Evaluation of the Cell Block Method Using Overnight-Stored Bile for Malignant Biliary Stricture Diagnosis
Abstract
:Simple Summary
Abstract
1. Introduction
2. Materials and Methods
2.1. Study Design
2.2. Patients and Procedures
2.3. Pathological Diagnosis
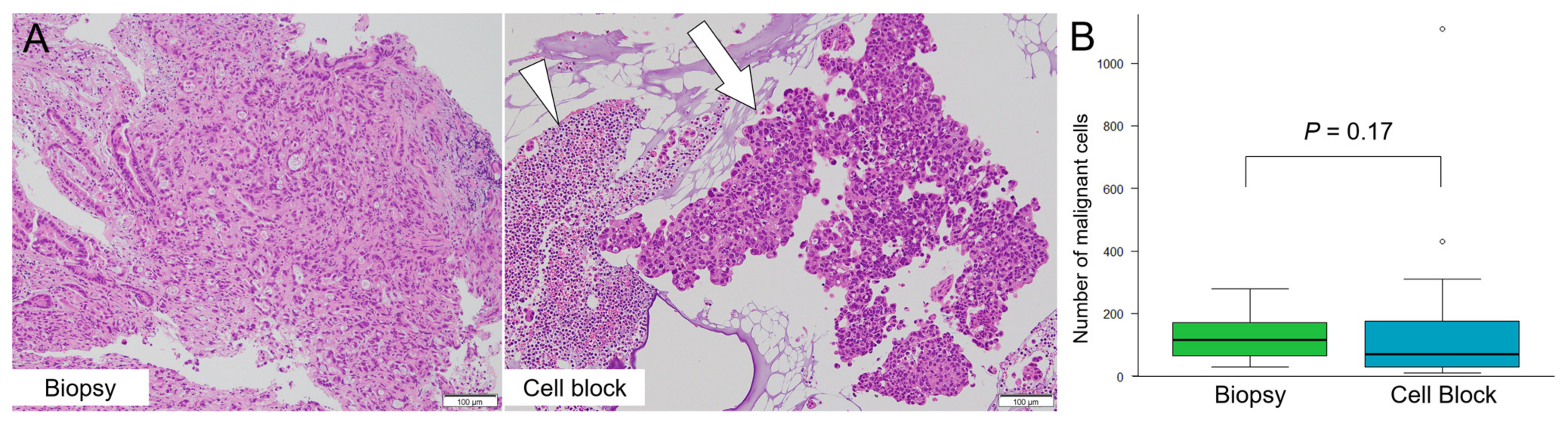
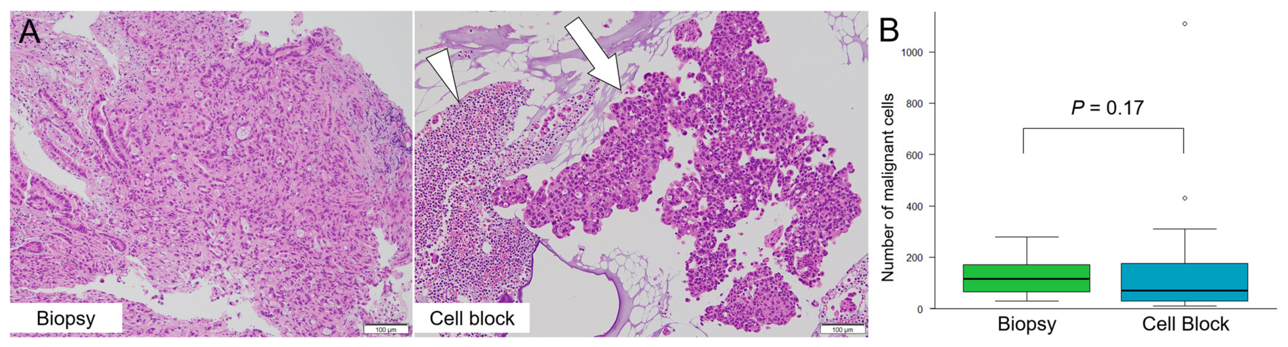
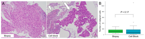
2.4. Number of Malignant Cells in the CB and Biopsy Specimens
2.5. Immunohistochemistry
2.6. Final Diagnosis
2.7. Endpoint
2.8. Statistical Analysis
3. Results
3.1. Basic Characteristics of the Patients
3.2. Endoscopic Procedure and Findings
3.3. Cancer Detectability
3.4. Malignant Cell Count
3.5. Immunohistochemistry
3.6. Adverse Events
4. Discussion
5. Conclusions
Author Contributions
Funding
Institutional Review Board Statement
Informed Consent Statement
Data Availability Statement
Acknowledgments
Conflicts of Interest
References
- Antwi, S.O.; Mousa, O.Y.; Patel, T. Racial, ethnic, and age disparities in incidence and survival of intrahepatic cholangiocarcinoma in the United States; 1995–2014. Ann. Hepatol. 2018, 17, 604–614. [Google Scholar] [CrossRef] [PubMed]
- Mizrahi, J.D.; Surana, R.; Valle, J.W.; Shroff, R.T. Pancreatic cancer. Lancet 2020, 395, 2008–2020. [Google Scholar] [CrossRef]
- Egawa, S.; Toma, H.; Ohigashi, H.; Okusaka, T.; Nakao, A.; Hatori, T.; Maguchi, H.; Yanagisawa, A.; Tanaka, M. Japan Pancreatic Cancer Registry; 30th year anniversary: Japan Pancreas Society. Pancreas 2012, 41, 985–992. [Google Scholar] [CrossRef] [PubMed]
- Abou-Alfa, G.K.; Sahai, V.; Hollebecque, A.; Vaccaro, G.; Melisi, D.; Al-Rajabi, R.; Paulson, A.S.; Borad, M.J.; Gallinson, D.; Murphy, A.G.; et al. Pemigatinib for previously treated, locally advanced or metastatic cholangiocarcinoma: A multicentre, open-label, phase 2 study. Lancet Oncol. 2020, 21, 671–684. [Google Scholar] [CrossRef]
- Marabelle, A.; Le, D.T.; Ascierto, P.A.; Di Giacomo, A.M.; De Jesus-Acosta, A.; Delord, J.P.; Geva, R.; Gottfried, M.; Penel, N.; Hansen, A.R.; et al. Efficacy of pembrolizumab in patients with noncolorectal high microsatellite instability/mismatch repair-deficient cancer: Results from the Phase II KEYNOTE-158 Study. J. Clin. Oncol. 2020, 38, 1–10. [Google Scholar] [CrossRef]
- Rizzo, A.; Ricci, A.D.; Brandi, G. Pemigatinib: Hot topics behind the first approval of a targeted therapy in cholangiocarcinoma. Cancer Treat. Res. Commun. 2021, 27, 100337. [Google Scholar] [CrossRef]
- Rizzo, A.; Frega, G.; Ricci, A.D.; Palloni, A.; Abbati, F.; de Lorenzo, S.; Deserti, M.; Tavolari, S.; Brandi, G. Anti-EGFR monoclonal antibodies in advanced biliary tract cancer: A systematic review and meta-analysis. In Vivo 2020, 34, 479–488. [Google Scholar] [CrossRef] [Green Version]
