Effects of Sleeve Gastrectomy on Blood Pressure Reduction in Diet-Induced Obese Hypertensive Rats: A Potential Role of Prouroguanylin
Abstract
1. Introduction
2. Materials and Methods
2.1. Animals
2.2. Experimental Protocol
2.3. Sample Size and Power
2.4. Animal Care Monitoring
2.5. SG
2.6. Reagent
2.7. BP Measurement
2.8. Protocols for Blood, Urine, and Tissue Collection and Storage
2.9. RNA Sequencing
2.10. Western Blot Analysis
2.11. Immunohistochemistry
2.12. Enzyme-Linked Immunosorbent Assay (ELISA)
2.13. Measurement of Urinary Sodium
2.14. Statistical Analysis
3. Results
3.1. Changes in Body Weight, Food Intake, BP, and Urinary Sodium Excretion
3.2. RNA Sequencing of the Jejunum and Ileum
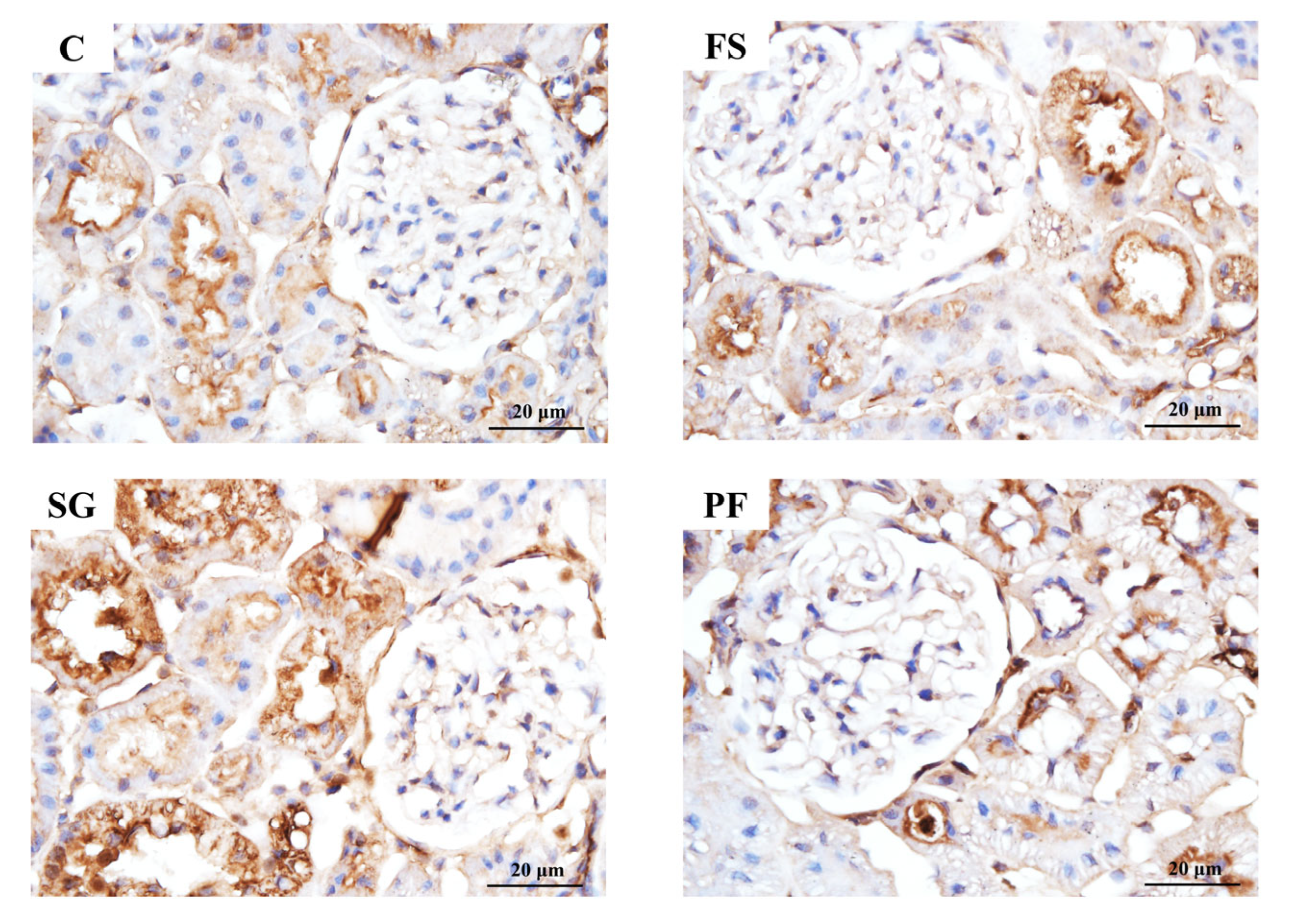
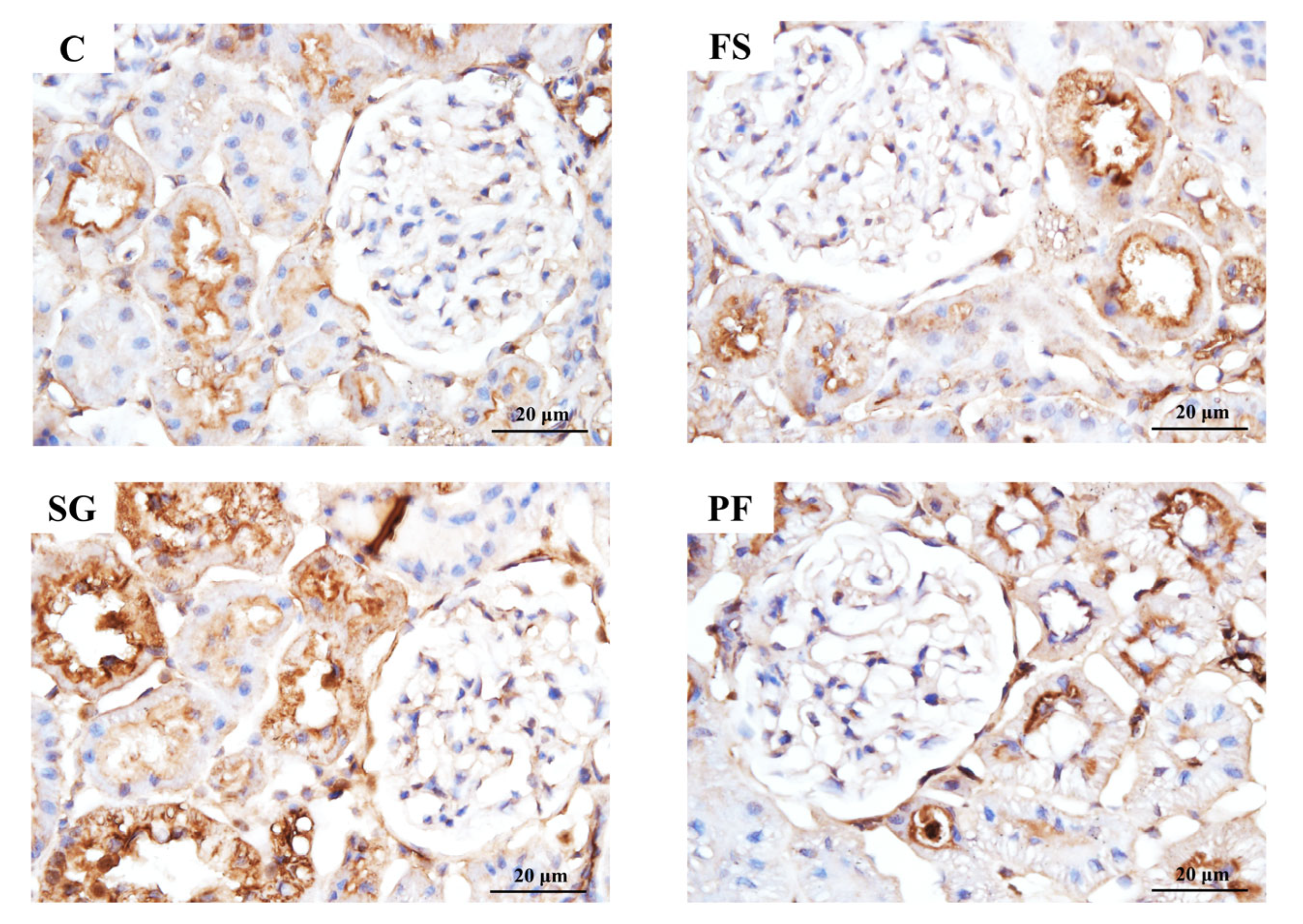
3.3. Changes in the Expression of proUGN and pS552-NHE3 Due to SG
3.4. Effects of UGN on BP, Urinary Sodium Excretion and Renal pS552-NHE3
4. Discussion
4.1. Factors Associated with the Antihypertensive Effect of SG
4.2. SG and RNA Sequencing
4.3. Association Between proUGN and the Antihypertensive Effects of SG
4.4. Changes in BP After the Administration of UGN
5. Conclusions
6. Limitations
Author Contributions
Funding
Institutional Review Board Statement
Data Availability Statement
Acknowledgments
Conflicts of Interest
References
- Howard, B.V.; Ruotolo, G.; Robbins, D.C. Obesity and dyslipidemia. Endocrinol. Metab. Clin. N. Am. 2003, 32, 855–867. [Google Scholar] [CrossRef]
- Abdullah, A.; Stoelwinder, J.; Shortreed, S.; Wolfe, R.; Stevenson, C.; Walls, H.; de Courten, M.; Peeters, A. The duration of obesity and the risk of type 2 diabetes. Public Health Nutr. 2011, 14, 119–126. [Google Scholar] [CrossRef]
- Schmieder, R.E.; Rockstroh, J.K. Obesity and hypertension. Curr. Opin. Nephrol. Hypertens. 1994, 3, 546–549. [Google Scholar] [CrossRef]
- Kurukulasuriya, L.R.; Govindarajan, G.; Sowers, J. Stroke prevention in diabetes and obesity. Expert. Rev. Cardiovasc. Ther. 2006, 4, 487–502. [Google Scholar] [CrossRef]
- Koliaki, C.; Liatis, S.; Kokkinos, A. Obesity and cardiovascular disease: Revisiting an old relationship. Metabolism 2019, 92, 98–107. [Google Scholar] [CrossRef] [PubMed]
