Primary Ovarian Mesothelioma: A Case Series with Electron Microscopy Examination and Review of the Literature
Abstract
Simple Summary
Abstract
1. Introduction
2. Materials and Methods
2.1. Medical Records and Questionnaires for the Assessment of Exposure to Asbestos
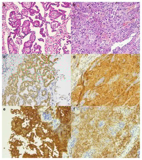
2.2. Histological Findings and Immunohistochemical Staining
2.3. Transmission and Scanning Electron Microscopy
3. Results
4. Discussion
4.1. The Histogenesis and the Role of Electron Microscopy
4.2. Differential Diagnosis: The Real Challenge
4.3. Asbestos and Contaminated Talc vs. Primary Ovary Mesothelioma and Ovarian Cancer
5. Conclusions
Author Contributions
Funding
Institutional Review Board Statement
Informed Consent Statement
Data Availability Statement
Conflicts of Interest
References
- Vimercati, L.; Cavone, D.; Delfino, M.C.; De Maria, L.; Caputi, A.; Ferri, G.M.; Serio, G. Asbestos exposure and malignant mesothelioma of the tunica vaginalis testis, a systematic review and the experience of the Apulia (southern Italy) mesothelioma register. Environ. Health 2019, 18, 78. [Google Scholar] [CrossRef]
- Serio, G.; Pezzuto, F.; Marzullo, A.; Scattone, A.; Cavone, D.; Punzi, A.; Fortarezza, F.; Gentile, M.; Buonadonna, A.L.; Barbareschi, M.; et al. Peritoneal Mesothelioma with Residential Asbestos Exposure. Report of a Case with Long Survival (Seventeen Years) Analyzed by Cgh-Array. Int. J. Mol. Sci. 2017, 18, 1818. [Google Scholar] [CrossRef]
- Serio, G.; Pagliarulo, V.; Marzullo, A.; Punzi, A.; Pezzuto, F.; Gentile, M.; Pennella, A.; Nazzaro, P.; Buonadonna, A.L.; Covelli, C.; et al. Molecular changes of malignant mesothelioma in the testis and their impact on prognosis, Analyses of two cases. Int. J. Clin. Exp. Pathol. 2016, 9, 7658–7667. [Google Scholar]
- VI Rapporto Registro Nazionale Mesoteliomi (ReNaM). Available online: https//www.inail.it/cs/internet/comunicazione/pubblicazioni/catalogo-generale/pubbl-registro-nazionale-mesoteliomi-6-rapporto.html (accessed on 5 November 2020).
- Gray’s Anatomy: The Anatomical Basis of Clinical Practice, 41st ed.; Elsevier: Amsterdam, The Netherlands, 2016; ISBN 978-0-7020-5230-9.
- Parmley, T.H.; Woodruff, J.D. The ovarian mesothelioma. Am. J. Obstet. Gynecol. 1974, 120, 234–241. [Google Scholar]
- Woodruff, J.D. The pathogenesis of ovarian neoplasia. Johns Hopkins Med. J. 1979, 144, 117–120. [Google Scholar]
- Lauchlan, S.C. The secondary müllerian system revisited. Int. J. Gynecol. Pathol. 1994, 13, 73–79. [Google Scholar] [CrossRef]
- Shoham, Z. Epidemiology, etiology, and fertility drugs in ovarian epithelial carcinoma, where are we today? Fertil. Steril. 1994, 62, 433–448. [Google Scholar] [CrossRef]
- Graham, J.; Graham, R. Ovarian cancer and asbestos. Environ. Res. 1967, 1, 115–128. [Google Scholar] [CrossRef]
- Julian, C.G. Germinal epithelial neoplasia of the ovary. Clin. Obstet. Gynecol. 1974, 17, 241–257. [Google Scholar] [CrossRef]
- Longo, D.L.; Young, R.C. Cosmetic talc and ovarian cancer. Lancet 1979, 2, 1011–1012. [Google Scholar] [CrossRef]
- Cramer, D.W.; Welch, W.R.; Scully, R.E.; Wojciechowski, C.A. Ovarian cancer and talc, a case-control study. Cancer 1982, 50, 372–376. [Google Scholar]
- Rai, A.J.; Flores, R.M. Association of malignant mesothelioma and asbestos related conditions with ovarian cancer, shared biomarkers and a possible etiological link? Clin. Chem. Lab. Med. 2011, 49, 5–7. [Google Scholar] [CrossRef]
- WHO. Female Genital Tumours: WHO Classification of Tumours, 5th ed.; IARC: Lyon, France, 2020. [Google Scholar]
- Attanoos, R.L.; Gibbs, A.R. Primary malignant gonadal mesotheliomas and asbestos. Histopathology 2000, 37, 150–159. [Google Scholar] [CrossRef]
- Ordóñez, N.G. Value of immunohistochemistry in distinguishing peritoneal mesothelioma from serous carcinoma of the ovary and peritoneum, a review and update. Adv. Anat. Pathol. 2006, 13, 16–25. [Google Scholar] [CrossRef]
- Signorile, A.; De Rasmo, D.; Cormio, A.; Musicco, C.; Rossi, R.; Fortarezza, F.; Palese, L.L.; Loizzi, V.; Resta, L.; Scillitani, G.; et al. Human Ovarian Cancer Tissue Exhibits Increase of Mitochondrial Biogenesis and Cristae Remodeling. Cancers 2019, 11, 1350. [Google Scholar] [CrossRef]
- Husain, A.N.; Colby, T.V.; Ordóñez, N.G.; Allen, T.C.; Attanoos, R.L.; Beasley, M.B.; Butnor, K.J.; Chirieac, L.R.; Churg, A.M.; Dacic, S.; et al. Guidelines for Pathologic Diagnosis of Malignant Mesothelioma 2017 Update of the Consensus Statement From the International Mesothelioma Interest Group. Arch. Pathol. Lab. Med. 2018, 142, 89–108. [Google Scholar] [CrossRef]
- Ordonez, N.G. The diagnostic utility of immunohistochemistry and electron microscopy in distinguishing between peritoneal mesotheliomas and serous carcinomas, a comparative study. Mod. Pathol. 2006, 19, 34–48. [Google Scholar] [CrossRef]
- Lloreta-Trull, J. Extrathoracic mesothelial proliferations and their mimics. Ultrastruct. Pathol. 2006, 30, 37–51. [Google Scholar] [CrossRef]
- Merino, M.J. Malignant mesothelioma mimicking ovarian cancer. Int. J. Surg. Pathol. 2010, 18, 178S–180S. [Google Scholar] [CrossRef]
- Pinto, V.; Rossi, A.C.; Fiore, M.G.; D’Addario, V.; Cicinelli, E. Laparoscopic diagnosis and treatment of pelvic benign multicystic mesothelioma associated with high CA19.9 serum concentration. J. Minim. Invasive Gynecol. 2010, 17, 252–254. [Google Scholar] [CrossRef]
- Oczypok, E.A.; Oury, T.D. Electron microscopy remains the gold standard for the diagnosis of epithelial malignant mesothelioma, a case study. Ultrastruct. Pathol. 2015, 39, 153–158. [Google Scholar] [CrossRef][Green Version]
- Clement, P.B.; Young, R.H.; Scully, R.E. Malignant mesotheliomas presenting as ovarian masses. A report of nine cases; including two primary ovarian mesotheliomas. Am. J. Surg. Pathol. 1996, 20, 1067–1080. [Google Scholar] [CrossRef]
- Attanoos, R.L.; Webb, R.; Dojcinov, S.D.; Gibbs, A.R. Value of mesothelial and epithelial antibodies in distinguishing diffuse peritoneal mesothelioma in females from serous papillary carcinoma of the ovary and peritoneum. Histopathology 2002, 40, 237–244. [Google Scholar]
- Carey, J.C. The importance of case reports in advancing scientific knowledge of rare diseases. Adv. Exp. Med. Biol. 2010, 686, 77–86. [Google Scholar] [CrossRef]
- Available online: https//www.inail.it/cs/internet/docs/renamlineeguida2005-pdf.pdf (accessed on 5 November 2020).
