; Germaine, P.; Ren, S.; Lee, M.; Hunter, K.; Tinney, E.; Liao, L. Contrast-enhanced spectral mammography (CESM) versus breast magnetic resonance imaging (MRI): A retrospective comparison in 66 breast lesions. Diagn. Interv. Imaging 2016, 98, 113–123. [Google Scholar] [CrossRef] [PubMed]
- Jochelson, M.S.; Dershaw, D.D.; Sung, J.S.; Heerdt, A.S.; Thornton, C.; Moskowitz, C.S.; Morris, E.A. Bilateral contrast-enhanced dual-energy digital mammography: Feasibility and comparison with conventional digital mammography and MR imaging in women with known breast carcinoma. Radiology 2013, 266, 743–751. [Google Scholar] [CrossRef]
- Lee-Felker, S.A.; Tekchandani, L.; Thomas, M.; Gupta, E.; Andrews-Tang, D.; Roth, A.; Sayre, J.; Rahbar, G. Newly Diagnosed Breast Cancer: Comparison of Contrast-enhanced Spectral Mammography and Breast MR Imaging in the Evaluation of Extent of Disease. Radiology 2017, 285, 389–400. [Google Scholar] [CrossRef]
- Nicosia, L.; Bozzini, A.C.; Penco, S.; Trentin, C.; Pizzamiglio, M.; Lazzeroni, M.; Lissidini, G.; Veronesi, P.; Farante, G.; Frassoni, S.; et al. A Model to Predict Upstaging to Invasive Carcinoma in Patients Preoperatively Diagnosed with Low-Grade Ductal Carcinoma In Situ of the Breast. Cancers 2022, 14, 370. [Google Scholar] [CrossRef] [PubMed]
- Shin, H.J.; Choi, W.J.; Park, S.Y.; Ahn, S.H.; Son, B.H.; Chung, I.Y.; Lee, J.W.; Ko, B.S.; Kim, J.S.; Chae, E.Y.; et al. Prediction of Underestimation Using Contrast-Enhanced Spectral Mammography in Patients Diagnosed as Ductal Carcinoma In Situ on Preoperative Core Biopsy. Clin. Breast Cancer 2021, 22, e374–e386. [Google Scholar] [CrossRef] [PubMed]
- Cheung, Y.-C.; Chen, K.; Yu, C.-C.; Ueng, S.-H.; Li, C.-W.; Chen, S.-C. Contrast-Enhanced Mammographic Features of In Situ and Invasive Ductal Carcinoma Manifesting Microcalcifications Only: Help to Predict Underestimation? Cancers 2021, 13, 4371. [Google Scholar] [CrossRef]
- Lalji, U.C.; Jeukens, C.R.L.P.N.; Houben, I.; Nelemans, P.J.; van Engen, R.E.; van Wylick, E.; Beets-Tan, R.G.H.; Wildberger, J.E.; Paulis, L.E.; Lobbes, M.B.I. Evaluation of low-energy contrast-enhanced spectral mammography images by comparing them to full-field digital mammography using EUREF image quality criteria. Eur. Radiol. 2015, 25, 2813–2820. [Google Scholar] [CrossRef]



| Variable | Level | Overall (N = 377) |
|---|---|---|
| Mammograph, N (%) | Fuji | 35 (9.3) |
| GE | 325 (86.2) | |
| Hologic | 17 (4.5) | |
| Type of lesion, N (%) | Microcalcifications | 101 (26.8) |
| Mass | 249 (66.0) | |
| Mass with microcalcifications | 10 (2.7) | |
| Architectural distortion | 8 (2.1) | |
| Enhancement MRI | 5 (1.3) | |
| Without radiological findings | 4 (1.1) | |
| Quadrant, N (%) | Lower | 68 (18.0) |
| Middle | 83 (22.0) | |
| Upper | 226 (59.9) | |
| Side, N (%) | Left | 177 (46.9) |
| Right | 200 (53.1) | |
| BIRADS, N (%) | 4a | 117 (31.3) |
| 4b | 82 (21.9) | |
| 4c | 111 (29.7) | |
| 5 | 64 (17.1) | |
| Missing | 3 | |
| Density (ACR), N (%) | A | 4 (1.1) |
| B | 79 (21.0) | |
| C | 247 (65.5) | |
| D | 47 (12.5) | |
| Background, N (%) | Minimal | 250 (66.3) |
| Mild | 70 (18.6) | |
| Moderated | 35 (9.3) | |
| Marked | 22 (5.8) |
| Variable | Level | Overall (N = 377) |
|---|---|---|
| Enhancement, N (%) | No | 103 (27.3) |
| Yes | 274 (72.7) | |
| Intensity, N (%) | Absent | 103 (27.3) |
| Mild | 66 (17.5) | |
| Moderate | 99 (26.3) | |
| Marked | 109 (28.9) | |
| Intensity (2 categories), N (%) | Benign | 169 (44.8) |
| Malignant | 208 (55.2) | |
| Margin morphology, N (%) | Absent | 103 (27.3) |
| Regular | 41 (10.9) | |
| Irregular | 233 (61.8) | |
| Margin morphology (2 categories), N (%) | Benign | 144 (38.2) |
