Surgical Treatment of Pancreatic Ductal Adenocarcinoma
Abstract
Simple Summary
Abstract
1. Introduction
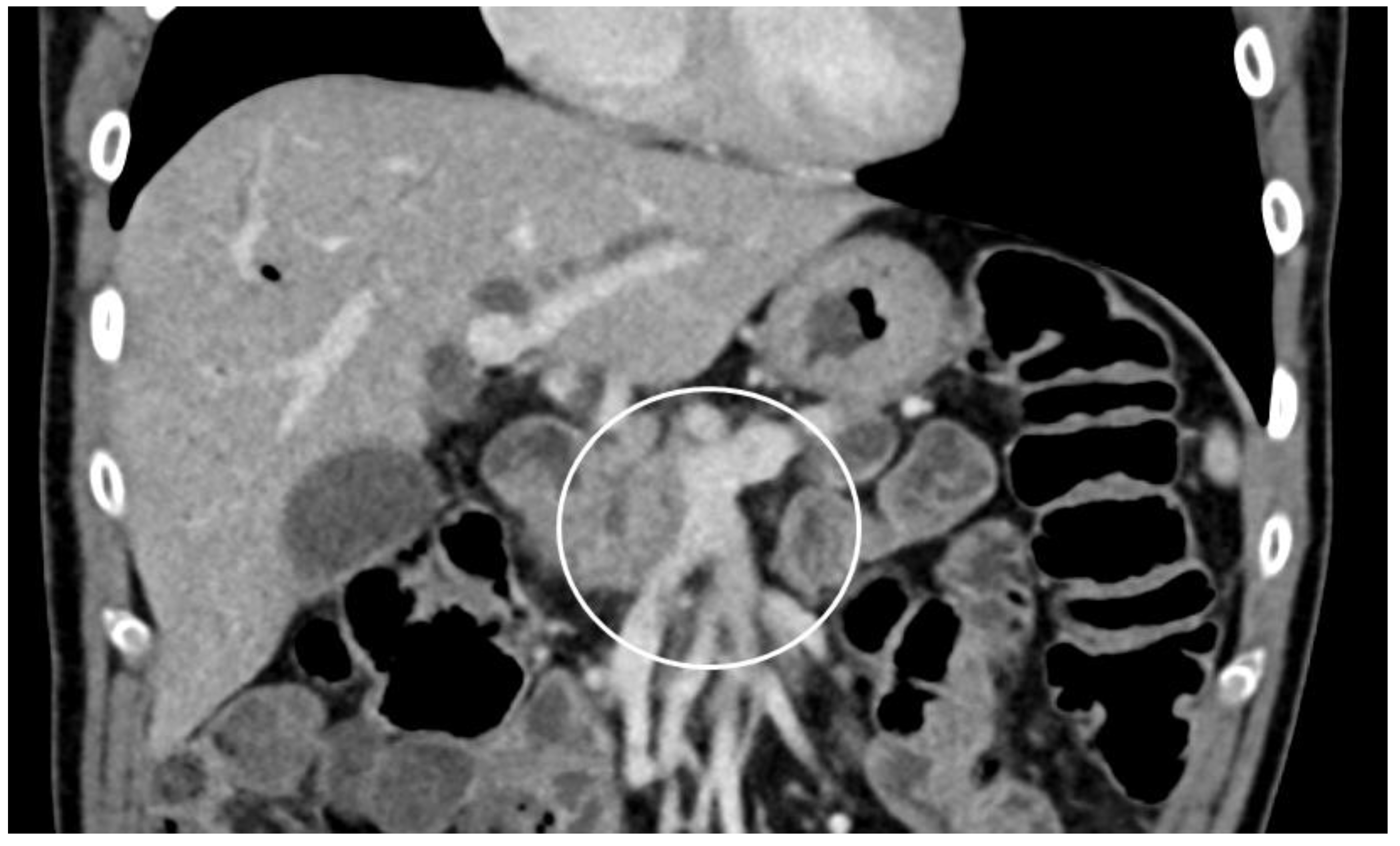
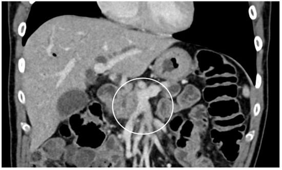
1.1. Definition of Resectability
1.2. Neoadjuvant and Adjuvant Therapy
2. Surgery
2.1. Standard Resection
2.2. Specific Techniques
2.2.1. Artery First Approach
2.2.2. Uncinate Process First
2.2.3. The TRIANGLE Operation
2.2.4. Venous Bypass First
2.2.5. Periarterial Divestment
2.3. Vascular (Venous and Arterial) Resection
2.3.1. Venous Resection
2.3.2. Artery Resection
2.4. Multivisceral Resection
2.5. MIS/Robotic Surgery
2.5.1. Laparoscopic and Robotic Distal Pancreatectomy
2.5.2. Laparoscopic and Robotic Pancreatoduodenectomy
3. Conclusions and Future Perspective
Author Contributions
Funding
Institutional Review Board Statement
Informed Consent Statement
Data Availability Statement
Conflicts of Interest
Abbreviations
| AHPBA | American Hepato-Pancreato-Biliary Association |
| SSO | Society of Surgical Oncology |
| SSAT | Society for Surgery of the Alimentary Tract |
| ECOG | Eastern Cooperative Oncology Group |
| BACAP | The National Anatomo-Clinical Database on Pancreatic Adenocarcinoma |
| SMV | superior mesenteric vein |
| PV | portal vein |
| SMA | superior mesenteric artery |
| CA | celiac artery |
| CHA | common hepatic artery |
| PHA | proper hepatic artery |
| LAPC | locally advanced pancreatic cancer |
| WMD | weighted mean difference |
| OR | odds ratio |
| CI | confidence interval |
References
- Hackert, T.; Sachsenmaier, M.; Hinz, U.; Schneider, L.; Michalski, C.W.; Springfeld, C.; Strobel, O.; Jager, D.; Ulrich, A.; Buchler, M.W. Locally advanced pancreatic cancer: Neoadjuvant therapy with folfirinox results in resectability in 60% of the patients. Ann. Surg. 2016, 264, 457–463. [Google Scholar] [CrossRef]
- Kleeff, J.; Korc, M.; Apte, M.; La Vecchia, C.; Johnson, C.D.; Biankin, A.V.; Neale, R.E.; Tempero, M.; Tuveson, D.A.; Hruban, R.H.; et al. Pancreatic cancer. Nat. Rev. Dis. Primers 2016, 2, 16022. [Google Scholar] [CrossRef] [PubMed]
- Vincent, A.; Herman, J.; Schulick, R.; Hruban, R.; Goggins, M. Pancreatic cancer. Lancet 2011, 378, 607–620. [Google Scholar] [CrossRef]
- De Dosso, S.; Siebenhuner, A.R.; Winder, T.; Meisel, A.; Fritsch, R.; Astaras, C.; Szturz, P.; Borner, M. Treatment landscape of metastatic pancreatic cancer. Cancer Treat Rev. 2021, 96, 102180. [Google Scholar] [CrossRef]
- Satoi, S.; Yamamoto, T.; Uchida, K.; Fujii, T.; Kin, T.; Hirano, S.; Hanada, K.; Itoi, T.; Murakami, Y.; Igarashi, H.; et al. Optimal treatment for octogenarians with resectable and borderline resectable pancreatic ductal adenocarcinoma: A multicenter retrospective study. Pancreas 2020, 49, 837–844. [Google Scholar] [CrossRef] [PubMed]
- Windsor, J.A.; Barreto, S.G. The concept of ‘borderline resectable’ pancreatic cancer: Limited foundations and limited future? J. Gastrointest. Oncol. 2017, 8, 189–193. [Google Scholar] [CrossRef]
- Isaji, S.; Mizuno, S.; Windsor, J.A.; Bassi, C.; Fernández-Del Castillo, C.; Hackert, T.; Hayasaki, A.; Katz, M.H.G.; Kim, S.-W.; Kishiwada, M.; et al. International consensus on definition and criteria of borderline resectable pancreatic ductal adenocarcinoma 2017. Pancreatology 2018, 18, 2–11. [Google Scholar] [CrossRef] [PubMed]
- Callery, M.P.; Chang, K.J.; Fishman, E.K.; Talamonti, M.S.; William Traverso, L.; Linehan, D.C. Pretreatment assessment of resectable and borderline resectable pancreatic cancer: Expert consensus statement. Ann. Surg. Oncol. 2009, 16, 1727–1733. [Google Scholar] [CrossRef]
- Varadhachary, G.R.; Tamm, E.P.; Abbruzzese, J.L.; Xiong, H.Q.; Crane, C.H.; Wang, H.; Lee, J.E.; Pisters, P.W.; Evans, D.B.; Wolff, R.A. Borderline resectable pancreatic cancer: Definitions, management, and role of preoperative therapy. Ann. Surg. Oncol. 2006, 13, 1035–1046. [Google Scholar] [CrossRef] [PubMed]
