Propolis Reduces Inflammation and Dyslipidemia Caused by High-Cholesterol Diet in Mice by Lowering ADAM10/17 Activities
Abstract
1. Introduction
2. Materials and Methods
2.1. Molecular Docking Studies
2.2. Chemicals and Diets
2.3. Animals and Experimental Groups
2.4. Serum Biochemistry Analysis
2.5. Tissue Preparation
2.6. Tissue ADAM10 and ADAM17 Activity Assay
2.7. Tissue Inflammatory Mediators
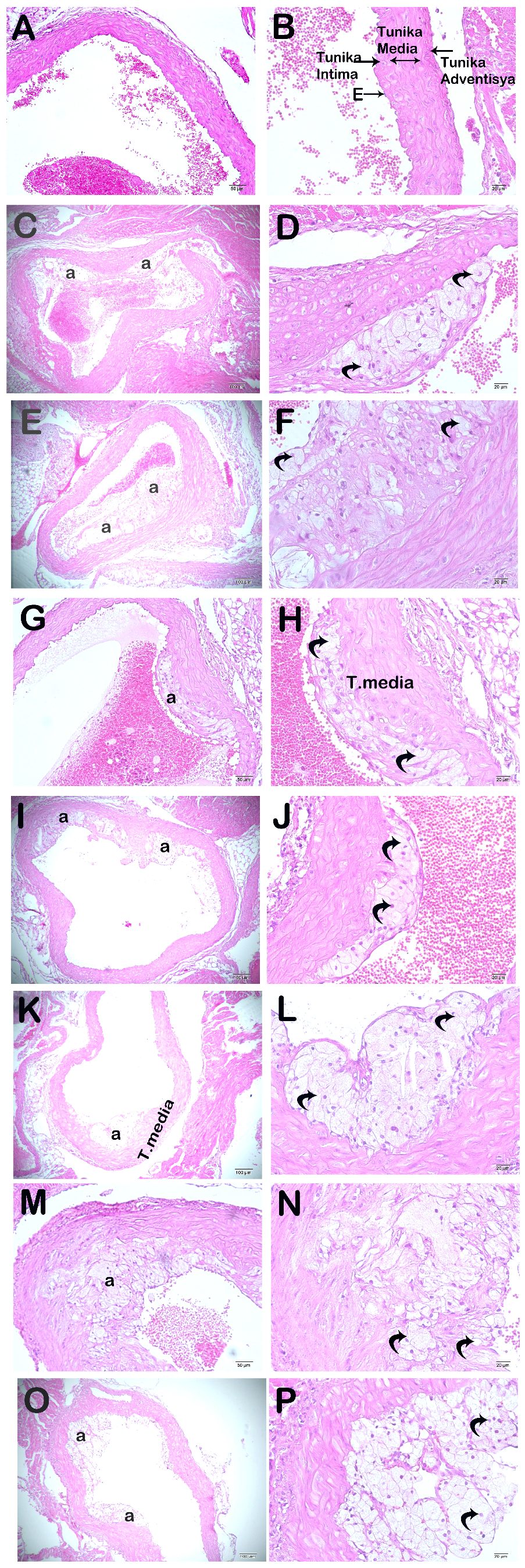
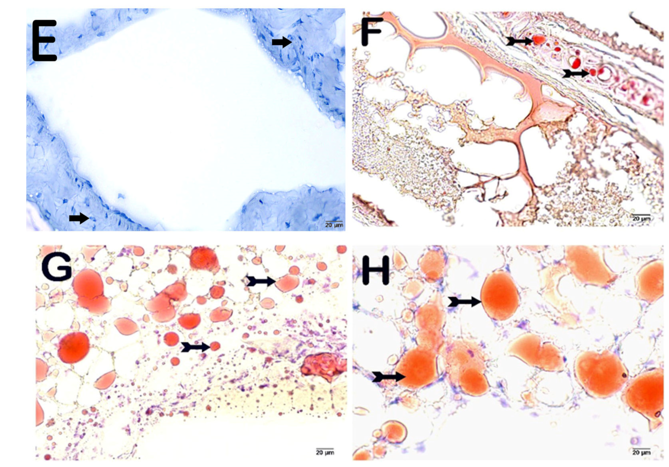
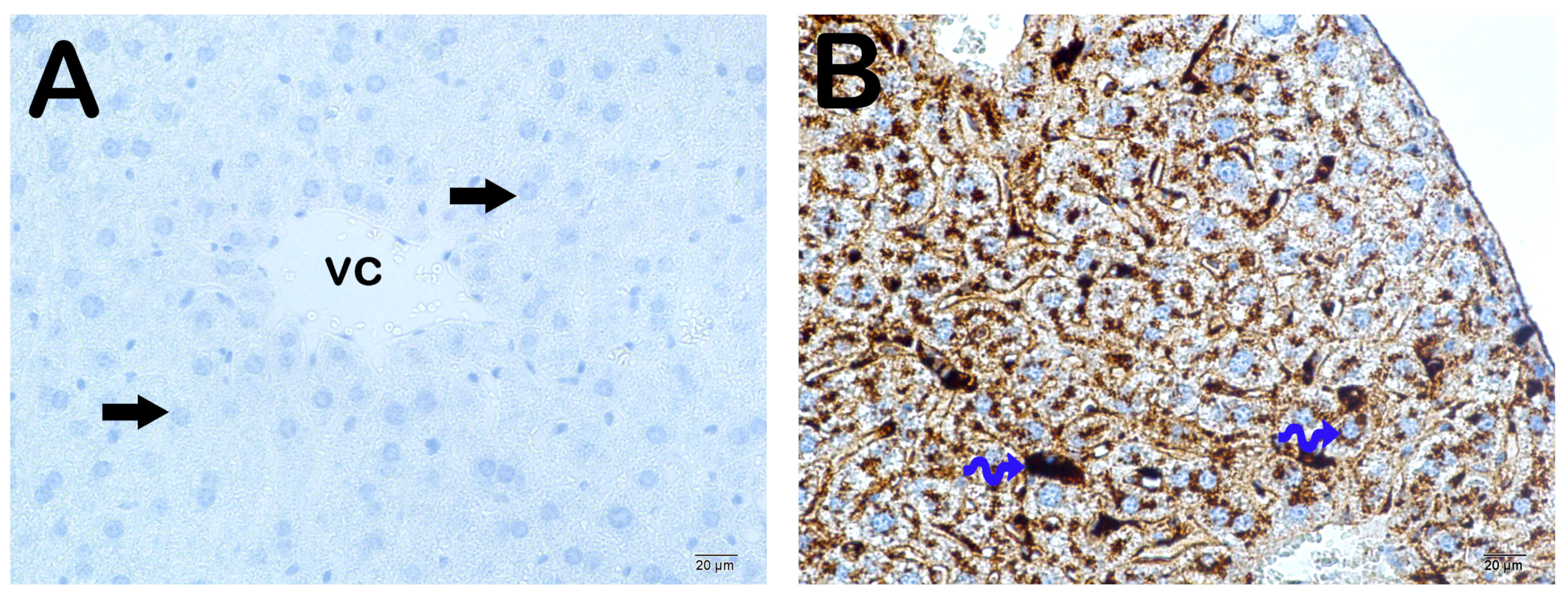
2.8. Histological and Immunohistochemical Analysis in Aortic Root and Liver
2.9. Statistical Analysis
3. Results
3.1. Propolis Extracts Inhibit ADAM10/17
3.2. Propolis Extracts and GW280264X Have Antiobesity Effects
3.3. Propolis Extracts and GW280264X Reduce Dyslipidemia and Hyperglycemia
3.4. Propolis Extracts and GW280264X Have an Antiatherogenic Function
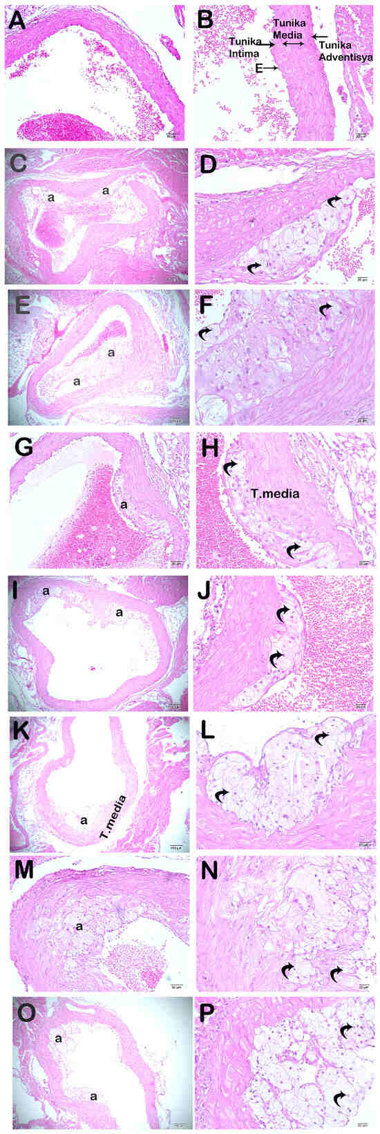
3.5. Propolis Extracts and GW280264X Reduce Atherosclerotic Plaque Burden and Adiposity in the Aortic Root
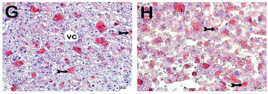
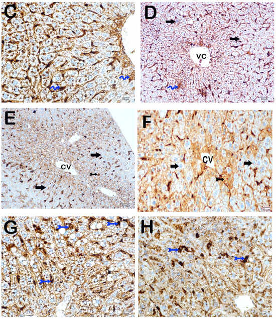
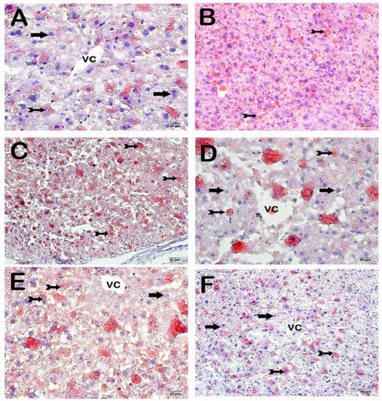
3.6. Propolis Extracts and GW280264X Lower ADAM10 and Sortilin Levels in the Liver, Improving Dyslipidemia and Non-Alcoholic Fatty Liver Disease
4. Discussion
5. Conclusions
Author Contributions
Funding
Institutional Review Board Statement
Informed Consent Statement
Data Availability Statement
Acknowledgments
Conflicts of Interest
References
- Bays, H.E.; Taub, P.R.; Epstein, E.; Michos, E.D.; Ferraro, R.A.; Bailey, A.L.; Kelli, H.M.; Ferdinand, K.C.; Echols, M.R.; Weintraub, H.; et al. Ten things to know about ten cardiovascular disease risk factors. Am. J. Prev. Cardiol. 2021, 5, 100149. [Google Scholar] [CrossRef]
- Paudel, K.R.; Panth, N.; Kim, D.W. Circulating Endothelial Microparticles: A Key Hallmark of Atherosclerosis Progression. Scientifica 2016, 2016, 8514056. [Google Scholar] [CrossRef] [PubMed]
- Niu, C.; Wang, X.; Zhao, M.; Cai, T.; Liu, P.; Li, J.; Willard, B.; Zu, L.; Zhou, E.; Li, Y.; et al. Macrophage Foam Cell-Derived Extracellular Vesicles Promote Vascular Smooth Muscle Cell Migration and Adhesion. J. Am. Heart Assoc. 2016, 5, e004099. [Google Scholar] [CrossRef]
- Reiss, K.; Saftig, P. The “a disintegrin and metalloprotease” (ADAM) family of sheddases: Physiological and cellular functions. Semin. Cell Dev. Biol. 2009, 20, 126–137. [Google Scholar] [CrossRef]
- Goettsch, C.; Kjolby, M.; Aikawa, E. Sortilin and Its Multiple Roles in Cardiovascular and Metabolic Diseases. Arterioscler. Thromb. Vasc. Biol. 2018, 38, 19–25. [Google Scholar] [CrossRef]
- Edwards, D.R.; Handsley, M.M.; Pennington, C.J. The ADAM metalloproteinases. Mol. Asp. Med. 2008, 29, 258–289. [Google Scholar] [CrossRef]
- Karimi, A.; Majlesi, M.; Rafieian-Kopaei, M. Herbal versus synthetic drugs; beliefs and facts. J. Nephropharmacol. 2015, 4, 27–30. [Google Scholar] [PubMed]
- Chuttong, B.; Lim, K.; Praphawilai, P.; Danmek, K.; Maitip, J.; Vit, P.; Wu, M.C.; Ghosh, S.; Jung, C.; Burgett, M.; et al. Exploring the Functional Properties of Propolis, Geopropolis, and Cerumen, with a Special Emphasis on Their Antimicrobial Effects. Foods 2023, 12, 3909. [Google Scholar] [CrossRef] [PubMed]
