Routine Immunohistochemical Analysis of Mismatch Repair Proteins in Colorectal Cancer—A Prospective Analysis
Abstract
Simple Summary
Abstract
1. Introduction
2. Materials and Methods
2.1. Patient Selection
2.2. Data Collection
2.3. Hospital Standard Procedures
2.3.1. CRC Sample Processing
2.3.2. Family Risk Clinic Referral
2.3.3. Molecular and Genetic Testing
Microsatellite Instability Analysis
MMR Gene Promoter Methylation Analysis
Germline Mutation Analysis
2.4. Statistical Analysis
3. Results
3.1. Clinical Characterization
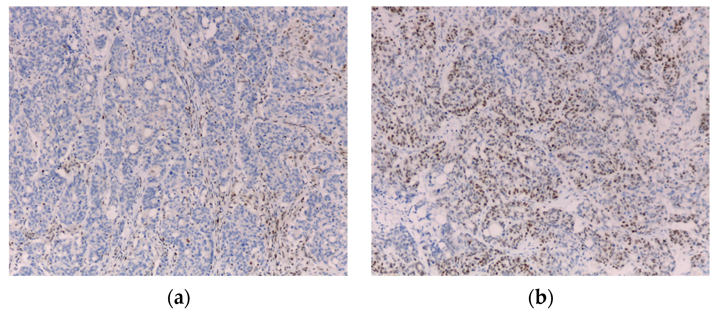
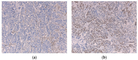
3.2. Immunohistochemical Analysis
3.3. Analysis of MMR Deficient Cases—BRAFV600E Mutation Status, MMR Gene Methylation and Germline Mutation Analysis
3.4. Germline Mutation Analysis in MMR Proficient Cases
4. Discussion
5. Conclusions
Author Contributions
Funding
Institutional Review Board Statement
Informed Consent Statement
Data Availability Statement
Acknowledgments
Conflicts of Interest
References
- Siegel, R.L.; Miller, K.D.; Fuchs, H.E.; Jemal, A. Cancer Statistics, 2021. CA Cancer J. Clin. 2021, 71, 7–33. [Google Scholar] [CrossRef] [PubMed]
- ECIS-European Cancer Information System. Available online: https://ecis.jrc.ec.europa.eu (accessed on 2 January 2022).
- Bray, F.; Ferlay, J.; Soerjomataram, I.; Siegel, R.L.; Torre, L.A.; Jemal, A. Global cancer statistics 2018: GLOBOCAN estimates of incidence and mortality worldwide for 36 cancers in 185 countries. CA Cancer J. Clin. 2018, 68, 394–424. [Google Scholar] [CrossRef] [PubMed]
- Meyer, J.E.; Narang, T.; Schnoll-Sussman, F.H.; Pochapin, M.B.; Christos, P.J.; Sherr, D.L. Increasing incidence of rectal cancer in patients aged younger than 40 years: An analysis of the surveillance, epidemiology, and end results database. Cancer 2010, 116, 4354–4359. [Google Scholar] [CrossRef] [PubMed]
- Meester, R.G.S.; Doubeni, C.A.; Lansdorp-Vogelaar, I.; Goede, S.L.; Levin, T.R.; Quinn, V.P.; van Ballegooijen, M.; Corley, D.A.; Zauber, A.G. Colorectal cancer deaths attributable to nonuse of screening in the United States. Ann. Epidemiol. 2015, 25, 208–213.e1. [Google Scholar] [CrossRef] [PubMed]
- Siegel, R.L.; Jemal, A.; Ward, E.M. Increase in incidence of colorectal cancer among young men and women in the United States. Cancer Epidemiol. Biomark. Prev. 2009, 18, 1695–1698. [Google Scholar] [CrossRef] [PubMed]
- Silla, I.O.; Rueda, D.; Rodriguez, Y.; Garcia, J.L.; de La Cruz Vigo, F.; Perea, J. Early-onset colorectal cancer: A separate subset of colorectal cancer. World J. Gastroenterol. 2014, 20, 17288–17296. [Google Scholar] [CrossRef]
- Siegel, R.L.; Torre, L.A.; Soerjomataram, I.; Hayes, R.B.; Bray, F.; Weber, T.K.; Jemal, A. Global patterns and trends in colorectal cancer incidence in young adults. Gut 2019, 68, 2179–2185. [Google Scholar] [CrossRef] [PubMed]
- Chang, D.T.; Pai, R.K.; Rybicki, L.A.; Dimaio, M.A.; Limaye, M.; Jayachandran, P.; Koong, A.C.; Kunz, P.A.; Fisher, G.A.; Ford, J.A.; et al. Clinicopathologic and molecular features of sporadic early-onset colorectal adenocarcinoma: An adenocarcinoma with frequent signet ring cell differentiation, rectal and sigmoid involvement, and adverse morphologic features. Mod. Pathol. 2012, 25, 1128–1139. [Google Scholar] [CrossRef] [PubMed]
