Therapeutic Efficacy of ABN401, a Highly Potent and Selective MET Inhibitor, Based on Diagnostic Biomarker Test in MET-Addicted Cancer
Abstract
1. Introduction
2. Results
2.1. Binding Modes of ABN401 Determined by Molecular Docking Simulation
2.2. ABN401 Is a Highly Selective ATP-Competitive c-MET Inhibitor
2.3. ABN401 Has Cytotoxic Activity against MET-Addicted Cancer Cells
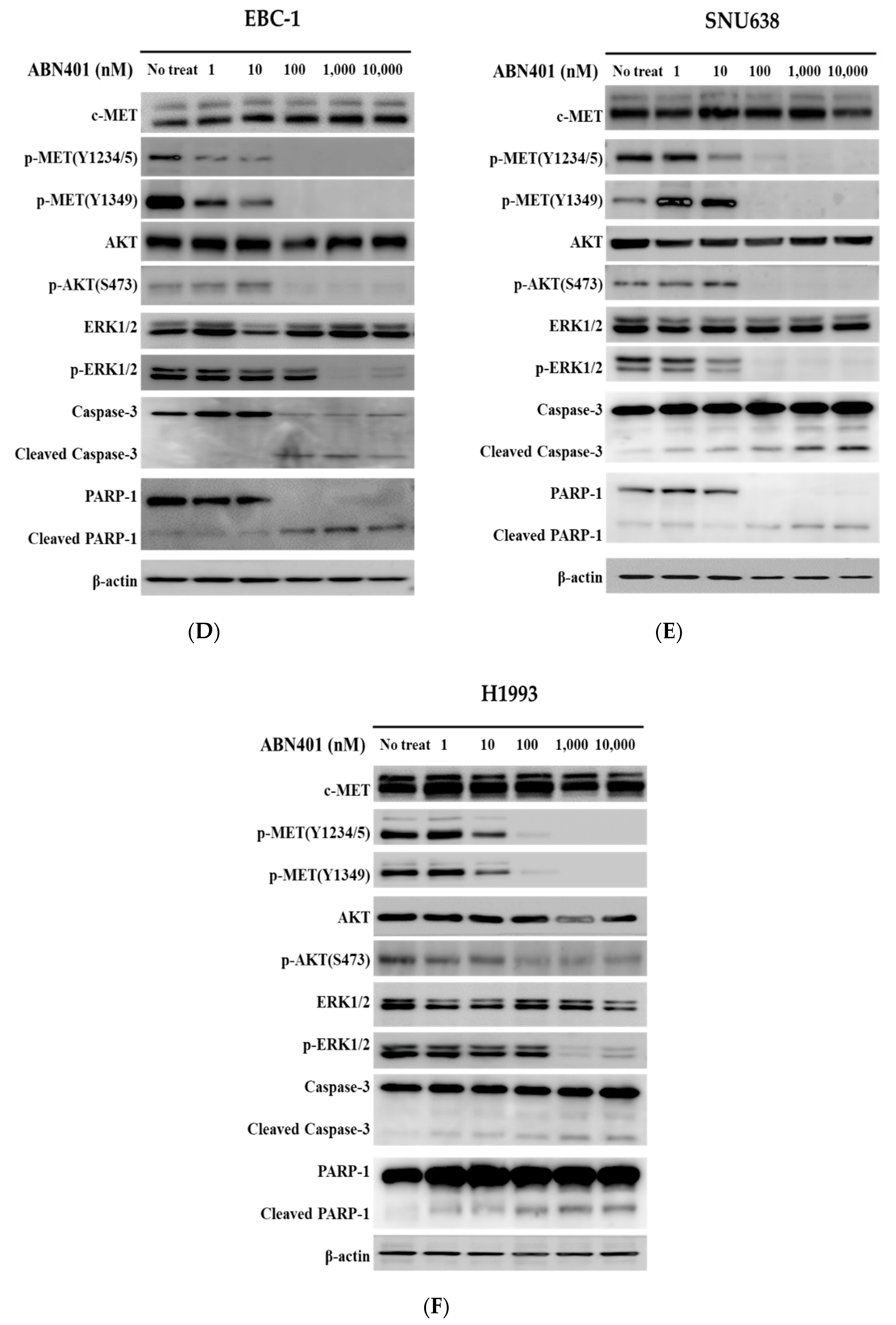
2.4. ABN401-Mediated Inhibition of MET Signaling and Downstream Pathway
2.5. In Vivo Therapeutic Efficacy of ABN401 in MET-Addicted Cancer Cell Models
2.6. Identification of PDX Models with MET Aberration Including MET Exon14 Skipping Mutation
2.7. In Vivo Effect of ABN401 in Patient-Derived Xenograft (PDX) Models with MET Aberration
2.8. Pharmacokinetic Studies of ABN401 in SD Rats, Beagle Dogs, and Cynomolgus Monkeys
2.9. Analysis of the Dose and Treatment Duration of ABN401 Required to Inhibit c-MET Phosphorylation In Vivo (PK/PD Correlation)
3. Discussion
4. Materials and Methods
4.1. Compound
4.2. In Vitro Kinase Selective Profiling
4.3. Molecular Docking Calculation
4.4. Cell Lines
4.5. Cell Viability ASSAY
4.6. Western Blotting
4.7. MET Copy Number Variation (q-PCR)
4.8. Immunohistochemistry (IHC)
4.9. Fluorescence In Situ Hybridization (FISH)
4.10. In Vivo Efficacy Test in Xenograft Models
4.11. In Vivo Efficacy Test in Patient-Derived Xenograft Models
4.12. Pharmacokinetic Studies of ABN401 in Sprague–Dawley Rats, Beagle Dogs, and Cynomolgus Monkeys
4.13. Pharmacokinetic Analysis
4.14. Pharmacokinetic/Pharmacodynamic Correlation Studies
4.15. Statistical Analysis
5. Conclusions
Supplementary Materials
Author Contributions
Funding
Acknowledgments
Conflicts of Interest
References
- Bottaro, D.P.; Rubin, J.S.; Faletto, D.L.; Cham, A.M.; Kmiecik, T.E.; Vande Woude, G.F.; Aaronson, S.A. Identification of the hepatocyte growth factor receptor as the c-met proto-oncogene product. Science 1991, 251, 802–804. [Google Scholar] [CrossRef]
- Naldini, L.; Weidner, K.M.; Vigna, E.; Gaudino, G.; Bardelli, A.; Ponzetto, C.; Narsimhan, R.P.; Hartmann, G.; Zarnegar, R.; Michalopoulos, G.K. Scatter factor and hepatocyte growth factor are indistinguishable ligands for the MET receptor. EMBO J. 1991, 10, 2867–2878. [Google Scholar] [CrossRef]
- Bolanos-Garcia, V.M. MET meet adaptors: Functional and structural implications in downstream signaliing mediated by the Met receptor. Mol. Cell. Biochem. 2005, 276, 149–157. [Google Scholar] [CrossRef]