- Rizvi, S.; Khan, S.A.; Hallemeier, C.L.; Kelley, R.K.; Gores, G.J. Cholangiocarcinoma-evolving concepts and therapeutic strategies. Nat. Rev. Clin. Oncol. 2018, 15, 95–111. [Google Scholar] [CrossRef] [Green Version]
- Naito, Y.; Mishima, S.; Akagi, K.; Igarashi, A.; Ikeda, M.; Okano, S.; Kato, S.; Takano, T.; Tsuchihara, K.; Terashima, K.; et al. Japan society of clinical oncology/Japanese society of medical oncology-led clinical recommendations on the diagnosis and use of tropomyosin receptor kinase inhibitors in adult and pediatric patients with neurotrophic receptor tyrosine kinase fusion-positive advanced solid tumors, cooperated by the Japanese society of pediatric hematology/oncology. Int. J. Clin. Oncol. 2020, 25, 403–417. [Google Scholar]
- Mishima, S.; Taniguchi, H.; Akagi, K.; Baba, E.; Fujiwara, Y.; Hirasawa, A.; Ikeda, M.; Maeda, O.; Muro, K.; Nishihara, H.; et al. Japan Society of Clinical Oncology provisional clinical opinion for the diagnosis and use of immunotherapy in patients with deficient DNA mismatch repair tumors, cooperated by Japanese Society of Medical Oncology, First Edition. Int. J. Clin. Oncol. 2020, 25, 217–239. [Google Scholar] [CrossRef] [Green Version]
- Luchini, C.; Bibeau, F.; Ligtenberg, M.J.L.; Singh, N.; Nottegar, A.; Bosse, T.; Miller, R.; Riaz, N.; Douillard, J.Y.; Andre, F.; et al. ESMO recommendations on microsatellite instability testing for immunotherapy in cancer, and its relationship with PD-1/PD-L1 expression and tumour mutational burden: A systematic review-based approach. Ann. Oncol. 2019, 30, 1232–1243. [Google Scholar] [CrossRef] [PubMed] [Green Version]
- Marchiò, C.; Scaltriti, M.; Ladanyi, M.; Iafrate, A.J.; Bibeau, F.; Dietel, M.; Hechtman, J.F.; Troiani, T.; López-Rios, F.; Douillard, J.Y.; et al. ESMO recommendations on the standard methods to detect NTRK fusions in daily practice and clinical research. Ann. Oncol. 2019, 30, 1417–1427. [Google Scholar] [CrossRef] [PubMed] [Green Version]
- Elek, G.; Gyökeres, T.; Schäfer, E.; Burai, M.; Pintér, F.; Pap, A. Early diagnosis of pancreatobiliary duct malignancies by brush cytology and biopsy. Pathol. Oncol. Res. 2005, 11, 145–155. [Google Scholar] [CrossRef] [PubMed]
- Heinzow, H.S.; Kammerer, S.; Rammes, C.; Wessling, J.; Domagk, D.; Meister, T. Comparative analysis of ERCP, IDUS, EUS and CT in predicting malignant bile duct strictures. World J. Gastroenterol. 2014, 20, 10495–10503. [Google Scholar] [CrossRef] [PubMed]
- Sakuma, Y.; Kodama, Y.; Sogabe, Y.; Nakai, Y.; Yamashita, Y.; Mikami, S.; Kajimura, K.; Ikeda, K.; Tamaki, H.; Iwamoto, S.; et al. Diagnostic performance of a new endoscopic scraper for malignant biliary strictures: A multicenter prospective study. Gastrointest. Endosc. 2017, 85, 371–379. [Google Scholar] [CrossRef]
