Larvicidal and Cytotoxic Potential of Squamocin on the Midgut of Aedes aegypti (Diptera: Culicidae)
Abstract
:1. Introduction
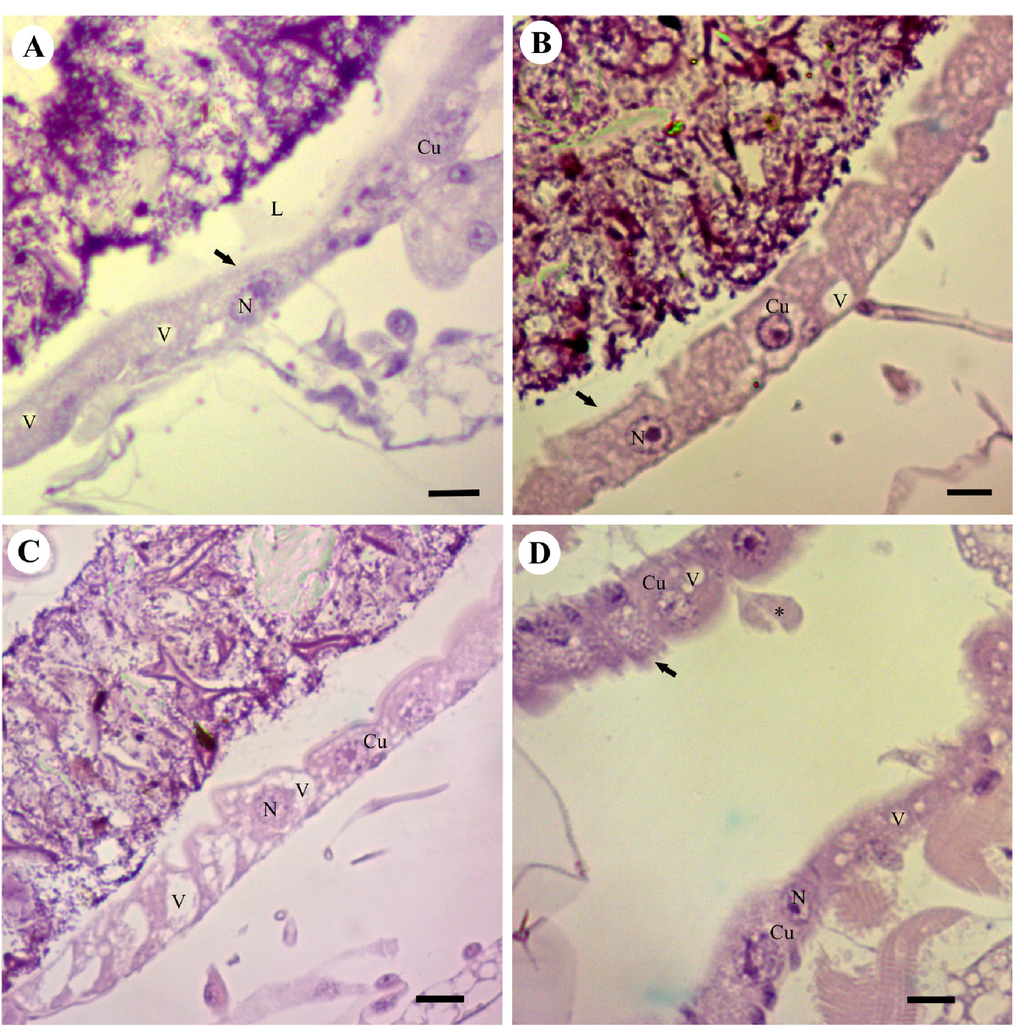
2. Results and Discussion



3. Experimental Section
4. Conclusions
Acknowledgements
Author Contributions
Conflicts of interest
References
- Alali, F.Q.; Liu, X.; Mclaughlin, J. Annonaceous acetogenins, recent progress. J. Nat. Prod. 1999, 62, 504–540. [Google Scholar] [CrossRef]
- Fang, X.P.; Rueser, M.J.; Gu, Z.M.; Zhao, G.X.; Mclaughin, J.L. Annonaceous acetogenins, Na update review. Phytochem. Anal. 1993, 1, 27–48. [Google Scholar]
- Rupprecht, J.K.; Hui, Y.H.; Mclaughlin, J.L. Annonaceous acetogenins: A review. J. Nat. Prod. 1990, 53, 233–278. [Google Scholar]
- Liaw, C.C.; Wu, T.Y.; Chang, F.R.; Wu, Y.C. Historic perspectives on Annonaceous acetogenins from the chemical bench to preclinical trials. Planta Med. 2010, 76, 1390–1404. [Google Scholar] [CrossRef]
- Chen, Y.; Xu, S.; Chen, J.W.; Wang, Y.; Xu, H.; Fan, N.; Li, X. Anti-tumor activity of Annona squamosa seeds extract containing annonaceous acetogenin compounds. J. Ethnopharmacol. 2012, 142, 462–466. [Google Scholar] [CrossRef]
- Mclaughlin, J.L. Paw Paw and cancer: Annonaceous acetogenins from discovery to commercial products. J. Nat. Prod. 2008, 71, 1311–1321. [Google Scholar] [CrossRef]
- Chen, Y.; Chen, J.W.; Li, X. Cytotoxic bistetrahydrofuran annonaceous acetogenins from the seeds of Annona squamosa. J. Nat. Prod. 2011, 74, 2477–2481. [Google Scholar] [CrossRef]
- Isman, M.B. Botanical insecticides, deterrents, and repellents in modern agriculture and an increasingly regulated world. Annu. Rev. Entomol. 2006, 51, 45–66. [Google Scholar] [CrossRef]
- Pandey, N.; Barve, D. Antioxidant activity of ethanolic extract of Annona squamosa Linn Bark. Int. J. Biomed. Pharma. Sci. 2011, 2, 1692–1697. [Google Scholar]
- Costa, M.S.; Pinheiro, D.O.; Serrão, J.E.; Pereira, M.J.B. Morphological changes in the midgut of Aedes aegypti L. (Diptera, Culicidae) larvae following exposure to an Annona coriacea (Magnoliales, Annonaceae) extract. Neotrop. Entomol. 2012, 41, 311–314. [Google Scholar] [CrossRef]
- Dholvitayakhun, A.; Cushnie, T.P.T.; Trachoo, N. Antibacterial activity of three medicinal Thai plants against Campylobacter jejuni and other foodborne pathogens. Nat. Prod. Res. 2012, 26, 356–363. [Google Scholar] [CrossRef]
- Londerhausen, M.; Leicht, W.; Lieb, F.; Moeschler, H.; Weiss, H. Molecular mode of action of annonins. Pestic. Sci. 1991, 33, 427–438. [Google Scholar] [CrossRef]
- Martin, J.M.; Madigosky, S.R.; Gu, Z.; Zhou, D.; Wu, J.; Mclaughlin, J.L. Chemical defense in the zebra swallowtail butterfly, Eurytides marcellus, involving annonaceous acetogenins. J. Nat. Prod. 1999, 62, 2–4. [Google Scholar] [CrossRef]
- Guadaño, A.; Gutiérrez, C.; Peña, E.; Cortes, D.; González-Coloma, A. Insecticidal and mutagenic evaluation of two annonaceous acetogenins. J. Nat. Prod. 2000, 63, 773–776. [Google Scholar] [CrossRef]