- WHO Classification of Tumours of Female Reproductive Organs. In WHO Classification of Tumours, 4th ed.; Kurman, R.J., Carcangiu, M.L., Herrington, C.S., Young, R.H., Eds.; IARC Press: Lyon, France, 2014; ISBN 978-92-832-2435-8. [Google Scholar]
- Pezzuto, F.; Serio, G.; Fortarezza, F.; Scattone, A.; Caporusso, C.; Punzi, A.; Cavone, D.; Pennella, A.; Marzullo, A.; Vimercati, L. Prognostic Value of Ki67 Percentage, WT-1 Expression and p16/CDKN2A Deletion in Diffuse Malignant Peritoneal Mesothelioma: A Single-Centre Cohort Study. Diagnostics 2020, 10, 386. [Google Scholar] [CrossRef]
- Paoletti, L.; Caiazza, S.; Donelli, G.; Pocchiari, F. Evaluation by electron microscopy techniques of asbestos contamination in industrial, cosmetic, and pharmaceutical talcs. Regul. Toxicol. Pharmacol. 1984, 4, 222–235. [Google Scholar] [CrossRef]
- Roggli, V.L. The role of analytical SEM in the determination of causation in malignant mesothelioma. Ultrastruct. Pathol. 2006, 30, 31–35. [Google Scholar] [CrossRef]
- Dodson, R.F.; Hammar, S.P.; Poye, L.W. A technical comparison of evaluating asbestos concentration by phase-contrast microscopy (PCM), scanning electron microscopy (SEM), and analytical transmission electron microscopy (ATEM) as illustrated from data generated from a case report. Inhal. Toxicol. 2008, 20, 723–732. [Google Scholar] [CrossRef]
- Paoletti, L.; Bruni, B.M. Caratterizzazione dimensionale di fibre anfiboliche nel polmone e nella pleura di casi di mesotelioma da esposizione ambientale [Size distribution of amphibole fibres from lung and pleural tissues sampled from mesothelioma cases due to environmental exposure]. Med. Lav. 2009, 100, 11–20. [Google Scholar]
- Steffen, J.E.; Tran, T.; Yimam, M.; Clancy, K.M.; Bird, T.B.; Rigler, M.; Longo, W.; Egilman, D.S. Serous Ovarian Cancer Caused by Exposure to Asbestos and Fibrous Talc in Cosmetic Talc Powders—A Case Series. J. Occup. Environ. Med. 2020, 62, e65–e77. [Google Scholar] [CrossRef]
- Langseth, H.; Johansen, B.V.; Nesland, J.M.; Kjaerheim, K. Asbestos fibers in ovarian tissue from Norwegian pulp and paper workers. Int. J. Gynecol. Cancer 2007, 17, 44–49. [Google Scholar] [CrossRef]
- Moline, J.; Bevilacqua, K.; Alexandri, M.; Gordon, R.E. Mesothelioma Associated with the Use of Cosmetic Talc. J. Occup. Environ. Med. 2020, 62, 11–17. [Google Scholar] [CrossRef]
- McCluggage, W.G.; Judge, M.J.; Clarke, B.A.; Davidson, B.; Gilks, C.B.; Hollema, H.; Ledermann, J.A.; Matias-Guiu, X.; Mikami, Y.; Stewart, C.J.; et al. Data set for reporting of ovary, fallopian tube and primary peritoneal carcinoma: Recommendations from the International Collaboration on Cancer Reporting (ICCR). Mod. Pathol. 2015, 28, 1101–1122. [Google Scholar] [CrossRef]
- TNM Classification of Malignant Tumours, 8th ed.; James, D.B., Mary, K.G., Christian, W., Eds.; Wiley-Blackwell: Hoboken, NJ, USA, 2016; ISBN 978-1-119-26357-9. [Google Scholar]
- Pinto, C.; Novello, S.; Torri, V.; Ardizzoni, A.; Betta, P.G.; Bertazzi, P.A.; Casalini, G.A.; Fava, C.; Fubini, B.; Magnani, C.; et al. Second Italian consensus conference on malignant pleural mesothelioma, state of the art and recommendations. Cancer Treat. Rev. 2013, 39, 328–339. [Google Scholar] [CrossRef]
- Magnani, C.; Fubini, B.; Mirabelli, D.; Bertazzi, P.A.; Bianchi, C.; Chellini, E.; Gennaro, V.; Marinaccio, A.; Menegozzo, M.; Merler, E.; et al. Pleural mesothelioma: Epidemiological and public health issues. Report from the Second Italian Consensus Conference on Pleural Mesothelioma. Med. Lav. 2013, 104, 191–202. [Google Scholar]
- Magnani, C.; Bianchi, C.; Chellini, E.; Consonni, D.; Fubini, B.; Gennaro, V.; Marinaccio, A.; Menegozzo, M.; Mirabelli, D.; Merler, E.; et al. III Italian Consensus Conference on Malignant Mesothelioma of the Pleura. Epidemiology, Public Health and Occupational Medicine related issues. Med. Lav. 2015, 106, 325–332. [Google Scholar]
- Novello, S.; Pinto, C.; Torri, V.; Porcu, L.; Di Maio, M.; Tiseo, M.; Ceresoli, G.; Magnani, C.; Silvestri, S.; Veltri, A.; et al. The Third Italian Consensus Conference for Malignant Pleural Mesothelioma, State of the art and recommendations. Crit. Rev. Oncol. Hematol. 2016, 104, 9–20. [Google Scholar] [CrossRef]
- Magnani, C.; Agudo, A.; González, C.A.; Andrion, A.; Calleja, A.; Chellini, E.; Dalmasso, P.; Escolar, A.; Hernandez, S.; Ivaldi, C.; et al. Multicentric study on malignant pleural mesothelioma and non-occupational exposure to asbestos. Br. J. Cancer 2000, 83, 104–111. [Google Scholar] [CrossRef]
- Available online: https://www.epa.gov/asbestos (accessed on 5 November 2020).
- Available online: https://www.hse.gov.uk/asbestos/common-materials.htm (accessed on 5 November 2020).
- Cralley, L.J.; Key, M.M.; Groth, D.H.; Lainhart, W.S.; Ligo, R.M. Fibrous and mineral content of cosmetic talcum products. Am. Ind. Hyg. Assoc. J. 1968, 29, 350–354. [Google Scholar] [CrossRef]
- Rohl, A.N.; Langer, A.M.; Selikoff, I.J.; Tordini, A.; Klimentidis, R.; Bowes, D.R.; Skinner, D.L. Consumer talcums and powders, mineral and chemical characterization. J. Toxicol. Environ. Health 1976, 2, 255–284. [Google Scholar] [CrossRef]
- CTFA Compendium of Cosmetic Ingredient Composition, Specifications CTFA; Nikitakis, J.M., McEwen, G.N., Jr., Eds.; Personal Care Products Council:: Washington, DC, USA, 1990. [Google Scholar]
- Rosner, D.; Markowitz, G.; Chowkwanyun, M. “Nondetected”, The Politics of Measurement of Asbestos in Talc, 1971–1976. Am. J. Public Health 2019, 109, 969–974. [Google Scholar] [CrossRef]
- Tran, T.H.; Steffen, J.E.; Clancy, K.M.; Bird, T.; Egilman, D.S. Talc, Asbestos, and Epidemiology: Corporate Influence and Scientific Incognizance. Epidemiology 2019, 30, 783–788. [Google Scholar] [CrossRef]
- Finley, B.L.; Pierce, J.S.; Phelka, A.D.; Adams, R.E.; Paustenbach, D.J.; Thuett, K.A.; Barlow, C.A. Evaluation of tremolite asbestos exposures associated with the use of commercial products. Crit. Rev. Toxicol. 2012, 42, 119–146. [Google Scholar] [CrossRef]
- Heller, D.S.; Gordon, R.E.; Westhoff, C.; Gerber, S. Asbestos exposure and ovarian fiber burden. Am. J. Ind. Med. 1996, 29, 435–439. [Google Scholar] [CrossRef]
- Golden, A.; Ash, J.E. Adenomatoid Tumors of the Genital Tract. Am. J. Pathol. 1945, 21, 63–79. [Google Scholar]
- Morehead, R.P. Angiomatoid formations in the genital organs with and without tumor formation. Arch. Pathol. 1946, 42, 56–63. [Google Scholar]
- Lee, M.J., Jr.; Dockerty, M.B.; Thompson, G.J.; Waugh, J.M. Benign mesotheliomas (adenomatoid tumors) of the genital tract. Proc. Staff Meet. Mayo Clin. 1950, 25, 665–672. [Google Scholar]
- Horn, R.C.; Lewis, G.C. Mesothelioma of the female genital tract; review of the literature and report of five cases involving the uterus. Am. J. Clin. Pathol. 1951, 21, 251–259. [Google Scholar] [CrossRef]
- Teel, P. Adenomatoid tumors of the genital tract with special reference to the female. Am. J. Obstet. Gynecol. 1958, 75, 1347–1353. [Google Scholar] [CrossRef]
- Jackson, J. The histogenesis of the adenomatoid tumor of the genital tract. Cancer 1958, 11, 337–350. [Google Scholar] [CrossRef]
- Swerdlow, M. Mesothelioma of the pelvic peritoneum resembling papillary cystadenocarcinoma of the ovary, case report. Am. J. Obstet. Gynecol. 1959, 77, 197–200. [Google Scholar] [CrossRef]