- Navaneethan, U.; Njei, B.; Lourdusamy, V.; Konjeti, R.; Vargo, J.J.; Parsi, M.A. Comparative effectiveness of biliary brush cytology and intraductal biopsy for detection of malignant biliary strictures: A systematic review and meta-analysis. Gastrointest. Endosc. 2015, 81, 168–176. [Google Scholar] [CrossRef] [Green Version]
- Ohshima, Y.; Yasuda, I.; Kawakami, H.; Kuwatani, M.; Mukai, T.; Iwashita, T.; Doi, S.; Nakashima, M.; Hirose, Y.; Asaka, M.; et al. EUS-FNA for suspected malignant biliary strictures after negative endoscopic transpapillary brush cytology and forceps biopsy. J. Gastroenterol. 2011, 46, 921–928. [Google Scholar] [CrossRef]
- DeWitt, J.; Misra, V.L.; Leblanc, J.K.; McHenry, L.; Sherman, S. EUS-guided FNA of proximal biliary strictures after negative ERCP brush cytology results. Gastrointest. Endosc. 2006, 64, 325–333. [Google Scholar] [CrossRef]
- Tsuchiya, T.; Yokoyama, Y.; Ebata, T.; Igami, T.; Sugawara, G.; Kato, K.; Shimoyama, Y.; Nagino, M. Randomized controlled trial on timing and number of sampling for bile aspiration cytology. J. Hepatobiliary Pancreat. Sci. 2014, 21, 433–438. [Google Scholar] [CrossRef]
- Noda, Y.; Fujita, N.; Kobayashi, G.; Ito, K.; Horaguchi, J.; Hashimoto, S.; Koshita, S.; Ishii, S.; Kanno, Y.; Ogawa, T.; et al. Prospective randomized controlled study comparing cell block method and conventional smear method for bile cytology. Dig. Endosc. 2013, 25, 444–452. [Google Scholar] [CrossRef]
- Razumilava, N.; Gores, G.J. Cholangiocarcinoma. Lancet 2014, 383, 2168–2179. [Google Scholar] [CrossRef] [Green Version]
- Sakamoto, H.; Takenaka, M.; Ushimaru, K.; Tanaka, T. Use of liquid-based cytology (LBC) and cell blocks from cell remnants for cytologic, immunohistochemical, and immunocytochemical diagnosis of malignancy. Open J. Pathol. 2012, 2, 8. [Google Scholar] [CrossRef] [Green Version]
- Cotton, P.B.; Lehman, G.; Vennes, J.; Geenen, J.E.; Russell, R.C.; Meyers, W.C.; Liguory, C.; Nickl, N. Endoscopic sphincterotomy complications and their management: An attempt at consensus. Gastrointest. Endosc. 1991, 37, 383–393. [Google Scholar] [CrossRef]
- Noda, Y.; Fujita, N.; Kobayashi, G.; Itoh, K.; Horaguchi, J.; Takasawa, O.; Obana, T.; Koshita, S.; Kanno, Y.; Suzuki, T.; et al. Diagnostic efficacy of the cell block method in comparison with smear cytology of tissue samples obtained by endoscopic ultrasound-guided fine-needle aspiration. J. Gastroenterol. 2010, 45, 868–875. [Google Scholar] [CrossRef]
- Lozano, M.D.; Echeveste, J.I.; Abengozar, M.; Mejías, L.D.; Idoate, M.A.; Calvo, A.; de Andrea, C.E. Cytology smears in the era of molecular biomarkers in non-small cell lung cancer: Doing more with less. Arch. Pathol. Lab. Med. 2018, 142, 291–298. [Google Scholar] [CrossRef] [Green Version]
