Hawthorn Vinegar in Health with a Focus on Immune Responses
Highlights
- Hawthorn vinegar demonstrates significant remedial efficacy, enhancing immune status and overall health, particularly at high doses (1 mL/mg body weight).
- Hawthorn vinegar produced using the ultrasound method shows positive effects on intestinal immunity and life quality.
- These findings emphasize the role of hawthorn vinegar, specifically produced via the ultrasound method, in supporting immunity through its action on intestinal tissue.
- The study highlights the potential of the ultrasound process to enhance the phenolic and flavonoid content of vinegar, thereby improving its effectiveness in protecting and fortifying intestinal health and the immune system.
Abstract
1. Introduction
2. Materials and Methods
2.1. Animals and Feeding
- Group—Control (basal diet);
- Group—N0.5 (0.5 mL/kg untreated hawthorn vinegar daily);
- Group—N1 (1 mL/kg untreated hawthorn vinegar daily);
- Group—P0.5 (0.5 mL/kg thermal pasteurized hawthorn vinegar daily);
- Group—P1 (1 mL/kg thermal pasteurized hawthorn vinegar daily);
- Group—U0.5 (0.5 mL/kg hawthorn vinegar ultrasound treated daily);
- Group—U1 (1 mL/kg hawthorn vinegar ultrasound treated daily).
2.2. Hawthorn Vinegar
2.3. Determination Bioactive Compounds of Vinegar
2.4. Measurements
2.5. Statistical Analyses
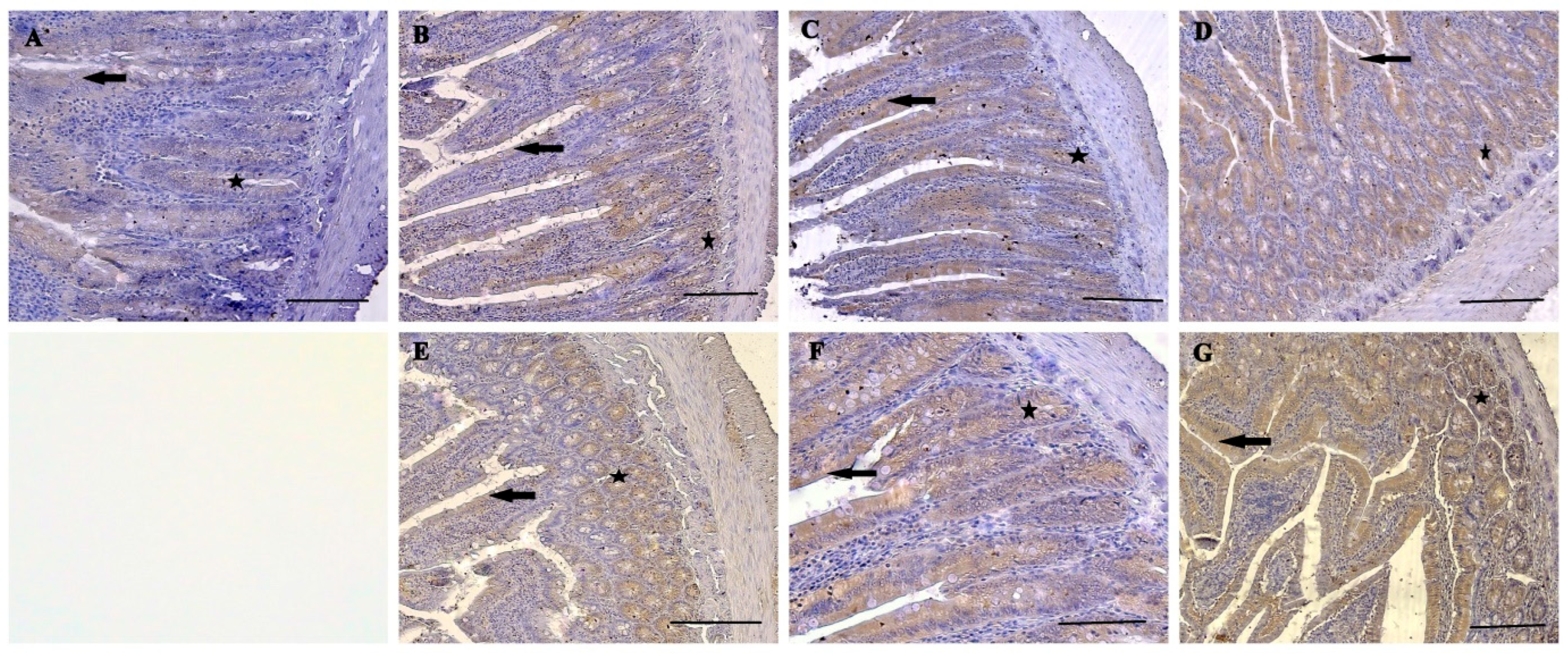
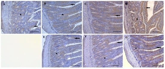
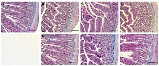
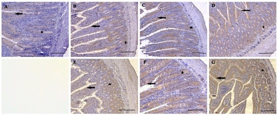
3. Results
4. Discussion
5. Conclusions
Author Contributions
Funding
Institutional Review Board Statement
Informed Consent Statement
Data Availability Statement
