The Gastroprotective Effects of Anisomeles indica against Ethanol-Induced Gastric Ulcer through the Induction of IκB-α and the Inhibition of NF-κB Expression
Abstract
1. Introduction
2. Materials and Methods
2.1. Sample
2.2. Animals
2.3. Animal Experimental Design
2.4. Histopathological Study
2.5. Quantitative Analysis of Gastric Ulcer Lesion Area
2.6. Immunohistochemistry
2.7. Statistical Analysis
3. Results
3.1. A. indica HP813 Powder Protection against Ethanol-Induced Gastric Ulcers
3.2. A. indica HP813 Powder Decreased the Area of Gastric Ulcers Caused by Ethanol
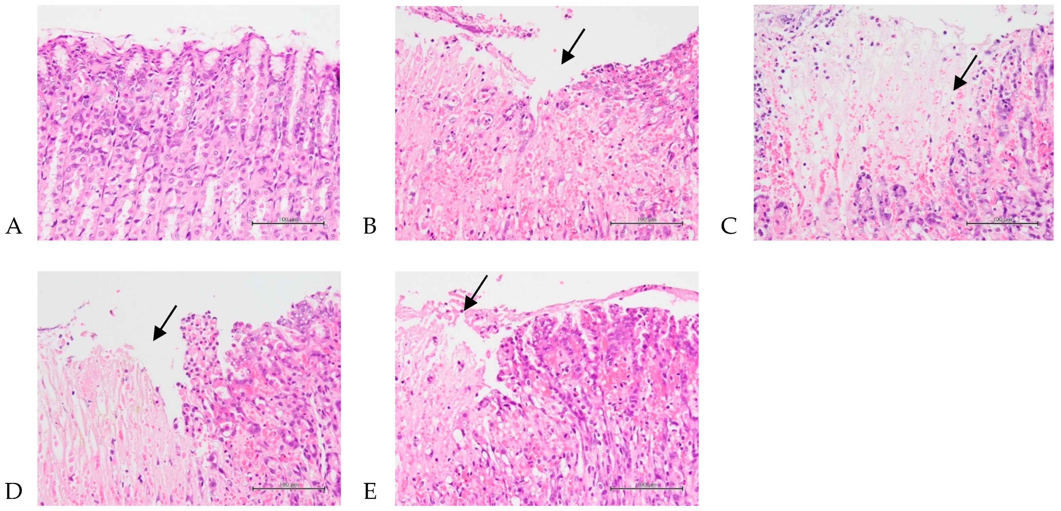
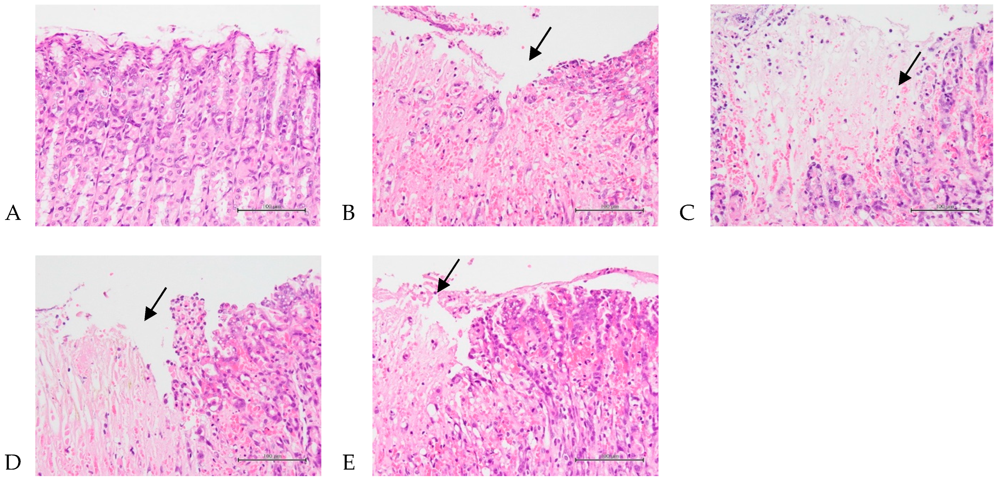
3.3. A. indica HP813 Powder Decreased the Histopathological Lesion Score
3.4. A. indica HP813 Powder Decreased Ethanol-Induced TNF-α and NF-κB Expression and Increased IκB-α Expression
4. Discussion
5. Conclusions
Supplementary Materials
Author Contributions
Funding
Institutional Review Board Statement
Informed Consent Statement
Data Availability Statement
Acknowledgments
Conflicts of Interest
References
- Mincis, M.; Chebli, J.M.; Khouri, S.T.; Mincis, R. Ethanol and the gastrointestinal tract. Arq. Gastroenterol. 1995, 32, 131–139. [Google Scholar] [PubMed]
- Paturi, G.; Butts, C.A.; Bentley-Hewitt, K.L.; McGhie, T.K.; Saleh, Z.S.; McLeod, A. Apple polyphenol extracts protect against aspirin-induced gastric mucosal damage in rats. Phytother. Res. 2014, 28, 1846–1854. [Google Scholar] [CrossRef] [PubMed]
- Mousa, A.M.; El-Sammad, N.M.; Hassan, S.K.; Madboli, A.; Hashim, A.N.; Moustafa, E.S.; Bakry, S.M.; Elsayed, E.A. Antiulcerogenic effect of Cuphea ignea extract against ethanol-induced gastric ulcer in rats. BMC Complement. Altern. Med. 2019, 19, 345. [Google Scholar] [CrossRef] [PubMed]
- El Badawy, S.A.; Ogaly, H.A.; Abd-Elsalam, R.M.; Azouz, A.A. Benzyl isothiocyanates modulate inflammation, oxidative stress, and apoptosis via Nrf2/HO-1 and NF-κB signaling pathways on indomethacin-induced gastric injury in rats. Food Funct. 2021, 12, 6001–6013. [Google Scholar] [CrossRef] [PubMed]
- Bujanda, L. The effects of alcohol consumption upon the gastrointestinal tract. Am. J. Gastroenterol. 2000, 95, 3374–3382. [Google Scholar] [CrossRef] [PubMed]
- Franke, A.; Teyssen, S.; Singer, M.V. Alcohol-related diseases of the esophagus and stomach. Dig. Dis. 2005, 23, 204–213. [Google Scholar] [CrossRef] [PubMed]
- Liang, J.; Dou, Y.; Wu, X.; Li, H.; Wu, J.; Huang, Q.; Luo, D.; Yi, T.; Liu, Y.; Su, Z.; et al. Prophylactic efficacy of patchoulene epoxide against ethanol-induced gastric ulcer in rats: Influence on oxidative stress, inflammation and apoptosis. Chem. Biol. Interact. 2018, 283, 30–37. [Google Scholar] [CrossRef] [PubMed]
