Pulmonary Thromboembolism following Russell’s Viper Bites
Abstract
1. Introduction
2. Results
2.1. Clinical Presentation of Patients
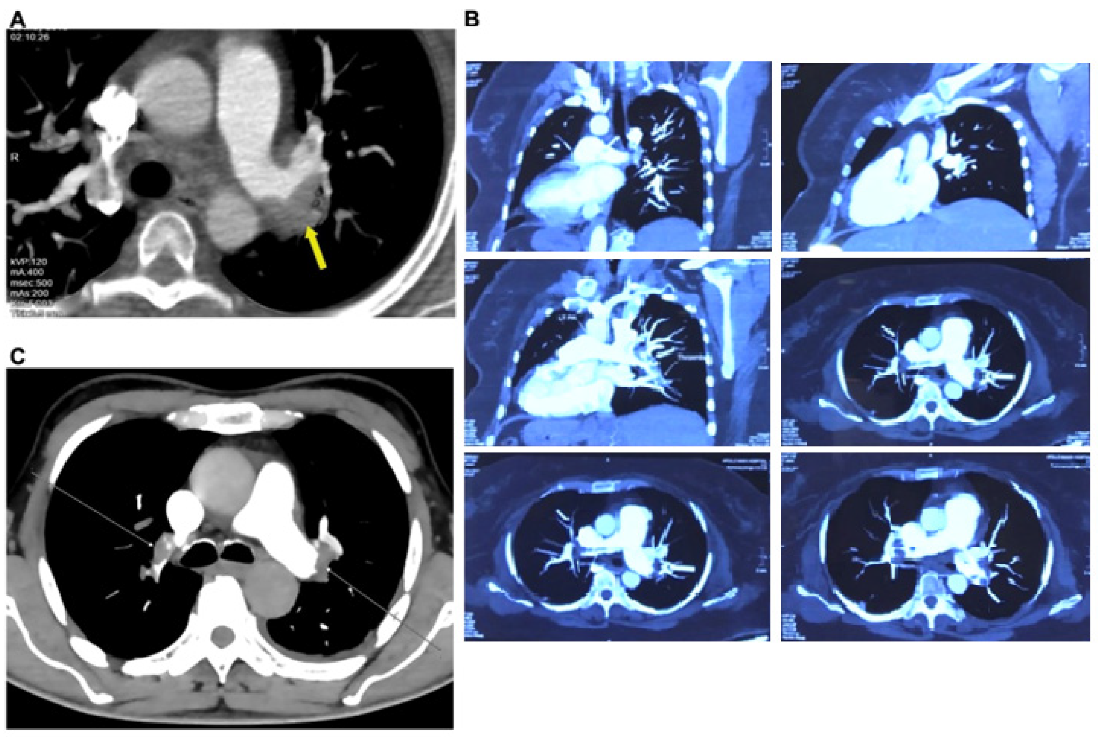
2.2. Cardiogram Methods and CT Pulmonary Angiogram Confirmed Pulmonary Embolism
2.3. LMWH Was Administered to Successfully Resolve PE
3. Discussion
4. Conclusions
5. Methods
5.1. Data Collection
5.2. D-Dimer Levels
5.3. Clotting Tests
5.4. Echocardiogram
5.5. CT Pulmonary Angiogram
Author Contributions
Funding
Institutional Review Board Statement
Informed Consent Statement
Data Availability Statement
Conflicts of Interest
References
- Gutiérrez, J.M.; Calvete, J.J.; Habib, A.G.; Harrison, R.A.; Williams, D.J.; Warrell, D.A. Snakebite envenoming. Nat. Rev. Dis. Primers 2017, 3, 17063. [Google Scholar] [CrossRef]
- Morsy, M.A.; Gupta, S.; Dora, C.P.; Jhawat, V.; Dhanawat, M.; Mehta, D.; Gupta, K.; Nair, A.B.; El-Daly, M. Venoms classification and therapeutic uses: A narrative review. Eur. Rev. Med. Pharmacol. Sci. 2023, 27, 1633–1653. [Google Scholar] [CrossRef]
- Fox, J.W.; Serrano, S.M. Exploring snake venom proteomes: Multifaceted analyses for complex toxin mixtures. Proteomics 2008, 8, 909–920. [Google Scholar] [CrossRef]
- Bittenbinder, M.A.; van Thiel, J.; Cardoso, F.C.; Casewell, N.R.; Gutiérrez, J.M.; Kool, J.; Vonk, F.J. Tissue damaging toxins in snake venoms: Mechanisms of action, pathophysiology and treatment strategies. Commun. Biol. 2024, 7, 358. [Google Scholar] [CrossRef]
- Adamude, F.A.; Dingwoke, E.J.; Abubakar, M.S.; Mohamed, G.; Klein, A.; Sallau, A.B. Comparative venom toxin analyses of Nigerian viperidae and elapidae snakes. Sci. Afr. 2023, 20, e01622. [Google Scholar] [CrossRef]
- Tasoulis, T.; Isbister, G.K. A Review and Database of Snake Venom Proteomes. Toxins 2017, 9, 290. [Google Scholar] [CrossRef]
- Larréché, S.; Chippaux, J.P.; Chevillard, L.; Mathé, S.; Résière, D.; Siguret, V.; Mégarbane, B. Bleeding and thrombosis: Insights into pathophysiology of bothrops venom-related hemostasis disorders. Int. J. Mol. Sci. 2021, 22, 9643. [Google Scholar] [CrossRef]
- Kini, R.M. Toxins in thrombosis and haemostasis: Potential beyond imagination. J. Thromb. Haemost. 2011, 9, 195–208. [Google Scholar] [CrossRef]
- Latinović, Z.; Leonardi, A.; Koh, C.Y.; Kini, R.M.; Trampuš Bakija, A.; Pungerčar, J.; Križaj, I. The procoagulant snake venom serine protease potentially having a dual, blood coagulation factor V and X-activating activity. Toxins 2020, 12, 358. [Google Scholar] [CrossRef]
- Gutiérrez, J.M.; Escalante, T.; Rucavado, A.; Herrera, C. Hemorrhage caused by snake venom metalloproteinases: A journey of discovery and understanding. Toxins 2016, 8, 93. [Google Scholar] [CrossRef]
- Osipov, A.; Utkin, Y. What are the neurotoxins in hemotoxic snake venoms? Int. J. Mol. Sci. 2023, 24, 2919. [Google Scholar] [CrossRef]
- Senthilkumaran, S.; Almeida, J.R.; Williams, J.; Salim, A.; Williams, H.F.; Thirumalaikolundusubramanian, P.; Patel, K.; Vaiyapuri, S. Russell’s viper envenomation induces rectus sheath haematoma. Toxicon 2023, 224, 107037. [Google Scholar] [CrossRef]
