Alveolar Macrophages Participate in the Promotion of Influenza Virus Infection by Aflatoxin B1 at an Early Stage
Abstract
1. Introduction
2. Results
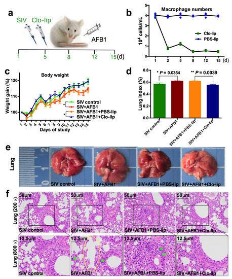
2.1. Alveolar Macrophage Depletion Diminished the AFB1-Induced Weight Loss and Lung Damage of the SIV-Infected Mice after 14 Days
2.2. Alveolar Macrophage Depletion Diminished the AFB1-Induced Inflammation and Immune Organ Damage of the SIV-Infected Mice after 14 Days
2.3. Alveolar Macrophage Depletion Greatly Diminished the AFB1-Increased SIV Replication in the SIV-Infected Mice after 14 Days
2.4. Alveolar Macrophage Depletion Did Not Alleviate the AFB1-Induced Weight Loss and Lung Damage of the SIV-Infected Mice after 28 Days
2.5. Alveolar Macrophage Depletion Diminished the AFB1-Induced Inflammation but Did Not Alleviate the Immune Organ Damage of the SIV-Infected Mice after 28 Days
2.6. Alveolar Macrophage Depletion Slightly Diminished the AFB1-Increased SIV Replication in the SIV-Infected Mice after 28 Days
3. Discussion
4. Conclusions
5. Materials and Methods
5.1. Viruses and Reagents
5.2. Animal Experiment Design
5.3. Quantitative Real-Time PCR (QRT-PCR)
5.4. Western Blots
5.5. TNF-α and IL-10 Measurements
5.6. Histopathological Analysis
5.7. Statistical Analysis
Author Contributions
Funding
Institutional Review Board Statement
Informed Consent Statement
Data Availability Statement
Conflicts of Interest
References
- Ma, J.; Liu, Y.; Guo, Y.; Ma, Q.; Ji, C.; Zhao, L. Transcriptional profiling of aflatoxin b1-induced oxidative stress and inflammatory response in macrophages. Toxins 2021, 13, 401. [Google Scholar] [CrossRef]
- Sun, Y.; Liu, Z.; Liu, D.; Chen, J.; Gan, F.; Huang, K. Low-level aflatoxin b1 promotes influenza infection and modulates a switch in macrophage polarization from m1 to m2. Cell. Physiol. Biochem. 2018, 49, 1110–1126. [Google Scholar] [CrossRef] [PubMed]
- Sun, Y.; Su, J.; Liu, Z.; Liu, D.; Gan, F.; Chen, X.; Huang, K. Aflatoxin b(1) promotes influenza replication and increases virus related lung damage via activation of tlr4 signaling. Front. Immunol. 2018, 9, 2297. [Google Scholar] [CrossRef]
- Eskola, M.; Kos, G.; Elliott, C.T.; Hajšlová, J.; Mayar, S.; Krska, R. Worldwide contamination of food-crops with mycotoxins: Validity of the widely cited ‘fao estimate’ of 25. Crit. Rev. Food Sci. Nutr. 2020, 60, 2773–2789. [Google Scholar] [CrossRef] [PubMed]
- Su, J.; Liu, D.; Wang, Q.; Lin, J.; Song, S.; Huang, K. Long-time instead of short-time exposure in vitro and administration in vivo of ochratoxin a is consistent in immunosuppression. J. Agric. Food Chem. 2019, 67, 7485–7495. [Google Scholar] [CrossRef] [PubMed]
- He, W.; Su, J.; Liu, D.; Huang, K. Mannan oligosaccharide could attenuate ochratoxin a-induced immunosuppression with long-time exposure instead of immunostimulation with short-time exposure. J. Agric. Food Chem. 2021, 69, 11461–11469. [Google Scholar] [CrossRef]
- Liu, D.; Wang, Q.; He, W.; Chen, X.; Wei, Z.; Huang, K. Two-way immune effects of deoxynivalenol in weaned piglets and porcine alveolar macrophages: Due mainly to its exposure dosage. Chemosphere 2020, 249, 126464. [Google Scholar] [CrossRef]
- Sun, Y.; Huang, K.; Long, M.; Yang, S.; Zhang, Y. An update on immunotoxicity and mechanisms of action of six environmental mycotoxins. Food Chem. Toxicol. 2022, 163, 112895. [Google Scholar] [CrossRef]
