Hepatic Resection Following Selective Internal Radiation Therapy for Colorectal Cancer Metastases in the FOXFIRE Clinical Trial: Clinical Outcomes and Distribution of Microspheres
Abstract
:1. Introduction
2. Results
2.1. Patient Characteristics
2.2. Surgical Details
2.3. Time-to-Event Analyses
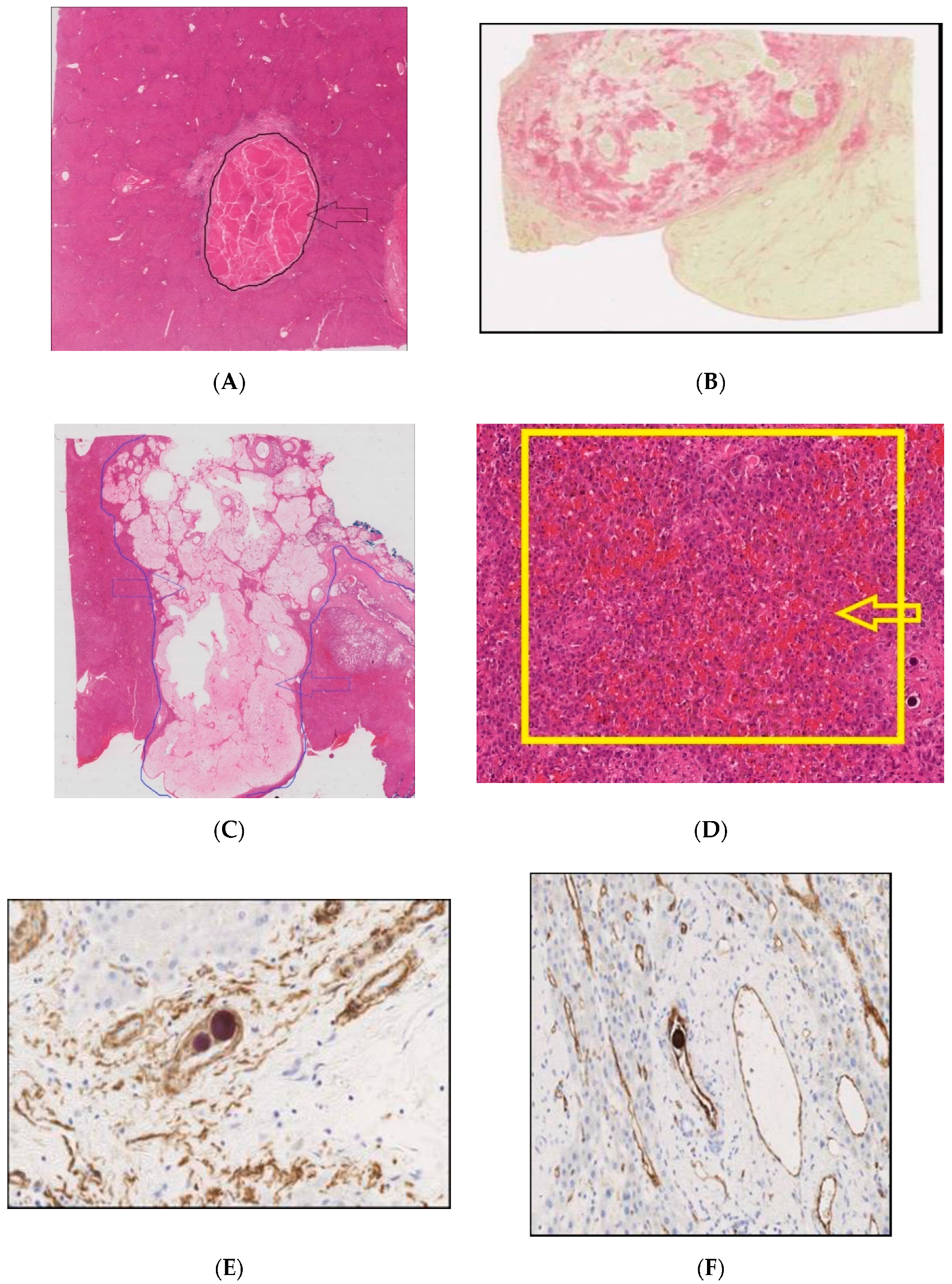
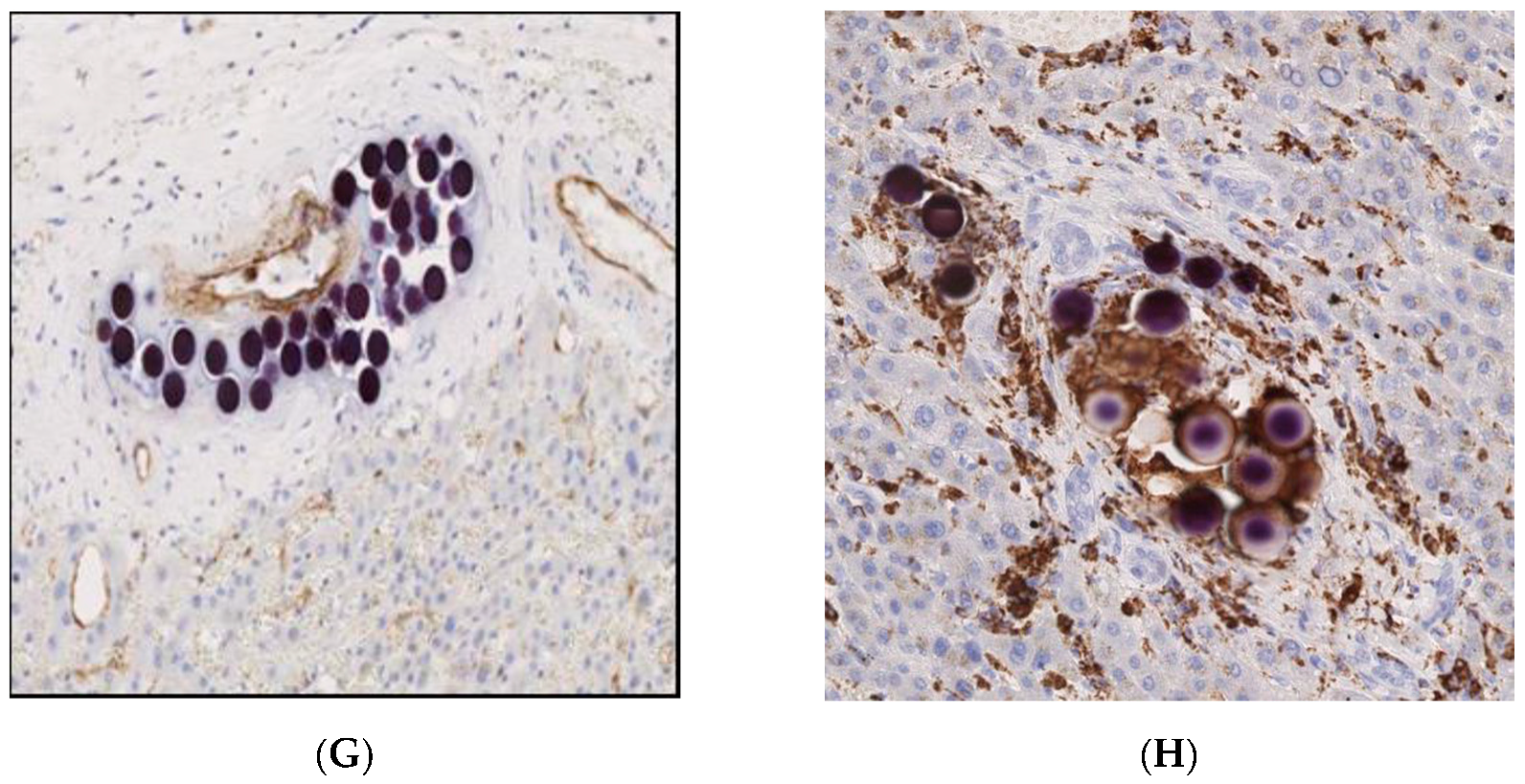
2.4. Histopathology Findings
3. Discussion
4. Materials and Methods
4.1. Trial Participants and Treatments
4.2. Histopathology and Immunohistochemistry
4.3. Statistical Analysis
5. Conclusions
Supplementary Materials
Author Contributions
Funding
Acknowledgments
Conflicts of Interest
References
- Kanas, G.P.; Taylor, A.; Primrose, J.N.; Langeberg, W.J.; Kelsh, M.A.; Mowat, F.S.; Alexander, D.D.; Choti, M.A.; Poston, G. Survival after liver resection in metastatic colorectal cancer: Review and meta-analysis of prognostic factors. Clin. Epidemiol. 2012, 4, 283–301. [Google Scholar] [PubMed]
- Minagawa, M.; Makuuchi, M.; Torzilli, G.; Takayama, T.; Kawasaki, S.; Kosuge, T.; Yamamoto, J.; Imamura, H. Extension of the frontiers of surgical indications in the treatment of liver metastases from colorectal cancer: Long-term results. Ann. Surg. 2000, 231, 487–499. [Google Scholar] [CrossRef] [PubMed]
- Adam, R.; Delvart, V.; Pascal, G.; Valeanu, A.; Castaing, D.; Azoulay, D.; Giacchetti, S.; Paule, B.; Kunstlinger, F.; Ghémard, O.; et al. Rescue surgery for unresectable colorectal liver metastases downstaged by chemotherapy: A model to predict long-term survival. Ann. Surg. 2004, 240, 644. [Google Scholar] [CrossRef] [PubMed]
- Loupakis, F.; Cremolini, C.; Masi, G.; Lonardi, S.; Zagonel, V.; Salvatore, L.; Cortesi, E.; Tomasello, G.; Ronzoni, M.; Spadi, R.; et al. Initial therapy with FOLFOXIRI and bevacizumab for metastatic colorectal cancer. N. Engl. J. Med. 2014, 371, 1609–1618. [Google Scholar] [CrossRef] [PubMed]
- Falcone, A.; Ricci, S.; Brunetti, I.; Pfanner, E.; Allegrini, G.; Barbara, C.; Crinò, L.; Benedetti, G.; Evangelista, W.; Fanchini, L.; et al. Phase III trial of infusional fluorouracil, leucovorin, oxaliplatin, and irinotecan compared with infusional fluorouracil, leucovorin, and irinotecan (FOLFIRI) as first-line treatment for metastatic colorectal cancer: The Gruppo Oncologico Nord Ovest. J. Clin. Oncol. 2007, 25, 1670–1676. [Google Scholar] [CrossRef]
