Next Article in Journal
Occurrence and Exposure Assessment of Zearalenone in the Zhejiang Province, China
Previous Article in Journal
Rutin Alleviates Zearalenone-Induced Endoplasmic Reticulum Stress and Mitochondrial Pathway Apoptosis in Porcine Endometrial Stromal Cells by Promoting the Expression of Nrf2
 
 
Font Type:
Arial Georgia Verdana
Font Size:
Aa Aa Aa
Line Spacing:
Column Width:
Background:
Article

Host-Induced Gene Silencing of the Aspergillus flavus O-Methyl Transferase Gene Enhanced Maize Aflatoxin Resistance

1
Department of Plant Pathology and Crop Physiology, Louisiana State University Agricultural Center, Baton Rouge, LA 70803, USA
2
Southern Regional Research Center, Agricultural Research Service, United States Department of Agriculture (USDA/ARS), New Orleans, LA 70124, USA
3
Cash Crops Research Institute, Guangxi Academy of Agricultural Sciences, Nanning 530007, China
4
Faculty of Natural Resources and Agro-Industry, Kasetsart University, Chalermphrakiat Sakonnakhon Province Campus, Sakonnakhon 47000, Thailand
5
Department of Agronomy, Iowa State University, Ames, IA 50011, USA
6
USDA-ARS Corn Host Plant Resistance Research Unit, Mississippi State, Starkville, MS 39762, USA
*
Authors to whom correspondence should be addressed.
These authors contributed equally to this work.
Submission received: 30 October 2024 / Revised: 18 December 2024 / Accepted: 23 December 2024 / Published: 27 December 2024
(This article belongs to the Section Mycotoxins)

Abstract

Maize is one of the major crops that are susceptible to Aspergillus flavus infection and subsequent aflatoxin contamination, which poses a serious health threat to humans and domestic animals. Here, an RNA interference (RNAi) approach called Host-Induced Gene Silencing (HIGS) was employed to suppress the O-methyl transferase gene (omtA, also called aflP), a key gene involved in aflatoxin biosynthesis. An RNAi vector carrying part of the omtA gene was introduced into the B104 maize line. Among the six transformation events that were positive for containing the omtA transgene, OmtA-6 and OmtA-10 were self-pollinated from T1 to T4, and OmtA-7 and OmtA-12 to the T6 generation. These four lines showed at least an 81.3% reduction in aflatoxin accumulation at the T3 generation under laboratory conditions. When screened under field conditions with artificial inoculation, OmtA-7 at T5 and T6 generations and OmtA-10 at T4 generation showed a reduction in aflatoxin contamination between 60% and 91% (p < 0.02 to p < 0.002). In order to develop commercial maize lines with enhanced aflatoxin resistance, the omtA transgene in OmtA-7 was introduced into three elite inbred lines through crossing, and the resulting crosses also exhibited significantly lower aflatoxin accumulation compared to crosses with non-transgenic controls (p < 0.04). In addition, high levels of omtA-specific small RNAs were only detected in the transgenic kernel and leaf tissues. These results demonstrate that suppression of omtA through HIGS can enhance maize resistance to aflatoxin contamination, and this resistance can be transferred to elite backgrounds, providing a viable and practical approach to reduce aflatoxin contamination in maize.
Key Contribution: The HIGS strategy was employed to suppress the expression of omtA, an A. flavus gene encoding O-methyl transferase, a key enzyme involved in the aflatoxin biosynthetic pathway. The resulting transgenic maize showed significantly enhanced aflatoxin resistance under repeated field evaluations, demonstrating the effectiveness of HIGS in mitigating aflatoxin contamination in maize.

1. Introduction

Maize (Zea mays L.) is a major staple across the world, but infection by Aspergillus flavus and the production of the most potent naturally occurring carcinogenic secondary metabolite known as aflatoxin remain a major health concern for growers and consumers worldwide [1,2]. Although A. flavus causes ear rot on maize, it was only considered a minor disease until the discovery of aflatoxin, which led to increased plant breeding and pathology efforts towards reducing A. flavus infection and aflatoxin accumulation in maize and other susceptible crops, such as peanuts [3]. This is because aflatoxin is associated with adverse health effects, such as hepatic dysfunction, teratogenic defects, reduced immunity in humans, and stunting and reduced weight in children, particularly in developing countries [4,5]. Occasionally, consumption of highly aflatoxin-contaminated maize products also results in aflatoxicosis and deaths [4,6,7,8]. Due to the health risks associated with aflatoxin, the Food and Drug Administration (FDA) strictly prohibits interstate commerce of grains contaminated with levels of aflatoxin higher than 20 ng/g. The European Union has set even lower limits of 2 ng/g (equivalent to parts per billion, ppb) for aflatoxin B1 in cereals, dried fruits, and tree nuts, and 5 ng/g of aflatoxin B1 in maize and rice that must undergo sorting or other physical treatment before being placed on the market. However, such regulations may negatively impact the economies of countries relying on maize and peanut imports or exports [5,9,10].
Although efforts to reduce aflatoxin accumulation have been intensified, there are no commercial maize hybrids with an acceptable level of resistance to aflatoxin contamination. Currently, the only effective pre-harvest method for aflatoxin management involves the application of biological control agents, such as atoxigenic strains of A. flavus NRRL30797, AF36, and NRRL21882. They can reduce aflatoxin contamination in maize and peanuts by up to 94.8% [11,12]. However, the use of these atoxigenic A. flavus strains for biological control depends heavily on the availability of resources. In addition, it incurs added costs for farmers. Therefore, other more economical alternative strategies that can protect maize from A. flavus infection and aflatoxin contamination are desirable. Efforts in conventional breeding for aflatoxin-resistance in maize have yielded a few aflatoxin resistant inbred lines, such as GT-MAS:gk, MI82, Tex6, Mp420, Mp313E, Mp715, Mp717-Mp719, and TZAR101-TZAR106 [13,14,15,16,17,18,19]. The poor agronomic traits of these lines and the polygenic quantitative nature of aflatoxin resistance have hindered the development of aflatoxin-resistant commercial maize hybrids [20,21].
The identification and characterization of resistance-associated genes and proteins in maize that are differentially expressed during A. flavus infection have led to a better understanding of host resistance mechanisms [22,23,24,25]. Some of the resistance-associated genes have been used in genetic engineering to improve crop resistance to A. flavus, such as the overexpression of a chitinase or a glucanase gene to enhance aflatoxin resistance in peanuts [26,27]. In addition, a cluster of genes involved in aflatoxin biosynthesis has been identified, and their roles in aflatoxin biosynthesis were demonstrated in A. flavus [28,29,30]. Notably, aflR, encodes a transcription factor and is a key regulator that modulates the expression of most of the aflatoxin pathway genes [31,32]. Other important genes, aflB and aflA, are involved in hexanoate formation during the initial steps of aflatoxin biosynthesis [33]. The aflD, aflE, and aflF genes encode the enzymes that catalyze the reactions involved in the conversion of norsolorinic acid (NOR) to averantin during aflatoxin biosynthesis [34,35]. The aflP gene (omtA), which encodes the O-methyltransferase A, is involved in catalyzing the conversion of sterigmatocystin (ST) and DHST to O-methylsterigmatocystin (OMST) and dihydro-O-methylsterigmatocystin (DHOMST) during aflatoxin biosynthesis, based on gene disruption and expression studies of the recombinant protein [36,37].
Recent studies have demonstrated in several crops that the reduction of fungal infections and plant diseases can be achieved by suppressing the expression of key pathogen genes via host-expressed double-stranded RNA (dsRNA), which is also referred to as cross-kingdom gene silencing or HIGS [38,39,40,41,42,43,44,45]. For example, the suppression of a Zn II transcription factor (FOW2) and class V chitin synthase (chsV) genes in the Fusarium oxysporum led to reduced vascular wilt disease symptoms in transgenic tomatoes [42]. Several genes involved in regulating deoxynivalenol (DON) biosynthesis and the formation of fungal structures in Fusarium graminearum have also been silenced via HIGS, leading to reduced mycotoxin DON production and head blight disease in wheat [43].
This same approach has also been used to successfully mitigate aflatoxin contamination in maize by suppressing A. flavus aflR, aflC, and aflM, or genes involved in fungal growth, such as alk, amy1, and p2c [46,47,48,49,50]. These studies showed a clear reduction in aflatoxin accumulation under laboratory and greenhouse conditions [47,48], and even under repeated field conditions [46,49]. The study by Raruang et al. [46] and Omolehin et al. [49] further demonstrated that the reduced aflatoxin contamination in the transgenic HIGS lines is the result of the presence of high levels of gene-specific small RNAs in the leaf and kernel tissues.
The main objective of the present study was to determine whether suppressing the omtA (aflP) gene through HIGS can reduce A. flavus infection and/or aflatoxin accumulation in maize. The omtA gene, unlike previously HIGS-targeted aflatoxin pathway genes, functions at the end of the aflatoxin biosynthesis pathway, which may prove more effective in reducing aflatoxin biosynthesis during A. flavus infection when it is suppressed. Therefore, an RNAi-OmtA vector carrying a partial omtA gene was constructed according to Chen et al. [51] and introduced into the maize B104 line through Agrobacterium-mediated transformation in late 2012.
The homozygous seeds of the resulting transgenic maize lines were produced and examined for changes in resistance to aflatoxin accumulation under laboratory and field conditions. Under laboratory kernel screening assay (KSA) conditions, aflatoxin reduction ranging between 77% and 93% was observed in the selected transgenic lines. Under artificial field inoculation, two of the four transgenic maize lines (OmtA-7 and OmtA-10) exhibited an average of 85% less aflatoxin production compared to the null control of the same event. These same two lines also exhibited significantly less aflatoxin contamination under a simulated scenario of poor storage conditions. F1 crosses between the transgenic OmtA-7 line and three selected aflatoxin-susceptible elite maize inbred lines also showed enhanced aflatoxin resistance, with a 51.5% to 72.3% reduction in aflatoxin production. RNA sequencing of both transgenic and null controls (leaf and kernel tissues) detected high levels of omtA-specific small RNA only in the transgenic lines, which may serve as precursors for silencing the omtA during infection, thereby resulting in reduced aflatoxin accumulation. Our findings demonstrate that transgenic maize lines carrying the HIGS omtA cassette can significantly reduce aflatoxin contamination in maize. This study also draws closer attention to variations in resistance achievable by HIGS depending on the genes selected for silencing as well as variations among different independent transformation events.

