A Study of Carry-Over and Histopathological Effects after Chronic Dietary Intake of Citrinin in Pigs, Broiler Chickens and Laying Hens
Abstract
1. Introduction
2. Results
2.1. Method Validation for Edible Tissue
2.2. Carry-over and Depletion Studies
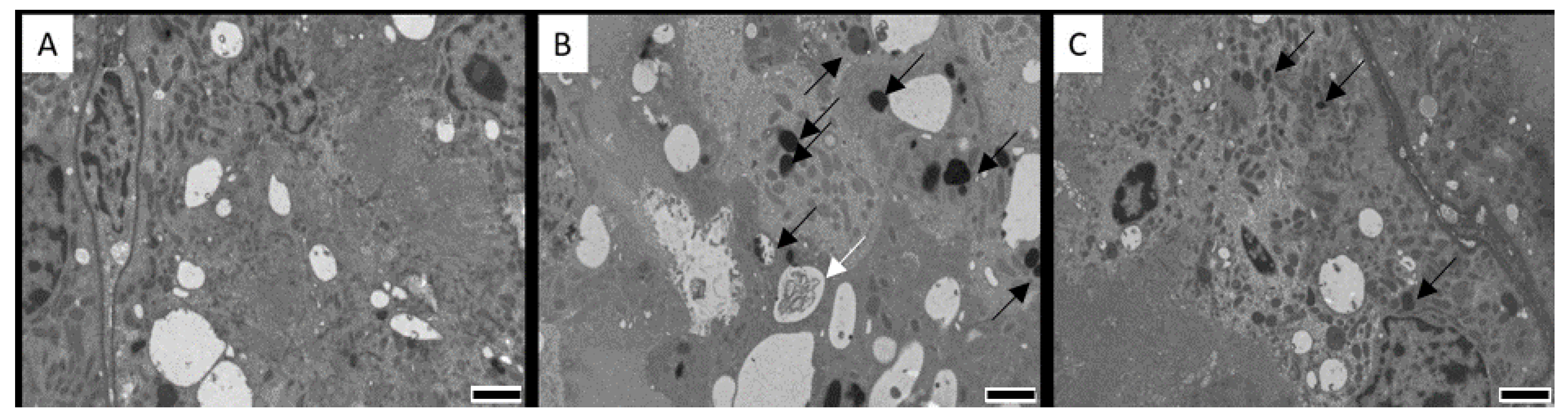
2.3. Histopathological Studies
3. Discussion
4. Conclusions
5. Materials and Methods
5.1. Chemicals and Reagents
5.2. Quantification of CIT and HO-CIT in Plasma and Edible Tissues
5.2.1. Plasma
5.2.2. Breast and Back Muscle, Kidney, Liver, Skin with Adhering Fat
5.2.3. Egg Yolk and Egg White
5.2.4. Ultra-high Performance Liquid Chromatography Tandem Mass Spectrometry
5.3. Method Validation for Edible Tissues
5.4. Experimental Diets
5.4.1. Pig Feed
5.4.2. Chicken Feed
Broilers
Layers
5.4.3. Control Feed
5.5. Feeding Trials
5.5.1. Pigs
5.5.2. Broilers and Layers
5.6. Carry-Over and Depletion Studies
5.7. Histopathological Studies
5.7.1. Light Microscopy
5.7.2. Transmission Electron Microscopy
5.8. Statistical Analysis
Supplementary Materials
Author Contributions
Funding
Acknowledgments
Conflicts of Interest
References
- Bennett, J.W.; Klich, M. Mycotoxins. Clin. Microbiol. Rev. 2003, 16, 497–516. [Google Scholar] [CrossRef]
- López Sánchez, P.; de Nijs, M.; Spanjer, M.; Pietri, A.; Bertuzzi, T.; Starski, A.; Postupolski, J.; Castellari, M.; Hortós, M. Generation of occurrence data on citrinin in food. EFSA Support. Publ. 2017, 14, 1–47. [Google Scholar] [CrossRef]
- Ali, N. Co-occurrence of citrinin and ochratoxin A in rice in Asia and its implications for human health. J. Sci. Food Agric. 2018, 98, 2055–2059. [Google Scholar] [CrossRef] [PubMed]
- Pleadin, J.; Zadravec, M.; Lešić, T.; Vahčić, N.; Frece, J.; Mitak, M.; Markov, K. Co-occurrence of ochratoxin A and citrinin in unprocessed cereals established during a three-year investigation period. Food Addit. Contam. Part B Surveill. 2017, 00, 1–6. [Google Scholar] [CrossRef] [PubMed]
- Ostry, V.; Malir, F.; Ruprich, J. Producers and important dietary sources of ochratoxin A and citrinin. Toxins (Basel) 2013, 5, 1574–1586. [Google Scholar] [CrossRef] [PubMed]
- Santos, L.; Marín, S.; Sanchis, V.; Ramos, A.J. Screening of mycotoxin multicontamination in medicinal and aromatic herbs sampled in Spain. J. Sci. Food Agric. 2009, 89, 1802–1807. [Google Scholar] [CrossRef]
- Meerpoel, C.; Vidal, A.; di Mavungu, J.D.; Huybrechts, B.; Tangni, E.K.; Devreese, M.; Croubels, S.; De Saeger, S. Development and validation of an LC–MS/MS method for the simultaneous determination of citrinin and ochratoxin a in a variety of feed and foodstuffs. J. Chromatogr. A 2018, 1580, 100–109. [Google Scholar] [CrossRef]
- Kononenko, G.P.; Burkin, A.A. A survey on the occurrence of citrinin in feeds and their ingredients in Russia. Mycotoxin Res. 2008, 24, 3–6. [Google Scholar] [CrossRef]
