Transcatheter Arterial Embolization Treatment for Bleeding Visceral Artery Pseudoaneurysms in Patients with Pancreatitis or following Pancreatic Surgery
Simple Summary
Abstract
1. Introduction
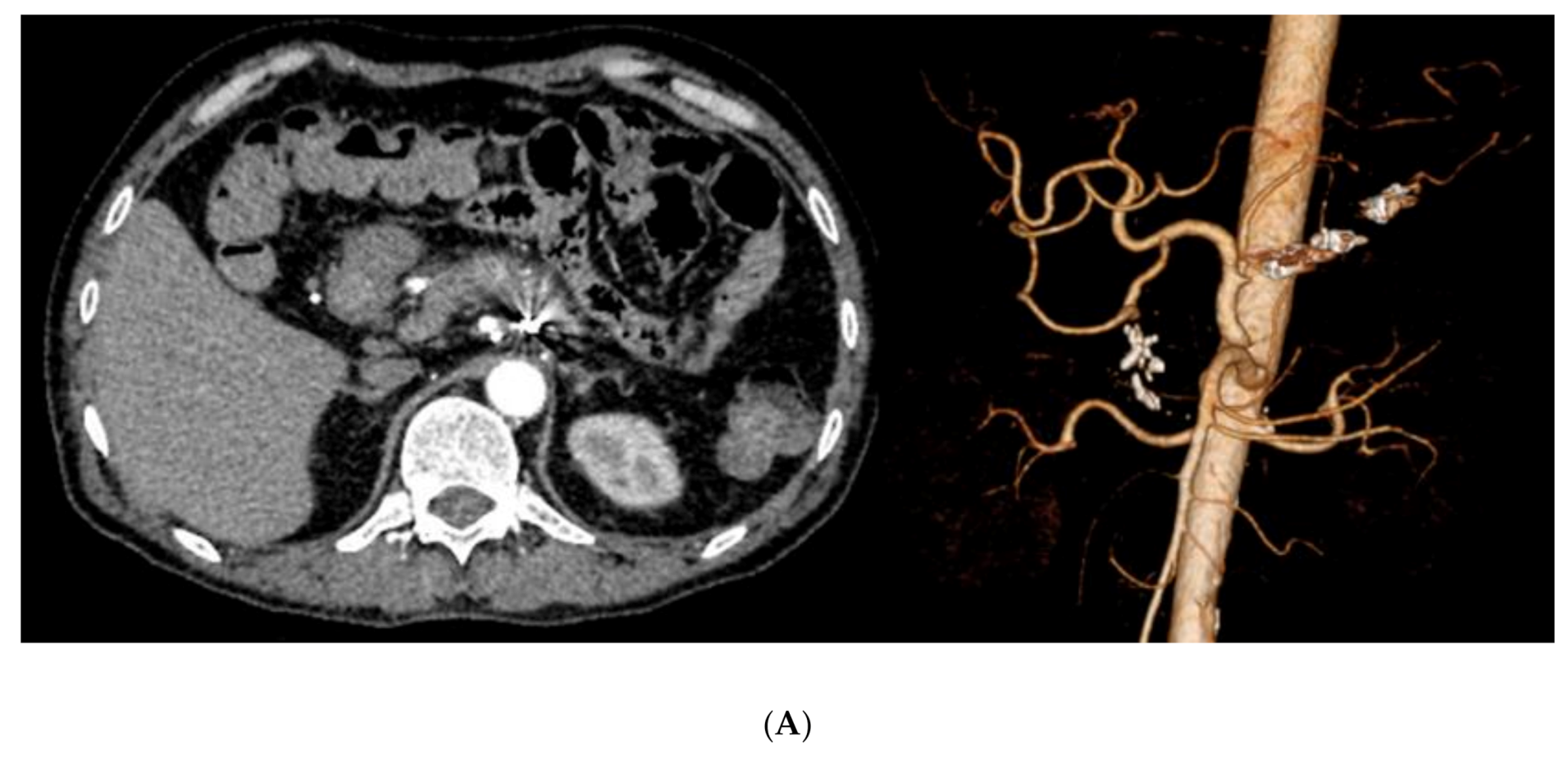
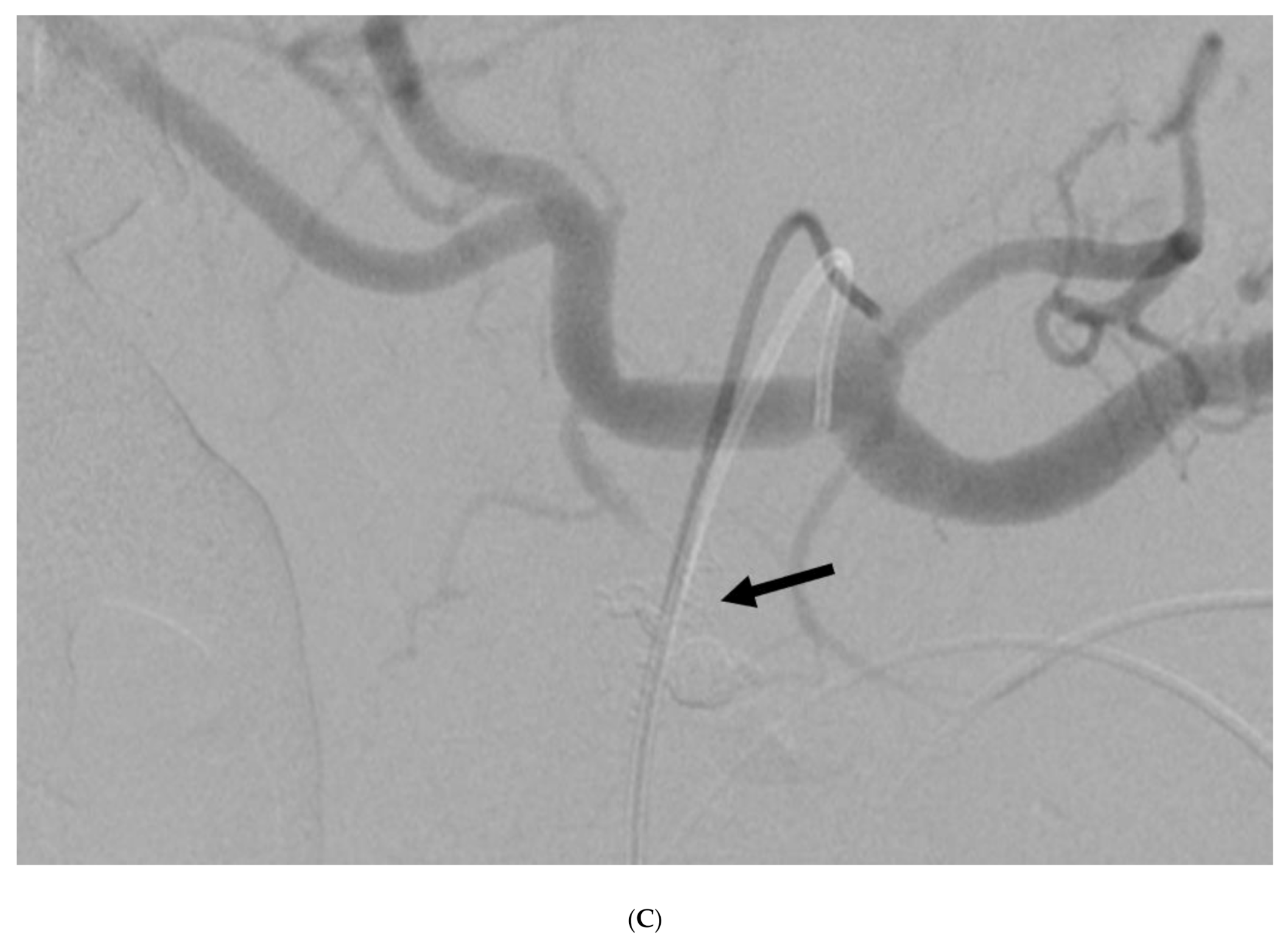
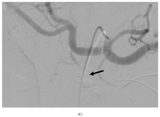
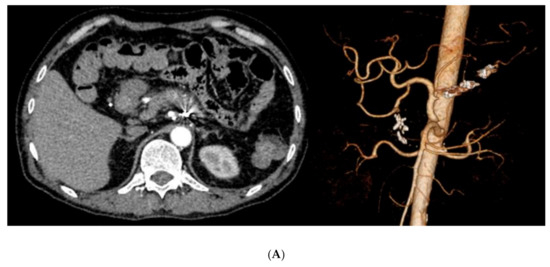
2. Results
2.1. Study Population
2.2. Recurrent Bleeding
2.3. Complications
3. Discussion
4. Materials and Methods
4.1. Patients
4.2. Embolization
4.3. Sites of Pseudoaneurysms
4.4. Outcomes
5. Conclusions
Author Contributions
Funding
Acknowledgments
Conflicts of Interest
References
- Sato, N.; Yamaguchi, K.; Shimizu, S.; Morisaki, T.; Yokohata, K.; Chijiiwa, K.; Tanaka, M. Coil embolization of bleeding visceral pseudoaneurysms following pancreatectomy: The importance of early angiography. Arch. Surg. 1998, 133, 1099–1102. [Google Scholar] [CrossRef] [PubMed]
- Balachandra, S.; Siriwardena, A.K. Systematic appraisal of the management of the major vascular complications of pancreatitis. Am. J. Surg. 2005, 190, 489–495. [Google Scholar] [CrossRef] [PubMed]
- Izaki, K.; Yamaguchi, M.; Kawasaki, R.; Okada, T.; Sugimura, K.; Sugimoto, K. N-butyl cyanoacrylate embolization for pseudoaneurysms complicating pancreatitis or pancreatectomy. J. Vasc. Interv. Radiol. 2011, 22, 302–308. [Google Scholar] [CrossRef] [PubMed]
- Bergert, H.; Hinterseher, I.; Kersting, S.; Leonhardt, J.; Bloomenthal, A.; Saeger, H.D. Management and outcome of hemorrhage due to arterial pseudoaneurysms in pancreatitis. Surgery 2005, 137, 323–328. [Google Scholar] [CrossRef]
- Miura, F.; Asano, T.; Amano, H.; Yoshida, M.; Toyota, N.; Wada, K.; Kato, K.; Yamazaki, E.; Kadowaki, S.; Shibuya, M.; et al. Management of postoperative arterial hemorrhage after pancreato-biliary surgery according to the site of bleeding: Re-laparotomy or interventional radiology. J. Hepatobiliary Pancreat. Surg. 2009, 16, 56–63. [Google Scholar] [CrossRef]
