Evaluation of the Effects of Diet-Induced Obesity in Zebrafish (Danio rerio): A Comparative Study
Abstract
1. Introduction
2. Materials and Methods
2.1. Animal Model
2.2. Experimental Design
- (1)
- Control group 1: fed with Artemia sp. (a live prey)—15 mg/day/fish (in the first month) and 30 mg/day/fish (in the second month).
- (2)
- Control group 2: fed with commercial fish food—3.5% of the group’s average body weight.
- (3)
- Obesity group 1: overfed with powdered egg yolk mixed with soybean oil in a proportion of 2.5 yolk to 1 oil (g/g)—5% of the group’s average body weight, simulating a high-fat diet.
- (4)
- Obesity group 2: overfed with Artemia sp.—60 mg/day/fish (in the first month) and 120 mg/day/fish (in the second month).
2.3. Characterization of the Diets and Production Composition
2.4. Evaluation of the Effects Associated with Obesity Induction
2.5. Evaluation of Dietary Consumption, Caloric Intake, and Caloric Efficiency
2.6. Body Weight, Length, and Determination of Body Mass Index (BMI)
2.7. Collection of Biological Material
2.8. Analysis of Biochemical and Inflammatory Parameters
2.9. Microscopic Analysis of Visceral Adipose Tissue
2.10. Stereological Analysis of Visceral Adipose Tissue