- Mattar, R.E.; Al-Alem, F.; Simoneau, E.; Hassanain, M. Preoperative selection of patients with colorectal cancer liver metastasis for hepatic resection. World J. Gastroenterol. 2016, 22, 567–581. [Google Scholar] [CrossRef]
- Abdalla, E.K.; Bauer, T.W.; Chun, Y.S.; D’Angelica, M.; Kooby, D.A.; Jarnagin, W.R. Locoregional surgical and interventional therapies for advanced colorectal cancer liver metastases: Expert consensus statements. HPB 2013, 15, 119–130. [Google Scholar] [CrossRef]
- Sharma, R.A.; Van Hazel, G.A.; Morgan, B.; Berry, D.P.; Blanshard, K.; Price, D.; Bower, G.; Shannon, J.A.; Gibbs, P.; Steward, W.P. Radioembolization of Liver Metastases From Colorectal Cancer Using Yttrium-90 Microspheres With Concomitant Systemic Oxaliplatin, Fluorouracil, and Leucovorin Chemotherapy. J. Clin. Oncol. 2007, 25, 1099–1106. [Google Scholar] [CrossRef]
- Sangro, B.; Martinez-Urbistondo, D.; Bester, L.; Bilbao, J.I.; Coldwell, D.M.; Flamen, P.; Kennedy, A.; Ricke, J.; Sharma, R.A. Prevention and treatment of complications of selective internal radiation therapy: Expert guidance and systematic review. Hepatology 2017, 66, 969–982. [Google Scholar] [CrossRef]
- Wasan, H.S.; Gibbs, P.; Sharma, N.K.; Taieb, J.; Heinemann, V.; Ricke, J.; Peeters, M.; Findlay, M.; Weaver, A.; Mills, J.; et al. First-line selective internal radiotherapy plus chemotherapy versus chemotherapy alone in patients with liver metastases from colorectal cancer (FOXFIRE, SIRFLOX, and FOXFIRE-Global): A combined analysis of three multicentre, randomised, phase 3 trials. Lancet Oncol. 2017, 18, 1159–1171. [Google Scholar] [CrossRef]
- Strasberg, S.M.; Belghiti, J.; Clavien, P.A.; Gadzijev, E.; Garden, J.O.; Lau, W.Y.; Makuuchi, M.; Strong, R.W. The Brisbane 2000 Terminology of Liver Anatomy and Resections. HPB 2000, 2, 333–339. [Google Scholar] [CrossRef]
- Pardo, F.; Sangro, B.; Lee, R.C.; Manas, D.; Jeyarajah, R.; Donckier, V.; Maleux, G.; Pinna, A.D.; Bester, L.; Morris, D.L.; et al. The Post-SIR-Spheres Surgery Study (P4S): Retrospective Analysis of Safety Following Hepatic Resection or Transplantation in Patients Previously Treated with Selective Internal Radiation Therapy with Yttrium-90 Resin Microspheres. Ann Surg. Oncol. 2017, 24, 2465–2473. [Google Scholar] [CrossRef]