- Whitlock, G.; Lewington, S.; Sherliker, P.; Clarke, R.; Emberson, J.; Halsey, J.; Qizilbash, N.; Collins, R.; Peto, R. Body-mass index and cause-specific mortality in 900 000 adults: Collaborative analyses of 57 prospective studies. Lancet 2009, 373, 1083–1096. [Google Scholar] [CrossRef] [PubMed]
- Vettor, R.; Milan, G.; Rossato, M.; Federspil, G. Review article: Adipocytokines and insulin resistance. Aliment. Pharmacol. Ther. 2005, 22 (Suppl. S2), 3–10. [Google Scholar] [CrossRef] [PubMed]
- Huby, A.C.; Antonova, G.; Groenendyk, J.; Gomez-Sanchez, C.E.; Bollag, W.B.; Filosa, J.A.; Belin de Chantemèle, E.J. Adipocyte-Derived Hormone Leptin Is a Direct Regulator of Aldosterone Secretion, Which Promotes Endothelial Dysfunction and Cardiac Fibrosis. Circulation 2015, 132, 2134–2145. [Google Scholar] [CrossRef]
- Kotsis, V.; Stabouli, S.; Papakatsika, S.; Rizos, Z.; Parati, G. Mechanisms of obesity-induced hypertension. Hypertens. Res. 2010, 33, 386–393. [Google Scholar] [CrossRef] [PubMed]
- Chung, A.Y.; Thompson, R.; Overby, D.W.; Duke, M.C.; Farrell, T.M. Sleeve Gastrectomy: Surgical Tips. J. Laparoendosc. Adv. Surg. Tech. A 2018, 28, 930–937. [Google Scholar] [CrossRef]
- Cao, P.; Li, J.; Wang, G.; Sun, X.; Luo, Z.; Zhu, S.; Zhu, L. Effects of sleeve gastrectomy on populations with obesity and obstructive sleep apnea: A meta-analysis. Surg. Obes. Relat. Dis. 2025, 21, 288–300. [Google Scholar] [CrossRef]
- de Brito, E.S.M.B.; Tustumi, F.; de Miranda Neto, A.A.; Dantas, A.C.B.; Santo, M.A.; Cecconello, I. Gastric Bypass Compared with Sleeve Gastrectomy for Nonalcoholic Fatty Liver Disease: A Systematic Review and Meta-analysis. Obes. Surg. 2021, 31, 2762–2772. [Google Scholar] [CrossRef] [PubMed]
- Vigilante, A.; Signorini, F.; Marani, M.; Paganini, V.; Viscido, G.; Navarro, L.; Obeide, L.; Moser, F. Impact on Dyslipidemia After Laparoscopic Sleeve Gastrectomy. Obes. Surg. 2018, 28, 3111–3115. [Google Scholar] [CrossRef]
- Switzer, N.J.; Prasad, S.; Debru, E.; Church, N.; Mitchell, P.; Gill, R.S. Sleeve Gastrectomy and Type 2 Diabetes Mellitus: A Systematic Review of Long-Term Outcomes. Obes. Surg. 2016, 26, 1616–1621. [Google Scholar] [CrossRef]