- Levine, O.; Zbuk, K. Colorectal cancer in adolescents and young adults: Defining a growing threat. Pediatr. Blood Cancer 2019, 66, e27941. [Google Scholar] [CrossRef] [PubMed]
- Boardman, L.A.; Vilar, E.; You, Y.N.; Samadder, J. AGA Clinical Practice Update on Young Adult–Onset Colorectal Cancer Diagnosis and Management: Expert Review. Clin. Gastroenterol. Hepatol. 2020, 18, 2415–2424. [Google Scholar] [CrossRef]
- Ryan, E.; Sheahan, K.; Creavin, B.; Mohan, H.M.; Winter, D.C. The current value of determining the mismatch repair status of colorectal cancer: A rationale for routine testing. Crit. Rev. Oncol. Hematol. 2017, 116, 38–57. [Google Scholar] [CrossRef] [PubMed]
- Chiaravalli, A.M.; Carnevali, I.; Sahnane, N.; Leoni, E.; Furlan, D.; Berselli, M.; Sessa, F.; Tibiletti, M.G. Universal screening to identify Lynch syndrome: Two years of experience in a Northern Italian Center. Eur. J. Cancer Prev. 2020, 29, 281–288. [Google Scholar] [CrossRef] [PubMed]
- Moreira, L.; Balaguer, F.; Lindor, N.; de la Chapelle, A.; Hampel, H.; Aaltonen, L.A.; Hopper, J.L.; Le Marchand, L.; Gallinger, S.; Newcomb, P.A.; et al. Identification of Lynch Syndrome Among Patients with Colorectal Cancer. JAMA 2012, 308, 1555–1565. [Google Scholar] [CrossRef] [PubMed]
- Pérez-Carbonell, L.; Ruiz-Ponte, C.; Guarinos, C.; Alenda, C.; Payá, A.; Brea, A.; Egoavil, C.M.; Castillejo, A.; Barberá, V.M.; Bessa, X.; et al. Comparison between universal molecular screening for Lynch syndrome and revised Bethesda guidelines in a large population-based cohort of patients with colorectal cancer. Gut 2012, 61, 865–872. [Google Scholar] [CrossRef]
- Mvundura, M.; Grosse, S.D.; Hampel, H.; Palomaki, G.E. The cost-effectiveness of genetic testing strategies for Lynch syndrome among newly diagnosed patients with colorectal cancer. Genet. Med. 2010, 12, 93–104. [Google Scholar] [CrossRef] [PubMed]
- Ladabaum, U.; Wang, G.; Terdiman, J.; Blanco, A.; Kuppermann, M.; Boland, C.R.; Ford, J.; Elkin, E.; Phillips, K.A. Strategies to Identify the Lynch Syndrome Among Patients with Colorectal Cancer. Ann. Intern. Med. 2011, 155, 69–79. [Google Scholar] [CrossRef] [PubMed]
- Kang, Y.J.; Killen, J.; Caruana, M.; Simms, K.; Taylor, N.; Frayling, I.M.; Snowsill, T.; Huxley, N.; Coupe, V.M.; Hughes, S.; et al. The predicted impact and cost-effectiveness of systematic testing of people with incident colorectal cancer for Lynch syndrome. Med. J. Aust. 2020, 212, 72–81. [Google Scholar] [CrossRef] [PubMed]
- Weiss, J.M.; Gupta, S.; Burke, C.A.; Axell, L.; Chen, L.M.; Chung, D.C.; Clayback, K.M.; Dallas, S.; Felder, S.; Gbolahan, O.; et al. Genetic/familial high-risk assessment: Colorectal, version 1.2021 featured updates to the NCCN Guidelines. J. Natl. Compr. Cancer Netw. 2021, 19, 1122–1132. [Google Scholar]
- Molecular Testing Strategies for Lynch Syndrome in People with Colorectal Cancer Diagnostics Guidance. 2017. Available online: www.nice.org.uk/guidance/dg27 (accessed on 2 January 2022).
