Liver-Directed Concurrent Chemoradiotherapy versus Sorafenib in Hepatocellular Carcinoma with Portal Vein Tumor Thrombosis
Abstract
Simple Summary
Abstract
1. Introduction
2. Materials and Methods
2.1. Study Population
2.2. Treatment
2.3. Evaluation of Treatment Response and Statistical Analysis
3. Results
3.1. Patient and Treatment Characteristics
3.2. Survival Analysis
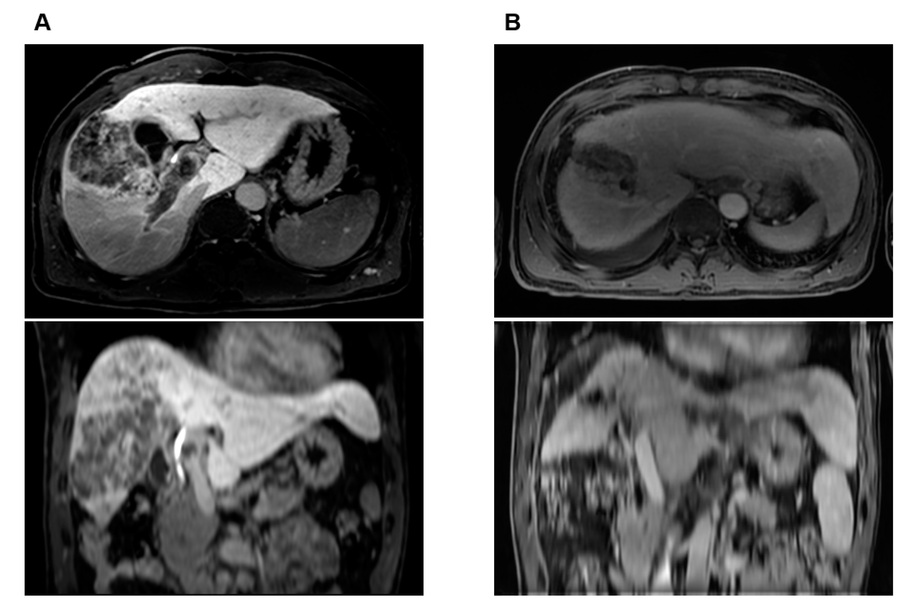
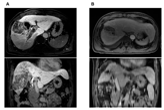
3.3. Treatment Response
3.4. Treatment-Related Toxicity
4. Discussion
5. Conclusions
Supplementary Materials
Author Contributions
Funding
Institutional Review Board Statement
Informed Consent Statement
Data Availability Statement
Conflicts of Interest
References
- Forner, A.; Reig, M.E.; de Lope, C.R.; Bruix, J. Current Strategy for Staging and Treatment: The Bclc Update and Future Prospects. In Seminars in Liver Disease, 2010; Thieme Medical Publishers: Stuttgart, Germany, 2010; pp. 61–74. [Google Scholar]
- Finn, R.S.; Qin, S.; Ikeda, M.; Galle, P.R.; Ducreux, M.; Kim, T.-Y.; Kudo, M.; Breder, V.; Merle, P.; Kaseb, A.O. Atezolizumab plus bevacizumab in unresectable hepatocellular carcinoma. N. Engl. J. Med. 2020, 382, 1894–1905. [Google Scholar] [CrossRef] [PubMed]
- Vilgrain, V.; Pereira, H.; Assenat, E.; Guiu, B.; Ilonca, A.D.; Pageaux, G.-P.; Sibert, A.; Bouattour, M.; Lebtahi, R.; Allaham, W. Efficacy and safety of selective internal radiotherapy with yttrium-90 resin microspheres compared with sorafenib in locally advanced and inoperable hepatocellular carcinoma (sarah): An open-label randomised controlled phase 3 trial. Lancet Oncol. 2017, 18, 1624–1636. [Google Scholar] [CrossRef]
- Chow, P.K.; Gandhi, M.; Tan, S.B.; Khin, M.W.; Khasbazar, A.; Ong, J.; Choo, S.P.; Cheow, P.C.; Chotipanich, C.; Lim, K. Sirvenib: Selective internal radiation therapy versus sorafenib in asia-pacific patients with hepatocellular carcinoma. J. Clin. Oncol. 2018, 36, 1913–1921. [Google Scholar] [CrossRef] [PubMed]
- Lee, W.H.; Byun, H.K.; Choi, J.S.; Choi, G.H.; Joo, D.J.; Han, K.-H.; Seong, J. Liver-directed combined radiotherapy as a bridge to curative surgery in locally advanced hepatocellular carcinoma beyond the milan criteria. Radiother. Oncol. 2020, 152, 1–7. [Google Scholar] [CrossRef] [PubMed]
- Lee, H.S.; Choi, G.H.; Choi, J.S.; Kim, K.S.; Han, K.-H.; Seong, J.; Ahn, S.H.; Kim, D.Y.; Park, J.Y.; Kim, S.U. Surgical resection after down-staging of locally advanced hepatocellular carcinoma by localized concurrent chemoradiotherapy. Ann. Surg. Oncol. 2014, 21, 3646–3653. [Google Scholar] [CrossRef] [PubMed]
