Assessment of Liver Metastases Using CT and MRI Scans in Patients with Pancreatic Ductal Adenocarcinoma: Effects of Observer Experience on Diagnostic Accuracy
Abstract
1. Introduction
2. Results
2.1. Diagnostic Performance
2.2. Inter-Observer Agreement
3. Discussion
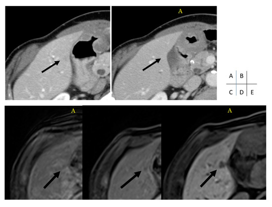
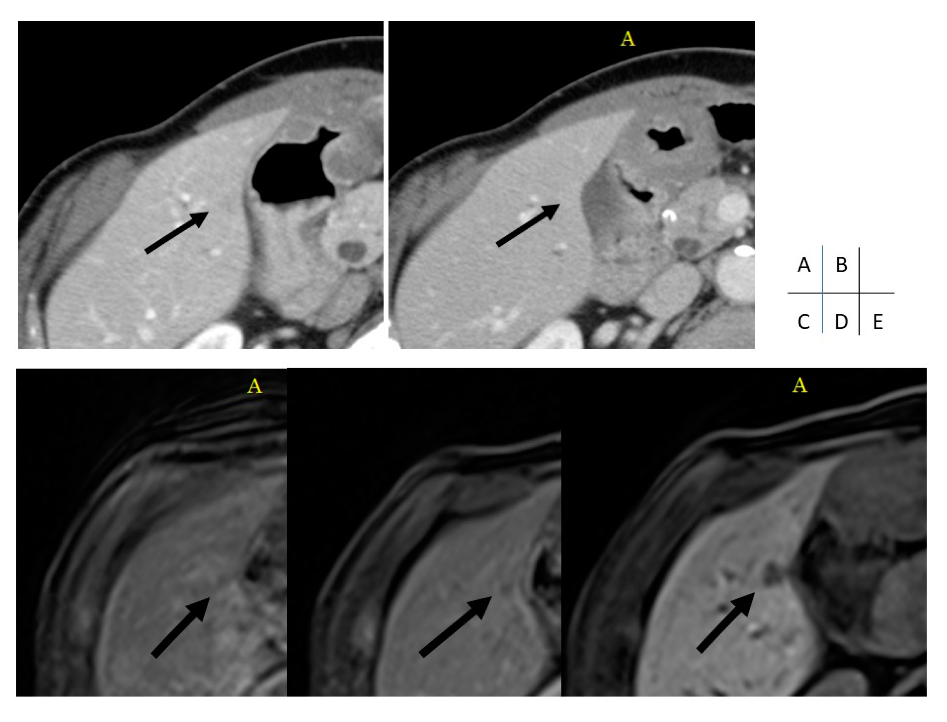
4. Materials and Methods
4.1. Patients
4.2. CT Imaging Protocol
4.3. MR Imaging Protocol
4.4. Image Analysis
4.5. Standard of Reference
4.6. Statistical Analysis
5. Conclusions
Author Contributions
Funding
Acknowledgments
Conflicts of Interest
References
- Ducreux, M.; Caramella, C.; Hollebecque, A.; Burtin, P.; Goéré, D.; Seufferlein, T.; Haustermans, K.; Van Laethem, J.L.; Conroy, T.; Arnold, D. Cancer of the pancreas: ESMO clinical practice guidelines for diagnosis, treatment and follow-up. Ann. Oncol. 2015, 26, v56–v68. [Google Scholar] [CrossRef] [PubMed]
- Kouri, B.E.; Abrams, R.A.; Al-Refaie, W.B.; Azad, N.; Farrell, J.; Gaba, R.C.; Gervais, D.A.; Gipson, M.G.; Kolbeck, K.J.; Marshalleck, F.E.; et al. ACR appropriateness criteria radiologic management of hepatic malignancy. J. Am. Coll. Radiol. 2016, 13, 265–273. [Google Scholar] [CrossRef] [PubMed]
- Kuszyk, B.S.; Bluemke, D.A.; Urban, B.A.; Choti, M.A.; Hruban, R.H.; Sitzmann, J.V.; Fishman, E.K. Portal-phase contrast-enhanced helical CT for the detection of malignant hepatic tumors: Sensitivity based on comparison with intraoperative and pathologic findings. AJR Am. J. Roentgenol. 1996, 166, 91–95. [Google Scholar] [CrossRef] [PubMed][Green Version]
- Niekel, M.C.; Bipat, S.; Stoker, J. Diagnostic imaging of colorectal liver metastases with CT, MR imaging, FDG PET, and/or FDG PET/CT: A meta-analysis of prospective studies including patients who have not previously undergone treatment. Radiology 2010, 257, 674–684. [Google Scholar] [CrossRef] [PubMed]
- Motosugi, U.; Ichikawa, T.; Morisaka, H.; Sou, H.; Muhi, A.; Kimura, K.; Sano, K.; Araki, T. Detection of pancreatic carcinoma and liver metastases with gadoxetic acid enhanced MR imaging: Comparison with contrast-enhanced multi-detector row CT. Radiology 2011, 260, 446–453. [Google Scholar] [CrossRef] [PubMed]
- Ito, T.; Sugiura, T.; Okamura, Y.; Yamamoto, Y.; Ashida, R.; Aramaki, T.; Endo, M.; Uesaka, K. The diagnostic advantage of EOB-MR imaging over CT in the detection of liver metastasis in patients with potentially resectable pancreatic cancer. Pancreatology 2017, 17, 451–456. [Google Scholar] [CrossRef] [PubMed]
- Neri, E.; Bali, M.A.; Ba-Ssalamah, A.; Boraschi, P.; Brancatelli, G.; Alves, F.C.; Grazioli, L.; Helmberger, T.; Lee, J.M.; Manfredi, R.; et al. ESGAR consensus statement on liver MR imaging and clinical use of liver-specific contrast agents. Eur. Radiol. 2016, 26, 921–931. [Google Scholar] [CrossRef] [PubMed]
- Adam, R.; Chiche, L.; Aloia, T.; Elias, D.; Salmon, R.; Rivoire, M.; Jaeck, D.; Saric, J.; Le Treut, Y.P.; Belghiti, J.; et al. Hepatic resection for noncolorectal nonendocrine liver metastases: Analysis of 1,452 patients and development of a prognostic model. Ann. Surg. 2006, 244, 524–535. [Google Scholar] [CrossRef] [PubMed]
