Locoregional Treatments for Bridging and Downstaging HCC to Liver Transplantation
Abstract
:Simple Summary
Abstract
1. Introduction
2. Bridging
3. Downstaging
4. Treatments for Bridging and Downstaging
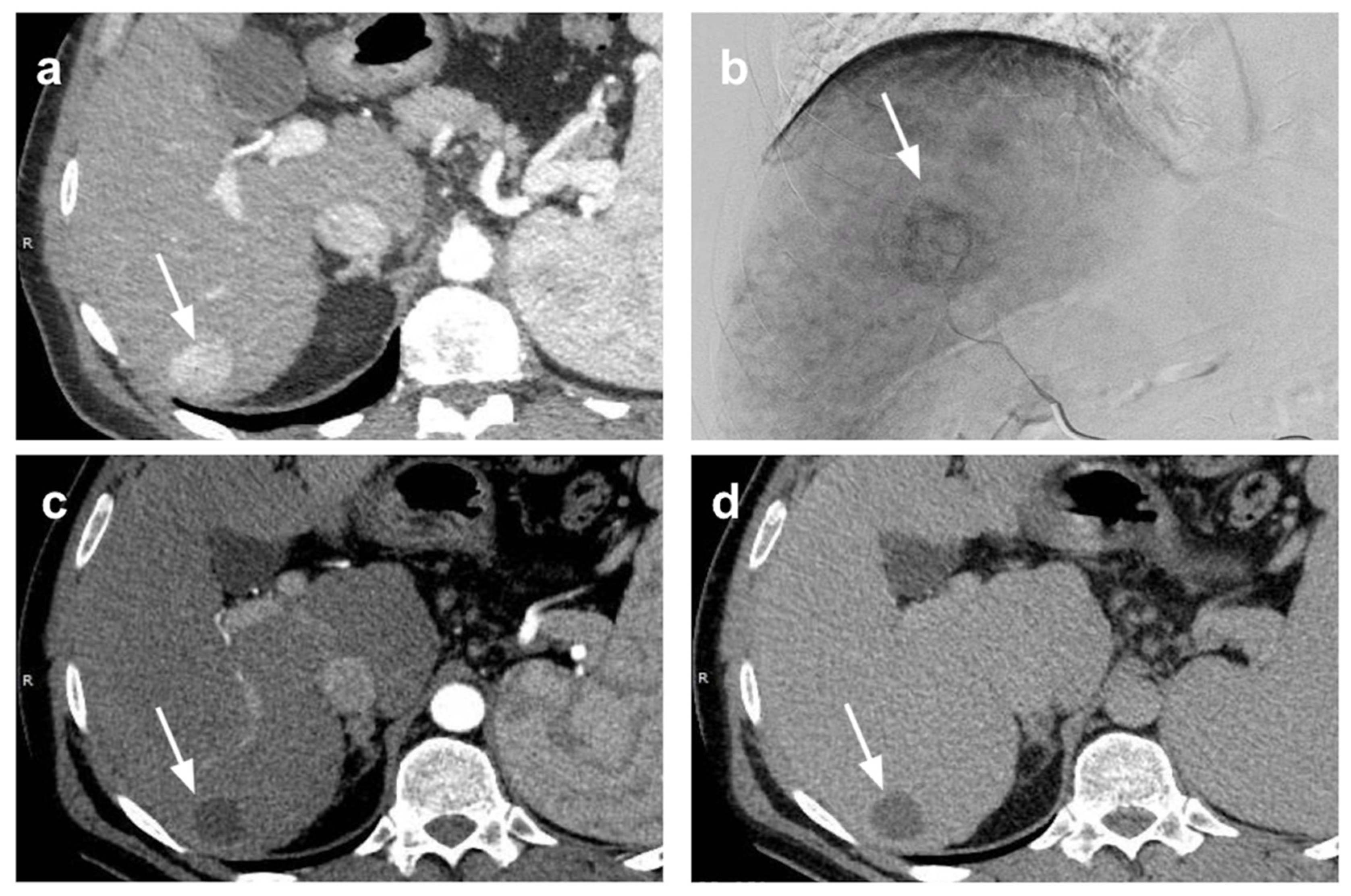
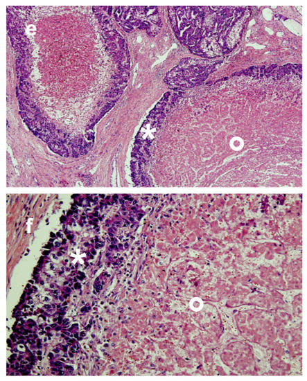
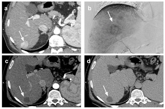
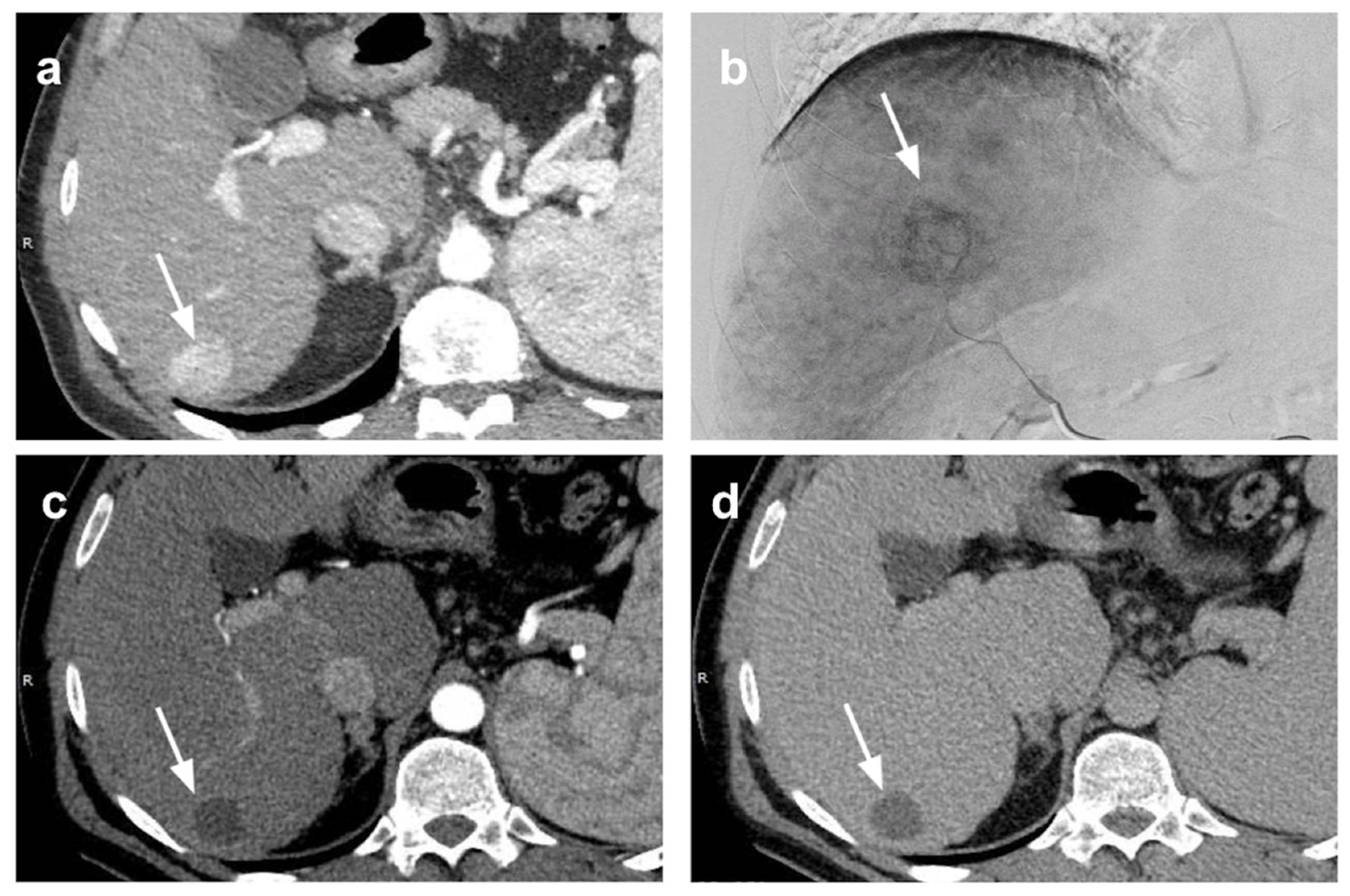
4.1. Thermal Ablation
4.2. Transarterial Chemoembolization
4.3. Combined Treatments
4.4. Transarterial Radioembolization
4.5. Radiotherapeutic Approaches
5. Future Prospects
6. Conclusions
Author Contributions
Funding
Conflicts of Interest
References
- Mazzaferro, V.; Regalia, E.; Doci, R.; Andreola, S.; Pulvirenti, A.; Bozzetti, F.; Montalto, F.; Ammatuna, M.; Morabito, A.; Gennari, L. Liver Transplantation for the Treatment of Small Hepatocellular Carcinomas in Patients with Cirrhosis. N. Engl. J. Med. 1996, 334, 693–700. [Google Scholar] [CrossRef]
- Wald, C.; Russo, M.W.; Heimbach, J.K.; Hussain, H.K.; Pomfret, E.A.; Bruix, J. New OPTN/UNOS Policy for Liver Transplant Allocation: Standardization of Liver Imaging, Diagnosis, Classification, and Reporting of Hepatocellular Carcinoma. Radiology 2013, 266, 376–382. [Google Scholar] [CrossRef] [Green Version]
- Mazzaferro, V.; Bhoori, S.; Sposito, C.; Bongini, M.; Langer, M.; Miceli, R.; Mariani, L. Milan Criteria in Liver Transplantation for Hepatocellular Carcinoma: An Evidence-Based Analysis of 15 Years of Experience: Milan Criteria for HCC: An Evidence-Based Analysis. Liver Transpl. 2011, 17, S44–S57. [Google Scholar] [CrossRef] [PubMed]
- Yao, F. Liver Transplantation for Hepatocellular Carcinoma: Expansion of the Tumor Size Limits Does Not Adversely Impact Survival. Hepatology 2001, 33, 1394–1403. [Google Scholar] [CrossRef]
- Mazzaferro, V.; Llovet, J.M.; Miceli, R.; Bhoori, S.; Schiavo, M.; Mariani, L.; Camerini, T.; Roayaie, S.; Schwartz, M.E.; Grazi, G.L.; et al. Predicting Survival after Liver Transplantation in Patients with Hepatocellular Carcinoma beyond the Milan Criteria: A Retrospective, Exploratory Analysis. Lancet Oncol. 2009, 10, 35–43. [Google Scholar] [CrossRef]
- Duvoux, C.; Roudot–Thoraval, F.; Decaens, T.; Pessione, F.; Badran, H.; Piardi, T.; Francoz, C.; Compagnon, P.; Vanlemmens, C.; Dumortier, J.; et al. Liver Transplantation for Hepatocellular Carcinoma: A Model Including α-Fetoprotein Improves the Performance of Milan Criteria. Gastroenterology 2012, 143, 986–994.e3. [Google Scholar] [CrossRef]
- Mazzaferro, V.; Sposito, C.; Zhou, J.; Pinna, A.D.; De Carlis, L.; Fan, J.; Cescon, M.; Di Sandro, S.; Yi-Feng, H.; Lauterio, A.; et al. Metroticket 2.0 Model for Analysis of Competing Risks of Death After Liver Transplantation for Hepatocellular Carcinoma. Gastroenterology 2018, 154, 128–139. [Google Scholar] [CrossRef] [PubMed] [Green Version]
- Galle, P.R.; Forner, A.; Llovet, J.M.; Mazzaferro, V.; Piscaglia, F.; Raoul, J.-L.; Schirmacher, P.; Vilgrain, V. EASL Clinical Practice Guidelines: Management of Hepatocellular Carcinoma. J. Hepatol. 2018, 69, 182–236. [Google Scholar] [CrossRef] [PubMed] [Green Version]
- Mazzaferro, V. Squaring the Circle of Selection and Allocation in Liver Transplantation for HCC: An Adaptive Approach. Hepatology 2016, 63, 1707–1717. [Google Scholar] [CrossRef] [Green Version]
- Di Sandro, S.; Bagnardi, V.; Cucchetti, A.; Lauterio, A.; De Carlis, R.; Benuzzi, L.; Danieli, M.; Botta, F.; Centonze, L.; Najjar, M.; et al. From a Philosophical Framework to a Valid Prognostic Staging System of the New "Comprehensive Assessment" for Transplantable Hepatocellular Carcinoma. Cancers 2019, 11, 741. [Google Scholar] [CrossRef] [Green Version]
- Wiesner, R.H.; Freeman, R.B.; Mulligan, D.C. Liver Transplantation for Hepatocellular Cancer: The Impact of the MELD Allocation Policy. Gastroenterology 2004, 127, S261–S267. [Google Scholar] [CrossRef] [PubMed]
- Mehta, N.; Dodge, J.L.; Goel, A.; Roberts, J.P.; Hirose, R.; Yao, F.Y. Identification of Liver Transplant Candidates with Hepatocellular Carcinoma and a Very Low Dropout Risk: Implications for the Current Organ Allocation Policy: HCC and Wait-List Dropout. Liver Transpl. 2013, 19, 1343–1353. [Google Scholar] [CrossRef] [PubMed]
