Early Clinical Outcomes of Intensity Modulated Radiation Therapy/Intensity Modulated Proton Therapy Combination in Comparison with Intensity Modulated Radiation Therapy Alone in Oropharynx Cancer Patients
Abstract
Simple Summary
Abstract
1. Introduction
2. Results
2.1. Patients’ Characteristics
2.2. Oncologic Outcomes
2.3. Acute Toxicity Profiles
3. Discussion
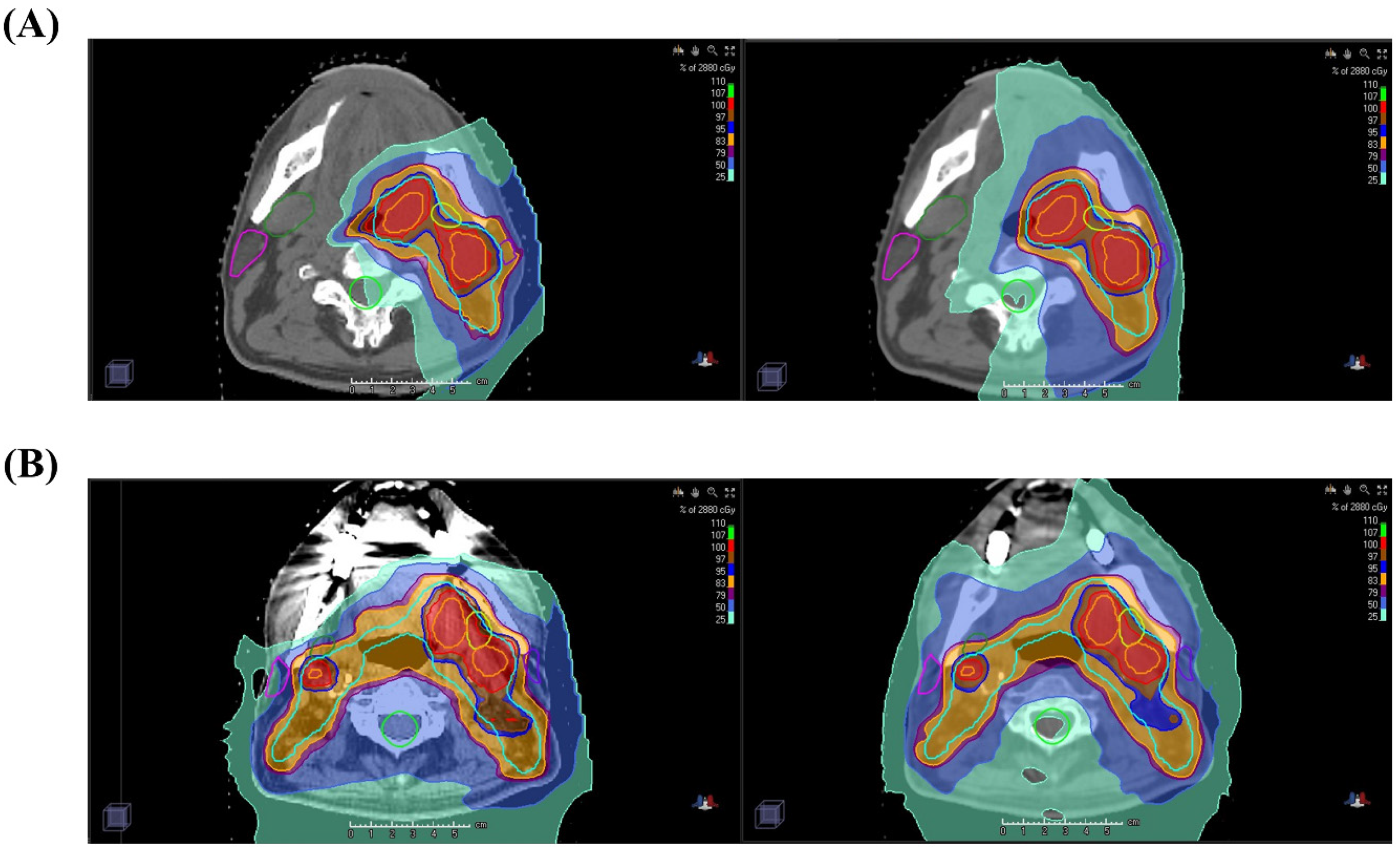
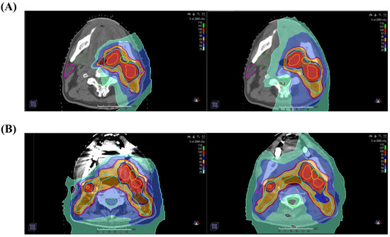
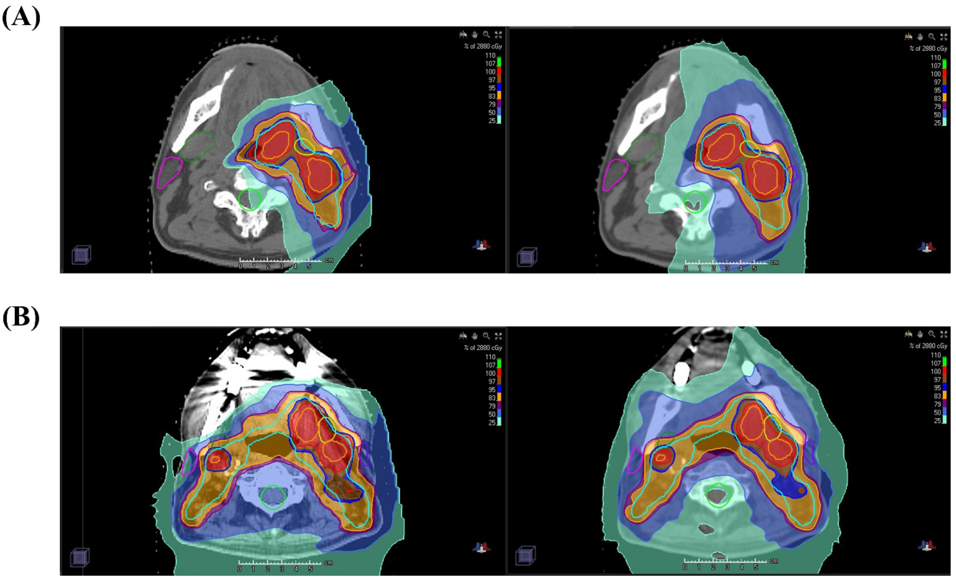
4. Materials and Methods
4.1. Patients
4.2. Treatment Scheme
4.3. Propensity Score Matching
4.4. Assessment of Acute Side Effects and Response and Follow-Up Schedule after Treatment
4.5. Statistical Analysis
5. Conclusions
Supplementary Materials
Author Contributions
Funding
Institutional Review Board Statement
Informed Consent Statement
Data Availability Statement
Conflicts of Interest
References
- Selek, U.; Garden, A.S.; Morrison, W.H.; El-Naggar, A.K.; Rosenthal, D.I.; Ang, K.K. Radiation therapy for early-stage carcinoma of the oropharynx. Int. J. Radiat. Oncol. Biol. Phys. 2004, 59, 743–751. [Google Scholar] [CrossRef] [PubMed]
- Jian, J.; Li, G.; Yu, Z.; Tian, L. Taxane-cisplatin-fluorouracil as induction chemotherapy for advanced head and neck cancer: A Meta-analysis of the efficacy and safety. Lin Chung Er Bi Yan Hou Tou Jing Wai Ke Za Zhi 2016, 30, 282–287. [Google Scholar] [PubMed]
- Blanchard, P.; Baujat, B.; Holostenco, V.; Bourredjem, A.; Baey, C.; Bourhis, J.; Pignon, J.P.; on behalf of the MACH-CH Collaborative group. Meta-analysis of chemotherapy in head and neck cancer (MACH-NC): A comprehensive analysis by tumour site. Radiother. Oncol. 2011, 100, 33–40. [Google Scholar] [CrossRef] [PubMed]
- Nutting, C. Radiotherapy in head and neck cancer management: United Kingdom National Multidisciplinary Guidelines. J. Laryngol. Otol. 2016, 130, S66–S67. [Google Scholar] [CrossRef] [PubMed][Green Version]
- Leeman, J.E.; Li, J.G.; Pei, X.; Venigalla, P.; Zumsteg, Z.S.; Katsoulakis, E.; Lupovitch, E.; McBride, S.M.; Tsai, C.J.; Boyle, J.O.; et al. Patterns of Treatment Failure and Postrecurrence Outcomes Among Patients With Locally Advanced Head and Neck Squamous Cell Carcinoma After Chemoradiotherapy Using Modern Radiation Techniques. JAMA Oncol. 2017, 3, 1487–1494. [Google Scholar] [CrossRef] [PubMed]
