The Role of Daily Adaptive Stereotactic MR-Guided Radiotherapy for Renal Cell Cancer
Simple Summary
Abstract
1. Introduction
2. Materials and Methods
Statistical Analysis
3. Results
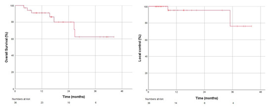
3.1. Clinical Outcomes
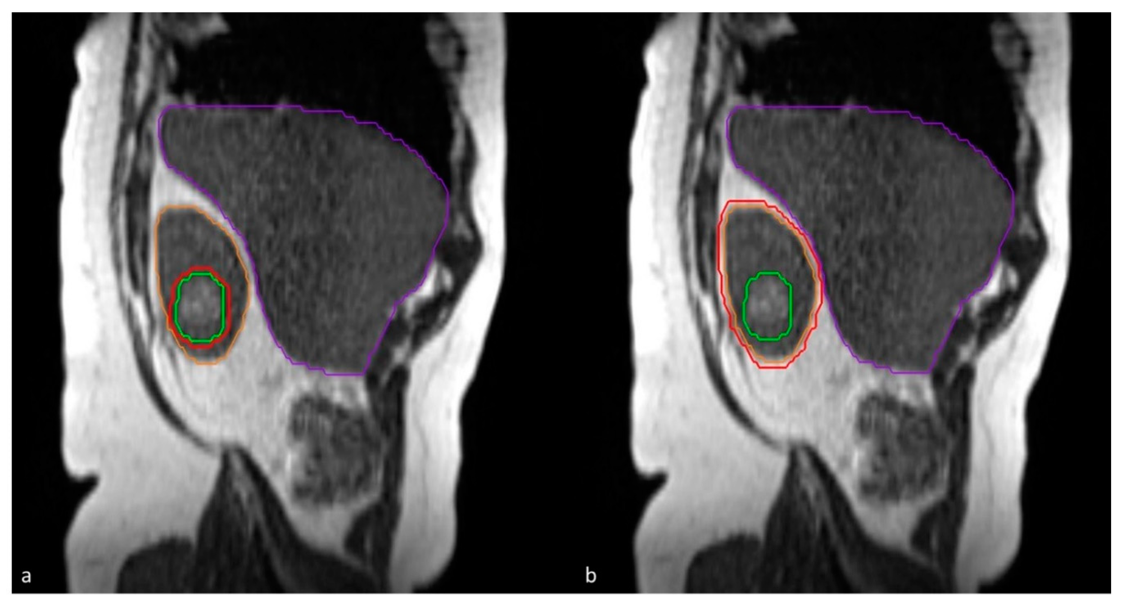
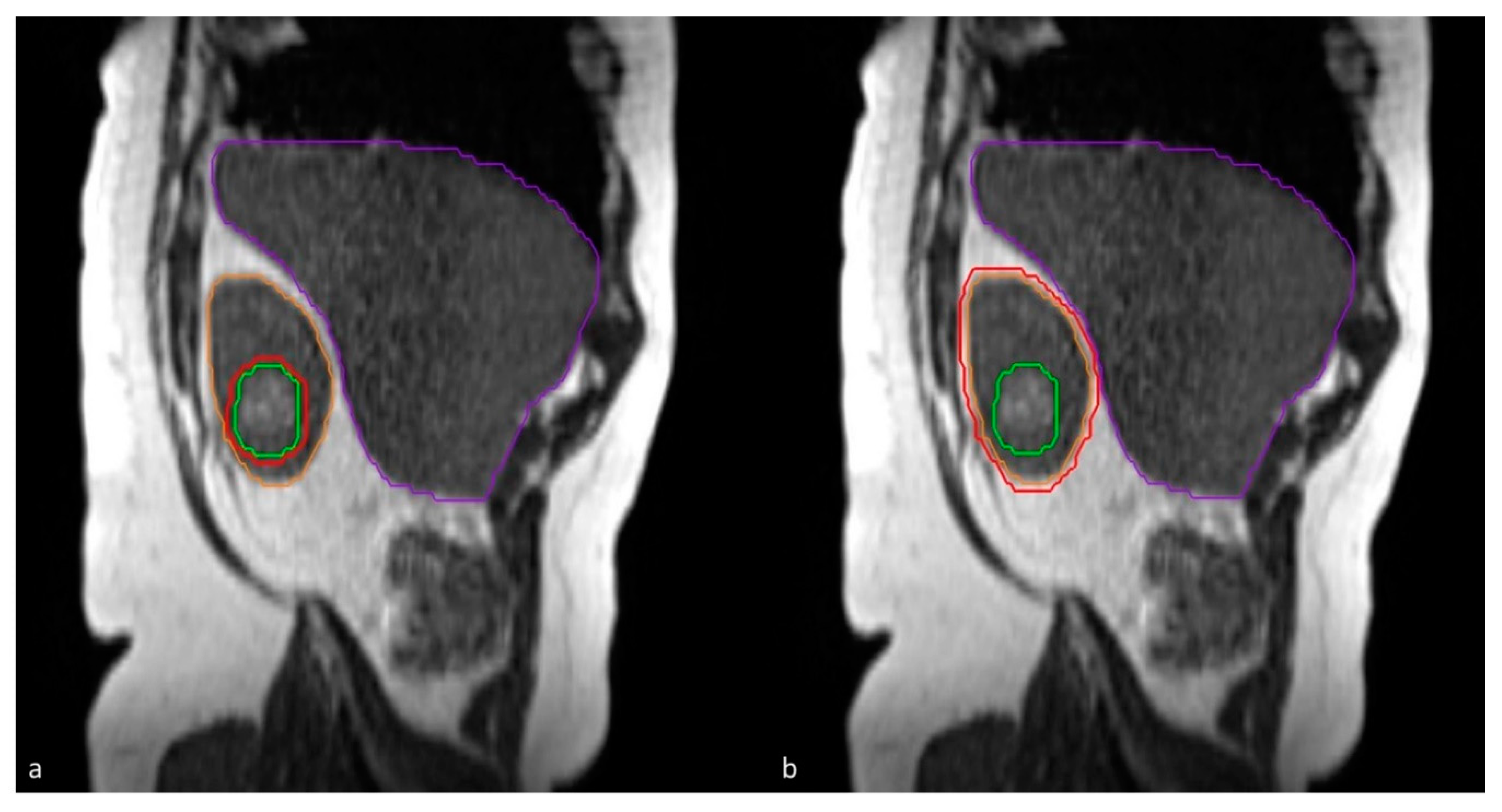
3.2. The Need for Daily Plan Re-Optimization
4. Discussion
5. Conclusions
Author Contributions
Funding
Conflicts of Interest
References
- Escudier, B.; Porta, C.; Schmidinger, M.; Rioux-Leclercq, N.; Bex, A.; Khoo, V.; Grünwald, V.; Gillessen, S.; Horwich, A.; ESMO Guidelines Committee. Renal cell carcinoma: ESMO Clinical Practice Guidelines for diagnosis, treatment and follow-up. Ann. Oncol. 2019, 30, 706–720. [Google Scholar] [CrossRef] [PubMed]
- Campbell, S.; Uzzo, R.G.; Allaf, M.E.; Bass, E.B.; Cadeddu, J.A.; Chang, A.; Clark, P.E.; Davis, B.J.; Derweesh, I.H.; Giambarresi, L.; et al. Renal Mass and Localized Renal Cancer: AUA Guideline. J. Urol. 2017, 198, 520–529. [Google Scholar] [CrossRef] [PubMed]
- Ljungberg, B.; Albiges, L.; Bensalah, K.; Bex, A.; Giles, R.H.; Hora, M.; Kuczyk, M.A.; Lam, T.; Marconi, L.; Merseburger, A.S.; et al. European Association of Urology Guidelines on Renal Cell Carcinoma; EAU Annual Congress: Amsterdam, The Netherlands, 2020; ISBN 978-94-92671-07-3. [Google Scholar]
- Motzer, R.J.; Jonasch, E.; Agarwal, N.; Bhayani, S.; Bro, W.P.; Chang, S.S.; Choueiri, T.K.; Costello, B.A.; Derweesh, I.H.; Fishman, M.; et al. Kidney Cancer, Version 2.2017, NCCN Clinical Practice Guidelines in Oncology. J. Natl. Compr. Canc. Netw. 2017, 15, 804–834. [Google Scholar] [CrossRef] [PubMed]
- Peddada, A.V.; Anderson, D.; Blasi, O.C.; McCollough, K.; Jennings, S.B.; Monroe, A.T. Nephron-Sparing Robotic Radiosurgical Therapy for Primary Renal Cell Carcinoma: Single-Institution Experience and Review of the Literature. Adv. Radiat. Oncol. 2019, 5, 204–211. [Google Scholar] [CrossRef] [PubMed]
- Siva, S.; Pham, D.; Kron, T.; Bressel, M.; Lam, J.; Tan, T.H.; Chesson, B.; Shaw, M.; Chander, S.; Gill, S.; et al. Stereotactic ablative body radiotherapy for inoperable primary kidney cancer: A prospective clinical trial. BJU Int. 2017, 120, 623–630. [Google Scholar] [CrossRef]
