Dickkopf-2 (DKK2) as Context Dependent Factor in Patients with Esophageal Adenocarcinoma
Abstract
1. Introduction
2. Material and Patients
2.1. Patients and Tumor Samples
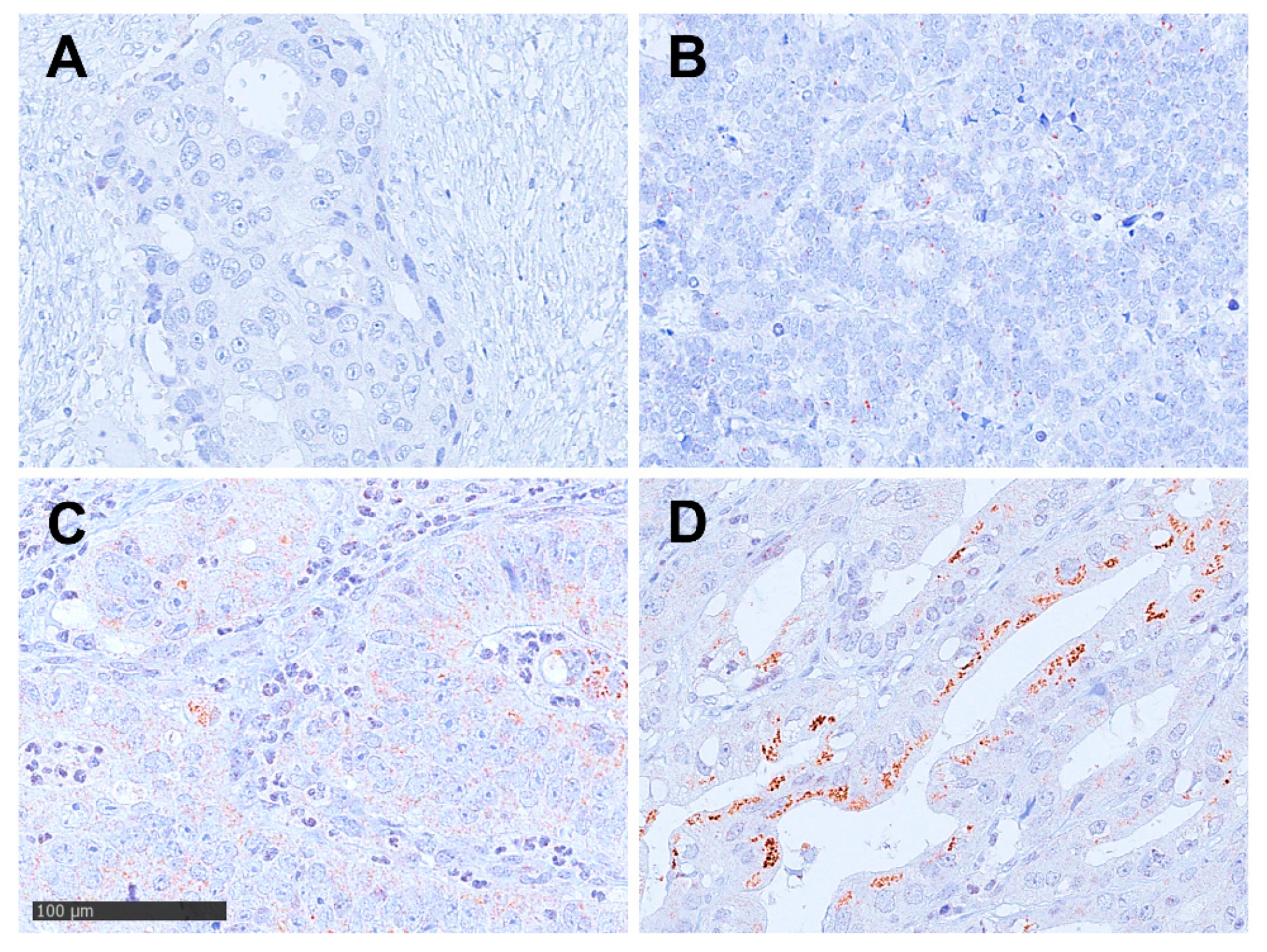
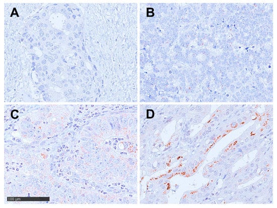
2.2. Immunohistochemistry for DKK2
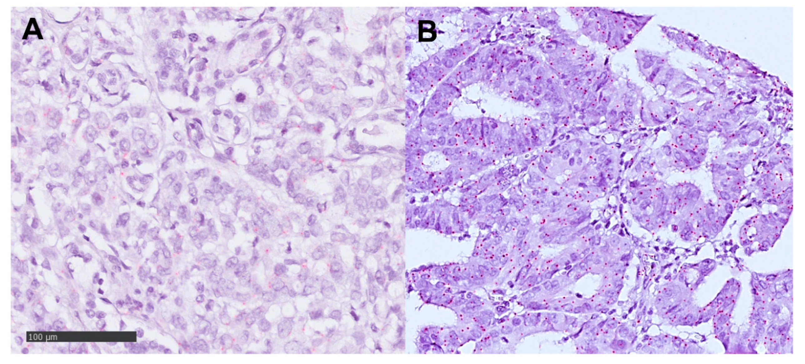
2.3. RNAscope for miRNA221
2.4. Fluorescence In-Situ Hybridization (FISH)
2.5. Genomic Data Analysis
2.6. Statistical Analysis
3. Results
3.1. Patients’ Baseline Characteristics
3.2. miRNA-221 and DKK2 Expression in Esophageal Adenocarcinoma
3.3. DKK2 Expression Is Associated with Shortened Overall-Survival in Patients After Neoadjuvant Treatment
3.4. Genomic Data Analysis
4. Discussion
4.1. DKK2 Expression and Its Impact on Survival
4.2. Role of GATA6
4.3. Impact of MiRNA-221
5. Conclusions
Author Contributions
Funding
Conflicts of Interest
References
- Siegel, R.L.; Miller, K.D.; Jemal, A. Cancer statistics, 2019. CA Cancer J. Clin. 2019, 69, 7–34. [Google Scholar] [CrossRef] [PubMed]
- Shapiro, J.; Van Lanschot, J.J.B.; Hulshof, M.; Van Hagen, P.; Van Berge Henegouwen, M.I.; Wijnhoven, B.P.L.; Van Laarhoven, H.W.M.; Nieuwenhuijzen, G.A.P.; Hospers, G.A.P.; Bonenkamp, J.J.; et al. Neoadjuvant chemoradiotherapy plus surgery versus surgery alone for oesophageal or junctional cancer (cross): Long-term results of a randomised controlled trial. Lancet Oncol. 2015, 16, 1090–1098. [Google Scholar] [CrossRef]
- Al-Batran, S.E.; Hofheinz, R.D.; Pauligk, C.; Kopp, H.G.; Haag, G.M.; Luley, K.B.; Meiler, J.; Homann, N.; Lorenzen, S.; Schmalenberg, H.; et al. Histopathological regression after neoadjuvant docetaxel, oxaliplatin, fluorouracil, and leucovorin versus epirubicin, cisplatin, and fluorouracil or capecitabine in patients with resectable gastric or gastro-oesophageal junction adenocarcinoma (flot4-aio): Results from the phase 2 part of a multicentre, open-label, randomised phase 2/3 trial. Lancet Oncol. 2016, 17, 1697–1708. [Google Scholar] [PubMed]
- Coccolini, F.; Nardi, M.; Montori, G.; Ceresoli, M.; Celotti, A.; Cascinu, S.; Fugazzola, P.; Tomasoni, M.; Glehen, O.; Catena, F.; et al. Neoadjuvant chemotherapy in advanced gastric and esophago-gastric cancer. Meta-analysis of randomized trials. Int. J. Surg. 2018, 51, 120–127. [Google Scholar] [CrossRef]
- Mao, B.; Niehrs, C. Kremen2 modulates dickkopf2 activity during wnt/lrp6 signaling. Gene 2003, 302, 179–183. [Google Scholar] [CrossRef]