- Tsochatzis, E.; Garcovich, M.; Marelli, L.; Papastergiou, V.; Fatourou, E.; Rodriguez-Peralvarez, M.L.; Germani, G.; Davies, N.; Yu, D.; Luong, T.V.; et al. Transarterial Embolization as Neo-Adjuvant Therapy Pretransplantation in Patients with Hepatocellular Carcinoma. Liver Int. 2013, 33, 944–949. [Google Scholar] [CrossRef]
- Bharat, A.; Brown, D.B.; Crippin, J.S.; Gould, J.E.; Lowell, J.A.; Shenoy, S.; Desai, N.M.; Chapman, W.C. Pre-Liver Transplantation Locoregional Adjuvant Therapy for Hepatocellular Carcinoma as a Strategy to Improve Longterm Survival. J. Am. Coll. Surg. 2006, 203, 411–420. [Google Scholar] [CrossRef]
- Kim, J.M.; Kwon, C.H.D.; Joh, J.-W.; Choi, M.S.; Lee, J.H.; Koh, K.C.; Paik, S.W.; Kim, G.S.; Kim, S.J.; Lee, S.-K.; et al. Effectiveness of Locoregional Therapy Before Living Donor Liver Transplantation in Patients With Hepatocellular Carcinoma Who Meet the Milan Criteria. Transplant. Proc. 2012, 44, 403–408. [Google Scholar] [CrossRef] [PubMed]
- Oligane, H.C.; Xing, M.; Kim, H.S. Effect of Bridging Local-Regional Therapy on Recurrence of Hepatocellular Carcinoma and Survival after Orthotopic Liver Transplantation. Radiology 2017, 282, 869–879. [Google Scholar] [CrossRef] [Green Version]
- Ravaioli, M.; Grazi, G.L.; Ercolani, G.; Fiorentino, M.; Cescon, M.; Golfieri, R.; Trevisani, F.; Grigioni, W.F.; Bolondi, L.; Pinna, A.D. Partial Necrosis on Hepatocellular Carcinoma Nodules Facilitates Tumor Recurrence after Liver Transplantation. Transplantation 2004, 78, 1780–1786. [Google Scholar] [CrossRef] [PubMed]
- Agopian, V.G.; Morshedi, M.M.; McWilliams, J.; Harlander-Locke, M.P.; Markovic, D.; Zarrinpar, A.; Kaldas, F.M.; Farmer, D.G.; Yersiz, H.; Hiatt, J.R.; et al. Complete Pathologic Response to Pretransplant Locoregional Therapy for Hepatocellular Carcinoma Defines Cancer Cure After Liver Transplantation: Analysis of 501 Consecutively Treated Patients. Ann. Surg. 2015, 262, 536–545. [Google Scholar] [CrossRef] [PubMed]
- Otto, G.; Herber, S.; Heise, M.; Lohse, A.W.; Mönch, C.; Bittinger, F.; Hoppe-Lotichius, M.; Schuchmann, M.; Victor, A.; Pitton, M. Response to Transarterial Chemoembolization as a Biological Selection Criterion for Liver Transplantation in Hepatocellular Carcinoma. Liver Transpl. 2006, 12, 1260–1267. [Google Scholar] [CrossRef] [PubMed]
- DiNorcia, J.; Florman, S.S.; Haydel, B.; Tabrizian, P.; Ruiz, R.M.; Klintmalm, G.B.; Senguttuvan, S.; Lee, D.D.; Taner, C.B.; Verna, E.C.; et al. Pathologic Response to Pretransplant Locoregional Therapy Is Predictive of Patient Outcome After Liver Transplantation for Hepatocellular Carcinoma: Analysis From the US Multicenter HCC Transplant Consortium. Ann. Surg. 2020, 271, 616–624. [Google Scholar] [CrossRef]
- Manzia, T.M.; Lai, Q.; Iesari, S.; Perera, M.T.P.R.; Komuta, M.; Carvalheiro, A.; Shah, T.; Angelico, R.; Quaranta, C.; Nicolini, D.; et al. Impact of Remnant Vital Tissue after Locoregional Treatment and Liver Transplant in Hepatocellular Cancer Patients, a Multicentre Cohort Study. Transpl. Int. 2018, 31, 988–998. [Google Scholar] [CrossRef] [PubMed] [Green Version]
- Lai, Q.; Vitale, A.; Iesari, S.; Finkenstedt, A.; Mennini, G.; Spoletini, G.; Hoppe-Lotichius, M.; Vennarecci, G.; Manzia, T.M.; Nicolini, D.; et al. Intention-to-Treat Survival Benefit of Liver Transplantation in Patients with Hepatocellular Cancer: Hepatology, Vol. XX, No. X, 2017. Hepatology 2017, 66, 1910–1919. [Google Scholar] [CrossRef] [Green Version]
- Pommergaard, H.-C.; Rostved, A.A.; Adam, R.; Thygesen, L.C.; Salizzoni, M.; Gómez Bravo, M.A.; Cherqui, D.; De Simone, P.; Boudjema, K.; Mazzaferro, V.; et al. Locoregional Treatments before Liver Transplantation for Hepatocellular Carcinoma: A Study from the European Liver Transplant Registry. Transpl. Int. 2018, 31, 531–539. [Google Scholar] [CrossRef] [PubMed] [Green Version]
