The Toxin Diversity, Cytotoxicity, and Enzymatic Activity of Cape Cobra (Naja nivea) Venom
Abstract
1. Introduction
2. Results
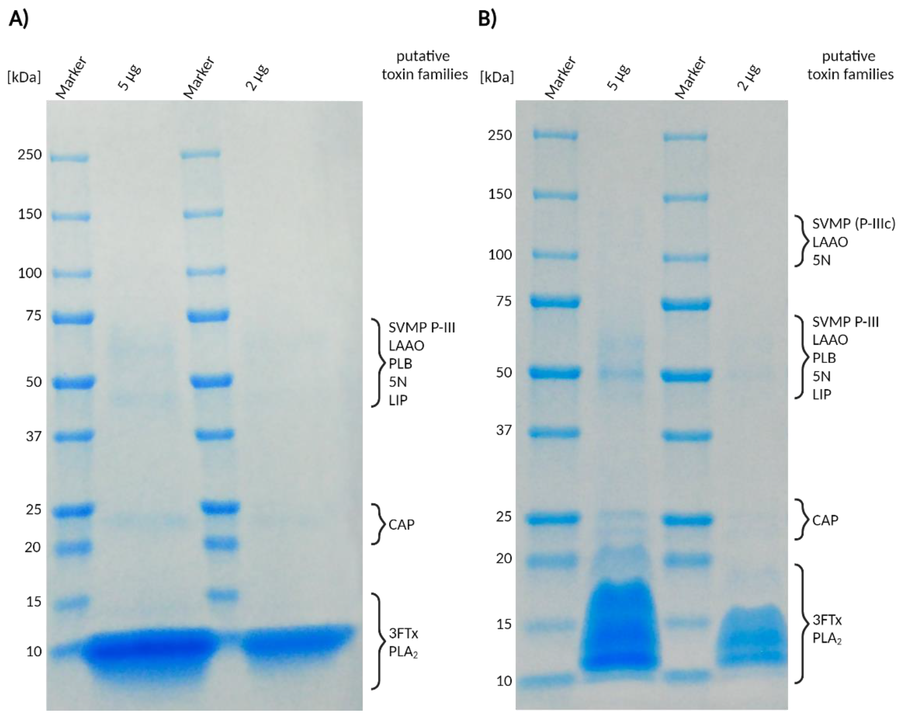
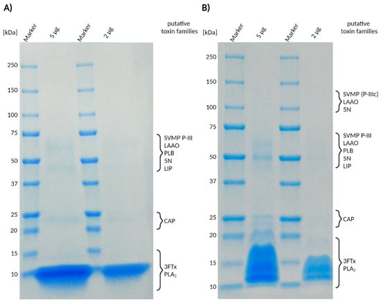
2.1. Venom Profiling by 1D-SDS-PAGE
2.2. Shotgun Venom Proteomics
2.3. Bioactivity Profiling
3. Discussion
4. Conclusions
5. Materials and Methods
5.1. Origin of Sample Material
5.2. One-Dimensional SDS-PAGE
5.3. Tryptic Digestion
5.4. Mass Spectrometry
5.5. Data Analysis
5.6. Cytotoxicity Assays
5.7. Protease Activity Assay
5.8. Phospholipase A2 Activity Assay
5.9. Assessment of Intracellular Calcium (Ca2+) Levels
5.10. Assessment of Nitric Oxide (NO) Levels
Supplementary Materials
Author Contributions
Funding
Institutional Review Board Statement
Informed Consent Statement
Data Availability Statement
Acknowledgments
Conflicts of Interest
References
- Kasturiratne, A.; Wickremasinghe, A.R.; De Silva, N.; Gunawardena, N.K.; Pathmeswaran, A.; Premaratna, R.; Savioli, L.; Lalloo, D.G.; De Silva, H.J. The Global Burden of Snakebite: A Literature Analysis and Modelling Based on Regional Estimates of Envenoming and Deaths. PLoS Med. 2008, 5, e218. [Google Scholar] [CrossRef] [PubMed]
- Gutiérrez, J.M.; Calvete, J.J.; Habib, A.G.; Harrison, R.A.; Williams, D.J.; Warrell, D.A. Snakebite Envenoming. Nat. Rev. Dis. Primers 2017, 3, 17063. [Google Scholar] [CrossRef] [PubMed]
- Harrison, R.A.; Casewell, N.R.; Ainsworth, S.A.; Lalloo, D.G. The Time Is Now: A Call for Action to Translate Recent Momentum on Tackling Tropical Snakebite into Sustained Benefit for Victims. Trans. R. Soc. Trop. Med. Hyg. 2019, 113, 835–838. [Google Scholar] [CrossRef]
- Fry, B.G. Snakebite: When the Human Touch Becomes a Bad Touch. Toxins 2018, 10, 170. [Google Scholar] [CrossRef]
- Calvete, J.J. Proteomic Tools against the Neglected Pathology of Snake Bite Envenoming. Expert Rev. Proteom. 2011, 8, 739–758. [Google Scholar] [CrossRef]
- Xie, C.; Slagboom, J.; Albulescu, L.O.; Somsen, G.W.; Vonk, F.J.; Casewell, N.R.; Kool, J. Neutralising Effects of Small Molecule Toxin Inhibitors on Nanofractionated Coagulopathic Crotalinae Snake Venoms. Acta Pharm. Sin. B 2020, 10, 1835–1845. [Google Scholar] [CrossRef] [PubMed]
- Knudsen, C.; Ledsgaard, L.; Dehli, R.I.; Ahmadi, S.; Sørensen, C.V.; Laustsen, A.H. Engineering and Design Considerations for Next-Generation Snakebite Antivenoms. Toxicon 2019, 167, 67–75. [Google Scholar] [CrossRef]
- Knudsen, C.; Laustsen, A.H. Recent Advances in Next Generation Snakebite Antivenoms. Trop. Med. Infect. Dis. 2018, 3, 42. [Google Scholar] [CrossRef]
- Khalek, I.S.; Senji Laxme, R.R.; Ngyuen, Y.T.K.; Khochare, S.; Patel, R.N.; Woehl, J.; Smith, J.M.M.; Saye-Francisco, K.; Kim, Y.J.; Mindrebo, L.M.; et al. Synthetic development of a broadly neutralizing antibody against snake venom long-chain a-neurotoxins. Sci. Transl. Med. 2024, 16, 735. [Google Scholar] [CrossRef]
- Laustsen, A.H. Recombinant snake antivenoms get closer to the clinic. Trends Immunol. 2024, 45, P225–P227. [Google Scholar] [CrossRef]