- Chong, J.U.; Choi, G.H.; Han, D.H.; Kim, K.S.; Seong, J.; Han, K.-H.; Choi, J.S. Downstaging with localized concurrent chemoradiotherapy can identify optimal surgical candidates in hepatocellular carcinoma with portal vein tumor thrombus. Ann. Surg. Oncol. 2018, 25, 3308–3315. [Google Scholar] [CrossRef]
- Han, K.H.; Seong, J.; Kim, J.K.; Ahn, S.H.; Lee, D.Y.; Chon, C.Y. Pilot clinical trial of localized concurrent chemoradiation therapy for locally advanced hepatocellular carcinoma with portal vein thrombosis. Cancer 2008, 113, 995–1003. [Google Scholar] [CrossRef]
- Yoon, H.I.; Song, K.J.; Lee, I.J.; Kim, D.Y.; Han, K.-H.; Seong, J. Clinical benefit of hepatic arterial infusion concurrent chemoradiotherapy in locally advanced hepatocellular carcinoma: A propensity score matching analysis. Cancer Res. Treat. 2016, 48, 190. [Google Scholar] [CrossRef]
- Wei, X.; Jiang, Y.; Zhang, X.; Feng, S.; Zhou, B.; Ye, X.; Xing, H.; Xu, Y.; Shi, J.; Guo, W. Neoadjuvant three-dimensional conformal radiotherapy for resectable hepatocellular carcinoma with portal vein tumor thrombus: A randomized, open-label, multicenter controlled study. J. Clin. Oncol. 2019, 37, 2141. [Google Scholar] [CrossRef]
- Klein, J.; Dawson, L.A. Hepatocellular carcinoma radiation therapy: Review of evidence and future opportunities. Int. J. Radiat. Oncol. Biol. Phys. 2013, 87, 22–32. [Google Scholar] [CrossRef]
- Choi, S.H.; Seong, J. Strategic application of radiotherapy for hepatocellular carcinoma. Clin. Mol. Hepatol. 2018, 24, 114. [Google Scholar] [CrossRef] [PubMed]
- Choi, C.; Choi, G.H.; Kim, T.H.; Tanaka, M.; Meng, M.-B.; Seong, J. Multimodality management for barcelona clinic liver cancer stage c hepatocellular carcinoma. Liver Cancer 2014, 3, 405–416. [Google Scholar] [CrossRef] [PubMed]
- Yu, J.I.; Park, H.C.; Lim, D.H.; Kim, C.J.; Oh, D.; Yoo, B.C.; Paik, S.W.; Kho, K.C.; Lee, J.H. Scheduled interval trans-catheter arterial chemoembolization followed by radiation therapy in patients with unresectable hepatocellular carcinoma. J. Korean Med. Sci. 2012, 27, 736–743. [Google Scholar] [CrossRef] [PubMed]
- Zhang, X.B.; Wang, J.H.; Yan, Z.P.; Qian, S.; Du, S.S.; Zeng, Z.C. Hepatocellular carcinoma with main portal vein tumor thrombus: Treatment with 3-dimensional conformal radiotherapy after portal vein stenting and transarterial chemoembolization. Cancer 2009, 115, 1245–1252. [Google Scholar] [CrossRef]
- Yoon, H.I.; Jung, I.; Han, K.-H.; Seong, J. The effect of radiotherapy in liver-confined but non-resectable barcelona clinic liver cancer stage c large hepatocellular carcinoma. Oncotarget 2016, 7, 62715. [Google Scholar] [CrossRef][Green Version]