- Juodeikis, Ž.; Brimas, G. Long-term results after sleeve gastrectomy: A systematic review. Surg. Obes. Relat. Dis. 2017, 13, 693–699. [Google Scholar] [CrossRef]
- Samson, R.; Milligan, G.; Lewine, E.; Sindi, F.; Garagliano, J.; Fernandez, C.; Moore, R.; DuCoin, C.; Oparil, S.; TH, L.E.J. Effect of sleeve gastrectomy on hypertension. J. Am. Soc. Hypertens. 2018, 12, e19–e25. [Google Scholar] [CrossRef]
- Sarkhosh, K.; Birch, D.W.; Shi, X.; Gill, R.S.; Karmali, S. The impact of sleeve gastrectomy on hypertension: A systematic review. Obes. Surg. 2012, 22, 832–837. [Google Scholar] [CrossRef]
- Graham, C.; Switzer, N.; Reso, A.; Armstrong, C.; Church, N.; Mitchell, P.; Debru, E.; Gill, R. Sleeve gastrectomy and hypertension: A systematic review of long-term outcomes. Surg. Endosc. 2019, 33, 3001–3007. [Google Scholar] [CrossRef] [PubMed]
- Arakawa, R.; Febres, G.; Cheng, B.; Krikhely, A.; Bessler, M.; Korner, J. Prospective study of gut hormone and metabolic changes after laparoscopic sleeve gastrectomy and Roux-en-Y gastric bypass. PLoS ONE 2020, 15, e0236133. [Google Scholar] [CrossRef]
- Climent, E.; Oliveras, A.; Pedro-Botet, J.; Goday, A.; Benaiges, D. Bariatric Surgery and Hypertension. J. Clin. Med. 2021, 10, 4049. [Google Scholar] [CrossRef] [PubMed]
- Yoshida, Y.; Gotoh, K.; Masaki, T.; Ozeki, Y.; Tokoro, M.; Kudo, A.; Ozaki, T.; Okamoto, M.; Chiba, S.; Watanabe, K.; et al. Effects of Sleeve Gastrectomy on Blood Pressure and the Renal Renin-Angiotensin System in Rats with Diet-Induced Obesity. Obesity 2019, 27, 785–792. [Google Scholar] [CrossRef]
- Kawano, Y.; Ohta, M.; Hirashita, T.; Masuda, T.; Inomata, M.; Kitano, S. Effects of sleeve gastrectomy on lipid metabolism in an obese diabetic rat model. Obes. Surg. 2013, 23, 1947–1956. [Google Scholar] [CrossRef]
- Fujinaga, A.; Ohta, M.; Endo, Y.; Nakanuma, H.; Kawamura, M.; Hirashita, Y.; Kawasaki, T.; Masuda, T.; Hirashita, T.; Gotoh, K.; et al. Changes of Short-Chain Fatty Acids and Their Receptors in an Obese Rat Model After Sleeve Gastrectomy. Obes. Surg. 2022, 32, 2649–2657. [Google Scholar] [CrossRef]
- Bolger, A.M.; Lohse, M.; Usadel, B. Trimmomatic: A flexible trimmer for Illumina sequence data. Bioinformatics 2014, 30, 2114–2120. [Google Scholar] [CrossRef]
