Does Botulinum Toxin Treatment Affect the Ultrasonographic Characteristics of Post-Stroke Spastic Equinus? A Retrospective Pilot Study
Abstract
1. Introduction
2. Results
3. Discussion
4. Materials and Methods
4.1. Clinical Evaluation
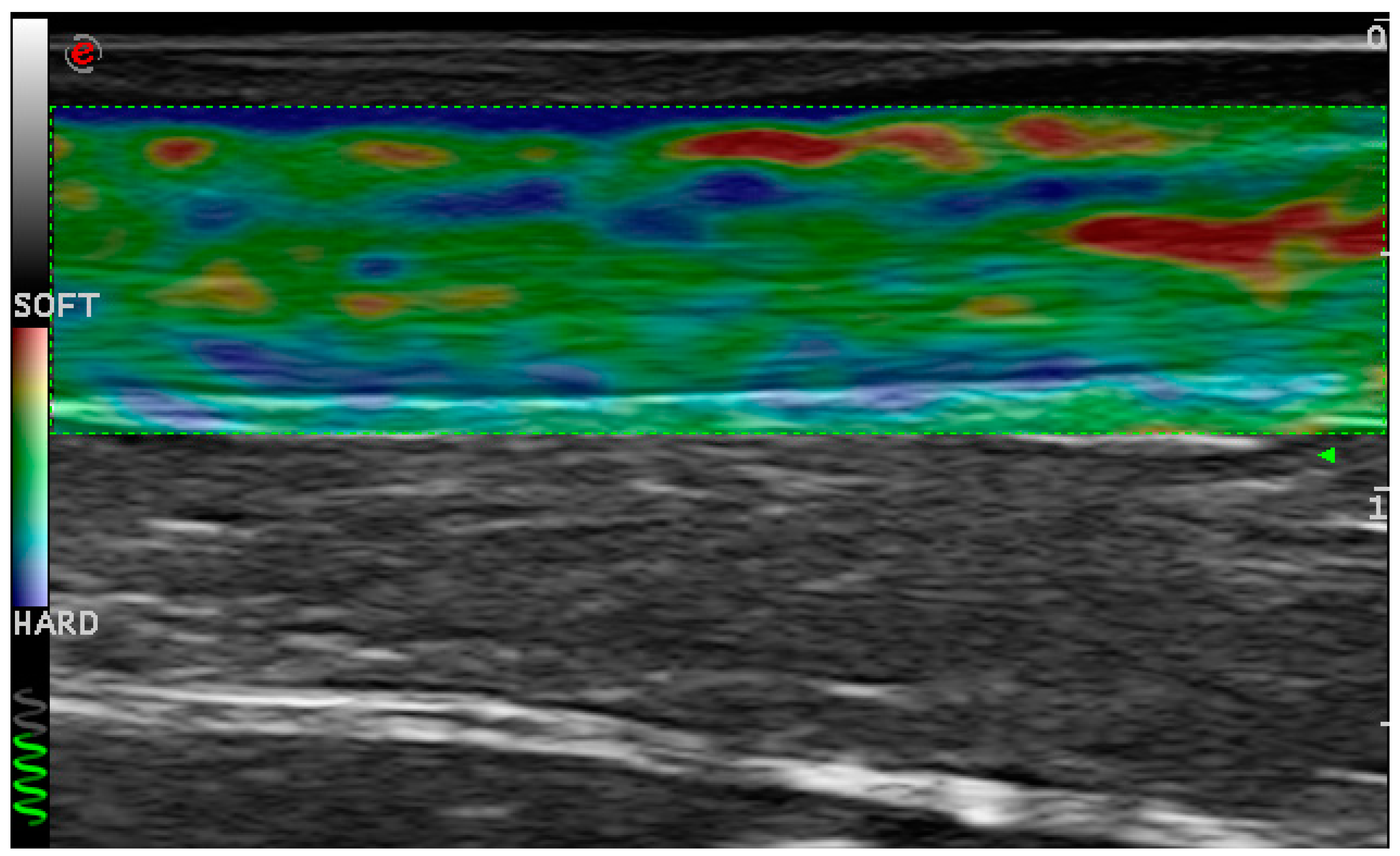
4.1.1. Ultrasonographic Evaluation
4.1.2. Clinical Evaluation
4.2. Statistical Analysis
Author Contributions
Funding
Acknowledgments
Conflicts of Interest
References
- Simpson, D.M.; Hallett, M.; Ashman, E.J.; Comella, C.L.; Green, M.W.; Gronseth, G.S.; Armstrong, M.J.; Gloss, D.; Potrebic, S.; Jankovic, J.; et al. Practice guideline update summary: Botulinum neurotoxin for the treatment of blepharospasm, cervical dystonia, adult spasticity, and headache: Report of the guideline development subcommittee of the American Academy of Neurology. Neurology 2016, 86, 1818–1826. [Google Scholar] [CrossRef] [PubMed]
- Esquenazi, A.; Alfaro, A.; Ayyoub, Z.; Charles, D.; Dashtipour, K.; Graham, G.D.; McGuire, J.R.; Odderson, I.R.; Patel, A.T.; Simpson, D.M. OnabotulinumtoxinA for lower limb spasticity: Guidance from a Delphi panel approach. PM R 2017, 9, 960–968. [Google Scholar] [CrossRef] [PubMed]
- Deltombe, T.; Wautier, D.; De Cloedt, P.; Fostier, M.; Gustin, T. Assessment and treatment of spastic equinovarus foot after stroke: Guidance from the Mont-Godinne interdisciplinary group. J. Rehabil. Med. 2017, 49, 461–468. [Google Scholar] [CrossRef] [PubMed]
- Genêt, F.; Denormandie, P.; Keenan, M.A. Orthopaedic surgery for patients with central nervous system lesions: Concepts and techniques. Ann. Phys. Rehabil. Med. 2019, 62, 225–233. [Google Scholar] [CrossRef]
- Smania, N.; Picelli, A.; Munari, D.; Geroin, C.; Ianes, P.; Waldner, A.; Gandolfi, M. Rehabilitation procedures in the management of spasticity. Eur. J. Phys. Rehabil. Med. 2010, 46, 423–438. [Google Scholar] [PubMed]
- Picelli, A.; Santamato, A.; Chemello, E.; Cinone, N.; Cisari, C.; Gandolfi, M.; Ranieri, M.; Smania, N.; Baricich, A. Adjuvant treatments associated with botulinum toxin injection for managing spasticity: An overview of the literature. Ann. Phys. Rehabil. Med. 2019, 62, 291–296. [Google Scholar] [CrossRef] [PubMed]