Acknowledgments
Conflicts of Interest
References
- Seyidoğlu, N.; Köşeli, E.; Gurbanlı, R.; Aydın, C. Role of essential oils in antioxidant capacity and immunity in a rat model of mixed stress. S. Afr. J. Anim. Sci. 2021, 51, 426–436. [Google Scholar] [CrossRef]
- Seyidoğlu, N.; Köşeli, E.; Gurbanlı, R.; Aydın, C. The preventive role of Spirulina platensis (Arthrospira platensis) in immune and oxidative insults in a stress-induced rat model. J. Vet. Res. 2021, 65, 193–200. [Google Scholar] [CrossRef] [PubMed]
- Bremner, J.D.; Moazzami, K.; Wittbrodt, M.T.; Nye, J.A.; Lima, B.B.; Gillespie, C.F.; Rapaport, M.H.; Pearce, B.D.; Shah, A.J.; Vaccarino, V. Diet, Stress and Mental Health. Nutrients 2020, 12, 2428. [Google Scholar] [CrossRef] [PubMed]
- Blakemore, A.I.; Buxton, J.L. Obesity, genetic risk, and environment. BMJ 2014, 348, g1900. [Google Scholar] [CrossRef] [PubMed]
- Qi, Q.; Chu, A.Y.; Kang, J.H.; Huang, J.; Rose, L.M.; Jensen, M.K.; Liang, L.; Curhan, G.C.; Pasquale, L.R.; Wiggs, J.L.; et al. Fried food consumption, genetic risk, and body mass index: Gene-diet interaction analysis in three US cohort studies. BMJ 2014, 348, g1610. [Google Scholar] [CrossRef] [PubMed]
- D’Esposito, V.; Di Tolla, M.F.; Lecce, M.; Cavalli, F.; Libutti, M.; Misso, S.; Cabaro, S.; Ambrosio, M.R.; Parascandolo, A.; Covelli, B.; et al. Lifestyle and Dietary Habits Affect Plasma Levels of Specific Cytokines in Healthy Subjects. Front. Nutr. 2022, 9, 913176. [Google Scholar] [CrossRef] [PubMed]
- Food and Drug Administration (FDA). Vinegar, Definitions—Adulteration with Vinegar Eels. 1995. Available online: https://www.fda.gov/media/71937/download (accessed on 5 June 2024).