- Bahari, A.; Mehrzad, J.; Mahmoudi, M.; Bassami, M.R.; Dehghani, H. Cytochrome p450 isoforms are differently up-regulated in aflatoxin b1-exposed human lymphocytes and monocytes. Immunopharmacol. Immunotoxicol. 2014, 36, 1–10. [Google Scholar] [CrossRef]
- Hao, S.; Pan, S.; Hu, J.; Qian, G.; Gan, F.; Huang, K. Aflatoxin b1 suppressed t-cell response to anti-pig-cd3 monoclonal antibody stimulation in primary porcine splenocytes: A role for the extracellular regulated protein kinase (erk1/2) mapk signaling pathway. J. Agric. Food Chem. 2015, 63, 6094–6101. [Google Scholar] [CrossRef]
- Chao, H.; Ma, H.; Sun, J.; Yuan, S.; Dong, P.; Zhao, A.; Li, L.; Shen, W.; Zhang, X. Whole-transcriptome analysis of non-coding rna alteration in porcine alveolar macrophage exposed to aflatoxin b1. Toxins 2022, 14, 373. [Google Scholar] [CrossRef] [PubMed]
- Pang, V.F.; Chiang, C.F.; Chang, C.C. The in vitro effects of aflatoxin b(1) on physiological functions of swine alveolar macrophages. Vet. Med. Sci. 2020, 6, 919–925. [Google Scholar] [CrossRef] [PubMed]
- Morris, G.; Bortolasci, C.C.; Puri, B.K.; Marx, W.; O’Neil, A.; Athan, E.; Walder, K.; Berk, M.; Olive, L.; Carvalho, A.F.; et al. The cytokine storms of covid-19, h1n1 influenza, crs and mas compared. Can one sized treatment fit all? Cytokine 2021, 144, 155593. [Google Scholar] [CrossRef]
- Sun, Y.; Su, J.; Yang, S.; Liu, Z.; Liu, D.; Gan, F.; Chen, X.; Huang, K. Mannan oligosaccharide protects against the aflatoxin-b(1)-promoted influenza replication and tissue damages in a toll-like-receptor-4-dependent manner. J. Agric. Food Chem. 2019, 67, 735–745. [Google Scholar] [CrossRef]
- Schneider, C.; Nobs, S.P.; Heer, A.K.; Kurrer, M.; Klinke, G.; van Rooijen, N.; Vogel, J.; Kopf, M. Alveolar macrophages are essential for protection from respiratory failure and associated morbidity following influenza virus infection. PLoS Pathog. 2014, 10, e1004053. [Google Scholar] [CrossRef]
- Murray, P.J. Macrophage polarization. Annu. Rev. Physiol. 2017, 79, 541–566. [Google Scholar] [CrossRef]
- Zhao, X.; Dai, J.; Xiao, X.; Wu, L.; Zeng, J.; Sheng, J.; Su, J.; Chen, X.; Wang, G.; Li, K. Pi3k/akt signaling pathway modulates influenza virus induced mouse alveolar macrophage polarization to m1/m2b. PLoS ONE 2014, 9, e104506. [Google Scholar] [CrossRef]
- Wang, L.; Hu, S.; Liu, Q.; Li, Y.; Xu, L.; Zhang, Z.; Cai, X.; He, X. Porcine alveolar macrophage polarization is involved in inhibition of porcine reproductive and respiratory syndrome virus (prrsv) replication. J. Vet. Med. Sci. 2017, 79, 1906–1915. [Google Scholar] [CrossRef]
- Patel, U.; Rajasingh, S.; Samanta, S.; Cao, T.; Dawn, B.; Rajasingh, J. Macrophage polarization in response to epigenetic modifiers during infection and inflammation. Drug Discov. Today 2017, 22, 186–193. [Google Scholar] [CrossRef]
- Chang, P.; Kuchipudi, S.V.; Mellits, K.H.; Sebastian, S.; James, J.; Liu, J.; Shelton, H.; Chang, K.C. Early apoptosis of porcine alveolar macrophages limits avian influenza virus replication and pro-inflammatory dysregulation. Sci. Rep. 2015, 5, 17999. [Google Scholar] [CrossRef] [PubMed]