- O’Rourke, T.R.; Tekkis, P.; Yeung, S.; Fawcett, J.; Lynch, S.; Strong, R.; Wall, D.; John, T.G.; Welsh, F.; Rees, M. Long-term results of liver resection for non- colorectal, non-neuroendocrine metastases. Ann. Surg. Oncol. 2008, 15, 207–218. [Google Scholar] [CrossRef] [PubMed]
- Tan, M.C.B.; Jarnagin, W.R. Surgical management of non-colorectal hepatic metastasis. J. Surg. Oncol. 2014, 109, 8–13. [Google Scholar] [CrossRef] [PubMed]
- Albrecht, M.H.; Wichmann, J.L.; Müller, C.; Schreckenbach, T.; Sakthibalan, S.; Hammerstingl, R.; Bechstein, W.O.; Zangos, S.; Ackermann, H.; Vogl, T.J. Assessment of colorectal liver metastases using MRI and CT: Impact of observer experience on diagnostic performance and inter-observer reproducibility with histopathological correlation. Eur. J. Radiol. 2014, 83, 1752–1758. [Google Scholar] [CrossRef] [PubMed]
- McErlean, A.; Panicek, D.M.; Zabor, E.C.; Moskowitz, C.S.; Bitar, R.; Motzer, R.J.; Hricak, H.; Ginsberg, M.S. Intra- and interobserver variability in CT measurements in oncology. Radiology 2013, 269, 451–459. [Google Scholar] [CrossRef] [PubMed]
- Nishino, M.; Jagannathan, J.P.; Ramaiya, N.H.; Van den Abbeele, A.D. Revised RECIST guideline version 1.1: What oncologists want to know and what radiologists need to know. Am. J. Roentgenol. 2010, 195, 281–289. [Google Scholar] [CrossRef] [PubMed]
- Holzapfel, K.; Reiser-Erkan, C.; Fingerle, A.A.; Erkan, M.; Eiber, M.J.; Rummeny, E.J.; Friess, H.; Kleeff, J.; Gaa, J. Comparison of diffusion-weighted MR imaging and multidetector-row CT in the detection of liver metastases in patients operated for pancreatic cancer. Abdom. Imaging 2011, 36, 179–184. [Google Scholar] [CrossRef] [PubMed]
- Vilgrain, V.; Esvan, M.; Ronot, M.; Caumont-Prim, A.; Aubé, C.; Chatellier, G. A meta-analysis of diffusion-weighted and gadoxetic acid-enhanced MR imaging for the detection of liver metastases. Eur. Radiol. 2016, 26, 4595–4615. [Google Scholar] [CrossRef] [PubMed]
- Marion-Audibert, A.M.; Vullierme, M.P.; Ronot, M.; Mabrut, J.Y.; Sauvanet, A.; Zins, M.; Cuilleron, M.; Sa-Cunha, A.; Lévy, P.; Rode, A. Routine MRI with DWI sequences to detect liver metastases in patients with potentially resectable pancreatic ductal carcinoma and normal liver CT: A prospective multicenter study. AJR Am. J. Roentgenol. 2018, 211, W217–W225. [Google Scholar] [CrossRef] [PubMed]
- Hopper, K.D.; Kasales, C.J.; Van Slyke, M.A.; Schwartz, T.A.; TenHave, T.R.; Jozefiak, J.A. Analysis of interobserver and intraobserver variability in CT tumor measurements. Am. J. Roentgenol. 1996, 167, 851–854. [Google Scholar] [CrossRef]
- Cohen, J. A coefficient of agreement for nominal scales. Educ. Psychol. Meas. 1960, 20, 37–46. [Google Scholar] [CrossRef]
- Bartko, J.J. The intraclass correlation coefficient as a measure of reliability. Psychol. Rep. 1966, 19, 3–11. [Google Scholar] [CrossRef] [PubMed]

| CT | MRI | |||
|---|---|---|---|---|
| Mean | SD | Mean | SD | |
| Sensitivity | 82.76 | 8.55 | 82.15 | 11.65 |