- Xia, T.; Zhang, B.; Duan, W.; Zhang, J.; Wang, M. Nutrients and bioactive components from vinegar: A fermented and functional food. J. Funct. Foods 2020, 64, 103681. [Google Scholar] [CrossRef]
- Zhang, Q.; Zhao, P.; Sun, J.; Zhao, C.; Song, Y.; Wu, J. Research progress on chemical constituents and pharmacological action of hawthorn. J. Northwest Pharm. 2021, 3, 521–523. [Google Scholar]
- Oliphant, K.; Allen-Vercoe, E. Macronutrient metabolism by the human gut microbiome: Major fermentation by-products and their impact on host health. Microbiome 2019, 7, 91. [Google Scholar] [CrossRef]
- Budak, N.H.; Kumbul Doguc, D.; Savas, C.M.; Seydim, A.C.; Kok Tas, T.; Ciris, M.I.; Guzel Seydim, Z.B. Effects of apple cider vinegars produced with different techniques on blood lipids in high-cholesterol-fed rats. J. Agric. Food Chem. 2011, 59, 6638–6644. [Google Scholar] [CrossRef] [PubMed]
- Zhang, H.; Caprioli, G.; Hussain, H.; Le, N.P.K.; Farag, M.A.; Xiao, J. A multifaceted review on dihydromyricetin resources, extraction, bioavailability, biotransformation, bioactivities, and food applications with future perspectives to maximize its value. eFood 2021, 2, 164–184. [Google Scholar] [CrossRef]
- Higbee, J.; Solverson, P.; Zhu, M.; Carbonero, F. The emerging role of dark berry polyphenols in human health and nutrition. Food Front. 2022, 3, 327. [Google Scholar] [CrossRef]
- Ho, C.W.; Lazim, A.M.; Fazry, S.; Zaki, U.K.H.H.; Lim, S.J. Varieties, production, composition and health benefits of vinegars: A review. Food Chem. 2017, 221, 1621–1630. [Google Scholar] [CrossRef] [PubMed]
- Ramos, B.; Brandão, T.R.S.; Teixeira, P.; Silva, C.L.M. Balsamic vinegar from Modena: An easy and effective approach to reduce Listeria monocytogenes from lettuce. Food Control 2014, 42, 38–42. [Google Scholar] [CrossRef]
- Chemat, F.; Zill-e-Huma; Khan, M.K. Applications of ultrasound in food technology: Processing, preservation and extraction. Ultrason. Sonochemistry 2011, 18, 813–835. [Google Scholar] [CrossRef] [PubMed]
- Yıkmış, S. Optimization of Uruset Apple Vinegar Production Using Response Surface Methodology for the Enhanced Extraction of Bioactive Substances. Foods 2019, 8, 107. [Google Scholar] [CrossRef] [PubMed]
- Karakçı, D.; Bakır, B.; Seyidoglu, N.; Yıkmı¸s, S. Ultrasound-Treated and Thermal-Pasteurized Hawthorn Vinegar: Antioxidant and Lipid Profiles in Rats. Nutrients 2023, 15, 3933. [Google Scholar] [CrossRef] [PubMed]
- Kadas, Z.; Akdemir Evrendilek, G.; Heper, G. The metabolic effects of hawthorn vinegar in patients with high cardiovascular risk group. J. Food Nutr. Res. 2014, 2, 539–545. [Google Scholar] [CrossRef]
- Caliskan, O. Mediterranean hawthorn fruit (Crataegus) species and potential usage. In The Mediterranean Diet; Preedy, V.R., Watson, R.R., Eds.; Academic Press: Cambridge, MA, USA, 2015; Volume 55, pp. 621–628. [Google Scholar]
- Chen, X.W.; Qi, Y.J.; Zhu, C.H.; Wang, Q. Effect of ultrasound on the properties and antioxidant activity of hawthorn pectin. Int. J. Biol. Macromol. 2019, 131, 273–281. [Google Scholar] [CrossRef] [PubMed]