2. Results

2.1. Construction of the HIGS Vector, Its Transformation into Maize, and Confirmation of the omtA Gene in Trasngenic Maize

The HIGS (pTF102-omtA-RNAi) vector (Figure S1) was assembled as described in the Materials and Methods. The final construct was digested with Mfe I, Kpn I, and EcoR V restriction enzymes to verify the correct assembly. Restriction analysis produced two fragments of the expected sizes of 2,447 and 9,085 bp when digested with EcoR V, three fragments of expected sizes of 229, 2,447, and 8,786 bp when digested with Mfe I, and two fragments of the expected sizes of 1,328 and 10,204 bp when digested with Kpn I (Figure S2). This construct will produce a 390-bp omtA dsRNA transcript with a 101-bp single-strand loop in the middle once the transcript is processed in the host plant.
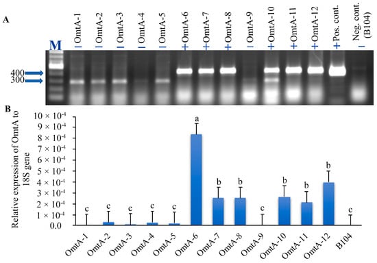
This HIGS vector was introduced into the immature embryo of the maize B104 line through Agrobacterium tumefaciens-based transformation in September 2012. The transgenic plants, regenerated from independent transformation events, were pollinated with pollen from B104 between April and May of 2013, and mature seeds from 11 independent transformation events were harvested in May and June of 2013. Based on PCR analysis of the genomic DNA isolated from T0 transgenic leaf tissues from each event received from the Iowa State University (ISU) Plant Transformation Facility, six (OmtA-6, 7, 8, 10, 11, and 12) were confirmed positive for the omtA transgene (Figure 1A). Among them, the OmtA-6 event showed the highest target gene expression, followed by OmtA-7, OmtA-10, and OmtA-12 based on qRT-PCR analysis of RNA samples prepared from T0 plant leaf tissues (Figure 1B). These four events were selected for further investigation in the following studies.

2.2. Variation in Zygosity and Gene Copy Number

Three (OmtA-6, OmtA-7, and OmtA-12) of the four events mentioned above were believed to have a single integration of the omtA gene in the maize genome, based on the chi-square analysis of the number of T2 generation transgenic and non-transgenic seedlings determined through PCR genotyping (Table 1). OmtA-10 exceeded the critical value for one integration, suggesting the presence of possible multiple integrations (Table 1). Further analysis using the real-time PCR revealed twice the zygosity of the T0 in all purported T3 homozygous samples (Table 2). The genomic DNA isolated from the leaf tissues of all six of the T0 events that tested positive for transformation and all four of the T4 events were quantified for omtA copy number relative to the single copy reference gene alcohol, dehydrogenase gene (adh1), using the droplet digital PCR (ddPCR). The target gene copy number based on ddPCR analysis of the ratio of omtA/adh1 in the genomic DNA of T0 leaf samples, confirmed a single copy of the transgene for five of the six events analyzed (Table 3). The other event (OmtA-6) has four copies of the transgene (Table 3). The ddPCR also confirmed that all four of the T4 events are homozygous for the omtA transgene.

2.3. Aflatoxin B1 Production in the Transgenic Kernels at T1 and T3 Generations

Five omtA-positive transgenic T1 events with sufficient seeds were analyzed for differences in aflatoxin production through the in vitro kernel screening assay (KSA) (Table S1). The transgenic T1 kernels from four (OmtA-6, 7, 10, and 12) out of the five events exhibited lower mean aflatoxin production than those without the omtA transgene, although the difference is not statistically significant except for OmtA-7 and OmtA-12, which were at borderline significance with p-values ranging from 0.056 to 0.063 (Table S1).
The seeds from these four events were increased in the field by self-pollination to T2 in 2015, and again to T3 in 2016. When the T3 generation homozygous and null kernels from the OmtA-6, OmtA-7, OmtA-10, and OmtA-12 events were evaluated again using KSA, a significant reduction in aflatoxin accumulation ranging from 81.3% (OmtA-12) to 98.8% (OmtA-7) was observed between homozygous transgenic and null controls in all four events (with p-values ranging from <0.007 to <0.02) (Figure 2).

2.4. Phenotypic Variations of Homozygous Transgenic and Null Control Plants at T3 Generation and Ears at T4 Generation

The phenotypic traits of T3 plants and T4 ears were evaluated for differences between the homozygous transgenic and their null controls (Table 4). The height of the homozygous transgenic OmtA-RNAi lines and their null controls ranged from 244 to 307 cm. The cob length among the homozygous lines and the null controls ranged between 13.4 and 16.2 cm on average (Table 4). The 100-kernel weight showed similar variations, ranging from 21.1 to 27.8 g for both homozygous lines and their null controls. A significant time delay in silking and an increase in kernel weight were observed for the homozygous transgenic OmtA-7 line compared to its null control. In contrast, a significantly lower kernel weight was observed for the homozygous transgenic OmtA-12 compared to its null control. The transgenic OmtA-6 also exhibited significant delay in silking compared to B104. However, the phenotypic variations observed in these events did not appear to be associated with the presence of the transgene since both OmtA-6 null and OmtA-12 null also significantly varied in plant height compared to the B104 control. Additionally, no clear visual detrimental morphological changes were observed in the transgenic plants compared to the null or B104 plants (Table 4, Figure 3).

2.5. Aflatoxin Production in the Kernels of OmtA-6, OmtA-7, OmtA-10, and OmtA-12 Events Under Field Conditions

The ears of OmtA-7 and OmtA-12 plants at the T4 generation in 2017 suffered severe Fusarium spp. Infection, resulting in relatively low aflatoxin values under our field inoculation conditions were relatively low (about 1000 ng/g or less). There was no significant difference in aflatoxin levels between the kernels from OmtA-7 or OmtA-12 homozygous transgenic lines and the kernels from their corresponding null controls or B104 (p = 0.49, and 0.65, respectively; number of ears = 5 to 12) (Figure S3).
The OmtA-7 and OmtA-12 lines were evaluated again under field conditions at the T5 (2018) and T6 (2019) generations. A significant reduction (up to 58.6%) in aflatoxin accumulation was observed in the T5 homozygous OmtA-7 transgenic line in comparison to the null control (p < 0.027) (Figure 4A). Although 47.6% less aflatoxin accumulation was observed for OmtA-12 homozygous line, the difference in aflatoxin levels between the OmtA-12 and its null control was only borderline significant (p < 0.058) (Figure 4A). In the T6 generation, OmtA-7 again a showed significant (p < 0.002) reduction in aflatoxin accumulation (64.8% reduction) compared to OmtA-12, which showed only a 24.2% reduction when compared to the null control (Figure 4B). This difference was not statistically significant (p < 0.36; number of ears = 7). Two additional events (OmtA-6 and OmtA-10 at T4 generation) were also evaluated in 2019. OmtA-10 showed a significantly lower aflatoxin production (90.4% reduction) compared to its corresponding null control (p < 0.004; number of ears = 13) (Figure 4C). However, only a 33.1% reduction in aflatoxin production was observed in the homozygous transgenic OmtA-6 compared to its null control, which was not statistically significant (p < 0.59; number of ears = 7) (Figure 4C).

2.6. Transgenic Lines Produced Significantly Less Aflatoxin Under Simulated Storage Conditions

To determine whether the OmtA construct can also provide post-harvest protection to maize against aflatoxin contamination during storage, harvested, naturally infected mature kernels from the T6 generation of OmtA-7, 12 and T4 generation of OmtA-6, 10 were surface sterilized and incubated for 7 days under KSA conditions without inoculation. Kernels from these lines produced barely detectable levels (less than 1 ng/g) of aflatoxin B1, except for OmtA-12 null and OmtA-12 homozygous transgenic lines, which had a detected levels of aflatoxin B1 of 12.9 ng/g and 1.1 ng/g (91.3% reduction compared to the null), respectively (Figure 5A). With inoculation, higher aflatoxin accumulation was observed for all the lines examined. There was no significant difference in the levels of aflatoxin between homozygous lines and their null controls for OmtA-6 and OmtA-12 (Figure 5B). However, significantly less aflatoxin production was observed in the homozygous OmtA-7 and OmtA-10 compared to their null controls (p < 0.013), with an average reduction in aflatoxin of about 95.0% and 97.1%, respectively (Figure 5B).

2.7. The Presence of the OmtA Transgene Conferred Aflatoxin Resistance in the F1 Crosses with Elite Lines Under Field Conditions

To verify whether the significantly lower aflatoxin production in the transgenic in the OmtA-7 event is due to the presence of the transgene, three elite inbred lines (PHN46, LH195, and PHG39) were crossed with pollen from the homozygous OmtA-7 and its null plants. All of the single-cross hybrids and the homozygous OmtA-7 produced significantly less aflatoxin than the crosses between the elite lines and the null control (p < 0.02–0.041) (Figure 6). On average, a 51.5% to 72.3% reduction in aflatoxin accumulation was observed in the OmtA-hybrids compared to the selfed elite lines or the crosses of the elite lines with the null controls.

2.8. Small RNA Expression in Homozygous OmtA-RNAi Lines Compared to Null and Negative Controls

To assess whether the improved aflatoxin resistance in the OmtA transgenic lines compared to the null controls was the result of omtA-specific small RNAs arising from the long dsRNA transcribed from the OmtA-RNAi cassette in the transgenic line, small RNA libraries generated from T3 leaf and T4 kernel tissues were sequenced and analyzed (Table 5). In the T3 generation transgenic leaf tissues of OmtA-7 line, omtA-specific small RNAs accounted for about 20.5% of total small RNAs aligned to the A. flavus genome, whereas only 0.04% of omtA-specific small RNA were detected in B104 control leaf tissue (Table 5). The total number of small RNA reads in the T4 OmtA-7 homozygous transgenic kernel tissues that were aligned to A. flavus was 51,791, of which 12,858 (24.8%) were aligned to the omtA gene. In the OmtA-12 homozygous line, 78,161 small RNA reads were aligned to A. flavus and 11,658 (14.9%) of the reads were aligned to the omtA gene. Only several to fewer than a hundred small RNAs from libraries of transgenic plants were aligned to other non-target A. flavus genes, similar to the number of reads of small RNAs from the null and B104 plants that were aligned to omtA, which ranged from 13 to 28 counts (Table 5). Among the small RNAs aligned to the A. flavus genome, 21, 22, and 24 nt in length in the leaf or kernel of the transgenic OmtA-7 line were the most abundant (Figure 7A). A high percentage of the sequenced small RNAs came from the antisense strand, especially for OmtA-7 (Figure 7B), although both omtA-specific sense and anti-sense small RNAs were observed. The small RNA profiling also showed that most of the small RNAs were produced from a few hotspots within the 380 bp omtA transgene region that was transformed into maize (Figure 7C).