- Refaat, H.; Mady, F.M.; Sarhan, H.A.; Rateb, H.S.; Alaaeldin, E. Optimization and evaluation of propolis liposomes as a promising therapeutic approach for COVID-19. Int. J. Pharm. 2021, 592, 120028. [Google Scholar] [CrossRef]
- Przybyłek, I.; Karpiński, T.M. Antibacterial Properties of Propolis. Molecules 2019, 24, 2047. [Google Scholar] [CrossRef]
- Toreti, V.C.; Sato, H.H.; Pastore, G.M.; Park, Y.K. Recent progress of propolis for its biological and chemical compositions and its botanical origin. Evid.-Based Complement. Altern. Med. eCAM 2013, 2013, 697390. [Google Scholar] [CrossRef]
- Mujica, V.; Orrego, R.; Pérez, J.; Romero, P.; Ovalle, P.; Zúñiga-Hernández, J.; Arredondo, M.; Leiva, E. The Role of Propolis in Oxidative Stress and Lipid Metabolism: A Randomized Controlled Trial. Evid.-Based Complement. Altern. Med. eCAM 2017, 2017, 4272940. [Google Scholar] [CrossRef] [PubMed]
- Sani, L.; Cardinault, N.; Astier, J.; Darmon, P.; Landrier, J.F. Poplar Propolis Improves Insulin Homeostasis in Non-Diabetic Insulin-Resistant Volunteers with Obesity: A Crossover Randomized Controlled Trial. Antioxidants 2023, 12, 1481. [Google Scholar] [CrossRef]
- Goncalves, V.C.; Silva da Fonsêca, V.; de Paula Faria, D.; Izidoro, M.A.; Berretta, A.A.; de Almeida, A.G.; Affonso Fonseca, F.L.; Scorza, F.A.; Scorza, C.A. Propolis induces cardiac metabolism changes in 6-hydroxydopamine animal model: A dietary intervention as a potential cardioprotective approach in Parkinson’s disease. Front. Pharmacol. 2022, 13, 1013703. [Google Scholar] [CrossRef]
- Roosta, S.; Ghasemi, F.; Mokhayeri, Y.; Choobkar, S.; Nikbakht, M.R.; Falahi, E. Effects of Satureja Khuzestanica supplementation on glycemic indices and lipid profile in type 2 diabetes patients: A randomized controlled clinical-trial. BMC Complement. Med. Ther. 2024, 24, 201. [Google Scholar] [CrossRef]
- Barlak, Y.; Değer, O.; Çolak, M.; Karataylı, S.C.; Bozdayı, A.M.; Yücesan, F. Effect of Turkish propolis extracts on proteome of prostate cancer cell line. Proteome Sci. 2011, 9, 74. [Google Scholar] [CrossRef] [PubMed]
- Al-Ani, I.; Zimmermann, S.; Reichling, J.; Wink, M. Antimicrobial Activities of European Propolis Collected from Various Geographic Origins Alone and in Combination with Antibiotics. Medicines 2018, 5, 2. [Google Scholar] [CrossRef] [PubMed]
- Saavedra, N.; Cuevas, A.; Cavalcante, M.F.; Dörr, F.A.; Saavedra, K.; Zambrano, T.; Abdalla, D.S.; Salazar, L.A. Polyphenols from Chilean Propolis and Pinocembrin Reduce MMP-9 Gene Expression and Activity in Activated Macrophages. BioMed Res. Int. 2016, 2016, 6505383. [Google Scholar] [CrossRef] [PubMed]
- Giebeler, N.; Zigrino, P. A Disintegrin and Metalloprotease (ADAM): Historical Overview of Their Functions. Toxins 2016, 8, 122. [Google Scholar] [CrossRef]
- Nigar Bozkus, T.; Deger, O.; Yasar, A. Chemical characterization of water and ethanolic extracts of Turkish propolis by HPLC-DAD and GC-MS. J. Liq. Chromatogr. Relat. Technol. 2021, 44, 77–86. [Google Scholar] [CrossRef]
- Morris, G.M.; Huey, R.; Lindstrom, W.; Sanner, M.F.; Belew, R.K.; Goodsell, D.S.; Olson, A.J. AutoDock4 and AutoDockTools4: Automated docking with selective receptor flexibility. J. Comput. Chem. 2009, 30, 2785–2791. [Google Scholar] [CrossRef] [PubMed]
