Evaluation of Acute and Subacute Toxicity and LC-MS/MS Compositional Alkaloid Determination of the Hydroethanolic Extract of Dysphania ambrosioides (L.) Mosyakin and Clemants Flowers
Abstract
:1. Introduction
2. Results
2.1. Phytochemical Analysis
2.2. ADME Analysis and Toxicity Prediction
2.3. Acute Toxicity of DAHE in Mice
2.4. Subacute Toxicity
2.4.1. Body Weight, Food Intake, and Water Consumption
2.4.2. Organ Weight
2.4.3. Biochemical Parameters
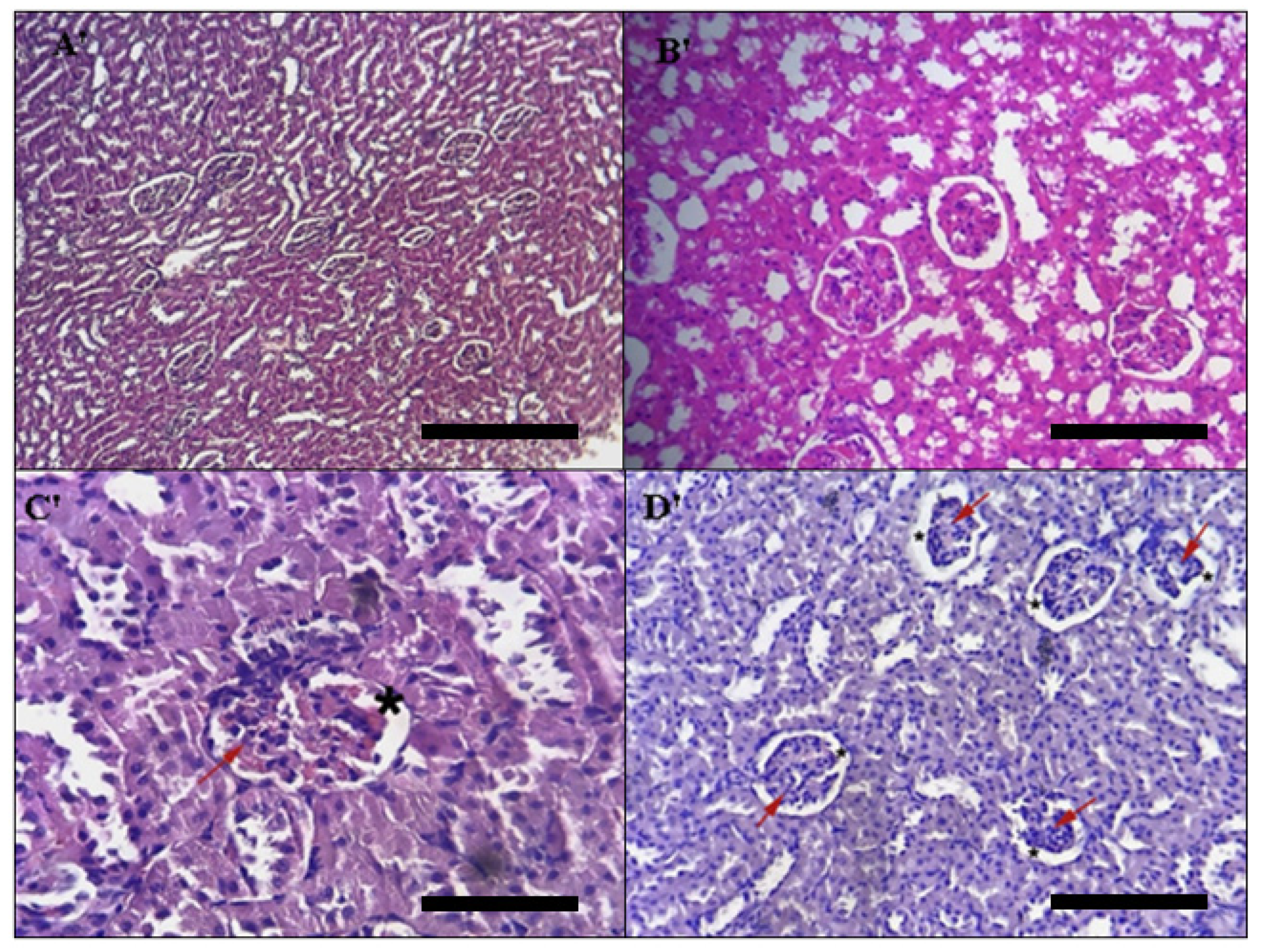
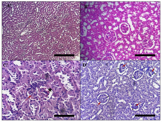
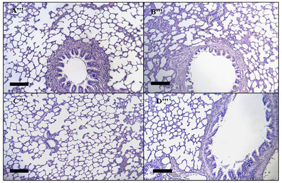
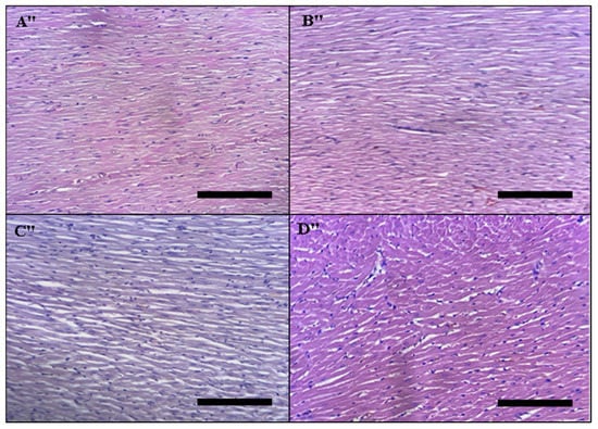
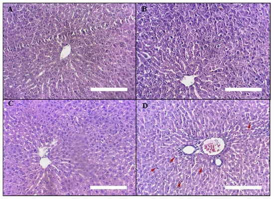
2.4.4. Histopathological Changes
Liver Histopathology
Kidney Histopathology
Histopathology of the Heart
Lung Histopathology
3. Discussion
4. Materials and Methods
4.1. Plant Material and Preparation of the Hydroethanolic Extract of D. ambrosioides
4.2. LC-MS/MS Analysis of Hydroethanolic Extract
4.3. Pharmacokinetic Parameters and Toxicity Prediction
4.4. Experimental Animals
4.5. Acute Toxicity Studies in Mice
4.6. Subchronic Toxicity
4.6.1. Treatments
4.6.2. Serum Biochemistry
4.6.3. Histopathological Examination of the Organs
4.7. Statistical Analysis
5. Conclusions
Supplementary Materials
Author Contributions
Funding
Institutional Review Board Statement
Informed Consent Statement
Data Availability Statement
Acknowledgments
Conflicts of Interest
References
- Altemimi, A.; Lakhssassi, N.; Baharlouei, A.; Watson, D.G.; Lightfoot, D.A. Phytochemicals: Extraction, Isolation, and Identification of Bioactive Compounds from Plant Extracts. Plants 2017, 6, 42. [Google Scholar] [CrossRef]
- Christaki, E.; Bonos, E.; Giannenas, I.; Florou-Paneri, P. Aromatic plants as a source of bioactive compounds. Agriculture 2012, 2, 228–243. [Google Scholar] [CrossRef] [Green Version]
- Peigneur, S.; Tytgat, J. Toxins in drug discovery and pharmacology. Toxins 2018, 10, 126. [Google Scholar] [CrossRef] [Green Version]
- Belakhdar, J. La Pharmacopée Marocaine Traditionnelle. Medecine Arabe Ancienne et Savoirs Populaires; LE FENNEC EDIT: Casablanca, Morocco, 1997. [Google Scholar]
- Jouad, H.; Haloui, M.; Rhiouani, H.; ElHilaly, J.; Eddouks, M. Ethnobotanical survey of medicinal plants used for the treatment of diabetes, cardiac and renal diseases in the North centre region of Morocco (Fez—Boulemane). J. Ethnopharmacol. 2001, 77, 175–182. [Google Scholar] [CrossRef]
- Eddouks, M.; Ajebli, M.; Hebi, M. Ethnopharmacological survey of medicinal plants used in Daraa-Tafilalet region (Province of Errachidia), Morocco. J. Ethnopharmacol. 2017, 198, 516–530. [Google Scholar] [CrossRef] [PubMed]