- Li, T.; Fu, S.; Huang, X.; Zhang, X.; Cui, Y.; Zhang, Z.; Ma, Y.; Zhang, X.; Yu, Q.; Yang, S.; et al. Biological properties and potential application of hawthorn and its major functional components: A review. J. Funct. Foods 2022, 90, 104988. [Google Scholar] [CrossRef]
- Liu, S.W.; Yu, J.C.; Fu, M.F.; Wang, X.F.; Chang, X.D. Regulatory effects of hawthorn polyphenols on hyperglycemic, inflammatory, insulin resistance responses, and alleviation of aortic injury in type 2 diabetic rats. Food Res. Int. 2021, 142, 110239. [Google Scholar] [CrossRef]
- Elango, C.; Devaraj, S. Immunomodulatory effect of Hawthorn extract in an experimental stroke model. J. Neuroinflamm. 2010, 7, 97. [Google Scholar] [CrossRef] [PubMed]
- Singleton, V.; Rossi, A. Colorimetry of total phenolics with phosphomolybdic-phosphotungstic acid reagent. Am. J. Enol. Vitic. 1965, 16, 144–158. [Google Scholar] [CrossRef]
- Zhishen, J.; Mengcheng, T.; Jianming, W. The determination of flavonoid contents in mulberry and their scavenging effects on superoxide radicals. Food Chem. 1999, 64, 555–559. [Google Scholar] [CrossRef]
- AOAC. Official Methods of Analysis, 17th ed.; The Association of Official Analytical Chemists: Gaithersburg, MD, USA, 2000. [Google Scholar]
- Apak, R.; Güçlü, K.; Özyürek, M.; Karademir, S.E. Novel Total Antioxidant Capacity Index for Dietary Polyphenols and Vitamins C and E, Using Their Cupric Ion Reducing Capability in the Presence of Neocuproine: CUPRAC Method. J. Agric. Food Chem. 2004, 52, 7970–7981. [Google Scholar] [CrossRef] [PubMed]
- Kumaran, A.; Joel Karunakaran, R. Antioxidant and free radical scavenging activity of an aqueous extract of Coleus aromaticus. Food Chem. 2006, 97, 109–114. [Google Scholar] [CrossRef]
- Rai, S.; Wahile, A.; Mukherjee, K.; Saha, B.P.; Mukherjee, P.K. Antioxidant activity of Nelumbo nucifera (sacred lotus) seeds. J. Ethnopharmacol. 2006, 104, 322–327. [Google Scholar] [CrossRef] [PubMed]
- Zahorec, R. Ratio of neutrophil to lymphocyte counts rapid and simple parameter of systemic inflammation and stress in critically ill. Bratisl. Lek. Listy 2001, 102, 5–14. [Google Scholar] [PubMed]
- Crossman, G.A. Modification of Mallory’s connective tissue stain with a discussion of the principles involved. Anat. Rec. 1937, 6, 33–38. [Google Scholar] [CrossRef]
- Bakir, B.; Karadag Sari, E. Immunohistochemical distribution of platelet-derived growth factor-C and platelet derived growth factor receptor-α in small intestine of rats treated with capsaicin. Turk. J. Vet. Anim. Sci. 2015, 39, 160–167. [Google Scholar] [CrossRef]
- Bakir, B. Anti-apoptotic and anti-inflamatory effects of ginger extract on small intestine tissue in stz-induced diabetic rats. Kafkas Üniversitesi Vet. Fakültesi Derg. 2023, 29, 391–399. [Google Scholar]
- Wang, Y.; Lv, M.; Wang, T.; Sun, J.Y.; Wang, Y.X.; Xia, M.Q.; Jiang, Y.; Zhou, X.; Wan, J. Research on mechanism of charred hawthorn on digestive through modulating “brain-gut” axis and gut flora. J. Ethnopharmacol. 2019, 245, 112166. [Google Scholar] [CrossRef] [PubMed]
