Expression of L-Amino Acid Oxidase (Ml-LAAO) from the Venom of the Micrurus lemniscatus Snake in a Mammalian Cell System
Abstract
1. Introduction
2. Results and Discussion
2.1. Optimization and In Silico Analysis of ML-LAAOnat and ML-LAAOrec
2.2. Expression Optimization
2.3. Reverse Transcription Followed by Quantitative Real-Time Polymerase Chain Reaction (qRT-PCR)
2.4. Evaluation of Ml-LAAOrec Enzymatic Activity
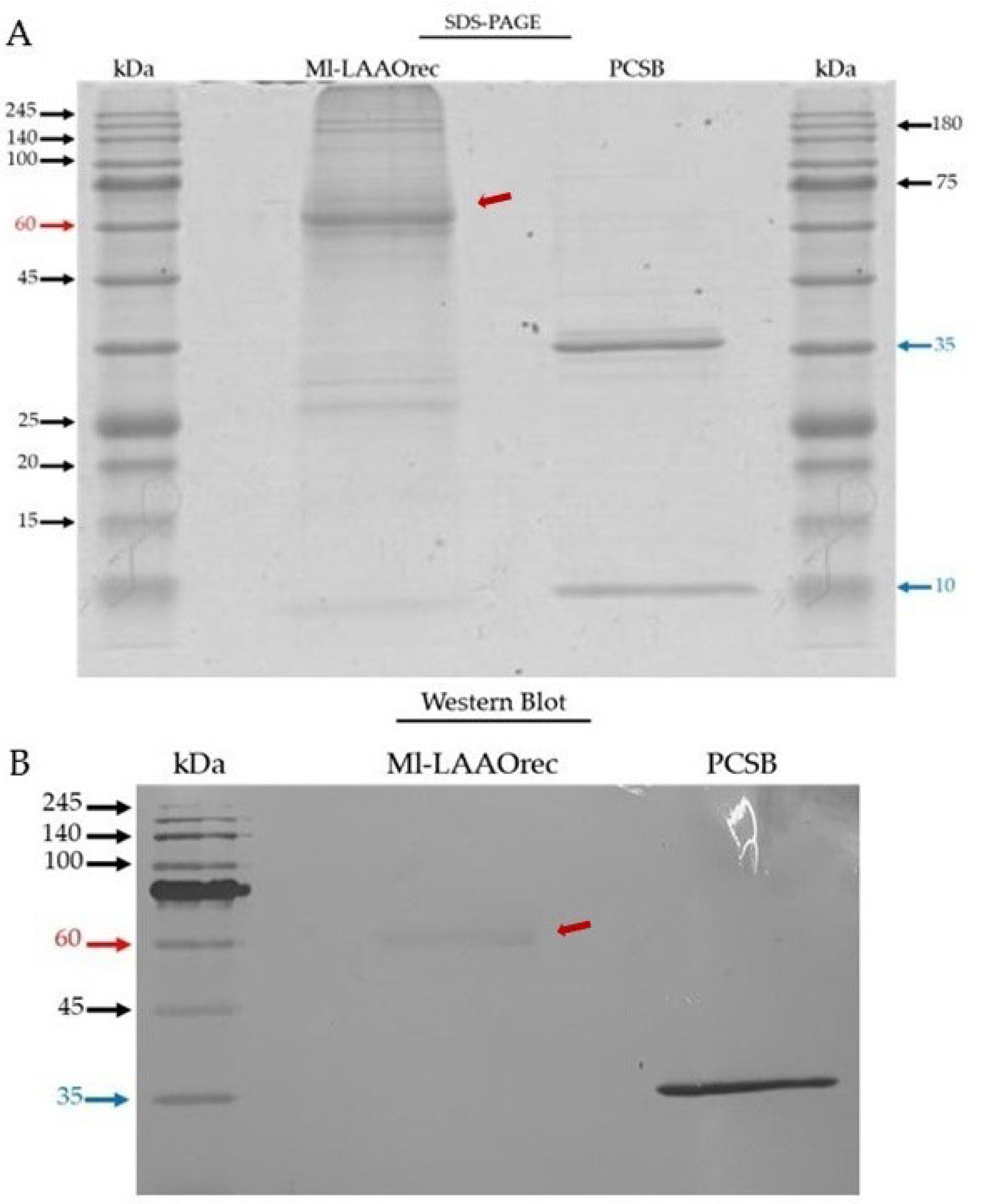
2.5. Purification and Identification of Ml-LAAOrec
2.6. Mass Spectrometry
3. Conclusions
4. Materials and Methods
4.1. Obtaining the Amino Acid Sequence of Ml-LAAO
4.2. In Silico Analysis
4.3. Ml-LAAO Expression
4.3.1. Plasmid Construction and Amplification
4.3.2. Cell Culture and Transfection
4.3.3. Optimization and Efficiency Assessment
4.4. RNA Extraction and Quantitative Reverse Transcription PCR (qRT-PCR)
4.5. Determination of Ml-LAAOrec Activity
4.6. Ml-LAAOrec Purification and Quantification
4.7. SDS-PAGE and Western Blot Assay
4.8. Sample Preparation (In-Solution Digestion) for Nano Liquid Chromatography (Nano-LC) Coupled to Electrospray Ionization Spectrometry (ESI)
4.9. Search for Identities
Supplementary Materials
Author Contributions
Funding
Institutional Review Board Statement
Informed Consent Statement
Data Availability Statement
Acknowledgments
Conflicts of Interest
Abbreviations
| LAAO | L-amino acid oxidase |
| Ml-LAAO | L-amino acid oxidase from Micrurus lemniscatus |
| Ml-LAAOnat | Native Ml-LAAO |
| Ml-LAAOrec | Recombinant Ml-LAAO |
| DMEM | Dulbecco’s Modified Eagle’s Medium |
| EGFP | Green Fluorescent Protein |
| PBS | Phosphate-buffered saline |
| SDS-PAGE | Sodium dodecyl sulfate–polyacrylamide gel electrophoresis |
| HPLC | High-performance liquid chromatography |
| DDBJ | DNA Data Bank of Japan |
| qRT-PCR | Quantitative reverse transcription polymerase chain reaction |
| RNAse P | Ribonuclease P (endogenous control) |
| FBS | Fetal bovine serum |
| OPD | o-Phenylenediamine |
| BSA | Bovine serum albumin |
| TFA | Trifluoroacetic acid |
| TCEP | Tris(2-carboxyethyl)phosphine |
| NTC | No template control |
| ESI | Electrospray ionization |
| LC-MS/MS | Liquid chromatography tandem mass spectrometry |
| MS/MS | Tandem mass spectrometry |
| PBS-T | PBS with Tween-20 |
| H2O2 | Hydrogen peroxide |
| HCD | Higher-energy collisional dissociation |
References