- Staehler, M.; Bader, M.; Schlenker, B.; Casuscelli, J.; Karl, A.; Roosen, A.; Stief, C.G.; Bex, A.; Wowra, B.; Muacevic, A. Single fraction radiosurgery for the treatment of renal tumors. J. Urol. 2015, 193, 771–775. [Google Scholar] [CrossRef]
- Ponsky, L.; Lo, S.S.; Zhang, Y.; Schluchter, M.; Liu, Y.; Patel, R.; Abouassaly, R.; Welford, S.; Gulani, V.; Haaga, J.R.; et al. Phase I dose-escalation study of stereotactic body radiotherapy (SBRT) for poor surgical candidates with localized renal cell carcinoma. Radiother. Oncol. 2015, 117, 183–187. [Google Scholar] [CrossRef]
- Pham, D.; Thompson, A.; Kron, T.; Foroudi, F.; Kolsky, M.S.; Devereux, T.; Lim, A.; Siva, S. Stereotactic ablative body radiation therapy for primary kidney cancer: A 3-dimensional conformal technique associated with low rates of early toxicity. Int. J. Radiat. Oncol. Biol. Phys. 2014, 90, 1061–1068. [Google Scholar] [CrossRef]
- Kaidar-Person, O.; Price, A.; Schreiber, E.; Zagar, T.M.; Chen, R.C. Stereotactic Body Radiotherapy for Large Primary Renal Cell Carcinoma. Clin. Genitourin. Cancer 2017, 15, e851–e854. [Google Scholar] [CrossRef]
- Sun, M.R.; Brook, A.; Powell, M.F.; Kaliannan, K.; Wagner, A.A.; Kaplan, I.D.; Pedrosa, I. Effect of Stereotactic Body Radiotherapy on the Growth Kinetics and Enhancement Pattern of Primary Renal Tumors. AJR Am. J. Roentgenol. 2016, 206, 544–553. [Google Scholar] [CrossRef]
- Chang, J.H.; Cheung, P.; Erler, D.; Sonier, M.; Korol, R.; Chu, W. Stereotactic Ablative Body Radiotherapy for Primary Renal Cell Carcinoma in Non-surgical Candidates: Initial Clinical Experience. Clin. Oncol. 2016, 28, e109–e114. [Google Scholar] [CrossRef] [PubMed]
- Beitler, J.J.; Makara, D.; Silverman, P.; Lederman, G. Definitive, high-dose-perfraction, conformal, stereotactic external radiation for renal cell carcinoma. Am. J. Clin. Oncol. 2004, 27, 646–648. [Google Scholar] [CrossRef] [PubMed]
- McBride, S.M.; Wagner, A.A.; Kaplan, I.D. A phase 1 dose-escalation study of robotic radiosurgery in inoperable primary renal cell carcinoma. Int. J. Radiat. Oncol. Biol. Phys. 2013, 87, S84. [Google Scholar] [CrossRef]