- Picelli, A.; Tamburin, S.; Cavazza, S.; Scampoli, C.; Manca, M.; Cosma, M.; Berto, G.; Vallies, G.; Roncari, L.; Melotti, C.; et al. Relationship between ultrasonographic, electromyographic, and clinical parameters in adult stroke patients with spastic equinus: An observational study. Arch. Phys. Med. Rehabil. 2014, 95, 1564–1570. [Google Scholar] [CrossRef] [PubMed]
- Picelli, A.; Bonetti, P.; Fontana, C.; Barausse, M.; Dambruoso, F.; Gajofatto, F.; Girardi, P.; Manca, M.; Gimigliano, R.; Smania, N. Is spastic muscle echo intensity related to the response to botulinum toxin type A in patients with stroke? A cohort study. Arch. Phys. Med. Rehabil. 2012, 93, 1253–1258. [Google Scholar] [CrossRef] [PubMed]
- Hassan, S.M.; Jennekens, F.G.; Veldman, H. Botulinum toxin-induced myopathy in the rat. Brain 1995, 118, 533–545. [Google Scholar] [CrossRef] [PubMed]
- Schroeder, A.S.; Ertl-Wagner, B.; Britsch, S.; Schröder, J.M.; Nikolin, S.; Weis, J.; Müller-Felber, W.; Koerte, I.; Stehr, M.; Berweck, S.; et al. Muscle biopsy substantiates long-term MRI alterations one year after a single dose of botulinum toxin injected into the lateral gastrocnemius muscle of healthy volunteers. Mov. Disord. 2009, 24, 1494–1503. [Google Scholar] [CrossRef] [PubMed]
- Tok, F.; Ozçakar, L.; Safaz, I.; Alaca, R. Effects of botulinum toxin-A on the muscle architecture of stroke patients: The first ultrasonographic study. J. Rehabil. Med. 2011, 43, 1016–1019. [Google Scholar] [CrossRef] [PubMed]
- Patrick, E.; Ada, L. The Tardieu Scale differentiates contracture from spasticity whereas the Ashworth Scale is confounded by it. Clin. Rehabil. 2006, 20, 173–182. [Google Scholar] [CrossRef] [PubMed]
- Freire, B.; Dias, C.P.; Goulart, N.B.; de Castro, C.D.; Becker, J.; Gomes, I.; Vaz, M.A. Achilles tendon morphology, plantar flexors torque and passive ankle stiffness in spastic hemiparetic stroke survivors. Clin. Biomech. 2017, 41, 72–76. [Google Scholar] [CrossRef] [PubMed]
- Li, S. Ankle and foot spasticity patterns in chronic stroke survivors with abnormal gait. Toxins 2020, 12, 646. [Google Scholar] [CrossRef] [PubMed]
- Picelli, A.; La Marchina, E.; Gajofatto, F.; Pontillo, A.; Vangelista, A.; Filippini, R.; Baricich, A.; Cisari, C.; Smania, N. Sonographic and clinical effects of botulinum toxin type A combined with extracorporeal shock wave therapy on spastic muscles of children with cerebral palsy. Dev. Neurorehabil. 2017, 20, 160–164. [Google Scholar] [CrossRef] [PubMed]