- Fry, B.G.; Roelants, K.; Champagne, D.E.; Scheib, H.; Tyndall, J.D.A.; King, G.F.; Nevalainen, T.J.; Norman, J.A.; Lewis, R.J.; Norton, R.S.; et al. The Toxicogenomic Multiverse: Convergent Recruitment of Proteins Into Animal Venoms. Annu. Rev. Genom. Hum. Genet. 2009, 10, 483–511. [Google Scholar] [CrossRef]
- Matsui, T.; Fujimura, Y.; Titani, K. Snake Venom Proteases Affecting Hemostasis and Thrombosis. Biochim. Biophys. Acta (BBA)-Protein Struct. Mol. Enzymol. 2000, 1477, 146–156. [Google Scholar] [CrossRef]
- Tednes, M.; Slesinger, T.L. Evaluation and Treatment of Snake Envenomations. In StatPearls; StatPearls Publishing: Treasure Island, FL, USA, 2023. [Google Scholar]
- Niewiarowski, S.; McLane, M.A.; Kloczewiak, M.; Stewart, G.J. Disintegrins and Other Naturally Occurring Antagonists of Platelet Fibrinogen Receptors. Semin. Hematol. 1994, 31, 289–300. [Google Scholar] [PubMed]
- Uetz, P.; Koo, M.S.; Brings, E.; Alessandro, C.; Chang, A.T.; Chaitanya, R.; Freed, P.; Gross, J.; Hammermann, M.; Hošek, J.; et al. A Quarter Century of Reptile and Amphibian Databases. Herpetol. Rev. 2021, 52, 246–255. [Google Scholar]
- Campbell, J.A.; Lamar, W.W. The Venomous Reptiles of the Western Hemisphere (Vols. 1–2); Cornell University Press: Ithaca, NY, USA, 2004; Volume 1–2. [Google Scholar] [CrossRef]
- Roze, J.A. Coral Snakes of the Americas: Biology, Identification, and Venoms, Original ed.; Krieger: Malabar, FL, USA, 1996; ISBN 978-0-89464-847-2. [Google Scholar]
- Peterson, M.E. Snake Bite: Coral Snakes. Clin. Tech. Small Anim. Pract. 2006, 21, 183–186. [Google Scholar] [CrossRef]
- Azevedo-Marques, M.M.; Cupo, P.; Hering, S.E. Acidentes Por Animais Peçonhentos: Serpentes Peçonhentas. Medicina 2003, 36, 480–489. [Google Scholar] [CrossRef][Green Version]
- Ciscotto, P.H.C.; Rates, B.; Silva, D.A.F.; Richardson, M.; Silva, L.P.; Andrade, H.; Donato, M.F.; Cotta, G.A.; Maria, W.S.; Rodrigues, R.J.; et al. Venomic Analysis and Evaluation of Antivenom Cross-Reactivity of South American Micrurus Species. J. Proteom. 2011, 74, 1810–1825. [Google Scholar] [CrossRef]
- Da Silva, D.C.; De Medeiros, W.A.A.; Batista, I.D.F.C.; Pimenta, D.C.; Lebrun, I.; Abdalla, F.M.F.; Sandoval, M.R.L. Characterization of a New Muscarinic Toxin from the Venom of the Brazilian Coral Snake Micrurus lemniscatus in Rat Hippocampus. Life Sci. 2011, 89, 931–938. [Google Scholar] [CrossRef]
- Vital Brazil, O.; Vieira, R.J. Neostigmine in the Treatment of Snake Accidents Caused by Micrurus Frontalis: Report of Two Cases. Rev. Inst. Med. Trop. São Paulo 1996, 38, 61–67. [Google Scholar] [CrossRef]