- Li, L.; Mao, J.; Sun, L.; Liu, W.; Wu, D. Second cysteine-rich domain of dickkopf-2 activates canonical wnt signaling pathway via lrp-6 independently of dishevelled. J. Biol. Chem. 2002, 277, 5977–5981. [Google Scholar] [CrossRef]
- Mao, B.; Wu, W.; Li, Y.; Hoppe, D.; Stannek, P.; Glinka, A.; Niehrs, C. Ldl-receptor-related protein 6 is a receptor for dickkopf proteins. Nature 2001, 411, 321–325. [Google Scholar] [CrossRef]
- Attisano, L.; Labbe, E. Tgfbeta and wnt pathway cross-talk. Cancer Metastasis Rev. 2004, 23, 53–61. [Google Scholar] [CrossRef]
- Wang, Y.; Zhao, Y.; Herbst, A.; Kalinski, T.; Qin, J.; Wang, X.; Jiang, Z.; Benedix, F.; Franke, S.; Wartman, T.; et al. Mir-221 mediates chemoresistance of esophageal adenocarcinoma by direct targeting of dkk2 expression. Ann. Surg. 2016, 264, 804–814. [Google Scholar] [CrossRef]
- Schroder, W.; Holscher, A.H.; Bludau, M.; Vallbohmer, D.; Bollschweiler, E.; Gutschow, C. Ivor-lewis esophagectomy with and without laparoscopic conditioning of the gastric conduit. World J. Surg. 2010, 34, 738–743. [Google Scholar] [CrossRef]
- Holscher, A.H.; Schneider, P.M.; Gutschow, C.; Schroder, W. Laparoscopic ischemic conditioning of the stomach for esophageal replacement. Ann. Surg. 2007, 245, 241–246. [Google Scholar] [CrossRef] [PubMed]
- Messager, M.; Pasquer, A.; Duhamel, A.; Caranhac, G.; Piessen, G.; Mariette, C. Laparoscopic gastric mobilization reduces postoperative mortality after esophageal cancer surgery: A french nationwide study. Ann. Surg. 2015, 262, 817–822. [Google Scholar] [CrossRef] [PubMed]
- Mariette, C.; Markar, S.R.; Dabakuyo-Yonli, T.S.; Meunier, B.; Pezet, D.; Collet, D.; D’Journo, X.B.; Brigand, C.; Perniceni, T.; Carrere, N.; et al. Hybrid minimally invasive esophagectomy for esophageal cancer. N. Engl. J. Med. 2019, 380, 152–162. [Google Scholar] [CrossRef] [PubMed]
- Simon, R.; Mirlacher, M.; Sauter, G. Tissue microarrays. Methods Mol Med 2005, 114, 257–268. [Google Scholar] [CrossRef]
- Helbig, D.; Ihle, M.A.; Putz, K.; Tantcheva-Poor, I.; Mauch, C.; Buttner, R.; Quaas, A. Oncogene and therapeutic target analyses in atypical fibroxanthomas and pleomorphic dermal sarcomas. Oncotarget 2016, 7, 21763–21774. [Google Scholar] [CrossRef]
- Gao, J.; Aksoy, B.A.; Dogrusoz, U.; Dresdner, G.; Gross, B.; Sumer, S.O.; Sun, Y.; Jacobsen, A.; Sinha, R.; Larsson, E.; et al. Integrative analysis of complex cancer genomics and clinical profiles using the cbioportal. Sci. Signal. 2013, 6, pl1. [Google Scholar] [CrossRef]