- Liu, J.X.; Zhang, Y.; An, M.; Wu, Q.G.; Zhao, Y.; Li, X.; Li, G. Diversity of th1/th2 immunity in mice with acute lung injury induced by the h1n1 influenza virus and lipopolysaccharides. J. Infect. Dev. Ctries. 2019, 13, 536–544. [Google Scholar] [CrossRef] [PubMed]
- Wang, W.; Wang, Y.; Yang, J.; Wagner, K.M.; Hwang, S.H.; Cheng, J.; Singh, N.; Edwards, P.; Morisseau, C.; Zhang, G.; et al. Aflatoxin b(1) exposure disrupts the intestinal immune function via a soluble epoxide hydrolase-mediated manner. Ecotoxicol. Environ. Saf. 2022, 249, 114417. [Google Scholar] [CrossRef] [PubMed]
- Wang, J.; Li, F.; Sun, R.; Gao, X.; Wei, H.; Li, L.J.; Tian, Z. Bacterial colonization dampens influenza-mediated acute lung injury via induction of m2 alveolar macrophages. Nat. Commun. 2013, 4, 2106. [Google Scholar] [CrossRef] [PubMed]
- Hua, F.; Tang, H.; Wang, J.; Prunty, M.C.; Hua, X.; Sayeed, I.; Stein, D.G. Tak-242, an antagonist for toll-like receptor 4, protects against acute cerebral ischemia/reperfusion injury in mice. J. Cereb. Blood Flow Metab. 2015, 35, 536–542. [Google Scholar] [CrossRef] [PubMed]
- Sha, T.; Sunamoto, M.; Kitazaki, T.; Sato, J.; Ii, M.; Iizawa, Y. Therapeutic effects of tak-242, a novel selective toll-like receptor 4 signal transduction inhibitor, in mouse endotoxin shock model. Eur. J. Pharmacol. 2007, 571, 231–239. [Google Scholar] [CrossRef]
- Shirey, K.A.; Lai, W.; Scott, A.J.; Lipsky, M.; Mistry, P.; Pletneva, L.M.; Karp, C.L.; McAlees, J.; Gioannini, T.L.; Weiss, J.; et al. The tlr4 antagonist eritoran protects mice from lethal influenza infection. Nature 2013, 497, 498–502. [Google Scholar] [CrossRef]
- Tripathi, S.; White, M.R.; Hartshorn, K.L. The amazing innate immune response to influenza a virus infection. Innate Immun. 2015, 21, 73–98. [Google Scholar] [CrossRef]
- Sivanantham, A.; Pattarayan, D.; Rajasekar, N.; Kannan, A.; Loganathan, L.; Bethunaickan, R.; Mahapatra, S.K.; Palanichamy, R.; Muthusamy, K.; Rajasekaran, S. Tannic acid prevents macrophage-induced pro-fibrotic response in lung epithelial cells via suppressing tlr4-mediated macrophage polarization. Inflamm. Res. 2019, 68, 1011–1024. [Google Scholar] [CrossRef]
- Grassin-Delyle, S.; Abrial, C.; Salvator, H.; Brollo, M.; Naline, E.; Devillier, P. The role of toll-like receptors in the production of cytokines by human lung macrophages. J. Innate Immun. 2020, 12, 63–73. [Google Scholar] [CrossRef]
- Wang, D.; He, S.; Liu, B.; Liu, C. Mir-27-3p regulates tlr2/4-dependent mouse alveolar macrophage activation by targetting pparγ. Clin. Sci. 2018, 132, 943–958. [Google Scholar] [CrossRef]
- Vergadi, E.; Ieronymaki, E.; Lyroni, K.; Vaporidi, K.; Tsatsanis, C. Akt signaling pathway in macrophage activation and m1/m2 polarization. J. Immunol. 2017, 198, 1006–1014. [Google Scholar] [CrossRef] [PubMed]
- Troutman, T.D.; Bazan, J.F.; Pasare, C. Toll-like receptors, signaling adapters and regulation of the pro-inflammatory response by pi3k. Cell Cycle 2012, 11, 3559–3567. [Google Scholar] [CrossRef] [PubMed]
- Covarrubias, A.J.; Aksoylar, H.I.; Horng, T. Control of macrophage metabolism and activation by mtor and akt signaling. Semin. Immunol. 2015, 27, 286–296. [Google Scholar] [CrossRef] [PubMed]
- Cai, J.; Huang, L.; Tang, H.; Xu, H.; Wang, L.; Zheng, M.; Yu, H.; Liu, H. Macrophage migration inhibitory factor of thelazia callipaeda induces m2-like macrophage polarization through tlr4-mediated activation of the pi3k-akt pathway. FASEB J. 2021, 35, e21866. [Google Scholar] [CrossRef]