- Siva, S.; Louie, A.V.; Warner, A.; Muacevic, A.; Gandhidasan, S.; Ponsky, L.; Ellis, R.; Kaplan, I.; Mahadevan, A.; Chu, w.; et al. Pooled analysis of stereotactic ablative radiotherapy for primary renal cell carcinoma: A report from the international radiosurgery oncology consortium for kidney (IROCK). Cancer 2018, 124, 934–942. [Google Scholar] [CrossRef] [PubMed]
- Siva, S.; Correa, R.J.; Warner, A.; Staehler, M.; Ellis, R.J.; Ponsky, L.; Kaplan, I.D.; Mahadevan, A.; Chu, W.; Gandhidasan, S.; et al. Stereotactic Ablative Radiotherapy for ≥T1b Primary Renal Cell Carcinoma: A Report from the International Radiosurgery Oncology Consortium for Kidney (IROCK). Int. J. Radiat. Oncol. Biol. Phys. 2020, in press journal pre-proof. [Google Scholar] [CrossRef] [PubMed]
- Siva, S.; Chesson, B.; Bressel, M.; Pryor, D.; Higgs, B.; Reynolds, H.M.; Hardcastle, N.; Montgomery, R.; Vanneste, B.G.; Khoo, V.; et al. TROG 15.03 Phase II Clinical Trial of Focal Ablative STereotactic Radiosurgery for Cancers of the Kidney—FASTRACK II. BMC Cancer 2018, 18, 1030. [Google Scholar] [CrossRef] [PubMed]
- Rühle, A.; Andratschke, N.; Siva, S.; Guckenberger, M. Is there a role for stereotactic radiotherapy in the treatment of renal cell carcinoma? Clin. Transl. Radiat. Oncol. 2019, 18, 104–112. [Google Scholar] [CrossRef]
- Corradini, S.; Alongi, F.; Andratschke, N.; Belka, C.; Boldrini, L.; Cellini, F.; Debus, J.; Guckenberger, M.; Hoerner-Rieber, J.; Lagerwaard, F.J.; et al. MR-guidance in clinical reality: Current treatment challenges and future perspectives. Radiat. Oncol. 2019, 14, 92. [Google Scholar] [CrossRef]
- Bohoudi, O.; Bruynzeel, A.; Senan, S.; Cuijpers, J.; Slotman, B.; Lagerwaard, F.; Palacios, M. Fast and robust online adaptive planning in stereotactic MR-guided adaptive radiation therapy (SMART) for pancreatic cancer. Radiother. Oncol. 2017, 125, 439–444. [Google Scholar] [CrossRef]
- Tetar, S.; Bruynzeel, A.; Bakker, R.; Jeulink, M.; Slotman, B.; Oei, S.; Haasbeek, C.; De Jong, K.; Senan, S.; Lagerwaard, F.J. Patient-reported Outcome Measurements on the Tolerance of Magnetic Resonance Imaging-guided Radiation Therapy. Cureus 2018, 10, e2236. [Google Scholar] [CrossRef]