- Macheroux, P.; Seth, O.; Bollschweiler, C.; Schwarz, M.; Kurfürst, M.; Au, L.C.; Ghisla, S. L-Amino-Acid Oxidase from the Malayan Pit Viper Calloselasma rhodostoma. Comparative Sequence Analysis and Characterization of Active and Inactive Forms of the Enzyme. Eur. J. Biochem. 2001, 268, 1679–1686. [Google Scholar] [CrossRef]
- Ciscotto, P.; Machado de Avila, R.A.; Coelho, E.A.F.; Oliveira, J.; Diniz, C.G.; Farías, L.M.; de Carvalho, M.A.R.; Maria, W.S.; Sanchez, E.F.; Borges, A.; et al. Antigenic, Microbicidal and Antiparasitic Properties of an l-Amino Acid Oxidase Isolated from Bothrops Jararaca Snake Venom. Toxicon 2009, 53, 330–341. [Google Scholar] [CrossRef] [PubMed]
- Costa Torres, A.F.; Dantas, R.T.; Toyama, M.H.; Filho, E.D.; Zara, F.J.; Rodrigues de Queiroz, M.G.; Pinto Nogueira, N.A.; Rosa de Oliveira, M.; de Oliveira Toyama, D.; Monteiro, H.S.A.; et al. Antibacterial and Antiparasitic Effects of Bothrops marajoensis Venom and Its Fractions: Phospholipase A2 and l-Amino Acid Oxidase. Toxicon 2010, 55, 795–804. [Google Scholar] [CrossRef] [PubMed]
- Li, Z.-Y.; Yu, T.-F.; Lian, E.C.-Y. Purification and Characterization of L-Amino Acid Oxidase from King Cobra (Ophiophagus Hannah) Venom and Its Effects on Human Platelet Aggregation. Toxicon 1994, 32, 1349–1358. [Google Scholar] [CrossRef] [PubMed]
- Naumann, G.B.; Silva, L.F.; Silva, L.; Faria, G.; Richardson, M.; Evangelista, K.; Kohlhoff, M.; Gontijo, C.M.F.; Navdaev, A.; de Rezende, F.F.; et al. Cytotoxicity and Inhibition of Platelet Aggregation Caused by an L-Amino Acid Oxidase from Bothrops Leucurus Venom. Biochim. Biophys. Acta (BBA)-Gen. Subj. 2011, 1810, 683–694. [Google Scholar] [CrossRef]
- Alves, R.M.; Antonucci, G.A.; Paiva, H.H.; Cintra, A.C.O.; Franco, J.J.; Mendonça-Franqueiro, E.P.; Dorta, D.J.; Giglio, J.R.; Rosa, J.C.; Fuly, A.L.; et al. Evidence of Caspase-Mediated Apoptosis Induced by l-Amino Acid Oxidase Isolated from Bothrops Atrox Snake Venom. Comp. Biochem. Physiol. Part A Mol. Integr. Physiol. 2008, 151, 542–550. [Google Scholar] [CrossRef]
- Costal-Oliveira, F.; Stransky, S.; Guerra-Duarte, C.; Naves de Souza, D.L.; Vivas-Ruiz, D.E.; Yarlequé, A.; Sanchez, E.F.; Chávez-Olórtegui, C.; Braga, V.M.M. L-Amino Acid Oxidase from Bothrops Atrox Snake Venom Triggers Autophagy, Apoptosis and Necrosis in Normal Human Keratinocytes. Sci. Rep. 2019, 9, 781. [Google Scholar] [CrossRef]