- Jiang, W.G.; Hallett, M.B.; Puntis, M.C. Hepatocyte growth factor/scatter factor, liver regeneration and cancer metastasis. Br. J. Surg. 1993, 80, 1368–1373. [Google Scholar] [CrossRef]
- Birchmeier, C.; Gherardi, E. Developmental roles of HGF/SF and its receptor, the c-Met tyrosine kinase. Trends Cell Biol. 1998, 8, 404–410. [Google Scholar] [CrossRef]
- Cappuzzo, F.; Marchetti, A.; Skokan, M.; Rossi, E.; Gajapathy, S.; Felicioni, L.; Del Grammastro, M.; Sciarrotta, M.G.; Buttitta, F.; Incarbone, M.; et al. Increased MET gene copy number negatively affects survival of surgically resected non-small cell lung cancer patients. J. Clin. Oncol. 2009, 27, 1667–1675. [Google Scholar] [CrossRef] [PubMed]
- Okuda, K.; Sasaki, H.; Yukiue, H.; Yano, M.; Fujii, Y. MET gene copy number predicts the prognosis for completely resected non-small cell lung cancer. Cancer Sci. 2008, 99, 2280–2285. [Google Scholar] [CrossRef] [PubMed]
- Kwon, M.J.; Kim, R.N.; Song, K.; Jeon, S.; Jeong, H.M.; Kim, J.S.; Han, J.; Hong, S.; Oh, E.; Choi, J.S.; et al. Genes co-amplified with ERBB2 or MET as novel potential cancer-promoting genes in gastric cancer. Oncotarget 2017, 8, 92209–92226. [Google Scholar] [CrossRef] [PubMed]
- Park, S.; Choi, Y.L.; Sung, C.O.; An, J.; Seo, J.; Ahn, M.J.; Ahn, J.S.; Park, K.; Shin, Y.K.; Erkin, O.C.; et al. High MET copy number and MET overexpression: Poor outcome in non-small cell lung cancer patients. Histol. Histopathol. 2012, 27, 197–207. [Google Scholar] [CrossRef] [PubMed]
- Comoglio, P.M.; Giordano, S.; Trusolino, L. Drug development of MET inhibitors: Targeting oncogene addiction and expedience. Nat. Rev. Drug Discov. 2008, 7, 504–516. [Google Scholar] [CrossRef]
- Kammula, U.S.; Kuntz, E.J.; Francone, T.D.; Zeng, Z.; Shia, J.; Landmann, R.G.; Paty, P.B.; Weiser, M.R. Molecular co-expression of the c-Met oncogene and hepatocyte growth factor in primary colon cancer predicts tumor stage and clinical outcome. Cancer Lett. 2007, 248, 219–228. [Google Scholar] [CrossRef] [PubMed]
- Seiwert, T.Y.; Jagadeeswaran, R.; Faoro, L.; Janamanchi, V.; Nallasura, V.; El Dinali, M.; Yala, S.; Kanteti, R.; Cohen, E.E.; Lingen, M.W.; et al. The MET receptor tyrosine kinase is a potential novel therapeutic target for head and neck squamous cell carcinoma. Cancer Res. 2009, 69, 3021–3031. [Google Scholar] [CrossRef] [PubMed]
- Bradley, C.A.; Salto-Tellez, M.; Laurent-Puig, P.; Bardelli, A.; Rolfo, C.; Tabernero, J.; Khawaja, H.A.; Lawler, M.; Johnston, P.G.; Van Schaeybroeck, S. Targeting c-MET in gastrointestinal tumours: Rationale, opportunities and challenges. Nat. Rev. Clin. Oncol. 2017. [Google Scholar] [CrossRef] [PubMed]