- Xie, G.; Yang, J.; Wei, X.; Xu, Q.; Qin, M. Separation of acteoside and linarin from Buddlejae Flos by high-speed countercurrent chromatography and their anti-inflammatory activities. J. Sep. Sci. 2020, 43, 1450–1457. [Google Scholar] [CrossRef] [PubMed]
- Arab, H.H.; Salama, S.A.; Omar, H.A.; Arafa, E.-S.A.; Maghrabi, I.A. Diosmin protects against ethanol-induced gastric injury in rats: Novel anti-ulcer actions. PLoS ONE 2015, 10, e0122417. [Google Scholar] [CrossRef]
- Cho, H.S.; Kwon, T.W.; Kim, J.H.; Lee, R.; Bae, C.S.; Kim, H.C.; Kim, J.H.; Choi, S.H.; Cho, I.H.; Nah, S.Y. Gintonin alleviates HCl/ethanol- and indomethacin-induced gastric ulcers in mice. Int. J. Mol. Sci. 2023, 24, 16721. [Google Scholar] [CrossRef]
- Yao, G.; Huang, J.; Li, Y. Complete plastid genome sequence of a medical herb, Anisomeles indica (L.) Kuntze (Lamiaceae). Mitochondrial DNA B Resour. 2019, 4, 2782–2783. [Google Scholar] [CrossRef] [PubMed]
- Yu, H.X.; Zheng, N.; Yeh, C.T.; Lee, C.M.; Zhang, Q.; Zheng, W.L.; Chang, Q.; Li, Y.H.; Li, Y.J.; Wu, G.Z.; et al. Identification and semisynthesis of (−)-anisomelic acid as oral agent against SARS-CoV-2 in mice. Natl. Sci. Rev. 2022, 9, nwac176. [Google Scholar] [CrossRef]
- Hsieh, S.C.; Fang, S.H.; Rao, Y.K.; Tzeng, Y.M. Inhibition of pro-inflammatory mediators and tumor cell proliferation by Anisomeles indica extracts. J. Ethnopharmacol. 2008, 118, 65–70. [Google Scholar] [CrossRef] [PubMed]
- Rao, Y.K.; Fang, S.H.; Hsieh, S.C.; Yeh, T.H.; Tzeng, Y.M. The constituents of Anisomeles indica and their anti-inflammatory activities. J. Ethnopharmacol. 2009, 121, 292–296. [Google Scholar] [CrossRef]
- Lien, H.M.; Wang, Y.Y.; Huang, M.Z.; Wu, H.Y.; Huang, C.L.; Chen, C.C.; Hung, S.W.; Chen, C.C.; Chiu, C.H.; Lai, C.H. Gastroprotective Effect of Anisomeles indica on Aspirin-Induced Gastric Ulcer in Mice. Antioxidants 2022, 11, 2327. [Google Scholar] [CrossRef] [PubMed]
- Liu, Q.W.; Chen, C.H.; Wang, X.F.; Jiang, K.; Qu, S.J.; Dai, Y.R.; Tan, C.H. Triterpenoids, megastigmanes and hydroxycinnamic acid derivatives from Anisomeles indica. Nat. Prod. Res. 2019, 33, 41–46. [Google Scholar] [CrossRef]
- Chao, C.L.; Huang, H.C.; Ding, H.Y.; Lai, J.H.; Lin, H.C.; Chang, W.L. A new macrocyclic diterpenoid from Anisomeles indica. Nat. Prod. Res. 2020, 34, 2737–2745. [Google Scholar] [CrossRef] [PubMed]
- Khullar, M.; Sharma, A.; Wani, A.; Sharma, N.; Sharma, N.; Chandan, B.K.; Kumar, A.; Ahmed, Z. Acteoside ameliorates inflammatory responses through NFkB pathway in alcohol induced hepatic damage. Int. Immunopharmacol. 2019, 69, 109–117. [Google Scholar] [CrossRef]