- Rivera-de-Torre, E.; Rimbault, C.; Jenkins, T.P.; Sørensen, C.V.; Damsbo, A.; Saez, N.J.; Duhoo, Y.; Hackney, C.M.; Ellgaard, L.; Laustsen, A.H. Strategies for Heterologous Expression, Synthesis, and Purification of Animal Venom Toxins. Front. Bioeng. Biotechnol. 2022, 9, 811905. [Google Scholar] [CrossRef] [PubMed]
- Lüddecke, T.; Paas, A.; Harris, R.J.; Talmann, L.; Kirchhoff, K.N.; Billion, A.; Hardes, K.; Steinbrink, A.; Gerlach, D.; Fry, B.G.; et al. Venom Biotechnology: Casting Light on Nature’s Deadliest Weapons Using Synthetic Biology. Front. Bioeng. Biotechnol. 2023, 11, 1166601. [Google Scholar] [CrossRef]
- Calvete, J.J. Next-Generation Snake Venomics: Protein-Locus Resolution through Venom Proteome Decomplexation. Expert Rev. Proteom. 2014, 11, 315–329. [Google Scholar] [CrossRef]
- Lüddecke, T.; Blank, S. Animal Toxins: Biodiscovery, Mechanistic Insights and Translational Potential. Toxins 2024, 16, 130. [Google Scholar] [CrossRef] [PubMed]
- Petras, D.; Heiss, P.; Harrison, R.A.; Süssmuth, R.D.; Calvete, J.J. Top-down Venomics of the East African Green Mamba, Dendroaspis angusticeps, and the Black Mamba, Dendroaspis Polylepis, Highlight the Complexity of Their Toxin Arsenals. J. Proteom. 2016, 146, 148–164. [Google Scholar] [CrossRef]
- Alape-Girón, A.; Flores-Díaz, M.; Sanz, L.; Madrigal, M.; Escolano, J.; Sasa, M.; Calvete, J.J. Studies on the Venom Proteome of Bothrops Asper: Perspectives and Applications. Toxicon 2009, 54, 938–948. [Google Scholar] [CrossRef] [PubMed]
- Whiteley, G.; Casewell, N.R.; Pla, D.; Quesada-Bernat, S.; Logan, R.A.E.; Bolton, F.M.S.; Wagstaff, S.C.; Gutiérrez, J.M.; Calvete, J.J.; Harrison, R.A. Defining the Pathogenic Threat of Envenoming by South African Shield-Nosed and Coral Snakes (Genus Aspidelaps), and Revealing the Likely Efficacy of Available Antivenom. J. Proteom. 2019, 198, 186–198. [Google Scholar] [CrossRef] [PubMed]
- Sunagar, K.; Undheim, E.A.B.; Scheib, H.; Gren, E.C.K.; Cochran, C.; Person, C.E.; Koludarov, I.; Kelln, W.; Hayes, W.K.; King, G.F.; et al. Intraspecific Venom Variation in the Medically Significant Southern Pacific Rattlesnake (Crotalus Oreganus Helleri): Biodiscovery, Clinical and Evolutionary Implications. J. Proteom. 2014, 99, 68–83. [Google Scholar] [CrossRef]
- Petras, D.; Heiss, P.; Süssmuth, R.D.; Calvete, J.J. Venom Proteomics of Indonesian King Cobra, Ophiophagus Hannah: Integrating Top-down and Bottom-up Approaches. J. Proteome Res. 2015, 14, 2539–2556. [Google Scholar] [CrossRef]
- Pla, D.; Bande, B.W.; Welton, R.E.; Paiva, O.K.; Sanz, L.; Segura, Á.; Wright, C.E.; Calvete, J.J.; Gutiérrez, J.M.; Williams, D.J. Proteomics and Antivenomics of Papuan Black Snake (Pseudechis papuanus) Venom with Analysis of Its Toxicological Profile and the Preclinical Efficacy of Australian Antivenoms. J. Proteom. 2017, 150, 201–215. [Google Scholar] [CrossRef]
- Snakebite Information and Data Platform 2020. Available online: https://www.who.int/teams/control-of-neglected-tropical-diseases/snakebite-envenoming/snakebite-information-and-data-platform (accessed on 20 June 2024).