2.11. Analysis of Relative Gene Expression of Inflammatory Markers
2.12. Behavior Analysis—New Tank
2.13. Statistical Analysis
3. Results
3.1. Dietary Consumption, Caloric Intake, and Caloric Efficiency
3.2. Body Weight, Length, and Body Mass Index (BMI)
3.3. Biochemical and Inflammatory Parameters
3.4. Relative Gene Expression of Inflammatory Markers of Visceral Adipose Tissue in Zebrafish with Obesity
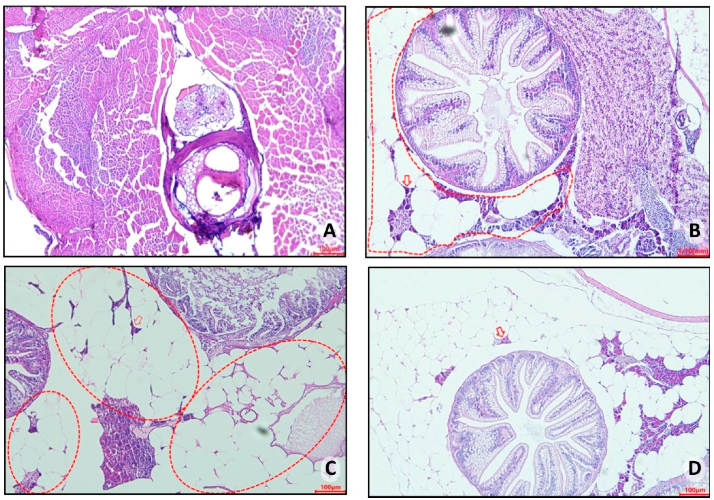
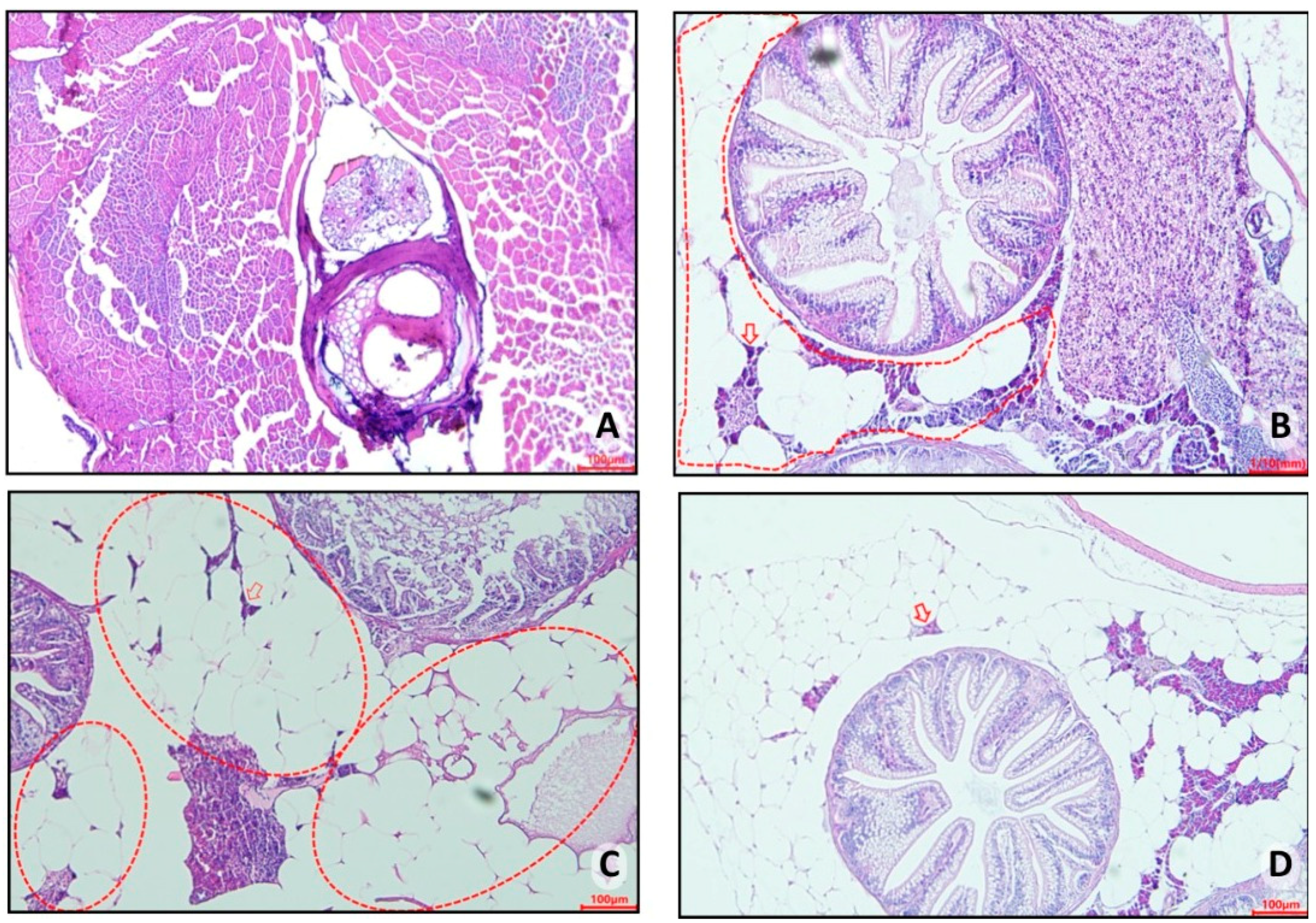
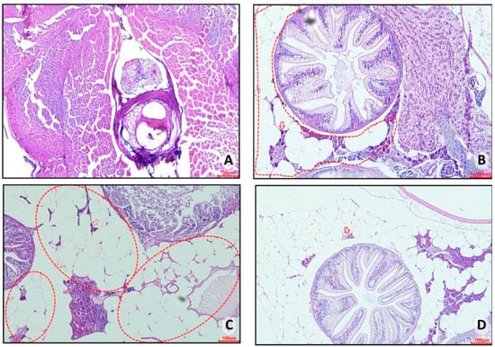
3.5. Histopathological Aspects of Visceral Adipose Tissue in Zebrafish with Obesity
3.6. Visceral Body Fat: Stereological Analysis
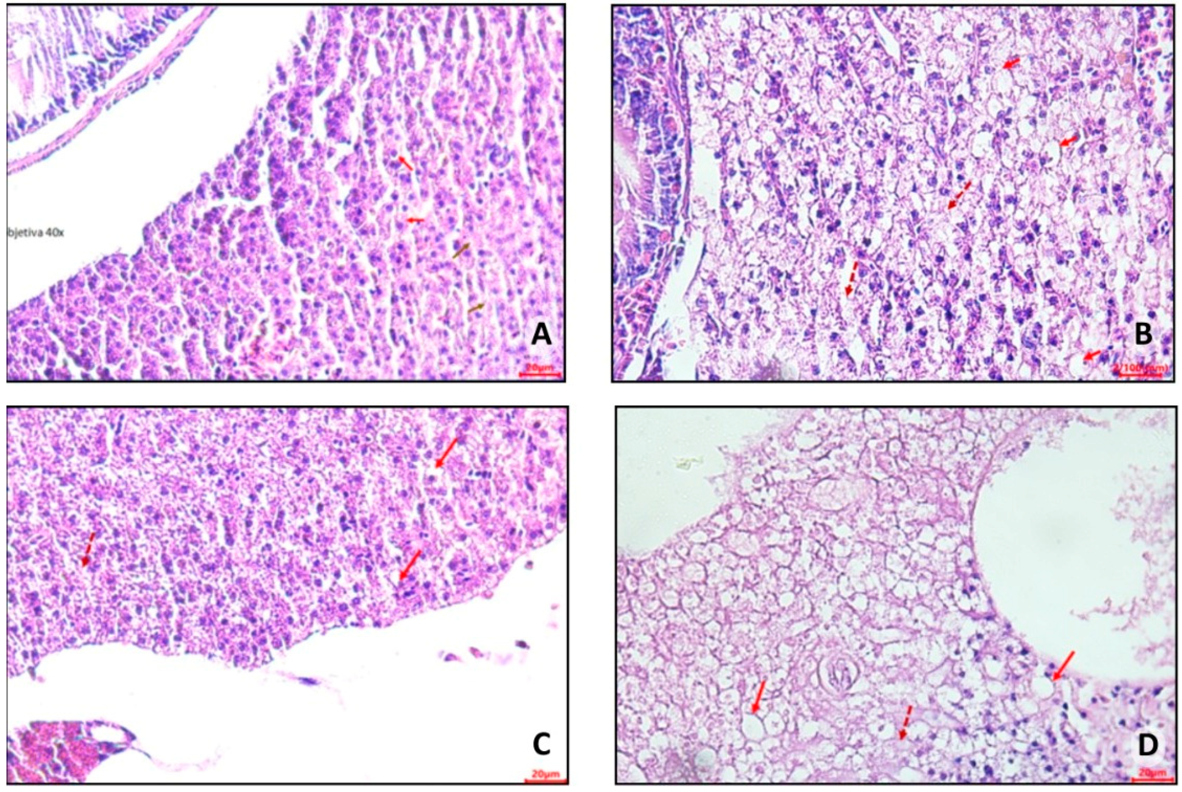
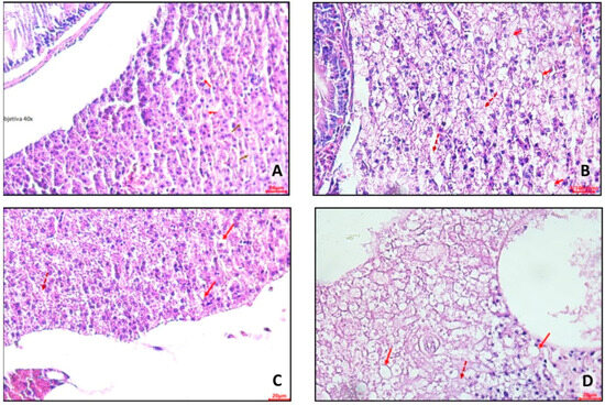
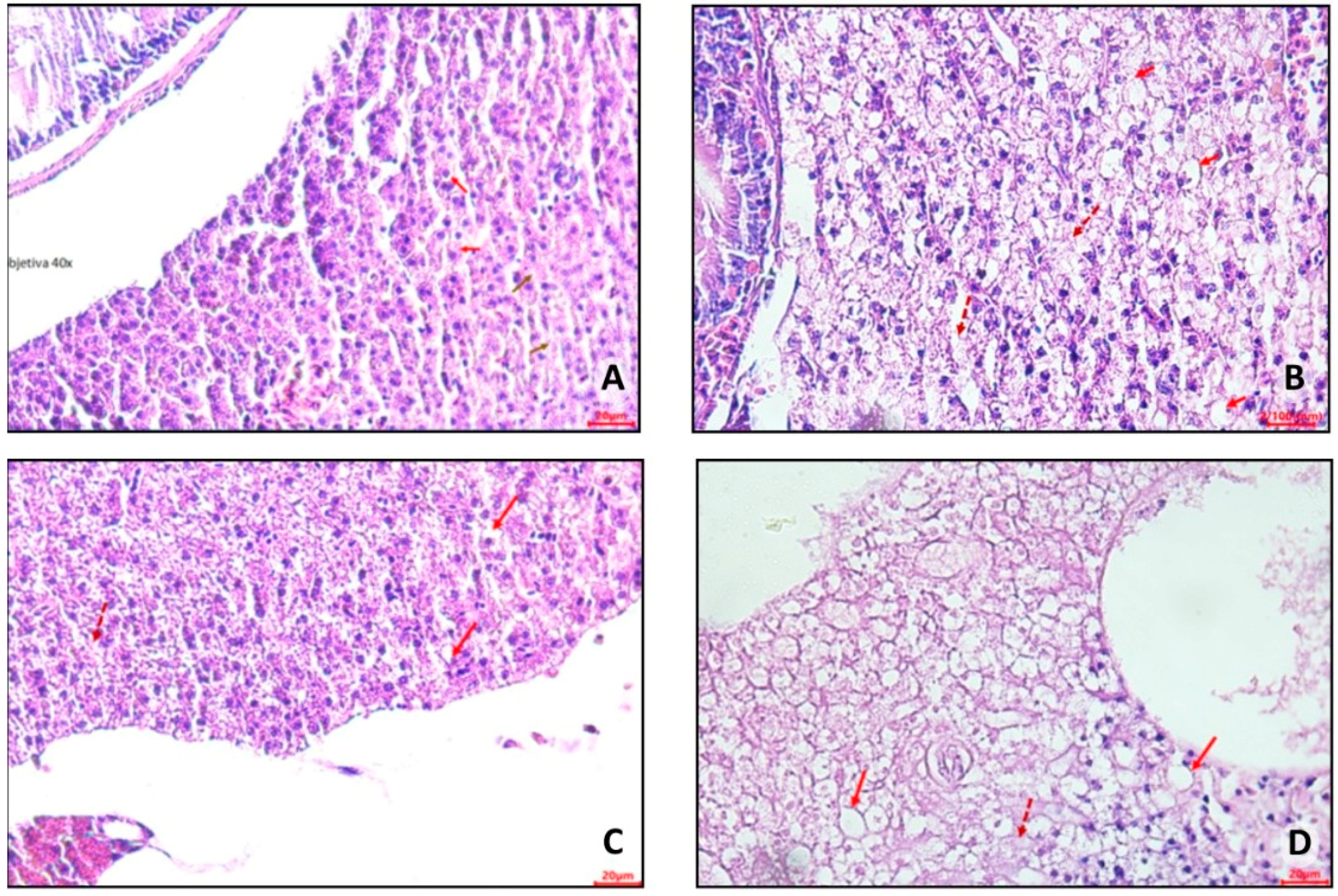
3.7. Histopathological Analysis in Hepatocytes and Intestines of Zebrafish with Obesity
3.8. Behavior Analysis—New Tank
4. Discussion
5. Conclusions
Author Contributions
Funding
Institutional Review Board Statement
Data Availability Statement
Conflicts of Interest
References
- World Obesity Atlas. Available online: https://www.worldobesity.org/resources/resource-library/world-obesity-atlas-2023 (accessed on 2 February 2023).