- Cho, J.Y.; Paik, Y.H.; Park, H.C.; Yu, J.I.; Sohn, W.; Gwak, G.Y.; Choi, M.S.; Lee, J.H.; Koh, K.C.; Paik, S.W. The feasibility of combined transcatheter arterial chemoembolization and radiotherapy for advanced hepatocellular carcinoma. Liver Int. 2014, 34, 795–801. [Google Scholar] [CrossRef]
- Byun, H.K.; Kim, H.J.; Im, Y.R.; Han, K.-H.; Seong, J. Dose escalation by intensity modulated radiotherapy in liver-directed concurrent chemoradiotherapy for locally advanced bclc stage c hepatocellular carcinoma. Radiother. Oncol. 2019, 133, 1–8. [Google Scholar] [CrossRef]
- Eisenhauer, E.A.; Therasse, P.; Bogaerts, J.; Schwartz, L.H.; Sargent, D.; Ford, R.; Dancey, J.; Arbuck, S.; Gwyther, S.; Mooney, M. New response evaluation criteria in solid tumours: Revised recist guideline (version 1.1). Eur. J. Cancer 2009, 45, 228–247. [Google Scholar] [CrossRef]
- Llovet, J.M.; Kelley, R.K.; Villanueva, A.; Singal, A.G.; Pikarsky, E.; Roayaie, S.; Lencioni, R.; Koike, K.; Zucman-Rossi, J.; Finn, R.S. Hepatocellular carcinoma. Nat. Rev. Dis. Primers 2021, 7, 6. [Google Scholar] [CrossRef]
- Cerrito, L.; Annicchiarico, B.E.; Iezzi, R.; Gasbarrini, A.; Pompili, M.; Ponziani, F.R. Treatment of hepatocellular carcinoma in patients with portal vein tumor thrombosis: Beyond the known frontiers. World J. Gastroenterol. 2019, 25, 4360. [Google Scholar] [CrossRef]
- Zeng, Z.-C.; Fan, J.; Tang, Z.-Y.; Zhou, J.; Qin, L.-X.; Wang, J.-H.; Sun, H.-C.; Wang, B.-L.; Zhang, J.-Y.; Jiang, G.-L. A comparison of treatment combinations with and without radiotherapy for hepatocellular carcinoma with portal vein and/or inferior vena cava tumor thrombus. Int. J. Radiat. Oncol. Biol. Phys. 2005, 61, 432–443. [Google Scholar] [CrossRef]
- Kosaka, Y.; Kimura, T.; Kawaoka, T.; Ogawa, Y.; Amioka, K.; Naruto, K.; Yoshikawa, Y.; Kikukawa, C.; Suehiro, Y.; Yamaoka, K. Hepatic arterial infusion chemotherapy combined with radiation therapy for advanced hepatocellular carcinoma with tumor thrombosis of the main trunk or bilobar of the portal vein. Liver Cancer 2021, 10, 151–160. [Google Scholar] [CrossRef] [PubMed]
- Liu, M.; Shi, J.; Mou, T.; Wang, Y.; Wu, Z.; Shen, A. Systematic review of hepatic arterial infusion chemotherapy versus sorafenib in patients with hepatocellular carcinoma with portal vein tumor thrombosis. J. Gastroenterol. Hepatol. 2020, 35, 1277–1287. [Google Scholar] [CrossRef] [PubMed]
- Kim, N.; Cheng, J.; Jung, I.; Der Liang, J.; Shih, Y.L.; Huang, W.-Y.; Kimura, T.; Lee, V.H.; Zeng, Z.C.; Zhenggan, R. Stereotactic body radiation therapy vs. Radiofrequency ablation in asian patients with hepatocellular carcinoma. J. Hepatol. 2020, 73, 121–129. [Google Scholar] [CrossRef]