- Wüster, W.; Crookes, S.; Ineich, I.; Mané, Y.; Pook, C.E.; Trape, J.F.; Broadley, D.G. The Phylogeny of Cobras Inferred from Mitochondrial DNA Sequences: Evolution of Venom Spitting and the Phylogeography of the African Spitting Cobras (Serpentes: Elapidae: Naja nigricollis Complex). Mol. Phylogenet. Evol. 2007, 45, 437–453. [Google Scholar] [CrossRef] [PubMed]
- Kazemi, E.; Nazarizadeh, M.; Fatemizadeh, F.; Khani, A.; Kaboli, M. The Phylogeny, Phylogeography, and Diversification History of the Westernmost Asian Cobra (Serpentes: Elapidae: Naja oxiana) in the Trans-Caspian Region. Ecol. Evol. 2020, 11, 2024–2039. [Google Scholar] [CrossRef] [PubMed]
- Panagides, N.; Jackson, T.N.W.; Ikonomopoulou, M.P.; Arbuckle, K.; Pretzler, R.; Yang, D.C.; Ali, S.A.; Koludarov, I.; Dobson, J.; Sanker, B.; et al. How the Cobra Got Its Flesh-Eating Venom: Cytotoxicity as a Defensive Innovation and Its Co-Evolution with Hooding, Aposematic Marking, and Spitting. Toxins 2017, 9, 103. [Google Scholar] [CrossRef]
- Nguyen, G.T.T.; O’Brien, C.; Wouters, Y.; Seneci, L.; Gallissà-Calzado, A.; Campos-Pinto, I.; Ahmadi, S.; Laustsen, A.H.; Ljungars, A. High-Throughput Proteomics and in Vitro Functional Characterization of the 26 Medically Most Important Elapids and Vipers from Sub-Saharan Africa. GigaScience 2022, 11, giac121. [Google Scholar] [CrossRef]
- Avella, I.; Wüster, W.; Luiselli, L.; Martínez-Freiría, F. Toxic Habits: An Analysis of General Trends and Biases in Snake Venom Research. Toxins 2022, 14, 884. [Google Scholar] [CrossRef]
- Kazandjian, T.D.; Petras, D.; Robinson, S.D.; van Thiel, J.; Greene, H.W.; Arbuckle, K.; Barlow, A.; Carter, D.A.; Wouters, R.M.; Whiteley, G.; et al. Convergent Evolution of Pain-Inducing Defensive Venom Components in Spitting Cobras. Science 2021, 371, 386–390. [Google Scholar] [CrossRef]
- Harris, R.J.; Nekaris, K.A.I.; Fry, B.G. Monkeying around with Venom: An Increased Resistance to α-Neurotoxins Supports an Evolutionary Arms Race between Afro-Asian Primates and Sympatric Cobras. BMC Biol. 2021, 19, 253. [Google Scholar] [CrossRef] [PubMed]
- Avella, I.; Barajas-Ledesma, E.; Casewell, N.R.; Harrison, R.A.; Rowley, P.D.; Crittenden, E.; Wüster, W.; Castiglia, R.; Holland, C.; van der Meijden, A. Unexpected Lack of Specialisation in the Flow Properties of Spitting Cobra Venom. J. Exp. Biol. 2021, 224, jeb229229. [Google Scholar] [CrossRef]
- Du, T.Y.; Hall, S.R.; Chung, F.; Kurdyukov, S.; Crittenden, E.; Patel, K.; Dawson, C.A.; Westhorpe, A.P.; Bartlett, K.E.; Rasmussen, S.A.; et al. Molecular Dissection of Cobra Venom Highlights Heparinoids as an Antidote for Spitting Cobra Envenoming. Sci. Transl. Med. 2024, 16, eadk4802. [Google Scholar] [CrossRef]
- Kakati, H.; Patra, A.; Mukherjee, A.K. Composition, Pharmacology, and Pathophysiology of the Venom of Monocled Cobra (Naja kaouthia)—A Medically Crucial Venomous Snake of Southeast Asia: An Updated Review. Toxicon 2024, 249, 108056. [Google Scholar] [CrossRef]
- Wang, C.R.; Zenaidee, M.A.; Snel, M.F.; Pukala, T.L. Exploring Top-Down Mass Spectrometric Approaches to Probe Forest Cobra (Naja melanoleuca) Venom Proteoforms. J. Proteome Res. 2024, 23, 4601–4613. [Google Scholar] [CrossRef] [PubMed]
- Wallach, V.; Wüster, W.; Broadley, D.G. In Praise of Subgenera: Taxonomic Status of Cobras of the Genus Naja Laurenti (Serpentes: Elapidae). Zootaxa 2009, 2236, 26–36. [Google Scholar] [CrossRef]
- Uetz, P.; Freed, P.; Aguilar, R.; Reyes, F.; Hošek, J. The Reptile Database 2023. Available online: http://www.reptile-database.org (accessed on 20 June 2024).