- Álvarez, O.C.; Barrachina, I.; Ayala, I.M.; Gonzalez, M.C.M.; Moya, P.S.; Neske, A.; Bardon, A. Toxic effects of annonaceous acetogenins on Oncopeltus fasciatus. J. Pest Sci. 2008, 81, 85–89. [Google Scholar] [CrossRef]
- Blessing, L.D.T.; Ramos, J.; Diaz, S.; Altabef, A.B.; Bardón, A.; Brovetto, M.; Seoane, G.; Neske, A. Insecticidal properties of annonaceous acetogenins and their analogues. Interaction with lipid membranes. Nat. Prod. Commun. 2012, 7, 1215–1218. [Google Scholar]
- Gypser, A.; Billow, C.; Scharf, H.D. Determination of the absolute configuration of Annonin I, a bioactie natural acetogenin from Annona squamosa. Tetrahedron Lett. 1995, 51, 1921–193. [Google Scholar] [CrossRef]
- Peter, N.; Cautain, B.; Melguizo, A.; Vicente, F.; Genilloud, O.; Peláez, F.; Tormo, J.R. Mitochondrial complex I inhibitors, acetogenins, induce HepG2 cell death through the induction of the complete apoptotic mitochondrial pathway. J. Bioenerg. Biomembr. 2013, 45, 153–164. [Google Scholar] [CrossRef]
- Lümmen, P. Complex I inhibitors as insecticides and acaricides. Biochim. Biophys. Acta 1998, 1364, 287–296. [Google Scholar]
- Takada, M.; Kuwabara, K.; Nakato, H.; Tanaka, A.; Iwamura, H.; Miyoshi, H. Definition of crucial structural factors of acetogenins, potent inhibitors of mitochondrial complex I. Biochim. Biophys. Acta 2000, 1460, 302–310. [Google Scholar] [CrossRef]
- Pardhasaradhi, B.V.V.; Reddy, M.; Ali, A.M.; Kumari, A.L.; Khar, A. Differential cytotoxic effects of Annona squamosa seed extracts on human tumour cell lines: Role of reactive oxygen species and glutathione. J. Biosci. 2005, 30, 237–244. [Google Scholar] [CrossRef]
- Alves, S.N.; Serrão, J.E.; Melo, A.L. Alterations in the fat body and midgut of Culex quinquefasciatus larvae following exposure to different insecticides. Micron 2010, 41, 592–597. [Google Scholar] [CrossRef]
- Correia, A.A.; Teixeira, V.W.; Teixeira, A.A.C.; Oliveira, J.V.; Torres, J.B. Morfologia do canal alimentar de lagartas de Spodoptera frugiperda (JE Smith) (Lepidoptera, Noctuidae) alimentadas com folhas tratadas com nim. Neotrop. Entomol. 2009, 38, 83–91. [Google Scholar] [CrossRef]
- Ray, K.; Mercedes, M.; Chan, D.; Choi, C.; Nishiura, J.T. Growth and differentiation of the larval mosquito midgut. J. Insect Sci. 2009, 9, 55–68. [Google Scholar]
- Gusmão, D.S.; Páscoa, V.; Mathias, L.; Curcino, V.I.J.; Braz-Filho, R.; Alves, L.F.J. Derris (Lonchocarpus) urucu (Leguminosae) extract modifies the peritrophic matrix structure of Aedes aegypti (Diptera: Culicidae). Mem. Inst. Oswaldo Cruz 2002, 97, 371–375. [Google Scholar]
- Jewess, P.J.; Devonshire, A.L. Kinetic microplate-based assays for inhibitors of mitochondrial NADH: Ubiquinone oxidoreductase (complex I) and succinate: Cytochrome c oxidoreductase. Anal. Biochem. 1999, 272, 56–63. [Google Scholar] [CrossRef]