- Dias, D.A.; Urban, S.; Roessner, U. A historical overview of natural products in drug discovery. Metabolites 2012, 2, 303–336. [Google Scholar] [CrossRef] [Green Version]
- Ugwah-Oguejiofor, C.J.; Okoli, C.O.; Ugwah, M.O.; Umaru, M.L.; Ogbulie, C.S.; Mshelia, H.E.; Umar, M.; Njan, A.A. Acute and sub-acute toxicity of aqueous extract of aerial parts of Caralluma dalzielii NE Brown in mice and rats. Heliyon 2019, 5, e01179. [Google Scholar] [CrossRef] [Green Version]
- Asante-Duah, D.K. Public Health Risk Assessment for Human Exposure to Chemicals; Springer: Berlin/Heidelberg, Germany, 2002; Volume 6. [Google Scholar]
- Ogunleye, G.S.; Fagbohun, O.F.; Babalola, O.O. Chenopodium ambrosioides var. ambrosioides leaf extracts possess regenerative and ameliorative effects against mercury-induced hepatotoxicity and nephrotoxicity. Ind. Crops Prod. 2020, 154, 112723. [Google Scholar] [CrossRef]
- Bencheikh, N.; Elbouzidi, A.; Kharchoufa, L.; Ouassou, H.; Alami Merrouni, I.; Mechchate, H.; Es-Safi, I.; Hano, C.; Addi, M.; Bouhrim, M. Inventory of Medicinal Plants Used Traditionally to Manage Kidney Diseases in North-Eastern Morocco: Ethnobotanical Fieldwork and Pharmacological Evidence. Plants 2021, 10, 1966. [Google Scholar] [CrossRef]
- Fatiha, B.A.; Ouafae, B.; Souad, S.; Fatima, E.H.; Allal, D.; Lahcen, Z. Ethnobotany Study of Medicinal Plants Used in the Treatment of Respiratory Diseases in the Middle Region of Oum Rbai. Int. J. Environ. Agric. Biotechnol. 2017, 2015, 238815. [Google Scholar] [CrossRef]
- Elbouzidi, A.; Bencheikh, N.; Seddoqi, S.; Bouhrim, M.; Bouramdane, Y.; Addi, M. Investigation of the Allelopathic Effect of Matricaria chamomilla L. Parts’ Aqueous Extracts on Germination and Seedling Growth of Two Moroccan Varieties of Durum Wheat. Int. J. Agron. 2021, 2021, 4451181. [Google Scholar] [CrossRef]
- Fakchich, J.; Elachouri, M. Ethnobotanical survey of medicinal plants used by people in Oriental Morocco to manage various ailments. J. Ethnopharmacol. 2014, 154, 76–87. [Google Scholar] [CrossRef]
- Kokanova-Nedialkova, Z.; Nedialkov, P.; Nikolov, S. The genus Chenopodium: Phytochemistry, ethnopharmacology and pharmacology. Pharmacogn. Rev. 2009, 3, 280. [Google Scholar]
- Kandsi, F.; Conte, R.; Marghich, M.; Lafdil, F.Z.; Alajmi, M.F.; Bouhrim, M.; Mechchate, H.; Hano, C.; Aziz, M.; Gseyra, N. Phytochemical Analysis, Antispasmodic, Myorelaxant, and Antioxidant Effect of Dysphania ambrosioides (L.) Mosyakin and Clemants Flower Hydroethanolic Extracts and Its Chloroform and Ethyl Acetate Fractions. Molecules 2021, 26, 7300. [Google Scholar] [CrossRef]