| Malignant | 233 (61.8) | |
| Pattern, N (%) | Absent | 103 (27.3) |
| Homogeneous | 60 (15.9) | |
| Heterogeneous | 211 (56.0) | |
| Ring | 3 (0.8) | |
| Pattern (2 categories), N (%) | Benign | 163 (43.2) |
| Malignant | 214 (56.8) | |
| Ground glass, N (%) | Absent | 103 (27.3) |
| Purified | 60 (15.9) | |
| Unpurified | 214 (56.8) | |
| Ground glass (2 categories), N (%) | Benign | 163 (43.2) |
| Malignant | 214 (56.8) | |
| Morphology, N (%) | Absent | 103 (27.3) |
| Non-mass | 51 (13.5) | |
| Mass | 223 (59.2) | |
| Biopsy or surgery histological result, N (%) | Benign | 128 (34.0) |
| Malignant (In situ) | 32 (8.5) | |
| Malignant (Invasive) | 217 (57.6) | |
| Biopsy or surgery histological result (2 categories), N (%) | Benign | 128 (34.0) |
| Malignant | 249 (66.0) |
| Enhancements | SE [95% CI] | SP [95% CI] | PPV [95% CI] | NPV [95% CI] | DA [95% CI] |
|---|---|---|---|---|---|
| Intensity | 196/249 = 78.7% [73.6–83.8%] | 116/128 = 90.6% [85.6–95.7%] | 196/208 = 94.2% [91.1–97.4%] | 116/169 = 68.6% [61.6–75.6%] | 312/377 = 82.8% [79.0–86.6%] |
| Margin morphology | 220/249 = 88.4% [84.4–92.3%] | 115/128 = 89.8% [84.6–95.1%] | 220/233 = 94.4% [91.5–97.4%] | 115/144 = 79.9% [73.3–86.4%] | 335/377 = 88.9% [85.7–92.0%] |
| Pattern | 207/249 = 83.1% [78.5–87.8%] | 121/128 = 94.5% [90.6–98.5%] | 207/214 = 96.7% [94.4–99.1%] | 121/163 = 74.2% [67.5–81.0%] | 328/377 = 87.0% [83.6–90.4%] |
| Ground glass | 203/249 = 81.5% [76.7–86.4%] | 117/128 = 91.4% [86.6–96.3%] | 203/214 = 94.9% [91.9–97.8%] | 117/163 = 71.8% [64.9–78.7%] | 320/377 = 84.9% [81.3–88.5%] |
| Enhancement score ≥ 2 | 230/249 = 92.4% [89.1–95.7%] | 115/128 = 89.8% [84.6–95.1%] | 230/243 = 94.7% [91.8–97.5%] | 115/134 = 85.8% [79.9–91.7%] | 345/377 = 91.5% [88.7–94.3%] |
Publisher’s Note: MDPI stays neutral with regard to jurisdictional claims in published maps and institutional affiliations. |
© 2022 by the authors. Licensee MDPI, Basel, Switzerland. This article is an open access article distributed under the terms and conditions of the Creative Commons Attribution (CC BY) license (https://creativecommons.org/licenses/by/4.0/).
Share and Cite
Nicosia, L.; Bozzini, A.C.; Palma, S.; Montesano, M.; Pesapane, F.; Ferrari, F.; Dominelli, V.; Rotili, A.; Meneghetti, L.; Frassoni, S.; et al. A Score to Predict the Malignancy of a Breast Lesion Based on Different Contrast Enhancement Patterns in Contrast-Enhanced Spectral Mammography. Cancers 2022, 14, 4337. https://doi.org/10.3390/cancers14174337
Nicosia L, Bozzini AC, Palma S, Montesano M, Pesapane F, Ferrari F, Dominelli V, Rotili A, Meneghetti L, Frassoni S, et al. A Score to Predict the Malignancy of a Breast Lesion Based on Different Contrast Enhancement Patterns in Contrast-Enhanced Spectral Mammography. Cancers. 2022; 14(17):4337. https://doi.org/10.3390/cancers14174337
Chicago/Turabian StyleNicosia, Luca, Anna Carla Bozzini, Simone Palma, Marta Montesano, Filippo Pesapane, Federica Ferrari, Valeria Dominelli, Anna Rotili, Lorenza Meneghetti, Samuele Frassoni, and et al. 2022. "A Score to Predict the Malignancy of a Breast Lesion Based on Different Contrast Enhancement Patterns in Contrast-Enhanced Spectral Mammography" Cancers 14, no. 17: 4337. https://doi.org/10.3390/cancers14174337
APA StyleNicosia, L., Bozzini, A. C., Palma, S., Montesano, M., Pesapane, F., Ferrari, F., Dominelli, V., Rotili, A., Meneghetti, L., Frassoni, S., Bagnardi, V., Sangalli, C., & Cassano, E. (2022). A Score to Predict the Malignancy of a Breast Lesion Based on Different Contrast Enhancement Patterns in Contrast-Enhanced Spectral Mammography. Cancers, 14(17), 4337. https://doi.org/10.3390/cancers14174337