- Dindo, D.; Demartines, N.; Clavien, P.A. Classification of Surgical Complications: A New Proposal with Evaluation in a Cohort of 6336 Patients and Results of a Survey. Ann. Surg. 2004, 240, 205–213. [Google Scholar] [CrossRef]
- Van Hazel, G.A.; Heinemann, V.; Sharma, N.K.; Findlay, M.P.N.; Ricke, J.; Peeters, M.; Perez, D.; Robinson, B.A.; Strickland, A.H.; Ferguson, T.; et al. SIRFLOX: Randomized Phase III Trial Comparing First-Line mFOLFOX6 (Plus or Minus Bevacizumab) Versus mFOLFOX6 (Plus or Minus Bevacizumab) Plus Selective Internal Radiation Therapy in Patients with Metastatic Colorectal Cancer. J. Clin. Oncol. 2016, 34, 1723–1731. [Google Scholar] [CrossRef]
- Baltatzis, M.; Siriwardena, A.K. Liver Resection for Colorectal Hepatic Metastases after Systemic Chemotherapy and Selective Internal Radiation Therapy with Yttrium-90 Microspheres: A Systematic Review. Dig. Surg. 2019, 36, 273–280. [Google Scholar] [CrossRef]
- Ryan, P.; Nanji, S.; Pollett, A.; Moore, M.; Moulton, C.A.; Gallinger, S.; Guindi, M. Chemotherapy-induced liver injury in metastatic colorectal cancer: Semiquantitative histologic analysis of 334 resected liver specimens shows that vascular injury but not steatohepatitis is associated with preoperative chemotherapy. Am. J. Surg. Pathol. 2010, 34, 784–791. [Google Scholar] [CrossRef]
- Maor, Y.; Malnick, S. Liver Injury Induced by Anticancer Chemotherapy and Radiation Therapy. Int. J. Hepatol. 2013, 2013, 815105. [Google Scholar] [CrossRef]
- Khan, A.Z.; Morris-Stiff, G.; Makuuchi, M. Patterns of chemotherapy-induced hepatic injury and their implications for patients undergoing liver resection for colorectal liver metastases. J. Hepato-Biliary-Pancreatic Surg. 2009, 16, 137–144. [Google Scholar] [CrossRef]
- Aloia, T.; Sebagh, M.; Plasse, M.; Karam, V.; Levi, F.; Giacchetti, S.; Azoulay, D.; Bismuth, H.; Castaing, D.; Adam, R. Liver histology and surgical outcomes after preoperative chemotherapy with fluorouracil plus oxaliplatin in colorectal cancer liver metastases. J. Clin. Oncol. 2006, 24, 4983–4990. [Google Scholar] [CrossRef]