- Carrillo-López, L.M.; Soto-Hernández, R.M.; Zavaleta-Mancera, H.A.; Vilchis-Néstor, A.R. Study of the performance of the organic extracts of Chenopodium ambrosioides for Ag nanoparticle synthesis. J. Nanomater. 2016, 2016, 4714162. [Google Scholar] [CrossRef] [Green Version]
- Boutkhil, S.; El Idrissi, M.; Amechrouq, A.; Chbicheb, A.; Chakir, S.; El Badaoui, K. Chemical composition and antimicrobial activity of crude, aqueous, ethanol extracts and essential oils of Dysphania ambrosioides (L.) Mosyakin & Clemants. Acta Bot. Gall. 2009, 156, 201–209. [Google Scholar]
- Kandsi, F.; Elbouzidi, A.; Lafdil, F.Z.; Meskali, N.; Azghar, A.; Addi, M.; Hano, C.; Maleb, A.; Gseyra, N. Antibacterial and Antioxidant Activity of Dysphania ambrosioides (L.) Mosyakin and Clemants Essential Oils: Experimental and Computational Approaches. Antibiotics 2022, 11, 482. [Google Scholar] [CrossRef]
- Arena, J.S.; Omarini, A.B.; Zunino, M.P.; Peschiutta, M.L.; Defagó, M.T.; Zygadlo, J.A. Essential oils from Dysphania ambrosioides and Tagetes minuta enhance the toxicity of a conventional insecticide against Alphitobius diaperinus. Ind. Crops Prod. 2018, 122, 190–194. [Google Scholar] [CrossRef]
- Kumar, G.; Karthik, L.; Rao, K.V.B. A review on pharmacological and phytochemical properties of Zingiber officinale Roscoe (Zingiberaceae). J. Pharm. Res. 2011, 4, 2963–2966. [Google Scholar]
- Speisky, H.; Rocco, C.; Carrasco, C.; Lissi, E.A.; López-Alarcón, C. Antioxidant screening of medicinal herbal teas. Phytother. Res. Int. J. Devoted Pharmacol. Toxicol. Eval. Nat. Prod. Deriv. 2006, 20, 462–467. [Google Scholar] [CrossRef]
- Ibironke, G.F.; Ajiboye, K.I. Studies on the anti-inflammatory and analgesic properties of Chenopodium ambrosioides leaf extract in rats. Int. J. Pharmacol. 2007, 3, 111–115. [Google Scholar] [CrossRef] [Green Version]
- Grassi, L.T. Chenopodium ambrosioides L. Erva de Santa Maria (Amaranthaceae): Estudo do Potencial Anti-Inflamatório, Antinociceptivo e Cicatrizante; Universidade do Vale do Itajaí: Itajaí, Brazil, 2011. [Google Scholar]
- Shah, H.; Khan, A.A. Phytochemical characterisation of an important medicinal plant, Chenopodium ambrosioides Linn. Nat. Prod. Res. 2017, 31, 2321–2324. [Google Scholar] [CrossRef] [PubMed]
- Carpinella, M.C.; Andrione, D.G.; Ruiz, G.; Palacios, S.M. Screening for acetylcholinesterase inhibitory activity in plant extracts from Argentina. Phytother. Res. Int. J. Devoted Pharmacol. Toxicol. Eval. Nat. Prod. Deriv. 2010, 24, 259–263. [Google Scholar] [CrossRef] [PubMed]
- Abate, G.; Zhang, L.; Pucci, M.; Morbini, G.; Mac Sweeney, E.; Maccarinelli, G.; Ribaudo, G.; Gianoncelli, A.; Uberti, D.; Memo, M.; et al. Phytochemical Analysis and Anti-Inflammatory Activity of Different Ethanolic Phyto-Extracts of Artemisia annua L. Biomolecules 2021, 11, 975. [Google Scholar] [CrossRef]