3. Discussion

The genetic basis of aflatoxin production during Aspergillus flavus infection of major susceptible crops such as maize, has been attributed to the presence of as many as 25 aflatoxin biosynthetic pathway genes clustered within a 75-kb region of the fungal genome [28]. Developing pre-harvest resistance to aflatoxin accumulation in maize through the conventional breeding has been very challenging and time-consuming. Therefore, alternative approaches, such as using HIGS to suppress the expression of the aflatoxin biosynthetic pathway genes, such as aflR, aflC, or aflM, to reduce aflatoxin contamination in maize have been attempted in several recent studies [46,47,48,52].
In the present study, a different aflatoxin pathway gene (omtA/aflP) was targeted for suppression through HIGS by transforming maize with the OmtA-RNAi construct. Two methods were used to assess the transgene copy numbers in each of the transformation events: genotyping of T2 seedlings and performing χ2 analysis and ddPCR. For OmtA-10, the Chi-square (χ2) analysis of its T2 seedlings indicates the presence of possibly more than one integration of the target gene, while the ddPCR confirmed that it contains only one copy of the target gene. These apparently conflicting results are possibly due to the smaller sample size used in our χ2 analysis since the accuracy of ddPCR has been well documented [53,54]. The presence of the transgene in the transgenic lines did not seem to adversely affect the phenotypic characteristics of the transgenic plants based on the preliminary assessment of differences in the plant height and cob length of the transgenic lines compared to the null controls (Figure 3; Table 4), indicating that there is no suppression of off-target genes related to plant growth or development.
To assess the aflatoxin resistance of the resulting transgenic maize lines, two different methods were used in this study: one is the laboratory based KSA assay using mature kernels, and the other is to inoculate immature maize kernels in the field and assay their aflatoxin levels at maturity. The former is fast, with results that can be obtained in about two weeks, and the results are often very consistent. The latter method takes about 6–8 weeks from the time of inoculation to obtain results. The data are often highly variable, but this method reflects more closely to how these lines will perform in the field. Overall, the results obtained from these two methods are consistent in our studies. Sometimes, the same transformation events performed differently when comparing the aflatoxin data from field-inoculated studies to those obtained in KSA. Several factors contribute to this difference. One is that the KSA involves incubating mature kernels for seven days under ideal conditions for A. flavus infection and toxin production, with no competition or suppression by other microorganisms, which have been reported to affect aflatoxin production [55,56,57,58]. Second, mature kernels may lack the expression of certain disease or resistance-associated genes that are expressed in immature kernels, such as the expression of the chitinase gene on the maize pericarp [59,60]. The third factor is the method of inoculation. For KSA, kernels were inoculated by dipping them into inoculum for one min. However, this method is not possible for inoculating immature kernels on the ears. Instead, the standard side-needle inoculation method was used in field inoculation studies. This involves wounding developing maize kernels and can simulate kernel injury (wounding) caused by insect vectors under field conditions. This method also circumvents the protections provided by physical barriers, such as the husk covers and kernel pericarp. Additionally, environmental factors, such as temperature and moisture [61,62,63], contribute to the variations in aflatoxin data from field studies. All these differences highlight the importance and necessity of evaluating these transgenic lines under field conditions in order to reliably assess their aflatoxin resistance. This is also the reason why only the intact kernels surrounding the needle-wounded ones were collected for aflatoxin analysis in our field evaluation of T4–T6 transgenic lines.
The initial assessment of the aflatoxin resistance in the T1 generation showed lower levels of aflatoxin production, although not statistically significant, in the transgenic kernels compared to the null kernels of the same events (Table S1). Subsequent laboratory KSA reassessment using homozygous kernels in the T3 generation observed a highly significant reduction in aflatoxin accumulation (ranging from 81.3% to 98.8%) in the transgenic compared to their null controls in the OmtA-6, 7, 10, and 12 events (Figure 2). However, only the transgenic OmtA-7 and OmtA-10 lines demonstrated the most aflatoxin resistance under repeated field evaluations, with consistent and significant suppression of aflatoxin production, ranging from 58.6% to 90.4%.
The lack of consistent reduction in aflatoxin production in the OmtA-6 may be due to the presence of multiple copies of the omtA gene, based on droplet digital PCR analysis (Table 3), which may have negatively influenced the efficacy of the target gene silencing [64,65,66]. This may also explain why a significantly higher level of omtA expression was detected in OmtA-6. Moreover, the copy number, the variation in the location of the transgene integration among different transformation events could be another contributing factor [67,68,69]. However, the multiple copies of the omtA transgene in OmtA-6 appeared to have been integrated at a single location, according to genotyping and Chi-square analysis. The reason for the lack of efficacy in reducing aflatoxin contamination in OmtA-12 remains unclear since it has one copy of the transgene, similar to OmtA-10.
The levels of aflatoxin observed in the inoculated homozygous transgenic OmtA-7 or OmtA-10 lines and in F1 crosses with elite inbred lines were in the range of thousands of ng/g, which is much higher than the 20 ng/g, upper limit of aflatoxin in grains intended for human consumption, as set by the FDA. This is partially due to the high inoculum concentration used in our study. An initial A. flavus inoculum concentration of 4 × 106 spores/mL was used for the laboratory study and field inoculations, which consistently yield very high levels of aflatoxin (up to 120,000 ng/g). This concentration is thousands of times higher than what plants may encounter under natural infection conditions, which may overwhelm the resistance conferred by the suppressive small RNAs and diminish our ability to distinguish the performance of the transgenic and null kernels across all events under field conditions. Therefore, the inoculum concentration was reduced to 1 × 105 spores/mL in the subsequent KSA, and field inoculations conducted in 2018 and 2019. Another reason for the high levels of aflatoxin in our study is how the kernels were collected for aflatoxin analysis. In this study, only the kernels from around the inoculation site was harvested for aflatoxin extraction. Aflatoxin analysis conducted by breeders or at commercial elevators uses bulk samples on the scale of kilograms, and their toxin data are usually in the range of a few hundred ng/g or lower [70]. When we used half of the inoculated ears instead of only the 16 kernels surrounding the four inoculation sites, the level of aflatoxin detected was reduced from hundreds of thousands ng/g to a thousand ng/g or less in most samples [71]. Under natural infection conditions, even with 7 days of incubation, the aflatoxin levels were 12.9 ng/g or lower for both transgenic and null controls (Figure 5A). Therefore, HIGS targeting the omtA gene has a great potential to reduce aflatoxin contamination not only in the field, but also to protect the harvested grains during storage.
In an effort to develop aflatoxin-resistant maize lines in an elite background, this study further confirmed that the transgene enhanced aflatoxin resistance in the elite background after crossing with the homozygous transgenic OmtA-7 line, resulting in up to a 72.3% reduction in aflatoxin accumulation in the F1 hybrids (Figure 6). Repeating the backcrossing of these F1 crosses with their corresponding elite parental lines can lead to the development of aflatoxin-resistant commercial maize inbred lines with other desirable agronomic traits.
Our small RNA sequencing analysis confirmed the production of high levels of omtA-specific small RNA among all the small RNAs aligned to A. flavus in our homozygous transgenic kernels of OmtA-7 (24.8%) and OmtA-12 (14.9%), compared to less than 0.07% in their null controls. This higher abundance of omtA-specific small RNA detected in the OmtA-7 kernel tissue, compared to OmtA-12, may be one of the reasons for why OmtA-7 consistently performs better in reducing aflatoxin contamination in both the lab and field evaluations than OmtA-12. However, how the siRNAs travel within the plants and from host plants to pathogens is still poorly understood. It appears that the short-distance cell-to-cell movement of silencing signals occurs through plasmodesmata, while the long-distance movement takes place through the phloem system, including the companion cells [72,73]. The phloem small RNA-binding protein 1 (PSRB1) and small RNA-binding protein 1 (SRBP1) isolated from pumpkin can bind specifically to 24 nucleotide (nt) sRNAs and mediate their cell-to-cell movement [74]. Recent studies further indicated that extracellular vesicles play an important role in small RNA trafficking between hosts and pathogens [45,75]. In addition, gene-specific small RNAs of 21 nt and 24 nt have been reported to play critical roles in post-transcriptional and transcriptional gene silencing, respectively [76,77,78]. In our small RNA sequencing, high levels of 21nt and 24 nt omtA-specific small RNAs were detected in transgenic OmtA-7 T3 generation leaves and T4 generation kernel tissues.
It is evident that the HIGS approach has several of advantages over biocontrol in mitigating aflatoxin contamination: it does not incur additional costs to farmers during the production, and it can provide protection against post-harvest aflatoxin contamination during storage under suboptimal storage conditions. Future studies may focus on elucidating the pathway involved in dsRNA trafficking between the A. flavus pathogen and maize, especially related to the silencing of the omtA gene, such as evaluating changes in the level of the omtA protein and the expression of other toxin pathway genes as a result of suppression of omtA by the HIGS. Other studies could improve maize resistance to aflatoxin accumulation by suppressing multiple aflatoxin pathway and A. flavus virulence genes in a single RNAi vector. Therefore, there is still room for further improvement of this HIGS strategy to achieve a successful management of aflatoxin contamination in maize and other susceptible crops to a level lower than the limits set by the US and EU under natural infection conditions.

4. Conclusions

The present study demonstrates that silencing the omtA gene can be used to reduce aflatoxin contamination in maize through HIGS. Significantly higher levels both of omtA-specific small RNAs were detected in the leaf and kernel tissues of transgenic OmtA-7 and OmtA-10 lines, indicating that the reduced aflatoxin contamination in these homozygous transgenic kernels is due to the suppression of omtA expression through HIGS.

5. Materials and Methods

5.1. Construction and Maize Transformation of an RNAi Vector to Target the A. flavus omtA Gene

A Gateway-based vector previously constructed by Chen et al. [51] was used to insert the gene silencing cassette. The sequence of the omtA (aflP) target gene (accession #XM_002379891) was obtained from A. flavus strain AF13. The 5′ and 3′ arms of the omtA coding region were amplified through PCR with primers containing homologous recombination sites at the 5′ end of the gene-specific primers (Table S2), and cloned into pDONR P4-P1R and pDONR P2RP3, respectively, as previously described [49]. The resulting vectors, named pENTR-L4-5′ omtA-R1 and pENTR-R2-3′ omtA-L3, were sequenced to confirm that the desired sequence was obtained. The homologous recombination to produce the final pBS-d35S-attB4-5′ omtA-attB1-PR10 intron-CmR-attB2-3′ omtA-attB3 was performed as previously described [51]. The resulting construct was verified through digestions with EcoR V and EcoR I/Kpn I restriction enzymes. The silencing cassette containing d35S-attB4-5′ omt-attB1-PR10 intron-CmR-attB2-3′ omt-attB3 was recovered through double digestion with EcoR I and Sac I and ligated into the corresponding sites of pTF102, as described [51,79]. The resulting maize RNAi transformation vector (pTF102-d35S-Omt RNAi) (Figure S1) was digested with restriction enzymes and sequenced to verify that the vector was assembled as designed.
The above pTF102-d35S-omtA-RNAi construct was transformed into the A. tumefaciens strain EHA101, which was introduced into the immature embryos of the maize B104 maize line at the Plant Transformation Facility (PTF), Iowa State University (ISU), as described by Raji et al. [80]. Stable calli selected from the bialaphos-containing media were used to regenerate transgenic seedlings, which were pollinated with pollen from B104 between April and May of 2013, and ears were harvested in May and June of 2013. Mature ears from 11 independent events were received in July of 2013 (Table S3).