- Gopalakrishnan, M.; Saurabh, S.; Sagar, P.; Bammigatti, C.; Dutta, T.K. A simple mortality risk prediction score for viper envenoming in India (VENOMS): A model development and validation study. PLOS Neglected Trop. Dis. 2022, 16, e0010183. [Google Scholar] [CrossRef]
- Kalita, B.; Mackessy, S.P.; Mukherjee, A.K. Proteomic analysis reveals geographic variation in venom composition of Russell’s Viper in the Indian subcontinent: Implications for clinical manifestations post-envenomation and antivenom treatment. Expert. Rev. Proteom. 2018, 15, 837–849. [Google Scholar] [CrossRef]
- Aung-Khin, M.; Ma-Ma, K.; Zin, T. Effects of Russell’s viper venom on blood coagulation, platelets and the fibrinolytic enzyme system. Jpn. J. Med. Sci. Biol. 1977, 30, 101–108. [Google Scholar] [CrossRef]
- Warrell, D.A. Snake venoms in science and clinical medicine. 1. Russell’s viper: Biology, venom and treatment of bites. Trans. R. Soc. Trop. Med. Hyg. 1989, 83, 732–740. [Google Scholar] [CrossRef]
- Senthilkumaran, S.; Almeida, J.R.; Williams, J.; Williams, H.F.; Thirumalaikolundusubramanian, P.; Patel, K.; Vaiyapuri, S. Rapid identification of bilateral adrenal and pituitary haemorrhages induced by Russell’s viper envenomation results in positive patient outcome. Toxicon 2023, 225, 107068. [Google Scholar] [CrossRef]
- Freund, Y.; Cohen-Aubart, F.; Bloom, B. Acute pulmonary embolism: A review. JAMA 2022, 328, 1336–1345. [Google Scholar] [CrossRef]
- Kahn, S.R.; de Wit, K. Pulmonary embolism. N. Engl. J. Med. 2022, 387, 45–57. [Google Scholar] [CrossRef]
- Maughan, B.C.; Jarman, A.F.; Redmond, A.; Geersing, G.-J.; Kline, J.A. Pulmonary embolism. BMJ 2024, 384, e071662. [Google Scholar] [CrossRef]
- Bart, G.; Pineau, S.; Biron, C.; Connault, J.; Artifoni, M. Bilateral pulmonary embolism following a viper envenomation in france: A case report and review. Medicine 2016, 95, e2798. [Google Scholar] [CrossRef] [PubMed]
- Bhagat, R.; Sharma, K.; Sarode, R.; Shen, Y.M. Delayed massive pulmonary thromboembolic phenomenon following envenomation by Mojave rattlesnake (Crotalus scutulatus). Thromb. Haemost. 2010, 104, 186–188. [Google Scholar] [CrossRef] [PubMed]
- Chani, M.; Abouzahir, A.; Larreche, S.; Mion, G. Pulmonary embolism in the context of severe envenomation by a Moroccan viper. Bull. Soc. Pathol. Exot. 2012, 105, 162–165. [Google Scholar] [CrossRef] [PubMed]
- Moore, A.J.E.; Wachsmann, J.; Chamarthy, M.R.; Panjikaran, L.; Tanabe, Y.; Rajiah, P. Imaging of acute pulmonary embolism: An update. Cardiovasc. Diagn. Ther. 2018, 8, 225–243. [Google Scholar] [CrossRef] [PubMed]
- Hogg, K.; Brown, G.; Dunning, J.; Wright, J.; Carley, S.; Foex, B.; Mackway-Jones, K. Diagnosis of pulmonary embolism with CT pulmonary angiography: A systematic review. Emerg. Med. J. EMJ 2006, 23, 172–178. [Google Scholar] [CrossRef][Green Version]
- Levis, J.T. ECG Diagnosis: Pulmonary embolism. Perm. J. 2011, 15, 75. [Google Scholar] [CrossRef] [PubMed]