- Lis, M.; Szczypka, M.; Suszko-Pawłowska, A.; Sokół-Łętowska, A.; Kucharska, A.; Obmińska-Mrukowicz, B. Hawthorn (Crataegus monogyna) Phenolic Extract Modulates Lymphocyte Subsets and Humoral Immune Response in Mice. Planta Med. 2020, 86, 160–168. [Google Scholar] [CrossRef] [PubMed]
- Petsiou, E.I.; Mitrou, P.I.; Raptis, S.A.; Dimitriadis, G.D. Effect and mechanisms of action of vinegar on glucose metabolism, lipid profile, and body weight. Nutr. Rev. 2014, 72, 651–661. [Google Scholar] [CrossRef] [PubMed]
- Rababa’h, A.M.; Al Yacoub, O.N.; El-Elimat, T.; Rabab’ah, M.; Altarabsheh, S.; Deo, S.; Al-Azayzih, A.; Zayed, A.; Alazzam, S.; Alzoubi, K.H. The effect of hawthorn flower and leaf extract (Crataegus Spp.) on cardiac hemostasis and oxidative parameters in Sprague Dawley rats. Heliyon 2020, 6, e04617. [Google Scholar] [CrossRef] [PubMed]
- John, R.; Gareth, A.; Thomas, B. Mucosal protective and repair agents in the treatment of colitis. In Advanced Therapy of Inflammatory Bowel Disease, 2nd ed.; Bayless, T.M., Hanauer, S.B., Eds.; PMPH-USA: New York, NY, USA, 2001; Volume 23, pp. 107–110. [Google Scholar]
- Yarahmadi, P.; Miandare, H.K.; Fayaz, S.; Caipang, C.M.A. Increased stocking density causes changes in expression of selected stress-and immune-related genes, humoral innate immune parameters and stress responses of rainbow trout (Oncorhynchus mykiss). Fish Shellfish Immunol. 2016, 48, 43–53. [Google Scholar] [CrossRef] [PubMed]
- Hoseini, S.M.; Yousefi, M.; Hoseinifar, S.H.; Doan, H.V. Cytokines’ gene expression, humoral immune and biochemical responses of common carp (Cyprinus carpio, Linnaeus, 1758) to transportation density and recovery in brackish water. Aquaculture 2019, 504, 13–21. [Google Scholar]
- Xia, T.; Zhang, Z.; Zhao, Y.; Kang, C.; Zhang, X.; Tian, Y.; Yu, J.; Cao, H.; Wang, M. The anti-diabetic activity of polyphenols-rich vinegar extract in mice via regulating gut microbiota and liver inflammation. Food Chem. 2022, 393, 133443. [Google Scholar] [CrossRef]
- Hu, H.; Weng, J.; Cui, C.; Tang, F.; Yu, M.; Zhou, Y.; Shao, F.; Zhu, Y. The Hypolipidemic Effect of Hawthorn Leaf Flavonoids through Modulating Lipid Metabolism and Gut Microbiota in Hyperlipidemic Rats. Evid. Based Complement. Altern. Med. 2022, 15, 3033311. [Google Scholar] [CrossRef] [PubMed]
- Chandrasekharan, B.; Jeppsson, S.; Pienkowski, S.; Belsham, D.D.; Sitaraman, S.V.; Merlin, D.; Kokkotou, E.; Nusrat, A.; Tansey, M.G.; Srinivasan, S. Tumor necrosis factor-neuropeptide Y cross talk regulates inflammation, epithelial barrier functions, and colonic motility. Inflamm. Bowel Dis. 2013, 19, 2535–2546. [Google Scholar] [CrossRef] [PubMed]
- Dinarello, C.A. Biologic basis for interleukin-1 in disease. Blood 1996, 87, 2095–2147. [Google Scholar] [CrossRef] [PubMed]
- Yıkmıs, S.; Aksu, F.; Altunatmaz, S.S.; Çöl, B.G. Ultrasound Processing of Vinegar: Modelling the Impact on Bioactives and Other Quality Factors. Foods 2021, 10, 1703. [Google Scholar] [CrossRef] [PubMed]
- Demirok, N.T.; Yıkmış, S. Combined Effect of Ultrasound and Microwave Power in Tangerine Juice Processing: Bioactive Compounds, Amino Acids, Minerals, and Pathogen. Processes 2022, 10, 2100. [Google Scholar] [CrossRef]





| Parameters | Control | N0.5 | N1 | P0.5 | P1 | U0.5 | U1 | 