- Li, B.; Dewey, C.N. RSEM: Accurate transcript quantification from RNA-Seq data with or without a reference genome. BMC Bioinform. 2011, 12, 323. [Google Scholar] [CrossRef]
- Langmead, B.; Salzberg, S.L. Fast gapped-read alignment with Bowtie 2. Nat. Methods 2012, 9, 357–359. [Google Scholar] [CrossRef]
- Robinson, M.D.; McCarthy, D.J.; Smyth, G.K. edgeR: A Bioconductor package for differential expression analysis of digital gene expression data. Bioinformatics 2010, 26, 139–140. [Google Scholar] [CrossRef] [PubMed]
- Zhao, H.; Wiederkehr, M.R.; Fan, L.; Collazo, R.L.; Crowder, L.A.; Moe, O.W. Acute inhibition of Na/H exchanger NHE-3 by cAMP. Role of protein kinase a and NHE-3 phosphoserines 552 and 605. J. Biol. Chem. 1999, 274, 3978–3987. [Google Scholar] [CrossRef] [PubMed]
- Yin, X.; Qian, J.; Wang, Y.; Yang, C.; Jia, B.; Cheng, Y.; Yu, G.; Wang, Y. Short-term outcome and early effect on blood pressure of laparoscopic sleeve gastrectomy in morbidly obese patients. Clin. Exp. Hypertens. 2019, 41, 622–626. [Google Scholar] [CrossRef] [PubMed]
- Rodriguez, A.; Becerril, S.; Valenti, V.; Ramirez, B.; Martin, M.; Mendez-Gimenez, L.; Lancha, A.; del Sol Calderon, P.; Catalan, V.; Burrell, M.A.; et al. Sleeve gastrectomy reduces blood pressure in obese (fa/fa) Zucker rats. Obes. Surg. 2012, 22, 309–315. [Google Scholar] [CrossRef]
- Wang, Z.; Gerstein, M.; Snyder, M. RNA-Seq: A revolutionary tool for transcriptomics. Nat. Rev. Genet. 2009, 10, 57–63. [Google Scholar] [CrossRef]
- Oppenländer, L.; Palit, S.; Stemmer, K.; Greisle, T.; Sterr, M.; Salinno, C.; Bastidas-Ponce, A.; Feuchtinger, A.; Böttcher, A.; Ansarullah; et al. Vertical sleeve gastrectomy triggers fast β-cell recovery upon overt diabetes. Mol. Metab. 2021, 54, 101330. [Google Scholar] [CrossRef]
- Harris, D.A.; Mina, A.; Cabarkapa, D.; Heshmati, K.; Subramaniam, R.; Banks, A.S.; Tavakkoli, A.; Sheu, E.G. Sleeve gastrectomy enhances glucose utilization and remodels adipose tissue independent of weight loss. Am. J. Physiol. Endocrinol. Metab. 2020, 318, e678–e688. [Google Scholar] [CrossRef]