- Yao, F.Y.; Mehta, N.; Flemming, J.; Dodge, J.; Hameed, B.; Fix, O.; Hirose, R.; Fidelman, N.; Kerlan, R.K.; Roberts, J.P. Downstaging of Hepatocellular Cancer before Liver Transplant: Long-Term Outcome Compared to Tumors within Milan Criteria: HEPATOLOGY, Vol. XX, No. X, 2015. Hepatology 2015, 61, 1968–1977. [Google Scholar] [CrossRef] [PubMed] [Green Version]
- Yao, F.Y.; Kerlan, R.K.; Hirose, R.; Davern, T.J.; Bass, N.M.; Feng, S.; Peters, M.; Terrault, N.; Freise, C.E.; Ascher, N.L.; et al. Excellent Outcome Following Down-Staging of Hepatocellular Carcinoma Prior to Liver Transplantation: An Intention-to-Treat Analysis. Hepatology 2008, 48, 819–827. [Google Scholar] [CrossRef] [Green Version]
- Ravaioli, M.; Grazi, G.L.; Piscaglia, F.; Trevisani, F.; Cescon, M.; Ercolani, G.; Vivarelli, M.; Golfieri, R.; D’Errico Grigioni, A.; Panzini, I.; et al. Liver Transplantation for Hepatocellular Carcinoma: Results of Down-Staging in Patients Initially Outside the Milan Selection Criteria. Am. J. Transplant. 2008, 8, 2547–2557. [Google Scholar] [CrossRef]
- Lewandowski, R.J.; Kulik, L.M.; Riaz, A.; Senthilnathan, S.; Mulcahy, M.F.; Ryu, R.K.; Ibrahim, S.M.; Sato, K.T.; Baker, T.; Miller, F.H.; et al. A Comparative Analysis of Transarterial Downstaging for Hepatocellular Carcinoma: Chemoembolization Versus Radioembolization. Am. J. Transplant. 2009, 9, 1920–1928. [Google Scholar] [CrossRef]
- Green, T.J.; Rochon, P.J.; Chang, S.; Ray, C.E.; Winston, H.; Ruef, R.; Kreidler, S.M.; Glueck, D.H.; Shulman, B.C.; Brown, A.C.; et al. Downstaging Disease in Patients with Hepatocellular Carcinoma Outside of Milan Criteria: Strategies Using Drug-Eluting Bead Chemoembolization. J. Vasc. Interv. Radiol. 2013, 24, 1613–1622. [Google Scholar] [CrossRef] [PubMed]
- Yao, F.Y.; Breitenstein, S.; Broelsch, C.E.; Dufour, J.-F.; Sherman, M. Does a Patient Qualify for Liver Transplantation after the Down-Staging of Hepatocellular Carcinoma? Liver Transpl. 2011, 17, S109–S116. [Google Scholar] [CrossRef]
- Chapman, W.C.; Garcia-Aroz, S.; Vachharajani, N.; Fowler, K.; Saad, N.; Lin, Y.; Wellen, J.; Tan, B.; Khan, A.S.; Doyle, M.B.M. Liver Transplantation for Advanced Hepatocellular Carcinoma after Downstaging Without Up-Front Stage Restrictions. J. Am. Coll. Surg. 2017, 224, 610–621. [Google Scholar] [CrossRef]
- Fontana, R.J.; Hamidullah, H.; Nghiem, H.; Greenson, J.K.; Hussain, H.; Marrero, J.; Rudich, S.; McClure, L.A.; Arenas, J. Percutaneous radiofrequency thermal ablation of hepatocellular carcinoma: A safe and effective bridge to liver transplantation. Liver Transplant. 2002, 8, 1165–1174. [Google Scholar] [CrossRef] [Green Version]
- Lu, D.S.K.; Yu, N.C.; Raman, S.S.; Lassman, C.; Tong, M.J.; Britten, C.; Durazo, F.; Saab, S.; Han, S.; Finn, R.; et al. Percutaneous Radiofrequency Ablation of Hepatocellular Carcinoma as a Bridge to Liver Transplantation. Hepatology 2005, 41, 1130–1137. [Google Scholar] [CrossRef] [PubMed]
- Mazzaferro, V.; Battiston, C.; Perrone, S.; Pulvirenti, A.; Regalia, E.; Romito, R.; Sarli, D.; Schiavo, M.; Garbagnati, F.; Marchianò, A.; et al. Radiofrequency Ablation of Small Hepatocellular Carcinoma in Cirrhotic Patients Awaiting Liver Transplantation: A Prospective Study. Ann. Surg. 2004, 240, 900–909. [Google Scholar] [CrossRef]
- Pompili, M.; Mirante, V.G.; Rondinara, G.; Fassati, L.R.; Piscaglia, F.; Agnes, S.; Covino, M.; Ravaioli, M.; Fagiuoli, S.; Gasbarrini, G.; et al. Percutaneous Ablation Procedures in Cirrhotic Patients with Hepatocellular Carcinoma Submitted to Liver Transplantation: Assessment of Efficacy at Explant Analysis and of Safety for Tumor Recurrence. Liver Transpl. 2005, 11, 1117–1126. [Google Scholar] [CrossRef]
- Rodríguez-Sanjuán, J.C.; González, F.; Juanco, C.; Herrera, L.A.; López-Bautista, M.; González-Noriega, M.; García-Somacarrera, E.; Figols, J.; Gómez-Fleitas, M.; Silván, M. Radiological and Pathological Assessment of Hepatocellular Carcinoma Response to Radiofrequency. A Study on Removed Liver after Transplantation. World J. Surg. 2008, 32, 1489–1494. [Google Scholar] [CrossRef] [PubMed]