|---|---|---|---|---|---|---|---|
| Average weight gain (g) | 2.75 ± 2.97 | 1.25 ± 1.24 | 0.50 ± 2.59 | 3.75 ± 1.71 | 0.88 ± 1.75 | 4.38 ± 1.58 | 1.38 ± 1.69 | 
| Body mass index (BMI, kg/m2) | 0.15 ± 0.005 | 0.15 ± 0.003 | 0.15 ± 0.003 | 0.15 ± 0.004 | 0.15 ± 0.004 | 0.15 ± 0.003 | 0.15 ± 0.003 | 
| Feed conversion ratio (FCR, %) | 0.36 ± 0.11 | 0.25 ± 0.09 | 0.56 ± 0.17 | 0.51. ± 0.38 | 0.40 ± 0.14 | 0.48 ± 0.13 | 0.40 ± 0.08 | 
| Parameters | Control | N0.5 | N1 | P0.5 | P1 | U0.5 | U1 | 
|---|---|---|---|---|---|---|---|
| Hematocrit (%) | 29.74 ± 1.64 | 32.76 ± 3.23 | 26.75 ± 1.52 | 28.46 ± 0.98 | 29.24 ± 2.06 | 26.81 ± 1.66 | 28.39 ± 1.59 | 
| Hemoglobin (g/dL) | 12.96 ± 0.66 | 14.26 ± 1.35 | 11.59 ± 0.64 | 12.33 ± 0.40 | 12.58 ± 0.88 | 11.75 ± 0.68 | 12.36 ± 0.64 | 
| Erythrocytes (106/mL) | 6.10 ± 0.34 | 6.84 ± 0.65 | 5.59 ± 0.31 | 5.91 ± 0.18 | 6.06 ± 0.38 | 5.57 ± 0.32 | 5.96 ± 0.31 | 
| Leucocytes (103/mL) | 2.64 ± 0.52 | 3.56 ± 0.77 | 2.73 ± 0.56 | 2.30 ± 0.35 | 2.99 ± 0.51 | 1.69 ± 0.22 | 1.69 ± 0.24 | 
| Neutrophils (%) | 26.40 ± 5.45 | 32.40 ± 3.20 | 37.20 ± 1.83 | 34.00 ± 2.81 | 37.00 ± 1.84 | 31.20 ± 2.17 | 25.80 ± 4.69 | 
| Lymphocytes (%) | 71.00 ± 5.16 | 66.60 ± 2.71 | 61.80 ± 1.77 | 64.80 ± 2.20 | 61.60 ± 1.69 | 66.20 ± 2.08 | 71.80 ± 4.93 | 
| Eosinophils (%) | 2.25 ± 0.48 | 2.00 ± 1.00 | 1.25 ± 0.25 | 1.33 ± 0.33 | 2.00 ± 1.00 | 2.00 ± 0.32 | 2.00 ± 0.71 | 
| Monocytes (%) | 1.00 ± 0.0001 | 1.00 ± 0.00001 | - | 2.00 | 1.00 ± 0.00001 | 1.00 | 1.00 ± 0.00001 | 
| Basophils (%) | 1.00 | - | - | - | 1.00 | 1.00 ± 0.00001 | - | 
| Neutrophil/lymphocyte ratio (NL ratio, %) | 0.40 ± 0.10 | 0.50 ± 0.07 | 0.61 ± 0.05 | 0.53 ± 0.06 | 0.61 ± 0.05 | 0.48 ± 0.05 | 0.44 ± 0.11 | 
| Disclaimer/Publisher’s Note: The statements, opinions and data contained in all publications are solely those of the individual author(s) and contributor(s) and not of MDPI and/or the editor(s). MDPI and/or the editor(s) disclaim responsibility for any injury to people or property resulting from any ideas, methods, instructions or products referred to in the content. | 
© 2024 by the authors. Licensee MDPI, Basel, Switzerland. This article is an open access article distributed under the terms and conditions of the Creative Commons Attribution (CC BY) license (https://creativecommons.org/licenses/by/4.0/).
Share and Cite
Seyidoglu, N.; Karakçı, D.; Bakır, B.; Yıkmış, S. Hawthorn Vinegar in Health with a Focus on Immune Responses. Nutrients 2024, 16, 1868. https://doi.org/10.3390/nu16121868
Seyidoglu N, Karakçı D, Bakır B, Yıkmış S. Hawthorn Vinegar in Health with a Focus on Immune Responses. Nutrients. 2024; 16(12):1868. https://doi.org/10.3390/nu16121868
Chicago/Turabian StyleSeyidoglu, Nilay, Deniz Karakçı, Buket Bakır, and Seydi Yıkmış. 2024. "Hawthorn Vinegar in Health with a Focus on Immune Responses" Nutrients 16, no. 12: 1868. https://doi.org/10.3390/nu16121868
APA StyleSeyidoglu, N., Karakçı, D., Bakır, B., & Yıkmış, S. (2024). Hawthorn Vinegar in Health with a Focus on Immune Responses. Nutrients, 16(12), 1868. https://doi.org/10.3390/nu16121868
 
        


 
                         
       