- de Oliveira Filho, J.W.G.; Islam, M.T.; Ali, E.S.; Uddin, S.J.; de Oliveira Santos, J.V.; de Alencar, M.V.O.B.; Júnior, A.L.G.; Paz, M.F.C.J.; de Brito, M.D.R.M.; e Sousa, J.M.D.C.; et al. A comprehensive review on biological properties of citrinin. Food Chem. Toxicol. 2017, 110, 130–141. [Google Scholar] [CrossRef]
- Bouslimi, A.; Bouaziz, C.; Ayed-Boussema, I.; Hassen, W.; Bacha, H. Individual and combined effects of ochratoxin A and citrinin on viability and DNA fragmentation in cultured Vero cells and on chromosome aberrations in mice bone marrow cells. Toxicology 2008, 251, 1–7. [Google Scholar] [CrossRef]
- Kumar, M.; Dwivedi, P.; Sharma, A.K.; Sankar, M.; Patil, R.D.; Singh, N.D. Apoptosis and lipid peroxidation in ochratoxin A- and citrinin-induced nephrotoxicity in rabbits. Toxicol. Ind. Health 2014, 30, 90–98. [Google Scholar] [CrossRef] [PubMed]
- Kumar, R.; Dwivedi, P.D.; Dhawan, A.; Das, M.; Ansari, K.M. Citrinin-generated reactive oxygen species cause cell cycle arrest leading to apoptosis via the intrinsic mitochondrial pathway in mouse skin. Toxicol. Sci. 2011, 122, 557–566. [Google Scholar] [CrossRef] [PubMed]
- Singh, N.D.; Sharma, A.K.; Dwivedi, P.; Leishangthem, G.D.; Rahman, S.; Reddy, J.; Kumar, M. Effect of feeding graded doses of citrinin on apoptosis and oxidative stress in male Wistar rats through the F1 generation. Toxicol. Ind. Health 2016, 32, 385–397. [Google Scholar] [CrossRef] [PubMed]
- Yu, F.Y.; Liao, Y.C.; Chang, C.H.; Liu, B.H. Citrinin induces apoptosis in HL-60 cells via activation of the mitochondrial pathway. Toxicol. Lett. 2005, 161, 143–151. [Google Scholar] [CrossRef] [PubMed]
- Ribeiro, S.M.R.; Chagas, G.M.; Campello, A.P.; Klüppel, M.L.W. Mechanism of citrinin-induced dysfunction of mitochondria. V. Effect on the homeostasis of the reactive oxygen species. Cell Biochem. Funct. 1997, 15, 203–209. [Google Scholar] [CrossRef]
- Chan, W.H.; Shiao, N.H. Effect of citrinin on mouse embryonic development in vitro and in vivo. Reprod. Toxicol. 2007, 24, 120–125. [Google Scholar] [CrossRef]
- Kitchen, D.; Carlton, W.W.; Tuite, J. Ochratoxin A and Citrinin Induced Nephrosis in Beagle Dogs. I. Clinical and clinicopathological features. Vet. Pathol. 1977, 4, 154–172. [Google Scholar] [CrossRef]
- Mehdi, N.A.Q.; Carlton, W.W.; Tuite, J. Citrinin mycotoxicosis in broiler chickens. Food Cosmet. Toxicol. 1981, 19, 723–733. [Google Scholar] [CrossRef]
- Singh, N.; Sharma, A.; Dwivedi, P.; Patil, R.; Manoj, K. Citrinin and endosulfan induced maternal toxicity in pregnant Wistar rats: Pathomorphological study. J. Appl. Toxicol. 2007, 27, 589–601. [Google Scholar] [CrossRef]
- Hanika, C.; Carlton, W.W.; Tuite, J. Citrinin mycotoxicosis in the rabbit. Food Chem. Toxicol. 1983, 21, 487–493. [Google Scholar] [CrossRef]
- Ambrose, A.M.; DeEds, F. Some toxicological and pharmacological properties of citrinin. J. Pharmacol. Exp. Ther. 1946, 88, 173–186. [Google Scholar] [PubMed]
- Sándor, G.; Busch, A.; Watzke, H.; Reek, J.; Ványi, A. Subacute toxicity testing of ochratoxin A and citrinin in swine. Acta Vet. Hung. 1991, 39, 149–160. [Google Scholar] [PubMed]