- Salgia, R. MET in Lung Cancer: Biomarker Selection Based on Scientific Rationale. Mol. Cancer Ther. 2017, 16, 555–565. [Google Scholar] [CrossRef]
- Ferlay, J.; Soerjomataram, I.; Dikshit, R.; Eser, S.; Mathers, C.; Rebelo, M.; Parkin, D.M.; Forman, D.; Bray, F. Cancer incidence and mortality worldwide: Sources, methods and major patterns in GLOBOCAN 2012. Int. J. Cancer 2015, 136, E359–E386. [Google Scholar] [CrossRef]
- Inokuchi, M.; Otsuki, S.; Fujimori, Y.; Sato, Y.; Nakagawa, M.; Kojima, K. Clinical significance of MET in gastric cancer. World J. Gastrointest. Oncol. 2015, 7, 317–327. [Google Scholar] [CrossRef]
- Hong, S.W.; Jung, K.H.; Park, B.H.; Zheng, H.M.; Lee, H.S.; Choi, M.J.; Yun, J.I.; Kang, N.S.; Lee, J.; Hong, S.S. KRC-408, a novel c-Met inhibitor, suppresses cell proliferation and angiogenesis of gastric cancer. Cancer Lett. 2013, 332, 74–82. [Google Scholar]
- Kim, D.C.; Park, K.R.; Jeong, Y.J.; Yoon, H.O.; Ahn, M.J.; Rho, G.J.; Lee, J.; Gong, Y.D.; Han, S.Y. Resistance to the c-Met inhibitor KRC-108 induces the epithelial transition of gastric cancer cells. Oncol. Lett. 2016, 11, 991–997. [Google Scholar]
- Lee, G.D.; Lee, S.E.; Oh, D.Y.; Yu, D.B.; Jeong, H.M.; Kim, J.; Hong, S.; Jung, H.S.; Oh, E.; Song, J.Y.; et al. MET exon 14 skipping Mutations in Lung adenocarcinoma: Clinicopathologic Implications and Prognostic Values. J. Thorac. Oncol. 2017, 12, 1233–1246. [Google Scholar] [CrossRef]
- Tong, J.H.; Yeung, S.F.; Chan, A.W.; Chung, L.Y.; Chau, S.L.; Lung, R.W.M.; Tong, C.Y.; Chow, C.; Tin, E.K.; Yau, H.Y.; et al. MET amplification and exon 14 splice site mutation define unique molecular subgroups of non-small cell lung carcinoma with poor prognosis. Clin. Cancer Res. 2016, 22, 3048–3056. [Google Scholar] [CrossRef]
- Heist, R.S.; Shim, H.S.; Gingipally, S.; Mino-Kenudson, M.; Le, L.; Gainor, J.F.; Zheng, Z.; Aryee, M.; Xia, J.; Jia, P.; et al. MET exon 14 skipping in non-small cell lung cancer. Oncologist 2016, 21, 481–486. [Google Scholar] [CrossRef] [PubMed]
- Schrock, A.B.; Frampton, G.M.; Suh, J.; Chalmers, Z.R.; Rosenzweig, M.; Erlich, R.L.; Halmos, B.; Goldman, J.; Forde, P.; Leuenberger, K.; et al. Characterization of 298 patients with lung cancer harboring MET exon 14 skipping alterations. J. Thorac. Oncol. 2016, 11, 1493–1502. [Google Scholar] [CrossRef] [PubMed]