- Xie, L.; Guo, Y.L.; Chen, Y.R.; Zhang, L.Y.; Wang, Z.C.; Zhang, T.; Wang, B. A potential drug combination of omeprazole and patchouli alcohol significantly normalizes oxidative stress and inflammatory responses against gastric ulcer in ethanol-induced rat model. Int. Immunopharmacol. 2020, 85, 106660. [Google Scholar] [CrossRef]
- Khan, R.A.; Hossain, R.; Roy, P.; Jain, D.; Mohammad Saikat, A.S.; Roy Shuvo, A.P.; Akram, M.; Elbossaty, W.F.; Khan, I.N.; Painuli, S.; et al. Anticancer effects of acteoside: Mechanistic insights and therapeutic status. Eur. J. Pharmacol. 2022, 916, 174699. [Google Scholar] [CrossRef]
- Sun, S.C. The non-canonical NF-κB pathway in immunity and inflammation. Nat. Rev. Immunol. 2017, 17, 545–558. [Google Scholar] [CrossRef] [PubMed]
- Shackelford, C.; Long, G.; Wolf, J.; Okerberg, C.; Herbert, R. Qualitative and quantitative analysis of nonneoplastic lesions in toxicology studies. Toxicol. Pathol. 2002, 30, 93–96. [Google Scholar] [CrossRef] [PubMed]
- Mahmoud, Y.I.; Abd El-Ghffar, E.A. Spirulina ameliorates aspirin-induced gastric ulcer in albino mice by alleviating oxidative stress and inflammation. Biomed. Pharmacother. 2019, 109, 314–321. [Google Scholar] [CrossRef] [PubMed]
- Rahman, Z.; Dwivedi, D.K.; Jena, G.B. Ethanol-induced gastric ulcer in rats and intervention of tert-butylhydroquinone: Involvement of Nrf2/HO-1 signalling pathway. Hum. Exp. Toxicol. 2020, 39, 547–562. [Google Scholar] [CrossRef] [PubMed]
- Koo, M.W.; Cho, C.H.; Ogle, C.W. Effects of cold-restraint stress on gastric ulceration and motility in rats. Pharmacol. Biochem. Behav. 1986, 25, 775–779. [Google Scholar] [CrossRef] [PubMed]
- Al-Gabri, N.; Elnagar, G.M.; Saghir, S.A.M.; El-Shaibany, A.; Alnomasy, S.F.; Althafar, Z.M.; Elkomy, N.; Elaasser, M.M.; Abdoh, M.S.; Yosri, M. Preliminary Study of Gastroprotective Effect of Aloe perryi and Date Palm Extracts on Pyloric Ligation-Induced Gastric Ulcer in Experimental Rats. Biomed. Res. Int. 2022, 2022, 9246785. [Google Scholar] [CrossRef] [PubMed]
- Bi, W.P.; Man, H.B.; Man, M.Q. Efficacy and safety of herbal medicines in treating gastric ulcer: A review. World J. Gastroenterol. 2014, 20, 17020–17028. [Google Scholar] [CrossRef] [PubMed]
- Vachhani, R.; Olds, G.; Velanovich, V. Esomeprazole: A proton pump inhibitor. Expert Rev. Gastroenterol. Hepatol. 2009, 3, 15–27. [Google Scholar] [CrossRef] [PubMed]
- Tolbert, M.K. Gastroprotective Therapy. Vet. Clin. N. Am. Small Anim. Pract. 2021, 51, 33–41. [Google Scholar] [CrossRef]
- Kim, G.H. Proton Pump Inhibitor-Related Gastric Mucosal Changes. Gut Liver 2021, 15, 646–652. [Google Scholar] [CrossRef]
