Pure Large Nested Variant of Urothelial Carcinoma (LNUC) Is the Prototype of an FGFR3 Mutated Aggressive Urothelial Carcinoma with Luminal-Papillary Phenotype
Abstract
1. Introduction
2. Results
2.1. Clinical Data and Histomorphological Evaluation
2.2. Mutation Analysis
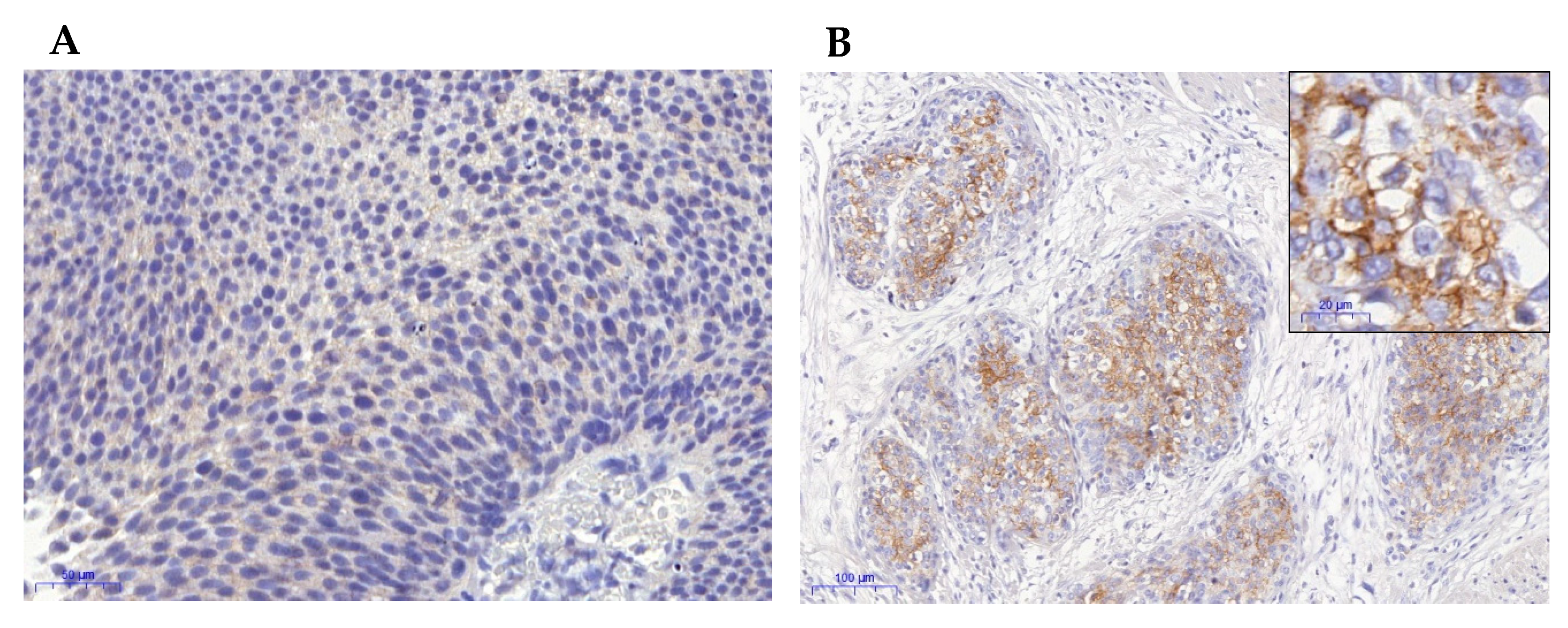
2.3. FGFR3 Immunohistochemistry
2.4. Immunohistochemistry (IHC)-Based Molecular Subtyping of LNUC
2.5. PD-L1 Staining Among LNUC Cases
3. Discussion
4. Materials and Methods
4.1. Study Cohort
4.2. DNA Isolation
4.3. FGFR3 Mutational Analysis
4.4. TERT Promoter Gene Analysis
4.5. Immunohistochemistry
4.6. Statistical Analysis
5. Conclusions
Author Contributions
Funding
Acknowledgments
Conflicts of Interest
References
- Veskimae, E.; Espinos, E.L.; Bruins, H.M.; Yuan, Y.; Sylvester, R.; Kamat, A.M.; Shariat, S.F.; Witjes, J.A.; Comperat, E.M. What Is the Prognostic and Clinical Importance of Urothelial and Nonurothelial Histological Variants of Bladder Cancer in Predicting Oncological Outcomes in Patients with Muscle-invasive and Metastatic Bladder Cancer? A European Association of Urology Muscle Invasive and Metastatic Bladder Cancer Guidelines Panel Systematic Review. Eur. Urol. Oncol. 2019, 2, 625–642. [Google Scholar] [CrossRef]
 - Moschini, M.; D’Andrea, D.; Korn, S.; Irmak, Y.; Soria, F.; Comperat, E.; Shariat, S.F. Characteristics and clinical significance of histological variants of bladder cancer. Nat. Rev. Urol. 2017, 14, 651–668. [Google Scholar] [CrossRef] [PubMed]
 - Cox, R.; Epstein, J.I. Large nested variant of urothelial carcinoma: 23 cases mimicking von Brunn nests and inverted growth pattern of noninvasive papillary urothelial carcinoma. Am. J. Surg. Pathol. 2011, 35, 1337–1342. [Google Scholar] [CrossRef] [PubMed]
 - Humphrey, P.A.; Moch, H.; Cubilla, A.L.; Ulbright, T.M.; Reuter, V.E. The 2016 WHO Classification of Tumours of the Urinary System and Male Genital Organs-Part B: Prostate and Bladder Tumours. Eur. Urol. 2016, 70, 106–119. [Google Scholar] [CrossRef] [PubMed]
 - Comperat, E.; McKenney, J.K.; Hartmann, A.; Hes, O.; Bertz, S.; Varinot, J.; Brimo, F. Large nested variant of urothelial carcinoma: A clinicopathological study of 36 cases. Histopathology 2017, 71, 703–710. [Google Scholar] [CrossRef] [PubMed]
 - Hacihasanoglu, E.; Behzatoglu, K. Large nested urothelial carcinoma: A clinicopathological study of 22 cases on transurethral resection materials. Ann. Diagn. Pathol. 2019, 42, 7–11. [Google Scholar] [CrossRef]
 - Sanli, O.; Dobruch, J.; Knowles, M.A.; Burger, M.; Alemozaffar, M.; Nielsen, M.E.; Lotan, Y. Bladder cancer. Nat. Rev. Dis. Primers 2017, 3, 17022. [Google Scholar] [CrossRef]