- Phelps, T. Cape Cobra: Maximum Size. Afr. Herp News 2007, 42, 22–23. [Google Scholar]
- Spawls, S.; Branch, B. The Dangerous Snakes of Africa; Bloomsbury: London, UK, 2022. [Google Scholar]
- Trutnau, L. Giftschlangen, 4th ed.; Ulmer: Stuttgart, Germany, 1998. [Google Scholar]
- Blaylock, R.; Lichtman, A.; Potgieter, P. Clinical Manifestations of Cape Cobra (Naja nivea) Bites. A Report of 2 Cases. S. Afr. Med. J. 1985, 68, 342–344. [Google Scholar] [PubMed]
- Ramos-Cerrillo, B.; de Roodt, A.R.; Chippaux, J.-P.; Olguín, L.; Casasola, A.; Guzmán, G.; Paniagua-Solís, J.; Alagón, A.; Stock, R.P. Characterization of a New Polyvalent Antivenom (Antivipmyn® Africa) against African Vipers and Elapids. Toxicon 2008, 52, 881–888. [Google Scholar] [CrossRef] [PubMed]
- Mebs, D. Myotoxic Activity of Phospholipases A2 Isolated from Cobra Venoms: Neutralization by Polyvalent Antivenoms. Toxicon Off. J. Int. Soc. Toxinol. 1986, 24, 1001–1008. [Google Scholar] [CrossRef]
- Botes, D.P.; Strydom, D.J.; Anderson, C.G.; Christensen, P.A. Snake Venom Toxins. Purification and Properties of Three Toxins from Naja nivea (Linnaeus) (Cape Cobra) Venom and the Amino Acid Sequence of Toxin Delta. J. Biol. Chem. 1971, 246, 3132–3139. [Google Scholar] [CrossRef]
- Hokama, Y.; Iwanaga, S.; Tatsuki, T.; Suzuki, T. Snake Venom Proteinase Inhibitors: III. Isolation of Five Polypeptide Inhibitors from the Venoms of Hemachatus haemachatus (Ringhal’s Corbra) and Naja nivea (Cape Cobra) and the Complete Amino Acid Sequences of Two of Them. J. Biochem. 1976, 79, 559–578. [Google Scholar] [CrossRef]
- Botes, D.P.; Viljoen, C.C. The Amino Acid Sequence of Three Non-Curarimimetictoxins from Naja nivea Venom. Biochim. Biophys. Acta BBA Protein Struct. 1976, 446, 1–9. [Google Scholar] [CrossRef]
- Post, Y.; Puschhof, J.; Beumer, J.; Kerkkamp, H.M.; de Bakker, M.A.G.; Slagboom, J.; de Barbanson, B.; Wevers, N.R.; Spijkers, X.M.; Olivier, T.; et al. Snake Venom Gland Organoids. Cell 2020, 180, 233–247. [Google Scholar] [CrossRef]
- Tan, C.H.; Wong, K.Y.; Huang, L.-K.; Tan, K.Y.; Tan, N.H.; Wu, W.-G. Snake Venomics and Antivenomics of Cape Cobra (Naja nivea) from South Africa: Insights into Venom Toxicity and Cross-Neutralization Activity. Toxins 2022, 14, 860. [Google Scholar] [CrossRef] [PubMed]
- McFarlane, L.O.; Pukala, T.L. Proteomic Investigation of Cape Cobra (Naja nivea) Venom Reveals First Evidence of Quaternary Protein Structures. Toxins 2024, 16, 63. [Google Scholar] [CrossRef]
- Chippaux, J.P.; Williams, V.; White, J. Snake Venom Variability: Methods of Study, Results and Interpretation. Toxicon 1991, 29, 1279–1303. [Google Scholar] [CrossRef] [PubMed]
- Casewell, N.R.; Wagstaff, S.C.; Wüster, W.; Cook, D.A.N.; Bolton, F.M.S.; King, S.I.; Pla, D.; Sanz, L.; Calvete, J.J.; Harrison, R.A. Medically Important Differences in Snake Venom Composition Are Dictated by Distinct Postgenomic Mechanisms. Proc. Natl. Acad. Sci. USA 2014, 111, 9205–9210. [Google Scholar] [CrossRef] [PubMed]
- Casewell, N.R.; Jackson, T.N.W.; Laustsen, A.H.; Sunagar, K. Causes and Consequences of Snake Venom Variation. Trends Pharmacol. Sci. 2020, 41, 570–581. [Google Scholar] [CrossRef] [PubMed]
- Chanda, A.; Mukherjee, A.K. Quantitative Proteomics to Reveal the Composition of Southern India Spectacled Cobra (Naja Naja) Venom and Its Immunological Cross-Reactivity towards Commercial Antivenom. Int. J. Biol. Macromol. 2020, 160, 224–232. [Google Scholar] [CrossRef]
