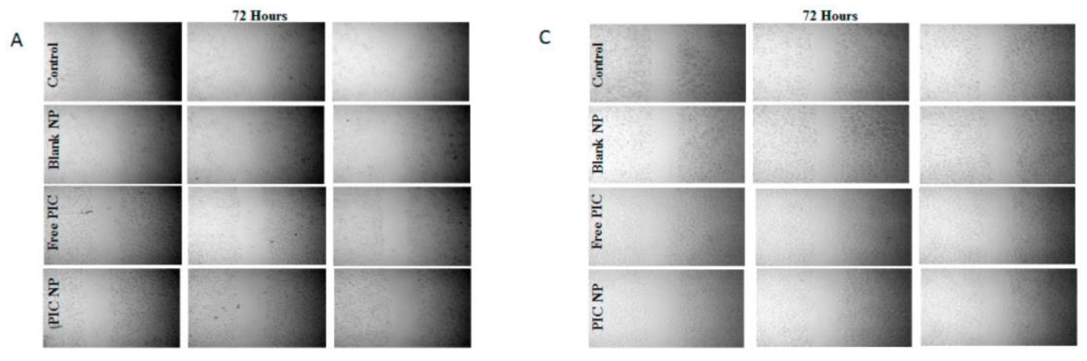
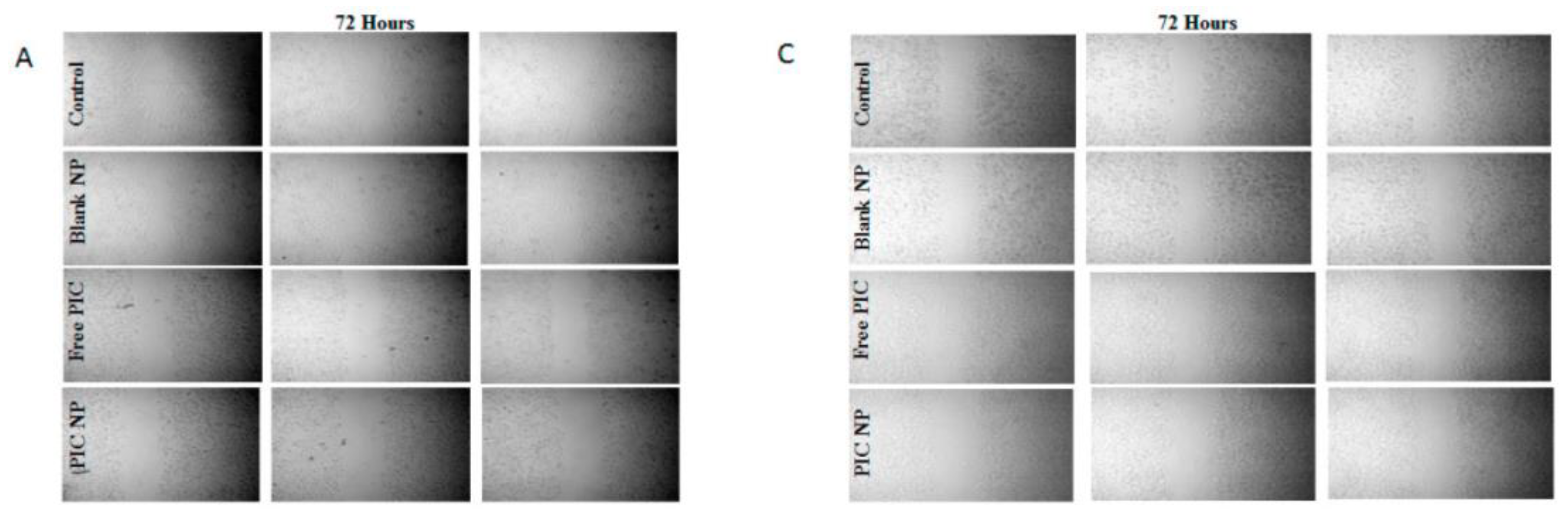
The authors wish to make the following corrections to this paper [1]: in Figure 2A,C on page 12, some panels appear to show overlapping areas; all images have been now corrected and the different treatment conditions shows the corresponding representative image.
The original version of Figure 2A,C is:

And should be replaced with the following Figure 2A,C:

The authors also wish to make the following corrections to this paper [1]: in Figure 4C on page 14, the images for the control and free PIC were taken from the same source due to human error; we have carefully re-assessed all the images and have corrected this error with the appropriate representative images of the control and free PIC groups.
The original version of Figure 4C is:

The figure should be replaced with the following Figure 4C with the corrected images:

We stress that these errors were purely due to human error and oversight, all corrections done do not change the written proportion of the figure legend, interpretation of the results, or the final conclusion of this manuscript. The manuscript will be updated. The authors would like to apologize for any inconvenience caused. All changes have been reviewed and approved by the Academic Editors.
Conflicts of Interest
The authors declare no conflict of interest.
Reference
- Aljabali, A.A.A.; Bakshi, H.A.; Hakkim, F.L.; Haggag, Y.A.; Al-Batanyeh, K.M.; Al Zoubi, M.S.; Al-Trad, B.; Nasef, M.M.; Satija, S.; Mehta, M.; et al. Albumin Nano-Encapsulation of Piceatannol Enhances Its Anticancer Potential in Colon Cancer Via Downregulation of Nuclear p65 and HIF-1α. Cancers 2020, 12, 113. [Google Scholar] [CrossRef] [PubMed]
Publisher’s Note: MDPI stays neutral with regard to jurisdictional claims in published maps and institutional affiliations. |
© 2020 by the authors. Licensee MDPI, Basel, Switzerland. This article is an open access article distributed under the terms and conditions of the Creative Commons Attribution (CC BY) license (http://creativecommons.org/licenses/by/4.0/).