- Hammerlid, E.; Silander, E.; Hornestam, L.; Sullivan, M. Health-related quality of life three years after diagnosis of head and neck cancer--a longitudinal study. Head Neck 2001, 23, 113–125. [Google Scholar] [CrossRef]
- Langendijk, J.A.; Doornaert, P.; Verdonck-de Leeuw, I.M.; Leemans, C.R.; Aaronson, N.K.; Slotman, B.J. Impact of late treatment-related toxicity on quality of life among patients with head and neck cancer treated with radiotherapy. J. Clin. Oncol. 2008, 26, 3770–3776. [Google Scholar] [CrossRef]
- List, M.A.; Bilir, S.P. Functional outcomes in head and neck cancer. Semin. Radiat. Oncol. 2004, 14, 178–189. [Google Scholar] [CrossRef]
- Trotti, A.; Bellm, L.A.; Epstein, J.B.; Frame, D.; Fuchs, H.J.; Gwede, C.K.; Komaroff, E.; Nalysnyk, L.; Zilberberg, M.D. Mucositis incidence, severity and associated outcomes in patients with head and neck cancer receiving radiotherapy with or without chemotherapy: A systematic literature review. Radiother. Oncol. 2003, 66, 253–262. [Google Scholar] [CrossRef]
- Mitin, T.; Zietman, A.L. Promise and pitfalls of heavy-particle therapy. J. Clin. Oncol. 2014, 32, 2855–2863. [Google Scholar] [CrossRef]
- Owosho, A.A.; Yom, S.K.; Han, Z.; Sine, K.; Lee, N.Y.; Huryn, J.M.; Estilo, C.L. Comparison of mean radiation dose and dosimetric distribution to tooth-bearing regions of the mandible associated with proton beam radiation therapy and intensity-modulated radiation therapy for ipsilateral head and neck tumor. Oral Surg. Oral Med. Oral Pathol. Oral Radiol. 2016, 122, 566–571. [Google Scholar] [CrossRef] [PubMed]
- van de Water, T.A.; Lomax, A.J.; Bijl, H.P.; de Jong, M.E.; Schilstra, C.; Hug, E.B.; Langendijk, J.A. Potential benefits of scanned intensity-modulated proton therapy versus advanced photon therapy with regard to sparing of the salivary glands in oropharyngeal cancer. Int. J. Radiat Oncol. Biol. Phys. 2011, 79, 1216–1224. [Google Scholar] [CrossRef] [PubMed]
- Holliday, E.B.; Kocak-Uzel, E.; Feng, L.; Thaker, N.G.; Blanchard, P.; Rosenthal, D.I.; Gunn, G.B.; Garden, A.S.; Frank, S.J. Dosimetric advantages of intensity-modulated proton therapy for oropharyngeal cancer compared with intensity-modulated radiation: A case-matched control analysis. Med. Dosim. 2016, 41, 189–194. [Google Scholar] [CrossRef] [PubMed]