- Kim, B.K.; Byun, H.K.; Choi, H.J.; Beom, S.-H.; Lee, H.W.; Kim, S.U.; Park, J.Y.; Ahn, S.H.; Seong, J.; Han, K.-H. Efficacy and safety of liver-directed concurrent chemoradiotherapy and sequential sorafenib for advanced hepatocellular carcinoma: A prospective phase 2 trial. Int. J. Radiat. Oncol. Biol. Phys. 2020, 107, 106–115. [Google Scholar] [CrossRef] [PubMed]
- Han, D.H.; Joo, D.J.; Kim, M.S.; Choi, G.H.; Choi, J.S.; Park, Y.N.; Seong, J.; Han, K.H.; Kim, S.I. Living donor liver transplantation for advanced hepatocellular carcinoma with portal vein tumor thrombosis after concurrent chemoradiation therapy. Yonsei Med. J. 2016, 57, 1276–1281. [Google Scholar] [CrossRef]
- Zhang, Z.-Y.; Dong, K.-S.; Zhang, E.-L.; Zhang, L.-W.; Chen, X.-P.; Dong, H.-H. Resection might be a meaningful choice for hepatocellular carcinoma with portal vein thrombosis: A systematic review and meta-analysis. Medicine 2019, 98, e18362. [Google Scholar] [CrossRef]
- National Comprehensive Cancer Network: Hepatobiliary Cancers (Version 5.2021). Available online: https://www.nccn.org/professionals/physician_gls/pdf/hepatobiliary.pdf (accessed on 17 March 2022).
- Kudo, M. Lenvatinib may drastically change the treatment landscape of hepatocellular carcinoma. Liver Cancer 2018, 7, 1–19. [Google Scholar] [CrossRef]





| Characteristics | Before PSM | After PSM | |||||||||
|---|---|---|---|---|---|---|---|---|---|---|---|
| Sorafenib | LD-CCRT | p Value | Sorafenib | LD-CCRT | p Value | ||||||
| Median/No | Range/% | Median/No | Range/% | Median/No | Range/% | Median/No | Range/% | ||||
| Age | 52.8 | 30.1–84.0 | 55.0 | 27.0–84.0 | 0.348 | 52.2 | 30.1–84.0 | 50.5 | 36.0–74.0 | 0.842 | |
| Tumor size | 10.5 | 2.0–23.2 | 10.0 | 0.4–22.0 | 0.866 | 10.2 | 2.0–23.2 | 10.1 | 1.9–19.9 | 0.784 | |
| Gender | Male | 23 | 82.1 | 395 | 88.2 | 0.367 | 22 | 81.5 | 49 | 94.2 | 0.114 |
| Female | 5 | 17.9 | 53 | 11.8 | 5 | 18.5 | 3 | 5.8 | |||
| Viral factors | HBV | 4 | 14.3 | 42 | 9.4 | 0.235 | 3 | 11.1 | 4 | 7.7 | 0.339 |
| HCV | 24 | 85.7 | 371 | 82.8 | 24 | 88.9 | 44 | 84.6 | |||
| None | 0 | 0.0 | 35 | 7.8 | 0 | 0.0 | 4 | 7.7 | |||
| PVTT type (Cheng’s classification) | I | 2 | 7.1 | 94 | 21.0 | 0.048 | 2 | 7.4 | 3 | 5.8 | 0.956 |
| II | 11 | 39.3 | 217 | 48.4 | 11 | 40.7 | 24 | 46.2 | |||
| III | 14 | 50.0 | 126 | 28.1 | 14 | 51.9 | 24 | 46.2 | |||
| IV | 1 | 3.6 | 11 | 2.5 | 0 | 0.0 | 1 | 1.9 | |||
| LN metastasis | No | 25 | 89.3 | 382 | 85.3 | 0.783 | 24 | 88.9 | 43 | 82.7 | 0.531 |
| Yes | 3 | 10.7 | 66 | 147 | 3 | 11.1 | 9 | 17.3 | |||
