Pore-Forming Cardiotoxin VVA2 (Volvatoxin A2) Variant I82E/L86K Is an Atypical Duplex-Specific Nuclease
Abstract
1. Introduction
2. Results
2.1. Purification and Characterization of VVA2 from Volvariella volvacea
2.2. VVA2 Has Endonuclease Activity to Convert Circular DNA from Supercoiled form (RF I) to Nicked (RF II) and Linear Form (RF III)
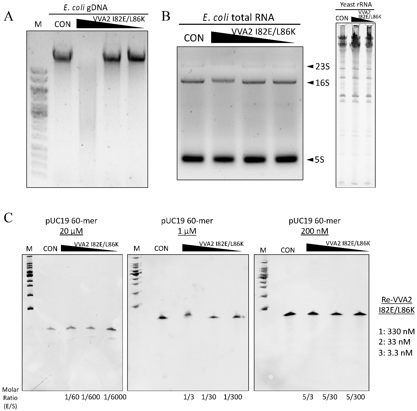
2.3. Re-VVA2 I82E/L86K Is a Duplex-Specific Nuclease with a Dependence on Mg2+ and Mn2+
2.4. Optimal Conditions (Time/pH/Temperature) of VVA2 as an Endonuclease
2.5. VVA2 Cleaves DNA Non-Specifically with Preference in dG-dC-Rich Regions
2.6. Structure-Function Study of VVA2 Variants
3. Conclusions and Discussion
4. Materials and Methods
4.1. Materials
4.2. Protein Purification of Volvatoxin A2 (VVA2) from Volvariella volvacea
4.3. Orbitrap MS Analysis of Intact VVA2 and Trypsin-Digested VVA2 Fragments
4.4. Cloning and Site-Directed Mutagenesis of VVA2
4.5. Heterogeneous Expression and Purification of Recombinant VVA2 Variants
4.6. Nuclease Activity Assays of VVA2 Variants
4.7. Mapping of Cleavage Sites of VVA2 Variants
4.8. Sequence Analysis and Docking of the DNA to VVA2
4.9. Agarose Gel Quantification
4.10. Metal Ion Binding Assay
Supplementary Materials
Author Contributions
Funding
Institutional Review Board Statement
Informed Consent Statement
Data Availability Statement
Acknowledgments
Conflicts of Interest
References
- Lin, J.Y.; Jeng, T.W.; Chen, C.C.; Shi, G.Y.; Tung, T.C. Isolation of a new cardiotoxic protein from the edible mushroom, Volvariella volvacea. Nature 1973, 246, 524–525. [Google Scholar] [CrossRef]
- Yang, Y.; Chang, L.; Wu, C. Studies on Volvatoxin I. Effect of Volcatoxin on the Electroencepha-logarm of Lightly Anesthetized Rat. Bull. Inst. Zool. Acad. Sin. 1980, 19, 31–39. [Google Scholar]
- Wu, P.T.; Lin, S.C.; Hsu, C.I.; Liaw, Y.C.; Lin, J.Y. Inhibitory effects of nontoxic protein volvatoxin A1 on pore-forming cardiotoxic protein volvatoxin A2 by interaction with amphipathic alpha-helix. FEBS J. 2006, 273, 3160–3171. [Google Scholar] [CrossRef]
- Fassold, E.; Slade, A.M.; Lin, J.Y.; Nayler, W.G. An effect of the cardiotoxic protein volvatoxin A on the function and structure of heart muscle cells. J. Mol. Cell. Cardiol. 1976, 8, 501–519. [Google Scholar] [CrossRef]
- Lin, J.Y.; Lin, Y.J.; Chen, C.C.; Wu, H.L.; Shi, G.Y.; Jeng, T.W. Cardiotoxic protein from edible mushrooms. Nature 1974, 252, 235–237. [Google Scholar] [CrossRef] [PubMed]
- Weng, Y.P.; Lin, Y.P.; Hsu, C.I.; Lin, J.Y. Functional domains of a pore-forming cardiotoxic protein, volvatoxin A2. J. Biol. Chem. 2004, 279, 6805–6814. [Google Scholar] [CrossRef]
- Lin, S.C.; Lo, Y.C.; Lin, J.Y.; Liaw, Y.C. Crystal structures and electron micrographs of fungal volvatoxin A2. J. Mol. Biol. 2004, 343, 477–491. [Google Scholar] [CrossRef]