- Chung, K.; Han, Y.; Kim, J.; Ahn, S.H.; Ju, S.G.; Jung, S.H.; Chung, Y.; Cho, S.; Jo, K.; Shin, E.H.; et al. The first private-hospital based proton therapy center in Korea; status of the Proton Therapy Center at Samsung Medical Center. Radiat. Oncol. J. 2015, 33, 337–343. [Google Scholar] [CrossRef]
- Murphy, C.T.; Galloway, T.J.; Handorf, E.A.; Egleston, B.L.; Wang, L.S.; Mehra, R.; Flieder, D.B.; Ridge, J.A. Survival Impact of Increasing Time to Treatment Initiation for Patients With Head and Neck Cancer in the United States. J. Clin. Oncol. 2016, 34, 169–178. [Google Scholar] [CrossRef]
- Naghavi, A.O.; Echevarria, M.I.; Strom, T.J.; Abuodeh, Y.A.; Ahmed, K.A.; Venkat, P.S.; Trotti, A.; Harrison, L.B.; Green, B.L.; Yamoah, K.; et al. Treatment delays, race, and outcomes in head and neck cancer. Cancer Epidemiol. 2016, 45, 18–25. [Google Scholar] [CrossRef]
- Xiao, R.; Ward, M.C.; Yang, K.; Adelstein, D.J.; Koyfman, S.A.; Prendes, B.L.; Burkey, B.B. Increased pathologic upstaging with rising time to treatment initiation for head and neck cancer: A mechanism for increased mortality. Cancer 2018, 124, 1400–1414. [Google Scholar] [CrossRef]
- Zhang, L.; Jiang, N.; Shi, Y.; Li, S.; Wang, P.; Zhao, Y. Induction chemotherapy with concurrent chemoradiotherapy versus concurrent chemoradiotherapy for locally advanced squamous cell carcinoma of head and neck: A meta-analysis. Sci. Rep. 2015, 5, 10798. [Google Scholar] [CrossRef]
- Park, S.G.; Ahn, Y.C.; Oh, D.; Noh, J.M.; Ju, S.G.; Kwon, D.; Jo, K.; Chung, K.; Chung, E.; Lee, W.; et al. Early clinical outcomes of helical tomotherapy/intensity-modulated proton therapy combination in nasopharynx cancer. Cancer Sci. 2019, 110, 2867–2874. [Google Scholar] [CrossRef]
- Sonis, S.T. Mucositis: The impact, biology and therapeutic opportunities of oral mucositis. Oral Oncol. 2009, 45, 1015–1020. [Google Scholar] [CrossRef]
- Elting, L.S.; Cooksley, C.D.; Chambers, M.S.; Garden, A.S. Risk, outcomes, and costs of radiation-induced oral mucositis among patients with head-and-neck malignancies. Int. J. Radiat. Oncol. Biol. Phys. 2007, 68, 1110–1120. [Google Scholar] [CrossRef]