- Katz, M.H.; Pisters, P.W.; Evans, D.B.; Sun, C.C.; Lee, J.E.; Fleming, J.B.; Vauthey, J.N.; Abdalla, E.K.; Crane, C.H.; Wolff, R.A.; et al. Borderline resectable pancreatic cancer: The importance of this emerging stage of disease. J. Am. Coll. Surg. 2008, 206, 833–846. [Google Scholar] [CrossRef]
- Tempero, M.A.; Malafa, M.P.; Chiorean, E.G.; Czito, B.; Scaife, C.; Narang, A.K.; Fountzilas, C.; Wolpin, B.M.; Al-Hawary, M.; Asbun, H.; et al. Pancreatic adenocarcinoma, version 1.2019. J. Natl. Compr. Cancer Netw. 2019, 17, 202–210. [Google Scholar] [CrossRef]
- Bockhorn, M.; Uzunoglu, F.G.; Adham, M.; Imrie, C.; Milicevic, M.; Sandberg, A.A.; Asbun, H.J.; Bassi, C.; Büchler, M.; Charnley, R.M.; et al. Borderline resectable pancreatic cancer: A consensus statement by the International Study Group of Pancreatic Surgery (ISGPS). Surgery 2014, 155, 977–988. [Google Scholar] [CrossRef] [PubMed]
- Helmink, B.A.; Snyder, R.A.; Idrees, K.; Merchant, N.B.; Parikh, A.A. Advances in the surgical management of resectable and borderline resectable pancreas cancer. Surg. Oncol. Clin. N. Am. 2016, 25, 287–310. [Google Scholar] [CrossRef]
- Satoi, S.; Yamamoto, T.; Yamaki, S.; Sakaguchi, T.; Sekimoto, M. Surgical indication for and desirable outcomes of conversion surgery in patients with initially unresectable pancreatic ductal adenocarcinoma. Ann. Gastroenterol. Surg. 2019, 4, 6–13. [Google Scholar] [CrossRef] [PubMed]
- Nakamura, T.; Asano, T.; Okamura, K.; Tsuchikawa, T.; Murakami, S.; Kurashima, Y.; Ebihara, Y.; Noji, T.; Nakanishi, Y.; Tanaka, K.; et al. A preoperative prognostic scoring system to predict prognosis for resectable pancreatic cancer: Who will benefit from upfront surgery? J. Gastrointest. Surg. 2019, 23, 990–996. [Google Scholar] [CrossRef]
- Maulat, C.; Canivet, C.; Touraine, C.; Gourgou, S.; Napoleon, B.; Palazzo, L.; Flori, N.; Piessen, G.; Guibert, P.; Truant, S.; et al. A new score to predict the resectability of pancreatic adenocarcinoma: The BACAP Score. Cancers 2020, 12, 783. [Google Scholar] [CrossRef]
- Nguyen, A.H.; Melstrom, L.G. Use of imaging as staging and surgical planning for pancreatic surgery. Hepatobiliary Surg. Nutr. 2020, 9, 603–614. [Google Scholar] [CrossRef] [PubMed]
- Motosugi, U.; Ichikawa, T.; Morisaka, H.; Sou, H.; Muhi, A.; Kimura, K.; Sano, K.; Araki, T. Detection of pancreatic carcinoma and liver metastases with gadoxetic acid-enhanced MR imaging: Comparison with contrast-enhanced multi-detector row CT. Radiology 2011, 260, 446–453. [Google Scholar] [CrossRef]
- Joo, I.; Lee, J.M.; Lee, D.H.; Lee, E.S.; Paeng, J.C.; Lee, S.J.; Jang, J.Y.; Kim, S.W.; Ryu, J.K.; Lee, K.B. Assessment of pancreatic cancer with FDG PET/MR imaging versus FDG PET/CT plus contrast-enhanced multidetector CT: A prospective preliminary study. Radiology 2017, 282, 149–159. [Google Scholar] [CrossRef]
- Yamada, K.; Kawashima, H.; Ohno, E.; Ishikawa, T.; Tanaka, H.; Nakamura, M.; Miyahara, R.; Ishigami, M.; Hirooka, Y.; Fujishiro, M. Diagnosis of vascular invasion in pancreatic ductal adenocarcinoma using endoscopic ultrasound elastography. BMC Gastroenterol. 2020, 20, 81. [Google Scholar] [CrossRef]
- Ehrlich, D.; Ather, N.; Rahal, H.; Donahue, T.R.; Hines, O.J.; Kim, S.; Sedarat, A.; Muthusamy, V.R.; Watson, R. The utility of EUS-FNA to determine surgical candidacy in patients with pancreatic cancer after neoadjuvant therapy. J. Gastrointest. Sur. 2020, 24, 2807–2813. [Google Scholar] [CrossRef] [PubMed]
- Muhammad, I.O.R.; Chan, B.P.H.; Far, P.M.; Mbuagbaw, L.; Thabane, L.; Taghoobi, M. Endoscopic ultrasound versus computed tomography in determining the resectability of pancreatic cancer: A diagnostic test accuracy meta-analysis. Saudi J. Gastroenterol. 2020, 26, 113–119. [Google Scholar]