| Specificity | 81.51 | 5.21 | 81.34 | 9.06 |
| PPV | 78.24 | 6.30 | 81.54 | 10.41 |
| NPV | 85.27 | 8.62 | 81.84 | 10.15 |
| CT | MRI | ||||||||||||||||
|---|---|---|---|---|---|---|---|---|---|---|---|---|---|---|---|---|---|
| Reader A | 95%-CI | Reader B | 95%-CI | Reader C | 95%-CI | Reader D | 95%-CI | Reader A | 95%-CI | Reader B | 95%-CI | Readr C | 95%-CI | Reader D | 95%-CI | ||
| Sensitivity (%) | 94.44 | 91.7–97.78 | 86.77 | 81.9–92.28 | 78.04 | 72.9–84.34 | 71.80 | 66.5–78.58 | 96.63 | 92.2–97.79 | 83.99 | 77.5–87.55 | 83.39 | 76.7–87.10 | 64.02% | 56.2–69.42 | |
| Specificity (%) | 90.36 | 86.0–93.73 | 79.77 | 74.3–84.50 | 76.71 | 70.9–81.81 | 79.25 | 73.1–84.50 | 94.85 | 91.1–97.31 | 82.05 | 76.5–86.75 | 78.93 | 73.2–83.89 | 69.53% | 63.1–75.37 | |
| PPV (%) | 88.65 | 85.0–93.26 | 73.37 | 67.8–80.24 | 73.10 | 67.8–79.71 | 77.84 | 72.6–84.19 | 96.25 | 91.83–97.52 | 83.29 | 76.81–86.92 | 79.58 | 72.8–83.61 | 67.04% | 59.1–72.42 | |
| NPV (%) | 95.74 | 92.3–97.94 | 90.71 | 86.1594.16 | 81.28 | 75.69–86.05 | 73.36 | 67.1–78.97 | 95.26 | 91.67–97.61 | 82.76 | 77.2–87.39 | 82.68 | 77.1–87.33 | 66.67% | 60.36–72.56 | |
| Reviewers | CT (p-Value) | MRI (p-Value) |
|---|---|---|
| A + B | 0.0015 | 0.0763 |
| C + D | 0.0768 | 0.0138 |
| Data | Κ | ICC | ||
|---|---|---|---|---|
| Reviewers | CT | MRI | CT | MRI |
| A + B + C + D | 0.43 | 0.44 | 0.53 | 0.59 |
| A + B | 0.58 | 0.72 | 0.61 | 0.73 |
| C + D | 0.48 | 0.34 | 0.59 | 0.42 |
© 2020 by the authors. Licensee MDPI, Basel, Switzerland. This article is an open access article distributed under the terms and conditions of the Creative Commons Attribution (CC BY) license (http://creativecommons.org/licenses/by/4.0/).
Share and Cite
Tsurusaki, M.; Numoto, I.; Oda, T.; Wakana, M.; Suzuki, A.; Yagyu, Y.; Matsuki, M.; Ishii, K. Assessment of Liver Metastases Using CT and MRI Scans in Patients with Pancreatic Ductal Adenocarcinoma: Effects of Observer Experience on Diagnostic Accuracy. Cancers 2020, 12, 1455. https://doi.org/10.3390/cancers12061455
Tsurusaki M, Numoto I, Oda T, Wakana M, Suzuki A, Yagyu Y, Matsuki M, Ishii K. Assessment of Liver Metastases Using CT and MRI Scans in Patients with Pancreatic Ductal Adenocarcinoma: Effects of Observer Experience on Diagnostic Accuracy. Cancers. 2020; 12(6):1455. https://doi.org/10.3390/cancers12061455
Chicago/Turabian StyleTsurusaki, Masakatsu, Isao Numoto, Teruyoshi Oda, Miyuki Wakana, Ayako Suzuki, Yukinobu Yagyu, Mitsuru Matsuki, and Kazunari Ishii. 2020. "Assessment of Liver Metastases Using CT and MRI Scans in Patients with Pancreatic Ductal Adenocarcinoma: Effects of Observer Experience on Diagnostic Accuracy" Cancers 12, no. 6: 1455. https://doi.org/10.3390/cancers12061455
APA StyleTsurusaki, M., Numoto, I., Oda, T., Wakana, M., Suzuki, A., Yagyu, Y., Matsuki, M., & Ishii, K. (2020). Assessment of Liver Metastases Using CT and MRI Scans in Patients with Pancreatic Ductal Adenocarcinoma: Effects of Observer Experience on Diagnostic Accuracy. Cancers, 12(6), 1455. https://doi.org/10.3390/cancers12061455