- Chitapanarux, I.; Chomprasert, K.; Nobnaop, W.; Wanwilairat, S.; Tharavichitkul, E.; Jakrabhandu, S.; Onchan, W.; Traisathit, P.; Van Gestel, D. A dosimetric comparison of two-phase adaptive intensity-modulated radiotherapy for locally advanced nasopharyngeal cancer. J. Radiat. Res. 2015, 56, 529–538. [Google Scholar] [CrossRef]
- Hansen, E.K.; Bucci, M.K.; Quivey, J.M.; Weinberg, V.; Xia, P. Repeat CT imaging and replanning during the course of IMRT for head-and-neck cancer. Int. J. Radiat. Oncol. Biol. Phys. 2006, 64, 355–362. [Google Scholar] [CrossRef]
- Lee, H.; Ahn, Y.C.; Oh, D.; Nam, H.; Noh, J.M.; Park, S.Y. Tumor Volume Reduction Rate during Adaptive Radiation Therapy as a Prognosticator for Nasopharyngeal Cancer. Cancer Res. Treat. 2016, 48, 537–545. [Google Scholar] [CrossRef]
- Lee, H.; Ahn, Y.C.; Oh, D.; Nam, H.; Kim, Y.I.; Park, S.Y. Tumor volume reduction rate measured during adaptive definitive radiation therapy as a potential prognosticator of locoregional control in patients with oropharyngeal cancer. Head Neck 2014, 36, 499–504. [Google Scholar] [CrossRef]
- Bhide, S.A.; Davies, M.; Burke, K.; McNair, H.A.; Hansen, V.; Barbachano, Y.; El-Hariry, I.A.; Newbold, K.; Harrington, K.J.; Nutting, C.M. Weekly volume and dosimetric changes during chemoradiotherapy with intensity-modulated radiation therapy for head and neck cancer: A prospective observational study. Int. J. Radiat. Oncol. Biol. Phys. 2010, 76, 1360–1368. [Google Scholar] [CrossRef] [PubMed]
- Brown, E.; Owen, R.; Harden, F.; Mengersen, K.; Oestreich, K.; Houghton, W.; Poulsen, M.; Harris, S.; Lin, C.; Porceddu, S. Head and neck adaptive radiotherapy: Predicting the time to replan. Asia-Pac. J. Clin. Oncol. 2016, 12, 460–467. [Google Scholar] [CrossRef] [PubMed]
- Castelli, J.; Simon, A.; Lafond, C.; Perichon, N.; Rigaud, B.; Chajon, E.; De Bari, B.; Ozsahin, M.; Bourhis, J.; de Crevoisier, R. Adaptive radiotherapy for head and neck cancer. Acta Oncol. 2018, 57, 1284–1292. [Google Scholar] [CrossRef]
- Blanchard, P.; Garden, A.S.; Gunn, G.B.; Rosenthal, D.I.; Morrison, W.H.; Hernandez, M.; Crutison, J.; Lee, J.J.; Ye, R.; Fuller, C.D.; et al. Intensity-modulated proton beam therapy (IMPT) versus intensity-modulated photon therapy (IMRT) for patients with oropharynx cancer—A case matched analysis. Radiother. Oncol. 2016, 120, 48–55. [Google Scholar] [CrossRef] [PubMed]