- Hyungjin, R.; Park, M.S. The role of imaging in current treatment strategies for pancreatic adenocarcinoma. Korean J. Radiol. 2021, 22, 23–40. [Google Scholar]
- Larghi, A.; Rimbaş, M.; Rizzatti, G.; Quero, G.; Gasbarrini, A.; Costamagna, G.; Alfieri, S. Resectable pancreatic solid lesions: Time to move from surgical diagnosis? Endosc. Ultrasound 2020, 9, 76–82. [Google Scholar] [CrossRef] [PubMed]
- Neoptolemos, J.P.; Dunn, J.A.; Stocken, D.D.; Almond, J.; Link, K.; Beger, H.; Bassi, C.; Falconi, M.; Pederzoli, P.; Dervenis, C.; et al. Adjuvant chemoradiotherapy and chemotherapy in resectable pancreatic cancer: A randomised controlled trial. Lancet 2001, 358, 1576–1585. [Google Scholar] [CrossRef]
- Neoptolemos, J.P.; Moore, M.J.; Cox, T.F.; Valle, J.W.; Palmer, D.H.; McDonald, A.C.; Carter, R.; Tebbutt, N.C.; Dervenis, C.; Smith, D.; et al. Effect of adjuvant chemotherapy with fluorouracil plus folinic acid or gemcitabine vs observation on survival in patients with resected periampullary adenocarcinoma: The ESPAC-3 periampullary cancer randomized trial. JAMA 2012, 308, 147–156. [Google Scholar] [CrossRef] [PubMed]
- Neoptolemos, J.P.; Palmer, D.H.; Ghaneh, P.; Psarelli, E.E.; Valle, J.W.; Halloran, C.M.; Faluyi, O.; O’Reilly, D.A.; Cunningham, D.; Wadsley, J.; et al. Comparison of adjuvant gemcitabine and capecitabine with gemcitabine monotherapy in patients with resected pancreatic cancer (ESPAC-4): A multicentre, open-label, randomised, phase 3 trial. Lancet 2017, 389, 1011–1024. [Google Scholar] [CrossRef]
- Conroy, T.; Hammel, P.; Hebbar, M.; Abdelghani, B.M.; Wie, A.C.; Raoul, J.L.; Chone, L.; Francois, E.; Artru, P.; Biagi, J.J.; et al. FOLFIRINOX or gemcitabine as adjuvant therapy for pancreatic cancer. N. Engl. J. Med. 2018, 379, 2395–2406. [Google Scholar] [CrossRef]
- Sohal, D.P.S.; Kennedy, E.B.; Cinar, P.; Conroy, T.; Copur, M.S.; Crane, C.H.; Garrido-Laguna, I.; Lau, M.W.; Johnson, T.; Krishnamurthi, S.; et al. Metastatic pancreatic cancer: ASCO guideline update. J. Clin. Oncol. 2020. [Google Scholar] [CrossRef]
- Xiang, M.; Heestand, G.M.; Chang, D.T.; Pollom, E.L. Neoadjuvant treatment strategies for resectable pancreas cancer: A propensity-matched analysis of the National Cancer Database. Radiother. Oncol. 2020, 143, 101–107. [Google Scholar] [CrossRef]
- Murphy, J.E.; Wo, J.Y.; Ryan, D.P.; Jiang, W.; Yeap, B.Y.; Drapek, L.C.; Blaszkowsky, L.S.; Kwak, E.L.; Allen, J.N.; Clark, J.W.; et al. Total neoadjuvant therapy with FOLFIRINOX followed by individualized chemoradiotherapy for borderline resectable pancreatic adenocarcinoma: A phase 2 clinical trial. JAMA Oncol. 2018, 4, 963–969. [Google Scholar] [CrossRef] [PubMed]
- Versteijne, E.; Suker, M.; Groothuis, K.; Akkermans-Vogelaar, J.M.; Besselink, M.G.; Bonsing, B.A.; Buijsen, J.; Busch, O.R.; Creemers, G.J.M.; van Dam, R.M.; et al. Preoperative chemoradiotherapy versus immediate surgery for resectable and borderline resectable pancreatic cancer: Results of the Dutch randomized phase III PREOPANC trial. J. Clin. Oncol. 2020, 38, 1763–1773. [Google Scholar] [CrossRef] [PubMed]
- Strobel, O.; Lorenz, P.; Hinz, U.; Gaida, M.; Konig, A.K.; Hank, T.; Niesen, W.; Kaiser, J.; Al-Saeedi, M.; Bergmann, F.; et al. Actual five-year survival after upfront resection for pancreatic ductal adenocarcinoma: Who beats the odds? Ann. Surg. 2020. [Google Scholar] [CrossRef] [PubMed]
- Van Roessel, S.; van Veldhuisen, E.; Klompmaker, S.; Janssen, Q.P.; Hilal, M.A.; Alseidi, A.; Balduzzi, A.; Balzano, G.; Bassi, C.; Berrevoet, F.; et al. Evaluation of adjuvant chemotherapy in patients with resected pancreatic cancer after neoadjuvant FOLFIRINOX treatment. JAMA Oncol. 2020, 6, 1–8. [Google Scholar] [CrossRef] [PubMed]