- Lu, J.; Xie, L.; Liu, C.; Zhang, Q.; Sun, S. Pten/pi3k/akt regulates macrophage polarization in emphysematous mice. Scand. J. Immunol. 2017, 85, 395–405. [Google Scholar] [CrossRef]
- Halstead, E.S.; Umstead, T.M.; Davies, M.L.; Kawasawa, Y.I.; Silveyra, P.; Howyrlak, J.; Yang, L.; Guo, W.; Hu, S.; Hewage, E.K.; et al. Gm-csf overexpression after influenza a virus infection prevents mortality and moderates m1-like airway monocyte/macrophage polarization. Respir. Res. 2018, 19, 3. [Google Scholar] [CrossRef]
- Akbarpour, M.; Lecuona, E.; Chiu, S.; Wu, Q.; Querrey, M.; Fernandez, R.; Nunez-Santana, F.L.; Sun, H.; Ravi, S.; Kurihara, C.; et al. Residual endotoxin induces primary graft dysfunction through ischemia-reperfusion-primed alveolar macrophages. J. Clin. Investig. 2020, 130, 4456–4469. [Google Scholar] [CrossRef]
- Garcia-Castillo, V.; Tomokiyo, M.; Raya Tonetti, F.; Islam, M.A.; Takahashi, H.; Kitazawa, H.; Villena, J. Alveolar macrophages are key players in the modulation of the respiratory antiviral immunity induced by orally administered lacticaseibacillus rhamnosus crl1505. Front. Immunol. 2020, 11, 568636. [Google Scholar] [CrossRef]
- Clua, P.; Tomokiyo, M.; Raya Tonetti, F.; Islam, M.A.; García Castillo, V.; Marcial, G.; Salva, S.; Alvarez, S.; Takahashi, H.; Kurata, S.; et al. The role of alveolar macrophages in the improved protection against respiratory syncytial virus and pneumococcal superinfection induced by the peptidoglycan of lactobacillus rhamnosus crl1505. Cells 2020, 9, 1653. [Google Scholar] [CrossRef]








Disclaimer/Publisher’s Note: The statements, opinions and data contained in all publications are solely those of the individual author(s) and contributor(s) and not of MDPI and/or the editor(s). MDPI and/or the editor(s) disclaim responsibility for any injury to people or property resulting from any ideas, methods, instructions or products referred to in the content. |
© 2023 by the authors. Licensee MDPI, Basel, Switzerland. This article is an open access article distributed under the terms and conditions of the Creative Commons Attribution (CC BY) license (https://creativecommons.org/licenses/by/4.0/).
Share and Cite
Sun, Y.; Yao, Z.; Long, M.; Zhang, Y.; Huang, K.; Li, L. Alveolar Macrophages Participate in the Promotion of Influenza Virus Infection by Aflatoxin B1 at an Early Stage. Toxins 2023, 15, 67. https://doi.org/10.3390/toxins15010067
Sun Y, Yao Z, Long M, Zhang Y, Huang K, Li L. Alveolar Macrophages Participate in the Promotion of Influenza Virus Infection by Aflatoxin B1 at an Early Stage. Toxins. 2023; 15(1):67. https://doi.org/10.3390/toxins15010067
Chicago/Turabian StyleSun, Yuhang, Zhaoran Yao, Miao Long, Ying Zhang, Kehe Huang, and Lin Li. 2023. "Alveolar Macrophages Participate in the Promotion of Influenza Virus Infection by Aflatoxin B1 at an Early Stage" Toxins 15, no. 1: 67. https://doi.org/10.3390/toxins15010067
APA StyleSun, Y., Yao, Z., Long, M., Zhang, Y., Huang, K., & Li, L. (2023). Alveolar Macrophages Participate in the Promotion of Influenza Virus Infection by Aflatoxin B1 at an Early Stage. Toxins, 15(1), 67. https://doi.org/10.3390/toxins15010067