- Williamson, H.; Moore, M. Ovarian and Paraovarian Adenomatoid Tumors, Case Reports. Am. J. Obstet. Gynecol. 1964, 90, 388–394. [Google Scholar]
- Jones, E.G.; Donovan, A.J. Adenomatoid Tumor of The Ovary Versus Mesothelial Reaction. Am. J. Obs. Gynecol. 1965, 92, 694–698. [Google Scholar] [CrossRef]
- Ersan Erdem, B.; Yaprak Bayrak, B.; Vural, C.; Muezzinoglu, B. Non-random adenomatoid tumours of the female genital system: A comparative clinicopathologic analysis of 14 cases. Ann Diagn Pathol. 2020, 47, 151553. [Google Scholar] [CrossRef]
- Ferenczy, A.; Fenoglio, J.; Richart, R.M. Observations on benign mesothelioma of the genital tract (adenomatoid tumor). A comparative ultrastructural study. Cancer 1972, 30, 244–260. [Google Scholar] [CrossRef]
- Russell, P. The pathological assessment of ovarian neoplasms. III, The malignant “epithelial” tumours. Pathology 1979, 11, 493–532. [Google Scholar] [CrossRef]
- Addis, B.J.; Fox, H. Papillary mesothelioma of ovary. Histopathology 1983, 7, 287–298. [Google Scholar] [CrossRef]
- Hirakawa, T.; Tsuneyoshi, M.; Enjoji, M. Adenomatoid tumor of the ovary, an immunohistochemical and ultrastructural study. Jpn. J. Clin. Oncol. 1988, 18, 159–166. [Google Scholar]
- Alcántara Vazquez, A.; Oropeza Rechy, G.; Hernández Gonzalez, M.; Rosales, M.L. Mesotelioma papilar de la superficie ovárica. Presentación de un caso [Papillary mesothelioma of the ovarian surface. Presentation of a case]. Ginecol. Obstet. Mex. 1989, 57, 298–301. [Google Scholar]
- Goldblum, J.; Hart, W.R. Localized and diffuse mesotheliomas of the genital tract and peritoneum in women. A clinicopathologic study of nineteen true mesothelial neoplasms; other than adenomatoid tumors; multicystic mesotheliomas; and localized fibrous tumors. Am. J. Surg. Pathol. 1995, 19, 1124–1137. [Google Scholar] [CrossRef]
- Oh, H.E.; Song, J.S.; Ryu, K.Y.; Lee, S. Well differentiated papillary mesothelioma of the ovarian surface. A case report. Korean J. Pathol. 2006, 40, 311–313. [Google Scholar]
- Wills, G.S.; Gowri, B. Para Ovarian Benign Multicystic Mesothelioma-A Case Report. Biomed. J. Sci. Tech. Res. 2017, 1, 1. [Google Scholar] [CrossRef][Green Version]
- Sun, R.; Chen, Y.; Huang, Z. 18F-FDG PET/CT Findings of Ovarian Mesothelioma, A Case Study. Clin. Nucl. Med. 2019, 44, 925–926. [Google Scholar] [CrossRef]
- Evans, N. Mesotheliomas of the uterine and tuba1 serosa and the tunica vaginalis testis. Am. J. Pathol. 1943, 19, 461–471. [Google Scholar]
- Fajers, C.M. Mesotheliomas of genital tract; report of 5 new cases and survey of literature. Actn Pathol. Microhiol. Scand. 1949, 26, 1–23. [Google Scholar]
- Hertig, A.T.; Gore, H. Tumors of the Female Sex Organs; Fascicle of the Armed Forces Institute; Armed Forces Institute of Pathology: Washington, DC, USA, 1961; Volume 3, p. 164. [Google Scholar]
- Woodruff, J.D.; TeLinde, R.W. The histology and histogenesis of ovarian neoplasia. Cancer 1976, 3, 411–413. [Google Scholar] [CrossRef]
- Warhol, M.J.; Hunter, N.J.; Corson, J.M. An ultrastructural comparison of mesotheliomas and adenocarcinomas of the ovary and endometrium. Int. J. Gynecol. Pathol. 1982, 1, 125–134. [Google Scholar]
- Auersperg, N.; Wong, A.S.; Choi, K.C.; Kang, S.K.; Leung, P.C. Ovarian surface epithelium, biology, endocrinology, and pathology. Endocr. Rev. 2001, 22, 255–288. [Google Scholar]
- Losi, L.; Botticelli, L.; Taccagni, G.; Longinotti, E.; Lancellotti, C.; Scurani, L.; Zannoni, G.F. Malignant peritoneal mesothelioma in a woman with bilateral ovarian serous borderline tumour, Potential interactions between the two diseases. Gynecol. Oncol. Rep. 2018, 24, 39–42. [Google Scholar] [CrossRef]
- Sajjad, Y. Development of the genital ducts and external genitalia in the early human embryo. J. Obstet. Gynaecol. Res. 2010, 36, 929–937. [Google Scholar]
- Jacobs, I.; Bast, R.C. The CA 125 tumour-associated antigen, a review of the literature. Hum. Reprod. 1989, 4, 1–12. [Google Scholar] [CrossRef]
- Marcus, J.B.; Lynn, J.A. Ultrastructural comparison of an adenomatoid tumor, lymphangioma, hemangioma, and mesothelioma. Cancer 1970, 25, 171–175. [Google Scholar] [CrossRef]
- MacKay, B.; Bennington, J.L.; Skoglund, R.W. The adenomatoid tumor, Fine ultrastructural evidence for a mesothelial origin. Cancer 1971, 27, 109–111. [Google Scholar]
- Blaustein, A.; Lee, H. Surface cells of the ovary and pelvic peritoneum, a histochemical and ultrastructure comparison. Gynecol. Oncol. 1979, 8, 34–43. [Google Scholar]
- Foyle, A.; Al-Jabi, M.; McCaughey, W.T.E. Papillary peritoneal tumours in women. Am. J. Surg. Pathol. 1981, 5, 241–249. [Google Scholar]
- Gitsch, E.; Salzer, H. The management in ovarian cancer at the First Dept. of Obstetrics and Gynecology, University of Vienna. Eur. J. Gynaecol. Oncol. 1992, 13, 61–64. [Google Scholar]
- Ordóñez, N.G. Role of immunohistochemistry in distinguishing epithelial peritoneal mesotheliomas from peritoneal and ovarian serous carcinomas. Am. J. Surg. Pathol. 1998, 22, 1203–1214. [Google Scholar] [CrossRef]
- Husain, A.N.; Colby, T.V.; Ordóñez, N.G.; Krausz, T.; Borczuk, A.; Cagle, P.T.; Chirieac, L.R.; Churg, A.; Galateau-Salle, F.; Gibbs, A.R.; et al. Guidelines for pathologic diagnosis of malignant mesothelioma, a consensus statement from the International Mesothelioma Interest Group. Arch. Pathol. Lab. Med. 2009, 133, 1317–1331. [Google Scholar] [CrossRef]
- Kannerstein, M.; Churg, J.; McCaughey, W.T.; Hill, D.P. Papillary tumors of the peritoneum in women, mesothelioma or papillary carcinoma. Am. J. Obstet. Gynecol. 1977, 127, 306–314. [Google Scholar] [CrossRef]
- Falkson, C.I. Mesothelioma or ovarian carcinoma? A case report. S. Afr. Med. J. 1985, 68, 676–677. [Google Scholar]
- Barber, H.R. Ovarian cancer. CA Cancer J. Clin. 1986, 36, 149–184. [Google Scholar] [CrossRef]
- Stern, J.; Buscema, J.; Parmley, T.; Woodruff, J.D.; Rosenshein, N.B. Atypical epithelial proliferations in the fallopian tube. Am. J. Obstet. Gynecol. 1981, 140, 309–312. [Google Scholar] [CrossRef]
- McCaughey, W.T. Papillary peritoneal neoplasms in females. Pathol. Annu. 1985, 2, 387–404. [Google Scholar]
- Young, R.H.; Clement, P.B. Malignant lesions of the female genital tract and peritoneum that may be underdiagnosed. Semin. Diagn. Pathol. 1995, 12, 14–29. [Google Scholar]
- Rothacker, D.; Möbius, G. Varieties of serous surface papillary carcinoma of the peritoneum in northern Germany, a thirty-year autopsy study. Int. J. Gynecol. Pathol. 1995, 14, 310–318. [Google Scholar] [CrossRef]
- McCluggage, W.G.; Wilkinson, N. Metastatic neoplasms involving the ovary, a review with an emphasis on morphological and immunohistochemical features. Histopathology 2005, 47, 231–247. [Google Scholar] [CrossRef]
- Clement, P.B. Selected miscellaneous ovarian lesions, small cell carcinomas, mesothelial lesions, mesenchymal and mixed neoplasms, and non-neoplastic lesions. Mod. Pathol. 2005, 18, S113–S129. [Google Scholar] [CrossRef]
- Mani, H.; Merino, M.J. Mesothelial neoplasms presenting as, and mimicking, ovarian cancer. Int. J. Gynecol. Pathol. 2010, 29, 523–528. [Google Scholar] [CrossRef]
- Park, E.K.; Johnson, A.R.; Yates, D.H.; Thomas, P.S. Evaluation of ovarian cancer biomarkers in subjects with benign asbestos-related pleural diseases. Clin. Chem. Lab. Med. 2011, 49, 147–150. [Google Scholar] [CrossRef]