- Rubbia-Brandt, L.; Audard, V.; Sartoretti, P.; Roth, A.D.; Brezault, C.; Le Charpentier, M.; Dousset, B.; Morel, P.; Soubrane, O.; Chaussade, S.; et al. Severe hepatic sinusoidal obstruction associated with oxaliplatin-based chemotherapy in patients with metastatic colorectal cancer. Ann. Oncol. 2004, 15, 460–466. [Google Scholar] [CrossRef]
- Wang, L.M.; Jani, A.R.; Hill, E.J.; Sharma, R.A. Anatomical basis and histopathological changes resulting from selective internal radiotherapy for liver metastases. J. Clin. Pathol. 2013, 66, 205–211. [Google Scholar] [CrossRef]
- Chew, V.; Lee, Y.H.; Pan, L.; Nasir, N.J.M.; Lim, C.J.; Chua, C.; Lai, L.; Hazirah, S.N.; Lim, T.K.H.; Goh, B.K.P.; et al. Immune activation underlies a sustained clinical response to Yttrium-90 radioembolisation in hepatocellular carcinoma. Gut 2019, 68, 335–346. [Google Scholar] [CrossRef]
- Justinger, C.; Kouladouros, K.; Gartner, D.; Tatsch, K.; Reimer, P.; Rudiger, T.; Binnenhei, M.; Bentz, M.; Schön, M.R. Liver resection after selective internal radiotherapy (SIRT): Proof of concept, initial survival, and safety. J. Surg. Oncol. 2015, 112, 436–442. [Google Scholar] [CrossRef]
- Kennedy, A.S.; Nutting, C.; Coldwell, D.; Gaiser, J.; Drachenberg, C. Pathologic response and microdosimetry of (90)Y microspheres in man: Review of four explanted whole livers. Int. J. Radiat. Oncol. Biol. Phys. 2004, 60, 1552–1563. [Google Scholar] [CrossRef]
- Dutton, S.J.; Kenealy, N.; Love, S.B.; Wasan, H.S.; Sharma, R.A.; FOXFIRE Protocol Development Group and the NCRI Colorectal Clinical Study Group. FOXFIRE protocol: An open-label, randomised, phase III trial of 5-fluorouracil, oxaliplatin and folinic acid (OxMdG) with or without interventional Selective Internal Radiation Therapy (SIRT) as first-line treatment for patients with unresectable liver-only or liver-dominant metastatic colorectal cancer. BMC Cancer 2014, 14, 497. [Google Scholar]






| Characteristic at Baseline 1 | OxMdG | OxMdG + SIRT | Total | |
|---|---|---|---|---|
| (n = 33) | (n = 38) | (n = 71) | ||
| Age at randomisation (years) | 62 (42–78) | 61 (30–83) | 61 (30–83) | |
| Extra-hepatic metastases status | No | 28 (85%) | 31 (82%) | 59 (83%) |
| Yes | 5 (15%) | 7 (18%) | 12 (17%) | |
| Degree of liver involvement | ≤25% | 27 (82%) | 29 (76%) | 56 (79%) |
| >25% | 6 (18%) | 9 (24%) | 15 (21%) | |
| Gender | Male | 22 (67%) | 25 (66%) | 47 (66%) |
| Female | 11 (33%) | 13 (34%) | 24 (34%) | |