- Haastrup, P.F.; Thompson, W.; Søndergaard, J.; Jarbøl, D.E. Side Effects of Long-Term Proton Pump Inhibitor Use: A Review. Basic Clin. Pharmacol. Toxicol. 2018, 123, 114–121. [Google Scholar] [CrossRef] [PubMed]
- Clarke, K.; Adler, N.; Agrawal, D.; Bhakta, D.; Sata, S.S.; Singh, S.; Gupta, A.; Pahwa, A.; Pherson, E.; Sun, A.; et al. Indications for the Use of Proton Pump Inhibitors for Stress Ulcer Prophylaxis and Peptic Ulcer Bleeding in Hospitalized Patients. Am. J. Med. 2022, 135, 313–317. [Google Scholar] [CrossRef] [PubMed]
- Mitoma, H.; Horiuchi, T.; Tsukamoto, H.; Ueda, N. Molecular mechanisms of action of anti-TNF-α agents—Comparison among therapeutic TNF-α antagonists. Cytokine 2018, 101, 56–63. [Google Scholar] [CrossRef] [PubMed]
- Shams, S.G.E.; Eissa, R.G. Amelioration of ethanol-induced gastric ulcer in rats by quercetin: Implication of Nrf2/HO1 and HMGB1/TLR4/NF-κB pathways. Heliyon 2022, 8, e11159. [Google Scholar] [CrossRef] [PubMed]
- Wu, Y.; Duan, Z.; Qu, L.; Zhang, Y.; Zhu, C.; Fan, D. Gastroprotective effects of ginsenoside RH4 against ethanol-induced gastric mucosal injury by inhibiting the MAPK/NF-κB signaling pathway. Food Funct. 2023, 14, 5167–5181. [Google Scholar] [CrossRef]
- Lawrence, T. The nuclear factor NF-κB pathway in inflammation. Cold Spring Harb. Perspect. Biol. 2009, 1, a001651. [Google Scholar] [CrossRef] [PubMed]
- Raish, M.; Shahid, M.; Bin Jardan, Y.A.; Ansari, M.A.; Alkharfy, K.M.; Ahad, A.; Abdelrahman, I.A.; Ahmad, A.; Al-Jenoobi, F.I. Gastroprotective effect of sinapic acid on ethanol-induced gastric ulcers in rats: Involvement of Nrf2/HO-1 and NF-κB signaling and antiapoptotic role. Front. Pharmacol. 2021, 12, 622815. [Google Scholar] [CrossRef] [PubMed]
- Huang, W.C.; Hung, M.C. Beyond NF-κB activation: Nuclear functions of IκB kinase α. J. Biomed. Sci. 2013, 20, 3. [Google Scholar] [CrossRef] [PubMed]
- Singh, N.; Shukla, N.; Singh, P.; Sharma, R.; Rajendran, S.M.; Maurya, R.; Palit, G. Verbascoside isolated from Tectona grandis mediates gastric protection in rats via inhibiting proton pump activity. Fitoterapia 2010, 81, 755–761. [Google Scholar] [CrossRef]
- Alipieva, K.; Korkina, L.; Orhan, I.E.; Georgiev, M.I. Verbascoside—A review of its occurrence, (bio)synthesis and pharmacological significance. Biotechnol. Adv. 2014, 32, 1065–1076. [Google Scholar] [CrossRef]






| Group | Total Gastric | Gastric Mucosa Injured Area | |
|---|---|---|---|
| (cm2) | (cm2) | (%) | |
| Control | 10.03 ± 2.00 | 0 | 0 |
| Positive control | 11.45 ± 0.82 | 5.62 ± 2.04 * | 48.61 ± 16.24 * |
| 207.5 mg/kg | 10.85 ± 0.79 | 4.90 ± 1.48 * | 45.22 ± 13.06 * |