- Sio, T.T.; Lin, H.K.; Shi, Q.; Gunn, G.B.; Cleeland, C.S.; Lee, J.J.; Hernandez, M.; Blanchard, P.; Thaker, N.G.; Phan, J.; et al. Intensity Modulated Proton Therapy Versus Intensity Modulated Photon Radiation Therapy for Oropharyngeal Cancer: First Comparative Results of Patient-Reported Outcomes. Int. J. Radiat. Oncol. Biol. Phys. 2016, 95, 1107–1114. [Google Scholar] [CrossRef] [PubMed]
- Health Insurance Review and Assessment Service. 2020 Guidelines on the Application and Methods of Medical Care Benefit. Available online: https://www.hira.or.kr/sViewer/index.do?ebookSn=577 (accessed on 23 February 2021).
- Edge, S.B.; Byrd, D.R.; Carducci, M.A.; Compton, C.C.; Fritz, A.; Greene, F. AJCC Cancer Staging Manual; Springer: New York, NY, USA, 2010. [Google Scholar]
- Cho, W.K.; Oh, D.; Lee, E.; Kim, T.G.; Lee, H.; Nam, H.; Noh, J.M.; Ahn, Y.C. Feasibility of Selective Neck Irradiation with Lower Elective Radiation Dose in Treating Nasopharynx Cancer Patients. Cancer Res. Treat. 2019, 51, 603–610. [Google Scholar] [CrossRef] [PubMed]
- National Cancer Institute (U.S.). Common Terminology Criteria for Adverse Events (CTCAE); U.S. Dept. of Health and Human Services, National Institutes of Health, National Cancer Institute: Bethesda, MD, USA, 2009; p. 194. [Google Scholar]
- Chung, K.C.; Barlev, A.; Braun, A.H.; Qian, Y.; Zagari, M. Assessing analgesic use in patients with advanced cancer: Development of a new scale—The Analgesic Quantification Algorithm. Pain Med. 2014, 15, 225–232. [Google Scholar] [CrossRef] [PubMed][Green Version]
- Hyun, O.J.; Lodge, M.A.; Wahl, R.L. Practical PERCIST: A Simplified Guide to PET Response Criteria in Solid Tumors 1.0. Radiology 2016, 280, 576–584. [Google Scholar]



| Variables | All Patients (n = 148) | Matched Patients (n = 72) * | ||||
|---|---|---|---|---|---|---|
| IMRT Only | IMRT/IMPT | p-Value | IMRT Only | IMRT/IMPT | p-Value | |
| (n = 81) | (n = 67) | (n = 36) | (n = 36) | |||
| Age | 62.02 ± 8.74 years | 59.90 ± 9.62 years | 0.161 | 58.36 ± 6.91 years | 58.58 ± 6.03 years | 0.885 |
| Gender | 0.225 † | 0.199 † | ||||
| Male | 77 (95.1%) | 60 (89.6%) | 35 (97.2%) | 31 (86.1%) | ||
| Female | 4 (4.9%) | 7 (10.4%) | 1 (2.8%) | 5 (13.9%) | ||
| ECOG PS | 0.866 † | 0.239 † | ||||
| 0 | 4 (4.9%) | 5 (7.5%) | 3 (8.3%) | - | ||
| 1 | 76 (93.8%) | 61 (91.0%) | 33 (91.7%) | 36 (100.0%) | ||