- Lee, M.W.; Raman, S.S.; Asvadi, N.H.; Siripongsakun, S.; Hicks, R.M.; Chen, J.; Worakitsitisatorn, A.; McWilliams, J.; Tong, M.J.; Finn, R.S.; et al. Radiofrequency Ablation of Hepatocellular Carcinoma as Bridge Therapy to Liver Transplantation: A 10-Year Intention-to-Treat Analysis. Hepatology 2017, 65, 1979–1990. [Google Scholar] [CrossRef]
- Serra, C.; Cucchetti, A.; Felicani, C.; Mosconi, C.; De Cinque, A.; Golfieri, R.; Andreone, P.; Ercolani, G.; Maroni, L.; Ravaioli, M.; et al. Assessment of Radiofrequency Ablation Efficacy for Hepatocellular Carcinoma by Histology and Pretransplant Radiology. Liver Transpl. 2019, 25, 88–97. [Google Scholar] [CrossRef]
- Doyle, A.; Gorgen, A.; Muaddi, H.; Aravinthan, A.D.; Issachar, A.; Mironov, O.; Zhang, W.; Kachura, J.; Beecroft, R.; Cleary, S.P.; et al. Outcomes of Radiofrequency Ablation as First-Line Therapy for Hepatocellular Carcinoma Less than 3 Cm in Potentially Transplantable Patients. J. Hepatol. 2019, 70, 866–873. [Google Scholar] [CrossRef] [PubMed]
- Crocetti, L.; de Baére, T.; Pereira, P.L.; Tarantino, F.P. CIRSE Standards of Practice on Thermal Ablation of Liver Tumours. Cardiovasc. Intervent. Radiol. 2020, 43, 951–962. [Google Scholar] [CrossRef]
- Zanus, G.; Boetto, R.; Gringeri, E.; Vitale, A.; D’Amico, F.; Carraro, A.; Bassi, D.; Bonsignore, P.; Noaro, G.; Mescoli, C.; et al. Microwave Thermal Ablation for Hepatocarcinoma: Six Liver Transplantation Cases. Transplant. Proc. 2011, 43, 1091–1094. [Google Scholar] [CrossRef]
- Som, A.; Reid, N.J.; DiCapua, J.; Cochran, R.L.; An, T.; Uppot, R.; Zurkiya, O.; Wehrenberg-Klee, E.; Kalva, S.; Arellano, R.S. Microwave Ablation as Bridging Therapy for Patients with Hepatocellular Carcinoma Awaiting Liver Transplant: A Single Center Experience. Cardiovasc. Intervent. Radiol. 2021, 44, 1749–1754. [Google Scholar] [CrossRef] [PubMed]
- Rubinstein, M.M.; Kaubisch, A.; Kinkhabwala, M.; Reinus, J.; Liu, Q.; Chuy, J.W. Bridging Therapy Effectiveness in the Treatment of Hepatocellular Carcinoma Prior to Orthotopic Liver Transplantation. J. Gastrointest. Oncol. 2017, 8, 1051–1055. [Google Scholar] [CrossRef] [PubMed] [Green Version]
- Beal, E.W.; Dittmar, K.M.; Hanje, A.J.; Michaels, A.J.; Conteh, L.; Davidson, G.; Black, S.M.; Bloomston, P.M.; Dillhoff, M.E.; Schmidt, C.R. Pretransplant Locoregional Therapy for Hepatocellular Carcinoma: Evaluation of Explant Pathology and Overall Survival. Front. Oncol. 2016, 6, 143. [Google Scholar] [CrossRef] [PubMed] [Green Version]
- Marin, H.L.; Furth, E.E.; Olthoff, K.; Shaked, A.; Soulen, M.C. Histopathologic Outcome of Neoadjuvant Image-Guided Therapy of Hepatocellular Carcinoma. J. Gastrointestin Liver Dis. 2009, 18, 169–176. [Google Scholar] [PubMed]
- Crocetti, L.; Scalise, P.; Bozzi, E.; Campani, D.; Rossi, P.; Cervelli, R.; Bargellini, I.; Ghinolfi, D.; De Simone, P.; Cioni, R. Microwave Ablation of Very-Early- and Early-Stage HCC: Efficacy Evaluation by Correlation with Histology after Liver Transplantation. Cancers 2021, 13, 3420. [Google Scholar] [CrossRef] [PubMed]
- European Association for the Study of the Liver. European Organisation for Research and Treatment of Cancer EASL–EORTC Clinical Practice Guidelines: Management of Hepatocellular Carcinoma. J. Hepatol. 2012, 56, 908–943. [Google Scholar] [CrossRef] [Green Version]
- Cescon, M.; Cucchetti, A.; Ravaioli, M.; Pinna, A.D. Hepatocellular Carcinoma Locoregional Therapies for Patients in the Waiting List. Impact on Transplantability and Recurrence Rate. J. Hepatol. 2013, 58, 609–618. [Google Scholar] [CrossRef] [Green Version]
- Young, S.; Craig, P.; Golzarian, J. Current Trends in the Treatment of Hepatocellular Carcinoma with Transarterial Embolization: A Cross-Sectional Survey of Techniques. Eur Radiol 2019, 29, 3287–3295. [Google Scholar] [CrossRef] [PubMed]
- Facciorusso, A.; Di Maso, M.; Muscatiello, N. Drug-Eluting Beads versus Conventional Chemoembolization for the Treatment of Unresectable Hepatocellular Carcinoma: A Meta-Analysis. Dig. Liver Dis. 2016, 48, 571–577. [Google Scholar] [CrossRef]