- Fujii, Y.; Shimada, H.; Endo, I.; Yoshida, K.; Matsuo, K.; Takeda, K.; Ueda, M.; Morioka, D.; Tanaka, K.; Togo, S. Management of massive arterial hemorrhage after pancreatobiliary surgery: Does embolotherapy contribute to successful outcome? J. Gastrointest. Surg. 2007, 11, 432–438. [Google Scholar] [CrossRef]
- Boudghene, F.; L’Hermine, C.; Bigot, J.M. Arterial complications of pancreatitis: Diagnostic and therapeutic aspects in 104 cases. J. Vasc. Interv. Radiol. 1993, 4, 551–558. [Google Scholar] [CrossRef]
- Mauro, M.A.; Jaques, P. Transcatheter management of pseudoaneurysms complicating pancreatitis. J. Vasc. Interv. Radiol. 1991, 2, 527–532. [Google Scholar] [CrossRef]
- Golzarian, J.; Nicaise, N.; Deviere, J.; Ghysels, M.; Wery, D.; Dussaussois, L.; Van Gansbeke, D.; Struyven, J. Transcatheter embolization of pseudoaneurysms complicating pancreatitis. Cardiovasc. Interv. Radiol. 1997, 20, 435–440. [Google Scholar] [CrossRef]
- Gambiez, L.P.; Ernst, O.J.; Merlier, O.A.; Porte, H.L.; Chambon, J.P.; Quandalle, P.A. Arterial embolization for bleeding pseudocysts complicating chronic pancreatitis. Arch. Surg. 1997, 132, 1016–1021. [Google Scholar] [CrossRef]
- Zyromski, N.J.; Vieira, C.; Stecker, M.; Nakeeb, A.; Pitt, H.A.; Lillemoe, K.D.; Howard, T.J. Improved outcomes in postoperative and pancreatitis-related visceral pseudoaneurysms. J. Gastrointest. Surg. 2007, 11, 50–55. [Google Scholar] [CrossRef] [PubMed]
- Sethi, H.; Peddu, P.; Prachalias, A.; Kane, P.; Karani, J.; Rela, M.; Heaton, N. Selective embolization for bleeding visceral artery pseudoaneurysms in patients with pancreatitis. Hepatobiliary Pancreat. Dis. Int. 2010, 9, 634–638. [Google Scholar] [PubMed]