- Kakati, H.; Patra, A.; Kalita, B.; Chanda, A.; Rapole, S.; Mukherjee, A.K. A Comparison of Two Different Analytical Workflows to Determine the Venom Proteome Composition of Naja Kaouthia from North-East India and Immunological Profiling of Venom against Commercial Antivenoms. Int. J. Biol. Macromol. 2022, 208, 275–287. [Google Scholar] [CrossRef]
- Vanuopadath, M.; Raveendran, D.; Nair, B.G.; Nair, S.S. Venomics and Antivenomics of Indian Spectacled Cobra (Naja naja) from the Western Ghats. Acta Trop. 2022, 228, 106324. [Google Scholar] [CrossRef]
- Pawlak, J.; Mackessy, S.P.; Sixberry, N.M.; Stura, E.A.; Le Du, M.H.; Ménez, R.; Foo, C.S.; Ménez, A.; Nirthanan, S.; Kini, R.M. Irditoxin, a Novel Covalently Linked Heterodimeric Three-Finger Toxin with High Taxon-Specific Neurotoxicity. FASEB J. Off. Publ. Fed. Am. Soc. Exp. Biol. 2009, 23, 534–545. [Google Scholar] [CrossRef]
- Osipov, A.V.; Kasheverov, I.E.; Makarova, Y.V.; Starkov, V.G.; Vorontsova, O.V.; Ziganshin, R.K.; Andreeva, T.V.; Serebryakova, M.V.; Benoit, A.; Hogg, R.C.; et al. Naturally Occurring Disulfide-Bound Dimers of Three-Fingered Toxins: A Paradigm for Biological Activity Diversification. J. Biol. Chem. 2008, 283, 14571–14580. [Google Scholar] [CrossRef]
- Mackessy, S.P. Handbook of Venoms and Toxins of Reptiles, 2nd ed.; CRC Press: Boca Raton, FL, USA, 2021. [Google Scholar]
- Utkin, Y.; Sunagar, K.; Jackson, T.N.W.; Reeks, T.; Fry, B.G. Chapter 8: Three Finger Toxins (3FTx). In Venomous Reptiles: Evolution, Pathophysiology and Biodiscovery; Fry, B.G., Ed.; Oxford University Press: Oxford, UK, 2015. [Google Scholar]
- Tasoulis, T.; Isbister, G.K. A Review and Database of Snake Venom Proteomes. Toxins 2017, 9, 290. [Google Scholar] [CrossRef] [PubMed]
- Fry, B.G.; Lumsden, N.G.; Wüster, W.; Wickramaratna, J.C.; Hodgson, W.C.; Manjunatha Kini, R. Isolation of a Neurotoxin (α-Colubritoxin) from a Nonvenomous Colubrid: Evidence for Early Origin of Venom in Snakes. J. Mol. Evol. 2003, 57, 446–452. [Google Scholar] [CrossRef]
- Sunagar, K.; Jackson, T.N.W.; Undheim, E.A.B.; Ali, S.A.; Antunes, A.; Fry, B.G. Three-Fingered RAVERs: Rapid Accumulation of Variations in Exposed Residues of Snake Venom Toxins. Toxins 2013, 5, 2172–2208. [Google Scholar] [CrossRef] [PubMed]
- Bekbossynova, A.; Zharylgap, A.; Filchakova, O. Venom-Derived Neurotoxins Targeting Nicotinic Acetylcholine Receptors. Molecules 2021, 26, 3373. [Google Scholar] [CrossRef] [PubMed]
- Utkin, Y.N.; Kukhtina, V.V.; Kryukova, E.V.; Chiodini, F.; Bertrand, D.; Methfessel, C.; Tsetlin, V.I. “Weak Toxin” from Naja kaouthia Is a Nontoxic Antagonist of Alpha 7 and Muscle-Type Nicotinic Acetylcholine Receptors. J. Biol. Chem. 2001, 276, 15810–15815. [Google Scholar] [CrossRef]
- Carsi, J.M.; Potter, L.T. M1-Toxin Isotoxins from the Green Mamba (Dendroaspis angusticeps) That Selectively Block M1 Muscarinic Receptors. Toxicon Off. J. Int. Soc. Toxinol. 2000, 38, 187–198. [Google Scholar] [CrossRef]
- Von Reumont, B.M.; Anderluh, G.; Antunes, A.; Ayvazyan, N.; Beis, D.; Caliskan, F.; Crnković, A.; Damm, M.; Dutertre, S.; Ellgaard, L.; et al. Modern Venomics—Current Insights, Novel Methods, and Future Perspectives in Biological and Applied Animal Venom Research. GigaScience 2022, 11, giac048. [Google Scholar] [CrossRef] [PubMed]
- Foo, C.S.; Jobichen, C.; Hassan-Puttaswamy, V.; Dekan, Z.; Tae, H.-S.; Bertrand, D.; Adams, D.J.; Alewood, P.F.; Sivaraman, J.; Nirthanan, S.; et al. Fulditoxin, Representing a New Class of Dimeric Snake Toxins, Defines Novel Pharmacology at Nicotinic ACh Receptors. Br. J. Pharmacol. 2020, 177, 1822–1840. [Google Scholar] [CrossRef]