- Sohal, D.P.S.; Duong, M.; Ahmad, S.A.; Gandhi, N.S.; Beg, M.S.; Wang-Gillam, A.; Wade, J.L.; Chiorean, E.G.; Guthrie, K.A.; Lowy, A.M. Efficacy of perioperative chemotherapy for resectable pancreatic adenocarcinoma: A phase 2 randomized clinical trial. JAMA Oncol. 2021, 7, 421–427. [Google Scholar] [CrossRef]
- Whipple, A.O. Pancreaticoduodenectomy for islet carcinoma: A five-year follow-up. Ann. Surg. 1945, 121, 847–852. [Google Scholar] [CrossRef] [PubMed]
- Weitz, J.; Rahbari, N.; Koch, M.; Büchler, M.W. The “artery first” approach for resection of pancreatic head cancer. J. Am. Coll. Surg. 2010, 210, e1–e4. [Google Scholar] [CrossRef]
- Sanjay, P.; Takaori, K.; Govil, S.; Shrikhande, S.V.; Windsor, J.A. ‘Artery-first’ approaches to pancreatoduodenectomy. Br. J. Surg. 2012, 99, 1027–1035. [Google Scholar] [CrossRef]
- Jiang, X.; Yu, Z.; Ma, Z.; Deng, H.; Ren, W.; Shi, W.; Jiao, Z. Superior mesenteric artery first approach can improve the clinical outcomes of pancreaticoduodenectomy: A meta-analysis. Int. J. Surg. 2020, 73, 14–24. [Google Scholar] [CrossRef]
- Mora-Oliver, I.; Garcés-Albir, M.; Dorcaratto, D.; Muñoz-Forner, E.; Izquierdo Moreno, A.; Carbonell-Aliaga, M.P.; Sabater, L. Pancreatoduodenectomy with artery-first approach. Minerva Chir. 2019, 74, 226–236. [Google Scholar] [CrossRef]
- Hackert, T.; Werner, J.; Weitz, J.; Schmidt, J.; Büchler, M.W. Uncinate process first—a novel approach for pancreatic head resection. Langenbecks Arch. Surg. 2010, 395, 1161–1164. [Google Scholar] [CrossRef]
- Pędziwiatr, M.; Pisarska, M.; Małczak, P.; Major, P.; Wierdak, M.; Radkowiak, D.; Kulawik, J.; Dembiński, M.; Budzyński, A. Laparoscopic uncinate process first pancreatoduodenectomy-feasibility study of a modified ‘artery first’ approach to pancreatic head cancer. Langenbecks Arch. Surg. 2017, 402, 917–923. [Google Scholar] [CrossRef]
- Zhang, Y.; Sun, D.L.; Chen, X.M. The uncinate process first approach in laparoscopic pancreaticoduodenectomy: A single-institution experience. Surg. Laparosc. Endosc. Percutan. Tech. 2017, 27, e141–e144. [Google Scholar] [CrossRef]
- Wang, S.P.; Liu, S.Y.; Zhang, W.; Wang, Y.C.; Ji, B.; Meng, L.Y.; Liu, Y.H. The value of "posterior approach, uncinate process priority, artery first" in laparoscopic pancreatoduodenectomy. Chin. Med. J. 2020, 100, 3328–3331. [Google Scholar]
- Chen, X.M.; Sun, D.L.; Zhang, Y. Laparoscopic versus open pancreaticoduodenectomy combined with uncinated process approach: A comparative study evaluating perioperative outcomes (Retrospective cohort study). Int. J. Surg. 2018, 51, 170–173. [Google Scholar] [CrossRef]
- Hackert, T.; Strobel, O.; Michalski, C.W.; Mihaljevic, A.L.; Mehrabi, A.; Müller-Stich, B.; Berchtold, C.; Ulrich, A.; Buchler, M.W. The TRIANGLE operation–Radical surgery after neoadjuvant treatment for advanced pancreatic cancer: A single arm observational study. HPB 2017, 19, 1001–1007. [Google Scholar] [CrossRef]
- Rosso, E.; Zimmitto, G.; Ianelli, A.; Garatti, M. The ‘TRIANGLE operation’ by laparoscopy: Radical pancreaticoduodenectomy with major vascular resection for borderline resectable pancreatic head cancer. Ann. Surg. Oncol. 2020, 27, 1613–1614. [Google Scholar] [CrossRef] [PubMed]
- Terasaki, F.; Fukami, Y.; Maeda, A.; Takayama, Y.; Takahashi, T.; Uji, M.; Kaneoka, Y. Comparison of end-to-end anastomosis and interposition graft during pancreatoduodenectomy with portal vein reconstruction for pancreatic ductal adenocarcinoma. Langenbecks Arch. Surg. 2019, 404, 191–201. [Google Scholar] [CrossRef] [PubMed]
- Schmidt, T.; Strobel, O.; Schneider, M.; Diener, M.K.; Berchtold, C.; Mihaljevic, A.L.; Mehrabi, A.; Müller-Stich, B.P.; Hackert, T.; Büchler, M.W. Cavernous transformation of the portal vein in pancreatic cancer surgery-venous bypass graft first. Langenbecks Arch. Surg. 2020, 405, 1045–1050. [Google Scholar] [CrossRef]