- Pepe, R.B.; Lottenberg, A.M.P.; Fujiwara, C.T.; Beyruti, M.; Cintra, D.E.; Machado, R.M.; Rodrigues, A.; Jensen, N.S.; Caldas, A.; Fernandes, A.E.; et al. Posicionamento Sobre o Tratamento Nutricional do Sobrepeso e da Obesidade Departamento de Nutrição da Associação Brasileira para o Estudo da Obesidade e da Síndrome Metabólica—ABESO—2022. Available online: https://abeso.org.br/wp-content/uploads/2022/11/posicionamento_2022-alterado-nov-22-1.pdf (accessed on 2 February 2023).
- Queiroz, L.J.; Medeiros, I.; Rosa, S.; Coimbra, M.; Camillo, C.S.; Paulo, P.; Guerra, G.C.B.; da Silva, V.C.; Schroeder, H.T.; Krause, M.; et al. Efficacy of Carotenoid-Loaded Gelatin Nanoparticles in Reducing Plasma Cytokines and Adipocyte Hypertrophy in Wistar Rats. Int. J. Mol. Sci. 2023, 24, 10657–10667. [Google Scholar] [CrossRef] [PubMed]
- Silva, F.P.; Araújo, D.; Carnier, M.; Paloma, K.M.; Valter, T.B.; Rischiteli, A.B.S.; Avila, F.; Pontes, L.P.P.; Hachul, A.C.L.; Neto, N.I.P.; et al. Low dose of Juçara pulp (Euterpe edulis Mart.) minimizes the colon inflammatory milieu promoted by hypercaloric and hyperlipidic diet in mice. J. Funct. Foods. 2021, 1, 104343–104353. [Google Scholar] [CrossRef]