| 2 | 1 (1.2%) | 1 (1.5%) | - | - | ||
| Current smoking | 0.433 | 0.405 | ||||
| Yes | 24 (29.6%) | 16 (23.9%) | 29 (80.6%) | 26 (72.2%) | ||
| No | 57 (70.4%) | 51 (76.1%) | 7 (19.4%) | 10 (27.8%) | ||
| HPV status | 0.889 | 1 | ||||
| Positive | 67 (82.7%) | 56 (83.6%) | 33 (91.7%) | 32 (88.9%) | ||
| Negative | 14 (17.3%) | 11 (16.4%) | 3 (8.3%) | 4 (10.5%) | ||
| Clinical T stage | 0.025 | 0.742 † | ||||
| T1 | 15 (18.5%) | 18 (26.9%) | 9 (25.0%) | 10 (27.8%) | ||
| T2 | 36 (44.4%) | 39 (58.2%) | 16 (44.4%) | 19 (52.8%) | ||
| T3 | 18 (22.2%) | 7 (10.4%) | 7 (19.4%) | 5 (13.9%) | ||
| T4 | 12 (14.8%) | 3 (4.5%) | 4 (11.1%) | 2 (5.6%) | ||
| Clinical N stage | 0.327 † | 1.000 † | ||||
| N0 | 5 (6.2%) | 8 (11.9%) | - | - | ||
| N1 | 10 (12.3%) | 10 (14.9%) | 5 (13.9%) | 4 (11.1%) | ||
| N2 | 61 (75.3%) | 48 (71.6%) | 30 (83.3%) | 31 (86.1%) | ||
| N3 | 5 (6.2%) | 1 (1.5%) | 1 (2.8%) | 1 (2.8%) | ||
| Staging (AJCC 7th) | 0.519 † | 1.000 † | ||||
| I | - | 1 (1.5%) | - | - | ||
| II | 4 (4.9%) | 6 (9.0%) | - | - | ||
| III | 11 (13.6%) | 10 (14.9%) | 5 (13.9%) | 4 (11.1%) | ||
| IV | 66 (81.5%) | 50 (74.6%) | 31 (86.1%) | 32 (88.9%) | ||
| Subsite | 0.067 † | 0.772 | ||||
| Tonsil | 55 (67.9%) | 53 (79.1%) | 29 (80.6%) | 28 (77.8%) | ||
| Base of tongue | 23 (28.4%) | 9 (13.4%) | 7 (19.4%) | 8 (22.2%) | ||
| Others | 3 (3.7%) | 5 (7.5%) | - | - | ||
| Neck irradiation | <0.001 | 0.599 | ||||
| Unilateral | 15 (18.5%) | 35 (52.2%) | 9 (25.0%) | 11 (30.6%) | ||
| Bilateral | 66 (81.5%) | 32 (47.8%) | 27 (75.0%) | 25 (69.4%) | ||
| Concurrent chemotherapy | 0.673 † | 1 | ||||
| Cisplatin | 69 (85.2%) | 58 (86.6%) | 36 (100.0%) | 36 (100.0%) | ||
| Cetuximab | 5 (6.2%) | 7 (10.4%) | - | - | ||
| No chemotherapy | 7 (8.6%) | 2 (3.0%) | - | - | ||
| Toxicity | All Patients (n = 148) | Matched Patients (n = 72) | ||||
|---|---|---|---|---|---|---|
| IMRT Only (n = 81) | IMRT/IMPT (n = 67) | p-Value | IMRT Only (n = 36) | IMRT/IMPT (n = 36) | p-Value | |
| Dermatitis | 0.969 † | 0.235 † | ||||
| Grade 0 | 23 (28.4%) | 21 (31.3%) | 7 (18.4%) | 14 (36.8%) | ||
| Grade 1 | 35 (43.2%) | 29 (43.3%) | 19 (50.0%) | 17 (44.7%) | ||
| Grade 2 | 20 (24.7%) | 15 (22.4%) | 11 (28.9%) | 6 (15.8%) | ||
| Grade 3 | 3 (3.7%) | 2 (3.0%) | 1 (2.6%) | 1 (2.6%) | ||
| Mucositis | 0.009 † | 0.012 † | ||||