| Ethnicity | White or Caucasian | 32 (97%) | 33 (89%) | 65 (93%) |
| Asian | 0 (0%) | 2 (5%) | 2 (3%) | |
| Black or African American | 0 (0%) | 1 (3%) | 1 (1%) | |
| Other | 1 (3%) | 1 (3%) | 2 (3%) | |
| BMI (kg/m2) | ≤30 | 23 (70%) | 33 (87%) | 56 (79%) |
| >30 | 10 (30%) | 5 (13%) | 15 (21%) | |
| WHO performance status | 0 | 29 (88%) | 24 (65%) | 53 (76%) |
| 1 | 4 (12%) | 13 (35%) | 17 (24%) | |
| Metastases present at initial diagnosis | No-Metachronous | 8 (24%) | 5 (14%) | 13 (19%) |
| Yes-Synchronous | 25 (76%) | 32 (86%) | 57 (81%) | |
| Primary tumour site | Left-sided primary | 25 (86%) | 31 (82%) | 56 (84%) |
| Right-sided primary | 4 (14%) | 7 (18%) | 11 (16%) | |
| Primary tumour in situ | No | 14 (42%) | 16 (42%) | 30 (42%) |
| Yes | 19 (58%) | 22 (58%) | 41 (58%) | |
| KRAS | Unknown | 12 (36%) | 10 (26%) | 22 (31%) |
| Wild Type | 15 (45%) | 23 (61%) | 38 (54%) | |
| Mutation | 6 (18%) | 5 (13%) | 11 (15%) | |
| Prior adjuvant chemotherapy | No | 31 (94%) | 37 (97%) | 68 (96%) |
| Yes | 2 (6%) | 1 (3%) | 3 (4%) | |
| Prior pelvic radiotherapy | No | 32 (97%) | 36 (95%) | 68 (96%) |
| Yes | 1 (3%) | 2 (5%) | 3 (4%) | |
| Type of Surgery Performed | Number of Surgical Episodes (Proportion of Total 82 Surgical Episodes) | Number of Surgical Episodes in Chemotherapy Alone Group | Number of Surgical Episodes in SIRT + Chemotherapy Group | Additional Procedures/Surgical Comments |
|---|---|---|---|---|
| Right hepatectomy | 22 (27%) | 9 | 13 | Two patients had subsegmentectomies (segments IVa, V; II, III) |
| Left hepatectomy | 9 (11%) | 7 | 2 | One patient had resection of inferior vena cava; One patient had subsegmentectomies (ns) |
| Segmentectomies | 12 (15%) | 7 | 5 | Segmentectomies: Two patients: II, III; One patient each: III, VI, VII; III, IV, VII; IVb, V, VI; IV, V, VI (and subsegmentectomy and ablation); I, II, III; IV and ablation; IVa, VIII. One patient each with one segmentectomy: Vi; IV; II (subsegmentectomy III). |
| Extended right hemihepatectomy | 7 (9%) | 3 | 4 | Three with subsegmentectomies (I; III; ns) |
| Extended left hemihepatectomy | 1 (1%) | 0 | 1 | |
| Left lateral hepatectomy | 2 (2%) | 0 | 2 | Atypical |
| Subsegmentectomies | 9 (11%) | 5 | 4 | Three patients: ns. Two patients: Segment II only. One patient each: III; IVa, IVb, II; V, VI, VII (ablation II, IV) |