- Laranjo, L.; Fortes, N.C.L.; Santiago, H.C.; Marcelo, V.C.; Maria, A.G.; Moura, D. Obesity-induced diet leads to weight gain, systemic metabolic alterations, adipose tissue inflammation, hepatic steatosis, and oxidative stress in gerbils (Meriones unguiculatus). PeerJ 2017, 5, 2967. [Google Scholar] [CrossRef]
- Sanders, F.W.B.; Acharjee, A.; Walker, C.; Marney, L.; Roberts, L.D.; Imamura, F.; Jenkins, B.; Case, J.; Ray, S.; Virtue, S.; et al. Hepatic steatosis risk is partly driven by increased lipogenesis following carbohydrate consumption. Genome Biol. 2018, 19, 79. [Google Scholar] [CrossRef]
- Saluja, D.; Jhanji, R.; Swati, K.; Bharti, V.; Neelam, S.; Rima, S.; Shelly, A.; Meena, Y.; Anoop, K.; Charan, S.; et al. Importance of Zebrafish as an Efficient Research Model for the Screening of Novel Therapeutics in Neurological Disorders. CNS Neurol. Disord. Drug Targets 2021, 20, 145–157. [Google Scholar] [CrossRef] [PubMed]
- Dammski, A.; Müller, B.; Gaya, C.; Regonato, D. Zebrafish Manual de Criação em Biotério. 2011. Available online: https://gia.org.br/portal/wp-content/uploads/2013/06/ZEBRAFISH.pdf.pdf (accessed on 11 November 2023).