- Yao, Q.Z.; Yu, M.M.; Ooi, L.S.; Ng, T.B.; Chang, S.T.; Sun, S.S.; Ooi, V.E. Isolation and Characterization of a Type 1 Ribosome-Inactivating Protein from Fruiting Bodies of the Edible Mushroom (Volvariella volvacea). J. Agric. Food Chem. 1998, 46, 788–792. [Google Scholar] [CrossRef]
- Qiu, X.; Zhang, H.; Yu, H.; Jiang, T.; Luo, Y. Duplex-specific nuclease-mediated bioanalysis. Trends Biotechnol. 2015, 33, 180–188. [Google Scholar] [CrossRef]
- Anisimova, V.E.; Shcheglov, A.S.; Bogdanova, E.A.; Rebrikov, D.V.; Nekrasov, A.N.; Barsova, E.V.; Shagin, D.A.; Lukyanov, S.A. Is crab duplex-specific nuclease a member of the Serratia family of non-specific nucleases? Gene 2008, 418, 41–48. [Google Scholar] [CrossRef]
- Anisimova, V.E.; Rebrikov, D.V.; Shagin, D.A.; Kozhemyako, V.B.; Menzorova, N.I.; Staroverov, D.B.; Ziganshin, R.; Vagner, L.L.; Rasskazov, V.A.; Lukyanov, S.A.; et al. Isolation, characterization and molecular cloning of duplex-specific nuclease from the hepatopancreas of the Kamchatka crab. BMC Biochem. 2008, 9, 14. [Google Scholar] [CrossRef] [PubMed]
- Al’tshuler, I.M.; Zhulidov, P.A.; Bogdanova, E.A.; Mudrik, N.N.; Shagin, D.A. Application of the duplex-specific nuclease preference method to the analysis of point mutations in human genes. Bioorg. Khim. 2005, 31, 627–636. [Google Scholar]
- Yi, H.; Cho, Y.J.; Won, S.; Lee, J.E.; Jin Yu, H.; Kim, S.; Schroth, G.P.; Luo, S.; Chun, J. Duplex-specific nuclease efficiently removes rRNA for prokaryotic RNA-seq. Nucleic Acids Res. 2011, 39, e140. [Google Scholar] [CrossRef]
- Lin, S.C.; Lin, J.Y.; Liaw, Y.C. Crystallization and preliminary x-ray analysis of volvatoxin A2 from Volvariella volvacea. Proteins 1996, 24, 141–142. [Google Scholar] [CrossRef]
- Rangarajan, E.S.; Shankar, V. Sugar non-specific endonucleases. FEMS Microbiol. Rev. 2001, 25, 583–613. [Google Scholar] [CrossRef]
- Chow, T.Y.; Fraser, M.J. Purification and properties of single strand DNA-binding endo-exonuclease of Neurospora crassa. J. Biol. Chem. 1983, 258, 12010–12018. [Google Scholar] [CrossRef]
- Desai, N.A.; Shankar, V. Single-strand-specific nucleases. FEMS Microbiol. Rev. 2003, 26, 457–491. [Google Scholar] [CrossRef]
- Brown, P.H.; Ho, T.H. Biochemical properties and hormonal regulation of barley nuclease. Eur. J. Biochem. 1987, 168, 357–364. [Google Scholar] [CrossRef]
- Chow, T.Y.; Resnick, M.A. Purification and characterization of an endo-exonuclease from Saccharomyces cerevisiae that is influenced by the RAD52 gene. J. Biol. Chem. 1987, 262, 17659–17667. [Google Scholar] [CrossRef]
- Meiss, G.; Friedhoff, P.; Hahn, M.; Gimadutdinow, O.; Pingoud, A. Sequence preferences in cleavage of dsDNA and ssDNA by the extracellular Serratia marcescens endonuclease. Biochemistry 1995, 34, 11979–11988. [Google Scholar] [CrossRef]
- Cote, J.; Renaud, J.; Ruiz-Carrillo, A. Recognition of (dG)n.(dC)n sequences by endonuclease G. Characterization of the calf thymus nuclease. J. Biol. Chem. 1989, 264, 3301–3310. [Google Scholar] [CrossRef]