- Millonig, G.; Graziadei, I.W.; Freund, M.C.; Jaschke, W.; Stadlmann, S.; Ladurner, R.; Margreiter, R.; Vogel, W. Response to Preoperative Chemoembolization Correlates with Outcome after Liver Transplantation in Patients with Hepatocellular Carcinoma. Liver Transpl. 2007, 13, 272–279. [Google Scholar] [CrossRef] [PubMed]
- Alba, E.; Valls, C.; Dominguez, J.; Martinez, L.; Escalante, E.; Lladó, L.; Serrano, T. Transcatheter Arterial Chemoembolization in Patients with Hepatocellular Carcinoma on the Waiting List for Orthotopic Liver Transplantation. Am. J. Roentgenol. 2008, 190, 1341–1348. [Google Scholar] [CrossRef] [PubMed]
- Werner, J.D.; Frangakis, C.; Ruck, J.M.; Hong, K.; Philosophe, B.; Cameron, A.M.; Saberi, B.; Gurakar, A.; Georgiades, C. Neoadjuvant Transarterial Chemoembolization Improves Survival After Liver Transplant in Patients With Hepatocellular Carcinoma. Exp. Clin. Transpl. 2019, 17, 638–643. [Google Scholar] [CrossRef]
- Sandow, T.; Pavlus, J.; Field, D.; Lacayo, E.; Cohen, E.; Lynskey, G.; Caridi, T.; Buckley, D.; Cardella, J.; Kallakury, B.; et al. Bridging Hepatocellular Carcinoma to Transplant: Transarterial Chemoembolization Response, Tumor Biology, and Recurrence after Transplantation in a 12-Year Transplant Cohort. J. Vasc. Interv. Radiol. 2019, 30, 995–1003. [Google Scholar] [CrossRef]
- Affonso, B.B.; Galastri, F.L.; da Motta Leal Filho, J.M.; Nasser, F.; Falsarella, P.M.; Cavalcante, R.N.; de Almeida, M.D.; Felga, G.E.G.; Valle, L.G.M.; Wolosker, N. Long-Term Outcomes of Hepatocellular Carcinoma That Underwent Chemoembolization for Bridging or Downstaging. WJG 2019, 25, 5687–5701. [Google Scholar] [CrossRef] [PubMed]
- Bargellini, I.; Lorenzoni, V.; Lorenzoni, G.; Scalise, P.; Andreozzi, G.; Bozzi, E.; Giorgi, L.; Cervelli, R.; Scandiffio, R.; Perrone, O.; et al. Duration of Response after DEB-TACE Compared to Lipiodol-TACE in HCC-Naïve Patients: A Propensity Score Matching Analysis. Eur. Radiol. 2021, 31, 7512–7522. [Google Scholar] [CrossRef] [PubMed]
- Shim, J.H.; Park, J.-W.; Kim, J.H.; An, M.; Kong, S.-Y.; Nam, B.-H.; Choi, J.-I.; Kim, H.B.; Lee, W.J.; Kim, C.-M. Association between Increment of Serum VEGF Level and Prognosis after Transcatheter Arterial Chemoembolization in Hepatocellular Carcinoma Patients. Cancer Sci. 2008, 99, 2037–2044. [Google Scholar] [CrossRef]
- Schicho, A.; Hellerbrand, C.; Krüger, K.; Beyer, L.P.; Wohlgemuth, W.; Niessen, C.; Hohenstein, E.; Stroszczynski, C.; Pereira, P.L.; Wiggermann, P. Impact of Different Embolic Agents for Transarterial Chemoembolization (TACE) Procedures on Systemic Vascular Endothelial Growth Factor (VEGF) Levels. J. Clin. Transl. Hepatol. 2016, 4, 288–292. [Google Scholar] [CrossRef] [PubMed] [Green Version]
- Kohla, M.A.S.; Abu Zeid, M.I.; Al-Warraky, M.; Taha, H.; Gish, R.G. Predictors of Hepatic Decompensation after TACE for Hepatocellular Carcinoma. BMJ Open Gastroenterol. 2015, 2, e000032. [Google Scholar] [CrossRef]
- Raoul, J.L.; Forner, A.; Bolondi, L.; Cheung, T.T.; Kloeckner, R.; de Baere, T. Updated Use of TACE for Hepatocellular Carcinoma Treatment: How and When to Use It Based on Clinical Evidence. Cancer Treat. Rev. 2019, 72, 28–36. [Google Scholar] [CrossRef]
- Raoul, J.L.; Sangro, B.; Forner, A.; Mazzaferro, V.; Piscaglia, F.; Bolondi, L.; Lencioni, R. Evolving Strategies for the Management of Intermediate-Stage Hepatocellular Carcinoma: Available Evidence and Expert Opinion on the Use of Transarterial Chemoembolization. Cancer Treat. Rev. 2011, 37, 212–220. [Google Scholar] [CrossRef]
- Sneiders, D.; Houwen, T.; Pengel, L.H.M.; Polak, W.G.; Dor, F.J.M.F.; Hartog, H. Systematic Review and Meta-Analysis of Posttransplant Hepatic Artery and Biliary Complications in Patients Treated With Transarterial Chemoembolization Before Liver Transplantation. Transplantation 2018, 102, 88–96. [Google Scholar] [CrossRef]
- Wallace, D.; Cowling, T.E.; Walker, K.; Suddle, A.; Gimson, A.; Rowe, I.; Callaghan, C.; Sapisochin, G.; Mehta, N.; Heaton, N.; et al. Liver Transplantation Outcomes after Transarterial Chemotherapy for Hepatocellular Carcinoma. Br. J. Surg. 2020, 107, 1183–1191. [Google Scholar] [CrossRef] [PubMed]