- Konstantinides, S.V.; Meyer, G.; Becattini, C.; Bueno, H.; Geersing, G.J.; Harjola, V.P.; Huisman, M.V.; Humbert, M.; Jennings, C.S.; Jiménez, D.; et al. 2019 ESC Guidelines for the diagnosis and management of acute pulmonary embolism developed in collaboration with the European Respiratory Society (ERS). Eur. Heart J. 2020, 41, 543–603. [Google Scholar] [CrossRef]
- Bin Haidar, H.; Almeida, J.R.; Williams, J.; Guo, B.; Bigot, A.; Senthilkumaran, S.; Vaiyapuri, S.; Patel, K. Differential effects of the venoms of Russell’s viper and Indian cobra on human myoblasts. Sci. Rep. 2024, 14, 3184. [Google Scholar] [CrossRef] [PubMed]
- Slagboom, J.; Kool, J.; Harrison, R.A.; Casewell, N.R. Haemotoxic snake venoms: Their functional activity, impact on snakebite victims and pharmaceutical promise. Br. J. Haematol. 2017, 177, 947–959. [Google Scholar] [CrossRef]
- Estrade, G.; Garnier, D.; Bernasconi, F.; Donatien, Y. Pulmonary embolism and disseminated intravascular coagulation after being bitten by a Bothrops lanceolatus snake. Apropos of a case. Arch. Mal. Coeur Vaiss. 1989, 82, 1903–1905. [Google Scholar]
- Makis, A.; Kattamis, A.; Grammeniatis, V.; Sihlimiri, P.; Kotsonis, H.; Iliadis, A.; Siamopoulou, A.; Chaliasos, N. Pulmonary embolism after snake bite in a child with Diamond-Blackfan anemia. J. Pediatr. Hematol. Oncol. 2011, 33, 68–70. [Google Scholar] [CrossRef]
- Hutton, R.A.; Warrell, D.A. Action of snake venom components on the haemostatic system. Blood Rev. 1993, 7, 176–189. [Google Scholar] [CrossRef]
- Maduwage, K.; Isbister, G.K. Current treatment for venom-induced consumption coagulopathy resulting from snakebite. PLoS Negl. Trop. Dis. 2014, 8, e3220. [Google Scholar] [CrossRef] [PubMed]
- Senthilkumaran, S.; Patel, K.; Rajan, E.; Vijayakumar, P.; Miller, S.W.; Rucavado, A.; Gilabadi, S.; Sonavane, M.; Richards, N.J.; Williams, J.; et al. Peripheral arterial thrombosis following russell’s viper bites. TH Open 2023, 7, e168–e183. [Google Scholar] [CrossRef]
- Mukherjee, A.K.; Mackessy, S.P. Biochemical and pharmacological properties of a new thrombin-like serine protease (Russelobin) from the venom of Russell’s Viper (Daboia russelii russelii) and assessment of its therapeutic potential. Biochim. Biophys. Acta 2013, 1830, 3476–3488. [Google Scholar] [CrossRef]
- Esmon, C.T.; Jackson, C.M. The factor V activating enzyme of Russell’s viper venom. Thromb. Res. 1973, 2, 509–524. [Google Scholar] [CrossRef]
- Tans, G.; Rosing, J. Snake venom activators of factor X: An overview. Haemostasis 2001, 31, 225–233. [Google Scholar] [CrossRef]
- Ahmedy, F.; Ahmad Fauzi, A.; Engkasan, J.P. Asymptomatic tachycardia and acute pulmonary embolism in a case of tuberculosis spondylodiscitis. Spinal Cord. Ser. Cases 2018, 4, 43. [Google Scholar] [CrossRef] [PubMed]
- Singh, S.; Goel, A. A study of modified Wells score for pulmonary embolism and age-adjusted D-dimer values in patients at risk for deep venous thrombosis. J. Fam. Med. Prim. Care 2023, 12, 2020–2023. [Google Scholar] [CrossRef]