- Koste, J.R.V.S.D.; Palacios, M.A.; Bruynzeel, A.M.; Slotman, B.; Senan, S.; Lagerwaard, F.J. MR-guided Gated Stereotactic Radiation Therapy Delivery for Lung, Adrenal, and Pancreatic Tumors: A Geometric Analysis. Int. J. Radiat. Oncol. Biol. Phys. 2018, 102, 858–866. [Google Scholar] [CrossRef] [PubMed]
- Francolini, G.; Detti, B.; Ingrosso, G.; Desideri, I.; Becherini, C.; Carta, G.A.; Pezzulla, D.; Caramia, G.; Dominici, L.; Maragna, V.; et al. Stereotactic Body Radiation Therapy (SBRT) on Renal Cell Carcinoma, an Overview of Technical Aspects, Biological Rationale and Current Literature. Crit. Rev. Oncol. Hematol. 2018, 131, 24–29. [Google Scholar] [CrossRef]
- Siva, S.; Pham, D.; Gill, S.; Corcoran, N.M.; Foroudi, F. A systematic review of stereotactic radiotherapy ablation for primary renal cell carcinoma. BJU Int. 2012, 110, E737–E743. [Google Scholar] [CrossRef] [PubMed]
- Siva, S.; Staehler, M.; Correa, R.; Warner, A.; Ellis, R.; Gandhidasan, S.; Ponsky, L.; Kaplan, I.; Mahadevan, A.; Chu, W.; et al. Stereotactic Body Radiotherapy for Large Primary Renal Cell Carcinoma: A Report from the International Radiosurgery Oncology Consortium for Kidney (IROCK). Int. J. Radiat. Oncol. Biol. Phys. 2019, 105, E257–E258. [Google Scholar] [CrossRef]
- Wegner, R.E.; Abel, S.; Vemana, G.; Mao, S.; Fuhrer, R. Utilization of Stereotactic Ablative Body Radiation Therapy for Intact Renal Cell Carcinoma: Trends in Treatment and Predictors of Outcome. Adv. Radiat. Oncol. 2019, 5, 85–91. [Google Scholar] [CrossRef] [PubMed]
- Correa, R.J.; Louie, A.V.; Zaorsky, N.G.; Lehrer, E.J.; Ellis, R.; Ponsky, L.; Kaplan, I.; Mahadevan, A.; Chu, W.; Swaminath, A.; et al. The Emerging Role of Stereotactic Ablative Radiotherapy for Primary Renal Cell Carcinoma: A Systematic Review and Meta-Analysis. Eur. Urol. Focus 2019, 5, 958–969. [Google Scholar] [CrossRef]
- Siva, S.; Jackson, P.; Kron, T.; Bressel, M.; Lau, E.; Hofman, M.; Shaw, M.; Chander, S.; Pham, D.; Lawrentshuk, N.; et al. Impact of stereotactic radiotherapy on kidney function in primary renal cell carcinoma: Establishing a dose-response relationship. Radiother. Oncol. 2016, 118, 540–546. [Google Scholar] [CrossRef]