- Oparka, R.; McCluggage, W.G.; Herrington, C.S. Peritoneal mesothelial hyperplasia associated with gynaecological disease, a potential diagnostic pitfall that is commonly associated with endometriosis. J. Clin. Pathol. 2011, 64, 313–318. [Google Scholar] [CrossRef]
- Malpica, A.; Sant’Ambrogio, S.; Deavers, M.T.; Silva, E.G. Well-differentiated papillary mesothelioma of the female peritoneum, a clinicopathologic study of 26 cases. Am. J. Surg. Pathol. 2012, 36, 117–127. [Google Scholar] [CrossRef]
- Brenne, K.; Nymoen, D.A.; Hetland, T.E.; Trope’, C.G.; Davidson, B. Expression of the Ets transcription factor EHF in serous ovarian carcinoma effusions is a marker of poor survival. Hum. Pathol. 2012, 43, 496–505. [Google Scholar] [CrossRef]
- Brecht, I.B.; Agaimy, A.; Besendörfer, M.; Carbon, R.; Thiel, F.C.; Rompel, O.; Osinski, D.; Langer, T.; Metzler, M.; Holter, W. Malignant peritoneal mesothelioma in a 16-year-old girl, presentation of a rare disease. Klin. Padiatr. 2012, 224, 170–173. [Google Scholar] [CrossRef]
- Dunder, I.; Baykal, C.; Turkmen, I.; Başsüllü, N.; Doğusoy, G.B.; Demir, G. Malignant primary peritoneal mesothelioma, report of two cases and review of literature. Eur. J. Gynaecol. Oncol. 2012, 33, 549–551. [Google Scholar]
- Taşkın, S.; Gümüş, Y.; Kiremitçi, S.; Kahraman, K.; Sertçelik, A.; Ortaç, F. Malignant peritoneal mesothelioma presented as peritoneal adenocarcinoma or primary ovarian cancer, case series and review of the clinical and immunohistochemical features. Int. J. Clin. Exp. Pathol. 2012, 5, 472–478. [Google Scholar]
- Dellaportas, D.; Kairi-Vassilatou, E.; Lykoudis, P.; Mavrigiannaki, P.; Mellou, S.; Kleanthis, C.K.; Kondi-Pafiti, A. Peritoneal mesotheliomas mimicking adnexal tumors. Clinicopathological characteristics of four cases and a short literature review. Eur. J. Gynaecol. Oncol. 2012, 33, 101–104. [Google Scholar]
- Singh, A.; Chatterjee, P.; Pai, M.C.; Chacko, R.T. Multicystic peritoneal mesothelioma, not always a benign disease. Singap. Med. J. 2013, 54, e76–e78. [Google Scholar]
- Gill, S.E.; Ruple, S.M.; Wolff, C.M.; Puls, L.E. Simultaneous occurrence of well differentiated papillary mesothelioma and endometrioid ovarian cancer, a case report. Gynecol. Oncol. Case Rep. 2013, 4, 53–55. [Google Scholar] [CrossRef][Green Version]
- Grzankowski, K.S.; Brightwell, R.M.; Kasznica, J.M.; Odusi, K.O. Malignant peritoneal mesothelioma without asbestos exposure, an ovarian cancer imitator. Gynecol. Oncol. Rep. 2014, 11, 10–12. [Google Scholar] [CrossRef]
- Okuda, T.; Ogino, Y.; Yamashita, S.; Ishii, H.; Kin, S.; Nagata, A.; Otsubo, M.; Kataoka, H.; Kitawaki, J. Diagnostic laparoscopy identifies a peritoneal adenomatoid-like mesothelioma masquerading as ovarian cancer, a case report. Eur. J. Gynaecol. Oncol. 2014, 35, 91–94. [Google Scholar]
- Kapoor, R.; Kuttikat, P.G.; Vaiphei, K.; Rai, B.; Patel, F.D. A case report of peritoneal malignant mesothelioma presenting as primary ovarian mass. J. Cancer Res. 2015, 11, 654. [Google Scholar] [CrossRef]
- Hancock, K.L.; Clinton, C.M.; Dinkelspiel, H.E.; Saab, J.; Schneider, B.; Caputo, T.A. A case of mesothelioma masquerading pre-operatively as ovarian cancer and brief review of the literature. Gynecol. Oncol. Rep. 2016, 17, 26–28. [Google Scholar] [CrossRef][Green Version]
- Chapel, D.B.; Husain, A.N.; Krausz, T.; McGregor, S.M. PAX8 Expression in a Subset of Malignant Peritoneal Mesotheliomas and Benign Mesothelium has Diagnostic Implications in the Differential Diagnosis of Ovarian Serous Carcinoma. Am. J. Surg. Pathol. 2017, 41, 1675–1682. [Google Scholar] [CrossRef]
- Churg, A.; Dacic, S.; Galateau-Salle, F.; Attanoos, R.; de Perrot, M. Malignant Mesothelioma In Situ: Clinical and Pathologic Implications. J. Thorac. Oncol. 2020, 15, 899–901. [Google Scholar] [CrossRef]
- Beasley, M.B.; Galateau-Salle, F.; Dacic, S. Pleural mesothelioma classification update. Virchows Arch. 2021, 478, 59–72. [Google Scholar] [CrossRef]
- Baker, P.M.; Oliva, E. Immunohistochemistry as a tool in the differential diagnosis of ovarian tumors, an update. Int. J. Gynecol. Pathol. 2005, 24, 39–55. [Google Scholar]
- Yaziji, H.; Battifora, H.; Barry, T.S.; Hwang, H.C.; Bacchi, C.E.; McIntosh, M.W.; Kussick, S.J.; Gown, A.M. Evaluation of 12 antibodies for distinguishing epithelioid mesothelioma from adenocarcinoma, identification of a three-antibody immunohistochemical panel with maximal sensitivity and specificity. Mod. Pathol. 2006, 19, 514–523. [Google Scholar]
- Ordóñez, N.G. Value of estrogen and progesterone receptor immunostaining in distinguishing between peritoneal mesotheliomas and serous carcinomas. Hum. Pathol. 2005, 36, 1163–1167. [Google Scholar] [CrossRef]
- Nofech-Mozes, S.; Khalifa, M.A.; Ismiil, N.; Saad, R.S.; Hanna, W.M.; Covens, A.; Ghorab, Z. Immunophenotyping of serous carcinoma of the female genital tract. Mod. Pathol. 2008, 21, 1147–1155. [Google Scholar]
- Takeshima, Y.; Amatya, V.J.; Kushitani, K.; Inai, K. A useful antibody panel for differential diagnosis between peritoneal mesothelioma and ovarian serous carcinoma in Japanese cases. Am. J. Clin. Pathol. 2008, 130, 771–779. [Google Scholar]
- Portugal, R.; Oliva, E. Calretinin, diagnostic utility in the female genital tract. Adv. Anat. Pathol. 2009, 16, 118–124. [Google Scholar]
- Laury, A.R.; Hornick, J.L.; Perets, R.; Krane, J.F.; Corson, J.; Drapkin, R.; Hirsch, M.S. PAX8 reliably distinguishes ovarian serous tumors from malignant mesothelioma. Am. J. Surg. Pathol. 2010, 34, 627–635. [Google Scholar]
- Davidson, B. The diagnostic and molecular characteristics of malignant mesothelioma and ovarian/peritoneal serous carcinoma. Cytopathology 2011, 22, 5–21. [Google Scholar] [CrossRef]
- Husain., A.N.; Colby, T.; Ordonez, N.; Krausz, T.; Attanoos, R.; Beasley, M.B.; Borczuk, A.C.; Butnor, K.; Cagle, P.T.; Chirieac, L.R.; et al. Guidelines for pathologic diagnosis of malignant mesothelioma, 2012 update of the consensus statement from the International Mesothelioma Interest Group. Arch. Pathol. Lab. Med. 2013, 137, 647–667. [Google Scholar] [CrossRef]
- Andrici, J.; Sheen, A.; Sioson, L.; Wardell, K.; Clarkson, A.; Watson, N.; Ahadi, M.S.; Farzin, M.; Toon, C.W.; Gill, A.J. Loss of expression of BAP1 is a useful adjunct; which strongly supports the diagnosis of mesothelioma in effusion cytology. Mod. Pathol. 2015, 28, 1360–1368. [Google Scholar] [CrossRef]
- Andrici, J.; Jung, J.; Sheen, A.; D’Urso, L.; Sioson, L.; Pickett, J.; Parkhill, T.R.; Verdonk, B.; Wardell, K.L.; Singh, A.; et al. Loss of BAP1 expression is very rare in peritoneal and gynecologic serous adenocarcinomas and can be useful in the differential diagnosis with abdominal mesothelioma. Hum. Pathol. 2016, 51, 9–15. [Google Scholar] [CrossRef]
- Nakamura, K.; Nakayama, K.; Nagaoka, R.; Nishisako, K.; Ishikawa, M.; Katagiri, H.; Ishibashi, T.; Sato, E.; Amano, C.; Kyo, S. The diagnostic utility of PAX8 immunostaining of malignant peritoneal mesothelioma presenting as serous ovarian carcinoma, a single-center report of two cases. Oncol. Lett. 2017, 13, 263–266. [Google Scholar] [CrossRef]
- Nasit, J.G.; Dhruva, G. Well-differentiated papillary mesothelioma of the peritoneum, a diagnostic dilemma on fine-needle aspiration cytology. Am. J. Clin. Pathol. 2014, 142, 233–242. [Google Scholar] [CrossRef]