- McGrath, J.C.; Lilley, E. Implementing guidelines on reporting research using animals (ARRIVE etc.): New requirements for publication in BJP. Br. J. Pharmacol. 2015, 172, 3189–3193. [Google Scholar] [CrossRef]
- Lilley, E.; Stanford, S.C.; Kendall, D.E.; Alexander, S.P.H.; Cirino, G.; Docherty, J.R.; George, C.H.; Insel, P.A.; Izzo, A.A.; Ji, Y.; et al. ARRIVE 2.0 and the British Journal of Pharmacology: Updated guidance for 2020. Br. J. Pharmacol. 2020, 177, 3611–3616. [Google Scholar] [CrossRef] [PubMed]
- Meir, K.S.; Leitersdorf, E. Atherosclerosis in the apolipoprotein-E-deficient mouse: A decade of progress. Arterioscler. Thromb. Vasc. Biol. 2004, 24, 1006–1014. [Google Scholar] [CrossRef]
- Tabas, I.; García-Cardeña, G.; Owens, G.K. Recent insights into the cellular biology of atherosclerosis. J. Cell Biol. 2015, 209, 13–22. [Google Scholar] [CrossRef] [PubMed]
- Morton, A.C.; Rothman, A.M.; Greenwood, J.P.; Gunn, J.; Chase, A.; Clarke, B.; Hall, A.S.; Fox, K.; Foley, C.; Banya, W.; et al. The effect of interleukin-1 receptor antagonist therapy on markers of inflammation in non-ST elevation acute coronary syndromes: The MRC-ILA Heart Study. Eur. Heart J. 2015, 36, 377–384. [Google Scholar] [CrossRef]
- Everett, B.M.; Pradhan, A.D.; Solomon, D.H.; Paynter, N.; Macfadyen, J.; Zaharris, E.; Gupta, M.; Clearfield, M.; Libby, P.; Hasan, A.A.; et al. Rationale and design of the Cardiovascular Inflammation Reduction Trial: A test of the inflammatory hypothesis of atherothrombosis. Am. Heart J. 2013, 166, 199–207.e15. [Google Scholar] [CrossRef] [PubMed]
- Nidorf, S.M.; Eikelboom, J.W.; Budgeon, C.A.; Thompson, P.L. Low-dose colchicine for secondary prevention of cardiovascular disease. J. Am. Coll. Cardiol. 2013, 61, 404–410. [Google Scholar] [CrossRef] [PubMed]
- Howard, W.J.; Russell, M.; Fleg, J.L.; Mete, M.; Ali, T.; Devereux, R.B.; Galloway, J.M.; Otvos, J.D.; Ratner, R.E.; Roman, M.J.; et al. Prevention of atherosclerosis with LDL-C lowering—Lipoprotein changes and interactions: The sands study. J. Clin. Lipidol. 2009, 3, 322–331. [Google Scholar] [CrossRef]
- Fang, Y.; Sang, H.; Yuan, N.; Sun, H.; Yao, S.; Wang, J.; Qin, S. Ethanolic extract of propolis inhibits atherosclerosis in ApoE-knockout mice. Lipids Health Dis. 2013, 12, 123. [Google Scholar] [CrossRef]
- Plump, A.S.; Smith, J.D.; Hayek, T.; Aalto-Setälä, K.; Walsh, A.; Verstuyft, J.G.; Rubin, E.M.; Breslow, J.L. Severe hypercholesterolemia and atherosclerosis in apolipoprotein E-deficient mice created by homologous recombination in ES cells. Cell 1992, 71, 343–353. [Google Scholar] [CrossRef] [PubMed]
- Ishibashi, S.; Brown, M.S.; Goldstein, J.L.; Gerard, R.D.; Hammer, R.E.; Herz, J. Hypercholesterolemia in low density lipoprotein receptor knockout mice and its reversal by adenovirus-mediated gene delivery. J. Clin. Investig. 1993, 92, 883–893. [Google Scholar] [CrossRef]
- Ichi, I.; Hori, H.; Takashima, Y.; Adachi, N.; Kataoka, R.; Okihara, K.; Hashimoto, K.; Kojo, S. The beneficial effect of propolis on fat accumulation and lipid metabolism in rats fed a high-fat diet. J. Food Sci. 2009, 74, H127–H131. [Google Scholar] [CrossRef]
- Koya-Miyata, S.; Arai, N.; Mizote, A.; Taniguchi, Y.; Ushio, S.; Iwaki, K.; Fukuda, S. Propolis prevents diet-induced hyperlipidemia and mitigates weight gain in diet-induced obesity in mice. Biol. Pharm. Bull. 2009, 32, 2022–2028. [Google Scholar] [CrossRef]