- Udd, M.; Leppaniemi, A.K.; Bidel, S.; Keto, P.; Roth, W.D.; Haapiainen, R.K. Treatment of bleeding pseudoaneurysms in patients with chronic pancreatitis. World J. Surg. 2007, 31, 504–510. [Google Scholar] [CrossRef] [PubMed]
- Carr, J.A.; Cho, J.S.; Shepard, A.D.; Nypaver, T.J.; Reddy, D.J. Visceral pseudoaneurysms due to pancreatic pseudocysts: Rare but lethal complications of pancreatitis. J. Vasc. Surg. 2000, 32, 722–730. [Google Scholar] [CrossRef]
- Lee, H.G.; Heo, J.S.; Choi, S.H.; Choi, D.W. Management of bleeding from pseudoaneurysms following pancreaticoduodenectomy. World J. Gastroenterol. 2010, 16, 1239–1244. [Google Scholar] [CrossRef] [PubMed]
- Nicholson, T.; Travis, S.; Ettles, D.; Dyet, J.; Sedman, P.; Wedgewood, K.; Royston, C. Hepatic artery angiography and embolization for hemobilia following laparoscopic cholecystectomy. Cardiovasc. Interv. Radiol. 1999, 22, 20–24. [Google Scholar] [CrossRef]
- Kitagawa, T.; Iriyama, K.; Azuma, T.; Yamakado, K. Nonoperative treatment for a ruptured pseudoaneurysm of the celiac trunk: Report of a case. Surg. Today 1997, 27, 1069–1073. [Google Scholar] [CrossRef]
- Jae, H.J.; Chung, J.W.; Jung, A.Y.; Lee, W.; Park, J.H. Transcatheter arterial embolization of nonvariceal upper gastrointestinal bleeding with N-butyl cyanoacrylate. Korean J. Radiol. 2007, 8, 48–56. [Google Scholar] [CrossRef]
- Yamakado, K.; Nakatsuka, A.; Tanaka, N.; Takano, K.; Matsumura, K.; Takeda, K. Transcatheter arterial embolization of ruptured pseudoaneurysms with coils and n-butyl cyanoacrylate. J. Vasc. Interv. Radiol. 2000, 11, 66–72. [Google Scholar] [CrossRef]
- Ching, K.C.; Santos, E.; McCluskey, K.M.; Orons, P.D.; Bandi, R.; Friend, C.J.; Xing, M.; Zureikat, A.H.; Zeh, H.J. Covered stents and coil embolization for treatment of Postpancreatectomy arterial hemorrhage. J. Vasc. Interv. Radiol. 2016, 27, 73–79. [Google Scholar] [CrossRef]