5.2. Confirmation of Transformation and Target Gene Expression

Genomic DNA and total RNA were isolated from T0 leaf tissues using the modified CTAB method [81], and the RNAeasy Plant Mini Kit (Qiagen, Hilden, Germany), respectively, and quantified using a NanoDrop ND-1000 Spectrophotometer (Thermo Scientific, Wilmington, DE, USA). The diluted genomic DNA (50 ng/µL) was used as a template for PCR with omtA-specific primers (Forward primer: CGA CTT GCT TGG GTC CAT and Reverse primer: AAG ATC GGG CAT AAT CAT TTC) (Table S2) to confirm the presence of the target gene in all events, as described [49]. cDNA was synthesized from 250 ng of the total RNA isolated above using the TaqMan reverse transcription reagents (Applied Biosystems, Foster City, CA, USA) by following the manufacturer’s protocol and was used as a template to quantify the relative expression level of omtA in the T0 leaf tissue through qRT-PCR. The amplification efficiency of all the primers used in this study was determined through serial dilution. Five-fold serial dilutions of cDNA or genomic DNA from 100 ng to 10 pg were used as templates in real-time PCR to determine the amplification efficiency of the primers. The qRT-PCR was performed using the Bio-Rad CFX Connect TM Real-Time System (Bio-Rad, Hercules, CA, USA) with omtA-specific forward (CGG AGT TGA GGA CAC TGA TAA A) and reverse primers (CAG CAT CGG GAT AGT CAT GTA G) and a TaqMan probe (FAM/ATC GGA GAA/ZEN/GAT AGA CAT CGG CGC/3IABkFQ) (Table S2) under the same conditions as previously described [49], except that the annealing and elongation were at 54.3 °C for 30 s. The 18S rRNA was used as an internal control, and its expression level was quantified and used to normalize the level of omtA expression. Four positive transformation events were used in further evaluation studies.

5.3. Increase the Selected Transgenic Lines and Produce Crosses with Elite Inbred Maize Lines

The T1 seeds from four events (OmtA-6, OmtA-7, OmtA-10 and OmtA-12) that exhibited high to medium levels of omtA expression were planted in the field at the Burden Farm Research Station in Baton Rouge, Louisiana, and self-pollinated to produce T2 seeds in 2015. This process was repeated 4 more times between 2016 and 2019 to bring OmtA-6 and OmtA-10 to the T4 generation and OmtA-7 and OmtA-12 to the T6 generation. In addition, the elite inbred lines LH195, PHN46, and PHG39 were pollinated with pollen from homozygous OmtA-7 and null-7 plants to incorporate the omtA transgene into an elite maize background, producing F1 hybrids in 2018. Information on the number of seeds used, seedlings planted, plants pollinated, ears inoculated, and harvested from T3 to T6 and for the production of F1 crosses is provided in Table S4. Additionly, 10 to 12 transgenic maize plants from each of the four transformation events were evaluated for differences in phenotypic characteristics, such as plant height from the base of the plant to the flag leaves (cm), dates to 50% tasseling and silking, mature cob length, and 100-kernel weight (g).

5.4. Genotyping, Zygosity, and Transgene Copy Number Determination

The seedlings at the T2 generation were genotyped through traditional PCR to confirm the presence or absence of the target gene omtA, as described previously [49]. Segregating maize seedlings without the omtA gene were referred to as “null control”. Seeds developed from these plants, along with the B104 non-transgenic parental line, were included as negative controls in all field and laboratory studies. The segregating maize seedlings that are positive (either heterozygous or homozygous) for the omtA gene were termed “transgenic plants”. For single copy/gene integration, the expected ratio of transgenic vs. null is 3:1. The chi-square analysis was performed to estimate whether a particular transformation event contains one, two or more copies of the omtA gene [49].
The zygosity of omtA in the seedlings from the T3 generation was determined through qPCR by comparing the ratio of omtA to the internal single-copy alcohol dehydrogenase (adh1) gene to that in the heterozygous T0 seedlings, as described by Omolehin et al. [49]. Due to the presence of two sets of omtA primer binding sites in the 5′ and 3′ arms of the HIGS cassette in the transgenic lines, the expected Z value in the heterozygous T0 seedlings is 1, while the homozygous T3 seedlings are expected to have a calculated Z value close to 2.
To accurately determine the transgene copy number in the above four events, genomic DNA isolated from T4 leaf tissues and from T0 leaf tissues of these same four events, plus OmtA-8 and OmtA-11, were analyzed through droplet digital PCR (ddPCR) at the Interdisciplinary Center for Biotechnology Research (ICBR), University of Florida (Gainesville, FL, USA). Its reliability in determining gene copy numbers has been well documented [53,54,82]. The ddPCR, with primers specific to the omtA transgene and maize adh1 gene (Table S1), was performed in a C1000 Touch thermal cycler (Bio-Rad, Hercules, CA, USA) and analyzed in a QX200 droplet reader (Bio-Rad) as previously described [49].

5.5. Evaluate Transgenic Maize Lines for Changes in Aflatoxin Accumulation Under Laboratory and Field Conditions

Twenty kernels from homozygous OmtA-6, OmtA-7, OmtA-10, and OmtA-12 events at the T3 generation, as well as their non-transgenic controls (null and B104) were evaluated for their resistance to A. flavus infection and aflatoxin contamination using the kernel screening assay (KSA) after first surface-sterilizing the kernels by soaking the kernels with 70% ethanol for 5 min, followed by rinsing them with sterile water 3 times to remove any residual ethanol, as described by Brown et al. [18]. For T3 kernels, 20 kernels from each of the homozygous and null lines were used in the KSA. Sterilized and dried seeds were inoculated by dipping in 10 mL of 4 × 106 conidia/mL (in 0.01% SDS solution) of freshly inoculum prepared from a 7-day old A. flavus AF13 (ATCC 96044, SRRC 1273) culture on PDA plates. Each inoculated kernel was placed in a petri dish measuring 35 × 10 mm in dimension and incubated at 30 °C under 100% humidity. After 7 days of incubation, the kernels were dried at 65 °C for three days and ground individually using a coffee grinder (Mr. Coffee®, Boca Raton, FL, USA).
The aflatoxin resistance of OmtA-7 and OmtA-12 lines was also evaluated under field conditions through artificial inoculations from 2017 (T4) to 2019 (T6). Seven to fourteen immature ears from each line were inoculated at 4 sites/ear in the middle of the ear 14 days after pollination using an Indico tree-marking gun (Forestry Suppliers, Jackson, MS, USA) with a 15-gauge needle. Each ear was inoculated with 2 mL of A. flavus AF13 spore suspension according to Williams et al. [59]. The inoculum concentration used in 2017 was 4 × 106 conidia/mL, which was reduced to 1 × 105 conidia/mL in 2018 and 2019 to better simulate a more natural infection. Inoculated ears were harvested at maturity, and the four kernels surrounding each needle injection site were recovered and ground as one sample. Furthermore, the T4 generation kernels from OmtA-6 and OmtA-10 were also evaluated in 2019 under the same field conditions. Aflatoxin analysis was carried out using 7–14 ears with 3–4 samples per ear for each of homozygous, and null line.
For the crosses between elite inbred lines and OmtA-7, 5–15 immature ears were inoculated as above. At maturity, kernels from half of each ear with four inoculation points were recovered and ground as one sample using a GRINDOMIX knife mill GM 200 milling machine, (Retsch USA, Newtown, PA, USA) at a speed of 50 Hz for 10 secs. Three subsamples of 2 g each per ear were used for aflatoxin extraction and analysis. The analysis was conducted using 15–33 subsamples from 5 ears (for null crosses) to 10 (for crosses with the transgene) or 11 ears (for selfed elite parent).

5.6. Extraction and Quantification of Aflatoxin

Extraction of aflatoxin from pre-weighed ground kernel samples was performed in 20 mL of 80% methanol in 50-mL flasks as previously described [49]. The extracted aflatoxin in methanol was filtered through No. 1 Waterman filter paper and an alumina silica (CAT 1344-28-1, Fisher Chemical, Switzerland) filled column according to Sobolev and Dorner [83]. The final filtrate was collected into properly labeled vials for aflatoxin quantification.
Aflatoxin was quantified using a High-Performance Liquid Chromatography (HPLC) as described in Sweany et al. [84,85]. Ten μL of each extracted aflatoxin sample in methanol was then injected into a Waters e2695 HPLC (Waters Corporation, Milford, MA, USA) with a reversed-phase Nova-Pak C18 4 µm 3.9 × 150 mm column. The mobile phase was 37.5% methanol and 62.5% water at a 0.8 mL/min flow rate, and the running conditions were as previously described by Raruang et al. [71]. Aflatoxin standard was purchased from Sigma Aldrich (St. Louis, MO, USA) was serially diluted to 1, 5, 10, 50, 100, 500, and 1000 ng/g (ng/mL) and used for standard curve construction. The AFB1 was quantified based on its peak area in the chromatograph compared to those in the standard curve using the included Empower 3 software (Figure S4).

5.7. Isolation of Total RNA, Construction and Sequencing of Small RNA Libraries, and Bioinformatics Analysis to Detect Gene-Specific omtA-Small RNA

Total RNA was isolated from T3 leaf tissues of OmtA-7 and the B104 non-transgenic lines, as well as from immature maize kernel tissues of T4 generation of OmtA-7 and OmtA-12 homozygous lines and their null controls 14 days after self-pollination. Sample grinding, RNA extraction and quantification, and indexed small RNA library construction followed the instructions described by Raruang et al. [46]. The indexed small RNA libraries were sequenced, and bioinformatics analysis was performed as previously described [49].

5.8. Statistical Analyses

SAS version 9.4 (Statistical Analysis System, SAS Institute, Cary, NC, USA) was used for all the statistical analyses in this study. Analyses of variance (ANOVAs) were calculated using Proc Mixed. Post-hoc comparison of means was calculated using Tukey’s LSD means [86]. All the toxin data were used directly for SAS analysis without transformation except for those from OmtA-7 crosses with three elite inbred lines, which were log-transformed before the analysis to equalize the variation. Significance in this study was defined by a confidence interval ≥95% (α = 0.05). Means or bars followed by the same letters were not significantly different from each other.

Supplementary Materials

The following supporting information can be downloaded at: https://www.mdpi.com/article/10.3390/toxins17010008/s1, Figure S1: Construction scheme of gene silencing vector. The pBS- d35S- R4-R3 vector containing a double 35S promoter, followed by an attR4-ccdB-CmR-attR3 cassette amplified from pDESTTM R4-R3 (Invitrogen, Carlsbad, CA) in the pBluescript SK- was constructed in an earlier study. The DNA regions corresponding to the omtA 5′arm and 3′arm were amplified by PCR with primers containing unique homologous recombination sites cloned into their corresponding entry vectors. They were recombined with pDONR221-PR 10-intron-CmR containing a chloramphenicol resistance gene (CmR) selection marker in the middle of the PR10 intron through the LR clonase reaction to assemble the RNAi cassette into the pBluescript vector to produce the pBS-d35S-attB4-5′arm- attB1-PR10 intron-CmR-attB2-3′arm-attB3 vector (named pBS-II-OmtA-RNAi). The RNAi cassette was then cloned into the pTF102 vector through ligation to produce the final pTF102-omtA-RNAi vector. This figure was modified from Chen et al. [51]. Figure S2: A. Restriction digestion of the pTF102-OmtA-RNAi construct to confirm its correct assembly. Lanes 1–4 were four independent clones digested with EcoR V, resulting in the expected sizes of 2447 and 9085 bp; and lanes 5–8 were digested with Mfe I, resulting in the expected sizes of 229, 2447, and 8786 bp, and lanes 9–11 were digested with Kpn I, resulting in the expected sizes of 1328 and 10204 bp. Figure S3: Aflatoxin production in Omt-A-7 and Omt-A-12 transgenic lines and null controls at T4 generation under field conditions in 2017. Three to four replicates per ear, with 5–10 ears from each line were inoculated using 4 × 106 conidia/mL. Bars labeled with the same letters are not significantly different at p ≤ 0.05. In 2017, OmtA-7 and OmtA-12 were selected for further evaluation for resistance to aflatoxin. However, the 2017 field trial suffered severe Fusarium spp. Infection, and the aflatoxin values were generally too low. There was no significant difference between OmtA-7 homozygous transgenics compared with null lines (p = 0.49) and OmtA-12 homozygous transgenics compared with null lines (p = 0.65). Analysis was carried out using 12 ears of OmtA-7 homozygous, 11 of OmtA-7 null, 9 ears of OmtA-12 homozygous, 11 ears of OmtA-12 null, and 5 ears of the B104 control, with four samples from each ear. Additional field trials were conducted in the following years in order to reliably assess the changes in aflatoxin resistance in these lines. Figure S4: HPLC chromatogram showing the peaks of aflatoxin B1 in standards and in different samples. The retention time is indicated at the top of the peaks to confirm the positive peak identification. Table S1: Aflatoxin accumulation in the seeds of different T1 OmtA transgenic lines received from ISU. Table S2: Primers and probes used for genotyping and zygosity testing of omtA-RNAi events. Table S3: List of RNAi-omtA lines from 12 transformation events received from ISU after transformation. Table S4: Information on the self-pollination of OmtA lines from 2017 to 2019 and crosses with three elite lines produced in 2018.