- Menghini, R.; Fiorentino, L.; Casagrande, V.; Lauro, R.; Federici, M. The role of ADAM17 in metabolic inflammation. Atherosclerosis 2013, 228, 12–17. [Google Scholar] [CrossRef]
- Guan, R.; Ma, N.; Liu, G.; Wu, Q.; Su, S.; Wang, J.; Geng, Y. Ethanol extract of propolis regulates type 2 diabetes in mice via metabolism and gut microbiota. J. Ethnopharmacol. 2023, 310, 116385. [Google Scholar] [CrossRef] [PubMed]
- Berenguer, M.; Zhang, J.; Bruce, M.C.; Martinez, L.; Gonzalez, T.; Gurtovenko, A.A.; Xu, T.; Le Marchand-Brustel, Y.; Govers, R. Dimethyl sulfoxide enhances GLUT4 translocation through a reduction in GLUT4 endocytosis in insulin-stimulated 3T3-L1 adipocytes. Biochimie 2011, 93, 697–709. [Google Scholar] [CrossRef]
- Gelling, R.W.; Yan, W.; Al-Noori, S.; Pardini, A.; Morton, G.J.; Ogimoto, K.; Schwartz, M.W.; Dempsey, P.J. Deficiency of TNF alpha converting enzyme (TACE/ADAM17) causes a lean, hypermetabolic phenotype in mice. Endocrinology 2008, 149, 6053–6064. [Google Scholar] [CrossRef] [PubMed]
- Oršolić, N.; Landeka Jurčević, I.; Đikić, D.; Rogić, D.; Odeh, D.; Balta, V.; Perak Junaković, E.; Terzić, S.; Jutrić, D. Effect of Propolis on Diet-Induced Hyperlipidemia and Atherogenic Indices in Mice. Antioxidants 2019, 8, 156. [Google Scholar] [CrossRef]
- Kitamura, H.; Naoe, Y.; Kimura, S.; Miyamoto, T.; Okamoto, S.; Toda, C.; Shimamoto, Y.; Iwanaga, T.; Miyoshi, I. Beneficial effects of Brazilian propolis on type 2 diabetes in ob/ob mice: Possible involvement of immune cells in mesenteric adipose tissue. Adipocyte 2013, 2, 227–236. [Google Scholar] [CrossRef]
- Canault, M.; Leroyer, A.S.; Peiretti, F.; Lesèche, G.; Tedgui, A.; Bonardo, B.; Alessi, M.C.; Boulanger, C.M.; Nalbone, G. Microparticles of human atherosclerotic plaques enhance the shedding of the tumor necrosis factor-alpha converting enzyme/ADAM17 substrates, tumor necrosis factor and tumor necrosis factor receptor-1. Am. J. Pathol. 2007, 171, 1713–1723. [Google Scholar] [CrossRef]
- Vieceli Dalla Sega, F.; Fortini, F.; Aquila, G.; Campo, G.; Vaccarezza, M.; Rizzo, P. Notch Signaling Regulates Immune Responses in Atherosclerosis. Front. Immunol. 2019, 10, 1130. [Google Scholar] [CrossRef] [PubMed]
- Ridker, P.M.; Everett, B.M.; Thuren, T.; MacFadyen, J.G.; Chang, W.H.; Ballantyne, C.; Fonseca, F.; Nicolau, J.; Koenig, W.; Anker, S.D.; et al. Antiinflammatory Therapy with Canakinumab for Atherosclerotic Disease. N. Engl. J. Med. 2017, 377, 1119–1131. [Google Scholar] [CrossRef] [PubMed]
- Reddy, P.; Slack, J.L.; Davis, R.; Cerretti, D.P.; Kozlosky, C.J.; Blanton, R.A.; Shows, D.; Peschon, J.J.; Black, R.A. Functional analysis of the domain structure of tumor necrosis factor-alpha converting enzyme. J. Biol. Chem. 2000, 275, 14608–14614. [Google Scholar] [CrossRef] [PubMed]
- Martin, P.; Palmer, G.; Vigne, S.; Lamacchia, C.; Rodriguez, E.; Talabot-Ayer, D.; Rose-John, S.; Chalaris, A.; Gabay, C. Mouse neutrophils express the decoy type 2 interleukin-1 receptor (IL-1R2) constitutively and in acute inflammatory conditions. J. Leukoc. Biol. 2013, 94, 791–802. [Google Scholar] [CrossRef] [PubMed]