- Lee, C.H.; Lee, C.L.; Pan, T.M. A 90-D Toxicity study of monascus-fermented products including high citrinin level. J. Food Sci. 2010, 75, 91–97. [Google Scholar] [CrossRef] [PubMed]
- EFSA Scientific Opinion on the risks for public and animal health related to the presence of citrinin in food and feed. EFSA J. 2012, 10, 1–82.
- Mehdi, N.A.Q.; Carlton, W.W.; Tuite, J. Acute toxicity of citrinin in turkeys and ducklings. Avian Pathol. 1983, 12, 221–233. [Google Scholar] [CrossRef] [PubMed]
- Carlton, W.W. Penicillic acid, citrinin and xanthomegnin quinone metabolites, a review. In Proceedings of the Conference on Mycotoxins in Animal Feeds and Grains Related to Animal Health, FDA, Rockville, MD, USA, 1980. [Google Scholar]
- Roberts, W.T.; Mora, E.C. Toxicity of Penicillium citrinum AUA-532 Contaminated Corn and Citrinin in Broiler Chicks. Poult. Sci 1978, 57, 1221–1226. [Google Scholar] [CrossRef]
- Meerpoel, C.; Vidal, A.; Huybrechts, B.; Tangni, E.K.; De Saeger, S.; Croubels, S.; Devreese, M. Comprehensive toxicokinetic analysis reveals major interspecies differences in absorption, distribution and elimination of citrinin in pigs and broiler chickens. Food Chem. Toxicol. 2020, 141, 1–9. [Google Scholar] [CrossRef]
- Abdelhamid, A.M.; Dorra, T.M. Study on effects of feeding laying hens on separate mycotoxins (aflatoxins, patulin, or citrinin)-contaminated diets on the egg quality and tissue constituents. Arch. Tierernahr. 1990, 40, 305–316. [Google Scholar] [CrossRef]
- Friis, P.; Hasselager, E.; Krogh, P. Isolation of citrinin and oxalic acid from Penicillium viridicatum Westling and their nephrotoxicity in rats and pigs. Acta Pathol. Microbiol. Scand. 1969, 77, 559–560. [Google Scholar] [CrossRef]
- Ames, D.D.; Wyatt, R.D.; Marks, H.L.; Washburn, K.W. Effect of citrinin, a mycotoxin produced by Penicillium citrinum, on laying hens and young broiler chicks. Poult. Sci. 1976, 55, 1294–1301. [Google Scholar] [CrossRef]
- Fraeyman, S.; Croubels, S.; Devreese, M.; Ducatelle, R.; Rychlik, M.; Antonissen, G. Chronic dietary intake of enniatin B in broiler chickens has low impact on intestinal morphometry and hepatic histology, and shows limited transfer to liver tissue. Toxins (Basel) 2018, 10, 45. [Google Scholar] [CrossRef] [PubMed]
- Micco, C.; Miraglia, M.; Onori, R.; Ioppolo, A.; Mantovani, A. Long-term administration of low doses of mycotoxins in poultry. 1. Residues of ochratoxin A in broilers and laying hens. Poult. Sci. 1987, 66, 47–50. [Google Scholar] [CrossRef] [PubMed]
- Aoudia, N.; Callu, P.; Grosjean, F.; Larondelle, Y. Effectiveness of mycotoxin sequestration activity of micronized wheat fibres on distribution of ochratoxin A in plasma, liver and kidney of piglets fed a naturally contaminated diet. Food Chem. Toxicol. 2009, 47, 1485–1489. [Google Scholar] [CrossRef] [PubMed]