- Kinny-Köster, B.; van Oosten, F.; Habib, J.R.; Javed, A.A.; Cameron, J.L.; Lafaro, K.J.; Burkhart, R.A.; Burns, W.R.; He, J.; Fishman, E.K.; et al. Mesoportal bypass, interposition graft, and mesocaval shunt: Surgical strategies to overcome superior mesenteric vein involvement in pancreatic cancer. Surgery 2020, 168, 1048–1055. [Google Scholar] [CrossRef]
- Diener, M.K.; Mihaljevic, A.L.; Strobel, O.; Loos, M.; Schmidt, T.; Schneider, M.; Berchtold, C.; Mehrabi, A.; Müller-Stich, B.P.; Jiang, K.; et al. Periarterial divestment in pancreatic cancer surgery. Surgery 2020, in press. [Google Scholar] [CrossRef]
- Cai, B.; Lu, Z.; Neoptolemos, J.P.; Diener, M.K.; Li, M.; Yin, L.; Gao, Y.; Wei, J.; Chen, J.; Guo, F.; et al. Sub-adventitial divestment technique for resecting artery-involved pancreatic cancer: A retrospective cohort study. Langenbecks Arch. Surg. 2021. [Google Scholar] [CrossRef]
- Schneider, M.; Strobel, O.; Hackert, T.; Büchler, M.W. Pancreatic resection for cancer-the Heidelberg technique. Langenbecks Arch. Surg. 2019, 404, 1017–1022. [Google Scholar] [CrossRef] [PubMed]
- Moore, G.E.; Sako, Y.; Thomas, L.B. Radical pancreatoduodenectomy with resection and reanastomosis of the superior mesenteric vein. Surgery 1951, 30, 550–553. [Google Scholar] [PubMed]
- Fortner, J.G. Regional resection of cancer of the pancreas: A new surgical approach. Surgery 1973, 73, 307–320. [Google Scholar] [PubMed]
- Hackert, T.; Schneider, L.; Büchler, M.W. Current state of vascular resections in pancreatic cancer surgery. Gastroenterol. Res. Pract. 2015, 2015, 120207. [Google Scholar] [CrossRef]
- Turrini, O.; Ewald, J.; Barbier, L.; Mokart, D.; Blache, J.L.; Delpero, J.R. Should the portal vein be routinely resected during pancreaticoduodenectomy for adenocarcinoma? Ann. Surg. 2013, 257, 726–730. [Google Scholar] [CrossRef]
- Katz, M.H.; Wang, H.; Fleming, J.B.; Sun, C.C.; Hwang, R.F.; Wolff, R.A.; Varadhachary, G.; Abbruzzese, J.L.; Crane, C.H.; Krishnan, S.; et al. Long-term survival after multidisciplinary management of resected pancreatic adenocarcinoma. Ann. Surg. Oncol. 2009, 16, 836–847. [Google Scholar] [CrossRef] [PubMed]
- Younan, G.; Tsai, S.; Evans, D.B.; Christians, K.K. Techniques of vascular resection and reconstruction in pancreatic cancer. Surg. Clin. N. Am. 2016, 96, 1351–1370. [Google Scholar] [CrossRef]
- Delpero, J.R.; Suvanet, A. Vascular resection for pancreatic cancer: 2019 French recommendations based on a literature review from 2008 to 6–2019. Front. Oncol. 2020, 10, 40. [Google Scholar] [CrossRef]
- Kasumova, G.G.; Conway, W.C.; Tseng, J.F. The role of venous and arterial resection in pancreatic cancer surgery. Ann. Surg. Oncol. 2018, 25, 51–58. [Google Scholar] [CrossRef] [PubMed]
- Wang, X.; Demir, I.E.; Schorn, S.; Jäger, C.; Scheufele, F.; Friess, H.; Ceyhan, G.O. Venous resection during pancreatectomy for pancreatic cancer: A systematic review. Transl. Gastroenterol. Hepatol. 2019, 4, 46. [Google Scholar] [CrossRef]
- Fancellu, A.; Petrucciani, N.; Porcu, A.; Deiana, G.; Sanna, V.; Ninniri, C.; Perra, T.; Celoria, V.; Nigri, G. The impact on survival and morbidity of portal-mesenteric resection during pancreaticoduodenectomy for pancreatic head adenocarcinoma: A systematic review and meta-analysis of comparative studies. Cancers 2020, 12, 1976. [Google Scholar] [CrossRef] [PubMed]
- Belfiori, G.; Fiorentini, G.; Tamburrino, D.; Partelli, S.; Pagnanelli, M.; Gasparini, G.; Castoldi, R.; Balzano, G.; Rubini, C.; Zamboni, G.; et al. Vascular resection during pancreatectomy for pancreatic head cancer: A technical issue or a prognostic sign? Surgery 2021, 169, 403–410. [Google Scholar] [CrossRef] [PubMed]
- Xie, Z.B.; Li, J.; Gu, J.C.; Jin, C.; Zou, C.F.; Fu, D.L. Pancreatoduodenectomy with portal vein resection favors the survival time of patients with pancreatic ductal adenocarcinoma: A propensity score matching analysis. Oncol. Lett. 2019, 18, 4563–4572. [Google Scholar] [CrossRef]