- Lorenzen, I.; Lokau, J.; Düsterhöft, S.; Trad, A.; Garbers, C.; Scheller, J.; Rose-John, S.; Grötzinger, J. The membrane-proximal domain of A Disintegrin and Metalloprotease 17 (ADAM17) is responsible for recognition of the interleukin-6 receptor and interleukin-1 receptor II. FEBS Lett. 2012, 586, 1093–1100. [Google Scholar] [CrossRef] [PubMed]
- Uchikawa, S.; Yoda, M.; Tohmonda, T.; Kanaji, A.; Matsumoto, M.; Toyama, Y.; Horiuchi, K. ADAM17 regulates IL-1 signaling by selectively releasing IL-1 receptor type 2 from the cell surface. Cytokine 2015, 71, 238–245. [Google Scholar] [CrossRef] [PubMed]
- Vickers, K.C.; Maguire, C.T.; Wolfert, R.; Burns, A.R.; Reardon, M.; Geis, R.; Holvoet, P.; Morrisett, J.D. Relationship of lipoprotein-associated phospholipase A2 and oxidized low density lipoprotein in carotid atherosclerosis. J. Lipid Res. 2009, 50, 1735–1743. [Google Scholar] [CrossRef] [PubMed]
- Fatahinia, M.; Khosravi, A.R.; Shokri, H. Propolis efficacy on TNF-α, IFN-γ and IL2 cytokines production in old mice with and without systemic candidiasis. J. Mycol. Medicale 2012, 22, 237–242. [Google Scholar] [CrossRef]
- Jalali, M.; Ranjbar, T.; Mosallanezhad, Z.; Mahmoodi, M.; Moosavian, S.P.; Ferns, G.A.; Jalali, R.; Sohrabi, Z. Effect of Propolis Intake on Serum C-Reactive Protein (CRP) and Tumor Necrosis Factor-alpha (TNF-α) Levels in Adults: A Systematic Review and Meta-Analysis of Clinical Trials. Complement. Ther. Med. 2020, 50, 102380. [Google Scholar] [CrossRef]
- Sabir, A.; Sumidarti, A. Interleukin-6 expression on inflamed rat dental pulp tissue after capped with Trigona sp. propolis from south Sulawesi, Indonesia. Saudi J. Biol. Sci. 2017, 24, 1034–1037. [Google Scholar] [CrossRef] [PubMed]
- Asgharpour, F.; Moghadamnia, A.A.; Motallebnejad, M.; Nouri, H.R. Propolis attenuates lipopolysaccharide-induced inflammatory responses through intracellular ROS and NO levels along with downregulation of IL-1β and IL-6 expressions in murine RAW 264.7 macrophages. J. Food Biochem. 2019, 43, e12926. [Google Scholar] [CrossRef]
- Lambrecht, B.N.; Vanderkerken, M.; Hammad, H. The emerging role of ADAM metalloproteinases in immunity. Nat. Rev. Immunol. 2018, 18, 745–758. [Google Scholar] [CrossRef] [PubMed]
- Teng, N.; Maghzal, G.J.; Talib, J.; Rashid, I.; Lau, A.K.; Stocker, R. The roles of myeloperoxidase in coronary artery disease and its potential implication in plaque rupture. Redox Rep. Commun. Free Radic. Res. 2017, 22, 51–73. [Google Scholar] [CrossRef] [PubMed]
- Daher, J. Other forms of oxidized LDL: Emerging functions (Review). World Acad. Sci. J. 2020, 2, 4. [Google Scholar] [CrossRef]
- Li, J.X.; Tian, R.; Lu, N. Quercetin Attenuates Vascular Endothelial Dysfunction in Atherosclerotic Mice by Inhibiting Myeloperoxidase and NADPH Oxidase Function. Chem. Res. Toxicol. 2023, 36, 260–269. [Google Scholar] [CrossRef] [PubMed]
- Ross, R. The pathogenesis of atherosclerosis: A perspective for the 1990s. Nature 1993, 362, 801–809. [Google Scholar] [CrossRef] [PubMed]
- Pang, A.S.; Katz, A.; Minta, J.O. C3 deposition in cholesterol-induced atherosclerosis in rabbits: A possible etiologic role for complement in atherogenesis. J. Immunol. 1979, 123, 1117–1122. [Google Scholar] [CrossRef] [PubMed]
- Hansson, G.K.; Holm, J.; Kral, J.G. Accumulation of IgG and complement factor C3 in human arterial endothelium and atherosclerotic lesions. Acta Pathol. Microbiol. Immunol. Scand. Sect. A Pathol. 1984, 92, 429–435. [Google Scholar] [CrossRef]