- Zang, L.; Maddison, A.; Chen, W. Zebrafish as a model for obesity and diabetes. Front. Cell Dev. Biol. 2019, 6, 91. [Google Scholar] [CrossRef]
- Adhish, A.; Manjubala, I. Effectiveness of zebrafish models in understanding human diseases—A review of models. Heliyon 2023, 9, e14557. [Google Scholar] [CrossRef] [PubMed]
- Howe, K.; Clark, M.D.; Torroja, C.F.; Torrance, J.; Berthelot, C.; Muffato, M.; Collins, J.E.; Humphray, S.; McLaren, K.; Matthews, L.; et al. The zebrafish reference genome sequence and its relationship to the human genome. Nature 2013, 496, 498–503. [Google Scholar] [CrossRef]
- Montalbano, G.; Mania, M.; Abbate, F.; Navarra, M.; Guerrera, M.C.; Laura, R.; Vega, J.A.; Levanti, M.; Germanà, A. Melatonin treatment suppresses appetite genes and improves adipose tissue plasticity in diet-induced obese zebrafish. Endocrine 2018, 26, 381–393. [Google Scholar] [CrossRef]
- Meguro, S.; Hasumura, T.; Hase, T. Body Fat Accumulation in Zebrafish Is Induced by a Diet Rich in Fat and Reduced by Supplementation with Green Tea Extract. PLoS ONE. 2015, 18, e0120142. [Google Scholar] [CrossRef]
- Oka, T.; Nishimura, Y.; Zang, L.; Hirano, M.; Shimada, Y.; Wang, Z.; Umemoto, N.; Kuroyanagi, J.; Nishimura, N.; Tanaka, T. Diet-induced obesity in zebrafish shares common pathophysiological pathways with mammalian obesity. BMC Physiol. 2010, 10, 21. [Google Scholar] [CrossRef]
- Westerfield, M. O Livro do Peixe-Zebra, 5ª Edição; Um Guia Para o uso Laboratorial de Peixe-Zebra (Danio Rerio); Livro de Bolso, University of Oregon Press: Eugene, OR, USA, 2007. [Google Scholar]
- Landgraf, K.; Schuster, S.; Meusel, A.; Garten, A.; Riemer, T.; Schleinitz, D.; Kiess, W.; Körner, A. Short-term overfeeding of zebrafish with normal or high-fat diet as a model for the development of metabolically healthy versus unhealthy obesity. BMC Physiol. 2017, 17, 4. [Google Scholar] [CrossRef]
- Jamali, H.; Ahmadifard, N.; Noori, F.; Agh, N.; Gisbert, E. Improving coofeeding strategies for Neotropical green terror cichlid (Aequidens rivulatus) larvae with lecithin-enriched Artemia franciscana nauplii: Effects on survival, growth performance and body composition. Aquac. Res. 2018, 49, 3909–3918. [Google Scholar] [CrossRef]
- UNIFESP. Universidade Federal de São Paulo. Comissão de Ética no Uso de Animais. Available online: https://site.unifesp.br/ceua/images/documentos/CEUA/Guia_Eutanasia_CEUA_UNIFESP_2024.pdf (accessed on 4 December 2023).