- Jain, D.; Roy-Chowdhuri, S. Molecular pathology of lung cancer cytology specimens: A concise review. Arch. Pathol. Lab. Med. 2018, 142, 1127–1133. [Google Scholar] [CrossRef] [Green Version]
- Iwahashi, H.; Miyamoto, M.; Minabe, S.; Hada, T.; Sakamoto, T.; Ishibashi, H.; Kakimoto, S.; Matsuura, H.; Suzuki, R.; Matsukuma, S.; et al. Diagnostic efficacy of ascites cell block for ovarian clear cell carcinoma. Diagn. Cytopathol. 2021, 49, 735–742. [Google Scholar] [CrossRef]
- Uehara, T.; Yoshida, H.; Fukuhara, M.; Yoshida, M.; Motoi, N.; Sugawara, S.; Sone, M.; Arai, Y.; Tamura, K.; Uno, M.; et al. Efficacy of ascitic fluid cell block for diagnosing primary ovarian, peritoneal, and tubal cancer in patients with peritoneal carcinomatosis with ascites. Gynecol. Oncol. 2020, 157, 398–404. [Google Scholar] [CrossRef]
- Arechederra, M.; Rullán, M.; Amat, I.; Oyon, D.; Zabalza, L.; Elizalde, M.; Latasa, M.U.; Mercado, M.R.; Ruiz-Clavijo, D.; Saldaña, C.; et al. Next-generation sequencing of bile cell-free DNA for the early detection of patients with malignant biliary strictures. Gut 2022, 71, 1141–1151. [Google Scholar] [CrossRef]
- Singhi, A.D.; Nikiforova, M.N.; Chennat, J.; Papachristou, G.I.; Khalid, A.; Rabinovitz, M.; Das, R.; Sarkaria, S.; Ayasso, M.S.; Wald, A.I.; et al. Integrating next-generation sequencing to endoscopic retrograde cholangiopancreatography (ERCP)-obtained biliary specimens improves the detection and management of patients with malignant bile duct strictures. Gut 2020, 69, 52–61. [Google Scholar] [CrossRef] [Green Version]
- Lapitz, A.; Arbelaiz, A.; O’Rourke, C.J.; Lavin, J.L.; Casta, A.; Ibarra, C.; Jimeno, J.P.; Santos-Laso, A.; Izquierdo-Sanchez, L.; Krawczyk, M.; et al. Patients with cholangiocarcinoma present specific RNA profiles in serum and urine extracellular vesicles mirroring the tumor expression: Novel liquid biopsy biomarkers for disease diagnosis. Cells 2020, 9, 721. [Google Scholar] [CrossRef] [PubMed] [Green Version]
- Rizzo, A.; Ricci, A.D.; Tavolari, S.; Brandi, G. Circulating tumor DNA in biliary tract cancer: Current evidence and future perspectives. Cancer Genom. Proteom. 2020, 17, 441–452. [Google Scholar] [CrossRef] [PubMed]
- Chu, M.; Zhu, Y.; Hu, J.; Zhang, Z.; Luo, M.; Ma, X. Detection of ALK gene rearrangement in cell-free RNA from lung cancer malignant pleural effusion. Biomed. Res. Int. 2020, 2020, 6124106. [Google Scholar] [CrossRef] [PubMed]
- Ozluk, Y.; Firat, P.; Yegen, G.; Hocaoglu, J.; Tas, S.; Yilmazbayhan, D. EGFR mutation testing using archival-stained smears in non-small cell lung carcinoma. Cytopathology 2017, 28, 35–45. [Google Scholar] [CrossRef]
