Dietary Deoxynivalenol (DON) May Impair the Epithelial Barrier and Modulate the Cytokine Signaling in the Intestine of Atlantic Salmon (Salmo salar)
Abstract
1. Introduction
2. Results
2.1. Gene Expression Analysis by Real-Time PCR
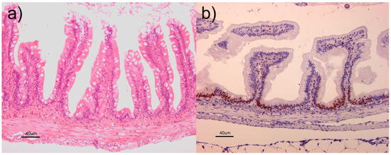
2.2. Histology and Immunohistochemistry
3. Discussion
4. Materials and Methods
4.1. Animal Ethics and Rearing
4.2. Study Design and Sampling
4.3. Gene Expression Analysis by Real-Time PCR
4.4. Histology and Immunohistochemistry
4.5. Calculations and Statistical Analysis
Author Contributions
Funding
Acknowledgments
Conflicts of Interest
References
- Powell, K. Eat your veg. Nature 2003, 426, 378–379. [Google Scholar] [CrossRef] [PubMed]
- Liland, N.S.; Rosenlund, G.; Berntssen, M.H.G.; Brattelid, T.; Madsen, L.; Torstensen, B.E. Net production of Atlantic salmon (FIFO; Fish in Fish out < 1) with dietary plant proteins and vegetable oils. Aquac. Nutr. 2013, 19, 289–300. [Google Scholar]
- Waagbø, R.; Berntssen, M.H.G.; Danielsen, T.; Helberg, H.; Kleppa, A.L.; Lea, T.B.; Rosenlund, G.; Tvenning, L.; Susort, S.; Vikesa, V.; et al. Feeding Atlantic salmon diets with plant ingredients during the seawater phase—A full-scale net production of marine protein with focus on biological performance, welfare, product quality and safety. Aquac. Nutr. 2013, 19, 598–618. [Google Scholar] [CrossRef]
- Antonissen, G.; Martel, A.; Pasmans, F.; Ducatelle, R.; Verbrugghe, E.; Vandenbroucke, V.; Li, S.; Haesebrouck, F.; Van Immerseel, F.; Croubels, S. The impact of Fusarium mycotoxins on human and animal host susceptibility to infectious diseases. Toxins 2014, 6, 430–452. [Google Scholar] [CrossRef] [PubMed]
- Nesic, K.; Ivanovic, S.; Nesic, V. Fusarial Toxins: Secondary Metabolites of Fusarium Fungi. In Reviews of Environmental Contamination and Toxicology; Whitacre, D., Ed.; Springer: Cham, Switzerland, 2014; Volume 228, pp. 101–120. ISBN 978-3-319-01619-1. [Google Scholar]
- Cheli, F.; Battaglia, D.; Gallo, R.; Dell’Orto, V. EU legislation on cereal safety: An update with a focus on mycotoxins. Food Control 2014, 37, 315–325. [Google Scholar] [CrossRef]
- Pinotti, L.; Ottoboni, M.; Giromini, C.; Dell’Orto, V.; Cheli, F. Mycotoxin Contamination in the EU Feed Supply Chain: A Focus on Cereal Byproducts. Toxins 2016, 8, 45. [Google Scholar] [CrossRef] [PubMed]
- Sanden, M.; Hemre, G.; Måge, A.; Lunestad, B.; Espe, M.; Lie, K.; Lundebye, A.K.; Amlund, H.; Waagbø, R.; Ørnsrud, R. Program for Overvåking av Fiskefôr; Nasjonalt Institutt for Ernærings- og Sjømatforskning: Bergen, Norway, 2017; ISBN 978-82-91065-46-5. [Google Scholar]
- Nacher-Mestre, J.; Serrano, R.; Beltran, E.; Perez-Sanchez, J.; Silva, J.; Karalazos, V.; Hernandez, F.; Berntssen, M.H.G. Occurrence and potential transfer of mycotoxins in gilthead sea bream and Atlantic salmon by use of novel alternative feed ingredients. Chemosphere 2015, 128, 314–320. [Google Scholar] [CrossRef] [PubMed]
- Bernhoft, A.; Høgåsen, H.R.; Rosenlund, G.; Ivanova, L.; Berntssen, M.H.G.; Alexander, J.; Eriksen, G.S.; Fæste, C.K. Tissue distribution and elimination of deoxynivalenol and ochratoxin A in dietary-exposed Atlantic salmon (Salmo salar). Food Addit. Contam. Part A Chem. Anal. Control Expo. Risk Assess. 2017, 34, 1211–1224. [Google Scholar] [CrossRef] [PubMed]