- Ahn, C.H.; Choi, E.H.; Lee, H.; Lee, W.; Kim, J.I.; Cho, Y.M. Vertical sleeve gastrectomy induces distinctive transcriptomic responses in liver, fat and muscle. Sci. Rep. 2021, 11, 2310. [Google Scholar] [CrossRef]
- Rahbi, H.; Narayan, H.; Jones, D.J.; Ng, L.L. The uroguanylin system and human disease. Clin. Sci. 2012, 123, 659–668. [Google Scholar] [CrossRef] [PubMed]
- Lessa, L.M.; Carraro-Lacroix, L.R.; Crajoinas, R.O.; Bezerra, C.N.; Dariolli, R.; Girardi, A.C.; Fonteles, M.C.; Malnic, G. Mechanisms underlying the inhibitory effects of uroguanylin on NHE3 transport activity in renal proximal tubule. Am. J. Physiol. Ren. Physiol. 2012, 303, F1399–F1408. [Google Scholar] [CrossRef]
- Fruhbeck, G.; Becerril, S.; Martin, M.; Ramirez, B.; Valenti, V.; Moncada, R.; Catalan, V.; Gomez-Ambrosi, J.; Silva, C.; Burrell, M.A.; et al. High plasma and lingual uroguanylin as potential contributors to changes in food preference after sleeve gastrectomy. Metabolism 2022, 128, 155119. [Google Scholar] [CrossRef] [PubMed]
- Kinoshita, H.; Fujimoto, S.; Nakazato, M.; Yokota, N.; Date, Y.; Yamaguchi, H.; Hisanaga, S.; Eto, T. Urine and plasma levels of uroguanylin and its molecular forms in renal diseases. Kidney Int. 1997, 52, 1028–1034. [Google Scholar] [CrossRef]
- Moss, N.G.; Riguera, D.A.; Fellner, R.C.; Cazzolla, C.; Goy, M.F. Natriuretic and antikaliuretic effects of uroguanylin and prouroguanylin in the rat. Am. J. Physiol. Ren. Physiol. 2010, 299, F1433–F1442. [Google Scholar] [CrossRef] [PubMed]
- Wang, T.; Kawabata, M.; Haneda, M.; Takabatake, T. Effects of uroguanylin, an intestinal natriuretic peptide, on tubuloglomerular feedback. Hypertens. Res. 2003, 26, 577–582. [Google Scholar] [CrossRef]
- Lorenz, J.N.; Nieman, M.; Sabo, J.; Sanford, L.P.; Hawkins, J.A.; Elitsur, N.; Gawenis, L.R.; Clarke, L.L.; Cohen, M.B. Uroguanylin knockout mice have increased blood pressure and impaired natriuretic response to enteral NaCl load. J. Clin. Investig. 2003, 112, 1244–1254. [Google Scholar] [CrossRef] [PubMed]
- Elitsur, N.; Lorenz, J.N.; Hawkins, J.A.; Rudolph, J.A.; Witte, D.; Yang, L.E.; McDonough, A.A.; Cohen, M.B. The proximal convoluted tubule is a target for the uroguanylin-regulated natriuretic response. J. Pediatr. Gastroenterol. Nutr. 2006, 43 (Suppl. S1), S74–S81. [Google Scholar] [CrossRef] [PubMed]