Author Contributions

Conceptualization, O.O., Y.R., R.L.B. and Z.-Y.C.; methodology, O.O., Y.R., Z.-Q.H., Q.W., K.W., S.P., D.J. and Z.-Y.C.; software, O.O., Y.R. and D.H; formal analysis, O.O., Y.R. and D.H.; investigation, Z.-Y.C.; data curation, O.O. and Y.R.; writing—original draft preparation, O.O., Y.R. and Z.-Y.C.; writing—review and editing, Z.-Y.C., K.R. and J.W.C. All authors have read and agreed to the published version of the manuscript.

Funding

This research was funded by the Aflatoxin Mitigation Center of Excellence (AMCOE) of the National Corn Growers Association from 2012 to 2022 and by the U. S. Department of Agriculture, Agricultural Research Service, under agreement Nos. 58-6436-1-576 and 58-6054-6-015, and by the USDA HATCH grant #CT0303.

Institutional Review Board Statement

Not applicable.

Informed Consent Statement

Not applicable.

Data Availability Statement

The small RNA sequence datasets generated for this study have been deposited into the Sequence Read Archive (SRA) database (https://www.ncbi.nlm.nih.gov/sra/PRJNA771996) under the accession number PRJNA771996 created on 17 October 2021.

Acknowledgments

The authors would like to thank Deniel Debona and Busayo Olukunle for their contributions to this work.

Conflicts of Interest

The authors declare no conflicts of interest.