- Comin, C.E.; Saieva, C.; Messerini, L. h-caldesmon; calretinin; estrogen receptor; and Ber-EP4, a useful combination of immunohistochemical markers for differentiating epithelioid peritoneal mesothelioma from serous papillary carcinoma of the ovary. Am. J. Surg. Pathol. 2007, 31, 1139–1148. [Google Scholar] [CrossRef]
- Ito, T.; Hamasaki, M.; Matsumoto, S.; Hiroshima, K.; Tsujimura, T.; Kawai, T.; Shimao, Y.; Marutsuka, K.; Moriguchi, S.; Maruyama, R.; et al. p16/CDKN2A FISH in Differentiation of Diffuse Malignant Peritoneal Mesothelioma from Mesothelial Hyperplasia and Epithelial Ovarian Cancer. Am. J. Clin. Pathol. 2015, 143, 830–838. [Google Scholar] [CrossRef]
- Serio, G.; Vimercati, L.; Pennella, A.; Gentile, M.; Cavone, D.; Buonadonna, A.L.; Scattone, A.; Fortarezza, F.; De Palma, A.; Marzullo, A. Genomic changes of chromosomes 8p23.1 and 1q21, Novel mutations in malignant mesothelioma. Lung Cancer 2018, 126, 106–111. [Google Scholar] [CrossRef]
- Gardner, M.J.; Winter, P.D.; Pannett, B.; Powell, C.A. Follow up study of workers manufacturing chrysotile asbestos cement products. Br. J. Ind. Med. 1986, 43, 726–732. [Google Scholar]
- Newhouse, M.L.; Berry, G.; Wagner, J.C.; Turok, M.E. A study of the mortality of female asbestos workers. Br. J. Ind. Med. 1972, 29, 134–141. [Google Scholar] [CrossRef][Green Version]
- Newhouse, M.L.; Sullivan, K.R. A mortality study of workers manufacturing friction materials, 1941–1986. Br. J. Ind. Med. 1989, 46, 176–179. [Google Scholar] [CrossRef]
- Rosler, J.A.; Woitowitz, H.J.; Lange, H.J.; Woitowitz, R.H.; Ulm, K.; Rodelsperger, K. Mortality rates in a female cohort following asbestos exposure in Germany. J. Occup. Med. 1994, 36, 889–893. [Google Scholar]
- Airoldi, C.; Ferrante, D.; Miligi, L.; Piro, S.; Stoppa, G.; Migliore, E.; Chellini, E.; Romanelli, A.; Sciacchitano, C.; Mensi, C.; et al. Estimation of Occupational Exposure to Asbestos in Italy by the Linkage of Mesothelioma Registry (ReNaM) and National Insurance Archives. Methodology and Results. Int. J. Environ. Res. Public Health 2020, 17, 1020. [Google Scholar] [CrossRef]
- Szeszenia-Dabrowska, N.; Urszula, W.; Szymczak, W.; Strzelecka, A. Mortality study of workers compensated for asbestosis in Poland. Int. J. Occup. Med. Environ. Health 2002, 15, 267–278. [Google Scholar]
- Langseth, H.; Kjaerheim, K. Ovarian cancer and occupational exposure among pulp and paper employees in Norway. Scand. J. Work Environ. Health 2004, 30, 356–361. [Google Scholar]
- Wilczynska, U.; Szymczak, W.; Szeszenia-Dabrowska, N. Mortality from malignant neoplasms among workers of an asbestos processing plant in Poland, results of prolonged observation. Int. J. Occup. Med. Environ. Health 2005, 18, 313–326. [Google Scholar]
- McDonald, J.C.; Harris, J.M.; Berry, G. Sixty years on, the price of assembling military gas masks in 1940. Occup. Environ. Med. 2006, 63, 852–855. [Google Scholar] [CrossRef]
- Hein, M.J.; Stayner, L.T.; Lehman, E.; Dement, J.M. Follow-up study of chrysotile textile workers, cohort mortality and exposure-response. Occup. Environ. Med. 2007, 64, 616–625. [Google Scholar] [CrossRef]
- Harding, A.H.; Darnton, A.; Wegerdt, J.; McElvenny, D. Mortality among British asbestos workers undergoing regular medical examinations (1971–2005). Occup. Environ. Med. 2009, 66, 487–495. [Google Scholar]
- Reid, A.; de Klerk, N.; Musk, A.W. Does exposure to asbestos cause ovarian cancer? A systematic literature review and meta-analysis. Cancer Epidemiol. Biomark. Prev. 2011, 20, 1287–1295. [Google Scholar] [CrossRef]
- Camargo, M.C.; Stayner, L.T.; Straif, K.; Reina, M.; Al-Alem, U.; Demers, P.A.; Landrigan, P.J. Occupational exposure to asbestos and ovarian cancer, a meta-analysis. Environ. Health Perspect. 2011, 119, 1211–1217. [Google Scholar] [CrossRef]
- Bounin, A.; Charbotel, B.; Fervers, B.; Bergeret, A. Facteurs de risques professionnels du cancer de l’ovaire. Revue de la littérature [Professional risk factors associated with the cancer of the ovary. Literature review]. Bull. Cancer 2014, 101, 1089–1108. [Google Scholar] [CrossRef]
- Reid, B.M.; Permuth, J.B.; Sellers, T.A. Epidemiology of ovarian cancer, a review. Cancer Biol. Med. 2017, 14, 9–32. [Google Scholar] [CrossRef]
- Slomovitz, B.; de Haydu, C.; Taub, M.; Coleman, R.L.; Monk, B.J. Asbestos and ovarian cancer, examining the historical evidence. Int. J. Gynecol. Cancer 2020, 9. [Google Scholar] [CrossRef]
- Wignall, B.K.; Fox, A.J. Mortality of female gas mask assemblers. Br. J. Ind. Med. 1982, 39, 4–38. [Google Scholar]
- Acheson, E.D.; Gardner, M.J.; Pippard, E.C.; Grime, L.P. Mortality of two groups of women who manufactured gas masks from chrysotile and crocidolite asbestos, a 40-year follow-up. Br. J. Ind. Med. 1982, 39, 344–348. [Google Scholar] [CrossRef]
- Vasama-Neuvonen, K.; Pukkala, E.; Paakkulainen, H.; Mutanen, P.; Weiderpass, E.; Boffetta, P.; Shen, N.; Kauppinen, T.; Vainio, H.; Partanen, T. Ovarian cancer and occupational exposures in Finland. Am. J. Ind. Med. 1999, 36, 83–89. [Google Scholar] [CrossRef]
- Tarchi, M.; Orsi, D.; Comba, P.; De Santis, M.; Pirastu, R.; Battista, G.; Valiani, M. Cohort mortality study of rock salt workers in Italy. Am. J. Ind. Med. 1994, 25, 251–256. [Google Scholar] [CrossRef]
- Germani, D.; Belli, S.; Bruno, C.; Grignoli, M.; Nesti, M.; Pirastu, R.; Comba, P. Cohort mortality study of women compensated for asbestosis in Italy. Am. J. Ind. Med. 1999, 36, 129–134. [Google Scholar] [CrossRef]
- Bulbulyan, M.A.; Ilychova, S.A.; Zahm, S.H.; Astashevsky, S.V.; Zaridze, D.G. Cancer mortality among women in the Russian printing industry. Am. J. Ind. Med. 1999, 36, 166–171. [Google Scholar] [CrossRef]
- Berry, G.; Newhouse, M.L.; Wagner, J.C. Mortality from all cancers ofasbestos factory workers in east London. Occup. Environ. Med. 2000, 57, 782–785. [Google Scholar]
- Pira, E.; Pelucchi, C.; Buffoni, L.; Palmas, A.; Turbiglio, M.; Negri, E.; Piolatto, P.G.; La Vecchia, C. Cancer mortality in a cohort of asbestos textile workers. Br. J. Cancer 2005, 92, 580–586. [Google Scholar] [CrossRef]
- Ferrante, D.; Bertolotti., M.; Todesco, A.; Mirabelli, D.; Terracini, B.; Magnani, C. Cancer mortality and incidence of mesothelioma in a cohort of wives ofasbestos workers in Casale Monferrato, Italy. Environ. Health Perspect. 2007, 115, 1401–1405. [Google Scholar]
- Magnani, C.; Barone-Adesi, F.D.F. Cancer risk after cessation of asbestosexposure, a cohort study of Italian Asbestos Cement Workers. Occup. Environ. Med. 2008, 65, 164–170. [Google Scholar]
- Wang, X.; Lin, S.; Yu, I.; Qiu, H.; Lan, Y.; Yano, E. Cause-specific mortality in a Chinese chrysotile textile worker cohort. Cancer Sci. 2013, 104, 245–249. [Google Scholar] [CrossRef]
- Pira, E.; Romano, C.; Violante, F.S.; Farioli, A.; Spatari, G.; La Vecchia, C.; Boffetta, P. Updated mortality study of a cohort of asbestos textile workers. Cancer Med. 2016, 5, 2623–2628. [Google Scholar] [CrossRef]
- Ferrante, D.; Chellini, E.; Merler, E.; Pavone, V.; Silvestri, S.; Miligi, L.; Gorini, G.; Bressan, V.; Girardi, P.; Ancona, L.; et al. Italian pool of asbestos workers cohorts, mortality trends of asbestos-related neoplasms after long time since first exposure. Occup. Environ. Med. 2017, 74, 887–898. [Google Scholar] [CrossRef]