- Alangode, A.; Rajan, K.; Nair, B.G. Snake antivenom: Challenges and alternate approaches. Biochem. Pharmacol. 2020, 181, 114135. [Google Scholar] [CrossRef]
- Agnelli, G.; Becattini, C. Anticoagulant treatment for acute pulmonary embolism: A pathophysiology-based clinical approach. Eur. Respir. J. 2015, 45, 1142–1149. [Google Scholar] [CrossRef] [PubMed]
- Becattini, C.; Agnelli, G.; Diamanti, M.; Maggioni, A.P.; Vanni, S.; Dentali, F.; Enea, I.; Bortolotti, P.; De Vecchi, M.; Artusi, N.; et al. Contemporary anticoagulant treatment strategies in patients with acute pulmonary embolism at different risk for death. Vasc. Pharmacol. 2023, 153, 107245. [Google Scholar] [CrossRef] [PubMed]
- Senji Laxme, R.R.; Khochare, S.; Attarde, S.; Suranse, V.; Iyer, A.; Casewell, N.R.; Whitaker, R.; Martin, G.; Sunagar, K. Biogeographic venom variation in Russell’s viper (Daboia russelii) and the preclinical inefficacy of antivenom therapy in snakebite hotspots. PLoS Negl. Trop. Dis. 2021, 15, e0009247. [Google Scholar] [CrossRef] [PubMed]
- Bĕlohlávek, J.; Dytrych, V.; Linhart, A. Pulmonary embolism, part I: Epidemiology, risk factors and risk stratification, pathophysiology, clinical presentation, diagnosis and nonthrombotic pulmonary embolism. Exp. Clin. Cardiol. 2013, 18, 129–138. [Google Scholar]



Disclaimer/Publisher’s Note: The statements, opinions and data contained in all publications are solely those of the individual author(s) and contributor(s) and not of MDPI and/or the editor(s). MDPI and/or the editor(s) disclaim responsibility for any injury to people or property resulting from any ideas, methods, instructions or products referred to in the content. |
© 2024 by the authors. Licensee MDPI, Basel, Switzerland. This article is an open access article distributed under the terms and conditions of the Creative Commons Attribution (CC BY) license (https://creativecommons.org/licenses/by/4.0/).
Share and Cite
Senthilkumaran, S.; Sampath, S.; Almeida, J.R.; Williams, J.; Williams, H.F.; Patel, K.; Thirumalaikolundusubramanian, P.; Vaiyapuri, S. Pulmonary Thromboembolism following Russell’s Viper Bites. Toxins 2024, 16, 222. https://doi.org/10.3390/toxins16050222
Senthilkumaran S, Sampath S, Almeida JR, Williams J, Williams HF, Patel K, Thirumalaikolundusubramanian P, Vaiyapuri S. Pulmonary Thromboembolism following Russell’s Viper Bites. Toxins. 2024; 16(5):222. https://doi.org/10.3390/toxins16050222
Chicago/Turabian StyleSenthilkumaran, Subramanian, Sasikumar Sampath, José R. Almeida, Jarred Williams, Harry F. Williams, Ketan Patel, Ponniah Thirumalaikolundusubramanian, and Sakthivel Vaiyapuri. 2024. "Pulmonary Thromboembolism following Russell’s Viper Bites" Toxins 16, no. 5: 222. https://doi.org/10.3390/toxins16050222
APA StyleSenthilkumaran, S., Sampath, S., Almeida, J. R., Williams, J., Williams, H. F., Patel, K., Thirumalaikolundusubramanian, P., & Vaiyapuri, S. (2024). Pulmonary Thromboembolism following Russell’s Viper Bites. Toxins, 16(5), 222. https://doi.org/10.3390/toxins16050222