- Bernhoft, A.; Høgåsen, H.R.; Rosenlund, G.; Moldal, T.; Grove, S.; Berntssen, M.H.G.; Thoresen, S.I.; Alexander, J. Effects of dietary deoxynivalenol or ochratoxin A on performance and selected health indices in Atlantic salmon (Salmo salar). Food Chem. Toxicol. 2018. [Google Scholar] [CrossRef] [PubMed]
- Hooft, J.M.; Elmor, H.I.; Encarnacao, P.; Bureau, D.P. Rainbow trout (Oncorhynchus mykiss) is extremely sensitive to the feed-borne Fusarium mycotoxin deoxynivalenol (DON). Aquaculture 2011, 311, 224–232. [Google Scholar] [CrossRef]
- Matejova, I.; Modra, H.; Blahova, J.; Franc, A.; Fictum, P.; Sevcikova, M.; Svobodova, Z. The effect of mycotoxin deoxynivalenol on haematological and biochemical indicators and histopathological changes in rainbow trout (Oncorhynchus mykiss). Biomed. Res. Int. 2014, 2014, 310680. [Google Scholar] [CrossRef] [PubMed]
- Pietsch, C.; Katzenback, B.A.; Garcia-Garcia, E.; Schulz, C.; Belosevic, M.; Burkhardt-Holm, P. Acute and subchronic effects on immune responses of carp (Cyprinus carpio L.) after exposure to deoxynivalenol (DON) in feed. Mycotoxin Res. 2015, 31, 151–164. [Google Scholar] [CrossRef] [PubMed]
- Alizadeh, A.; Braber, S.; Akbari, P.; Garssen, J.; Fink-Gremmels, J. Deoxynivalenol impairs weight gain and affects markers of gut health after low-dose, short-term exposure of growing pigs. Toxins 2015, 7, 2071–2095. [Google Scholar] [CrossRef] [PubMed]
- Lessard, M.; Savard, C.; Deschene, K.; Lauzon, K.; Pinilla, V.A.; Gagnon, C.A.; Lapointe, J.; Guay, F.; Chorfi, Y. Impact of deoxynivalenol (DON) contaminated feed on intestinal integrity and immune response in swine. Food Chem. Toxicol. 2015, 80, 7–16. [Google Scholar] [CrossRef] [PubMed]
- Bracarense, A.P.; Lucioli, J.; Grenier, B.; Drociunas Pacheco, G.; Moll, W.D.; Schatzmayr, G.; Oswald, I.P. Chronic ingestion of deoxynivalenol and fumonisin, alone or in interaction, induces morphological and immunological changes in the intestine of piglets. Br. J. Nutr. 2012, 107, 1776–1786. [Google Scholar] [CrossRef] [PubMed]
- Ghareeb, K.; Awad, W.A.; Soodoi, C.; Sasgary, S.; Strasser, A.; Böhm, J. Effects of feed contaminant deoxynivalenol on plasma cytokines and mRNA expression of immune genes in the intestine of broiler chickens. PLoS ONE 2013, 8, e71492. [Google Scholar] [CrossRef] [PubMed]
- Antonissen, G.; Van Immerseel, F.; Pasmans, F.; Ducatelle, R.; Haesebrouck, F.; Timbermont, L.; Verlinden, M.; Janssens, G.P.; Eeckhaut, V.; Eeckhout, M.; et al. The mycotoxin deoxynivalenol predisposes for the development of Clostridium perfringens-induced necrotic enteritis in broiler chickens. PLoS ONE 2014, 9, e108775. [Google Scholar] [CrossRef] [PubMed]
- Amuzie, C.J.; Shinozuka, J.; Pestka, J.J. Induction of suppressors of cytokine signaling by the trichothecene deoxynivalenol in the mouse. Toxicol. Sci. 2009, 111, 277–287. [Google Scholar] [CrossRef] [PubMed]
- Akbari, P.; Braber, S.; Varasteh, S.; Alizadeh, A.; Garssen, J.; Fink-Gremmels, J. The intestinal barrier as an emerging target in the toxicological assessment of mycotoxins. Arch. Toxicol 2017, 91, 1007–1029. [Google Scholar] [CrossRef] [PubMed]