- Awad, M.M.; Oxnard, G.R.; Jackman, D.M.; Savukoski, D.O.; Hall, D.; Shivdasani, P.; Heng, J.C.; Dahlberg, S.E.; Janne, P.A.; Verma, S.; et al. MET exon 14 mutations in non-small-cell lung cancer are associated with advanced age and stage-dependent MET genomic amplification and c-Met overexpression. J. Clin. Oncol. 2016, 34, 721–730. [Google Scholar] [CrossRef] [PubMed]
- Park, C.H.; Cho, S.Y.; Du Ha, J.; Jung, H.; Kim, H.R.; Lee, C.O.; Jang, I.Y.; Chae, C.H.; Lee, H.K.; Choi, S.U. Novel c-Met inhibitor suppresses the growth of c-Met-addicted gastric cancer cells. BMC Cancer 2016, 16, 35. [Google Scholar] [CrossRef]
- Gavine, P.R.; Ren, Y.; Han, L.; Lv, J.; Fan, S.; Zhang, W.; Xu, W.; Liu, Y.J.; Zhang, T.; Fu, H.; et al. Volitinib, a potent and highly selective c-Met inhibitor, effectively blocks c-Met signaling and growth in c-MET amplified gastric cancer patient-derived tumor xenograft models. Mol. Oncol. 2015, 9, 323–333. [Google Scholar] [CrossRef]
- Bertotti, A.; Bracco, C.; Girolami, F.; Torti, D.; Gastaldi, S.; Galimi, F.; Medico, E.; Elvin, P.; Comoglio, P.M.; Trusolino, L. Inhibition of Src impairs the growth of met-addicted gastric tumors. Clin. Cancer Res. 2010, 16, 3933–3943. [Google Scholar] [CrossRef][Green Version]
- Lolkema, M.P.; Bohets, H.H.; Arkenau, H.T.; Lampo, A.; Barale, E.; de Jonge, M.J.; van Doorn, L.; Hellemans, P.; de Bono, J.S.; Eskens, F.A. The c-Met Tyrosine Kinase Inhibitor JNJ-38877605 Causes Renal Toxicity through Species-Specific Insoluble Metabolite Formation. Clin. Cancer Res. 2015, 21, 2297–2304. [Google Scholar] [CrossRef]
- Infante, J.R.; Rugg, T.; Gordon, M.; Rooney, I.; Rosen, L.; Zeh, K.; Liu, R.; Burris, H.A.; Ramanathan, R.K. Unexpected renal toxicity associated with SGX523, a small molecule inhibitor of MET. Investig. New Drugs 2013, 31, 363–369. [Google Scholar] [CrossRef]
- Diamond, S.; Boer, J.; Maduskuie, T.P., Jr.; Falahatpisheh, N.; Li, Y.; Yeleswaram, S. Species-specific metabolism of SGX523 by aldehyde oxidase and the toxicological implications. Drug Metab. Dispos. 2010, 38, 1277–1285. [Google Scholar]
- Rolfo, C.; Van Der Steen, N.; Pauwels, P.; Cappuzzo, F. Onartuzumab in lung cancer: The fall of Icarus? Expert Rev. Anticancer Ther. 2015, 15, 487–489. [Google Scholar] [CrossRef][Green Version]
- Srivastava, A.K.; Hollingshead, M.G.; Govindharajulu, J.P.; Covey, J.M.; Liston, D.; Simpson, M.A.; Peggins, J.O.; Bottaro, D.P.; Wright, J.J.; Kinders, R.J.; et al. Molecular Pharmacodynamics-Guided Scheduling of Biologically Effective Doses: A Drug Development Paradigm Applied to MET Tyrosine Kinase Inhibitors. Mol. Cancer Ther. 2018, 17, 698–709. [Google Scholar] [CrossRef] [PubMed]