- Dall’Asta, C.; Galaverna, G.; Bertuzzi, T.; Moseriti, A.; Pietri, A.; Dossena, A.; Marchelli, R. Occurrence of ochratoxin A in raw ham muscle, salami and dry-cured ham from pigs fed with contaminated diet. Food Chem. 2010, 120, 978–983. [Google Scholar] [CrossRef]
- Bozzo, G.; Bonerba, E.; Ceci, E.; Colao, V.; Tantillo, G. Determination of ochratoxin A in eggs and target tissues of experimentally drugged hens using HPLC-FLD. Food Chem. 2011, 126, 1278–1282. [Google Scholar]
- Pozzo, L.; Cavallarin, L.; Antoniazzi, S.; Guerre, P.; Biasibetti, E.; Capucchio, M.T.; Schiavone, A. Feeding a diet contaminated with ochratoxin A for broiler chickens at the maximum level recommended by the EU for poultry feeds (0.1 mg/kg). 2. Effects on meat quality, oxidative stress, residues and histological traits. J. Anim. Physiol. Anim. Nutr. (Berl.) 2013, 97, 23–31. [Google Scholar] [CrossRef]
- European Commission COMMISSION REGULATION (EU) 2018/782 of 29 May 2018 establishing the methodological principles for the risk assessment and risk management recommendations referred to in Regulation (EC) No 470/2009. Off. J. Eur. Union 2018, L132, 5–30.
- Degen, G.H.; Ali, N.; Gundert-Remy, U. Preliminary data on citrinin kinetics in humans and their use to estimate citrinin exposure based on biomarkers. Toxicol. Lett. 2018, 282, 43–48. [Google Scholar] [CrossRef]
- Brown, T.P.; Manning, R.O.; Fletcher, O.J.; Wyatt, R.D. The individual and combined effects of citrinin and ochratoxin A on renal ultrastructure in layer chicks. Avian Dis. 1986, 30, 191–198. [Google Scholar] [CrossRef]
- Chagas, G.M.; Wambier KlüPpel, M.L.; de Paiva Campello, A.; De, D.; Buchi, F.; Martinelli De Oliveira, M.B. Alterations Induced by Citrinin in Cultured Kidney Cells. Cell Struct. Funct. 1994, 19, 103–108. [Google Scholar] [CrossRef]
- Carlton, W.W.; Sansing, G.; Szczech, G.M.; Tuite, J. Citrinin mycotoxicosis in beagle dogs. Fd Cosmet. Toxicol. 1974, 12, 479–490. [Google Scholar] [CrossRef]
- Hanika, C.; Carlton, W.W.; Boon, G.D. Citrinin mycotoxicosis in the rabbit: Clinicopathological alterations. Food Chem. Toxicol. 1984, 22, 999–1008. [Google Scholar] [CrossRef]
- Kumar, M.; Dwivedi, P.; Sharma, A.K.; Singh, N.D.; Patil, R.D. Ochratoxin A and citrinin nephrotoxicity in New Zealand White rabbits: An ultrastructural assessment. Mycopathologia 2007, 163, 21–30. [Google Scholar] [CrossRef] [PubMed]
- EFSA. Risk assessment of ochratoxin A in food. EFSA J. 2020, 18, 1–150. [Google Scholar] [CrossRef]
- Patial, V.; Asrani, A.R.K.; Patil, Ä.C.R.D.; Ledoux, A.D.R.; Rottinghaus, G.E. Pathology of Ochratoxin A—Induced Nephrotoxicity in Japanese Quail and Its Protection by Sea Buckthorn (Hippophae rhamnoides L.). Avian Dis. 2013, 57, 767–779. [Google Scholar] [CrossRef]
- European Commission COMMISSION DECISION 2002/657/EC implementing Council Directive 96/23/EC concerning the performance of analytical methods and the interpretation of results. Off. J. Eur. Communities 2002, L 221, 8–36.