- Fatima, H.; Shahid, M.; Pruitt, C.; Pung, M.A.; Mills, P.J.; Riaz, M.; Ashraf, R. Chemical Fingerprinting, Antioxidant, and Anti-Inflammatory Potential of Hydroethanolic Extract of Trigonella foenum-graecum. Antioxidants 2022, 11, 364. [Google Scholar] [CrossRef]
- El Tahchy, A.; Boisbrun, M.; Ptak, A.; Dupire, F.; Chrétien, F.; Henry, M.; Chapleur, Y.; Laurain-Mattar, D. New method for the study of Amaryllidaceae alkaloid biosynthesis using biotransformation of deuterium-labeled precursor in tissue cultures. Acta Biochim. Pol. 2010, 57, 75–82. [Google Scholar] [CrossRef]
- Mroczek, T. Highly efficient, selective and sensitive molecular screening of acetylcholinesterase inhibitors of natural origin by solid-phase extraction-liquid chromatography/electrospray ionisation-octopole-orthogonal acceleration time-of-flight-mass spectrometry and novel thin-layer chromatography-based bioautography. J. Chromatogr. A 2009, 1216, 2519–2528. [Google Scholar] [CrossRef]
- Tarakemeh, A.; Azizi, M.; Rowshan, V.; Salehi, H.; Spina, R.; Dupire, F.; Arouie, H.; Laurain-Mattar, D. Screening of Amaryllidaceae alkaloids in bulbs and tissue cultures of Narcissus papyraceus and four varieties of N. tazetta. J. Pharm. Biomed. Anal. 2019, 172, 230–237. [Google Scholar] [CrossRef]
- Vassiliadis, S.; Elkins, A.C.; Reddy, P.; Guthridge, K.M.; Spangenberg, G.C.; Rochfort, S.J. A simple Lc-Ms method for the quantitation of alkaloids in endophyte-infected perennial ryegrass. Toxins 2019, 11, 649. [Google Scholar] [CrossRef] [Green Version]
- Durix, A.; Jaussaud, P.; Garcia, P.; Bonnaire, Y.; Bony, S. Analysis of ergovaline in milk using high-performance liquid chromatography with fluorimetric detection. J. Chromatogr. B Biomed. Sci. Appl. 1999, 729, 255–263. [Google Scholar] [CrossRef]
- Lipinski, C.A.; Lombardo, F.; Dominy, B.W.; Feeney, P.J. Experimental and computational approaches to estimate solubility and permeability in drug discovery and development settings. Adv. Drug Deliv. Rev. 1997, 23, 3–25. [Google Scholar] [CrossRef]
- Daina, A.; Michielin, O.; Zoete, V. SwissADME: A free web tool to evaluate pharmacokinetics, drug-likeness and medicinal chemistry friendliness of small molecules. Sci. Rep. 2017, 7, 42717. [Google Scholar] [CrossRef] [PubMed] [Green Version]
- Hubatsch, I.; Ragnarsson, E.G.E.; Artursson, P. Determination of drug permeability and prediction of drug absorption in Caco-2 monolayers. Nat. Protoc. 2007, 2, 2111–2119. [Google Scholar] [CrossRef] [PubMed]
- Wienkers, L.C.; Heath, T.G. Predicting in vivo drug interactions from in vitro drug discovery data. Nat. Rev. Drug Discov. 2005, 4, 825–833. [Google Scholar] [CrossRef]