| Disease extent | Unilateral | 10 | 35.7 | 307 | 68.5 | 0.001 | 10 | 37.0 | 20 | 38.5 | 1.000 |
| Bilateral | 18 | 64.3 | 141 | 31.5 | 17 | 63.0 | 32 | 61.5 | |||
| Pretreatment AFP | ≤600 ng/mL | 12 | 42.9 | 214 | 47.8 | 0.614 | 12 | 44.4 | 25 | 48.1 | 0.759 |
| >600 ng/mL | 16 | 57.1 | 234 | 52.2 | 15 | 55.6 | 27 | 51.9 | |||
| ECOG Performance Status | 0 | 7 | 25.0 | 122 | 27.2 | 0.475 | 7 | 25.9 | 14 | 26.9 | 0.482 |
| 1 | 18 | 64.3 | 301 | 67.2 | 17 | 63.0 | 36 | 69.2 | |||
| 2 | 3 | 10.7 | 25 | 5.6 | 3 | 11.1 | 2 | 3.9 | |||
| Child-Turcotte-Pugh Score | 5 | 11 | 39.3 | 165 | 36.8 | 0.189 | 11 | 40.7 | 18 | 34.6 | 0.447 |
| 6 | 9 | 32.1 | 167 | 37.3 | 9 | 33.3 | 16 | 30.8 | |||
| 7 | 3 | 10.7 | 77 | 17.2 | 2 | 7.4 | 11 | 21.2 | |||
| 8 | 3 | 10.7 | 33 | 7.4 | 3 | 11.1 | 6 | 11.5 | |||
| 9 | 2 | 7.1 | 6 | 1.3 | 2 | 7.4 | 1 | 1.9 | |||
| Pretreatment history | No | 27 | 96.4 | 357 | 79.7 | 0.030 | 26 | 96.3 | 46 | 88.5 | 0.245 |
| Yes | 1 | 3.6 | 91 | 20.3 | 1 | 3.7 | 6 | 11.5 | |||
| Characteristics | n | Univariate | Multivariate | |||
|---|---|---|---|---|---|---|
| 1 Year Survival | p | HR (95% CI) | p | |||
| Age | ≤50 | 37 | 29.3 | 0.847 | ||
| >50 | 42 | 33.3 | ||||
| Viral factors | HBV | 68 | 35.2 | 0.943 | ||
| HCV | 4 | 50.0 | ||||
| None | 7 | 28.6 | ||||
| Diabetes mellitus | No | 62 | 32.2 | 0.055 | ||
| Yes | 17 | 47.1 | ||||
| Tumor size | ≤10 cm | 39 | 38.3 | 0.204 | ||
| >10 cm | 40 | 25.0 | ||||
| Venous invasion | No | 60 | 40.0 | 0.273 | ||
| Yes | 19 | 21.1 | ||||
| Intrahepatic metastasis | No | 23 | 43.5 | 0.175 | ||
| Yes | 56 | 32.0 | ||||
| PVTT type (Cheng’s classification) | I | 5 | 60.0 | 0.639 | ||
| II | 35 | 31.4 | ||||
| III | 38 | 28.5 | ||||
| IV | 1 | 0.0 | ||||
| LN metastasis | No | 67 | 32.7 | 0.230 | ||
| Yes | 12 | 25.0 | ||||
| Disease extent | Unilateral | 30 | 33.3 | 0.581 | ||
| Bilateral | 49 | 30.6 | ||||
| Pretreatment AFP | ≤600 ng/mL | 37 | 48.6 | 0.001 | 2.063 (1.243–3.425) | 0.005 |
| >600 ng/mL | 42 | 23.8 | ||||
| ECOG Performance status | 0 | 21 | 33.3 | 0.304 | ||
| 1 | 53 | 32.0 | ||||
| 2 | 5 | 20.0 | ||||
| Child-Turcotte-Pugh Class | A | 54 | 36.9 | 0.021 | 1.446 (0.859–2.433) | 0.165 |
| B | 25 | 20.0 | ||||
| Pretreatment history | No | 72 | 30.5 | 0.336 | ||
| Yes | 7 | 71.4 | ||||
| Treatment modality | Sorafenib | 27 | 14.8 | 0.001 | 0.435 (0.265–0.714) | 0.001 |
| LD-CCRT | 52 | 40.2 | ||||
| No. | Age/Sex | Initial Tumor Size, cm | PVTT Type | Disease Extent | Initial Tx | Tx Response | Interval from Tx Initiation to Op (Months) | Op | Op Pathology | OS (Months) |
|---|---|---|---|---|---|---|---|---|---|---|