- Cerami, E.; Gao, J.; Dogrusoz, U.; Gross, B.E.; Sumer, S.O.; Aksoy, B.A.; Jacobsen, A.; Byrne, C.J.; Heuer, M.L.; Larsson, E.; et al. The cbio cancer genomics portal: An open platform for exploring multidimensional cancer genomics data. Cancer Discov. 2012, 2, 401–404. [Google Scholar] [CrossRef]
- Liu, J.; Lichtenberg, T.; Hoadley, K.A.; Poisson, L.M.; Lazar, A.J.; Cherniack, A.D.; Kovatich, A.J.; Benz, C.C.; Levine, D.A.; Lee, A.V.; et al. An integrated tcga pan-cancer clinical data resource to drive high-quality survival outcome analytics. Cell 2018, 173, 400–416. [Google Scholar] [CrossRef]
- Wang, C.; Yue, Y.; Shao, B.; Qiu, Z.; Mu, J.; Tang, J.; Han, X.; Xiang, T.; Ren, G. Dickkopf-related protein 2 is epigenetically inactivated and suppresses colorectal cancer growth and tumor metastasis by antagonizing wnt/beta-catenin signaling. Cell. Physiol. Biochem. 2017, 41, 1709–1724. [Google Scholar] [CrossRef]
- Maass, T.; Marquardt, J.; Lee, J.S.; Krupp, M.; Scholz-Kreisel, P.; Mogler, C.; Schirmacher, P.; Muller, M.; Westphal, H.; Galle, P.R.; et al. Increased liver carcinogenesis and enrichment of stem cell properties in livers of dickkopf 2 (dkk2) deleted mice. Oncotarget 2016, 7, 28903–28913. [Google Scholar] [CrossRef]
- Shao, Y.C.; Nie, X.C.; Song, G.Q.; Wei, Y.; Xia, P.; Xu, X.Y. Prognostic value of dkk2 from the dickkopf family in human breast cancer. Int. J. Oncol. 2018, 53, 2555–2565. [Google Scholar] [CrossRef] [PubMed]
- Mu, J.; Hui, T.; Shao, B.; Li, L.; Du, Z.; Lu, L.; Ye, L.; Li, S.; Li, Q.; Xiao, Q.; et al. Dickkopf-related protein 2 induces g0/g1 arrest and apoptosis through suppressing wnt/beta-catenin signaling and is frequently methylated in breast cancer. Oncotarget 2017, 8, 39443–39459. [Google Scholar] [CrossRef] [PubMed]
- Lin, Y.F.; Li, L.H.; Lin, C.H.; Tsou, M.H.; Chuang, M.T.; Wu, K.M.; Liao, T.L.; Li, J.C.; Wang, W.J.; Tomita, A.; et al. Selective retention of an inactive allele of the dkk2 tumor suppressor gene in hepatocellular carcinoma. PLoS Genet. 2016, 12, e1006051. [Google Scholar] [CrossRef] [PubMed]
- Wang, L.; Wang, H.; Duan, X.; Dai, P.; Li, J. Comprehensive analysis of the canonical and non-canonical wnt signaling pathways in gastric cancer. Dig. Dis. Sci. 2019, 64, 2830–2842. [Google Scholar] [CrossRef] [PubMed]
- Xiao, Q.; Wu, J.; Wang, W.J.; Chen, S.; Zheng, Y.; Yu, X.; Meeth, K.; Sahraei, M.; Bothwell, A.L.M.; Chen, L.; et al. Dkk2 imparts tumor immunity evasion through beta-catenin-independent suppression of cytotoxic immune-cell activation. Nat. Med. 2018, 24, 262–270. [Google Scholar] [CrossRef] [PubMed]