- Williams, E.J.; Taylor, S.; Fairclough, P.; Hamlyn, A.; Logan, R.F.; Martin, D.; Riley, S.A.; Veitch, P.; Wilkinson, M.L.; Williamson, P.R.; et al. Risk factors for complication following ERCP; results of a large-scale, prospective multicenter study. Endoscopy 2007, 39, 793–801. [Google Scholar] [CrossRef]
- Kochar, B.; Akshintala, V.S.; Afghani, E.; Elmunzer, B.J.; Kim, K.J.; Lennon, A.M.; Khashab, M.A.; Kalloo, A.N.; Singh, V.K. Incidence, severity, and mortality of post-ERCP pancreatitis: A systematic review by using randomized, controlled trials. Gastrointest. Endosc. 2015, 81, 143–149.e149. [Google Scholar] [CrossRef]
- Christensen, M.; Matzen, P.; Schulze, S.; Rosenberg, J. Complications of ERCP: A prospective study. Gastrointest. Endosc. 2004, 60, 721–731. [Google Scholar] [CrossRef]






| n = 60 | |
|---|---|
| Sex, female/Male n (%) | 23 (38.3%)/37 (61.7%) |
| Age (years), median (range) | 76 (49–98) |
| Endoscopic sphincterotomy | 46 (76.7%) |
| Diameter of ENBD tube 5 Fr:6 Fr (number) | 32:28 |
| Eastern cooperative oncology group performance status (ECOG-PS), n (%) | |
| 0 | 28 |
| 1 | 16 |
| 2 | 13 |
| 3 | 3 |
| Alanine aminotransferase (AST), median (range), IU/L | 89 (13–540) |
| Aspartate aminotransferase (ALT), median (range), IU/L | 119 (9–1246) |
| Total bilirubin level, median (range), mg/dL | 1.5 (0.3–34.2) |
| White blood count, median (range)/µL | 6490 (2890–20750) |
| Neutrophils, median (range)/µL | 4150 (1030–19090) |
| Hemoglobin, median (range), g/dL | 12.0 (8.7–15.8) |
| Location of stricture in the bile duct | |
| Intrahepatic | 6 (10.0%) |
| Portal | 16 (26.7%) |
| Superior | 17 (28.3%) |
| Inferior | 21 (35.0%) |
| Type of malignancy, n (%) | |
| Extrahepatic cholangiocarcinoma | 26 (43.4%) |
| Gallbladder cancer | 7 (11.7%) |
| Ampullary cancer | 5 (8.4%) |
| Pancreatic head cancer | 4 (6.6%) |
| Intrahepatic cholangiocarcinoma | 2 (3.3%) |
| Hepatocellular carcinoma | 1 (1.7%) |
| Benign, n (%) | |
| Primary sclerosing cholangitis | 4 (6.6%) |
| IgG4-related sclerosing cholangitis | 4 (6.6%) |
| Bile duct hamartoma | 1 (1.7%) |
| Liver cirrhosis | 1 (1.7%) |
| Acalculous cholecystitis | 1 (1.7%) |
| Other inflammatory non-malignant stenosis | 3 (5.0%) |
| Withdrawal case due to patient’s will | 1 (1.7%) |
| Overall (n = 59) | CB Method, n (%) | Bile Cytology, n (%) | p-Value |
|---|---|---|---|
| Malignant (n = 45) | 28 (62.2%) | 17 (37.8%) | 0.0344 |
| Extrahepatic cholangiocarcinoma (n = 26) | 15 (57.7%) | 12 (46.2%) | 0.58 |
| Gallbladder cancer (n = 7) | 7 (100%) | 2 (28.6%) | 0.0210 |
| Ampullary cancer (n = 5) | 3 (60.0%) | 1 (20.0%) | 0.52 |
| Pancreatic head cancer (n = 4) | 1 (25.0%) | 1 (25.0%) | 1.0 |
| Intrahepatic cholangiocarcinoma (n = 2) | 2 (100%) | 1 (50.0%) | 1.0 |
| Hepatic cell carcinoma (n = 1) | 0 (0%) | 0 (0%) | 1.0 |
| Benign (n = 14) | 14 (100%) | 14 (100%) | 1.0 |