- Berezovskaya, I.V. Classification of substances with respect to acute toxicity for parenteral administration. Pharm. Chem. J. 2003, 37, 139–141. [Google Scholar] [CrossRef]
- Malone, M.H.; Robichaud, R.C. A Hippocratic screen for pure or crude drug materials. Lloydia 1962, 25, 320. [Google Scholar]
- Teo, S.; Stirling, D.; Thomas, S.; Hoberman, A.; Kiorpes, A.; Khetani, V. A 90-day oral gavage toxicity study of d-methylphenidate and d, l-methylphenidate in Sprague–Dawley rats. Toxicology 2002, 179, 183–196. [Google Scholar] [CrossRef]
- Wang, T.-C.; Su, Y.-P.; Hsu, T.-Y.; Yang, C.-C.; Lin, C.-C. 28-Day oral toxicity study of the aqueous extract from spider brake (Pteris multifida Poiret) in rats. Food Chem. Toxicol. 2007, 45, 1757–1763. [Google Scholar] [CrossRef]
- Dramane, P.; Adama, H.; JothamYhi-pênê, N.; Samson, G.; Ernest, S.N.; Kpemissi, M. Protective effect of bioactive fractions of C. Dalzielii against weight gain in mice feed with high fat-diet. Int. J. Recent Sci. Res. 2019, 10, 34144–34153. [Google Scholar]
- Sureshkumar, D.; Begum, S.; Johannah, N.M.; Maliakel, B.; Krishnakumar, I.M. Toxicological evaluation of a saponin-rich standardized extract of fenugreek seeds (FenuSMART®): Acute, sub-chronic and genotoxicity studies. Toxicol. Rep. 2018, 5, 1060–1068. [Google Scholar] [CrossRef]
- Bencheikh, N.; Bouhrim, M.; Kharchoufa, L.; Choukri, M.; Bnouham, M.; Elachouri, M. Protective effect of Zizyphus lotus L.(Desf.) fruit against CCl4-induced acute liver injury in rat. Evid.-Based Complement. Altern. Med. 2019, 2019, 6161593. [Google Scholar] [CrossRef] [PubMed] [Green Version]
- Yun, J.-W.; Kwon, E.; Kim, Y.-S.; Kim, S.-H.; You, J.-R.; Kim, H.-C.; Park, J.-S.; Che, J.-H.; Lee, S.-K.; Jang, J.-J. Assessment of acute, 14-day, and 13-week repeated oral dose toxicity of Tiglium seed extract in rats. BMC Complement. Altern. Med. 2018, 18, 251. [Google Scholar] [CrossRef]
- Pereira, W.S.; Ribeiro, B.P.; Sousa, A.I.P.; Serra, I.C.P.B.; Mattar, N.S.; Fortes, T.S.; Reis, A.S.; Silva, L.A.; Barroqueiro, E.S.B.; Guerra, R.N.M. Evaluation of the subchronic toxicity of oral treatment with Chenopodium ambrosioides in mice. J. Ethnopharmacol. 2010, 127, 602–605. [Google Scholar] [CrossRef] [PubMed]
- Shoaib, M.; Shah, S.W.A.; Ali, N.; Shah, I.; Ullah, S.; Ghias, M.; Tahir, M.N.; Gul, F.; Akhtar, S.; Ullah, A. Scientific investigation of crude alkaloids from medicinal plants for the management of pain. BMC Complement. Altern. Med. 2016, 16, 178. [Google Scholar] [CrossRef] [PubMed] [Green Version]