- Murakami, Y.; Satoi, S.; Motoi, F.; Sho, M.; Kawai, M.; Matsumoto, I.; Honda, G.; Multicentre Study Group of Pancreatobiliary Surgery (MSG-PBS). Portal or superior mesenteric vein resection in pancreatoduodenectomy for pancreatic head carcinoma. Br. J. Surg. 2015, 102, 837–846. [Google Scholar] [CrossRef]
- Appleby, L.H. The coeliac axis in the expansion of the operation for gastric carcinoma. Cancer 1953, 6, 704–707. [Google Scholar] [CrossRef]
- Klaiber, U.; Mihaljevic, A.; Hackert, T. Radical pancreatic cancer surgery—with arterial resection. Transl. Gastroenterol. Hepatol. 2019, 4, 8. [Google Scholar] [CrossRef]
- Yamamoto, T.; Satoi, S.; Kawai, M.; Motoi, F.; Sho, M.; Uemura, K.I.; Matsumoto, I.; Honda, G.; Okada, K.I.; Akahori, T.; et al. Is distal pancreatectomy with en-bloc celiac axis resection effective for patients with locally advanced pancreatic ductal adenocarcinoma? -Multicenter surgical group study. Pancreatology 2018, 18, 106–113. [Google Scholar] [CrossRef]
- Klompmaker, S.; de Roii, T.; Korteweg, J.J.; van Dieren, S.; van Lienden, K.P.; van Gulik, T.M.; Busch, O.R.; Besselink, M.G. Systematic review of outcomes after distal pancreatectomy with coeliac axis resection for locally advanced pancreatic cancer. Br. J. Surg. 2016, 103, 941–949. [Google Scholar] [CrossRef]
- Hackert, T.; Weitz, J.; Buchler, M.W. Splenic artery use for arterial reconstruction in pancreatic surgery. Langenbecks Arch. Surg. 2014, 399, 667–671. [Google Scholar] [CrossRef]
- Oba, A.; Bao, Q.R.; Barnett, C.C.; Al-Musawi, M.H.; Croce, C.; Schulick, R.D.; Del Chiaro, M. Vascular resections for pancreatic ductal adenocarcinoma: Vascular resections for PDAC. Scand. J. Surg. 2020, 109, 18–28. [Google Scholar] [CrossRef]
- Nakamura, T.; Hirano, S.; Noji, T.; Asano, T.; Okamura, K.; Tsuchikawa, T.; Murakami, S.; Kurashima, Y.; Ebihara, Y.; Nakanishi, Y. Distal pancreatectomy with en bloc celiac axis resection (modified appleby procedure) for locally advanced pancreatic body cancer: A single-center review of 80 consecutive patients. Ann. Surg. Oncol. 2016, 23, 969–975. [Google Scholar] [CrossRef]
- Małczak, P.; Sierżęga, M.; Stefura, T.; Kacprzyk, A.; Droś, J.; Skomarovska, O.; Krzysztofik, M.; Major, P.; Pędziwiatr, M. Arterial resections in pancreatic cancer–Systematic review and meta-analysis. HPB 2020, 22, 961–968. [Google Scholar] [CrossRef]
- Del Chiaro, M.; Rangelova, E.; Halimi, A.; Ateeb, Z.; Scandavini, C.; Valente, R.; Segersvärd, R.; Arnelo, U.; Verbeke, C.S. Pancreatectomy with arterial resection is superior to palliation in patients with borderline resectable or locally advanced pancreatic cancer. HPB 2019, 21, 219–225. [Google Scholar] [CrossRef] [PubMed]
- Sonohara, F.; Yamada, S.; Takami, H.; Hayashi, M.; Kanda, M.; Tanaka, C.; Kobayashi, D.; Nakayama, G.; Koike, M.; Fujiwara, M.; et al. Novel implications of combined arterial resection for locally advanced pancreatic cancer in the era of newer chemo-regimens. Eur. J. Surg. Oncol. 2019, 45, 1895–1900. [Google Scholar] [CrossRef]
- Tee, M.C.; Krajewski, A.C.; Groeschl, R.T.; Farnell, M.B.; Nagorney, D.M.; Kendrick, M.L.; Cleary, S.P.; Smoot, R.L.; Croome, K.P.; Truty, M.J. Indications and perioperative outcomes for pancreatectomy with arterial resection. J. Am. Coll. Surg. 2018, 227, 255–269. [Google Scholar] [CrossRef] [PubMed]
- Loos, M.; Kester, T.; Klaiber, U.; Mihaljevic, A.L.; Mehrabi, A.; Müller-Stich, B.M.; Diener, M.K.; Schneider, M.A.; Berchtold, C.; Hinz, U.; et al. Arterial resection in pancreatic cancer surgery: Effective after a learning curve. Ann. Surg. 2020. [Google Scholar] [CrossRef]
- Bhayani, N.H.; Enomoto, L.M.; James, B.C.; Ortenzi, G.; Kaifi, J.T.; Kimchi, E.T.; Staveley-O’Carroll, K.F.; Gusani, N.J. Multivisceral and extended resections during pancreatoduodenectomy increase morbidity and mortality. Surgery 2014, 155, 567–574. [Google Scholar] [CrossRef] [PubMed]