- Linossi, E.M.; Babon, J.J.; Hilton, D.J.; Nicholson, S.E. Suppression of cytokine signaling: The SOCS perspective. Cytokine Growth Factor Rev. 2013, 24, 241–248. [Google Scholar] [CrossRef] [PubMed]
- Skjesol, A.; Liebe, T.; Iliev, D.B.; Thomassen, E.I.; Tollersrud, L.G.; Sobhkhez, M.; Lindenskov Joensen, L.; Secombes, C.J.; Jørgensen, J.B. Functional conservation of suppressors of cytokine signaling proteins between teleosts and mammals: Atlantic salmon SOCS1 binds to JAK/STAT family members and suppresses type I and II IFN signaling. Dev. Comp. Immunol. 2014, 45, 177–189. [Google Scholar] [CrossRef] [PubMed]
- Fuglem, B.; Jirillo, E.; Bjerkås, I.; Kiyono, H.; Nochi, T.; Yuki, Y.; Raida, M.; Fischer, U.; Koppang, E.O. Antigen-sampling cells in the salmonid intestinal epithelium. Dev. Comp. Immunol. 2010, 34, 768–774. [Google Scholar] [CrossRef] [PubMed]
- Løkka, G.; Austbø, L.; Falk, K.; Bromage, E.; Fjelldal, P.G.; Hansen, T.; Hordvik, I.; Koppang, E.O. Immune parameters in the intestine of wild and reared unvaccinated and vaccinated Atlantic salmon (Salmo salar L.). Dev. Comp. Immunol. 2014, 47, 6–16. [Google Scholar] [CrossRef] [PubMed]
- Bæverfjord, G.; Krogdahl, Å. Development and regression of soybean meal induced enteritis in Atlantic salmon (Salmo salar L.) distal intestine. A comparison with the intestines of fasted fish. J. Fish Dis. 1996, 19, 375–387. [Google Scholar] [CrossRef]
- Tipsmark, C.K.; Sørensen, K.J.; Hulgard, K.; Madsen, S.S. Claudin-15 and -25b expression in the intestinal tract of Atlantic salmon in response to seawater acclimation, smoltification and hormone treatment. Comp. Biochem. Physiol. A Mol. Integr. Physiol. 2010, 155, 361–370. [Google Scholar] [CrossRef] [PubMed]
- Tipsmark, C.K.; Madsen, S.S. Tricellulin, occludin and claudin-3 expression in salmon intestine and kidney during salinity adaptation. Comp. Biochem. Physiol. A Mol. Integr. Physiol. 2012, 162, 378–385. [Google Scholar] [CrossRef] [PubMed]
- Olsvik, P.A.; Lie, K.K.; Jordal, A.E.O.; Nilsen, T.O.; Hordvik, I. Evaluation of potential reference genes in real-time RT-PCR studies of Atlantic salmon. BMC Mol. Biol. 2005, 6, 21. [Google Scholar] [CrossRef] [PubMed]
- Marjara, I.S.; Chikwati, E.M.; Valen, E.C.; Krogdahl, A.; Bakke, A.M. Transcriptional regulation of IL-17A and other inflammatory markers during the development of soybean meal-induced enteropathy in the distal intestine of Atlantic salmon (Salmo salar L.). Cytokine 2012, 60, 186–196. [Google Scholar] [CrossRef] [PubMed]
- Kortner, T.M.; Gu, J.; Krogdahl, Å.; Bakke, A.M. Transcriptional regulation of cholesterol and bile acid metabolism after dietary soyabean meal treatment in Atlantic salmon (Salmo salar L.). Br. J. Nutr. 2013, 109, 593–604. [Google Scholar] [CrossRef] [PubMed]
- Løvoll, M.; Austbø, L.; Jørgensen, J.B.; Rimstad, E.; Frost, P. Transcription of reference genes used for quantitative RT-PCR in Atlantic salmon is affected by viral infection. Vet. Res. 2011, 42, 8. [Google Scholar] [CrossRef] [PubMed]
- Løkka, G.; Austbø, L.; Falk, K.; Bjerkås, I.; Koppang, E.O. Intestinal morphology of the wild Atlantic salmon (Salmo salar). J. Morphol. 2013, 274, 859–876. [Google Scholar] [CrossRef] [PubMed]