- Cortes, D.; Myint, S.H.; Harmange, J.C.; Sahpz, S.; Figadere, B. Catalytic hydrogenation of Annonaceous acetogenins. Tetrahedron Lett. 1992, 33, 5225–5226. [Google Scholar] [CrossRef]
- Sahai, M.; Singh, S.; Singh, M.; Gupta, Y.K.; Akashi, S.; Yuji, R.; Hirayama, K.; Asaki, H.; Araya, H.; Hara, N.; et al. Annonaceous acetogenins from the seeds of Annona squamosa adjacent bis-tetrahydrofuranic acetogenins. Chem. Pharm. Bull. 1994, 42, 1163–1174. [Google Scholar] [CrossRef]
- Barrachina, I.; Royo, I.; Baldoni, H.A.; Chahboune, N.; Suvire, F.; Depedro, N.; Zafra-Polo, M.C.; Bermejo, A.; El Aouad, N.; Cabedo, N.; et al. New antitumoral acetogenin ‘Guanacone type’ derivatives, isolation and bioactivity. Molecular dynamics simulation of diacetyl-guanacone. Bioorg. Med. Chem. 2007, 15, 4369–4381. [Google Scholar] [CrossRef]
- Blessing, L.D.T.; Álvarez-Colon, O.; Popich, S.; Neske, A.; Bardón, A. Antifeedant and toxic effects of acetogenins from Annona montana on Spodoptera frugiperda. J. Pest Sci. 2010, 83, 307–310. [Google Scholar] [CrossRef]
- Bombasaro, J.A.; Blessing, L.D.T.; Diaz, S.; Neske, A.; Suvire, F.D.; Enriz, R.D.; Rodríguez, A.M. Theoretical and experimental study of the interactions of Annonaceous acetogenins with artificial lipid bilayers. J. Mol. Struct. 2011. [Google Scholar]
- Shimada, H.; Kozlowski, J.F.; Mclaughlin, J.L. The localizations in liposomal membranes of the tetrahydrofuran ring moieties of the annonaceous acetogenins, annonacin and sylvaticin, as determined by 1HNMR spectroscopy. Pharmacol. Res. 1998, 37, 357–363. [Google Scholar] [CrossRef]
© 2014 by the authors; licensee MDPI, Basel, Switzerland. This article is an open access article distributed under the terms and conditions of the Creative Commons Attribution license (http://creativecommons.org/licenses/by/3.0/).
Share and Cite
Costa, M.S.; Cossolin, J.F.S.; Pereira, M.J.B.; Sant'Ana, A.E.G.; Lima, M.D.; Zanuncio, J.C.; Serrão, J.E. Larvicidal and Cytotoxic Potential of Squamocin on the Midgut of Aedes aegypti (Diptera: Culicidae). Toxins 2014, 6, 1169-1176. https://doi.org/10.3390/toxins6041169
Costa MS, Cossolin JFS, Pereira MJB, Sant'Ana AEG, Lima MD, Zanuncio JC, Serrão JE. Larvicidal and Cytotoxic Potential of Squamocin on the Midgut of Aedes aegypti (Diptera: Culicidae). Toxins. 2014; 6(4):1169-1176. https://doi.org/10.3390/toxins6041169
Chicago/Turabian StyleCosta, Marilza S., Jamile F. S. Cossolin, Mônica J. B. Pereira, Antônio E. G. Sant'Ana, Milena D. Lima, José C. Zanuncio, and José Eduardo Serrão. 2014. "Larvicidal and Cytotoxic Potential of Squamocin on the Midgut of Aedes aegypti (Diptera: Culicidae)" Toxins 6, no. 4: 1169-1176. https://doi.org/10.3390/toxins6041169
APA StyleCosta, M. S., Cossolin, J. F. S., Pereira, M. J. B., Sant'Ana, A. E. G., Lima, M. D., Zanuncio, J. C., & Serrão, J. E. (2014). Larvicidal and Cytotoxic Potential of Squamocin on the Midgut of Aedes aegypti (Diptera: Culicidae). Toxins, 6(4), 1169-1176. https://doi.org/10.3390/toxins6041169