- Musaddaq, B.; Musaddaq, T.; Gupta, A.; Ilyas, S.; Von Stempel, C. Renal Cell Carcinoma: The Evolving Role of Imaging in the 21st Century. Semin. Ultrasound CT MR 2020, 41, 344–350. [Google Scholar] [CrossRef]
- Grant, S.R.; Lei, X.; Hess, K.R.; Smith, G.L.; Matin, S.F.; Wood, C.G.; Nguyen, Q.; Frank, S.J.; Anscher, M.S.; Smith, B.D.; et al. Stereotactic Body Radiation Therapy for the Definitive Treatment of Early Stage Kidney Cancer: A Survival Comparison with Surgery, Tumor Ablation, and Observation. Adv. Radiat. Oncol. 2020, 5, 495–502. [Google Scholar] [CrossRef]




| Structure | Dose to Volume | |||
|---|---|---|---|---|
| Planning Target Volume | ≥50 | % at | 38 | Gy |
| ≤1 | cc at | 50 | Gy | |
| Kidney Contralateral | ≤25 | % at | 12 | Gy |
| Liver | ≤50 | % at | 12 | Gy |
| Duodenum, Bowel, Stomach in 2 cm | ≤0.1 | cc at | 36 | Gy |
| ≤1 | cc at | 33 | Gy | |
| Mean Age (Range), Years | 78.1 (58–95) | |
|---|---|---|
| Sex, n (%) | ||
| Male | 24 (66.7) | |
| Female | 12 (33.3) | |
| WHO performance status, n (%) | ||
| 0 | 3 (7.9) | |
| 1 | 21 (58.3) | |
| 2 | 12 (33.3) | |
| Charlson comorbidity, n (%) | ||
| Mean (SD) | 6.4 (2.5) | |
| 2–3 | 3 (8.3) | |
| 4–6 | 18 (50) | |
| 7–9 | 10 (27.8) | |
| 10–13 | 5 (13.9) | |
| Histology RCC, n (%) | ||
| Yes | 20 (55.6) | |
| No | 16 (44.4) | |
| Tumor Laterality, n (%) | ||
| Left | 13 (36.1) | |
| Right | 23 (63.9) | |
| Tumor location, n (%) | ||
| Interpolar | 13 (36.1) | |
| Lower pole | 13 (36.1) | |
| Upper pole | 10 (27.8) | |
| Tumor size largest dimension, cm | ||
| Mean (SD) | 5.6 (1.6) | |
| Median (range) | 5.5 (2.4–9.3) | |
| T-stage, n (%) | ||
| cT1a | 5 (13.9) | |
| cT1b | 23 (63.9) | |
| cT2a | 8 (22.2) | |
| GTV, cc | ||
| Mean (range) | 79.7 (7.7–350.4) | |
| PTV, cc | ||
| Mean (range) | 108.6 (14.3–445.9) | |
| Renal function (eGFR), ml/min/1.73 m2 | ||
| Mean (SD) | 55.8 (20.1) | |
| CKD classification, n (%) | ||
| I | Normal (eGFR ≥ 90) | 0 (0) |
| II | Mild (eGFR ≥ 60 to < 90) | 15 (41.7) |