- Boland, C.R.; Shike, M. Report from the Jerusalem Workshop on Lynch Syndrome-Hereditary Nonpolyposis Colorectal Cancer. Gastroenterology 2010, 138, 2197.e1–2197.e7. [Google Scholar] [CrossRef] [PubMed]
- Umar, A.; Boland, C.R.; Terdiman, J.P.; Syngal, S.; de la Chapelle, A.; Rüschoff, J.; Fishel, R.; Lindor, N.M.; Burgart, L.J.; Hamelin, R.; et al. Revised Bethesda Guidelines for Hereditary Nonpolyposis Colorectal Cancer (Lynch Syndrome) and Microsatellite Instability. J. Natl. Cancer Inst. 2004, 96, 261–268. [Google Scholar] [CrossRef]
- Vasen, H.F.; Watson, P.; Mecklin, J.P.; Lynch, H. New clinical criteria for hereditary nonpolyposis colorectal cancer (HNPCC, Lynch syndrome) proposed by the International Collaborative Group on HNPCC. Gastroenterology 1999, 116, 1453–1456. [Google Scholar] [CrossRef]
- Nagtegaal, I.D.; Odze, R.D.; Klimstra, D.; Paradis, V.; Rugge, M.; Schirmacher, P.; Washington, K.M.; Carneiro, F.; Cree, I.A.; WHO Classification of Tumours Editorial Board. The 2019 WHO classification of tumours of the digestive system. Histopathology 2020, 76, 182–188. [Google Scholar] [CrossRef] [PubMed]
- Weiser, M.R. AJCC 8th Edition: Colorectal Cancer. Ann. Surg. Oncol. 2018, 25, 1454–1455. [Google Scholar] [CrossRef] [PubMed]
- Francisco, I.; Albuquerque, C.; Lage, P.; Belo, H.; Vitoriano, I.; Filipe, B.; Claro, I.; Ferreira, S.; Rodrigues, P.; Chaves, P.; et al. Familial colorectal cancer type X syndrome: Two distinct molecular entities? Fam. Cancer 2011, 10, 623–631. [Google Scholar] [CrossRef] [PubMed]
- Silva, P.; Albuquerque, C.; Lage, P.; Fontes, V.; Fonseca, R.; Vitoriano, I.; Filipe, B.; Rodrigues, P.; Moita, S.; Ferreira, S.; et al. Serrated polyposis associated with a family history of colorectal cancer and/or polyps: The preferential location of polyps in the colon and rectum defines two molecular entities. Int. J. Mol. Med. 2016, 38, 687–702. [Google Scholar] [CrossRef] [PubMed][Green Version]
- Cortez-Pinto, J.; Claro, I.; Francisco, I.; Lage, P.; Filipe, B.; Rodrigues, P.; Chaves, P.; Albuquerque, C.; Dias Pereira, A. Pediatric Colorectal Cancer: A Heterogenous Entity. J. Pediatr. Hematol. Oncol. 2020, 42, 131–135. [Google Scholar] [CrossRef] [PubMed]
- Albuquerque, C.; Breukel, C.; van der Luijt, R.; Fidalgo, P.; Lage, P.; Slors, F.J.; Leitão, C.N.; Fodde, R.; Smits, R. The ‘just-right’ signaling model: APC somatic mutations are selected based on a specific level of activation of the beta-catenin signaling cascade. Hum. Mol. Genet. 2002, 11, 1549–1560. [Google Scholar] [CrossRef]
- Boland, C.R.; Thibodeau, S.N.; Hamilton, S.R.; Sidransky, D.; Eshleman, J.R.; Burt, R.W.; Meltzer, S.J.; Rodriguez-Bigas, M.A.; Fodde, R.; Ranzani, G.N.; et al. A National Cancer Institute Workshop on Microsatellite Instability for cancer detection and familial predisposition: Development of international criteria for the determination of microsatellite instability in colorectal cancer. Cancer Res. 1998, 58, 5248–5257. [Google Scholar] [PubMed]
- Buhard, O.; Cattaneo, F.; Wong, Y.F.; Yim, S.F.; Friedman, E.; Flejou, J.F.; Duval, A.; Hamelin, R. Multipopulation analysis of polymorphisms in five mononucleotide repeats used to determine the microsatellite instability status of human tumors. J. Clin. Oncol. 2006, 24, 241–251. [Google Scholar] [CrossRef] [PubMed]