 - Seiler, R.; Ashab, H.A.D.; Erho, N.; van Rhijn, B.W.G.; Winters, B.; Douglas, J.; Van Kessel, K.E.; Fransen van de Putte, E.E.; Sommerlad, M.; Wang, N.Q.; et al. Impact of Molecular Subtypes in Muscle-invasive Bladder Cancer on Predicting Response and Survival after Neoadjuvant Chemotherapy. Eur. Urol. 2017, 72, 544–554. [Google Scholar] [CrossRef]
 - Kamoun, A.; de Reynies, A.; Allory, Y.; Sjodahl, G.; Robertson, A.G.; Seiler, R.; Hoadley, K.A.; Groeneveld, C.S.; Al-Ahmadie, H.; Choi, W.; et al. A Consensus Molecular Classification of Muscle-invasive Bladder Cancer. Eur. Urol. 2019. [Google Scholar] [CrossRef]
 - Weyerer, V.; Weisser, R.; Moskalev, E.A.; Haller, F.; Stoehr, R.; Eckstein, M.; Zinnall, U.; Gaisa, N.T.; Comperat, E.; Perren, A.; et al. Distinct genetic alterations and luminal molecular subtype in nested variant of urothelial carcinoma. Histopathology 2019, 75, 865–875. [Google Scholar] [CrossRef]
 - Billerey, C.; Chopin, D.; Aubriot-Lorton, M.H.; Ricol, D.; Gil Diez de Medina, S.; Van Rhijn, B.; Bralet, M.P.; Lefrere-Belda, M.A.; Lahaye, J.B.; Abbou, C.C.; et al. Frequent FGFR3 mutations in papillary non-invasive bladder (pTa) tumors. Am. J. Pathol. 2001, 158, 1955–1959. [Google Scholar] [CrossRef]
 - Knowles, M.A. Role of FGFR3 in urothelial cell carcinoma: Biomarker and potential therapeutic target. World J. Urol. 2007, 25, 581–593. [Google Scholar] [CrossRef] [PubMed][Green Version]
 - Robertson, A.G.; Kim, J.; Al-Ahmadie, H.; Bellmunt, J.; Guo, G.; Cherniack, A.D.; Hinoue, T.; Laird, P.W.; Hoadley, K.A.; Akbani, R.; et al. Comprehensive Molecular Characterization of Muscle-Invasive Bladder Cancer. Cell 2017, 171, 540–556. [Google Scholar] [CrossRef] [PubMed]
 - Loriot, Y.; Necchi, A.; Park, S.H.; Garcia-Donas, J.; Huddart, R.; Burgess, E.; Fleming, M.; Rezazadeh, A.; Mellado, B.; Varlamov, S.; et al. Erdafitinib in Locally Advanced or Metastatic Urothelial Carcinoma. N. Engl. J. Med. 2019, 381, 338–348. [Google Scholar] [CrossRef] [PubMed]
 - Pal, S.K.; Rosenberg, J.E.; Hoffman-Censits, J.H.; Berger, R.; Quinn, D.I.; Galsky, M.D.; Wolf, J.; Dittrich, C.; Keam, B.; Delord, J.P.; et al. Efficacy of BGJ398, a Fibroblast Growth Factor Receptor 1-3 Inhibitor, in Patients with Previously Treated Advanced Urothelial Carcinoma with FGFR3 Alterations. Cancer Discov. 2018, 8, 812–821. [Google Scholar] [CrossRef] [PubMed]
 - Allory, Y.; Beukers, W.; Sagrera, A.; Flandez, M.; Marques, M.; Marquez, M.; van der Keur, K.A.; Dyrskjot, L.; Lurkin, I.; Vermeij, M.; et al. Telomerase reverse transcriptase promoter mutations in bladder cancer: High frequency across stages, detection in urine, and lack of association with outcome. Eur. Urol. 2014, 65, 360–366. [Google Scholar] [CrossRef]