Disclaimer/Publisher’s Note: The statements, opinions and data contained in all publications are solely those of the individual author(s) and contributor(s) and not of MDPI and/or the editor(s). MDPI and/or the editor(s) disclaim responsibility for any injury to people or property resulting from any ideas, methods, instructions or products referred to in the content. |
© 2025 by the authors. Licensee MDPI, Basel, Switzerland. This article is an open access article distributed under the terms and conditions of the Creative Commons Attribution (CC BY) license (https://creativecommons.org/licenses/by/4.0/).
Share and Cite
Matsuda, N.; Yoshida, Y.; Gotoh, K.; Nagai, S.; Kurimoto, R.; Sada, K.; Noguchi, T.; Suzuki, M.; Miyamoto, S.; Ozeki, Y.; et al. Effects of Sleeve Gastrectomy on Blood Pressure Reduction in Diet-Induced Obese Hypertensive Rats: A Potential Role of Prouroguanylin. Nutrients 2025, 17, 3581. https://doi.org/10.3390/nu17223581
Matsuda N, Yoshida Y, Gotoh K, Nagai S, Kurimoto R, Sada K, Noguchi T, Suzuki M, Miyamoto S, Ozeki Y, et al. Effects of Sleeve Gastrectomy on Blood Pressure Reduction in Diet-Induced Obese Hypertensive Rats: A Potential Role of Prouroguanylin. Nutrients. 2025; 17(22):3581. https://doi.org/10.3390/nu17223581
Chicago/Turabian StyleMatsuda, Naoki, Yuichi Yoshida, Koro Gotoh, Satoshi Nagai, Ryo Kurimoto, Kentaro Sada, Takaaki Noguchi, Miho Suzuki, Shotaro Miyamoto, Yoshinori Ozeki, and et al. 2025. "Effects of Sleeve Gastrectomy on Blood Pressure Reduction in Diet-Induced Obese Hypertensive Rats: A Potential Role of Prouroguanylin" Nutrients 17, no. 22: 3581. https://doi.org/10.3390/nu17223581
APA StyleMatsuda, N., Yoshida, Y., Gotoh, K., Nagai, S., Kurimoto, R., Sada, K., Noguchi, T., Suzuki, M., Miyamoto, S., Ozeki, Y., Ozaki, T., Kudo, A., Nakata, T., Fukuda, A., Masaki, T., & Shibata, H. (2025). Effects of Sleeve Gastrectomy on Blood Pressure Reduction in Diet-Induced Obese Hypertensive Rats: A Potential Role of Prouroguanylin. Nutrients, 17(22), 3581. https://doi.org/10.3390/nu17223581