- Kulemann, B.; Hoeppner, J.; Wittel, U.; Glatz, T.; Keck, T.; Wellner, U.F.; Bronsert, P.; Sick, O.; Hopt, U.T.; Makowiec, F.; et al. Perioperative and long-term outcome after standard pancreaticoduodenectomy, additional portal vein and multivisceral resection for pancreatic head cancer. J. Gastrointest. Surg. 2015, 19, 438–444. [Google Scholar] [CrossRef]
- Hartwig, W.; Gluth, A.; Hinz, U.; Koliogiannis, D.; Strobel, O.; Hackert, T.; Werner, J.; Büchler, M.W. Outcomes after extended pancreatectomy in patients with borderline resectable and locally advanced pancreatic cancer. Br. J. Surg. 2016, 103, 1683–1694. [Google Scholar] [CrossRef]
- Petrucciani, N.; Debs, T.; Nigri, G.; Giannini, G.; Sborlini, E.; Kassir, R.; Ben Amor, I.; Iannelli, A.; Valabrega, S.; D’Angelo, F.; et al. Pancreatectomy combined with multivisceral resection for pancreatic malignancies: Is it justified? Results of a systematic review. HPB 2018, 20, 3–10. [Google Scholar] [CrossRef]
- Malinka, T.; Klein, F.; Andreou, A.; Pratschke, J.; Bahra, M. Distal pancreatectomy combined with multivisceral resection is associated with postoperative complication rates and survival comparable to those after standard procedures. J. Gastrointest. Surg. 2018, 22, 1549–1556. [Google Scholar] [CrossRef] [PubMed]
- Beetz, O.; Sarisin, A.; Kaltenborn, A.; Klempnauer, J.; Winkler, M.; Grannas, G. Multivisceral resection for adenocarcinoma of the pancreatic body and tail-a retrospective single-center analysis. World J. Surg. Oncol. 2020, 18, 218. [Google Scholar] [CrossRef] [PubMed]
- Ramia, J.M.; Del Río-Martín, J.V.; Blanco-Fernández, G.; Cantalejo-Díaz, M.; Rotellar-Sastre, F.; Sabater-Orti, L.; Carabias-Hernandez, A.; Manuel-Vázquez, A.; Hernández-Rivera, P.J.; Jaén-Torrejimeno, I.; et al. Distal pancreatectomy with multivisceral resection: A retrospective multicenter study–Case series. Int. J. Surg. 2020, 82, 123–129. [Google Scholar] [CrossRef] [PubMed]
- Salky, B.A.; Edye, M. Laparoscopic pancreatectomy. Surg. Clin. N. Am. 1996, 76, 539–545. [Google Scholar] [CrossRef]
- Melvin, W.S.; Needleman, B.J.; Krause, K.R.; Ellison, E.C. Robotic resection of pancreatic neuroendocrine tumor. J. Laparoendosc. Adv. Surg. Tech. 2003, 13, 33–36. [Google Scholar] [CrossRef]
- Asbun, H.J.; Moekotte, A.L.; Vissers, F.L.; Kunzler, F.; Cipriani, F.; Alseidi, A.; D’Angelica, M.I.; Balduzzi, A.; Bassi, C.; Björnsson, B.; et al. The Miami international evidence-based guidelines on minimally invasive pancreas resection. Ann. Surg. 2020, 271, 1–14. [Google Scholar] [CrossRef]
- Liu, R.; Wakabayashi, G.; Palanivelu, C.; Tsung, A.; Yang, K.; Goh, B.K.P.; Chong, C.C.; Kang, C.M.; Peng, C.; Kakiashvili, E.; et al. International consensus statement on robotic pancreatic surgery. Hepatobiliary Surg. Nutr. 2019, 8, 345–360. [Google Scholar] [CrossRef]
- Qin, R.; Kendrick, M.L.; Wolfgang, C.L.; Edil, B.H.; Palanivelu, C.; Parks, R.W.; Yang, Y.; He, J.; Zhang, T.; Mou, Y.; et al. International expert consensus on laparoscopic pancreaticoduodenectomy. Hepatobiliary Surg. Nutr. 2020, 9, 464–483. [Google Scholar] [CrossRef]
- Aiolfi, A.; Lombardo, F.; Bonitta, G.; Danelli, P.; Bona, D. Systematic review and updated network meta-analysis comparing open, laparoscopic, and robotic pancreaticoduodenectomy. Updates Surg. 2020. [Google Scholar] [CrossRef]
- Van Hilst, J.; de Graaf, N.; Hilal, M.A.; Besselink, M.G. The landmark series: Minimally invasive pancreatic resection. Ann. Surg. Oncol. 2021, 28, 1447–1456. [Google Scholar] [CrossRef]
- Korrel, M.; Vissers, F.L.; van Hilst, J.; de Rooij, T.; Dijkgraaf, M.G.; Festen, S.; Groot Koerkamp, B.; Busch, O.R.; Luyer, M.D.; Sandström, P.; et al. Minimally invasive versus open distal pancreatectomy: An individual patient data meta-analysis of two randomized controlled trials. HPB 2020, 23, 323–330. [Google Scholar] [CrossRef] [PubMed]