- Barcellos, L.J.G.; Ritter, F.; Kreutz, L.C.; Quevedo, R.M.; Silva, L.B.; Bedin, A.C.; Finco, J.; Cericato, L. Whole-body cortisol increases after direct and visual contact with a predator in zebrafish, Danio rerio. Aquac. Res. 2007, 272, 774–778. [Google Scholar] [CrossRef]
- Vendrame, S.; Daugherty, A.; Kristo, A.S.; Riso, P.; Klimis-Zacas, D. Wild blueberry (Vaccinium angustifolium) consumption improves inflammatory status in the obese Zucker rat model of the metabolic syndrome. J. Nutr. Biochem. 2013, 24, 1508–1512. [Google Scholar] [CrossRef]
- Martins, L.B.; Oliveira, M.C.; Menezes-Garcia, Z.; Rodrigues, D.F.; Lana, J.P.; Vieira, L.Q.; Teixeira, M.M.; Ferreira, A.V.M. Paradoxical role of Tumor of Necrosis Factor on metabolic dysfunction and adipose tissue expansion in mice. Nutr. J. 2017, 50, 1–7. [Google Scholar] [CrossRef]
- Luz, A.B.S.; Figueredo, J.B.S.; Salviano, B.D.P.D.; Aguiar, A.J.F.C.; Pinheiro, L.G.S.D.P.; Camillo, C.S.; Maciel, B.L.L.; Morais, A.H.A. Adipocytes and intestinal epithelium dysfunctionslinking obesity to inflammation induced by High Glycemic Index Pellet-diet in Wistar. Biosci. Rep. 2018, 38, 3. [Google Scholar] [CrossRef]
- Martins, F.F.; Marinho, T.S.; Cardoso, L.E.M.; Silva, S.B.; Mello, V.S.; Aguila, M.B.; Lacerda, C.A.M. Semaglutide (GLP-1 receptor agonist) stimulates browning on subcutaneous fat adipocytes and mitigates inflammation and endoplasmic reticulum stress in visceral fat adipocytes of obese mice. Cell Biochem. Funct. 2022, 40, 903–913. [Google Scholar] [CrossRef]
- Tschanz, S.A.; Burri, P.H.; Weibel, E.R. A simple tool for stereological assessment of digital images: The STEPanizer. J. Microsc. 2011, 243, 47–59. [Google Scholar] [CrossRef] [PubMed]
- Bustin, S.A.; Benes, V.; Garson, J.A.; Hellemans, J.; Huggett, J.; Kubista, M.; Mueller, R.; Nolan, T.; Pfaffl, M.W.; Shipley, G.L.; et al. The MIQE Guidelines: Minimum Information for Publication of Quantitative Real-Time PCR Experiments. Clin. Chem. 2009, 55, 611–622. [Google Scholar] [CrossRef] [PubMed]
- Sua, B.C.; Laia, Y.W.; Chena, J.Y.; Yu, C. PanTransgenic expression of tilapia piscidin 3 (TP3) in zebrafish confers resistance to Streptococcus agalactiae. Fish Shellfish. Immunol. 2018, 74, 235–241. [Google Scholar] [CrossRef] [PubMed]
- Nuankaew, W.; Lee, H.K.; Nam, Y.H.; Shim, J.H.; Kim, N.W.; Shin, S.W.; Kim, M.C.; Shin, S.Y.; Hong, B.N.; Dej-adisai, S.; et al. The Effects of Persimmon (Diospyros kaki L.f.) Oligosaccharides on Features of the Metabolic Syndrome in Zebrafish. Nutrients 2022, 14, 3249. [Google Scholar] [CrossRef]
- Li, P.; Li, Z.-H.; Zhong, L. Effects of low concentrations of triphenyltin on neurobehavior and the thyroid endocrine system in zebrafish. Ecotoxicol. Environ. Saf. 2019, 186, 109776. [Google Scholar] [CrossRef]
- Moreira, A.L.P.; Luchiari, A.C. Effects of oxybenzone on zebrafish behavior and cognition. Sci. Total Environ. 2022, 808, 152101. [Google Scholar] [CrossRef]
- Jin, Y.; Kozan, D.; Anderson, J.L.; Hensley, M.; Shen, M.C.; Wen, J.; Moll, T.; Kozan, H.; Rawls, J.F.; Farber, S.A. A high-cholesterol zebrafish diet promotes hypercholesterolemia and fasting-associated liver triglycerides accumulation. bioRxiv 2023. [Google Scholar] [CrossRef]
- Li, L.; Chen, J.; Sun, H.; Niu, Q.; Zhao, Y.; Yang, X.; Sun, Q. Orm2 Deficiency Aggravates High-Fat Diet-Induced Obesity through Gut Microbial Dysbiosis and Intestinal Inflammation. Mol. Nutr. Food Res. 2023, 18, 68. [Google Scholar] [CrossRef] [PubMed]