- Umar, A. Lynch syndrome (HNPCC) and microsatellite instability. Dis. Markers 2004, 20, 179–180. [Google Scholar] [CrossRef] [PubMed]
- Nygren, A.O.; Ameziane, N.; Duarte, H.M.; Vijzelaar, R.N.; Waisfisz, Q.; Hess, C.J.; Schouten, J.P.; Errami, A. Methylation-specific MLPA (MS-MLPA): Simultaneous detection of CpG methylation and copy number changes of up to 40 sequences. Nucleic Acids Res. 2005, 33, e128. [Google Scholar] [CrossRef] [PubMed]
- Rosa, I.; Silva, P.; da Mata, S.; Magro, F.; Carneiro, F.; Peixoto, A.; Silva, M.; Sousa, H.T.; Roseira, J.; Parra, J.; et al. Methylation patterns in dysplasia in inflammatory bowel disease patients. Scand. J. Gastroenterol. 2020, 55, 646–655. [Google Scholar] [CrossRef] [PubMed]
- Gupta, S.; Provenzale, D.; Llor, X.; Halverson, A.L.; Grady, W.; Chung, D.C.; Haraldsdottir, S.; Markowitz, A.J.; Slavin, T.P.; Hampel, H.; et al. NCCN Guidelines Insights: Genetic/Familial High-Risk Assessment: Colorectal, Version 2.2019. J. Natl. Compr. Cancer Netw. 2019, 17, 1032–1041. [Google Scholar] [CrossRef] [PubMed]
- Stjepanovic, N.; Moreira, L.; Carneiro, F.; Balaguer, F.; Cervantes, A.; Balmaña, J.; Martinelli, E.; ESMO Guidelines Committee. Hereditary gastrointestinal cancers: ESMO Clinical Practice Guidelines for diagnosis, treatment and follow-up. Ann. Oncol. 2019, 30, 1558–1571. [Google Scholar] [CrossRef]
- Poulogiannis, G.; Frayling, I.M.; Arends, M.J. DNA mismatch repair deficiency in sporadic colorectal cancer and Lynch syndrome. Histopathology 2010, 56, 167–179. [Google Scholar] [CrossRef] [PubMed]
- Goshayeshi, L.; Ghaffarzadegan, K.; Khooei, A.; Esmaeilzadeh, A.; Khorram, M.R.; Mozaffari, H.M.; Kiani, B.; Hoseini, B. Prevalence and clinicopathological characteristics of mismatch repair-deficient colorectal carcinoma in early onset cases as compared with late-onset cases: A retrospective cross-sectional study in Northeastern Iran. BMJ Open 2018, 30, e023102. [Google Scholar] [CrossRef]
- Raymond, V.; Everett, J.N. Genetic counselling and genetic testing in hereditary gastrointestinal cancer syndromes. Best Pract. Res. Clin. Gastroenterol. 2009, 23, 275–283. [Google Scholar] [CrossRef] [PubMed]
- Currais, P.; Rosa, I.; Claro, I. Colorectal cancer carcinogenesis: From bench to bedside. World J. Gastrointest. Oncol. 2022, 14, 654–663. [Google Scholar] [CrossRef] [PubMed]
- Lizardo, D.Y.; Kuang, C.; Hao, S.; Yu, J.; Huang, Y.; Zhang, L. Immunotherapy efficacy on mismatch repair-deficient colorectal cancer: From bench to bedside. Biochim. Biophys. Acta (BBA)-Rev. Cancer 2020, 1874, 188447. [Google Scholar] [CrossRef] [PubMed]

| Amsterdam II |
| At least 3 relatives with an HNPCC—associated cancer (CRC, endometrial, stomach, ovary, ureter/renal pelvis, brain, small bowel, hepatobiliary tract and skin (sebaceous) tumors) 1. One is a first degree relative of the other two 2. At least two successive generations affected 3. At least one of the syndrome-associated cancers should be diagnosed at <50 years of age 4. FAP should be excluded in any CRC cases5. Tumors should be verified whenever possible |
| Revised Bethesda Guidelines |