 - Isharwal, S.; Hu, W.; Sarungbam, J.; Chen, Y.B.; Gopalan, A.; Fine, S.W.; Tickoo, S.K.; Sirintrapun, S.J.; Jadallah, S.; Loo, F.L.; et al. Genomic landscape of inverted urothelial papilloma and urothelial papilloma of the bladder. J. Pathol. 2019, 248, 260–265. [Google Scholar] [CrossRef]
 - Bellmunt, J.; de Wit, R.; Vaughn, D.J.; Fradet, Y.; Lee, J.L.; Fong, L.; Vogelzang, N.J.; Climent, M.A.; Petrylak, D.P.; Choueiri, T.K.; et al. Pembrolizumab as Second-Line Therapy for Advanced Urothelial Carcinoma. N. Engl. J. Med. 2017, 376, 1015–1026. [Google Scholar] [CrossRef]
 - Rosenberg, J.E.; Hoffman-Censits, J.; Powles, T.; van der Heijden, M.S.; Balar, A.V.; Necchi, A.; Dawson, N.; O’Donnell, P.H.; Balmanoukian, A.; Loriot, Y.; et al. Atezolizumab in patients with locally advanced and metastatic urothelial carcinoma who have progressed following treatment with platinum-based chemotherapy: A single-arm, multicentre, phase 2 trial. Lancet 2016, 387, 1909–1920. [Google Scholar] [CrossRef]
 - Sweis, R.F.; Spranger, S.; Bao, R.; Paner, G.P.; Stadler, W.M.; Steinberg, G.; Gajewski, T.F. Molecular Drivers of the Non-T-cell-Inflamed Tumor Microenvironment in Urothelial Bladder Cancer. Cancer Immunol. Res. 2016, 4, 563–568. [Google Scholar] [CrossRef]
 - Casadei, C.; Dizman, N.; Schepisi, G.; Cursano, M.C.; Basso, U.; Santini, D.; Pal, S.K.; De Giorgi, U. Targeted therapies for advanced bladder cancer: New strategies with FGFR inhibitors. Ther. Adv. Med. Oncol. 2019, 11. [Google Scholar] [CrossRef] [PubMed]
 - Hurst, C.D.; Platt, F.M.; Knowles, M.A. Comprehensive mutation analysis of the TERT promoter in bladder cancer and detection of mutations in voided urine. Eur. Urol. 2014, 65, 367–369. [Google Scholar] [CrossRef] [PubMed]
 - van Oers, J.M.; Lurkin, I.; van Exsel, A.J.; Nijsen, Y.; van Rhijn, B.W.; van der Aa, M.N.; Zwarthoff, E.C. A simple and fast method for the simultaneous detection of nine fibroblast growth factor receptor 3 mutations in bladder cancer and voided urine. Clin. Cancer Res. 2005, 11, 7743–7748. [Google Scholar] [CrossRef]
 - Stoehr, R.; Taubert, H.; Zinnall, U.; Giedl, J.; Gaisa, N.T.; Burger, M.; Ruemmele, P.; Hurst, C.D.; Knowles, M.A.; Wullich, B.; et al. Frequency of TERT Promoter Mutations in Prostate Cancer. Pathobiology 2015, 82, 53–57. [Google Scholar] [CrossRef] [PubMed]