- Moldal, T.; Løkka, G.; Wiik-Nielsen, J.; Austbø, L.; Torstensen, B.E.; Rosenlund, G.; Dale, O.B.; Kaldhusdal, M.; Koppang, E.O. Substitution of dietary fish oil with plant oils is associated with shortened mid intestinal folds in Atlantic salmon (Salmo salar). BMC Vet. Res. 2014, 10, 60. [Google Scholar] [CrossRef] [PubMed]






| Pyloric Ceca | Mid-Intestine | Distal Intestine | ||||
|---|---|---|---|---|---|---|
| Control | DON | Control | DON | Control | DON | |
| IL-1β | 1 ± 0.27 a | 0.96 ± 0.40 | 1 ± 0.22 a | 0.94 ± 0.13 | 1 ± 0.21 a | 1.45 ± 0.25 |
| SOCS1 | 1 ± 0.23 | 1.74 ± 0.27 * | 1 ± 0.20 a | 0.99 ± 0.29 | 1 ± 0.37 c | 6.24 ± 2.17 *,a |
| SOCS2 | 1 ± 0.29 | 1.49 ± 0.28 | 1 ± 0.16 a | 2.26 ± 0.63 | 1 ± 0.17 | 7.19 ± 1.01 * |
| Claudin 25b | 1 ± 0.14 | 1.25 ± 0.57 | 1 ± 0.22 a | 0.49 ± 0.09 * | 1 ± 0.20 a | 0.27 ± 0.05 *,a |
| Occludin | 1 ± 0.10 | 0.72 ± 0.32 * | 1 ± 0.10 a | 0.60 ± 0.26 *,b | 1 ± 0.22 | 0.50 ± 0.07 * |
| PCNA | 1 ± 0.24 | 2.23 ± 0.31 * | 1 ± 0.16 a | 2.98 ± 0.47 * | 1 ± 0.09 | 1.70 ± 0.19 * |
| Tricellulin | 1 ± 0.12 | 1.34 ± 0.54 | 1 ± 0.17 a | 0.32 ± 0.06 * | 1 ± 0.11 | 0.49 ± 0.09 * |
| Target | Gene Sequence 5→3′ | Reference |
|---|---|---|
| Claudin 25b | F-CCTGTAAGAGGGGTCCATCAR-TGACACATGTTCTGCCCTGT | [27] |
| IL-1β | F-GCTGGAGAGTGCTGTGGAAGAR-TGCTTCCCTCCTGCTCGTAG | [30] |
| Occludin | F-GACAGTGAGTTCCCCACCATR-ATCTCTCCCTGCAGGTCCTT | [28] |
| PCNA | F-TGAGCTCGTCGGGTATCTCTR-GTCCTCATTCCCAGCACACT | [31] |
| SOCS1 | F-TTCTTGATCCGGGATAGTCGR-TGTTTCCTGCACAGTTCCTG | [23] |
| SOCS2 | F-CACTGCCAACGAAGCCAAAGAGATR-CAAACTGCTTCAGCTTGGGCTTGA | [23] |
| Tricellulin | F-GGATGCCATGATGGGTAAACR-AGGAAGGCTGGGTCACTCTT | [28] |
| EF1AB | F-TGCCCCTCCAGGATGTCTACR-CACGGCCCACAGGTACTG | [32] |
© 2018 by the authors. Licensee MDPI, Basel, Switzerland. This article is an open access article distributed under the terms and conditions of the Creative Commons Attribution (CC BY) license (http://creativecommons.org/licenses/by/4.0/).
Share and Cite
Moldal, T.; Bernhoft, A.; Rosenlund, G.; Kaldhusdal, M.; Koppang, E.O. Dietary Deoxynivalenol (DON) May Impair the Epithelial Barrier and Modulate the Cytokine Signaling in the Intestine of Atlantic Salmon (Salmo salar). Toxins 2018, 10, 376. https://doi.org/10.3390/toxins10090376
Moldal T, Bernhoft A, Rosenlund G, Kaldhusdal M, Koppang EO. Dietary Deoxynivalenol (DON) May Impair the Epithelial Barrier and Modulate the Cytokine Signaling in the Intestine of Atlantic Salmon (Salmo salar). Toxins. 2018; 10(9):376. https://doi.org/10.3390/toxins10090376
Chicago/Turabian StyleMoldal, Torfinn, Aksel Bernhoft, Grethe Rosenlund, Magne Kaldhusdal, and Erling Olaf Koppang. 2018. "Dietary Deoxynivalenol (DON) May Impair the Epithelial Barrier and Modulate the Cytokine Signaling in the Intestine of Atlantic Salmon (Salmo salar)" Toxins 10, no. 9: 376. https://doi.org/10.3390/toxins10090376
APA StyleMoldal, T., Bernhoft, A., Rosenlund, G., Kaldhusdal, M., & Koppang, E. O. (2018). Dietary Deoxynivalenol (DON) May Impair the Epithelial Barrier and Modulate the Cytokine Signaling in the Intestine of Atlantic Salmon (Salmo salar). Toxins, 10(9), 376. https://doi.org/10.3390/toxins10090376