- Ruiz-Carrillo, A.; Renaud, J. Endonuclease G: A (dG)n X (dC)n-specific DNase from higher eukaryotes. EMBO J. 1987, 6, 401–407. [Google Scholar] [CrossRef] [PubMed]
- Weir, A.F. Deoxyribonuclease I (EC 3.1.21.1) and II (EC 3.1.22.1). Methods Mol. Biol. 1993, 16, 7–16. [Google Scholar] [CrossRef]
- Basle, A.; Hewitt, L.; Koh, A.; Lamb, H.K.; Thompson, P.; Burgess, J.G.; Hall, M.J.; Hawkins, A.R.; Murray, H.; Lewis, R.J. Crystal structure of NucB, a biofilm-degrading endonuclease. Nucleic Acids Res. 2018, 46, 473–484. [Google Scholar] [CrossRef]
- Schafer, P.; Scholz, S.R.; Gimadutdinow, O.; Cymerman, I.A.; Bujnicki, J.M.; Ruiz-Carrillo, A.; Pingoud, A.; Meiss, G. Structural and functional characterization of mitochondrial EndoG, a sugar non-specific nuclease which plays an important role during apoptosis. J. Mol. Biol. 2004, 338, 217–228. [Google Scholar] [CrossRef]
- Zhulidov, P.A.; Bogdanova, E.A.; Shcheglov, A.S.; Vagner, L.L.; Khaspekov, G.L.; Kozhemyako, V.B.; Matz, M.V.; Meleshkevitch, E.; Moroz, L.L.; Lukyanov, S.A.; et al. Simple cDNA normalization using kamchatka crab duplex-specific nuclease. Nucleic Acids Res. 2004, 32, e37. [Google Scholar] [CrossRef] [PubMed]
- Nilsen, I.W.; Overbo, K.; Jensen Havdalen, L.; Elde, M.; Gjellesvik, D.R.; Lanes, O. The enzyme and the cDNA sequence of a thermolabile and double-strand specific DNase from Northern shrimps (Pandalus borealis). PLoS ONE 2010, 5, e10295. [Google Scholar] [CrossRef][Green Version]
- Shagin, D.A.; Rebrikov, D.V.; Kozhemyako, V.B.; Altshuler, I.M.; Shcheglov, A.S.; Zhulidov, P.A.; Bogdanova, E.A.; Staroverov, D.B.; Rasskazov, V.A.; Lukyanov, S. A novel method for SNP detection using a new duplex-specific nuclease from crab hepatopancreas. Genome Res. 2002, 12, 1935–1942. [Google Scholar] [CrossRef] [PubMed]
- Walker, J.M. The bicinchoninic acid (BCA) assay for protein quantitation. In The Protein Protocols Handbook; Springer: Berlin/Heidelberg, Germany, 2009; pp. 11–15. [Google Scholar]
- Rehman, H.M.; Cheung, W.L.; Wong, K.S.; Xie, M.; Luk, C.Y.; Wong, F.L.; Li, M.W.; Tsai, S.N.; To, W.T.; Chan, L.Y.; et al. High-Throughput Mass Spectrometric Analysis of the Whole Proteome and Secretome From Sinorhizobium fredii Strains CCBAU25509 and CCBAU45436. Front. Microbiol. 2019, 10, 2569. [Google Scholar] [CrossRef]
- Aiyar, A.; Xiang, Y.; Leis, J. Site-directed mutagenesis using overlap extension PCR. In Vitro Mutagenesis Protocols; Springer: Berlin/Heidelberg, Germany, 1996; pp. 177–191. [Google Scholar]
- Sambrook, J.; Russell, D.W. Purification of nucleic acids by extraction with phenol: Chloroform. CSH Protoc. 2006, 2006, pdb.prot4455. [Google Scholar] [CrossRef]
- He, F. E. coli genomic DNA extraction. Bio-Protocol 2011, 1, e97. [Google Scholar] [CrossRef]