| 1 | 58/M | 7.8 | III | Unilateral | Sorafenib | PD | 44.2 | Liver transplantation | Multiple viable HCCs, largest 2.5 × 1.0 cm, with 5% necrosis | 73.1 |
| 2 | 51/M | 15.7 | II | Bilateral | LD-CCRT | PR | 17.1 | Lt. hepatectomy | Completely necrotic tumor | 76.2 |
| 3 | 45/M | 12 | II | Bilateral | LD-CCRT | PR | 6.3 | Liver transplantation | Multiple viable HCCs, largest 2.8 × 2.8 cm, with 95% necrosis | 79.0 |
| 4 | 51/M | 8.6 | I | Bilateral | LD-CCRT | PR | 10.4 | Lt. lobectomy | 5 × 4 cm HCC, with 95% tumor necrosis | 109.6 |
| 5 | 51/M | 10.5 | III | Bilateral | LD-CCRT | CR | 5.6 | Rt. lobectomy | Completely necrotic tumor | 101.5 |
| 6 | 54/M | 6.5 | I | Bilateral | LD-CCRT | PR | 18.2 | Lt. lobectomy | 2.5 × 2.5 × 1.8 cm HCC, with 50% tumor necrosis | 20.5 |
| 7 | 50/M | 5.2 | III | Unilateral | LD-CCRT | PR | 17.2 | Liver transplantation | 1.0 × 0.7 cm HCC, and three completely necrotic lesions | 27.3 |
| 8 | 56/M | 8 | III | Bilateral | LD-CCRT | SD | 46.9 | Liver transplantation | Three completely necrotic lesions | 50.2 |
Publisher’s Note: MDPI stays neutral with regard to jurisdictional claims in published maps and institutional affiliations. |
© 2022 by the authors. Licensee MDPI, Basel, Switzerland. This article is an open access article distributed under the terms and conditions of the Creative Commons Attribution (CC BY) license (https://creativecommons.org/licenses/by/4.0/).
Share and Cite
Kim, J.; Byun, H.K.; Kim, T.H.; Kim, S.I.; Kim, B.K.; Kim, S.U.; Park, J.Y.; Kim, D.Y.; Seong, J. Liver-Directed Concurrent Chemoradiotherapy versus Sorafenib in Hepatocellular Carcinoma with Portal Vein Tumor Thrombosis. Cancers 2022, 14, 2396. https://doi.org/10.3390/cancers14102396
Kim J, Byun HK, Kim TH, Kim SI, Kim BK, Kim SU, Park JY, Kim DY, Seong J. Liver-Directed Concurrent Chemoradiotherapy versus Sorafenib in Hepatocellular Carcinoma with Portal Vein Tumor Thrombosis. Cancers. 2022; 14(10):2396. https://doi.org/10.3390/cancers14102396
Chicago/Turabian StyleKim, Jina, Hwa Kyung Byun, Tae Hyung Kim, Sun Il Kim, Beom Kyung Kim, Seung Up Kim, Jun Yong Park, Do Young Kim, and Jinsil Seong. 2022. "Liver-Directed Concurrent Chemoradiotherapy versus Sorafenib in Hepatocellular Carcinoma with Portal Vein Tumor Thrombosis" Cancers 14, no. 10: 2396. https://doi.org/10.3390/cancers14102396
APA StyleKim, J., Byun, H. K., Kim, T. H., Kim, S. I., Kim, B. K., Kim, S. U., Park, J. Y., Kim, D. Y., & Seong, J. (2022). Liver-Directed Concurrent Chemoradiotherapy versus Sorafenib in Hepatocellular Carcinoma with Portal Vein Tumor Thrombosis. Cancers, 14(10), 2396. https://doi.org/10.3390/cancers14102396