- Bohnert, T.; Gan, L.S. Plasma Protein Binding: From Discovery to Development. J. Pharm. Sci. 2013, 102, 2953–2994. [Google Scholar] [CrossRef] [PubMed]
- Hughes, V.S.; Siemann, D.W. Failures in preclinical and clinical trials of c-Met inhibitors: Evaluation of pathway activity as a promising selection criterion. Oncotarget 2019, 10, 184–197. [Google Scholar] [CrossRef] [PubMed]
- Cui, J.J.; Shen, H.; Tran-Dubé, M.; Nambu, M.; McTigue, M.; Grodsky, N.; Ryan, K.; Yamazaki, S.; Aguirre, S.; Parker, M.; et al. Lessons from (S)-6-(1-(6-(1-methyl-1H-pyrazol-4-yl)-[1,2,4]triazolo[4,3-b]pyridazin-3-yl)ethyl)quinoline (PF-04254644), an inhibitor of receptor tyrosine kinase c-Met with high protein kinase selectivity but broad phosphodiesterase family inhibition leading to myocardial degeneration in rats. J. Med. Chem. 2013, 56, 6651–6665. [Google Scholar] [PubMed]
- Trott, O.; Olson, A.J. AutoDock Vina: Improving the speed and accuracy of docking with a new scoring function, efficient optimization, and multithreading. J. Comput. Chem. 2010, 31, 455–461. [Google Scholar] [CrossRef]
- Cornell, W.D.; Cieplak, P.; Bayly, C.I.; Gould, I.R.; Merz, K.M.; Ferguson, D.M.; Spellmeyer, D.C.; Fox, T.; Caldwell, J.W.; Kollman, P.A. A second generation force field for the simulation of proteins, nucleic acids, and organic molecules. J. Am. Chem. Soc. 2015, 117, 5179–5197. [Google Scholar] [CrossRef]
- Case, D.; Babin, V.; Berryman, J.T.; Betz, R.M.; Cai, Q.; Cerutti, D.S.; Cheatham, T.E., III; Darden, T.A.; Duke, R.E.; Gohlke, H.; et al. Amber 14. Available online: https://ambermd.org/doc12/Amber14.pdf (accessed on 13 June 2020).
- Pettersen, E.F.; Goddard, T.D.; Huang, C.C.; Couch, G.S.; Greenblatt, D.M.; Meng, E.C.; Ferrin, T.E. UCSF Chimera—A visualization system for exploratory research and analysis. J. Comput. Chem. 2004, 25, 1605–1612. [Google Scholar] [CrossRef] [PubMed]
- ChemAxon. Marvin Sketch 17.28.00. 2018. Available online: http://www.chemaxon.com (accessed on 13 June 2020).
- Hanwell, M.D.; Curtis, D.E.; Lonie, D.C.; Vandermeersch, T.; Zurek, E.; Hutchison, G.R. Avogadro: An advanced semantic chemical editor, visualization, and analysis platform. J. Cheminform. 2012, 4, 17. [Google Scholar] [CrossRef]
- Salentin, S.; Schreiber, S.; Haupt, V.J.; Adasme, M.F.; Schroeder, M. PLIP: Fully automated protein–ligand interaction profiler. Nucleic Acids Res. 2015, 43, W443–W447. [Google Scholar] [CrossRef]
- Schrodinger, L.L.C. The PyMOL Molecular Graphics System, Version 1.8. 2015. Available online: https://pymol.org/2/support.html?#citing (accessed on 13 June 2020).