- Shrikhande, G.V.; Khan, S.Z.; Gallagher, K.; Morrissey, N.J. Endovascular management of superior mesenteric artery pseudoaneurysm. J. Vasc. Surg. 2011, 53, 209–211. [Google Scholar] [CrossRef] [PubMed]
- Cromwell, L.D.; Kerber, C.W. Modification of cyanoacrylate for therapeutic embolization: Preliminary experience. AJR Am. J. Roentgenol. 1979, 132, 799–801. [Google Scholar] [CrossRef] [PubMed]




| Variable | Total Patients (n = 42) |
|---|---|
| Age, years | 60.17 (33–80) |
| Gender | |
| Male/Female | 38 (90.5%)/4(9.5%) |
| Cause of bleeding | |
| Pancreatitis/Surgery | 19 (45.2%)/23 (54.8%) |
| Symptoms of hemorrhage | |
| Abdominal pain | 14 (33.3%) |
| Bloody fluid from drainage tube | 17 (40.5%) |
| Gastrointestinal hemorrhage | 8 (19.0%) |
| None | 3 (7.2%) |
| Result | NBCA | Coils | Total | p Value | |
|---|---|---|---|---|---|
| Technical success (%) | 19/19 (100) | 23/23 (100) | 42/42 (100) | 1.0 | |
| Recurrent bleeding (%) | 3/19 (15.8) | 4/23 (17.4) | 7/42 (16.7) | 1.0 | |
| Post-surgery | 2/9 (22) | 4/14 (28.6) | 6/23 (26.1) | ||
| Pancreatitis | 1/10 (10) | 0/9 (0) | 1/19 (5.3) | ||
| Complications (%) | 0/19 (0) | 2/23 (8.7) | 2/42 (4.8) | 0.238 | |
| Post-surgery | 0/9 (0) | 2/14 (14.3) | 2/23 (8.7) | ||
| Pancreatitis | 0/10 (0) | 0/9 (0) | 0/19 (0) | ||
| Pancreatitis (%) | 0/19 (0) | 0/23 (0) | 0/42 (0) | ||
| Clinical success (%) | 16/19 (84.2) | 16/23 (69.6) | 32/42 (76.2) | 0.305 | |
| Post-surgery | 7/9 (77.8) | 7/14 (50) | 14/23 (60.1) | ||
| Pancreatitis | 9/10 (90) | 9/9 (100) | 18/19 (94.7) |
| Bleeding Artery | Post-Surgery | Pancreatitis | Total |
|---|---|---|---|
| Celiac artery | 2 (4.8%) | 0 (0%) | 2 (4.8%) |
| Common hepatic artery | 4 (9.5%) | 0 (0%) | 4 (9.5%) |
| Proper hepatic artery | 1 (2.4%) | 0 (0%) | 1 (2.4%) |
| Splenic artery | 0 (0%) | 10 (23.8%) | 10 (23.8%) |