- Lu, J.Q.; Shi, W.W.; Xiao, M.J.; Tang, Y.S.; Zheng, Y.T.; Shaw, P.C. Lyophyllin, a Mushroom Protein from the Peptidase M35 Superfamily Is an RNA N-Glycosidase. Int. J. Mol. Sci. 2021, 22, 11598. [Google Scholar] [CrossRef]
- Rio, D.C.; Ares, M.; Hannon, G.J.; Nilsen, T.W. Purification of RNA using TRIzol (TRI reagent). Cold Spring Harb. Protoc. 2010, 2010, pdb.prot5439. [Google Scholar] [CrossRef]
- Chaffin, D.O.; Rubens, C.E. Blue/white screening of recombinant plasmids in Gram-positive bacteria by interruption of alkaline phosphatase gene (phoZ) expression. Gene 1998, 219, 91–99. [Google Scholar] [CrossRef]
- Corpet, F. Multiple sequence alignment with hierarchical clustering. Nucleic Acids Res. 1988, 16, 10881–10890. [Google Scholar] [CrossRef]
- Robert, X.; Gouet, P. Deciphering key features in protein structures with the new ENDscript server. Nucleic Acids Res. 2014, 42, W320–W324. [Google Scholar] [CrossRef]
- Grosdidier, A.; Zoete, V.; Michielin, O. SwissDock, a protein-small molecule docking web service based on EADock DSS. Nucleic Acids Res. 2011, 39, W270–W277. [Google Scholar] [CrossRef]
- Zhu, C.X.; Roche, C.J.; Tse-Dinh, Y.C. Effect of Mg(II) binding on the structure and activity of Escherichia coli DNA topoisomerase I. J. Biol. Chem. 1997, 272, 16206–16210. [Google Scholar] [CrossRef]
- Bougie, I.; Charpentier, S.; Bisaillon, M. Characterization of the metal ion binding properties of the hepatitis C virus RNA polymerase. J. Biol. Chem. 2003, 278, 3868–3875. [Google Scholar] [CrossRef]








| Publisher’s Note: MDPI stays neutral with regard to jurisdictional claims in published maps and institutional affiliations. | 
© 2022 by the authors. Licensee MDPI, Basel, Switzerland. This article is an open access article distributed under the terms and conditions of the Creative Commons Attribution (CC BY) license (https://creativecommons.org/licenses/by/4.0/).
Share and Cite
Lu, J.-Q.; Shou, J.-W.; Lo, K.-C.; Tang, Y.-S.; Shi, W.-W.; Shaw, P.-C. Pore-Forming Cardiotoxin VVA2 (Volvatoxin A2) Variant I82E/L86K Is an Atypical Duplex-Specific Nuclease. Toxins 2022, 14, 392. https://doi.org/10.3390/toxins14060392
Lu J-Q, Shou J-W, Lo K-C, Tang Y-S, Shi W-W, Shaw P-C. Pore-Forming Cardiotoxin VVA2 (Volvatoxin A2) Variant I82E/L86K Is an Atypical Duplex-Specific Nuclease. Toxins. 2022; 14(6):392. https://doi.org/10.3390/toxins14060392
Chicago/Turabian StyleLu, Jia-Qi, Jia-Wen Shou, Ka-Ching Lo, Yun-Sang Tang, Wei-Wei Shi, and Pang-Chui Shaw. 2022. "Pore-Forming Cardiotoxin VVA2 (Volvatoxin A2) Variant I82E/L86K Is an Atypical Duplex-Specific Nuclease" Toxins 14, no. 6: 392. https://doi.org/10.3390/toxins14060392
APA StyleLu, J.-Q., Shou, J.-W., Lo, K.-C., Tang, Y.-S., Shi, W.-W., & Shaw, P.-C. (2022). Pore-Forming Cardiotoxin VVA2 (Volvatoxin A2) Variant I82E/L86K Is an Atypical Duplex-Specific Nuclease. Toxins, 14(6), 392. https://doi.org/10.3390/toxins14060392
 
        