 - Lerner, S.P.; McConkey, D.J.; Hoadley, K.A.; Chan, K.S.; Kim, W.Y.; Radvanyi, F.; Hoglund, M.; Real, F.X. Bladder Cancer Molecular Taxonomy: Summary from a Consensus Meeting. Bladder Cancer 2016, 2, 37–47. [Google Scholar] [CrossRef] [PubMed]
 - McConkey, D.J.; Choi, W. Molecular Subtypes of Bladder Cancer. Curr. Oncol. Rep. 2018, 20, 77. [Google Scholar] [CrossRef]
 - Remmele, W.; Stegner, H.E. [Recommendation for uniform definition of an immunoreactive score (IRS) for immunohistochemical estrogen receptor detection (ER-ICA) in breast cancer tissue]. Pathologe 1987, 8, 138–140. [Google Scholar]
 - Tomlinson, D.C.; Baldo, O.; Harnden, P.; Knowles, M.A. FGFR3 protein expression and its relationship to mutation status and prognostic variables in bladder cancer. J. Pathol. 2007, 213, 91–98. [Google Scholar] [CrossRef]
 - The R Project for Statistical Computing. Available online: https://www.r-project.org (accessed on 21 March 2020).
 



| Characteristic | n (%) | 
|---|---|
| Total number of cases | 25 | 
| Gender | |
| Male | 18 (81.8) | 
| Female | 4 (18.2) | 
| Not available | 3 | 
| Stage distribution | |
| pT2 | 15 (60.0) | 
| pT3 | 7 (28.0) | 
| pT4 | 2 (8.0) | 
| pTx * | 1 (4.0) | 
| Grade distribution (WHO 1973) | |
| G2 | 11 (44.0) | 
| G3 | 15 (56.0) | 
| Grade distribution (WHO 2016) | |
| High-grade | 25 (100) | 
| Histomorphology | |
| Pure | 17 (68.0) | 
| Mixed | 8 (32.0) | 
| - Classical nested component | 7 | 
| - Conventional component | 1 | 
| Diagnosis | LNUC | NVUC | Papillary-Like | cUC | Study Number | 
|---|---|---|---|---|---|
| Pure LNUC | p.Y375C | p.Y375C | 2 | ||
| p.Y375C | p.Y375C | 3 | |||
| p.Y375C | p.Y375C | 4 | |||
| p.R248C | p.R248C | 12 | |||
| p.S249C | p.S249C | 15 | |||
| p.Y375C | p.Y375C | 19 | |||
| p.Y375C | p.Y375C | 25 | |||
| p.Y375C | NA | 9 | |||
| NA | p.S249C | 21 | |||
| p.S249C | 6 | ||||
| p.R248C | 8 | ||||
| p.S249C | 10 | ||||
| p.S249C | 11 | ||||
| p.R248C | 13 | ||||
| p.S249C | 14 | ||||
| p.S249C | 26 | ||||
| NA | 18 | ||||
| LNUC & | p.S249C | NA | NA | 23 | |
| NVUC | WT | WT | 1 | ||
| WT | WT | 5 | |||
| WT | WT | 16 | |||
| WT | WT | 22 | |||
| WT | WT | WT | 7 | ||
| NA | NA | 17 | |||
| LNUC & cUC | WT | WT | NA | 24 | 
| Diagnosis | LNUC | Nested | Papillary-Like | Conventional | Study Number | 
|---|---|---|---|---|---|
| Pure LNUC | -146 G>A | -146 G>A | 25 | ||
| -124 G>A | -124 G>A /-146 G>A | 12 | |||
| -124 G>A | -124 G>A | 19 | |||
| -124 G>A | -124 G>A | 21 | |||
| WT | -124 G>A | 2 | |||
| -124 G>A | NA | 9 | |||
| -57 A>C | NA | 15 | |||
| -146 G>A | 6 | ||||
| -124 G>A | 11 | ||||
| -124 G>A | 13 | ||||
| -124 G>A | 14 | ||||
| -124 G>A | 26 | ||||
| -57 A>C | 8 | ||||
| WT | WT | 3 | |||