| Dorsal pancreatic artery | 2 (4.8%) | 1 (2.4%) | 3 (7.2%) |
| Gastroduodenal artery | 8 (19%) | 2 (4.8%) | 10 (23.8%) |
| Pancreaticoduodenal arcade | 4 (9.5%) | 3 (7.2%) | 7 (16.7%) |
| Gastric artery | 0 (0%) | 2 (4.8%) | 2 (4.8%) |
| Superior mesenteric artery | 2 (4.8%) | 0 (0%) | 2 (4.8%) |
| Middle colic artery | 1 (2.4%) | 0 (0%) | 1 (2.4%) |
© 2020 by the authors. Licensee MDPI, Basel, Switzerland. This article is an open access article distributed under the terms and conditions of the Creative Commons Attribution (CC BY) license (http://creativecommons.org/licenses/by/4.0/).
Share and Cite
Numoto, I.; Tsurusaki, M.; Oda, T.; Yagyu, Y.; Ishii, K.; Murakami, T. Transcatheter Arterial Embolization Treatment for Bleeding Visceral Artery Pseudoaneurysms in Patients with Pancreatitis or following Pancreatic Surgery. Cancers 2020, 12, 2733. https://doi.org/10.3390/cancers12102733
Numoto I, Tsurusaki M, Oda T, Yagyu Y, Ishii K, Murakami T. Transcatheter Arterial Embolization Treatment for Bleeding Visceral Artery Pseudoaneurysms in Patients with Pancreatitis or following Pancreatic Surgery. Cancers. 2020; 12(10):2733. https://doi.org/10.3390/cancers12102733
Chicago/Turabian StyleNumoto, Isao, Masakatsu Tsurusaki, Teruyoshi Oda, Yukinobu Yagyu, Kazunari Ishii, and Takamichi Murakami. 2020. "Transcatheter Arterial Embolization Treatment for Bleeding Visceral Artery Pseudoaneurysms in Patients with Pancreatitis or following Pancreatic Surgery" Cancers 12, no. 10: 2733. https://doi.org/10.3390/cancers12102733
APA StyleNumoto, I., Tsurusaki, M., Oda, T., Yagyu, Y., Ishii, K., & Murakami, T. (2020). Transcatheter Arterial Embolization Treatment for Bleeding Visceral Artery Pseudoaneurysms in Patients with Pancreatitis or following Pancreatic Surgery. Cancers, 12(10), 2733. https://doi.org/10.3390/cancers12102733