| IIIa | Mild-Moderate (eGFR ≥ 45 to <60) | 10 (27.8) |
| IIIb | Moderate-Severe (eGFR ≥ 30 to <45) | 8 (22.2) |
| IV | Severe (eGFR < 30) | 2 (5.6) |
| V | Kidney failure (eGFR < 15) | 1 (2.8) |
| Redundant n (%) | Needed n (%) | Total n (%) | Predictive Variable | Split Values | Chi-Square | df | p-Value | |
|---|---|---|---|---|---|---|---|---|
| Parent node: all cases | 151 (83.9) | 29 (16.1) | 180 (100) | |||||
| Split group 1 | 90 (100) | 0 (0) | 90 (100) | OAR V25Gy | ≤0.5 cc | 34.6 | 1 | <0.001 |
| Split group 2 | 61 (67.8) | 25 (32.2) | 90 (100) | OAR V25Gy | >0.5 cc | 34.6 | 1 | <0.001 |
© 2020 by the authors. Licensee MDPI, Basel, Switzerland. This article is an open access article distributed under the terms and conditions of the Creative Commons Attribution (CC BY) license (http://creativecommons.org/licenses/by/4.0/).
Share and Cite
Tetar, S.U.; Bohoudi, O.; Senan, S.; Palacios, M.A.; Oei, S.S.; Wel, A.M.v.d.; Slotman, B.J.; Moorselaar, R.J.A.v.; Lagerwaard, F.J.; Bruynzeel, A.M.E. The Role of Daily Adaptive Stereotactic MR-Guided Radiotherapy for Renal Cell Cancer. Cancers 2020, 12, 2763. https://doi.org/10.3390/cancers12102763
Tetar SU, Bohoudi O, Senan S, Palacios MA, Oei SS, Wel AMvd, Slotman BJ, Moorselaar RJAv, Lagerwaard FJ, Bruynzeel AME. The Role of Daily Adaptive Stereotactic MR-Guided Radiotherapy for Renal Cell Cancer. Cancers. 2020; 12(10):2763. https://doi.org/10.3390/cancers12102763
Chicago/Turabian StyleTetar, Shyama U., Omar Bohoudi, Suresh Senan, Miguel A. Palacios, Swie S. Oei, Antoinet M. van der Wel, Berend J. Slotman, R. Jeroen A. van Moorselaar, Frank J. Lagerwaard, and Anna M. E. Bruynzeel. 2020. "The Role of Daily Adaptive Stereotactic MR-Guided Radiotherapy for Renal Cell Cancer" Cancers 12, no. 10: 2763. https://doi.org/10.3390/cancers12102763
APA StyleTetar, S. U., Bohoudi, O., Senan, S., Palacios, M. A., Oei, S. S., Wel, A. M. v. d., Slotman, B. J., Moorselaar, R. J. A. v., Lagerwaard, F. J., & Bruynzeel, A. M. E. (2020). The Role of Daily Adaptive Stereotactic MR-Guided Radiotherapy for Renal Cell Cancer. Cancers, 12(10), 2763. https://doi.org/10.3390/cancers12102763