- Teixeira, B.C.; Lopes, A.L.; Macedo, R.C.O.; Correa, C.S.; Ramis, T.R.; Ribeiro, J.L.; Reischak-Oliveira, A. Inflammatory markers, endothelial function and cardiovascular risk. J. Vasc. Bras. 2014, 13, 108–115. [Google Scholar] [CrossRef][Green Version]
- Ang, Z.; Ding, J.L. GPR41 and GPR43 in Obesity and Inflammation—Protective or Causative? Front. Immunol. 2016, 7, 28. [Google Scholar] [CrossRef]
- Banerjee, D.; Patra, D.; Sinha, A.; Roy, S.; Pant, R.; Sarmah, R.; Dutta, R.; Bhagabati, S.K.; Tikoo, K.; Pal, D.; et al. Lipid-induced monokine cyclophilin-A promotes adipose tissue dysfunction implementing insulin resistance and type 2 diabetes in zebrafish and mice models of obesity. Cell. Mol. Life Sci. 2022, 79, 282. [Google Scholar] [CrossRef]
- Nielsen, K.N.; Peics, J.; Ma, T.; Karavaeva, I.; Dall, M.; Chubanava, S.; Basse, A.L.; Dmytriyeva, O.; Treebak, J.T.; Gerhart-Hines, Z. NAMPT-mediated NAD+ biosynthesis is indispensable for adipose tissue plasticity and development of obesity. Mol. Metab. 2018, 11, 178–188. [Google Scholar] [CrossRef]
- Lempesis, I.G.; Meijel, R.L.J.; Manolopoulos, K.N.; Goossens, G.H. Oxygenation of adipose tissue: A human perspective. Acta Physiol. 2019, 228, e13298. [Google Scholar] [CrossRef]
- Minchin, J.; Rawls, J.F. A classification system for zebrafish adipose tissues. Dis. Model. Mech. 2017, 10, 797–809. [Google Scholar] [CrossRef]
- Türkoğlu, M.; Baran, A.; Sulukan, E.; Ghosigharehagaji, A.; Yildirim, S.; Ceyhun, H.A.; Bolat, I.; Arslan, M.; Ceyhun, S.B. The potential effect mechanism of high-fat and high-carbohydrate diet-induced obesity on anxiety and offspring of zebrafish. Eating and Weight Disorders—Studies on Anorexia. Bulim. Obes. 2021, 27, 163–177. [Google Scholar] [CrossRef]
- Alonso-Caraballo, Y.; Hodgson, K.J.; Morgan, S.A.; Ferrario, C.R.; Vollbrecht, P.J. Enhanced anxiety-like behavior emerges with weight gain in male and female obesity-susceptible rats. Behav. Brain Res. 2019, 360, 81–93. [Google Scholar] [CrossRef]
- Azbazdar, Y.; Poyraz, Y.K.; Ozalp, O.; Nazli, D.; Ipekgil, D.; Cucun, G.; Ozhan, G. High-fat diet feeding triggers a regenerative response in the adult zebrafish brain. Mol. Neurobiol. 2023, 60, 2486–2506. [Google Scholar] [CrossRef]
- Yehuda, H.; Madrer, N.; Goldberg, D.; Soreq, H.; Meerson, A. Inversely Regulated Inflammation-Related Processes Mediate Anxiety-Obesity Links in Zebrafish Larvae and Adults. Cells 2023, 12, 1794. [Google Scholar] [CrossRef]
- Banks, W.A. The blood–brain barrier as an endocrine tissue. Nat. Rev. Endocrinol. 2019, 15, 444–455. [Google Scholar] [CrossRef]
- Lima, R.R.; Costa, A.M.R.; Souza, R.D.; Gomes-Leal, W. Inflamação em doenças neurodegenerativas. Rev. Para Med. 2007, 21, 29. [Google Scholar] [CrossRef]
- Berlanga-Acosta, J.; Guillén-Nieto, G.; Rodríguez-Rodríguez, N.; Bringas-Veja, M.L.; García-del-Barco-Herrera, D.; Berlanga-Saez, J.O.; García-Ojalvo, A.; Valdés-Sosa, M.J.; Valdés-Sosa, P.A. Insulin Resistance at the Crossroad of Alzheimer Disease Pathology: A Review. Front. Endocrinol. 2020, 11, 560375. [Google Scholar] [CrossRef] [PubMed]















| DIO | Ingredients |
|---|---|
| Artemia sp. 1 | Artemia sp. (newly hatched nauplii) |
| Commercial Fish food (Nutriflakes from Nutricon) 2 | Fish flour, cornmeal, soybean bran, wheat flour, corn gluten bran 60 *, rice grits, annatto extract, hydrolyzed poultry protein, autolyzed and dehydrated sugar cane yeast; vitamins: retinol acetate, monophosphate ascorbic acid (0.13%), cholecalciferol, tocopherol, menadione, thiamine, riboflavin, pyridoxine, cyanocobalamin, nicotinic acid, calcium pantothenate, folic acid, biotin, choline chloride, inositol; minerals: copper sulfate, iron sulfate, manganese monoxide, cobalt sulfate, calcium iodate, zinc sulfate, sodium selenite, sodium chloride, L-lysine, L-tryptophan, L-threonine, DL-methionine; yeast cell wall (0.3%), yucca extract, sodium and calcium aluminosilicate, propionic acid, acetic acid, formic acid, sorbic acid, butyl hydroxy anisole (BHA), butylhydroxytoluene (BHT), citric acid and ethoxyquin; dyes: tartrazine yellow, dry leaf green, and amaranth red. |