- Hiu, J.J.; Yap, M.K.K. Cytotoxicity of Snake Venom Enzymatic Toxins: Phospholipase A2 and l-Amino Acid Oxidase. Biochem. Soc. Trans. 2020, 48, 719–731. [Google Scholar] [CrossRef]
- Marcussi, S.; Stábeli, R.G.; Santos-Filho, N.A.; Menaldo, D.L.; Silva Pereira, L.L.; Zuliani, J.P.; Calderon, L.A.; Da Silva, S.L.; Greggi Antunes, L.M.; Soares, A.M. Genotoxic Effect of Bothrops Snake Venoms and Isolated Toxins on Human Lymphocyte DNA. Toxicon 2013, 65, 9–14. [Google Scholar] [CrossRef]
- Costa, T.R.; Burin, S.M.; Menaldo, D.L.; De Castro, F.A.; Sampaio, S.V. Snake Venom L-Amino Acid Oxidases: An Overview on Their Antitumor Effects. J. Venom. Anim. Toxins Incl. Trop. Dis. 2014, 20, 23. [Google Scholar] [CrossRef]
- Suhr, S.-M.; Kim, D.-S. Identification of the Snake Venom Substance That Induces Apoptosis. Biochem. Biophys. Res. Commun. 1996, 224, 134–139. [Google Scholar] [CrossRef]
- Deolindo, P.; Teixeira-Ferreira, A.S.; DaMatta, R.A.; Alves, E.W. L-Amino Acid Oxidase Activity Present in Fractions of Bothrops Jararaca Venom Is Responsible for the Induction of Programmed Cell Death in Trypanosoma cruzi. Toxicon 2010, 56, 944–955. [Google Scholar] [CrossRef]
- Carone, S.E.I.; Costa, T.R.; Burin, S.M.; Cintra, A.C.O.; Zoccal, K.F.; Bianchini, F.J.; Tucci, L.F.F.; Franco, J.J.; Torqueti, M.R.; Faccioli, L.H.; et al. A New L-Amino Acid Oxidase from Bothrops Jararacussu Snake Venom: Isolation, Partial Characterization, and Assessment of pro-Apoptotic and Antiprotozoal Activities. Int. J. Biol. Macromol. 2017, 103, 25–35. [Google Scholar] [CrossRef]
- Fernández, J.; Chaves, W.; Vargas-Diaz, D.; Petras, D.; Lomonte, B. Top-down Proteomics of Venoms from Five Micrurus Species from Costa Rica: Comparative Composition of Phospholipase A2-Rich vs Three-Finger Toxin-Rich Phenotypes. Toxicon 2024, 252, 108187. [Google Scholar] [CrossRef]
- Hernández-Altamirano, J.A.; Salazar-Valenzuela, D.; Medina-Villamizar, E.J.; Quirola, D.R.; Patel, K.; Vaiyapuri, S.; Lomonte, B.; Almeida, J.R. First Insights into the Venom Composition of Two Ecuadorian Coral Snakes. Int. J. Mol. Sci. 2022, 23, 14686. [Google Scholar] [CrossRef] [PubMed]
- Soares, T.G.; dos Santos, J.L.; de Alvarenga, V.G.; Santos, J.S.C.; Leclercq, S.Y.; Faria, C.D.; Oliveira, M.A.A.; Bemquerer, M.P.; Sanchez, E.O.F.; de Lima, M.E.; et al. Biochemical and Functional Properties of a New L-Amino Acid Oxidase (LAAO) from Micrurus Lemniscatus Snake Venom. Int. J. Biol. Macromol. 2020, 154, 1517–1527. [Google Scholar] [CrossRef] [PubMed]