- Kiebooms, J.A.L.; Huybrechts, B.; Thiry, C.; Tangni, E.K.; Callebaut, A. A quantitative UHPLC-MS/MS method for citrinin and ochratoxin A detection in food, feed and red yeast rice food supplements. World Mycotoxin J. 2016, 9, 343–352. [Google Scholar] [CrossRef]
- European Commission Commission Recommendation 2006/576/EC of 17 August 2006 on the presence of deoxynivalenol, zearalenone, ochratoxin A, T-2 and HT-2 and fumonisins in products intended for animal feeding. Off. J. Eur. Union 2006, L 229, 7–9.
- European Commission RICHTLIJN 2010/63/EU VAN HET EUROPEES PARLEMENT EN DE RAAD van 22 september 2010 betreffende de bescherming van dieren die voor wetenschappelijke doeleinden worden gebruikt. Off. J. Eur. Communities 2010, L 276, 33–79.
- FPS Public Health Koninklijk besluit van 29 mei 2013 betreffende de bescherming van proefdieren. Belgsich Staatsbl. 2013, 106.
- Lammers, P.J.; Stender, D.R.; Honeyman, M.S. Niche Pork Production; Iowa Pork Industry Centre: Ames, IA, USA, 2007; ISBN 2005556181. [Google Scholar]
- Aviagen ROSS 308 Broiler: Performance Objectives; Aviagen: Newbridge, UK, 2012.
- ISA. ISA White Product Guide. Cage Production System; ISA: Boxmeer, The Netherlands, 2020. [Google Scholar]
- Bancroft, J.; Stevens, A. Theory and Practice of Histological Techniques. In Histopathology; Churchill-Livingstone: New York, NY, USA, 1995. [Google Scholar]
- Khalid, U.; Pino-Chavez, G.; Nesargikar, P.; Jenkins, R.H.; Bowen, T.; Fraser, D.J.; Chavez, R. Kidney ischaemia reperfusion injury in the rat: The EGTI scoring system as a valid and reliable tool for histological assessment. J. Histol. Histopathol. 2016, 3, 1. [Google Scholar] [CrossRef]
- Kolf-Clauw, M.; Castellote, J.; Joly, B.; Bourges-Abella, N.; Raymond-Letron, I.; Pinton, P.; Oswald, I.P. Development of a pig jejunal explant culture for studying the gastrointestinal toxicity of the mycotoxin deoxynivalenol: Histopathological analysis. Toxicol. Vitr. 2009, 23, 1580–1584. [Google Scholar] [CrossRef] [PubMed]
- Ishak, K.; Baptista, A.; Bianchi, L.; Callea, F.; De Groote, J.; Gudat, F.; Denk, H.; Desmet, V.; Korb, G.; MacSween, R.N.M.; et al. Histological grading and staging of chronic hepatitis. J. Hepatol. 1995, 22, 696–699. [Google Scholar] [CrossRef]






| Animal Species | Pig | Broiler | Layer | ||
|---|---|---|---|---|---|
| Feed CIT concentration | 1 mg/kg | 0.1 mg/kg | 3 mg/kg | 0.1 mg/kg | 3.5 mg/kg |
| Plasma | 20.78 ± 2.52 | 0.31 ± 0.05 | 11.26 ± 5.05 | 0.1 ± 0.05 | 3.08 ± 2.02 |
| Muscle | 0.62 ± 0.61 | 0.11 ± 0.35 | 1.81 ± 0.95 | <LOQ | 2.70 ± 0.70 |
| Skin + fat | 5.01 ± 3.14 | 0.74 ± 0.41 | 11.08 ± 5.01 | 0.20 ± 0.10 | 8.00 ± 3.37 |
| Kidney | 15.20 ± 9.56 | 0.23 ± 0.02 | 1.90 * | <LOQ | 1.19 ± 0.105 |
| Liver | 20.26 ± 5.98 | 6.86 ± 1.37 | 70.21 * | 4.29 ± 1.50 | 27.07 ± 7.18 |
| Egg yolk | n.a. | <LOQ | <LOQ | 0.58 ± 0.75 | 1.09 ± 0.72 |
| Egg white | n.a. | <LOQ | <LOQ | <LOQ | <LOQ |