| No hepatic surgery report available | 14 (17%) | 5 | 9 | Cholecystectomy in some cases |
| Open and closed | 4 (5%) | 2 | 2 | |
| Other | 2 (2%) | 1 | 1 | First part ALPPS. Right post sectionectomy (VI, VII). |
| Grade | Number of Patients in Chemotherapy Alone Group | Number of Patients in Chemotherapy Plus SIRT Group |
|---|---|---|
| I | 4 | 5 |
| II | 7 | 4 |
| III | 1 | 3 |
| IVa | 0 | 1 |
| IVb | 0 | 1 |
| V | 0 | 0 |
© 2019 by the authors. Licensee MDPI, Basel, Switzerland. This article is an open access article distributed under the terms and conditions of the Creative Commons Attribution (CC BY) license (http://creativecommons.org/licenses/by/4.0/).
Share and Cite
Winter, H.; Rassam, J.; Virdee, P.S.; Goldin, R.; Pitcheshwar, P.; Weaver, K.; Primrose, J.; Berry, D.P.; Wasan, H.S.; Sharma, R.A. Hepatic Resection Following Selective Internal Radiation Therapy for Colorectal Cancer Metastases in the FOXFIRE Clinical Trial: Clinical Outcomes and Distribution of Microspheres. Cancers 2019, 11, 1155. https://doi.org/10.3390/cancers11081155
Winter H, Rassam J, Virdee PS, Goldin R, Pitcheshwar P, Weaver K, Primrose J, Berry DP, Wasan HS, Sharma RA. Hepatic Resection Following Selective Internal Radiation Therapy for Colorectal Cancer Metastases in the FOXFIRE Clinical Trial: Clinical Outcomes and Distribution of Microspheres. Cancers. 2019; 11(8):1155. https://doi.org/10.3390/cancers11081155
Chicago/Turabian StyleWinter, Helen, Joseph Rassam, Pradeep S. Virdee, Rob Goldin, Priyankaa Pitcheshwar, Klara Weaver, John Primrose, David P. Berry, Harpreet S. Wasan, and Ricky A. Sharma. 2019. "Hepatic Resection Following Selective Internal Radiation Therapy for Colorectal Cancer Metastases in the FOXFIRE Clinical Trial: Clinical Outcomes and Distribution of Microspheres" Cancers 11, no. 8: 1155. https://doi.org/10.3390/cancers11081155
APA StyleWinter, H., Rassam, J., Virdee, P. S., Goldin, R., Pitcheshwar, P., Weaver, K., Primrose, J., Berry, D. P., Wasan, H. S., & Sharma, R. A. (2019). Hepatic Resection Following Selective Internal Radiation Therapy for Colorectal Cancer Metastases in the FOXFIRE Clinical Trial: Clinical Outcomes and Distribution of Microspheres. Cancers, 11(8), 1155. https://doi.org/10.3390/cancers11081155