- Hartley, J.L. Cloning Technologies for Protein Expression and Purification. Curr. Opin. Biotechnol. 2006, 17, 359–366. [Google Scholar] [CrossRef] [PubMed]
- Juturu, V.; Wu, J.C. Heterologous Protein Expression in Pichia Pastoris: Latest Research Progress and Applications. ChemBioChem 2018, 19, 7–21. [Google Scholar] [CrossRef]
- Aird, S.; da Silva, N.; Qiu, L.; Villar-Briones, A.; Saddi, V.; Pires de Campos Telles, M.; Grau, M.; Mikheyev, A. Coralsnake Venomics: Analyses of Venom Gland Transcriptomes and Proteomes of Six Brazilian Taxa. Toxins 2017, 9, 187. [Google Scholar] [CrossRef]
- Pawelek, P.D. The Structure of L-Amino Acid Oxidase Reveals the Substrate Trajectory into an Enantiomerically Conserved Active Site. EMBO J. 2000, 19, 4204–4215. [Google Scholar] [CrossRef]
- Winer, J.; Jung, C.K.S.; Shackel, I.; Williams, P.M. Development and Validation of Real-Time Quantitative Reverse Transcriptase–Polymerase Chain Reaction for Monitoring Gene Expression in Cardiac Myocytes in Vitro. Anal. Biochem. 1999, 270, 41–49. [Google Scholar] [CrossRef]
- Kommoju, P.R.; Macheroux, P.; Ghisla, S. Molecular Cloning, Expression and Purification of l-Amino Acid Oxidase from the Malayan Pit Viper Calloselasma Rhodostoma. Protein Expr. Purif. 2007, 52, 89–95. [Google Scholar] [CrossRef]
- Coutinho, A.T.P.; Campos, P.C.; Dos Santos, J.L.; Rodrigues, T.T.O.; Martins, A.A.; Mol, M.P.G.; Borges, W.D.C.; Borges, M.H. Characterization and Stability Assessment of Crotalus Durissus Venom Used in the Anti-Crotalic Serum Production. Toxicon 2025, 265, 108493. [Google Scholar] [CrossRef]
- Hanane-Fadila, Z.-M.; Fatima, L.-D. Purification, Characterization and Antibacterial Activity of l-Amino Acid Oxidase from Cerastes Cerastes: Antibacterial LAAO: Biochemical properties. J. Biochem. Mol. Toxicol. 2014, 28, 347–354. [Google Scholar] [CrossRef]
- Saveliev, S.; Bratz, M.; Zubarev, R.; Szapacs, M.; Budamgunta, H.; Urh, M. Trypsin/Lys-C Protease Mix for Enhanced Protein Mass Spectrometry Analysis. Nat. Methods 2013, 10, i–ii. [Google Scholar] [CrossRef]
- Ponnudurai, G.; Chung, M.C.M.; Tan, N.H. Purification and Properties of the L-Amino Acid Oxidase from Malayan Pit Viper (Calloselasma Rhodostoma) Venom. Arch. Biochem. Biophys. 1994, 313, 373–378. [Google Scholar] [CrossRef]
- Laemmli, U.K. Cleavage of Structural Proteins during the Assembly of the Head of Bacteriophage T4. Nature 1970, 227, 680–685. [Google Scholar] [CrossRef]