| Animal Species | Pig | Broiler | Layer | ||
|---|---|---|---|---|---|
| Feed CIT concentration | 1 mg/kg | 0.1 mg/kg | 3 mg/kg | 0.1 mg/kg | 3.5 mg/kg |
| Muscle | 0.1 | 0.1 | 0.1 | n.d. | 0.1 |
| Skin + fat | 0.5 | 0.7 | 0.4 | 0.2 | 0.2 |
| Kidney | 1.5 | 0.2 | 0.1 | n.d. | 0.03 |
| Liver | 2 | 6.9 | 2.3 | 4.3 | 0.8 |
| Egg yolk | n.a. | n.d. | n.d. | 0.6 | 0.03 |
| Egg white | n.a. | n.d. | n.d. | n.d. | n.d. |
| Animal Species | Pig | Broiler | Layer | ||
|---|---|---|---|---|---|
| Feed CIT concentration | 1 mg/kg | 0.1 mg/kg | 3 mg/kg | 0.1 mg/kg | 3.5 mg/kg |
| Plasma | 23.16 ± 8.18 | 5.02 ± 0.05 | 14.30 ± 2.69 | 2.27 ± 0.15 | 89.02 ± 17.69 |
| Muscle | <LOQ | n.d. | 9.70 ± 2.98 | <LOQ | 6.57 ± 1.97 |
| Skin + fat | 17.75 ± 14.43 | 2.67 ± 0.58 | 80.60 ± 15.64 | <LOQ | 38.01 ± 21.15 |
| Kidney | 53.23 ± 36.73 | 23.48 ± 12.76 | 118.19 * | <LOQ | 18.64 ± 14.45 |
| Liver | 80.12 ± 12.95 | n.d. | 31.97 ± 5.49 | <LOQ | 8.27 ± 8.91 |
| Egg yolk | n.a. | <LOQ | <LOQ | <LOQ | <LOQ |
| Egg white | n.a. | <LOQ | <LOQ | <LOQ | <LOQ |
Publisher’s Note: MDPI stays neutral with regard to jurisdictional claims in published maps and institutional affiliations. |
© 2020 by the authors. Licensee MDPI, Basel, Switzerland. This article is an open access article distributed under the terms and conditions of the Creative Commons Attribution (CC BY) license (http://creativecommons.org/licenses/by/4.0/).
Share and Cite
Meerpoel, C.; Vidal, A.; Tangni, E.K.; Huybrechts, B.; Couck, L.; De Rycke, R.; De Bels, L.; De Saeger, S.; Van den Broeck, W.; Devreese, M.; et al. A Study of Carry-Over and Histopathological Effects after Chronic Dietary Intake of Citrinin in Pigs, Broiler Chickens and Laying Hens. Toxins 2020, 12, 719. https://doi.org/10.3390/toxins12110719
Meerpoel C, Vidal A, Tangni EK, Huybrechts B, Couck L, De Rycke R, De Bels L, De Saeger S, Van den Broeck W, Devreese M, et al. A Study of Carry-Over and Histopathological Effects after Chronic Dietary Intake of Citrinin in Pigs, Broiler Chickens and Laying Hens. Toxins. 2020; 12(11):719. https://doi.org/10.3390/toxins12110719
Chicago/Turabian StyleMeerpoel, Celine, Arnau Vidal, Emmanuel K. Tangni, Bart Huybrechts, Liesbeth Couck, Riet De Rycke, Lobke De Bels, Sarah De Saeger, Wim Van den Broeck, Mathias Devreese, and et al. 2020. "A Study of Carry-Over and Histopathological Effects after Chronic Dietary Intake of Citrinin in Pigs, Broiler Chickens and Laying Hens" Toxins 12, no. 11: 719. https://doi.org/10.3390/toxins12110719
APA StyleMeerpoel, C., Vidal, A., Tangni, E. K., Huybrechts, B., Couck, L., De Rycke, R., De Bels, L., De Saeger, S., Van den Broeck, W., Devreese, M., & Croubels, S. (2020). A Study of Carry-Over and Histopathological Effects after Chronic Dietary Intake of Citrinin in Pigs, Broiler Chickens and Laying Hens. Toxins, 12(11), 719. https://doi.org/10.3390/toxins12110719