- Modahl, C.M.; Mrinalini; Frietze, S.; Mackessy, S.P. Adaptive Evolution of Distinct Prey-Specific Toxin Genes in Rear-Fanged Snake Venom. Proc. Biol. Sci. 2018, 285, 20181003. [Google Scholar] [CrossRef]
- Melani, R.D.; Nogueira, F.C.S.; Domont, G.B. It Is Time for Top-down Venomics. J. Venom. Anim. Toxins Incl. Trop. Dis. 2017, 23, 44. [Google Scholar] [CrossRef]
- Walker, A.A.; Robinson, S.D.; Hamilton, B.F.; Undheim, E.A.B.; King, G.F. Deadly Proteomes: A Practical Guide to Proteotranscriptomics of Animal Venoms. Proteomics 2020, 20, 1900324. [Google Scholar] [CrossRef] [PubMed]
- Smith, C.F.; Nikolakis, Z.L.; Ivey, K.; Perry, B.W.; Schield, D.R.; Balchan, N.R.; Parker, J.; Hansen, K.C.; Saviola, A.J.; Castoe, T.A.; et al. Snakes on a plain: Biotic and abiotic factors determine venom compositional variation in a wide-ranging generalist rattlesnake. BMC Biol. 2023, 21, 136. [Google Scholar] [CrossRef] [PubMed]
- Schulte, L.; Uhrig, L.; Eichberg, J.; Schwartze, M.; Auth, I.; Schulz, M.; Lindner, T.; Hien, P.; Hardes, K.; Vilcinskas, A.; et al. Comparative Venom Analysis between Melanistic and Normally-Colored Phenotypes of the Common Adder (Vipera berus). R. Soc. Open Sci. 2024, 11, 241268. [Google Scholar] [CrossRef] [PubMed]
- Avella, I.; Damm, M.; Freitas, I.; Wüster, W.; Lucchini, N.; Zuazo, Ó.; Süssmuth, R.D.; Martínez-Freiría, F. One Size Fits All—Venomics of the Iberian Adder (Vipera Seoanei, Lataste 1878) Reveals Low Levels of Venom Variation across Its Distributional Range. Toxins 2023, 15, 371. [Google Scholar] [CrossRef] [PubMed]
- Silva, R.J.D.; Fontes, M.R.M.; Rodrigues, R.R.; Bruder, E.M.; Stein, M.F.B.; Sipoli, G.P.M.; Pinhão, R.; Lopes, C.A.D.M. A report on a case of melanism in a specimen of Crotalus durissus terrificus (Laurenti, 1768). J. Venom. Anim. Toxins 1999, 5, 91–97. [Google Scholar] [CrossRef]
- Schwick, G.; Dickgiesser, F. Probleme Der Antigen- Und Fermentanalyse Im Zusammenhang Mit Der Herstellung Polyvalenter Schlangenseren. In Giftschlangen der Erde; Behringwerke, A.G., Ed.; Elwert Universitäts- und Verlags-Buchhandlung: Marburg, Germany, 1963; p. 34. [Google Scholar]
- Ross, E.A.; Devitt, A.; Johnson, J.R. Macrophages: The Good, the Bad, and the Gluttony. Front. Immunol. 2021, 12, 708186. [Google Scholar] [CrossRef]
- Maruyama, K.; Asai, J.; Ii, M.; Thorne, T.; Losordo, D.W.; D’Amore, P.A. Decreased Macrophage Number and Activation Lead to Reduced Lymphatic Vessel Formation and Contribute to Impaired Diabetic Wound Healing. Am. J. Pathol. 2007, 170, 1178–1191. [Google Scholar] [CrossRef]
- Esmaeilishirazifard, E.; Usher, L.; Trim, C.; Denise, H.; Sangal, V.; Tyson, G.H.; Barlow, A.; Redway, K.F.; Taylor, J.D.; Kremyda-Vlachou, M.; et al. Bacterial Adaptation to Venom in Snakes and Arachnida. Microbiol. Spectr. 2022, 10, e0240821. [Google Scholar] [CrossRef]
- Ul-Hasan, S.; Rodríguez-Román, E.; Reitzel, A.M.; Adams, R.M.M.; Herzig, V.; Nobile, C.J.; Saviola, A.J.; Trim, S.A.; Stiers, E.E.; Moschos, S.A.; et al. The Emerging Field of Venom-Microbiomics for Exploring Venom as a Microenvironment, and the Corresponding Initiative for Venom Associated Microbes and Parasites (iVAMP). Toxicon X 2019, 4, 100016. [Google Scholar] [CrossRef]
- Bartlett, K.E.; Hall, S.R.; Rasmussen, S.A.; Crittenden, E.; Dawson, C.A.; Albulescu, L.-O.; Laprade, W.; Harrison, R.A.; Saviola, A.J.; Modahl, C.M.; et al. Dermonecrosis Caused by a Spitting Cobra Snakebite Results from Toxin Potentiation and Is Prevented by the Repurposed Drug Varespladib. Proc. Natl. Acad. Sci. USA 2024, 121, e2315597121. [Google Scholar] [CrossRef]