| Properties | Ml-LAAOnat | Ml-LAAOrec |
|---|---|---|
| Number of nucleotides | 1503 | 1629 |
| Number of amino acids | 501 | 543 |
| Molecular weight | ~57 kDa | ~62 kDa |
| Theoretical Isoelectric Point | 9.02 | 8.97 |
| Half-life estimate (in vitro, in mammalian cells) | 30 h | 30 h |
| Instability index | 33.17 (stable) | 35.55 (stable) |
| Aliphatic index | 83.71 | 83.54 |
Disclaimer/Publisher’s Note: The statements, opinions and data contained in all publications are solely those of the individual author(s) and contributor(s) and not of MDPI and/or the editor(s). MDPI and/or the editor(s) disclaim responsibility for any injury to people or property resulting from any ideas, methods, instructions or products referred to in the content. |
© 2025 by the authors. Licensee MDPI, Basel, Switzerland. This article is an open access article distributed under the terms and conditions of the Creative Commons Attribution (CC BY) license (https://creativecommons.org/licenses/by/4.0/).
Share and Cite
Costa, A.J.d.O.; Matavel, A.; Campos, P.C.; Santos, J.L.d.; Ataide, A.C.Z.; Leclercq, S.Y.; de Alvarenga, V.G.; Caldas, S.; Castro-Borges, W.; Borges, M.H. Expression of L-Amino Acid Oxidase (Ml-LAAO) from the Venom of the Micrurus lemniscatus Snake in a Mammalian Cell System. Toxins 2025, 17, 491. https://doi.org/10.3390/toxins17100491
Costa AJdO, Matavel A, Campos PC, Santos JLd, Ataide ACZ, Leclercq SY, de Alvarenga VG, Caldas S, Castro-Borges W, Borges MH. Expression of L-Amino Acid Oxidase (Ml-LAAO) from the Venom of the Micrurus lemniscatus Snake in a Mammalian Cell System. Toxins. 2025; 17(10):491. https://doi.org/10.3390/toxins17100491
Chicago/Turabian StyleCosta, Ari Junio de Oliveira, Alessandra Matavel, Patricia Cota Campos, Jaqueline Leal dos Santos, Ana Caroline Zampiroli Ataide, Sophie Yvette Leclercq, Valéria Gonçalves de Alvarenga, Sergio Caldas, William Castro-Borges, and Márcia Helena Borges. 2025. "Expression of L-Amino Acid Oxidase (Ml-LAAO) from the Venom of the Micrurus lemniscatus Snake in a Mammalian Cell System" Toxins 17, no. 10: 491. https://doi.org/10.3390/toxins17100491
APA StyleCosta, A. J. d. O., Matavel, A., Campos, P. C., Santos, J. L. d., Ataide, A. C. Z., Leclercq, S. Y., de Alvarenga, V. G., Caldas, S., Castro-Borges, W., & Borges, M. H. (2025). Expression of L-Amino Acid Oxidase (Ml-LAAO) from the Venom of the Micrurus lemniscatus Snake in a Mammalian Cell System. Toxins, 17(10), 491. https://doi.org/10.3390/toxins17100491