- Zhong, Y.; Wang, Z.; Fu, B.; Pan, F.; Yachida, S.; Dhara, M.; Albesiano, E.; Li, L.; Naito, Y.; Vilardell, F.; et al. Gata6 activates wnt signaling in pancreatic cancer by negatively regulating the wnt antagonist dickkopf-1. PLoS ONE 2011, 6, e22129. [Google Scholar] [CrossRef]
- Afouda, B.A.; Martin, J.; Liu, F.; Ciau-Uitz, A.; Patient, R.; Hoppler, S. Gata transcription factors integrate wnt signalling during heart development. Development 2008, 135, 3185–3190. [Google Scholar] [CrossRef]






| Factor | DKK2 Expression | miRNA-221 Expression | GATA 6 | |||||||||||||||
|---|---|---|---|---|---|---|---|---|---|---|---|---|---|---|---|---|---|---|
| Negative | Positive | p Value | Negative | Positive | p Value | Negative | Positive | p Value | ||||||||||
| sex | female | 15 | 8.6% | 13 | 86.7% | 2 | 13.3% | 7 | 50.0% | 7 | 50.0% | 12 | 80.0% | 3 | 20.0% | |||
| male | 160 | 91.4% | 124 | 77.5% | 36 | 22.5% | 0.529 | 110 | 67.9% | 52 | 32.1% | 0.237 | 138 | 90.2% | 15 | 9.8% | 0.206 | |
| age group | <65 yrs | 90 | 53.6% | 69 | 76.7% | 21 | 23.3% | 56 | 63.6% | 32 | 36.4% | 77 | 88.5% | 10 | 11.5% | |||
| >65 yrs | 78 | 46.4% | 64 | 82.1% | 14 | 17.9% | 0.449 | 54 | 68.4% | 25 | 31.6% | 0.316 | 66 | 89.2% | 8 | 10.8% | 1.000 | |
| Tumor stage | pT 1 | 24 | 13.7% | 19 | 79.2% | 5 | 20.8% | 21 | 75.0% | 7 | 25.0% | 18 | 81.4% | 4 | 18.2% | |||
| pT 2 | 10 | 5.7% | 7 | 70.0 | 3 | 30.0% | 6 | 60.0% | 4 | 40.0% | 8 | 80.0% | 2 | 20.0% | ||||
| pT 3 | 133 | 76.0% | 104 | 78.2% | 29 | 21.8% | 83 | 63.8% | 47 | 36.2% | 116 | 90.6% | 12 | 9.4% | ||||
| pT 4 | 8 | 4.6% | 7 | 87.5% | 1 | 0.6% | 0.846 | 6 | 85.7% | 1 | 14.3% | 0.448 | 8 | 100% | 0 | 0% | 0.336 | |
| Lymph node metastasis | pN 0 | 70 | 40.0% | 51 | 72.9% | 19 | 27.1% | 50 | 69.4% | 22 | 30.6% | 59 | 86.8% | 9 | 13.2% | |||
| pN + | 105 | 60.0% | 86 | 81.9% | 19 | 18.1% | 0.818 | 67 | 64.4% | 37 | 35.6% | 0.563 | 91 | 91.0% | 9 | 9.0% | 0.266 | |
| UICC stage | I | 36 | 20.7% | 27 | 75.0% | 9 | 25.0% | 24 | 68.6% | 11 | 31.4% | 30 | 85.7% | 5 | 14.3% | |||
| II | 35 | 20.1% | 24 | 68.6% | 11 | 31.4% | 23 | 69.7% | 10 | 30.3% | 31 | 31.2% | 3 | 8.8% | ||||
| III | 78 | 44.8% | 64 | 82.1% | 14 | 17.9% | 45 | 61.6% | 28 | 38.4% | 65 | 89.0% | 8 | 11.0% | ||||
| IV | 25 | 14.4% | 21 | 84.0% | 4 | 16.0% | 0.349 | 16 | 66.7% | 8 | 33.3% | 0.826 | 23 | 92.0% | 2 | 8.0% | 0.853 | |