| WT | WT | 4 | |||
| NA | 10 | ||||
| NA | 18 | ||||
| LNUC & | -124 G>A | -124 G>A | -124 G>A | 7 | |
| NVUC | -124 G>A | -124 G>A | 1 | ||
| -124 G>A | NA | NA | 23 | ||
| WT | -146 G>A | 5 | |||
| WT* | WT | 16 | |||
| NA | NA | 17 | |||
| NA | WT | 22 | |||
| LNUC & | -124 G>A | -124 G>A | -124 G>A | 24 | |
| cUC | 
| Score | All Components n (%)  | 
|---|---|
| IC (%) | |
| <5% | 20 (87.0) | 
| ≥5 | 3 (13.0) | 
| Not available | 2 | 
| CPS | |
| <10 | 19 (82.6) | 
| ≥ 10 | 4 (17.4) | 
| Not available | 2 | 
| Antibody | Company | Clone | Dilution | 
|---|---|---|---|
| CD44 | Dako | DF1485 | 1:40 | 
| CK20 | Dako | Ks20.8 | 1:50 | 
| CK5 | Zytomed | XM26 | 1:50 | 
| CK14 | Ventana | SP53 | ready to use | 
| GATA3 | DCS | L50-823 | 1:1000 | 
| FOXA1 | Abcam | ab23738 | 1:1000 | 
| PD-L1 | Dako | 28-8 | 1:200 | 
| FGFR3 | Santa Cruz | B9 | 1:50 | 
© 2020 by the authors. Licensee MDPI, Basel, Switzerland. This article is an open access article distributed under the terms and conditions of the Creative Commons Attribution (CC BY) license (http://creativecommons.org/licenses/by/4.0/).
Share and Cite
Weyerer, V.; Eckstein, M.; Compérat, E.; Juette, H.; Gaisa, N.T.; Allory, Y.; Stöhr, R.; Wullich, B.; Rouprêt, M.; Hartmann, A.; et al. Pure Large Nested Variant of Urothelial Carcinoma (LNUC) Is the Prototype of an FGFR3 Mutated Aggressive Urothelial Carcinoma with Luminal-Papillary Phenotype. Cancers 2020, 12, 763. https://doi.org/10.3390/cancers12030763
Weyerer V, Eckstein M, Compérat E, Juette H, Gaisa NT, Allory Y, Stöhr R, Wullich B, Rouprêt M, Hartmann A, et al. Pure Large Nested Variant of Urothelial Carcinoma (LNUC) Is the Prototype of an FGFR3 Mutated Aggressive Urothelial Carcinoma with Luminal-Papillary Phenotype. Cancers. 2020; 12(3):763. https://doi.org/10.3390/cancers12030763
Chicago/Turabian StyleWeyerer, Veronika, Markus Eckstein, Eva Compérat, Hendrik Juette, Nadine T. Gaisa, Yves Allory, Robert Stöhr, Bernd Wullich, Morgan Rouprêt, Arndt Hartmann, and et al. 2020. "Pure Large Nested Variant of Urothelial Carcinoma (LNUC) Is the Prototype of an FGFR3 Mutated Aggressive Urothelial Carcinoma with Luminal-Papillary Phenotype" Cancers 12, no. 3: 763. https://doi.org/10.3390/cancers12030763
APA StyleWeyerer, V., Eckstein, M., Compérat, E., Juette, H., Gaisa, N. T., Allory, Y., Stöhr, R., Wullich, B., Rouprêt, M., Hartmann, A., & Bertz, S. (2020). Pure Large Nested Variant of Urothelial Carcinoma (LNUC) Is the Prototype of an FGFR3 Mutated Aggressive Urothelial Carcinoma with Luminal-Papillary Phenotype. Cancers, 12(3), 763. https://doi.org/10.3390/cancers12030763
        