- Virella, G.; Virella, I.; Leman, R.B.; Pryor, M.B.; Lopes-Virella, M.F. Anti-oxidized low-density lipoprotein antibodies in patients with coronary heart disease and normal healthy volunteers. Int. J. Clin. Lab. Res. 1993, 23, 95–101. [Google Scholar] [CrossRef]
- Ylä-Herttuala, S.; Palinski, W.; Butler, S.W.; Picard, S.; Steinberg, D.; Witztum, J.L. Rabbit and human atherosclerotic lesions contain IgG that recognizes epitopes of oxidized LDL. Arterioscler. Thromb. J. Vasc. Biol. 1994, 14, 32–40. [Google Scholar] [CrossRef] [PubMed]
- Palinski, W.; Ord, V.A.; Plump, A.S.; Breslow, J.L.; Steinberg, D.; Witztum, J.L. ApoE-deficient mice are a model of lipoprotein oxidation in atherogenesis. Demonstration of oxidation-specific epitopes in lesions and high titers of autoantibodies to malondialdehyde-lysine in serum. Arterioscler. Thromb. J. Vasc. Biol. 1994, 14, 605–616. [Google Scholar] [CrossRef]
- Jonasson, L.; Holm, J.; Skalli, O.; Gabbiani, G.; Hansson, G.K. Expression of class II transplantation antigen on vascular smooth muscle cells in human atherosclerosis. J. Clin. Investig. 1985, 76, 125–131. [Google Scholar] [CrossRef]
- Roselaar, S.E.; Schonfeld, G.; Daugherty, A. Enhanced development of atherosclerosis in cholesterol-fed rabbits by suppression of cell-mediated immunity. J. Clin. Investig. 1995, 96, 1389–1394. [Google Scholar] [CrossRef] [PubMed]
- Emeson, E.E.; Shen, M.L. Accelerated atherosclerosis in hyperlipidemic C57BL/6 mice treated with cyclosporin A. Am. J. Pathol. 1993, 142, 1906–1915. [Google Scholar]
- Nakamura, T.; Ohta, Y.; Ohashi, K.; Ikeno, K.; Watanabe, R.; Tokunaga, K.; Harada, N. Protective Effect of Brazilian Propolis against Liver Damage with Cholestasis in Rats Treated with α-Naphthylisothiocyanate. Evid.-Based Complement. Altern. Med. eCAM 2013, 2013, 302720. [Google Scholar] [CrossRef] [PubMed]
- Kjolby, M.; Andersen, O.M.; Breiderhoff, T.; Fjorback, A.W.; Pedersen, K.M.; Madsen, P.; Jansen, P.; Heeren, J.; Willnow, T.E.; Nykjaer, A. Sort1, encoded by the cardiovascular risk locus 1p13.3, is a regulator of hepatic lipoprotein export. Cell Metab. 2010, 12, 213–223. [Google Scholar] [CrossRef]
- Willnow, T.E.; Kjølby, M.; Nykjaer, A. Sortilins: New players in lipoprotein metabolism. Curr. Opin. Lipidol. 2011, 22, 79–85. [Google Scholar] [CrossRef]
- Jiang, Y.Z.; Xing, S.H.; Cen, W.M.; Chen, J.N.; Li, X.W. New insights in regulation factors of lipoprotein lipase. Yi Chuan = Hereditas 2013, 35, 830–838. [Google Scholar] [CrossRef]
- Li, J.; Wang, Y.; Matye, D.J.; Chavan, H.; Krishnamurthy, P.; Li, F.; Li, T. Sortilin 1 Modulates Hepatic Cholesterol Lipotoxicity in Mice via Functional Interaction with Liver Carboxylesterase 1. J. Biol. Chem. 2017, 292, 146–160. [Google Scholar] [CrossRef]
- Kjolby, M.; Nielsen, M.S.; Petersen, C.M. Sortilin, encoded by the cardiovascular risk gene SORT1, and its suggested functions in cardiovascular disease. Curr. Atheroscler. Rep. 2015, 17, 496. [Google Scholar] [CrossRef] [PubMed]
- Gustafsen, C.; Kjolby, M.; Nyegaard, M.; Mattheisen, M.; Lundhede, J.; Buttenschøn, H.; Mors, O.; Bentzon, J.F.; Madsen, P.; Nykjaer, A.; et al. The hypercholesterolemia-risk gene SORT1 facilitates PCSK9 secretion. Cell Metab. 2014, 19, 310–318. [Google Scholar] [CrossRef] [PubMed]