- Kallini, J.R.; Gabr, A.; Ali, R.; Abouchaleh, N.; Riaz, A.; Baker, T.; Kulik, L.; Caicedo, J.; Salem, R.; Lewandowski, R.J. Pretransplant Intra-Arterial Liver-Directed Therapy Does Not Increase the Risk of Hepatic Arterial Complications in Liver Transplantation: A Single-Center 10-Year Experience. Cardiovasc. Intervent. Radiol. 2018, 41, 231–238. [Google Scholar] [CrossRef]
- Peng, Z.-W.; Chen, M.-S. Transcatheter Arterial Chemoembolization Combined with Radiofrequency Ablation for the Treatment of Hepatocellular Carcinoma. Oncology 2013, 84, 40–43. [Google Scholar] [CrossRef] [PubMed]
- Shibata, T.; Isoda, H.; Hirokawa, Y.; Arizono, S.; Shimada, K.; Togashi, K. Small Hepatocellular Carcinoma: Is Radiofrequency Ablation Combined with Transcatheter Arterial Chemoembolization More Effective than Radiofrequency Ablation Alone for Treatment? Radiology 2009, 252, 905–913. [Google Scholar] [CrossRef] [PubMed]
- Morimoto, M.; Numata, K.; Kondou, M.; Nozaki, A.; Morita, S.; Tanaka, K. Midterm Outcomes in Patients with Intermediate-Sized Hepatocellular Carcinoma: A Randomized Controlled Trial for Determining the Efficacy of Radiofrequency Ablation Combined with Transcatheter Arterial Chemoembolization. Cancer 2010, 116, 5452–5460. [Google Scholar] [CrossRef] [PubMed]
- Jiang, C.; Cheng, G.; Liao, M.; Huang, J. Individual or Combined Transcatheter Arterial Chemoembolization and Radiofrequency Ablation for Hepatocellular Carcinoma: A Time-to-Event Meta-Analysis. World J. Surg. Onc. 2021, 19, 81. [Google Scholar] [CrossRef]
- Wang, X.; Hu, Y.; Ren, M.; Lu, X.; Lu, G.; He, S. Efficacy and Safety of Radiofrequency Ablation Combined with Transcatheter Arterial Chemoembolization for Hepatocellular Carcinomas Compared with Radiofrequency Ablation Alone: A Time-to-Event Meta-Analysis. Korean J. Radiol. 2016, 17, 93. [Google Scholar] [CrossRef] [PubMed] [Green Version]
- Iezzi, R.; Pompili, M.; La Torre, M.F.; Campanale, M.C.; Montagna, M.; Saviano, A.; Cesario, V.; Siciliano, M.; Annicchiarico, E.; Agnes, S.; et al. Radiofrequency Ablation plus Drug-Eluting Beads Transcatheter Arterial Chemoembolization for the Treatment of Single Large Hepatocellular Carcinoma. Dig. Liver Dis. 2015, 47, 242–248. [Google Scholar] [CrossRef]
- Vasnani, R.; Ginsburg, M.; Ahmed, O.; Doshi, T.; Hart, J.; Te, H.; Van Ha, T.G. Radiofrequency and Microwave Ablation in Combination with Transarterial Chemoembolization Induce Equivalent Histopathologic Coagulation Necrosis in Hepatocellular Carcinoma Patients Bridged to Liver Transplantation. Hepatobiliary Surg. Nutr. 2016, 5, 225–233. [Google Scholar] [CrossRef] [Green Version]
- Salem, R.; Gilbertsen, M.; Butt, Z.; Memon, K.; Vouche, M.; Hickey, R.; Baker, T.; Abecassis, M.M.; Atassi, R.; Riaz, A.; et al. Increased Quality of Life Among Hepatocellular Carcinoma Patients Treated With Radioembolization, Compared With Chemoembolization. Clin. Gastroenterol. Hepatol. 2013, 11, 1358–1365.e1. [Google Scholar] [CrossRef] [PubMed]
- Salem, R.; Lewandowski, R.J.; Mulcahy, M.F.; Riaz, A.; Ryu, R.K.; Ibrahim, S.; Atassi, B.; Baker, T.; Gates, V.; Miller, F.H.; et al. Radioembolization for Hepatocellular Carcinoma Using Yttrium-90 Microspheres: A Comprehensive Report of Long-Term Outcomes. Gastroenterology 2010, 138, 52–64. [Google Scholar] [CrossRef] [PubMed]
- Salem, R.; Gordon, A.C.; Mouli, S.; Hickey, R.; Kallini, J.; Gabr, A.; Mulcahy, M.F.; Baker, T.; Abecassis, M.; Miller, F.H.; et al. Y90 Radioembolization Significantly Prolongs Time to Progression Compared With Chemoembolization in Patients With Hepatocellular Carcinoma. Gastroenterology 2016, 151, 1155–1163.e2. [Google Scholar] [CrossRef] [Green Version]
- Gabr, A.; Kulik, L.; Mouli, S.; Riaz, A.; Ali, R.; Desai, K.; Mora, R.A.; Ganger, D.; Maddur, H.; Flamm, S.; et al. Liver Transplantation Following Yttrium-90 Radioembolization: 15-Year Experience in 207-Patient Cohort. Hepatology 2021, 73, 998–1010. [Google Scholar] [CrossRef]