- Oddone, E.; Ferrante, D.; Tunesi, S.; Magnani, C. Mortality in asbestos cement workers in Pavia, Italy, A cohort study. Am. J. Ind. Med. 2017, 60, 852–866. [Google Scholar] [CrossRef]
- Kang, D.M.; Kim, J.E.; Kim, Y.K.; Lee, H.H.; Kim, S.Y. Occupational Burden of Asbestos-Related Diseases in Korea; 1998–2013, Asbestosis, Mesothelioma, Lung Cancer, Laryngeal Cancer, and Ovarian Cancer. J. Korean Med. Sci. 2018, 33, e226. [Google Scholar] [CrossRef]
- Park, S.; Park, J.; Lee, E.; Eom, H.; Shin, M.Y.; Kim, J.; Kang, D.; Lee, S. Ovarian cancer in a former asbestos textile factory worker, a case report. Ann. Occup. Environ. Med. 2018, 30, 65. [Google Scholar] [CrossRef]
- Luberto, F.; Ferrante, D.; Silvestri, S.; Angelini, A.; Cuccaro, F.; Nannavecchia, A.M.; Oddone, E.; Vicentini, M.; Barone-Adesi, F.; Cena, T.; et al. Cumulative asbestos exposure and mortality from asbestos related diseases in a pooled analysis of 21 asbestos cement cohorts in Italy. Environ. Health 2019, 18, 71. [Google Scholar] [CrossRef]
- Reid, A.; Segal, A.; Heyworth, J.S.; de Klerk, N.H.; Musk, A.W. Gynecologic and breast cancers in women after exposure to blue asbestos at Wittenoom. Cancer Epidemiol. Biomark. Prev. 2009, 18, 140–147. [Google Scholar] [CrossRef]
- Reid, A.; Franklin, P.; Olsen, N.; Sleith, J.; Samuel, L.; Aboagye-Sarfo, P.; de Klerk, N.; Musk, A.W. All-cause mortality and cancer incidence among adults exposed to blue asbestos during childhood. Am. J. Ind. Med. 2013, 56, 133–145. [Google Scholar] [CrossRef]
- Henley, S.J.; Peipins, L.A.; Rim, S.H.; Larson, T.C.; Miller, J.W. Geographic Co-Occurrence of Mesothelioma and Ovarian Cancer Incidence. J. Women’s Health Larchmt 2020, 29, 111–118. [Google Scholar] [CrossRef]
- Rajput, Z.; Hering, K.G.; Kraus, T.; Tannapfel, A.; Sonnenschein, G.; Centmayer, A.; Radon, K.; Nowak, D.; Weinmann, T. Investigating the association between occupational exposure to asbestos and ovarian carcinoma, results from a pilot study in Germany. BMC Public Health 2019, 19, 1341. [Google Scholar] [CrossRef]
- Heller, D.S.; Gordon, R.E.; Katz, N. Correlation of asbestos fiber burdens in fallopian tubes and ovarian tissue. Am. J. Obstet. Gynecol. 1999, 181, 346–347. [Google Scholar] [CrossRef]
- Bunderson-Schelvan, M.; Pfau, J.C.; Crouch, R.; Holian, A. Nonpulmonary outcomes of asbestos exposure. J. Toxicol. Environ. Health B Crit. Rev. 2011, 14, 122–152. [Google Scholar] [CrossRef]
- Arsenic, Metals, Fibres and Dusts; IARC Monographs on the Evaluation of Carcinogenic Risks to Humans; No.100C; International Agency for Research on Cancer: Lyon, France, 2012; ISBN 978-9283213208.
- Baan, R.; Straif, K.; Grosse, Y.; Secretan, B.; El Ghissassi, F.; Cogliano, V.; WHO International Agency for Research on Cancer Monograph Working Group. Carcinogenicity of carbon black, titanium dioxide, and talc. Lancet Oncol. 2006, 7, 295–296. [Google Scholar] [CrossRef]
- Straif, K.; Benbrahim-Tallaa, L.; Baan, R.; Grosse, Y.; Secretan, B.; El Ghissassi, F.; Bouvard, V.; Guha, N.; Freeman, C.; Galichet, L.; et al. A review of human carcinogens—Part C, metals, arsenic, dusts, and fibres. Lancet Oncol. 2009, 10, 453–454. [Google Scholar] [CrossRef]
- Henderson, W.J.; Joslin, C.A.; Turnbull, A.C.; Griffiths, K. Talc and carcinoma of the ovary and cervix. J. Obstet. Gynaecol. Br. Commonw. 1971, 78, 266–272. [Google Scholar] [CrossRef]
- Larkin, T.; Ford, G. Does Talc Used in the Genital Area Cause Ovarian Cancer? Mo Med. 2020, 117, 21. [Google Scholar]
- Roggli, V.L.; Carney, J.M.; Sporn, T.A.; Pavlisko, E.N. Talc and mesothelioma: Mineral fiber analysis of 65 cases with clinicopathological correlation. Ultrastruct. Pathol. 2020, 44, 211–218. [Google Scholar] [CrossRef]
- Finley, B.L.; Benson, S.M.; Marsh, G.M. Cosmetic talc as a risk factor for pleural mesothelioma: A weight of evidence evaluation of the epidemiology. Inhal. Toxicol. 2017, 29, 179–185. [Google Scholar] [CrossRef]
- Rosner, D.; Markowitz, G. Baby Powders and the Precautionary Principle. Am. J. Public Health 2020, 110, 1378–1379. [Google Scholar] [CrossRef]
- Madigan, D.; Egilman, D.; Finkelstein, M.M.; Tran, T.; Yimam, M. Response to Marsh, G.M.; Ierardi, A.M.; Benson, S.M.; Finley, B.L. Occupational exposures to cosmetic talc and risk of mesothelioma: An updated pooled cohort and statistical power analysis with consideration of latency period. Inhalation toxicology, 31(6), 213–223. Inhal. Toxicol. 2019, 31, 385–386. [Google Scholar] [CrossRef]
- Pierce, J.S.; Riordan, A.S.; Miller, E.W.; Gaffney, S.H.; Hollins, D.M. Evaluation of the presence of asbestos in cosmetic talcum products. Inhal. Toxicol. 2017, 29, 443–456. [Google Scholar] [CrossRef]
- Berge, W.; Mundt, K.; Luu, H.; Boffetta, P. Genital use of talc and risk of ovarian cancer: A meta-analysis. Eur. J. Cancer Prev. 2018, 27, 248–257. [Google Scholar] [CrossRef]
- FDA Releases Data from the Agency’s Year-Long Sampling Assignment to Test Talc-Containing Cosmetic Products for the Presence of Asbestos. Available online: https://www.fda.gov/news-events/fda-brief/fda-brief-fda-releases-final-report-talc-containing-cosmetic-products-tested-asbestos (accessed on 16 February 2021).
- Whittemore, A.S.; Wu, M.L.; Paffenbarger, R.S.; Sarles, D.L.; Kampert, J.B.; Grosser, S.; Jung, D.L.; Ballon, S.; Hendrickson, M. Personal and environmental characteristics related to epithelial ovarian cancer. II. Exposures to talcum powder, tobacco, alcohol, and coffee. Am. J. Epidemiol. 1988, 28, 1228–1240. [Google Scholar] [CrossRef]
- O’Brien, K.M.; Tworoger, S.S.; Harris, H.R.; Anderson, G.L.; Weinberg, C.R.; Trabert, B.; Kaunitz, A.M.; D’Aloisio, A.A.; Sandler, D.P.; Wentzensen, N. Association of Powder Use in the Genital Area with Risk of Ovarian Cancer. JAMA 2020, 323, 49–59. [Google Scholar] [CrossRef]
- Terry, K.L.; Karageorgi, S.; Shvetsov, Y.B.; Merritt, M.A.; Lurie, G.; Thompson, P.J.; Carney, M.E.; Weber, R.P.; Akushevich, L.; Lo-Ciganic, W.H.; et al. Genital powder use and risk of ovarian cancer, a pooled analysis of 8525 cases and 9859 controls. Cancer Prev. Res. 2013, 6, 811–821. [Google Scholar] [CrossRef]
- Narod, S.A. Talc and ovarian cancer. Gynecol. Oncol. 2016, 141, 410–412. [Google Scholar] [CrossRef]
- Newhouse, M.L. Cosmetic talc and ovarian cancer. Lancet 1979, 2, 528. [Google Scholar] [CrossRef]
- Hartge, P.; Hoover, R.; Lesher, L.P.; McGowan, L. Talc and ovarian cancer. JAMA 1983, 250, 1844. [Google Scholar]
- Natow, A.J. Talc, need we beware? Cutis 1986, 37, 328–329. [Google Scholar]
- Harlow, B.L.; Weiss, N.S. A case-control study of borderline ovarian tumors, the influence of perineal exposure to talc. Am. J. Epidemiol. 1989, 130, 390–394. [Google Scholar] [CrossRef]
- Booth, M.; Beral, V.; Smith, P. Risk factors for ovarian cancer, a case-control study. Br. J. Cancer 1989, 60, 592–598. [Google Scholar] [CrossRef]
- Harlow, B.L.; Cramer, D.W.; Bell, D.A.; Welch, W.R. Perineal exposure to talc and ovarian cancer risk. Obstet. Gynecol. 1992, 80, 19–26. [Google Scholar]
- Chen, Y.; Wu, P.C.; Lang, J.H.; Ge, W.J.; Hartge, P.; Brinton, L.A. Risk factors for epithelial ovarian cancer in Beijing, China. Int. J. Epidemiol. 1992, 21, 23–29. [Google Scholar] [CrossRef]