| CB Method | First Bile Cytology | Multiple Bile Cytology | Biopsy | |
|---|---|---|---|---|
| Sensitivity | 62.2% (28/45) | 37.8% (17/45) * | 60.0% (27/45) | 65.8% (25/38) |
| Specificity | 100% (14/14) | 100% (14/14) | 100% (14/14) | 100% (9/9) |
| PPV | 100% (28/28) | 100% (17/17) | 100% (27/27) | 100% (25/25) |
| NPV | 45.2% (14/31) | 33.3% (14/42) | 43.8% (14/32) | 40.9% (9/22) |
| Accuracy | 71.2% (42/59) | 52.5% (31/59) † | 69.5% (41/59) | 72.3% (34/47) |
| CB Method | ||
|---|---|---|
| Malignant (n = 28) | False Negative (n = 17) | |
| Biopsy | ||
| Malignant (n = 25) | 19 | 6 |
| False negative (n = 13) | 7 | 6 |
| Unperformed case (n = 7) | 2 | 5 |
| Case | Surgical Specimen (Maspin/p53) | CB Method (Maspin/p53) | Biopsy (Maspin/p53) |
|---|---|---|---|
| 1 | 2 + /1+ | 1 + /0 | 2 + /1+ |
| 2 | 2 + /1+ | 3 + /1+ | 3 + /1+ |
| 3 | 2 + /2+ | 3 + /2+ | 2 + /3+ |
| 4 | 2 + /1+ | 2 + /0 | N.A. |
| 5 | 1 + /1+ | 1 + /0 | N.A. |
| 6 | 3 + /1+ | 3 + /2+ | N.A. |
| 7 | 3 + /2+ | 2 + /3+ | N.A. |
| 8 | 3 + /1+ | 2 + /2+ | N.A. |
Publisher’s Note: MDPI stays neutral with regard to jurisdictional claims in published maps and institutional affiliations. |
© 2022 by the authors. Licensee MDPI, Basel, Switzerland. This article is an open access article distributed under the terms and conditions of the Creative Commons Attribution (CC BY) license (https://creativecommons.org/licenses/by/4.0/).
Share and Cite
Okuno, M.; Mukai, T.; Iwata, K.; Watanabe, N.; Tanaka, T.; Iwasa, T.; Shimojo, K.; Ohashi, Y.; Takagi, A.; Ito, Y.; et al. Evaluation of the Cell Block Method Using Overnight-Stored Bile for Malignant Biliary Stricture Diagnosis. Cancers 2022, 14, 2701. https://doi.org/10.3390/cancers14112701
Okuno M, Mukai T, Iwata K, Watanabe N, Tanaka T, Iwasa T, Shimojo K, Ohashi Y, Takagi A, Ito Y, et al. Evaluation of the Cell Block Method Using Overnight-Stored Bile for Malignant Biliary Stricture Diagnosis. Cancers. 2022; 14(11):2701. https://doi.org/10.3390/cancers14112701
Chicago/Turabian StyleOkuno, Mitsuru, Tsuyoshi Mukai, Keisuke Iwata, Naoki Watanabe, Takuji Tanaka, Taisei Iwasa, Kota Shimojo, Yosuke Ohashi, Akihiro Takagi, Yuki Ito, and et al. 2022. "Evaluation of the Cell Block Method Using Overnight-Stored Bile for Malignant Biliary Stricture Diagnosis" Cancers 14, no. 11: 2701. https://doi.org/10.3390/cancers14112701
APA StyleOkuno, M., Mukai, T., Iwata, K., Watanabe, N., Tanaka, T., Iwasa, T., Shimojo, K., Ohashi, Y., Takagi, A., Ito, Y., Tezuka, R., Iwata, S., Iwasa, Y., Kochi, T., Ogiso, T., Hayashi, H., Sugiyama, A., Nishigaki, Y., & Tomita, E. (2022). Evaluation of the Cell Block Method Using Overnight-Stored Bile for Malignant Biliary Stricture Diagnosis. Cancers, 14(11), 2701. https://doi.org/10.3390/cancers14112701