- Kwon, M.J.; Oh, E.; Lee, S.; Roh, M.R.; Kim, S.E.; Lee, Y.; Choi, Y.L.; In, Y.H.; Park, T.; Koh, S.S.; et al. Identification of Novel Reference Genes Using Multiplatform Expression Data and Their Validation for Quantitative Gene Expression Analysis. PLoS ONE 2009. [Google Scholar] [CrossRef]
- Noonan, S.A.; Berry, L.; Lu, X.; Gao, D.; Baron, A.E.; Chesnut, P.; Sheren, J.; Aisner, D.L.; Merrick, D.; Doebele, R.C.; et al. Identifying the Appropriate FISH Criteria for Defining MET Copy Number-Driven Lung Adenocarcinoma through Oncogene Overlap Analysis. J. Thorac. Oncol. 2016, 11, 1293–1304. [Google Scholar] [CrossRef] [PubMed]










| Name | q-PCR | c-MET IHC | MET FISH | ABN401 IC50 (nM) | |
|---|---|---|---|---|---|
| MET Copy Number Variation | C | M | MET/CEP7 Ratio | ||
| SNU5 | 18.60 | 3 | 3 | >5 | 4.34 |
| Hs746T | 16.22 | 3 | 3 | >5 | 2.00 |
| MKN45 | 17.16 | 3 | 3 | >5 | 3.18 |
| SNU620 | 27.1 | 3 | 3 | >10 | 8.13 |
| SNU638 | 2.26 | 3 | 3 | 0.8 | 3.33 |
| EBC-1 | 17.25 | 3 | 3 | 2.31 | 2.22 |
| H1993 | 22.65 | 3 | 3 | 2.37 | 43.0 |
| HFE145 (Negative cell line) | 1.07 | 0 | 0 | 1 | >10,000 |
| Group | Name | MET CNV | c-MET IHC | MET FISH | ABN401 Dose (mg/kg) | TGI (%) | ||
|---|---|---|---|---|---|---|---|---|
| q-PCR | WES * | C | M | MET/CEP7 Ratio | ||||
| Xenograft (MET-high amplification) | SNU5 | 18.6 | 3 | 3 | >5 | 3 | 24.47 | |
| 30 | 89.49 | |||||||
| EBC-1 | 17.25 | 3 | 3 | >5 | 10 | 51.26 | ||
| 30 | 77.85 | |||||||
| Xenograft (c-MET overexpression) | SNU638 | 2.26 | 3 | 3 | 0.8 | 10 | 65.31 | |
| 30 | 78.68 | |||||||
| Patient-derived Xenograft (MET-negative) | GA2278 | 1 | 0 | 0 | 0.8 | 10 | 56.0 | |
| 30 | 47.6 | |||||||
| Patient-derived Xenograft (MET-low amplification) | GA0075 | 5 | 0 | 0 | 0.6 | 10 | 16.2 | |
| 30 | 22.3 | |||||||
| GA0152 | 5 | 0 | 0 | 0.8 | 10 | 7.4 | ||
| 30 | 14.2 | |||||||
| GA0046 | 5 | 1 | 1 | 1 | 10 | 17.3 | ||
| 30 | 13.4 | |||||||
| Patient-derived Xenograft (MET-mid amplification) | LU5381 (+MET exon14 Skipping) | 5 | 3 | 3 | 2.05 | 10 | 63.09 | |
| 30 | 75.47 | |||||||
| Patient-derived Xenograft (MET-high amplification) | LU2503 (+METex14 skipping) | 14 | 3 | 3 | >5 | 10 | 96.75 | |
| 30 | 99.11 | |||||||
| GA3121 | 14 | 3 | 3 | >10 | 10 | 89.8 | ||
| 30 | 102.4 | |||||||
| LI0612 | 14 | 3 | 3 | >10 | 10 | 86.6 | ||
| 30 | 109.1 | |||||||
| Species | Group No. | Dose Level (mg/kg) | Sex | F | C0 | Cmax | T1/2 | Tmax | AUC0-t | AUCinf | MRTlast |
|---|---|---|---|---|---|---|---|---|---|---|---|
| (%) | (ng/mL *) | (ng/mL) | (hr) | (hr) | (hr X ng/mL) | (hr X ng/mL) | (hr) | ||||
| Rat | 1(IV) | 5 | M | 3520 | 3.33 | 5946 | 5971 | 3.15 | |||
| 2(PO) | 5 | M | 42.1 | 458 | 2 | 2501 | 4.90 | ||||
| F | 56.2 | 619 | 1.5 | 3344 | 4.55 | ||||||
| 3(PO) | 20 | M | 33.6 | 1019 | 3 | 8003 | 6.14 | ||||