- van Hilst, J.; de Rooij, T.; Klompmaker, S.; Rawashdeh, M.; Aleotti, F.; Al-Sarireh, B.; Alseidi, A.; Ateeb, Z.; Balzano, G.; Berrevoet, F.; et al. Minimally invasive versus open distal pancreatectomy for ductal adenocarcinoma (DIPLOMA): A pan-european propensity score matched study. Ann. Surg. 2019, 269, 10–17. [Google Scholar] [CrossRef]
- de Rooij, T.; van Hilst, J.; van Santvoort, H.; Boerma, D.; van den Boezem, P.; Daams, F.; van Dam, R.; Dejong, C.; van Duyn, E.; Dijkgraaf, M.; et al. Minimally invasive versus open distal pancreatectomy (LEOPARD): A multicenter patient-blinded randomized controlled trial. Ann. Surg. 2019, 269, 2–9. [Google Scholar] [CrossRef]
- Magistri, P.; Boggi, U.; Esposito, A.; Carrano, F.M.; Pesi, B.; Ballarin, R.; De Pastena, M.; Menonna, F.; Moraldi, L.; Melis, M.; et al. Robotic vs open distal pancreatectomy: A multi-institutional matched comparison analysis. J. Hepatobiliary Pancreat. Sci. 2020. [Google Scholar] [CrossRef]
- Nickel, F.; Haney, C.M.; Kowalewski, K.F.; Probst, P.; Limen, E.F.; Kalkum, E.; Diener, M.K.; Strobel, O.; Müller-Stich, B.P.; Hackert, T. Laparoscopic versus open pancreaticoduodenectomy: A systematic review and meta-analysis of randomized controlled trials. Ann. Surg. 2020, 271, 54–66. [Google Scholar] [CrossRef] [PubMed]
- van Hilst, J.; de Rooij, T.; Bosscha, K.; Brinkman, D.J.; van Dieren, S.; Dijkgraaf, M.G.; Gerhards, M.F.; de Hingh, I.H.; Karsten, T.M.; Lips, D.J.; et al. Laparoscopic versus open pancreatoduodenectomy for pancreatic or periampullary tumours (LEOPARD-2): A multicentre, patient-blinded, randomised controlled phase 2/3 trial. Lancet Gastroenterol. Hepatol. 2019, 4, 199–207. [Google Scholar] [CrossRef]




| Category | Anatomical Feature |
|---|---|
| Resectable: R | SMV/PV: no tumor contact or unilateral narrowing |
| SMA, CA, CHA: no tumor contact | |
| Borderline resectable: BR | Subclassified according to SMV/PV involvement alone or arterial invasion |
| BR-PV (SMV/PV involvement alone) | SMV/PV: tumor contact 180 or greater or bilateral narrowing/occlusion, not exceeding the inferior border of the duodenum. |
| SMA, CA, CHA: no tumor contact/invasion | |
| BR-A (arterial involvement) | SMA, CA: tumor contact of less than 180 without showing deformity/stenosis |
| CHA: tumor contact without showing tumor contact of the PHA and/or CA. | |
| Unresectable: UR | Subclassified according to the status of distant metastasis |
| Locally advanced: LA | SMV/PV: bilateral narrowing/occlusion, exceeding the inferior border of the duodenum |
| SMA, CA: tumor contact/invasion of 180 or more degree #. | |
| CHA: tumor contact/invasion showing tumor contact/invasion of the PHA and/or CA. | |
| AO: tumor contact or invasion. | |
| Metastatic: M | Distant metastasis $. |
Publisher’s Note: MDPI stays neutral with regard to jurisdictional claims in published maps and institutional affiliations. |
© 2021 by the authors. Licensee MDPI, Basel, Switzerland. This article is an open access article distributed under the terms and conditions of the Creative Commons Attribution (CC BY) license (https://creativecommons.org/licenses/by/4.0/).
Share and Cite
Wei, K.; Hackert, T. Surgical Treatment of Pancreatic Ductal Adenocarcinoma. Cancers 2021, 13, 1971. https://doi.org/10.3390/cancers13081971
Wei K, Hackert T. Surgical Treatment of Pancreatic Ductal Adenocarcinoma. Cancers. 2021; 13(8):1971. https://doi.org/10.3390/cancers13081971
Chicago/Turabian StyleWei, Kongyuan, and Thilo Hackert. 2021. "Surgical Treatment of Pancreatic Ductal Adenocarcinoma" Cancers 13, no. 8: 1971. https://doi.org/10.3390/cancers13081971
APA StyleWei, K., & Hackert, T. (2021). Surgical Treatment of Pancreatic Ductal Adenocarcinoma. Cancers, 13(8), 1971. https://doi.org/10.3390/cancers13081971