| Grade 0 | - | - | - | - | ||
| Grade 1 | 8 (9.9%) | 12 (17.9%) | 2 (5.6%) | 3 (8.3%) | ||
| Grade 2 | 43 (53.1%) | 46 (68.7%) | 19 (52.8%) | 28 (77.8%) | ||
| Grade 3 | 26 (32.1%) | 8 (11.9%) | 15 (41.7%) | 4 (11.1%) | ||
| Grade 4 | 4 (4.9%) | 1 (1.5%) | - | 1 (2.8%) | ||
| Weight loss | 0.245 | 0.071 | ||||
| Grade 0 | 12 (14.8%) | 17 (25.4%) | 7 (19.4%) | 6 (16.7%) | ||
| Grade 1 | 25 (30.9%) | 23 (34.3%) | 6 (16.7%) | 16 (44.4%) | ||
| Grade 2 | 28 (34.6%) | 15 (22.4%) | 13 (36.1%) | 9 (25.0%) | ||
| Grade 3 | 16 (19.8%) | 12 (17.9%) | 10 (27.8%) | 5 (13.9%) | ||
| AQA grade | 0.042 † | 0.085 † | ||||
| Grade 0 | 4 (4.9%) | 8 (11.9%) | 2 (5.6%) | 2 (5.6%) | ||
| Grade 1 | 42 (51.9%) | 44 (65.7%) | 14 (38.9%) | 24 (66.7%) | ||
| Grade 2 | 5 (6.2%) | 2 (3.0%) | 2 (5.6%) | 1 (2.8%) | ||
| Grade 3 or higher | 30 (37.0%) | 13 (19.4%) | 18 (50.0%) | 9 (25.0%) | ||
| Variables * | All Patients (n = 148) | Matched Patients (n = 72) | ||||||
|---|---|---|---|---|---|---|---|---|
| Univariate Analysis | Multivariate Analysis | Univariate Analysis | Multivariate Analysis | |||||
| OR (95% CI) | p-Value | OR (95% CI) | p-Value | OR (95% CI) | p-Value | OR (95% CI) | p-Value | |
| Grade ≥ 3 Mucositis | ||||||||
| Age | 1.030 (0.989–1.072) | 0.159 | Not included | - | 1.084 (0.988–1.188) | 0.088 | 1.090 (0.987–1.204) | 0.088 |
| Clinical T stage | ||||||||
| T1-2 | Ref | - | Ref | - | Ref | - | Ref | - |
| T3-4 | 3.552 (1.631–7.737) | 0.001 | 2.328 (0.980–5.530) | 0.056 | 3.909 (1.254–12.183) | 0.019 | 3.289 (0.870–12.426) | 0.079 |
| Neck irradiation | ||||||||
| Unilateral | Ref | - | Ref | - | Ref | - | Ref | - |
| Bilateral | 3.723 (1.439–9.630) | 0.007 | 1.846 (0.629–5.417) | 0.264 | 2.752 (0.708–10.695) | 0.144 | 1.445 (0.304–6.874) | 0.643 |
| RT modality | ||||||||
| IMRT/IMPT combination | Ref | - | Ref | - | Ref | - | Ref | - |
| IMRT only | 3.791 (1.646–8.733) | 0.002 | 2.725 (1.123–6.615) | 0.027 | 4.429 (1.397–14.039) | 0.011 | 4.657 (1.353–16.033) | 0.015 |
| Analgesic Quantification Algorithm Score ≥ 3 | ||||||||
| Clinical T stage | ||||||||
| T1-2 | Ref | - | Not included | - | Ref | - | Ref | - |
| T3-4 | 1.801 (0.841–3.853) | 0.13 | Not included | - | 3.732 (1.266–11.631) | 0.02 | 3.051 (0.896–10.389) | 0.074 |
| Neck irradiation | ||||||||