- Picelli, A.; Bonetti, P.; Fontana, C.; Barausse, M.; Dambruoso, F.; Gajofatto, F.; Tamburin, S.; Girardi, P.; Gimigliano, R.; Smania, N. Accuracy of botulinum toxin type A injection into the gastrocnemius muscle of adults with spastic equinus: Manual needle placement and electrical stimulation guidance compared using ultrasonography. J. Rehabil. Med. 2012, 44, 450–452. [Google Scholar] [CrossRef] [PubMed]
- Picelli, A.; Chemello, E.; Verzini, E.; Ferrari, F.; Brugnera, A.; Gandolfi, M.; Saltuari, L.; Modenese, A.; Smania, N. Anatomical landmarks for tibial nerve motor branches in the management of spastic equinovarus foot after stroke: An ultrasonographic study. J. Rehabil. Med. 2019, 51, 380–384. [Google Scholar] [CrossRef] [PubMed]

| Patients’ Feature | |
|---|---|
| Age (years) mean (SD) | 65.6 (14.5) |
| Gender (n) male/female | 15/6 |
| Time since stroke onset (years) mean (SD) | 1.7 (0.9) |
| Stroke etiology (n) ischemic/hemorrhagic | 16/5 |
| Lesion location (n) cortica/subcortica/mixed | 4/6/11 |
| Outcomes | Before Treatment T0 | After Treatment T1 | T1 vs. T0 p Value (95% CI) |
|---|---|---|---|
| Gastrocnemius medialis echo intensity (1–4) median (IQR) | 2.0 (1.0; 3.0) | 2.0 (1.0; 2.5) | 0.705 (−0.32; 0.22) |
| Gastrocnemius lateralis echo intensity (1–4) median (IQR) | 2.0 (1.0; 3.0) | 2.0 (1.0; 2.5) | 0.739 (−0.35; 0.26) |
| Gastrocnemius medialis thickness (mm) mean (SD) | 14.7 (3.3) | 15.4 (3.0) | 0.225 (−0.33; 1.51) |
| Gastrocnemius lateralis thickness (mm) mean (SD) | 11.2 (3.1) | 11.1 (2.6) | 0.823 (−1.33; 0.99) |
| Gastrocnemius medialis pennation angle (°) mean (SD) | 20.8 (7.3) | 21.9 (7.2) | 0.227 (−0.56; 3.70) |
| Gastrocnemius lateralis pennation angle (°) mean (SD) | 17.4 (5.7) | 17.6 (4.9) | 0.709 (−2.53; 2.39) |
| Achilles tendon thickness (mm) mean (SD) | 5.1 (0.7) | 5.2 (0.6) | 0.872 (−0.23; 0.38) |
| Achilles tendon %HRD mean (SD) | 65.9 (12.2) | 60.6 (16.4) | 0.094 (−12.31; 2.72) |
| Ankle dorsiflexion PROM (°) mean (SD) | −6.4 (7.3) | −2.2 (5.6) | 0.002 (1.57; 7.01) * |
| Calf muscle spasticity (Ashworth scale, 0–4) median (IQR) | 2.0 (2.0; 3.0) | 2.0 (1.0; 3.0) | 0.008 (−0.87; −0.18) * |
| Calf muscle spasticity (Tardieu grade, 0–4) median (IQR) | 2.0 (1.5; 2.0) | 2.0 (1.0; 2.0) | 0.008 (−0.55; −0.11) * |
| Calf muscle spasticity (Tardieu angle, °) mean (SD) | 16.9 (5.4) | 10.2 (4.3) | <0.001 (−8.87; −4.47) * |