- Zori, A.G.; Ismael, M.N.; Limaye, A.R.; Firpi, R.; Morelli, G.; Soldevila-Pico, C.; Suman, A.; Vogel, J.D.; Lazarowicz, M.; Geller, B.S.; et al. Locoregional Therapy Protocols With and Without Radioembolization for Hepatocellular Carcinoma as Bridge to Liver Transplantation. Am. J. Clin. Oncol. 2020, 43, 325–333. [Google Scholar] [CrossRef] [PubMed]
- Rodríguez-Perálvarez, M.; Luong, T.V.; Andreana, L.; Meyer, T.; Dhillon, A.P.; Burroughs, A.K. A Systematic Review of Microvascular Invasion in Hepatocellular Carcinoma: Diagnostic and Prognostic Variability. Ann. Surg. Oncol. 2013, 20, 325–339. [Google Scholar] [CrossRef] [PubMed]
- Sangro, B.; Iñarrairaegui, M.; Bilbao, J.I. Radioembolization for Hepatocellular Carcinoma. J. Hepatol. 2012, 56, 464–473. [Google Scholar] [CrossRef]
- Ettorre, G.M.; Levi Sandri, G.B.; Laurenzi, A.; Colasanti, M.; Meniconi, R.L.; Lionetti, R.; Santoro, R.; Lepiane, P.; Sciuto, R.; Pizzi, G.; et al. Yttrium-90 Radioembolization for Hepatocellular Carcinoma Prior to Liver Transplantation. World J. Surg. 2017, 41, 241–249. [Google Scholar] [CrossRef]
- Mehta, N.; Frenette, C.; Tabrizian, P.; Hoteit, M.; Guy, J.; Parikh, N.; Ghaziani, T.T.; Dhanasekaran, R.; Dodge, J.L.; Natarajan, B.; et al. Downstaging Outcomes for Hepatocellular Carcinoma: Results From the Multicenter Evaluation of Reduction in Tumor Size before Liver Transplantation (MERITS-LT) Consortium. Gastroenterology 2021, 161, 1502–1512. [Google Scholar] [CrossRef]
- Ibrahim, S.M.; Kulik, L.; Baker, T.; Ryu, R.K.; Mulcahy, M.F.; Abecassis, M.; Salem, R.; Lewandowski, R.J. Treating and Downstaging Hepatocellular Carcinoma in the Caudate Lobe with Yttrium-90 Radioembolization. Cardiovasc. Intervent. Radiol. 2012, 35, 1094–1101. [Google Scholar] [CrossRef]
- Kulik, L.M.; Atassi, B.; van Holsbeeck, L.; Souman, T.; Lewandowski, R.J.; Mulcahy, M.F.; Hunter, R.D.; Nemcek, A.A.; Abecassis, M.M.; Haines, K.G.; et al. Yttrium-90 Microspheres (TheraSphere®) Treatment of Unresectable Hepatocellular Carcinoma: Downstaging to Resection, RFA and Bridge to Transplantation. J. Surg. Oncol. 2006, 94, 572–586. [Google Scholar] [CrossRef]
- Radosa, C.G.; Radosa, J.C.; Grosche-Schlee, S.; Zöphel, K.; Plodeck, V.; Kühn, J.P.; Kotzerke, J.; Hoffmann, R.-T. Holmium-166 Radioembolization in Hepatocellular Carcinoma: Feasibility and Safety of a New Treatment Option in Clinical Practice. Cardiovasc. Intervent. Radiol. 2019, 42, 405–412. [Google Scholar] [CrossRef]
- van Roekel, C.; Smits, M.L.J.; Prince, J.F.; Bruijnen, R.C.G.; van den Bosch, M.A.A.J.; Lam, M.G.E.H. Quality of Life in Patients with Liver Tumors Treated with Holmium-166 Radioembolization. Clin. Exp. Metastasis 2020, 37, 95–105. [Google Scholar] [CrossRef] [Green Version]
- Bastiaannet, R.; van Roekel, C.; Smits, M.L.J.; Elias, S.G.; van Amsterdam, W.A.C.; Doan, D.; Prince, J.F.; Bruijnen, R.C.G.; de Jong, H.W.A.M.; Lam, M.G.E.H. First Evidence for a Dose–Response Relationship in Patients Treated with 166 Ho Radioembolization: A Prospective Study. J. Nucl. Med. 2020, 61, 608–612. [Google Scholar] [CrossRef]
- Vogel, A.; Cervantes, A.; Chau, I.; Daniele, B.; Llovet, J.M.; Meye, T.; Nault, J.C.; Neumann, U.; Ricke, J.; Sangro, B.; et al. Hepatocellular Carcinoma: ESMO Clinical Practice Guidelines for Diagnosis, Treatment and Follow-up. Ann. Oncol. 2018, 29, iv238–iv255. [Google Scholar] [CrossRef]
- Walter, F.; Fuchs, F.; Gerum, S.; Rottler, M.C.; Erdelkamp, R.; Neumann, J.; Nierer, L.; Guba, M.; De Toni, E.N.; Seidensticker, M.; et al. HDR Brachytherapy and SBRT as Bridging Therapy to Liver Transplantation in HCC Patients: A Single-Center Experience. Front. Oncol. 2021, 26, 717792. [Google Scholar] [CrossRef]
- Sapisochin, G.; Barry, A.; Doherty, M.; Fischer, S.; Goldaracena, N.; Rosales, R.; Russo, M.; Beecroft, R.; Ghanekar, A.; Bhat, M.; et al. Stereotactic Body Radiotherapy Vs. TACE or RFA as a Bridge to Transplant in Patients with Hepatocellular Carcinoma. An Intention-To-Treat Analysis. J. Hepatol. 2017, 67, 92–99. [Google Scholar] [CrossRef] [PubMed]