| Unilateral | Ref | - | Ref | - | Ref | - | Ref | - |
| Bilateral | 2.420 (1.052–5.566) | 0.038 | 1.892 (0.784–4.567) | 0.156 | 2.200 (0.695–6.962) | 0.18 | 1.432 (0.401–5.117) | 0.581 |
| RT modality | ||||||||
| IMRT/IMPT combination | Ref | - | Ref | - | Ref | - | Ref | - |
| IMRT only | 2.443 (1.148–5.199) | 0.02 | 2.014 (0.907–4.469) | 0.085 | 3.000 (1.106–8.138) | 0.031 | 2.792 (0.993–7.855) | 0.052 |
Publisher’s Note: MDPI stays neutral with regard to jurisdictional claims in published maps and institutional affiliations. |
© 2021 by the authors. Licensee MDPI, Basel, Switzerland. This article is an open access article distributed under the terms and conditions of the Creative Commons Attribution (CC BY) license (http://creativecommons.org/licenses/by/4.0/).
Share and Cite
Yoon, H.G.; Ahn, Y.C.; Oh, D.; Noh, J.M.; Park, S.G.; Nam, H.; Ju, S.G.; Kwon, D.; Park, S. Early Clinical Outcomes of Intensity Modulated Radiation Therapy/Intensity Modulated Proton Therapy Combination in Comparison with Intensity Modulated Radiation Therapy Alone in Oropharynx Cancer Patients. Cancers 2021, 13, 1549. https://doi.org/10.3390/cancers13071549
Yoon HG, Ahn YC, Oh D, Noh JM, Park SG, Nam H, Ju SG, Kwon D, Park S. Early Clinical Outcomes of Intensity Modulated Radiation Therapy/Intensity Modulated Proton Therapy Combination in Comparison with Intensity Modulated Radiation Therapy Alone in Oropharynx Cancer Patients. Cancers. 2021; 13(7):1549. https://doi.org/10.3390/cancers13071549
Chicago/Turabian StyleYoon, Han Gyul, Yong Chan Ahn, Dongryul Oh, Jae Myoung Noh, Seung Gyu Park, Heerim Nam, Sang Gyu Ju, Dongyeol Kwon, and Seyjoon Park. 2021. "Early Clinical Outcomes of Intensity Modulated Radiation Therapy/Intensity Modulated Proton Therapy Combination in Comparison with Intensity Modulated Radiation Therapy Alone in Oropharynx Cancer Patients" Cancers 13, no. 7: 1549. https://doi.org/10.3390/cancers13071549
APA StyleYoon, H. G., Ahn, Y. C., Oh, D., Noh, J. M., Park, S. G., Nam, H., Ju, S. G., Kwon, D., & Park, S. (2021). Early Clinical Outcomes of Intensity Modulated Radiation Therapy/Intensity Modulated Proton Therapy Combination in Comparison with Intensity Modulated Radiation Therapy Alone in Oropharynx Cancer Patients. Cancers, 13(7), 1549. https://doi.org/10.3390/cancers13071549