| 415 mg/kg | 10.21 ± 0.86 | 3.64 ± 1.00 *,a | 35.30 ± 6.97 *,a |
| 830 mg/kg | 11.09 ± 0.77 | 3.03 ± 1.10 *,a | 27.16 ± 8.89 *,a |
| Inflammatory Scores | Group | ||||
|---|---|---|---|---|---|
| Control | Positive Control | A. indica HP813 Powder (mg/kg) | |||
| 207.5 | 415 | 830 | |||
| Stomach | |||||
| Degeneration/necrosis, mucosal, multifocal | 0.0 ± 0.0 | 3.1 ± 0.7 * | 3.1 ± 0.6 * | 2.4 ± 0.7 * | 2.3 ± 0.7 *,a |
| Hemorrhage, mucosal, multifocal | 0.0 ± 0.0 | 2.2 ± 0.4 * | 2.2 ± 0.4 * | 1.8 ± 0.4 *,a | 1.9 ± 0.3 * |
| Inflammation, multifocal | 0.0 ± 0.0 | 2.6 ± 0.5 * | 2.7 ± 0.5 * | 2.6 ± 0.5 * | 2.4 ± 1.0 * |
| Edema, submucosa, multifocal | 0.0 ± 0.0 | 3.9 ± 1.0 * | 3.8 ± 0.8 * | 2.9 ± 0.7 *,a | 2.4 ± 1.0 *,a |
| Subtotal lesion score | 0.0 ± 0.0 | 2.9 ± 0.9 * | 2.9 ± 0.8 * | 2.4 ± 0.7 *,a | 2.3 ± 0.8 *,a |
Disclaimer/Publisher’s Note: The statements, opinions and data contained in all publications are solely those of the individual author(s) and contributor(s) and not of MDPI and/or the editor(s). MDPI and/or the editor(s) disclaim responsibility for any injury to people or property resulting from any ideas, methods, instructions or products referred to in the content. |
© 2024 by the authors. Licensee MDPI, Basel, Switzerland. This article is an open access article distributed under the terms and conditions of the Creative Commons Attribution (CC BY) license (https://creativecommons.org/licenses/by/4.0/).
Share and Cite
Chen, Y.-R.; Lien, H.-M.; Tsai, F.-J.; Liao, J.-W.; Chen, Y.-T. The Gastroprotective Effects of Anisomeles indica against Ethanol-Induced Gastric Ulcer through the Induction of IκB-α and the Inhibition of NF-κB Expression. Nutrients 2024, 16, 2297. https://doi.org/10.3390/nu16142297
Chen Y-R, Lien H-M, Tsai F-J, Liao J-W, Chen Y-T. The Gastroprotective Effects of Anisomeles indica against Ethanol-Induced Gastric Ulcer through the Induction of IκB-α and the Inhibition of NF-κB Expression. Nutrients. 2024; 16(14):2297. https://doi.org/10.3390/nu16142297
Chicago/Turabian StyleChen, Yu-Ru, Hsiu-Man Lien, Fuu-Jen Tsai, Jiunn-Wang Liao, and Yng-Tay Chen. 2024. "The Gastroprotective Effects of Anisomeles indica against Ethanol-Induced Gastric Ulcer through the Induction of IκB-α and the Inhibition of NF-κB Expression" Nutrients 16, no. 14: 2297. https://doi.org/10.3390/nu16142297
APA StyleChen, Y.-R., Lien, H.-M., Tsai, F.-J., Liao, J.-W., & Chen, Y.-T. (2024). The Gastroprotective Effects of Anisomeles indica against Ethanol-Induced Gastric Ulcer through the Induction of IκB-α and the Inhibition of NF-κB Expression. Nutrients, 16(14), 2297. https://doi.org/10.3390/nu16142297