- Mortensen, M.B.; Kjolby, M.; Bentzon, J.F. Sortilin and atherosclerosis. Oncotarget 2015, 6, 19352–19353. [Google Scholar] [CrossRef] [PubMed]
- Goettsch, C.; Iwata, H.; Hutcheson, J.D.; O’Donnell, C.J.; Chapurlat, R.; Cook, N.R.; Aikawa, M.; Szulc, P.; Aikawa, E. Serum Sortilin Associates With Aortic Calcification and Cardiovascular Risk in Men. Arterioscler. Thromb. Vasc. Biol. 2017, 37, 1005–1011. [Google Scholar] [CrossRef]
- Musunuru, K.; Strong, A.; Frank-Kamenetsky, M.; Lee, N.E.; Ahfeldt, T.; Sachs, K.V.; Li, X.; Li, H.; Kuperwasser, N.; Ruda, V.M.; et al. From noncoding variant to phenotype via SORT1 at the 1p13 cholesterol locus. Nature 2010, 466, 714–719. [Google Scholar] [CrossRef]













| Receptor Name | Ligand Name | Binding Energy (kcal/mol) | Ki |
|---|---|---|---|
| ADAM10 Extracellular Domain (Chain: A) EC: 3.4.24.81 | Pinocembrin | −8.05 | 1.26 µM |
| Caffeic Acid | −6.04 | 37.6 µM | |
| Chlorogenic Acid | −6.96 | 7.93 µM | |
| Quercetin | −8.07 | 1.21 µM | |
| Caffeic Acid Phenethyl Ester | −8.38 | 716.06 µM | |
| Trans-cinnamic Acid | −5.49 | 94.68 µM | |
| Myricetin | −7.91 | 1.59 µM | |
| Galangin | −8.34 | 776.6 µM | |
| Chrysin | −8.03 | 1.31 µM | |
| Naringenin | −8.45 | 635.9 nM | |
| Kaempferol | −8.59 | 505.9 nM | |
| Reference Molecule * | −4.49 | 306.5 nM | |
| ADAM17 Membrane Proximal Domain EC: 3.4.24.86 | Pinocembrin | −5.30 | 129.85 µM |
| Caffeic Acid | −4.64 | 398.29 µM | |
| Chlorogenic Acid | −5.21 | 152.67 µM | |
| Quercetin | −5.11 | 178.68 µM | |
| Caffeic Acid Phenethyl Ester | −5.16 | 164.77 µM | |
| Trans-cinnamic Acid | −4.77 | 316.48 µM | |
| Myricetin | −4.84 | 282.89 µM | |
| Galangin | −5.65 | 72.29 µM | |
| Chrysin | −5.38 | 113.77 µM | |
| Naringenin | −5.54 | 86.58 µM | |
| Kaempferol | −5.44 | 103.74 µM | |
| Reference Molecule * | −4.99 | 21.99 µM |
| Parameters Med (Q1–Q3) | Control | Sham | WEP | EEP | GW | Case | DMSO | Ethanol |
|---|---|---|---|---|---|---|---|---|
| WT (CD) | WT (HCD) | ApoE-/- (HCD) | ApoE-/- (HCD) | ApoE-/- (HCD) | ApoE-/- (HCD) | ApoE-/- (HCD) | ApoE-/- (HCD) | |
| Glu (mg/dL) | 162 (161–168) | 116 a, b (109–119) | 154 a, b (152–160) | 118 a, b, c (116–122.5) | 133 a, b (123–143) | 185 a (180–186) | 116 a, b, c (115–118) | 115 a, b, c (109–122) |
| TG (mg/dL) | 76 (72–82) | 72 b (70–79) | 54 a, b (52–58) | 57 a, b (54.5–62) | 57 a, b (51–62.5) | 114 a (110–117) | 127 a (120.8–132) | 97 a (92.3–101.3) |
| TC (mg/dL) | 136 (128–154) | 134 (129–138) | 1226 a, b (1212–1267) | 1246 a, b (1103–1259) | 1285 a, b (1253–1326) | 1369 a (1355–1412) | 1350 a (1318–1404) | 1410 a (1327–1505) |
| ALT (U/L) | 42 (38–44) | 42 (36–46) | 20 a, b (19–22) | 40 (36–50) | 34 (32–38.5) | 36 (30–42) | 25 a, b (24–26) | 35 (34–37) |
| AST (U/L) | 154 (152–154) | 252 a, b (228–254) | 142 a, b (141–147) | 280 a, b, c (275–280) | 213 a, b, c (202.5–217) | 163 (161.5–166) | 143 (138–147) | 240.5 a (220–265) |
| BUN (mg/dL) | 28 (24–30) | 34 (31–34) | 30 (26–32) | 28 (28–28.5) | 28 (22–34) | 28 (27–28.5) | 35 (34–36.5) | 43.5 (41.5–46.8) |
| IL-1β (ng/mL) | 15.04 (14.45–19.3) | 50.65 a, b (32.47–5523) | 32.63 b (18.84–35.9) | 43.08 a, b (42.5–49.2) | 32.41 a, b (30.5–42.81) | 63.05 a (57.89–77.34) | 63.05 a (61.34–65.77) | 65.77 a (62.93–70.83) |