| Egg yolk powder + soybean oil 3 | Pasteurized egg yolk powder and soybean oil in a ratio of 2.5:1 w/v. |
| Diets | Artemia sp. (100 g) 1 | Commercial Fish Food (100 g) 2 | Egg Yolk Powder + Soybean Oil (100 g) 3 |
|---|---|---|---|
| Calories (Kcal) | 391 | 291 | 737 |
| Carbohydrates (g) | 11 | 31 * | 5 |
| Proteins (g) | 53 | 35 | 24 |
| Lipids (g) | 15 | 3 | 69 |
| Gene | Forward Sequence (5’–3′) | Reverse Sequence (5’–3′) |
|---|---|---|
| il-10 | TCACGTCATGAACGAGATCC | CCTCTTGCATTTCACCATATCC |
| il-6 | AAG GGG TCA GGA TCA GCA C | GCT GTA GAT TCG CGT TAG ACA TC |
| il-1β | TGG CGA ACG TCA TCC AAG | GGA GCA CTG GGC GAC GCA TA |
| tnf-α | AAGGAGAGTTGCCTTTACCG | ATTGCCCTGGGTCTTATGG |
| beta-actin | CTGTTCCAGCCATCCTTCTT | TGTTGGCATACAGGTCCTTAC |
| Groups Evaluated | ∆ Dietary Consumption (g) | ∆ Calorie Intake (KJ/Kcal Consumption) | ∆ Caloric Efficiency (KJ/g of Weight) |
|---|---|---|---|
| Control 1 | 0.015 | 0.49 | 12.25 |
| Control 2 | 0.004 | 0.13 | 1.02 |
| Obesity 1 | 0.008 | 0.77 | 5.78 |
| Obesity 2 | 0.060 | 1.97 | 12.07 |
Disclaimer/Publisher’s Note: The statements, opinions and data contained in all publications are solely those of the individual author(s) and contributor(s) and not of MDPI and/or the editor(s). MDPI and/or the editor(s) disclaim responsibility for any injury to people or property resulting from any ideas, methods, instructions or products referred to in the content. |
© 2024 by the authors. Licensee MDPI, Basel, Switzerland. This article is an open access article distributed under the terms and conditions of the Creative Commons Attribution (CC BY) license (https://creativecommons.org/licenses/by/4.0/).
Share and Cite
Silva, M.G.F.R.; Luchiari, A.C.; Medeiros, I.; de Souza, A.M.; Serquiz, A.C.; Martins, F.F.; Moura, S.A.B.d.; Camillo, C.S.; Medeiros, S.R.B.d.; Pais, T.d.S.; et al. Evaluation of the Effects of Diet-Induced Obesity in Zebrafish (Danio rerio): A Comparative Study. Nutrients 2024, 16, 3398. https://doi.org/10.3390/nu16193398
Silva MGFR, Luchiari AC, Medeiros I, de Souza AM, Serquiz AC, Martins FF, Moura SABd, Camillo CS, Medeiros SRBd, Pais TdS, et al. Evaluation of the Effects of Diet-Induced Obesity in Zebrafish (Danio rerio): A Comparative Study. Nutrients. 2024; 16(19):3398. https://doi.org/10.3390/nu16193398
Chicago/Turabian StyleSilva, Maria Gabriela F. R., Ana Carolina Luchiari, Isaiane Medeiros, Augusto M. de Souza, Alexandre C. Serquiz, Fabiane F. Martins, Sérgio A. B. de Moura, Christina S. Camillo, Silvia Regina B. de Medeiros, Tatiana dos S. Pais, and et al. 2024. "Evaluation of the Effects of Diet-Induced Obesity in Zebrafish (Danio rerio): A Comparative Study" Nutrients 16, no. 19: 3398. https://doi.org/10.3390/nu16193398
APA StyleSilva, M. G. F. R., Luchiari, A. C., Medeiros, I., de Souza, A. M., Serquiz, A. C., Martins, F. F., Moura, S. A. B. d., Camillo, C. S., Medeiros, S. R. B. d., Pais, T. d. S., Passos, T. S., Galeno, D. M. L., & Morais, A. H. d. A. (2024). Evaluation of the Effects of Diet-Induced Obesity in Zebrafish (Danio rerio): A Comparative Study. Nutrients, 16(19), 3398. https://doi.org/10.3390/nu16193398