| neoadjuvant therapy | no | 60 | 34.3% | 50 | 83.3% | 10 | 16.7% | 38 | 66.7% | 19 | 33.3% | 55 | 94.8% | 3 | 5.2% | |||
| yes | 115 | 65.7% | 87 | 75.7% | 28 | 24.3% | 0.334 | 70 | 64.2% | 39 | 35.8% | 0.864 | 95 | 86.4% | 15 | 13.6% | 0.118 | |
| Factor | Primary Surgery | Neoadjuvant Treatment | ||||||
|---|---|---|---|---|---|---|---|---|
| Hazard Ratio | 95% Confidence Interval | p Value | Hazard Ratio | 95% Confidence Interval | p Value | |||
| Lower | Upper | Lower | Upper | |||||
| sexmale vs. female | 9.623 | 0.001 | . | 0.994 | 3.398 | 1.048 | 11.002 | 0.042 |
| age groups <65 yrs vs. >65 yrs | 2.163 | 0.802 | 5.832 | 0.127 | 1.203 | 0.724 | 2.000 | 0.475 |
| Tumor stage pT1/2 vs. pT3/4 | 3.585 | 0.804 | 15.974 | 0.094 | 1.122 | 0.541 | 2.327 | 0.757 |
| lymph node metastasis pN0 vs. pN+ | 12.063 | 2.641 | 55.104 | 0.001 | 2.246 | 1.284 | 3.929 | 0.005 |
| DKK2 neg. vs. pos. | 0.001 | 0.001 | 962.240 | 0.959 | 1.895 | 1.12 | 3.208 | 0.017 |
© 2020 by the authors. Licensee MDPI, Basel, Switzerland. This article is an open access article distributed under the terms and conditions of the Creative Commons Attribution (CC BY) license (http://creativecommons.org/licenses/by/4.0/).
Share and Cite
Schiffmann, L.M.; Loeser, H.; Jacob, A.S.; Maus, M.; Fuchs, H.; Zhao, Y.; Tharun, L.; Essakly, A.; Iannos Damanakis, A.; Zander, T.; et al. Dickkopf-2 (DKK2) as Context Dependent Factor in Patients with Esophageal Adenocarcinoma. Cancers 2020, 12, 451. https://doi.org/10.3390/cancers12020451
Schiffmann LM, Loeser H, Jacob AS, Maus M, Fuchs H, Zhao Y, Tharun L, Essakly A, Iannos Damanakis A, Zander T, et al. Dickkopf-2 (DKK2) as Context Dependent Factor in Patients with Esophageal Adenocarcinoma. Cancers. 2020; 12(2):451. https://doi.org/10.3390/cancers12020451
Chicago/Turabian StyleSchiffmann, Lars M., Heike Loeser, Anne Sophie Jacob, Martin Maus, Hans Fuchs, Yue Zhao, Lars Tharun, Ahlem Essakly, Alexander Iannos Damanakis, Thomas Zander, and et al. 2020. "Dickkopf-2 (DKK2) as Context Dependent Factor in Patients with Esophageal Adenocarcinoma" Cancers 12, no. 2: 451. https://doi.org/10.3390/cancers12020451
APA StyleSchiffmann, L. M., Loeser, H., Jacob, A. S., Maus, M., Fuchs, H., Zhao, Y., Tharun, L., Essakly, A., Iannos Damanakis, A., Zander, T., Büttner, R., Schröder, W., Bruns, C., Quaas, A., & Gebauer, F. (2020). Dickkopf-2 (DKK2) as Context Dependent Factor in Patients with Esophageal Adenocarcinoma. Cancers, 12(2), 451. https://doi.org/10.3390/cancers12020451