References

  1. Smith, J.S.; Williams, W.P.; Windham, G.L. Aflatoxin in maize: A review of the early literature from “moldy-corn toxicosis” to the genetics of aflatoxin accumulation resistance. Mycotoxin Res. 2019, 35, 111–128. [Google Scholar] [CrossRef]
  2. Van der Fels-Klerx, H.; Vermeulen, L.; Gavai, A.; Liu, C. Climate change impacts on aflatoxin B1 in maize and aflatoxin M1 in milk: A case study of maize grown in Eastern Europe and imported to the Netherlands. PLoS ONE 2019, 14, e0218956. [Google Scholar] [CrossRef] [PubMed]
  3. Munkvold, G.P.; Arias, S.; Taschl, I.; Gruber-Dorninger, C. Mycotoxins in corn: Occurrence, impacts, and management. In Corn; Elsevier: Amsterdam, The Netherlands, 2019; pp. 235–287. [Google Scholar]
  4. Gong, Y.Y.; Watson, S.; Routledge, M.N. Aflatoxin exposure and associated human health effects, a review of epidemiological studies. Food Saf. 2016, 4, 14–27. [Google Scholar] [CrossRef]
  5. Wu, F. Global impacts of aflatoxin in maize: Trade and human health. World Mycotoxin J. 2014, 8, 137–142. [Google Scholar] [CrossRef]
  6. Smith, L.E.; Prendergast, A.J.; Turner, P.C.; Humphrey, J.H.; Stoltzfus, R.J. Aflatoxin exposure during pregnancy, maternal anemia, and adverse birth outcomes. Am. J. Trop. Med. Hyg. 2017, 96, 770–776. [Google Scholar] [CrossRef] [PubMed]
  7. Koshiol, J.; Gao, Y.-T.; Dean, M.; Egner, P.; Nepal, C.; Jones, K.; Wang, B.; Rashid, A.; Luo, W.; Van Dyke, A.L. Association of aflatoxin and gallbladder cancer. Gastroenterology 2017, 153, 488–494. e481. [Google Scholar] [CrossRef] [PubMed]
  8. Lauer, J.M.; Natamba, B.K.; Ghosh, S.; Webb, P.; Wang, J.S.; Griffiths, J.K. Aflatoxin exposure in pregnant women of mixed status of human immunodeficiency virus infection and rate of gestational weight gain: A Ugandan cohort study. Trop. Med. Int. Health 2020, 25, 1145–1154. [Google Scholar] [CrossRef]
  9. Mitchell, N.J.; Bowers, E.; Hurburgh, C.; Wu, F. Potential economic losses to the US corn industry from aflatoxin contamination. Food Addit. Contam. Part A 2016, 33, 540–550. [Google Scholar] [CrossRef] [PubMed]
  10. Wu, F.; Guclu, H. Aflatoxin regulations in a network of global maize trade. PLoS ONE 2012, 7, e45151. [Google Scholar] [CrossRef]
  11. Accinelli, C.; Abbas, H.K.; Little, N.S.; Kotowicz, J.K.; Shier, W.T. Biological control of aflatoxin production in corn using non-aflatoxigenic Aspergillus flavus administered as a bioplastic-based seed coating. Crop Prot. 2018, 107, 87–92. [Google Scholar] [CrossRef]
  12. Abbas, H.K.; Accinelli, C.; Shier, W.T. Biological control of aflatoxin contamination in US crops and the use of bioplastic formulations of Aspergillus flavus biocontrol strains to optimize application strategies. J. Agric. Food Chem. 2017, 65, 7081–7087. [Google Scholar] [CrossRef]
  13. Menkir, A.; Brown, R.L.; Bandyopadhyay, R.; Cleveland, T.E. Registration of six tropical maize germplasm lines with resistance to aflatoxin contamination. J. Plant Regist. 2008, 2, 246–250. [Google Scholar] [CrossRef]
  14. McMillian, W.; Widstrom, N.; Wilson, D. Registration of GT-MAS: Gk maize germplasm. Crop Sci. 1993, 33, 882. [Google Scholar] [CrossRef]
  15. Scott, G.E.; Zummo, N. Registration of Mp420 germplasm line of maize. Crop Sci. 1992, 32, 1296. [Google Scholar] [CrossRef]
  16. Scott, G.E.; Zummo, N. Registration of Mp313E parental line of maize. Crop Sci. 1990, 30, 1378. [Google Scholar] [CrossRef]
  17. Williams, W.P.; Windham, G.L. Registration of Mp718 and Mp719 Germplasm Lines of Maize. J. Plant Regist. 2012, 6, 200–202. [Google Scholar] [CrossRef]
  18. Brown, R.L.; Cleveland, T.E.; Payne, G.A.; Woloshuk, C.P.; Campbell, K.W.; White, D.G. Determination of resistance to aflatoxin production in maize kernels and detection of fungal colonization using an Aspergillus flavus transformant expressing Escherichia coli β-glucuronidase. Phytopathology 1995, 85, 983–989. [Google Scholar] [CrossRef]
  19. Campbell, K.; White, D. Evaluation of corn genotypes for resistance to Aspergillus ear rot, kernel infection, and aflatoxin production. Plant Dis. 1995, 79, 1039–1045. [Google Scholar] [CrossRef]
  20. Mylroie, J.; Warburton, M.; Wilkinson, J. Development of a gene-based marker correlated to reduced aflatoxin accumulation in maize. Euphytica 2013, 194, 431–441. [Google Scholar] [CrossRef]
  21. Warburton, M.L.; Brooks, T.D.; Windham, G.L.; Williams, W.P. Identification of novel QTL contributing resistance to aflatoxin accumulation in maize. Mol. Breed. 2011, 27, 491–499. [Google Scholar] [CrossRef]
  22. Luo, M.; Brown, R.L.; Chen, Z.-Y.; Menkir, A.; Yu, J.; Bhatnagar, D. Transcriptional profiles uncover Aspergillus flavus-induced resistance in maize kernels. Toxins 2011, 3, 766–786. [Google Scholar] [CrossRef] [PubMed]
  23. Kelley, R.Y.; Williams, W.P.; Mylroie, J.E.; Boykin, D.L.; Harper, J.W.; Windham, G.L.; Ankala, A.; Shan, X. Identification of maize genes associated with host plant resistance or susceptibility to Aspergillus flavus infection and aflatoxin accumulation. PLoS ONE 2012, 7, e36892. [Google Scholar] [CrossRef]
  24. Dolezal, A.L.; Shu, X.; OBrian, G.R.; Nielsen, D.M.; Woloshuk, C.P.; Boston, R.S.; Payne, G.A. Aspergillus flavus infection induces transcriptional and physical changes in developing maize kernels. Front. Microbiol. 2014, 5, 384. [Google Scholar] [CrossRef] [PubMed]
  25. Chen, Z.-Y.; Brown, R.; Damann, K.; Cleveland, T. Identification of unique or elevated levels of kernel proteins in aflatoxin-resistant maize genotypes through proteome analysis. Phytopathology 2002, 92, 1084–1094. [Google Scholar] [CrossRef]
  26. Prasad, K.; Bhatnagar-Mathur, P.; Waliyar, F.; Sharma, K.K. Overexpression of a chitinase gene in transgenic peanut confers enhanced resistance to major soil borne and foliar fungal pathogens. J. Plant Biochem. Biotechnol. 2013, 22, 222–233. [Google Scholar] [CrossRef]
  27. Sundaresha, S.; Kumar, A.M.; Rohini, S.; Math, S.; Keshamma, E.; Chandrashekar, S.; Udayakumar, M. Enhanced protection against two major fungal pathogens of groundnut, Cercospora arachidicola and Aspergillus flavus in transgenic groundnut over-expressing a tobacco β 1–3 glucanase. Eur. J. Plant Pathol. 2010, 126, 497–508. [Google Scholar] [CrossRef]
  28. Yu, J. Current understanding on aflatoxin biosynthesis and future perspective in reducing aflatoxin contamination. Toxins 2012, 4, 1024–1057. [Google Scholar] [CrossRef]
  29. Yu, J.; Woloshuk, C.P.; Bhatnagar, D.; Cleveland, T.E. Cloning and characterization of avfA and omtB genes involved in aflatoxin biosynthesis in three Aspergillus species. Gene 2000, 248, 157–167. [Google Scholar] [CrossRef]
  30. Yabe, K.; Nakajima, H. Enzyme reactions and genes in aflatoxin biosynthesis. Appl. Microbiol. Biotechnol. 2004, 64, 745–755. [Google Scholar] [CrossRef] [PubMed]
  31. Chang, P.-K.; Bennett, J.W.; Cotty, P.J. Association of aflatoxin biosynthesis and sclerotial development in Aspergillus parasiticus. Mycopathologia 2002, 153, 41–48. [Google Scholar] [CrossRef]
  32. Fernandes, M.; Keller, N.P.; Adams, T.H. Sequence-specific binding by Aspergillus nidulans AflR, a C6 zinc cluster protein regulating mycotoxin biosynthesis. Mol. Microbiol. 1998, 28, 1355–1365. [Google Scholar] [CrossRef] [PubMed]
  33. Mahanti, N.; Bhatnagar, D.; Cary, J.; Joubran, J.; Linz, J. Structure and function of fas-1A, a gene encoding a putative fatty acid synthetase directly involved in aflatoxin biosynthesis in Aspergillus parasiticus. Appl. Environ. Microbiol. 1996, 62, 191–195. [Google Scholar] [CrossRef]
  34. Yabe, K.; Nakamura, Y.; Nakajima, H.; Ando, Y.; Hamasaki, T. Enzymatic conversion of norsolorinic acid to averufin in aflatoxin biosynthesis. Appl. Environ. Microbiol. 1991, 57, 1340–1345. [Google Scholar] [CrossRef] [PubMed]
  35. Bhatnagar, D.; Ehrlich, K.C.; Cleveland, T.E. Oxidation-Reduction Reactions in Biosynthesis of Secondary Metabolites; Dekker, M., Ed.; CRC Press: New York, NY, USA, 1992; Volume 5, pp. 255–286. [Google Scholar]
  36. Yu, J.; Chang, P.-K.; Bhatnagar, D.; Cleveland, T.E. Cloning and functional expression of an esterase gene in Aspergillus parasiticus. Mycopathologia 2003, 156, 227–234. [Google Scholar] [CrossRef]
  37. Lee, L.-W.; Chiou, C.-H.; Linz, J.E. Function of native OmtA in vivo and expression and distribution of this protein in colonies of Aspergillus parasiticus. Appl. Environ. Microbiol. 2002, 68, 5718–5727. [Google Scholar] [CrossRef] [PubMed]
  38. Nowara, D.; Gay, A.; Lacomme, C.; Shaw, J.; Ridout, C.; Douchkov, D.; Hensel, G.; Kumlehn, J.; Schweizer, P. HIGS: Host-induced gene silencing in the obligate biotrophic fungal pathogen Blumeria graminis. The Plant Cell 2010, 22, 3130–3141. [Google Scholar] [CrossRef] [PubMed]
  39. Tinoco, M.L.P.; Dias, B.B.; Dall’Astta, R.C.; Pamphile, J.A.; Aragão, F.J. In vivo trans-specific gene silencing in fungal cells by in planta expression of a double-stranded RNA. BMC Biol. 2010, 8, 27. [Google Scholar] [CrossRef]
  40. Johnson, E.T.; Proctor, R.H.; Dunlap, C.A.; Busman, M. Reducing production of fumonisin mycotoxins in Fusarium verticillioides by RNA interference. Mycotoxin Res. 2018, 34, 29–37. [Google Scholar] [CrossRef] [PubMed]
  41. Cheng, W.; Song, X.S.; Li, H.P.; Cao, L.H.; Sun, K.; Qiu, X.L.; Xu, Y.B.; Yang, P.; Huang, T.; Zhang, J.B. Host-induced gene silencing of an essential chitin synthase gene confers durable resistance to Fusarium head blight and seedling blight in wheat. Plant Biotechnol. J. 2015, 13, 1335–1345. [Google Scholar] [CrossRef]
  42. Shanmugam, V.; Sharma, V.; Bharti, P.; Jyoti, P.; Yadav, S.K.; Aggarwal, R.; Jain, S. RNAi induced silencing of pathogenicity genes of Fusarium spp. for vascular wilt management in tomato. Ann. Microbiol. 2017, 67, 359–369. [Google Scholar] [CrossRef]
  43. Wang, M.; Wu, L.; Yuzhen, M.; Zhao, Y.; Ma, Z.; Zhang, X.; Chen, Y. Host-induced gene silencing of multiple genes of Fusarium graminearum enhances resistance to Fusarium head blight in wheat. Plant Biotechnol. J. 2020, 18, 2373–2375. [Google Scholar] [CrossRef]
  44. Wang, M.; Weiberg, A.; Lin, F.-M.; Thomma, B.P.H.J.; Huang, H.-D.; Jin, H. Bidirectional cross-kingdom RNAi and fungal uptake of external RNAs confer plant protection. Nat. Plants 2016, 2, 16151–16170. [Google Scholar] [CrossRef] [PubMed]
  45. Cai, Q.; Qiao, L.; Wang, M.; He, B.; Lin, F.-M.; Palmquist, J.; Huang, S.-D.; Jin, H. Plants send small RNAs in extracellular vesicles to fungal pathogen to silence virulence genes. Science 2018, 360, 1126–1129. [Google Scholar] [CrossRef] [PubMed]
  46. Raruang, Y.; Omolehin, O.; Hu, D.; Wei, Q.; Han, Z.-Q.; Rajasekaran, K.; Cary, J.W.; Wang, K.; Chen, Z.-Y. Host induced gene silencing targeting Aspergillus flavus aflM reduced aflatoxin contamination in transgenic maize under field conditions. Front. Microbiol. 2020, 11, 754. [Google Scholar] [CrossRef]
  47. Thakare, D.; Zhang, J.; Wing, R.A.; Cotty, P.J.; Schmidt, M.A. Aflatoxin-free transgenic maize using host-induced gene silencing. Sci. Adv. 2017, 3, e1602382. [Google Scholar] [CrossRef] [PubMed]
  48. Masanga, J.O.; Matheka, J.M.; Omer, R.A.; Ommeh, S.C.; Monda, E.O.; Alakonya, A.E. Downregulation of transcription factor aflR in Aspergillus flavus confers reduction to aflatoxin accumulation in transgenic maize with alteration of host plant architecture. Plant Cell Rep. 2015, 34, 1379–1387. [Google Scholar] [CrossRef] [PubMed]
  49. Omolehin, O.; Raruang, Y.; Hu, D.; Han, Z.-Q.; Wei, Q.; Wang, K.; Rajasekaran, K.; Cary, J.W.; Chen, Z.-Y. Resistance to aflatoxin accumulation in maize mediated by host-induced silencing of the Aspergillus flavus alkaline protease (alk) gene. J. Fungi 2021, 7, 904. [Google Scholar] [CrossRef]
  50. Gilbert, M.K.; Majumdar, R.; Rajasekaran, K.; Chen, Z.-Y.; Wei, Q.; Sickler, C.M.; Lebar, M.D.; Cary, J.W.; Frame, B.R.; Wang, K. RNA interference-based silencing of the alpha-amylase (amy1) gene in Aspergillus flavus decreases fungal growth and aflatoxin production in maize kernels. Planta 2018, 247, 1465–1473. [Google Scholar] [CrossRef] [PubMed]
  51. Chen, Z.-Y.; Brown, R.L.; Damann, K.E.; Cleveland, T.E. PR10 expression in maize and its effect on host resistance against Aspergillus flavus infection and aflatoxin production. Mol. Plant Pathol. 2010, 11, 69–81. [Google Scholar] [CrossRef]
  52. Sharma, K.K.; Pothana, A.; Prasad, K.; Shah, D.; Kaur, J.; Bhatnagar, D.; Chen, Z.Y.; Raruang, Y.; Cary, J.W.; Rajasekaran, K. Peanuts that keep aflatoxin at bay: A threshold that matters. Plant Biotechnol. J. 2017, 16, 1024–1033. [Google Scholar] [CrossRef]
  53. Głowacka, K.; Kromdijk, J.; Leonelli, L.; Niyogi, K.K.; Clemente, T.E.; Long, S.P. An evaluation of new and established methods to determine T-DNA copy number and homozygosity in transgenic plants. Plant Cell Environ. 2016, 39, 908–917. [Google Scholar] [CrossRef] [PubMed]
  54. Hindson, B.J.; Ness, K.D.; Masquelier, D.A.; Belgrader, P.; Heredia, N.J.; Makarewicz, A.J.; Bright, I.J.; Lucero, M.Y.; Hiddessen, A.L.; Legler, T.C. High-throughput droplet digital PCR system for absolute quantitation of DNA copy number. Anal. Chem. 2011, 83, 8604–8610. [Google Scholar] [CrossRef] [PubMed]
  55. Chen, Y.; Kong, Q.; Liang, Y. Three newly identified peptides from Bacillus megaterium strongly inhibit the growth and aflatoxin B1 production of Aspergillus flavus. Food Control 2019, 95, 41–49. [Google Scholar] [CrossRef]
  56. Cho, J.-I.; Hong, K.-W.; Kang, K.-J. Control of aflatoxin production of Aspergillus flavus by inghbitory action of antagonistic bacteria. J. Microbiol. Biotechnol. 2000, 10, 154–160. [Google Scholar]
  57. Faraj, M.K.; Smith, J.E.; Harran, G. Aflatoxin biodegradation: Effects of temperature and microbes. Mycol. Res. 1993, 97, 1388–1392. [Google Scholar] [CrossRef]
  58. Spraker, J.E.; Jewell, K.; Roze, L.V.; Scherf, J.; Ndagano, D.; Beaudry, R.; Linz, J.E.; Allen, C.; Keller, N.P. A volatile relationship: Profiling an inter-kingdom dialogue between two plant pathogens, Ralstonia solanacearum and Aspergillus flavus. J. Chem. Ecol. 2014, 40, 502–513. [Google Scholar] [CrossRef] [PubMed]
  59. Williams, W.P.; Alpe, M.N.; Windham, G.L.; Ozkan, S.; Mylroie, J.E. Comparison of two inoculation methods for evaluating maize for resistance to Aspergillus flavus infection and aflatoxin accumulation. Int. J. Agron. 2013, 2013, 972316. [Google Scholar] [CrossRef]
  60. Hawkins, L.K.; Mylroie, J.E.; Oliveira, D.A.; Smith, J.S.; Ozkan, S.; Windham, G.L.; Williams, W.P.; Warburton, M.L. Characterization of the maize chitinase genes and their effect on Aspergillus flavus and aflatoxin accumulation resistance. PLoS ONE 2015, 10, e0126185. [Google Scholar] [CrossRef]
  61. Medina, A.; Gilbert, M.K.; Mack, B.M.; OBrian, G.R.; Rodriguez, A.; Bhatnagar, D.; Payne, G.; Magan, N. Interactions between water activity and temperature on the Aspergillus flavus transcriptome and aflatoxin B1 production. Int. J. Food Microbiol. 2017, 256, 36–44. [Google Scholar] [CrossRef]
  62. Medina, A.; Schmidt-Heydt, M.; Rodriguez, A.; Parra, R.; Geisen, R.; Magan, N. Impacts of environmental stress on growth, secondary metabolite biosynthetic gene clusters and metabolite production of xerotolerant/xerophilic fungi. Curr. Genet. 2015, 61, 325–334. [Google Scholar] [CrossRef]
  63. Fountain, J.; Scully, B.; Ni, X.; Kemerait, R.; Lee, D.; Chen, Z.-Y.; Guo, B. Environmental influences on maize-Aspergillus flavus interactions and aflatoxin production. Front. Microbiol. 2014, 5, 40. [Google Scholar] [CrossRef]
  64. Guo, X.; Li, H.; Zhang, J.; Zhu, X.; Wang, H. Evidence for RNA-mediated resistance to PVY^ n in tobacco plants transformed with the viral coat protein gene. Chin. J. Appl. Environ. Biol. 2003, 9, 372–376. [Google Scholar]
  65. Liu, H.; Zhu, C.; Zhu, X.; Guo, X.; Song, Y.; Wen, F. A link between PVYN CP gene-mediated virus resistance and transgene arrangement. J. Phytopathol. 2007, 155, 676–682. [Google Scholar] [CrossRef]
  66. van den Boogaart, T.; Wen, F.; Davies, J.W.; Lomonossoff, G.P. Replicase-derived resistance against Pea early browning virus in Nicotiana benthamiana is an unstable resistance based upon posttranscriptional gene silencing. Mol. Plant Microbe Interact. 2001, 14, 196–203. [Google Scholar] [CrossRef]
  67. Travella, S.; Ross, S.; Harden, J.; Everett, C.; Snape, J.; Harwood, W. A comparison of transgenic barley lines produced by particle bombardment and Agrobacterium-mediated techniques. Plant Cell Rep. 2005, 23, 780–789. [Google Scholar] [CrossRef] [PubMed]
  68. Clarke, J.L.; Spetz, C.; Haugslien, S.; Xing, S.; Dees, M.W.; Moe, R.; Blystad, D.-R. Agrobacterium tumefaciens-mediated transformation of poinsettia, Euphorbia pulcherrima, with virus-derived hairpin RNA constructs confers resistance to Poinsettia mosaic virus. Plant Cell Rep. 2008, 27, 1027–1038. [Google Scholar] [CrossRef] [PubMed][Green Version]