- Tallini, L.R.; Torras-Claveria, L.; Borges, W.D.S.; Kaiser, M.; Viladomat, F.; Zuanazzi, J.A.S.; Bastida, J. N-oxide alkaloids from Crinum amabile (Amaryllidaceae). Molecules 2018, 23, 1277. [Google Scholar] [CrossRef] [Green Version]
- Kirwan, J.A.; Weber, R.J.M.; Broadhurst, D.I.; Viant, M.R. Direct infusion mass spectrometry metabolomics dataset: A benchmark for data processing and quality control. Sci. Data 2014, 1, 140012. [Google Scholar] [CrossRef] [Green Version]
- Looße, C.; Galozzi, S.; Debor, L.; Julsing, M.K.; Bühler, B.; Schmid, A.; Barkovits, K.; Müller, T.; Marcus, K. Direct infusion-SIM as fast and robust method for absolute protein quantification in complex samples. EuPA Open Proteom. 2015, 7, 20–26. [Google Scholar] [CrossRef]
- Badavath, V.N.; Sinha, B.N.; Jayaprakash, V. Design, in-silico docking and predictive ADME properties of novel pyrazoline derivatives with selective human MAO inhibitory activity. Int. J. Pharm. Pharm. Sci. 2015, 7, 277–282. [Google Scholar]
- OECD. Guideline for the Testing of Chemicals. Acute Oral Toxicity e Acute Toxic Class Method: Test No-423; OECD: Paris, France, 2001. [Google Scholar]
- El Allaoui, A.; Filali, F.R.; Oumokhtar, B.; Ibijbijen, J. Evaluation de la toxicité aigue du colorant (Rhodamine B) utilisé dans la fabrication des saucisses traditionnelles dans la ville de Meknès au Maroc. La Sci. Liberté 2011, 3, 1–15. [Google Scholar]












| N° | Molecules | Molecular Formula | Selected [M-H]+ | Literature [M-H]+ | RT (min) | Abundance |
|---|---|---|---|---|---|---|
| 1 | Trisphaeridine | C14H9NO2 | 223.000 | 223.000 [27] | 0.338 | ++ |
| 2 | Galanthamine | C17H21NO3 | 286.000 | 288.159 [27] 287.000 [28] | 0.320 | ++ |
| 3 | Crinine | C16H17NO3 | 271.000 | 271.000 [27] | 0.327 | ++ |
| 4 | Demethylmaritidine | C16H19NO3 | 273.000 | 273.000 [27] 272.900 [29] | 0.323 | ++ |
| 5 | Anhydrolycorine | C16H13NO2 | 250.000 | 251.000 [27] | 0.337 | ++ |
| 6 | Nor-galanthamine | C16H19NO3 | 272.000 | 274.143 | 0.326 | ++ |
| 7 | N-formylnorgalanthamine | C17H19NO3 | 301.000 | 301.000 [27] | 0.321 | +++ |
| 8 | Peramine | C12H17N5O | 248.200 | 248.150 [30] | 0.336 | + |
| 9 | Ergovaline | C29H35N5O5 | 543.300 | 534.000 [31] | 0.323 | + |
| Compound No. | 1 | 2 | 3 | 4 | 5 | 6 | 7 | 8 | 9 | |
|---|---|---|---|---|---|---|---|---|---|---|
| DrugLikeness | Lipinski’s Rule of Five | Yes | Yes | Yes | Yes | Yes | Yes | Yes | Yes | Yes |
| Bioavailability Score (%) | 0.55 | 0.55 | 0.55 | 0.55 | 0.55 | 0.55 | 0.55 | 0.55 | 0.55 | |
| Absorption | Water Solubility | −3.91 | −2.93 | −2.82 | −2.64 | −3.81 | −2.55 | −3.17 | −1.11 | −4.59 |
| Caco2 Permeability | 1.09 | 1.59 | 1.81 | 1.16 | 1.76 | 1.17 | 1.24 | 0.75 | 0.11 | |