- Bin Haidar, H.; Almeida, J.R.; Williams, J.; Guo, B.; Bigot, A.; Senthilkumaran, S.; Vaiyapuri, S.; Patel, K. Differential Effects of the Venoms of Russell’s Viper and Indian Cobra on Human Myoblasts. Sci. Rep. 2024, 14, 3184. [Google Scholar] [CrossRef] [PubMed]
- Paas, A.; Dresler, J.; Talmann, L.; Vilcinskas, A.; Lüddecke, T. Venom Ex Machina? Exploring the Potential of Cell-Free Protein Production for Venom Biodiscovery. Int. J. Mol. Sci. 2024, 25, 8286. [Google Scholar] [CrossRef] [PubMed]
- Hurka, S.; Brinkrolf, K.; Özbek, R.; Förster, F.; Billion, A.; Heep, J.; Timm, T.; Lochnit, G.; Vilcinskas, A.; Lüddecke, T. Venomics of the Central European Myrmicine Ants Myrmica Rubra and Myrmica Ruginodis. Toxins 2022, 14, 358. [Google Scholar] [CrossRef]
- Avella, I.; Schulte, L.; Hurka, S.; Damm, M.; Eichberg, J.; Schiffmann, S.; Henke, M.; Timm, T.; Lochnit, G.; Hardes, K.; et al. Proteogenomics-Guided Functional Venomics Resolves the Toxin Arsenal and Activity of Deinagkistrodon Acutus Venom. Int J. Biol. Macromol. 2024, 278, 135041. [Google Scholar] [CrossRef]
- Hurka, S.; Lüddecke, T.; Paas, A.; Dersch, L.; Schulte, L.; Eichberg, J.; Hardes, K.; Brinkrolf, K.; Vilcinskas, A. Bioactivity Profiling of In Silico Predicted Linear Toxins from the Ants Myrmica Rubra and Myrmica Ruginodis. Toxins 2022, 14, 846. [Google Scholar] [CrossRef] [PubMed]
- Erkoc, P.; von Reumont, B.M.; Lüddecke, T.; Henke, M.; Ulshöfer, T.; Vilcinskas, A.; Fürst, R.; Schiffmann, S. The Pharmacological Potential of Novel Melittin Variants from the Honeybee and Solitary Bees against Inflammation and Cancer. Toxins 2022, 14, 818. [Google Scholar] [CrossRef]
- Erkoc, P.; Schiffmann, S.; Ulshöfer, T.; Henke, M.; Marner, M.; Krämer, J.; Predel, R.; Schäberle, T.F.; Hurka, S.; Dersch, L.; et al. Determining the Pharmacological Potential and Biological Role of Linear Pseudoscorpion Toxins via Functional Profiling. iScience 2024, 27, 110209. [Google Scholar] [CrossRef]
- Schulte, L.; Damm, M.; Avella, I.; Uhrig, L.; Erkoc, P.; Schiffmann, S.; Fürst, R.; Timm, T.; Lochnit, G.; Vilcinskas, A.; et al. Venomics of the Milos Viper (Macrovipera Schweizeri) Unveils Patterns of Venom Composition and Exochemistry across Blunt-Nosed Viper Venoms. Front. Mol. Biosci. 2023, 10, 1254058. [Google Scholar] [CrossRef]




| Subgroup | Uniprot ID | Taxon | MASCOT Score | Subgroup | Uniprot ID | Taxon | MASCOT Score |
|---|---|---|---|---|---|---|---|
| Cytotoxins | P01453 | Naja annulifera | 39,445 | Cytotoxins (cont.) | P62390 | Naja annulifera | 1525 |
| P01456 | Naja nivea | 37,149 | P01446 | Naja kaouthia | 1314 | ||
| P01463 | Naja nivea | 25,422 | O93472 | Naja sputatrix | 1314 | ||
| P01462 | Naja annulifera | 24,579 | P01474 | Naja melanoleuca | 673 | ||
| P01461 | Naja annulifera | 10,362 | P60308 | Naja atra | 325 | ||
| P01458 | Naja nivea | 10,320 | Short Neurotoxins | P01423 | Naja nivea | 5245 | |
| Q98961 | Naja atra | 9746 | P01421 | Naja annulifera | 2871 | ||
| P60311 | Naja sputatrix | 9574 | P01422 | Naja annulifera | 2798 | ||
| O73857 | Naja sputatrix | 9574 | P01426 | Naja pallida | 1929 | ||
| P01451 | Naja oxiana | 9574 | P01424 | Naja melanoleuca | 1225 | ||
| O93473 | Naja sputatrix | 9572 | Q9W717 | Naja atra | 866 | ||
| A0A0U5ARS4 | Naja naja | 9572 | Long Neurotoxins | P01390 | Naja nivea | 47,565 | |
| A0A0U4W6H0 | Naja naja | 9572 | R4G2D8 | Acanthophis wellsi | 1388 | ||