| Study Variables | Muscle Echogenicity | Muscle Thickness | Pennation Angle | Achilles Tendon Thickness | Achilles Tendon %HRD | |||
|---|---|---|---|---|---|---|---|---|
| GM | GL | GM | GL | GM | GL | |||
| Age | 0.006 | −0.062 | 0.128 | −0.062 | −0.173 | −0.509 * | 0.122 | 0.463 * |
| Time since onset | 0.458 * | 0.594 * | −0.046 | −0.089 | −0.083 | −0.241 | −0.127 | −0.339 |
| Ankle dorsiflexion PROM | 0.076 | −0.111 | 0.011 | 0.227 | −0.185 | −0.137 | −0.016 | −0.171 |
| Calf muscle spasticity | ||||||||
| Ashworth scale | −0.017 | 0.284 | −0.047 | 0.031 | −0.035 | 0.236 | 0.134 | 0.441 * |
| Tardieu grade | 0.238 | 0.176 | −0.387 | −0.251 | −0.093 | 0.181 | −0.139 | −0.048 |
| Tardieu angle | −0.067 | 0.177 | −0.087 | 0.241 | −0.110 | −0.051 | −0.226 | −0.073 |
Publisher’s Note: MDPI stays neutral with regard to jurisdictional claims in published maps and institutional affiliations. |
© 2020 by the authors. Licensee MDPI, Basel, Switzerland. This article is an open access article distributed under the terms and conditions of the Creative Commons Attribution (CC BY) license (http://creativecommons.org/licenses/by/4.0/).
Share and Cite
Picelli, A.; Filippetti, M.; Melotti, C.; Guerrazzi, F.; Modenese, A.; Smania, N. Does Botulinum Toxin Treatment Affect the Ultrasonographic Characteristics of Post-Stroke Spastic Equinus? A Retrospective Pilot Study. Toxins 2020, 12, 797. https://doi.org/10.3390/toxins12120797
Picelli A, Filippetti M, Melotti C, Guerrazzi F, Modenese A, Smania N. Does Botulinum Toxin Treatment Affect the Ultrasonographic Characteristics of Post-Stroke Spastic Equinus? A Retrospective Pilot Study. Toxins. 2020; 12(12):797. https://doi.org/10.3390/toxins12120797
Chicago/Turabian StylePicelli, Alessandro, Mirko Filippetti, Camilla Melotti, Flavio Guerrazzi, Angela Modenese, and Nicola Smania. 2020. "Does Botulinum Toxin Treatment Affect the Ultrasonographic Characteristics of Post-Stroke Spastic Equinus? A Retrospective Pilot Study" Toxins 12, no. 12: 797. https://doi.org/10.3390/toxins12120797
APA StylePicelli, A., Filippetti, M., Melotti, C., Guerrazzi, F., Modenese, A., & Smania, N. (2020). Does Botulinum Toxin Treatment Affect the Ultrasonographic Characteristics of Post-Stroke Spastic Equinus? A Retrospective Pilot Study. Toxins, 12(12), 797. https://doi.org/10.3390/toxins12120797