| Colorectal tumors from individuals should be tested for MSI in the following situations 1. CRC diagnosed in a patient who is <50 years of age 2. Presence of synchronous or metachronous CRC, or other HNPCC-associated tumors regardless of age. 3. CRC with MSI-H histology diagnosed in a patient who is <60 years of age. 4. CRC diagnosed in one or more first-degree relatives with an HNPCC-related tumor, with one of the cancers being diagnosed under age 50 years. 5. CRC diagnosed in two or more first- or second-degree relatives with HNPCC-related tumors, regardless of age. |
| Variable | Frequency |
|---|---|
| Gender | |
| Female | 121 (44.0%) |
| Male | 154 (56.0%) |
| Age at CRC diagnosis (median, IQR) | 61.0 (54.5–65.0) |
| Tumor location | |
| Right colon | 60 (21.8%) |
| Left colon | 77 (28.0%) |
| Rectum | 138 (50.2%) |
| Synchronous CRC | 6 |
| Stage (AJCC 8th edition) | |
| I | 50 (18.2%) |
| II | 63 (22.9%) |
| III | 146 (53.1%) |
| IV | 16 (5.8%) |
| Neoadjuvant treatment | |
| None | 162 (58.9%) |
| Radiotherapy | 12 (4.4%) |
| Chemoradiotherapy | 98 (35.6%) |
| Chemotherapy | 3 (1.1%) |
| Resection technique | |
| Right hemicolectomy | 55 (20.0%) |
| Left hemicolectomy | 13 (4.7%) |
| Sigmoidectomy | 49 (17.8%) |
| Anterior rectal resection | 116 (42.2%) |
| Abdominoperineal resection | 23 (8.4%) |
| Total colectomy/proctocolectomy | 8/3 (2.9/1.1%) |
| Trans-anal minimally invasive surgery | 2 (0.7%) |
| Endoscopic | 7 (2.3%) |
| Urgent surgery for occlusion | 9 (3.3%) |
| Intraoperatively perforated tumor | 2 (0.7%) |
| Variable | Frequency |
|---|---|
| Differentiation grade | |
| Low-grade (G1–G2) | 204 (74.2%) |
| High-grade (G3) | 23 (8.4%) |
| N/A | 48 |
| Histological subtype | |
| Mucinous | 26 (9.5%) |
| Signet ring | 2 (0.7%) |
| Mucinous and signed ring | 3 (1.1%) |
| Tubular and cribiform | 2 (0.7%) |
| Serrated | 1 (0.3%) |
| NOS | 241 (87.6%) |
| Lympho-vascular invasion | 69 (25.1%) |
| Perineural invasion | 37 (13.5%) |
| Lymphocytic infiltrate | 82 (29.8%) |
| Tumor budding | 64 (23.3%) |
| ID | Age (years) | Gender | CRC Location at Diagnosis | CRC Stage | CRC Histopathology | AC | BC | Immunohistochemistry–Unexpressed Proteins | BRAF V600E | MLH1 Promoter Hyper-Methylation | Genetic Diagnosis’ Results | ||||
|---|---|---|---|---|---|---|---|---|---|---|---|---|---|---|---|
| G3 | LV/P | Mucinous | LI | Bd | |||||||||||
| 1 | 64 | Male | Right colon | III | + | + | − | + | + | No | No | MLH1 and PMS2 | N/A | N/A | N/A |
| 2 | 61 | Female | Left colon | II | − | − | − | − | − | No | Yes | MLH1 and PMS2 | N/A | N/A | No mutation detected |
| 3 | 29 | Female | Left colon | III | N/A | + | + | + | − | No | Yes | MLH1 and PMS2 | No | Yes | No mutation detected |
| 4 | 39 | Male | Right colon | III | − | + | − | + | − | No | Yes | MLH1 and PMS2 | N/A | N/A | No mutation detected |
| 5 | 54 | Female | Right colon | II | + | + | − | − | − | No | No | MLH1 and PMS2 | No | Yes | No mutation detected |
| 6 | 32 | Male | Right colon | III | − | − | − | − | − | No | Yes | MSH2 and MSH6 | N/A | N/A | LS-MSH2 Frameshift mutation c.388_389delp.Gln130ValfsTer2 |
| 7 | 66 | Male | Rectum | III | − | − | − | + | − | No | No | PMS2 | N/A | N/A | N/A |
| 8 | 60 | Female | Rectum | III | − | − | − | − | − | No | No | MLH1 and PMS2 | N/A | N/A | N/A |
| 9 | 67 | Female | Right colon | III | + | − | − | + | − | No | No | MLH1 and PMS2 | No | Yes | N/A |
| 10 | 63 | Male | Rectum | III | − | − | − | + | − | No | No | MSH6 | N/A | N/A | N/A |
| 11 | 64 | Male | Rectum | III | − | − | − | − | − | No | Yes | MLH1 and PMS2 | N/A | N/A | N/A |