| Intestinal Absorption (Human) (%) | 98.97 | 94.99 | 93.80 | 94.58 | 98.05 | 94.77 | 97 | 77.02 | 68.16 | |
| Skin Permeability | −5.33 | −6.75 | −6.74 | −6.90 | −5.64 | −6.99 | −6.92 | −8.23 | −7.83 | |
| P-glycoprotein Substrate | Yes | Yes | Yes | Yes | Yes | Yes | Yes | No | Yes | |
| P-glycoprotein Inhibitor | No | No | No | No | No | No | No | No | Yes | |
| P-glycoprotein Inhibitor | No | No | No | No | No | No | No | No | No | |
| Distribution | VDss(human) | −0.02 | 0.89 | 0.88 | 1.05 | 0.66 | 0.88 | 0.14 | 0.55 | 0.91 |
| BBBpermeability | 0.15 | −0.08 | −0.02 | −0.15 | 0.25 | −0.09 | −0.32 | −0.75 | −0.64 | |
| CNS permeability | −1.56 | −2.51 | −2.47 | −2.92 | −1.57 | −2.90 | −2.93 | −3.36 | −2.89 | |
| Metabolism | CYP2D6 Substrate | No | No | Yes | Yes | No | No | No | No | No |
| CYP3A4 Substrate | Yes | Yes | Yes | Yes | Yes | Yes | Yes | No | Yes | |
| CYP2D6 Inhibitor | Yes | Yes | Yes | Yes | No | Yes | Yes | No | Yes | |
| CYP3A4 Inhibitor | Yes | No | No | No | No | No | No | No | No | |
| Excretion | Total Clearance | 0.21 | 0.99 | 1.12 | 1.07 | 0.14 | 1.09 | 1.02 | 0.58 | 0.47 |
| Renal OCT2 Substrate | No | Yes | No | No | No | No | No | No | No | |
| Toxicity | AMES Toxicity | Yes | No | Yes | No | Yes | No | No | Yes | No |
| Hepatotoxicity | Yes | Yes | Yes | No | No | Yes | No | No | No | |
| hERG I Inhibitor | No | No | No | No | No | No | No | No | No | |
| hERG II inhibitor | No | Yes | No | No | No | No | No | No | Yes | |
| Skin Sensitization | No | No | No | No | No | No | No | No | No | |
| Maximal Tolerated Dose | 0.29 | −0.42 | −0.56 | −0.77 | −0.37 | −0.33 | −0.49 | −0.16 | −0.84 | |
| Oral Rat Acute Toxicity (LD50) | 2.61 | 2.72 | 2.47 | 2.75 | 2.25 | 2.64 | 3.01 | 2.54 | 3.17 | |
| Oral Rat Chronic Toxicity (LOAEL) | 2.03 | 0.96 | 1.2 | 1.45 | 1.58 | 1.25 | 0.69 | 2.31 | 2.81 | |
| Minnow Toxicity | −0.32 | 1.67 | 2.24 | 2.09 | 0.42 | 2.09 | 2.08 | 1.89 | 3.37 | |
| T. pyriformis toxicity | 0.35 | 0.78 | 0.76 | 0.28 | 1.24 | 0.39 | 0.45 | 0.27 | 0.28 | |
| DAHE Dose (g/kg) | Mortality | Signs of Toxicity |
|---|---|---|
| Control (none) | 0/6 | Normal |
| 1 | 0/6 | Normal |
| 2 | 0/6 | Normal |
| 3 | 1/6 | Hypoactivity/anorexia |
| 5 | 3/6 | Hypoactivity/anorexia |
| 7 | 6/6 | Death |
| Control | DAHE (5 mg/kg) | DAHE (50 mg/kg) | DAHE (500 mg/kg) | |
|---|---|---|---|---|
| Food intake (g) | 60.35 ± 3.58 | 57.22 ± 5.32 ns | 48.63 ± 4.86 ns | 47.47 ± 3.01 ns |
| Water intake (mL) | 30.00 ± 3.65 | 31.67 ± 4.01 ns | 34.33 ± 6.45 ns | 43.33 ± 4.94 ns |
| Urinary volume (mL) | 5.20 ± 0.37 | 5.66 ± 0.84 ns | 6.16 ± 1.24 ns | 6.33 ± 0.71 ns |
| Parameter | Control | DAHE (5 mg/kg) | DAHE (50 mg/kg) | DAHE (500 mg/kg) | |