- Tzonou, A.; Polychronopoulou, A.; Hsieh, C.C.; Rebelakos, A.; Karakatsani, A.; Trichopoulos, D. Hair dyes, analgesics, tranquilizers and perineal talc application as risk factors for ovarian cancer. Int. J. Cancer 1993, 55, 408–410. [Google Scholar] [CrossRef]
- Purdie, D.; Green, A.; Bain, C.; Siskind, V.; Ward, B.; Hacker, N.; Quinn, M.; Wright, G.; Russell, P.; Susil, B. Reproductive and other factors and risk of epithelial ovarian cancer, an Australian case-control study. Survey of Women’s Health Study Group. Int. J. Cancer 1995, 62, 678–684. [Google Scholar] [CrossRef]
- Harlow, B.L.; Hartge, P.A. A review of perineal talc exposure and risk of ovarian cancer. Regul. Toxicol. Pharmacol. 1995, 21, 254–260. [Google Scholar] [CrossRef][Green Version]
- Chang, S.; Risch, H.A. Perineal talc exposure and risk of ovarian carcinoma. Cancer 1997, 79, 2396–2401. [Google Scholar] [CrossRef]
- Cook, L.S.; Kamb, M.L.; Weiss, N.S. Perineal powder exposure and the risk of ovarian cancer. Am. J. Epidemiol. 1997, 145, 459–465. [Google Scholar] [CrossRef]
- Wong, C.; Hempling, R.E.; Piver, M.S.; Natarajan, N.; Mettlin, C.J. Perineal talc exposure and subsequent epithelial ovarian cancer, a case-control study. Obstet. Gynecol. 1999, 93, 372–376. [Google Scholar] [CrossRef]
- Merritt, M.A.; Green, A.C.; Nagle, C.M.; Webb, P.M.; Australian Cancer Study (Ovarian Cancer); Australian Ovarian Cancer Study Group. Talcum powder; chronic pelvic inflammation and NSAIDs in relation to risk of epithelial ovarian cancer. Int. J. Cancer 2008, 122, 170–176. [Google Scholar] [CrossRef]
- Houghton, S.C.; Reeves, K.W.; Hankinson, S.E.; Crawford, L.; Lane, D.; Wactawski-Wende, J.; Thomson, C.A.; Ockene, J.K.; Sturgeon, S.R. Perineal powder use and risk of ovarian cancer. J. Natl. Cancer Inst. 2014, 106, dju208. [Google Scholar] [CrossRef]
- Gonzalez, N.L.; O’Brien, K.M.; D’Aloisio, A.A.; Sandler, D.P.; Weinberg, C.R. Douching, Talc Use, and Risk of Ovarian Cancer. Epidemiology 2016, 27, 797–802. [Google Scholar] [CrossRef]
- Schildkraut, J.M.; Abbott, S.E.; Alberg, A.J.; Bandera, E.V.; Barnholtz-Sloan, J.S.; Bondy, M.L.; Cote, M.L.; Funkhouser, E.; Peres, L.C.; Peters, E.S.; et al. Association between Body Powder Use and Ovarian Cancer, The African American Cancer Epidemiology Study (AACES). Cancer Epidemiol. Biomark. Prev. 2016, 25, 1411–1417. [Google Scholar] [CrossRef]
- Rosenblatt, K.A.; Szklo, M.; Rosenshein, N.B. Mineral fiber exposure and the development of ovarian cancer. Gynecol. Oncol. 1992, 45, 20–25. [Google Scholar] [CrossRef]
- Cramer, D.W.; Liberman, R.F.; Titus-Ernstoff, L.; Welch, W.R.; Greenberg, E.R.; Baron, J.A.; Harlow, B.L. Genital talc exposure and risk of ovarian cancer. Int. J. Cancer 1999, 81, 351–356. [Google Scholar] [CrossRef]
- Gertig, D.M.; Hunter, D.J.; Cramer, D.W.; Colditz, G.A.; Speizer, F.E.; Willett, W.C.; Hankinson, S.E. Prospective study of talc use and ovarian cancer. J. Natl. Cancer Inst. 2000, 92, 249–252. [Google Scholar] [CrossRef]
- Mills, P.K.; Riordan, D.G.; Cress, R.D.; Young, H.A. Perineal talc exposure and epithelial ovarian cancer risk in the Central Valley of California. Int. J. Cancer 2004, 112, 458–464. [Google Scholar] [CrossRef]
- Carbon Black, Titanium Dioxide, and Talc; IARC Monographs on the Evaluation of Carcinogenic Risks to Humans; IARC: Lyon, France, 2010; Volume 93, ISBN 978-92-832-1593-6.
- Weiderpass, E.; Labrèche, F. Malignant tumors of the female reproductive system. Saf. Health Work 2012, 3, 166–180. [Google Scholar] [CrossRef]
- Hunn, J.; Rodriguez, G.C. Ovarian cancer, etiology, risk factors, and epidemiology. Clin. Obstet. Gynecol. 2012, 55, 3–23. [Google Scholar] [CrossRef]
- Langseth, H.; Hankinson, S.E.; Siemiatycki, J.; Weiderpass, E. Perineal use of talc and risk of ovarian cancer. J. Epidemiol. Community Health 2008, 62, 358–360. [Google Scholar] [CrossRef]
- Rosenblatt, K.A.; Weiss, N.S.; Cushing-Haugen, K.L.; Wicklund, K.G.; Rossing, M.A. Genital powder exposure and the risk of epithelial ovarian cancer. Cancer Causes Control. 2011, 22, 737–742. [Google Scholar] [CrossRef]
- Huncharek, M.; Muscat, J. Perineal talc use and ovarian cancer risk, a case study of scientific standards in environmental epidemiology. Eur. J. Cancer Prev. 2011, 20, 501–507. [Google Scholar] [CrossRef]
- Gordon, R.E.; Fitzgerald, S.; Millette, J. Asbestos in commercial cosmetic talcum powder as a cause of mesothelioma in women. Int. J. Occup. Environ. Health 2014, 20, 318–332. [Google Scholar] [CrossRef]
- Lee, R.; Van Orden, D. Asbestos in commercial cosmetic talcum powder as a cause of mesothelioma in women. Int. J. Occup. Environ. Health 2015, 21, 337–341. [Google Scholar] [CrossRef][Green Version]
- Gordon, R.E. Response to RE: Gordon R, Fitzgerald S, and Millette, J. Asbestos in commercial cosmetic talcum powder as a cause of mesothelioma in women. Int. J. Occup. Environ. Health 2014, 20, 318–332. [Google Scholar]
- Lee, R.; Van Orden, D.; Sanchez, M. Response to Gordon 2016. Int. J. Occup. Environ. Health 2017, 23, 172–176. [Google Scholar] [CrossRef]
- Gordon, R.E. Response to Second Letter by Lee et al. of 2016. Int. J. Occup. Environ. Health 2017, 23, 177–180. [Google Scholar] [CrossRef]
- Cramer, D.W.; Vitonis, A.F.; Terry, K.L.; Welch, W.R.; Titus, L.J. The Association Between Talc Use and Ovarian Cancer, A Retrospective Case-Control Study in Two US States. Epidemiology 2016, 27, 334–346. [Google Scholar] [CrossRef]
- Penninkilampi, R.; Eslick, G.D. Perineal Talc Use and Ovarian Cancer, a Systematic Review and Meta-Analysis. Epidemiology 2018, 29, 41–49. [Google Scholar] [CrossRef]
- Stoiber, T.; Fitzgerald, S.; Leiba, N.S. Asbestos Contamination in Talc-Based Cosmetics: An Invisible Cancer Risk. Environ. Health Insights 2020, 14, 1178630220976558. [Google Scholar]
- Gabriel, I.M.; Vitonis, A.F.; Welch, W.R.; Titus, L.; Cramer, D.W. Douching, Talc Use, and Risk for Ovarian Cancer and Conditions Related to Genital Tract Inflammation. Cancer Epidemiol. Biomark. Prev. 2019, 28, 1835–1844. [Google Scholar] [CrossRef]
- Kadry Taher, M.; Farhat, N.; Karyakina, N.A.; Shilnikova, N.; Ramoju, S.; Gravel, C.A.; Krishnan, K.; Mattison, D.; Wen, S.W.; Krewski, D. Critical review of the association between perineal use of talc powder and risk of ovarian cancer. Reprod. Toxicol. 2019, 90, 88–101. [Google Scholar] [CrossRef]
- Emory, T.S.; Maddox, J.C.; Kradin, R.L. Malignant mesothelioma following repeated exposures to cosmetic talc, A case series of 75 patients. Am. J. Ind. Med. 2020, 63, 484–489. [Google Scholar] [CrossRef]
- Wergeland, E.; Gjertsen, F.; Vos, L.; Grimsrud, T.K. Cause-specific mortality and cancer morbidity in 390 male workers exposed to high purity talc, a six-decade follow-up. Am. J. Ind. Med. 2017, 60, 821–830. [Google Scholar] [CrossRef]
- Pira, E.; Coggiola, M.; Ciocan, C.; Romano, C.; La Vecchia, C.; Pelucchi, C.; Boffetta, P. Mortality of Talc Miners and Millers From Val Chisone, Northern Italy: An Updated Cohort Study. J. Occup. Environ. Med. 2017, 59, 659–664. [Google Scholar] [CrossRef]
- Mirabelli, D. Letter on: “Cosmetic talc as a risk factor for pleural mesothelioma: A weight of evidence evaluation of the epidemiology”. Inhal. Toxicol. 2017, 29, 341. [Google Scholar] [CrossRef]
- Finkelstein, M.M. Re: Mortality of Talc Miners and Millers from Val Chisone, Northern Italy. J. Occup. Environ. Med. 2017, 59, e194. [Google Scholar] [CrossRef]