| 4(PO) | 50 | M | 22.2 | 1428 | 2 | 13,219 | 8.28 | ||||
| Dog | 1(IV) | 2 | M | 172 | 7.37 | 527 | 560 | 4.79 | |||
| 2(PO) | 2 | M | 27.4 | 9.20 | 1 | 145 | 11.2 | ||||
| F | 37.7 | 21.0 | 1 | 199 | 9.15 | ||||||
| 3(PO) | 5 | M | 34.5 | 44.6 | 4 | 455 | 8.37 | ||||
| 4(PO) | 10 | M | 27.5 | 65.3 | 2 | 725 | 8.68 | ||||
| Monkey | 1(IV) | 1 | M | 323.8 | 0.88 | 0.083 | 322.6 | 327.1 | |||
| 2(PO) | 1 | M | 1.9 | N/A | 1.7 | 2.9 | N/A | ||||
| 3(PO) | 5 | M | 7.4 | N/A | 4.0 | 33.6 | N/A | ||||
| 4(PO) | 10 | M | 10.8 | 6.0 | 3.3 | 67.0 | 78.2 |
| Plasma | 10 mg/kg | 10 mg/kg | 30 mg/kg | 30 mg/kg |
| EBC-1 | SNU5 | EBC-1 | SNU-5 | |
| T1/2 (min) | 141 | 153 | 214 | 83.8 |
| Cmax (ng/mL) | 456 | 774 | 1170 | 1340 |
| AUCinf (ng·min/mL) | 193,000 | 200,000 | 527,000 | 554,000 |
| CL/F (mL/min/kg) | 51.8 | 50.0 | 56.9 | 54.1 |
| MRT (min) | 255 | 241 | 300 | 230 |
| Tumor | 10 mg/kg | 10 mg/kg | 30 mg/kg | 30 mg/kg |
| EBC-1 | SNU5 | EBC-1 | SNU-5 | |
| T1/2 (min) | 571 | 726 | 522 | 344 |
| Cmax (ng/mL) | 1260 | 1390 | 2950 | 2920 |
| AUCinf (ng·min/mL) | 715,000 | 553,000 | 2,240,000 | 1,470,000 |
© 2020 by the authors. Licensee MDPI, Basel, Switzerland. This article is an open access article distributed under the terms and conditions of the Creative Commons Attribution (CC BY) license (http://creativecommons.org/licenses/by/4.0/).
Share and Cite
Kim, J.; Park, K.E.; Jeong, Y.-S.; Kim, Y.; Park, H.; Nam, J.-H.; Jung, K.; Son, W.S.; Jung, H.S.; Lee, J.-H.; et al. Therapeutic Efficacy of ABN401, a Highly Potent and Selective MET Inhibitor, Based on Diagnostic Biomarker Test in MET-Addicted Cancer. Cancers 2020, 12, 1575. https://doi.org/10.3390/cancers12061575
Kim J, Park KE, Jeong Y-S, Kim Y, Park H, Nam J-H, Jung K, Son WS, Jung HS, Lee J-H, et al. Therapeutic Efficacy of ABN401, a Highly Potent and Selective MET Inhibitor, Based on Diagnostic Biomarker Test in MET-Addicted Cancer. Cancers. 2020; 12(6):1575. https://doi.org/10.3390/cancers12061575
Chicago/Turabian StyleKim, Jooseok, Kyung Eui Park, Yoo-Seong Jeong, YeongMun Kim, Hayeon Park, Ji-Hye Nam, Kyungsoo Jung, Woo Sung Son, Hun Soon Jung, Jong-Hwa Lee, and et al. 2020. "Therapeutic Efficacy of ABN401, a Highly Potent and Selective MET Inhibitor, Based on Diagnostic Biomarker Test in MET-Addicted Cancer" Cancers 12, no. 6: 1575. https://doi.org/10.3390/cancers12061575
APA StyleKim, J., Park, K. E., Jeong, Y.-S., Kim, Y., Park, H., Nam, J.-H., Jung, K., Son, W. S., Jung, H. S., Lee, J.-H., Jeong, S. H., Kim, N. A., Ha, J. D., Cho, S. Y., Choi, Y.-L., Chung, S.-J., Choi, J. Y., Hong, S., & Shin, Y. K. (2020). Therapeutic Efficacy of ABN401, a Highly Potent and Selective MET Inhibitor, Based on Diagnostic Biomarker Test in MET-Addicted Cancer. Cancers, 12(6), 1575. https://doi.org/10.3390/cancers12061575