| 12 | 62 | Male | Left colon | I | − | − | − | − | − | No | No | MSH6 | N/A | N/A | N/A |
| 13 | 65 | Male | Left colon | I | − | − | − | − | − | No | Yes | MSH2 | N/A | N/A | N/A |
| 14 | 51 | Male | Right colon | II | − | + | − | + | − | No | Yes | MLH1 and PMS2 | N/A | N/A | N/A |
| 15 | 54 | Male | Right colon | II | − | − | − | + | − | No | Yes | MLH1 and PMS2 | No | No | No mutation detected |
| 16 | 67 | Male | Right colon | II | − | − | − | − | − | No | No | MLH1 and PMS2 | N/A | N/A | N/A |
| 17 | 67 | Male | Right colon | II | − | − | − | + | − | No | No | MLH1 and PMS2 | N/A | N/A | No mutation detected |
| 18 | 67 | Male | Right colon | III | + | + | − | + | + | No | Yes | PMS2 | Yes | N/A | N/A |
| 19 | 67 | Male | Right colon | IV | + | + | − | + | + | No | Yes | PMS2 | Yes | N/A | N/A |
| 20 | 63 | Male | Right colon | II | − | − | − | + | − | No | No | MLH1 and PMS2 | Yes | N/A | N/A |
| 21 | 56 | Male | Rectum | IV | − | + | − | − | + | No | Yes | MLH1 and PMS2 | N/A | N/A | No mutation detected |
| 22 | 42 | Male | Right colon | I | − | − | − | − | − | No | Yes | MLH1 and PMS2 | No | No | LS-MLH1 Missense mutation c.2041G > Ap.(Ala681Thr) |
| 23 | 55 | Male | Right colon | III | − | − | − | − | + | No | No | PMS2 | No | N/A | LS-PMS2 Deletion exons 1 to 14 (c.(?-87)_(2445+1_2446-1)del) |
| 24 | 64 | Male | Right colon | IV | + | + | − | − | + | No | Yes | MLH1, PMS2 and MSH6 | No | No | No mutation detected |
| 25 | 26 | Male | Rectum | III | − | − | − | − | − | No | Yes | PMS2 N/A (artifacts), MLH1, MSH2 and MSH6 expressed | No | N/A | LS-PMS2 Deletion exons 12 to 14 (c.(2006+1_2007-1)_(2445+1_2446-1)del) |
Publisher’s Note: MDPI stays neutral with regard to jurisdictional claims in published maps and institutional affiliations. |
© 2022 by the authors. Licensee MDPI, Basel, Switzerland. This article is an open access article distributed under the terms and conditions of the Creative Commons Attribution (CC BY) license (https://creativecommons.org/licenses/by/4.0/).
Share and Cite
Lemos Garcia, J.; Rosa, I.; Saraiva, S.; Marques, I.; Fonseca, R.; Lage, P.; Francisco, I.; Silva, P.; Filipe, B.; Albuquerque, C.; et al. Routine Immunohistochemical Analysis of Mismatch Repair Proteins in Colorectal Cancer—A Prospective Analysis. Cancers 2022, 14, 3730. https://doi.org/10.3390/cancers14153730
Lemos Garcia J, Rosa I, Saraiva S, Marques I, Fonseca R, Lage P, Francisco I, Silva P, Filipe B, Albuquerque C, et al. Routine Immunohistochemical Analysis of Mismatch Repair Proteins in Colorectal Cancer—A Prospective Analysis. Cancers. 2022; 14(15):3730. https://doi.org/10.3390/cancers14153730
Chicago/Turabian StyleLemos Garcia, Joana, Isadora Rosa, Sofia Saraiva, Inês Marques, Ricardo Fonseca, Pedro Lage, Inês Francisco, Patrícia Silva, Bruno Filipe, Cristina Albuquerque, and et al. 2022. "Routine Immunohistochemical Analysis of Mismatch Repair Proteins in Colorectal Cancer—A Prospective Analysis" Cancers 14, no. 15: 3730. https://doi.org/10.3390/cancers14153730
APA StyleLemos Garcia, J., Rosa, I., Saraiva, S., Marques, I., Fonseca, R., Lage, P., Francisco, I., Silva, P., Filipe, B., Albuquerque, C., & Claro, I. (2022). Routine Immunohistochemical Analysis of Mismatch Repair Proteins in Colorectal Cancer—A Prospective Analysis. Cancers, 14(15), 3730. https://doi.org/10.3390/cancers14153730