| PLA2 (ng/mL) | 94.81 (90.4–96.94) | 160.8 a, b (145.7–176) | 269.8 a, b (230.2–273.2) | 103 b, c (92.81–113.1) | 131.5 a, b, c (129–145.3) | 433 a (350.2–474.1) | 419.5 a (373.6–458.2) | 399.1 a (357.6–469.1) |
| PON1 (pg/mL) | 621 (564.3–780.3 | 655.4 b (560–720.7) | 441 a, b (351.7–446.1) | 271 a, b, c (262.7–291.4) | 199 a, c (160.7–212.5) | 142.8 a (122.7–151.2) | 151.3 a (143.4–167.2) | 107.7 a (106–123.9) |
| Groups | Aortic Root H&E Score [Median (Q1–Q3)] | Aortic Root ORO Score [Median (Q1–Q3)] |
|---|---|---|
| Control | [0 (0–0)] | [0 (0–0)] |
| Sham | [2 (2–2)] a | [2 (2–2)] a |
| WEP | [1 (0.5–1)] b | [1 (0.5–1)] b |
| EEP | [0.5 (0–1)] b | [0.5 (0–1)] b |
| GW | [1 (0–1)] b | [1 (0–1)] b |
| Case | [2 (2–3)] a | [2 (2–3)] a |
| DMSO | [2 (2–2.5)] a | [2 (2–2.5)] a |
| Ethanol | [2 (2–2.5)] a | [2 (2–2.5)] a |
| Groups | Liver ORO Score [Median (Q1–Q3)] |
|---|---|
| Control | [0 (0–0)] |
| Sham | [9 (8–10.5)] a |
| WEP | [5(3–6)] b |
| EEP | [3 (2–3)] b |
| GW | [4 (3.5–5)] b |
| Case | [9 (7–10)] a |
| DMSO | [2 (2–2.5)] a |
| Ethanol | [2 (2–2.5)] a |
| Groups | Liver ADAM10 [Median (Q1–Q3)] | Liver Sortilin Score [Median (Q1–Q3)] |
|---|---|---|
| Control | [0 (0–0)] | [0 (0–0)] |
| Sham | [3 (2–3)] a | [2 (2–3)] a |
| WEP | [1 (1–1.5)] b | [1 (1–1.5)] b |
| EEP | [1 (1–1)] b | [1 (1–1)] b |
| GW | [1 (1–1)] b | [1 (1–1)] b |
| Case | [3 (3–3)] a | [2 (2–3)] a |
| DMSO | [2 (2–3)] a | [2 (2–3)] a |
| Ethanol | [3 (2–3)] a | [3 (2–3)] a |
Disclaimer/Publisher’s Note: The statements, opinions and data contained in all publications are solely those of the individual author(s) and contributor(s) and not of MDPI and/or the editor(s). MDPI and/or the editor(s) disclaim responsibility for any injury to people or property resulting from any ideas, methods, instructions or products referred to in the content. |
© 2024 by the authors. Licensee MDPI, Basel, Switzerland. This article is an open access article distributed under the terms and conditions of the Creative Commons Attribution (CC BY) license (https://creativecommons.org/licenses/by/4.0/).
Share and Cite
Yigit, E.; Deger, O.; Korkmaz, K.; Huner Yigit, M.; Uydu, H.A.; Mercantepe, T.; Demir, S. Propolis Reduces Inflammation and Dyslipidemia Caused by High-Cholesterol Diet in Mice by Lowering ADAM10/17 Activities. Nutrients 2024, 16, 1861. https://doi.org/10.3390/nu16121861
Yigit E, Deger O, Korkmaz K, Huner Yigit M, Uydu HA, Mercantepe T, Demir S. Propolis Reduces Inflammation and Dyslipidemia Caused by High-Cholesterol Diet in Mice by Lowering ADAM10/17 Activities. Nutrients. 2024; 16(12):1861. https://doi.org/10.3390/nu16121861
Chicago/Turabian StyleYigit, Ertugrul, Orhan Deger, Katip Korkmaz, Merve Huner Yigit, Huseyin Avni Uydu, Tolga Mercantepe, and Selim Demir. 2024. "Propolis Reduces Inflammation and Dyslipidemia Caused by High-Cholesterol Diet in Mice by Lowering ADAM10/17 Activities" Nutrients 16, no. 12: 1861. https://doi.org/10.3390/nu16121861
APA StyleYigit, E., Deger, O., Korkmaz, K., Huner Yigit, M., Uydu, H. A., Mercantepe, T., & Demir, S. (2024). Propolis Reduces Inflammation and Dyslipidemia Caused by High-Cholesterol Diet in Mice by Lowering ADAM10/17 Activities. Nutrients, 16(12), 1861. https://doi.org/10.3390/nu16121861