|---|---|---|---|---|---|
| Absolute weight of organs | Liver (g) | 7.34 ± 0.46 | 7.41 ± 0.85 ns | 7.10 ± 0.99 ns | 6.72 ± 1.30 ns |
| Kidney (g) | 0.60 ± 0.07 | 0.62 ± 0.10 ns | 0.56 ± 0.12 ns | 0.55 ± 0.12 ns | |
| Heart (g) | 0.81 ± 0.10 | 0.75 ± 0.09 ns | 0.69 ± 0.07 ns | 0.71 ± 0.16 ns | |
| Lung (g) | 1.23 ± 0.20 | 1.22 ± 0.09 ns | 1.21 ± 0.24 ns | 1.11 ± 0.13 ns | |
| Relative weight of organs | Body weight (g) | 220.6 ± 5.06 | 207.16 ± 2.04 ns | 188.33 ± 3.03 ns | 181.88 ± 1.09 ns |
| Liver (g) | 3.33 ± 0.18 | 3.58 ± 0.41 ns | 3.77 ± 0.53 ns | 3.70 ± 0.71 ns | |
| Kidney (g) | 0.27 ± 0.03 | 0.30 ± 0.05 ns | 0.29 ± 0.06 ns | 0.30 ± 0.06 ns | |
| Heart (g) | 0.37 ± 0.04 | 0.36 ± 0.04 ns | 0.36 ± 0.04 ns | 0.39 ± 0.09 ns | |
| Lung (g) | 0.56 ± 0.09 | 0.59 ± 0.05 ns | 0.64 ± 0.13 ns | 0.61 ± 0.07 ns |
Publisher’s Note: MDPI stays neutral with regard to jurisdictional claims in published maps and institutional affiliations. |
© 2022 by the authors. Licensee MDPI, Basel, Switzerland. This article is an open access article distributed under the terms and conditions of the Creative Commons Attribution (CC BY) license (https://creativecommons.org/licenses/by/4.0/).
Share and Cite
Kandsi, F.; Lafdil, F.Z.; Elbouzidi, A.; Bouknana, S.; Miry, A.; Addi, M.; Conte, R.; Hano, C.; Gseyra, N. Evaluation of Acute and Subacute Toxicity and LC-MS/MS Compositional Alkaloid Determination of the Hydroethanolic Extract of Dysphania ambrosioides (L.) Mosyakin and Clemants Flowers. Toxins 2022, 14, 475. https://doi.org/10.3390/toxins14070475
Kandsi F, Lafdil FZ, Elbouzidi A, Bouknana S, Miry A, Addi M, Conte R, Hano C, Gseyra N. Evaluation of Acute and Subacute Toxicity and LC-MS/MS Compositional Alkaloid Determination of the Hydroethanolic Extract of Dysphania ambrosioides (L.) Mosyakin and Clemants Flowers. Toxins. 2022; 14(7):475. https://doi.org/10.3390/toxins14070475
Chicago/Turabian StyleKandsi, Fahd, Fatima Zahra Lafdil, Amine Elbouzidi, Saliha Bouknana, Achraf Miry, Mohamed Addi, Raffaele Conte, Christophe Hano, and Nadia Gseyra. 2022. "Evaluation of Acute and Subacute Toxicity and LC-MS/MS Compositional Alkaloid Determination of the Hydroethanolic Extract of Dysphania ambrosioides (L.) Mosyakin and Clemants Flowers" Toxins 14, no. 7: 475. https://doi.org/10.3390/toxins14070475
APA StyleKandsi, F., Lafdil, F. Z., Elbouzidi, A., Bouknana, S., Miry, A., Addi, M., Conte, R., Hano, C., & Gseyra, N. (2022). Evaluation of Acute and Subacute Toxicity and LC-MS/MS Compositional Alkaloid Determination of the Hydroethanolic Extract of Dysphania ambrosioides (L.) Mosyakin and Clemants Flowers. Toxins, 14(7), 475. https://doi.org/10.3390/toxins14070475