- Ayisha, S.; Muhsina., R.; Sivapriya., S.; Thomas, I.; Mathew, A. Harmful Effects of Talc and Asbestos-A Review. Indo Am. J. Pharm. Sci. 2019, 6, 14989–14996. [Google Scholar] [CrossRef]
- McDonald, S.A.; Fan, Y.; Welch, W.R.; Cramer, D.W.; Godleski, J.J. Migration of Talc from the Perineum to Multiple Pelvic Organ Sites. Am. J. Clin. Pathol. 2019, 152, 590–607. [Google Scholar] [CrossRef]
- McDonald, S.A.; Fan, Y.; Welch, W.R.; Cramer, D.W.; Stearns, R.C.; Sheedy, L.; Katler, M.; Godleski, J.J. Correlative polarizing light and scanning electron microscopy for the assessment of talc in pelvic region lymph nodes. Ultrastruct Pathol. 2019, 43, 13–27. [Google Scholar] [CrossRef]
- Terry, K.L.; Titus-Ernstoff, L.; McKolanis, J.R.; Welch, W.R.; Finn, O.J.; Cramer, D.W. Incessant ovulation, mucin 1 immunity, and risk for ovarian cancer. Cancer Epidemiol. Biomark. Prev. 2007, 16, 30–35. [Google Scholar] [CrossRef]
- Casagrande, J.T.; Louie, E.W.; Pike, M.C.; Roy, S.; Ross, R.K.; Henderson, B.E. "Incessant ovulation" and ovarian cancer. Lancet 1979, 2, 170–173. [Google Scholar] [CrossRef]
- Muscat, J.E.; Huncharek, M.S. Perineal talc use and ovarian cancer, a critical review. Eur. J. Cancer Prev. 2008, 17, 139–146. [Google Scholar] [CrossRef]
- Ness, R.B.; Cottreau, C. Possible role of ovarian epithelial inflammation in ovarian cancer. J. Natl. Cancer Inst. 1999, 91, 1459–1467. [Google Scholar] [CrossRef]
- Ness, R.B.; Grisso, J.A.; Cottreau, C.; Klapper, J.; Vergona, R.; Wheeler, J.E.; Morgan, M.; Schlesselman, J.J. Factors related to inflammation of the ovarian epithelium and risk of ovarian cancer. Epidemiology 2000, 11, 111–117. [Google Scholar] [CrossRef]
- Cramer, D.W.; Welch, W.R.; Berkowitz, R.S.; Godleski, J.J. Presence of talc in pelvic lymph nodes of a woman with ovarian cancer and long-term genital exposure to cosmetic talc. Obstet. Gynecol. 2007, 110, 498–501. [Google Scholar] [CrossRef]



| Case Number | Year of Diagnosis | Year of Birth | Age at Diagnosis (Year) | Year of Death | Survival (Months) | Exposure (Calendar Years) | Duration of Exposure (Years) | Latency (Years) |
|---|---|---|---|---|---|---|---|---|
| 1 | 1995 | 1957 | 38 | lost to follow up (2005) | 120 * | domestic (1975–1985) | 10 | 20 |
| 2 | 1998 | 1933 | 65 | 2003 | 48 | domestic (1938–1980 cosmetic talc) | 42 | 60 |
| 3 | 2001 | 1947 | 54 | 2001 | 6 | domestic (1947–1985 cosmetic talc) | 38 | 54 |
| 4 | 2007 | 1955 | 52 | lost to follow up (2010) | 36 * | Familial (1981–1990) | 9 | 26 |
| Case Number | Year of Diagnosis | Histological Diagnosis (TNM) | IHC | IHC/FISH Review 2020 | TEM Ovarian Tissue Analysis | SEM Ovarian Tissue Analysis | Pathological Progression |
|---|---|---|---|---|---|---|---|
| 1 | 1995 | Bilateral well-differentiated papillary primary ovarian mesothelioma (T1b) | CA125−, EMA+++ vimentin+− −, calretinin+++ | CDKN2a− BAP1− CEA−, MOC 31− Calretinin+++ WT1+++ D2-40 +++ | Surface neoplastic cell with microvilli-like expansions and conspicuous cytoplasmic irregularity. | Talc crystals, fragments and an artificial fiber of glass wool, fragments of quartz. No asbestos fibers were identified. | Not available |
| 2 | 1998 | Bilateral biphasic malignant ovarian mesothelioma predominantly well differentiated papillary epitheliomorphic without invasive aspects(T1b) | Cytokeratin CK22 KL1+++ HMBE1+++ Vimentin+−− | CDKN2a– BAP1− CEA− MOC 31− Calretinin+++ WT1+++ D2-40+++ | Neoplastic cells delimiting a fissure superficial with numerous microvilli. Cell of mesothelial type with microvilli and deep cytoplasmic incisions. Presence of intermediate filaments (cytokeratin) in place paranuclear. | Many crystals of talc, amphibole fiber tremolite, artificial fragments and fibers of glass wool, quartz crystals. | Pleural plaques (2000), secondary pleural and peritoneal mesothelioma (2002) |
| 3 | 2001 | Primary epithelial mesothelioma of the left ovary with papillary aspects of the ovarian cortex(T1b) | Cytokeratin+++ Vimentin+−− Calretinin+++ CD15− CEA− | BAP1− CEA− MOC 31− Calretinin+++ WT1+++ D2-40+++ | Not available not executable | Not available not executable | Secondary malignant tumor of the peritoneum diffuse miliary peritoneal carcinosis, 12 months after the diagnosis |
| 4 | 2007 | Malignant epithelial mesothelioma with deciduous aspects involving the surface of the right ovary(T1b) | Desmin− Calretinin+++ WT1 +++ AE1-AE3 +++ | BAP1− CEA− MOC 31− Calretinin+++ WT1+++ D2-40+++ | Not available not executable | Not available not executable | Not available |
| Year | Author | Cases Number | Age (Years) | Ovary Site | Asbestos Exposure | Reference Number |
|---|---|---|---|---|---|---|
| 1972 | Ferenczy | 2 | 44 | Right | Not Investigated | [64] |
| 1979 | Russell | 2 | 42 | Right | Not Investigated | [65] |
| 74 | Left | Not Investigated | ||||
| 1983 | Addis and Fox | 1 | 67 | Left | No | [66] |
| 1988 | Hirakawa | 1 | 61 | Left | Not Investigated | [67] |
| 1989 | Vazquez | 1 | 41 | Bilateral | Not Investigated | [68] |
| 1995 | Goldblum | 5 | 38 | Bilateral | No | [69] |
| 58 | Bilateral | No | ||||
| 71 | Left | No | ||||
| 47 | Bilateral | No | ||||
| 72 | Bilateral | No | ||||
| 1996 | Clement | 2 | 16 | Right | No | [25] |
| 61 | Bilateral | No | ||||
| 2000 | Attanoos and Gibbs | 4 | 47 | Right | No | [16] |
| 61 | Left | Yes | ||||
| 66 | Left | No | ||||
| 66 | Right | Yes | ||||
| 2006 | Oh | 1 | 43 | Right | No | [70] |
| 2017 | Wills | 1 | 41 | Right | No | [71] |
| 2019 | Sun | 1 | 50 | Left | No | [72] |
Publisher’s Note: MDPI stays neutral with regard to jurisdictional claims in published maps and institutional affiliations. |
© 2021 by the authors. Licensee MDPI, Basel, Switzerland. This article is an open access article distributed under the terms and conditions of the Creative Commons Attribution (CC BY) license (https://creativecommons.org/licenses/by/4.0/).
Share and Cite
Vimercati, L.; Cavone, D.; Delfino, M.C.; Bruni, B.; De Maria, L.; Caputi, A.; Sponselli, S.; Rossi, R.; Resta, L.; Fortarezza, F.; et al. Primary Ovarian Mesothelioma: A Case Series with Electron Microscopy Examination and Review of the Literature. Cancers 2021, 13, 2278. https://doi.org/10.3390/cancers13092278
Vimercati L, Cavone D, Delfino MC, Bruni B, De Maria L, Caputi A, Sponselli S, Rossi R, Resta L, Fortarezza F, et al. Primary Ovarian Mesothelioma: A Case Series with Electron Microscopy Examination and Review of the Literature. Cancers. 2021; 13(9):2278. https://doi.org/10.3390/cancers13092278
Chicago/Turabian StyleVimercati, Luigi, Domenica Cavone, Maria Celeste Delfino, Biagio Bruni, Luigi De Maria, Antonio Caputi, Stefania Sponselli, Roberta Rossi, Leonardo Resta, Francesco Fortarezza, and et al. 2021. "Primary Ovarian Mesothelioma: A Case Series with Electron Microscopy Examination and Review of the Literature" Cancers 13, no. 9: 2278. https://doi.org/10.3390/cancers13092278
APA StyleVimercati, L., Cavone, D., Delfino, M. C., Bruni, B., De Maria, L., Caputi, A., Sponselli, S., Rossi, R., Resta, L., Fortarezza, F., Pezzuto, F., & Serio, G. (2021). Primary Ovarian Mesothelioma: A Case Series with Electron Microscopy Examination and Review of the Literature. Cancers, 13(9), 2278. https://doi.org/10.3390/cancers13092278