  69. Zhu, C.-X.; Liu, H.-M.; Song, Y.-Z.; Wen, F.-J. Genetic analysis of RNA-mediated virus resistance in transgenic tobacco. Acta Genet. Sin. 2005, 32, 94–103. [Google Scholar]
  70. Windham, G.L.; Williams, W.P. Effect of inoculum concentrations of Aspergillus flavus and A. parasiticus on aflatoxin accumulation and kernel infection in resistant and susceptible maize hybrids. Phytoparasitica 2016, 44, 333–339. [Google Scholar] [CrossRef]
  71. Raruang, Y.; Omolehin, O.; Hu, D.; Wei, Q.; Promyou, S.; Parekattil, L.J.; Rajasekaran, K.; Cary, J.W.; Wang, K.; Chen, Z.-Y. Targeting the Aspergillus flavus p2c gene through host-induced gene silencing reduces A. flavus infection and aflatoxin contamination in transgenic maize. Front. Plant Sci. 2023, 14, 1150086. [Google Scholar] [CrossRef]
  72. Liu, L.; Chen, X. Intercellular and systemic trafficking of RNAs in plants. Nat. Plants 2018, 4, 869–878. [Google Scholar] [CrossRef]
  73. Yan, Y.; Ham, B.-K. The Mobile Small RNAs: Important Messengers for Long-Distance Communication in Plants. Front. Plant Sci. 2022, 13, 928729. [Google Scholar] [CrossRef]
  74. Yoo, B.C.; Kragler, F.; Varkonyi-Gasic, E.; Haywood, V.; Archer-Evans, S.; Lee, Y.M.; Lough, T.J.; Lucas, W.J. A systemic small RNA signaling system in plants. Plant Cell 2004, 16, 1979–2000. [Google Scholar] [CrossRef] [PubMed]
  75. Cai, Q.; He, B.; Wang, S.; Fletcher, S.; Niu, D.; Mitter, N.; Birch, P.R.J.; Jin, H. Message in a bubble: Shuttling small RNAs and proteins between cells and interacting organisms using extracellular vesicles. Annu. Rev. Plant Biol. 2021, 72, 497–524. [Google Scholar] [CrossRef] [PubMed]
  76. Borges, F.; Martienssen, R.A. The expanding world of small RNAs in plants. Nat. Rev. Mol. Cell Biol. 2015, 16, 727–741. [Google Scholar] [CrossRef] [PubMed]
  77. Deng, P.; Muhammad, S.; Cao, M.; Wu, L. Biogenesis and regulatory hierarchy of phased small interfering RNAs in plants. Plant Biotechnol. J. 2018, 16, 965–975. [Google Scholar] [CrossRef]
  78. Melnyk, C.W.; Molnar, A.; Bassett, A.; Baulcombe, D.C. Mobile 24 nt Small RNAs Direct Transcriptional Gene Silencing in the Root Meristems of Arabidopsis thaliana. Curr. Biol. 2011, 21, 1678–1683. [Google Scholar] [CrossRef] [PubMed]
  79. Frame, B.R.; Shou, H.; Chikwamba, R.K.; Zhang, Z.; Xiang, C.; Fonger, T.M.; Pegg, S.E.K.; Li, B.; Nettleton, D.S.; Pei, D. Agrobacterium tumefaciens-mediated transformation of maize embryos using a standard binary vector system. Plant Physiol. 2002, 129, 13–22. [Google Scholar] [CrossRef] [PubMed]
  80. Raji, J.A.; Frame, B.; Little, D.; Santoso, T.J.; Wang, K. Agrobacterium- and biolistic-mediated transformation of maize B104 inbred. In Maize: Methods and Protocols; Lagrimini, L.M., Ed.; Springer: New York, NY, USA, 2018; pp. 15–40. [Google Scholar]
  81. Doyle, J.J.; Doyle, J.L. Isolation of plant DNA from fresh tissue. Focus 1990, 12, 39–40. [Google Scholar]
  82. Collier, R.; Dasgupta, K.; Xing, Y.; Hernandez, B.; Shao, M.; Rohozinski, D.; Kovak, E.; Lin, J.; De Oliveira, M.; Stover, E. Accurate measurement of transgene copy number in crop plants using droplet digital PCR. Plant J. 2017, 90, 1014–1025. [Google Scholar] [CrossRef]
  83. Sobolev, V.S.; Dorner, J.W. Cleanup procedure for determination of aflatoxins in major agricultural commodities by liquid chromatography. J. AOAC Int. 2002, 85, 642–645. [Google Scholar] [CrossRef]
  84. Sweany, R.R.; Damann Jr, K.E.; Kaller, M.D. Comparison of soil and corn kernel Aspergillus flavus populations: Evidence for niche specialization. Phytopathology 2011, 101, 952–959. [Google Scholar] [CrossRef]
  85. Joshua, H. Determination of aflatoxins by reversed-phase high-performance liquid chromatography with post-column in-line photochemical derivatization and fluorescence detection. J. Chromatogr. A 1993, 654, 247–254. [Google Scholar] [CrossRef]
  86. Saxton, A. A macro for converting mean separation output to letter groupings in Proc Mixed. In Proceedings of the 23rd SAS Users Group International, Nashville, TN, USA, 22–25 March 1998; pp. 1243–1246. [Google Scholar]
Figure 1. (A). Polymerase Chain Reaction (PCR) to confirm the presence (+) or absence (−) of the omtA target gene in the leaf tissue collected from various transformation events. The plasmid DNA containing the omtA gene and the genomic DNA from B104 leaf tissue were used as templates for the positive and negative controls, respectively. (B). Real-time PCR quantification of transcript levels of omtA in the leaf tissue of different transformation events at T0. The expression level was normalized to that of 18S rRNA. OmtA-1 to OmtA-5 and OmtA-9 are negative for the transgene. Bars labeled with the letter “a” showed the highest expression of the omtA gene, while those labeled with the letter “c” showed the lowest expression of the omtA gene; the expression levels in the events with the same letters were not significantly different at p ≤ 0.05.
Figure 1. (A). Polymerase Chain Reaction (PCR) to confirm the presence (+) or absence (−) of the omtA target gene in the leaf tissue collected from various transformation events. The plasmid DNA containing the omtA gene and the genomic DNA from B104 leaf tissue were used as templates for the positive and negative controls, respectively. (B). Real-time PCR quantification of transcript levels of omtA in the leaf tissue of different transformation events at T0. The expression level was normalized to that of 18S rRNA. OmtA-1 to OmtA-5 and OmtA-9 are negative for the transgene. Bars labeled with the letter “a” showed the highest expression of the omtA gene, while those labeled with the letter “c” showed the lowest expression of the omtA gene; the expression levels in the events with the same letters were not significantly different at p ≤ 0.05.
Toxins 17 00008 g001
Figure 2. Aflatoxin accumulation in T3 generation omt-A homozygous transgenic lines and null controls at under laboratory kernel screening assay (KSA) conditions. Twenty kernels per line were inoculated with Aspergillus flavus conidia suspension (4 × 106 conidia/mL) and incubated at 30 °C for 7 days before the kernels were dried, ground, and extracted for aflatoxin. Bars with different letters are significantly different at p < 0.05.
Figure 2. Aflatoxin accumulation in T3 generation omt-A homozygous transgenic lines and null controls at under laboratory kernel screening assay (KSA) conditions. Twenty kernels per line were inoculated with Aspergillus flavus conidia suspension (4 × 106 conidia/mL) and incubated at 30 °C for 7 days before the kernels were dried, ground, and extracted for aflatoxin. Bars with different letters are significantly different at p < 0.05.
Toxins 17 00008 g002
Figure 3. Representative appearance of plant architecture and height (A), and ear length and kernel set (B) of OmtA-RNAi transgenic and null T3 plants at flowering, and T4 ears at harvest.
Figure 3. Representative appearance of plant architecture and height (A), and ear length and kernel set (B) of OmtA-RNAi transgenic and null T3 plants at flowering, and T4 ears at harvest.
Toxins 17 00008 g003
Figure 4. Evaluation of homozygous omtA transgenic lines under field conditions with artificial inoculations. The levels of aflatoxin in field-inoculated transgenic OmtA-7 and OmtA-12 lines, along with their null controls from the T5 generation in 2018 (A) and T6 generation in 2019 (B). Aflatoxin production in two additional transgenic lines (OmtA-6 and OmtA-10) and their corresponding null controls at the T4 generation was also determined in 2019 (C). The inoculum concentration used for these experiments was 1 × 105 conidia/mL. Different letters on top of the bars indicate a significant difference in aflatoxin B1 levels at p ≤ 0.05.
Figure 4. Evaluation of homozygous omtA transgenic lines under field conditions with artificial inoculations. The levels of aflatoxin in field-inoculated transgenic OmtA-7 and OmtA-12 lines, along with their null controls from the T5 generation in 2018 (A) and T6 generation in 2019 (B). Aflatoxin production in two additional transgenic lines (OmtA-6 and OmtA-10) and their corresponding null controls at the T4 generation was also determined in 2019 (C). The inoculum concentration used for these experiments was 1 × 105 conidia/mL. Different letters on top of the bars indicate a significant difference in aflatoxin B1 levels at p ≤ 0.05.
Toxins 17 00008 g004
Figure 5. Aflatoxin production in surface-sterilized, field-grown mature kernels of homozygous omtA transgenic and null lines under kernel screening assay conditions. Aflatoxin production in the naturally infected mature transgenic kernels and their null counterparts harvested from the field from T4 (OmtA-6 and OmtA-10) and T6 (OmtA-7 and OmtA-12) generation without (A) or with (B) inoculation, followed by inoculation for 7 days at 31 °C under 100% humidity. Different letters on top of the bars indicate a significant difference in aflatoxin B1 levels at p ≤ 0.05. Fifteen kernels per line were used for the aflatoxin analysis.
Figure 5. Aflatoxin production in surface-sterilized, field-grown mature kernels of homozygous omtA transgenic and null lines under kernel screening assay conditions. Aflatoxin production in the naturally infected mature transgenic kernels and their null counterparts harvested from the field from T4 (OmtA-6 and OmtA-10) and T6 (OmtA-7 and OmtA-12) generation without (A) or with (B) inoculation, followed by inoculation for 7 days at 31 °C under 100% humidity. Different letters on top of the bars indicate a significant difference in aflatoxin B1 levels at p ≤ 0.05. Fifteen kernels per line were used for the aflatoxin analysis.
Toxins 17 00008 g005
Figure 6. Aflatoxin B1 accumulation in the F1 crosses between OmtA-7 homozygous transgenic and elite inbred lines of LH195, PHN46, and PHG39, compared to crosses with null and self-pollinated elite lines under field inoculation conditions (p < 0.05). Different letters on top of the bars indicate a significant difference in aflatoxin B1 levels at p ≤ 0.05.
Figure 6. Aflatoxin B1 accumulation in the F1 crosses between OmtA-7 homozygous transgenic and elite inbred lines of LH195, PHN46, and PHG39, compared to crosses with null and self-pollinated elite lines under field inoculation conditions (p < 0.05). Different letters on top of the bars indicate a significant difference in aflatoxin B1 levels at p ≤ 0.05.
Toxins 17 00008 g006
Figure 7. Distribution and frequency of small RNAs in leaf and immature kernel tissues of the transgenic maize line. (A). High levels of 21 and 24 nucleotide omtA-specific small RNAs were detected in the leaves of the transgenic OmtA-7 T3 generation (left) and in the kernels of the T4 generation (right), respectively. (B). A higher percentage of the anti-sense strand than the sense strand of omtA-specific small RNAs was detected in the transgenic maize line. (C). The 390 bp region of the omtA gene (between the 660 bp and 1015 bp) appears to be the hotspot for dsRNA production, with the highest number of gene-specific small RNA reads. The horizontal axis indicates the relative position of small RNAs aligned to the target omtA gene. The vertical axis represents the number of small RNA reads mapped to omtA.
Figure 7. Distribution and frequency of small RNAs in leaf and immature kernel tissues of the transgenic maize line. (A). High levels of 21 and 24 nucleotide omtA-specific small RNAs were detected in the leaves of the transgenic OmtA-7 T3 generation (left) and in the kernels of the T4 generation (right), respectively. (B). A higher percentage of the anti-sense strand than the sense strand of omtA-specific small RNAs was detected in the transgenic maize line. (C). The 390 bp region of the omtA gene (between the 660 bp and 1015 bp) appears to be the hotspot for dsRNA production, with the highest number of gene-specific small RNA reads. The horizontal axis indicates the relative position of small RNAs aligned to the target omtA gene. The vertical axis represents the number of small RNA reads mapped to omtA.
Toxins 17 00008 g007
Table 1. Chi-square analysis of the observed and expected T2 generation transgenic and non-transgenic seedlings to determine the omtA gene copy number in the four transgenic events.
Table 1. Chi-square analysis of the observed and expected T2 generation transgenic and non-transgenic seedlings to determine the omtA gene copy number in the four transgenic events.
EventNumber of SeedlingsTransgenic Seedlings (O/E) *Non-Transgenic Seedlings (O/E) *X2# of Integration
OmtA-69165/6726/240.21
OmtA-78364/6523/220.11
OmtA-109461/7033/244.5>1
OmtA-129670/6719/220.5 1
*: O, observed number of seedlings; E, expected number of seedlings. Whether the calculated chi-square Χ2 = ∑(observed − expected)2/(expected) exceeds the critical value (3.841, p < 0.05) for single-copy integration with an expected transgenic to null ratio of 3:1 is used to reject or accept the null hypothesis of being one or more than one copy.
Table 2. Zygosity estimation of purported homozygous T3 seedlings in comparison to the purported heterozygous T0 seedling based on real-time PCR quantification of the omtA gene and the reference alcohol dehydrogenase gene (adh).
Table 2. Zygosity estimation of purported homozygous T3 seedlings in comparison to the purported heterozygous T0 seedling based on real-time PCR quantification of the omtA gene and the reference alcohol dehydrogenase gene (adh).
LineHeterozygous *HomozygousRatio
OmtA-60.991.891:2
OmtA-71.02.01:2
OmtA-100.20.431:2
OmtA-120.61.11:2
* Zygosity = 2(T3 Ct (Ad)−T3 Ct (omtA)/2(T0 Ct (Adh)−T0 Ct (omtA).
Table 3. Transgene copy number analysis of seedling leaf tissues collected from different omtA transformation events at T0 and T4 generations using droplet digital PCR.
Table 3. Transgene copy number analysis of seedling leaf tissues collected from different omtA transformation events at T0 and T4 generations using droplet digital PCR.
EventOmtA Gene
(copy/µL)
Adh1 Gene (copy/µL)OmtA/Adh1Copy Number *
OmtA-6 (T0)6261564.014 (hemi)
OmtA-7 (T0)1761870.941 (hemi)
OmtA-8 (T0)2382450.971 (hemi)
OmtA-10 (T0)2472610.951 (hemi)
OmtA-11 (T0)1962000.981 (hemi)
OmtA-12 (T0)2112400.881 (hemi)
OmtA-6 (T4)769967.94 (homo)
OmtA-7 (T4)98.243.12.301 (homo)
OmtA-10 (T4)133.463.02.121 (homo)
OmtA-12 (T4)87392.21 (homo)
* The ratio of the number of molecules of the omtA target gene vs. the number of molecules of the single-copy reference Adh1 (alcohol dehydrogenase) gene is used to represent the copy number of the target gene in each of the transgenic events. There are two sets of binding sites in the HIGS-OmtA construct for the omtA primers used in the ddPCR.
Table 4. Phenotypic assessment of homozygous transgenic OmtA-RNAi lines in comparison with their null and B104 controls.
Table 4. Phenotypic assessment of homozygous transgenic OmtA-RNAi lines in comparison with their null and B104 controls.
LineMean
Plant Height
(cm)
Days to TasselingDays to SilkingMean
Cob Length
(cm)
Mean
100-Kernel Weight (g)
OmtA-6 (T)132.5 e*69.0 a*71.0 b*12.8 e*20.9 d*
OmtA-6 (N)133.3 de*68.0 b72.1 a*13.9 cd21.1 cd*
OmtA-7 (T)137.4 bc68.1 b71.0 b*14.4 c23.2 b*
OmtA-7 (N)138.8 ab68.0 b70.1 c13.4 de21.7 cd*
OmtA-10 (T)139.4 ab67.0 c*70.0 c13.7 cd23.1 b*
OmtA-10 (N)141.4 a67.1 c*70.0 c15.1 bc23.1 b*
OmtA-12 (T)135.7 cd*68.1 b71.1 b*15.5 a*22.1 bc*
OmtA-12 (N)134.3 de*68.0 b71.0 b*16.2 a*24.7 a
B104- (N)139.4 ab68.0 b70.0 c14.3 d24.8 a
** Std. dev.3.10.60.71.11.4
* Indicate lines with significant differences in the phenotypic trait compared to the B104 parental plants at p < 0.05. Lines followed by different letters are significantly different for the phenotypic trait at p < 0.05. ** Standard deviation for the phenotypic trait. Ten to thirteen representative plants/ears were used for each of these analyses.
Table 5. Summary of small RNA reads from the libraries of leaves at T3 generation and immature kernels at T4 generation of OmtA transgenic and non-transgenic maize lines.
Table 5. Summary of small RNA reads from the libraries of leaves at T3 generation and immature kernels at T4 generation of OmtA transgenic and non-transgenic maize lines.
Tissue TypeEventTotal ReadReads Aligned to A. flavusReads Aligned
to omtA
LeafOmtA-7 (Homo)29,290,448378,13777,671
B104 (Null)60,780,742623825
KernelOmtA-7 (Homo)25,576,02051,79112,858
OmtA-12 (Homo)55,055,40578,16111,658
OmtA-7 (Null)35,595,01152,16313
OmtA-12 (Null)27,880,78240,54828
Disclaimer/Publisher’s Note: The statements, opinions and data contained in all publications are solely those of the individual author(s) and contributor(s) and not of MDPI and/or the editor(s). MDPI and/or the editor(s) disclaim responsibility for any injury to people or property resulting from any ideas, methods, instructions or products referred to in the content.