- Wong, T.C.; Lee, V.H.; Law, A.L.; Pang, H.H.; Lam, K.O.; Lau, V.; Cui, T.Y.; Fong, A.S.; Lee, S.W.; Wong, E.C.; et al. Prospective Study of Stereotactic Body Radiation Therapy for Hepatocellular Carcinoma on Waitlist for Liver Transplant. Hepatology 2021, 74, 2580–2594. [Google Scholar] [CrossRef] [PubMed]
- Bauer, U.; Gerum, S.; Roeder, F.; Münch, S.; Combs, S.E.; Philipp, A.B.; De Toni, E.N.; Kirstein, M.M.; Vogel, A.; Mogler, C.; et al. High Rate of Complete Histopathological Response in Hepatocellular Carcinoma Patients after Combined Transarterial Chemoembolization and Stereotactic Body Radiation Therapy. World J. Gastroenterol. 2021, 27, 3630–3642. [Google Scholar] [CrossRef] [PubMed]
- Choi, H.J.; Kim, D.G.; Na, G.H.; Hong, T.H.; Bae, S.H.; You, Y.K.; Choi, J.Y.; Yoon, S.K. The Clinical Outcomes of Patients with Portal Vein Tumor Thrombi after Living Donor Liver Transplantation: Choi et Al. Liver Transpl. 2017, 23, 1023–1031. [Google Scholar] [CrossRef] [Green Version]
- Lee, K.-W.; Suh, S.-W.; Choi, Y.; Jeong, J.; Yi, N.-J.; Kim, H.; Yoon, K.C.; Hong, S.K.; Kim, H.-S.; Lee, K.-B.; et al. Macrovascular Invasion Is Not an Absolute Contraindication for Living Donor Liver Transplantation. Liver Transpl. 2017, 23, 19–27. [Google Scholar] [CrossRef]
- Ma, K.W.; Chan, A.C.Y.; Chok, K.S.H.; She, W.H.; Cheung, T.T.; Dai, W.C.; Fung, J.Y.Y.; Lo, C.M. Liver Transplantation: Would It Be the Best and Last Chance of Cure for Hepatocellular Carcinoma with Major Venous Invasion? Hepatobiliary Surg. Nutr. 2021, 10, 308–314. [Google Scholar] [CrossRef] [PubMed]
- Levi Sandri, G.B.; Ettorre, G.M.; Colasanti, M.; De Werra, E.; Mascianà, G.; Ferraro, D.; Tortorelli, G.; Sciuto, R.; Lucatelli, P.; Pizzi, G.; et al. Hepatocellular Carcinoma with Macrovascular Invasion Treated with Yttrium-90 Radioembolization Prior to Transplantation. Hepatobiliary Surg. Nutr. 2017, 6, 44–48. [Google Scholar] [CrossRef] [PubMed] [Green Version]
- Assalino, M.; Terraz, S.; Grat, M.; Lai, Q.; Vachharajani, N.; Gringeri, E.; Bongini, M.A.; Kulik, L.; Tabrizian, P.; Agopian, V.; et al. Liver Transplantation for Hepatocellular Carcinoma after Successful Treatment of Macrovascular Invasion–A Multi-center Retrospective Cohort Study. Transpl. Int. 2020, 33, 567–575. [Google Scholar] [CrossRef] [PubMed]
- Ghinolfi, D.; Dondossola, D.; Rreka, E.; Lonati, C.; Pezzati, D.; Cacciatoinsilla, A.; Kersik, A.; Lazzeri, C.; Zanella, A.; Peris, A.; et al. Sequential Use of Normothermic Regional and Ex Situ Machine Perfusion in Donation After Circulatory Death Liver Transplant. Liver Transpl. 2021, 27, 385–402. [Google Scholar] [CrossRef]




Publisher’s Note: MDPI stays neutral with regard to jurisdictional claims in published maps and institutional affiliations. |
© 2021 by the authors. Licensee MDPI, Basel, Switzerland. This article is an open access article distributed under the terms and conditions of the Creative Commons Attribution (CC BY) license (https://creativecommons.org/licenses/by/4.0/).
Share and Cite
Crocetti, L.; Bozzi, E.; Scalise, P.; Bargellini, I.; Lorenzoni, G.; Ghinolfi, D.; Campani, D.; Balzano, E.; De Simone, P.; Cioni, R. Locoregional Treatments for Bridging and Downstaging HCC to Liver Transplantation. Cancers 2021, 13, 5558. https://doi.org/10.3390/cancers13215558
Crocetti L, Bozzi E, Scalise P, Bargellini I, Lorenzoni G, Ghinolfi D, Campani D, Balzano E, De Simone P, Cioni R. Locoregional Treatments for Bridging and Downstaging HCC to Liver Transplantation. Cancers. 2021; 13(21):5558. https://doi.org/10.3390/cancers13215558
Chicago/Turabian StyleCrocetti, Laura, Elena Bozzi, Paola Scalise, Irene Bargellini, Giulia Lorenzoni, Davide Ghinolfi, Daniela Campani, Emanuele Balzano, Paolo De Simone, and Roberto Cioni. 2021. "Locoregional Treatments for Bridging and Downstaging HCC to Liver Transplantation" Cancers 13, no. 21: 5558. https://doi.org/10.3390/cancers13215558
APA StyleCrocetti, L., Bozzi, E., Scalise, P., Bargellini, I., Lorenzoni, G., Ghinolfi, D., Campani, D., Balzano, E., De Simone, P., & Cioni, R. (2021). Locoregional Treatments for Bridging and Downstaging HCC to Liver Transplantation. Cancers, 13(21), 5558. https://doi.org/10.3390/cancers13215558