| P01457 | Naja haje | 9446 | Q53B57 | Ophiophagus hannah | 84 | ||
| P01468 | Naja pallida | 9321 | Muscarinic Toxins | P60234 | Dendroaspis angusticeps | 669 | |
| P01469 | Naja mossambica | 9321 | Non-conventional | P25680 | Naja nivea | 7648 | |
| P0DSN1 | Naja nigricollis | 8467 | P01400 | Naja melanoleuca | 1554 | ||
| P86540 | Naja naja | 8281 | P01401 | Naja haje | 1539 | ||
| P83345 | Naja sagittifera | 8275 | P25677 | Naja annulifera | 902 | ||
| Q98956 | Naja atra | 8275 | P29181 | Naja naja | 596 | ||
| P14541 | Naja kaouthia | 1567 | P81782 | Bungarus candidus | 317 |
| Toxin Family and Subgroups | This Study | Kazandjian et al., 2021 | Nguyen et al., 2022 | Tan et al., 2022 | McFarlane et al., 2024 |
|---|---|---|---|---|---|
| 3FTx | ✓ | ✓ | ✓ | ✓ | ✓ |
| ✓ | ✓ | ✓ | ✓ | ✓ |
| ✓ | ✓ | ✓ | ✓ | ✓ |
| ✓ | ✓ | ✓ | ✓ | ✓ |
| ✓ | ✓ | ✓ | ✓ | ✓ |
| ✓ | ✓ | |||
| ✓ | ||||
| svMP | ✓ | ✓ | ✓ | ✓ | |
| svSP | ✓ | ✓ | ✓ | ||
| AP and other peptidases | ✓ | ✓ | |||
| Venom Complement C3 | ✓ | ✓ | ✓ | ✓ | |
| CRISP | ✓ | ✓ | ✓ | ✓ | ✓ |
| LAAO | ✓ | ✓ | ✓ | ✓ | |
| 5N | ✓ | ✓ | ✓ | ✓ | |
| PDE | ✓ | ✓ | ✓ | ✓ | |
| CE and other esterases | ✓ | ✓ | ✓ | ✓ | |
| PLA2 | ✓ | ✓ | ✓ | ✓ | |
| PLB | ✓ | ✓ | |||
| Endonuclease | ✓ | ||||
| NGF | ✓ | ✓ | ✓ | ✓ | ✓ |
| KUN | ✓ | ✓ | ✓ | ✓ | ✓ |
| Vespryn | ✓ | ✓ | ✓ | ✓ | |
| VEGF | ✓ | ✓ | |||
| HYAL | ✓ | ✓ | |||
| CYS | ✓ | ||||
| CTL | ✓ | ||||
| DI | ✓ | ||||
| Other proteins and peptides | ✓ | ✓ | |||
| Proteomics workflow | Shotgun | Top-down | Shotgun | Bottom-up | Bottom-up |
| (Semi)-quantification | No. of toxins | MS (AUC XIC) | MS (LFQ) | RP-HPLC + MS (MSI) | MS (NASF) |
Disclaimer/Publisher’s Note: The statements, opinions and data contained in all publications are solely those of the individual author(s) and contributor(s) and not of MDPI and/or the editor(s). MDPI and/or the editor(s) disclaim responsibility for any injury to people or property resulting from any ideas, methods, instructions or products referred to in the content. |
© 2024 by the authors. Licensee MDPI, Basel, Switzerland. This article is an open access article distributed under the terms and conditions of the Creative Commons Attribution (CC BY) license (https://creativecommons.org/licenses/by/4.0/).
Share and Cite
Lüddecke, T.; Avella, I.; Damm, M.; Schulte, L.; Eichberg, J.; Hardes, K.; Schiffmann, S.; Henke, M.; Timm, T.; Lochnit, G.; et al. The Toxin Diversity, Cytotoxicity, and Enzymatic Activity of Cape Cobra (Naja nivea) Venom. Toxins 2024, 16, 438. https://doi.org/10.3390/toxins16100438
Lüddecke T, Avella I, Damm M, Schulte L, Eichberg J, Hardes K, Schiffmann S, Henke M, Timm T, Lochnit G, et al. The Toxin Diversity, Cytotoxicity, and Enzymatic Activity of Cape Cobra (Naja nivea) Venom. Toxins. 2024; 16(10):438. https://doi.org/10.3390/toxins16100438
Chicago/Turabian StyleLüddecke, Tim, Ignazio Avella, Maik Damm, Lennart Schulte, Johanna Eichberg, Kornelia Hardes, Susanne Schiffmann, Marina Henke, Thomas Timm, Günter Lochnit, and et al. 2024. "The Toxin Diversity, Cytotoxicity, and Enzymatic Activity of Cape Cobra (Naja nivea) Venom" Toxins 16, no. 10: 438. https://doi.org/10.3390/toxins16100438
APA StyleLüddecke, T., Avella, I., Damm, M., Schulte, L., Eichberg, J., Hardes, K., Schiffmann, S., Henke, M., Timm, T., Lochnit, G., & Vilcinskas, A. (2024). The Toxin Diversity, Cytotoxicity, and Enzymatic Activity of Cape Cobra (Naja nivea) Venom. Toxins, 16(10), 438. https://doi.org/10.3390/toxins16100438