Share and Cite

MDPI and ACS Style

Omolehin, O.; Raruang, Y.; Hu, D.; Han, Z.-Q.; Promyou, S.; Brown, R.L.; Wei, Q.; Rajasekaran, K.; Cary, J.W.; Wang, K.; et al. Host-Induced Gene Silencing of the Aspergillus flavus O-Methyl Transferase Gene Enhanced Maize Aflatoxin Resistance. Toxins 2025, 17, 8. https://doi.org/10.3390/toxins17010008

AMA Style

Omolehin O, Raruang Y, Hu D, Han Z-Q, Promyou S, Brown RL, Wei Q, Rajasekaran K, Cary JW, Wang K, et al. Host-Induced Gene Silencing of the Aspergillus flavus O-Methyl Transferase Gene Enhanced Maize Aflatoxin Resistance. Toxins. 2025; 17(1):8. https://doi.org/10.3390/toxins17010008

Chicago/Turabian Style

Omolehin, Olanike, Yenjit Raruang, Dongfang Hu, Zhu-Qiang Han, Surassawadee Promyou, Robert L. Brown, Qijian Wei, Kanniah Rajasekaran, Jeffrey W. Cary, Kan Wang, and et al. 2025. "Host-Induced Gene Silencing of the Aspergillus flavus O-Methyl Transferase Gene Enhanced Maize Aflatoxin Resistance" Toxins 17, no. 1: 8. https://doi.org/10.3390/toxins17010008

APA Style

Omolehin, O., Raruang, Y., Hu, D., Han, Z.-Q., Promyou, S., Brown, R. L., Wei, Q., Rajasekaran, K., Cary, J. W., Wang, K., Jeffers, D., & Chen, Z.-Y. (2025). Host-Induced Gene Silencing of the Aspergillus flavus O-Methyl Transferase Gene Enhanced Maize Aflatoxin Resistance. Toxins, 17(1), 8. https://doi.org/10.3390/toxins17010008

Note that from the first issue of 2016, this journal uses article numbers instead of page numbers. See further details here.

Article Metrics

Back to TopTop