Nigella sativa-Floral Honey and Multi-Floral Honey versus Nigella sativa Oil against Testicular Degeneration Rat Model: The Possible Protective Mechanisms
Abstract
1. Introduction
2. Materials and Methods
2.1. Ethical Standard
2.2. Animals
2.3. Nigella Sativa Oil
2.4. Honey
2.5. Testicular Degeneration Model
2.6. Experimental Protocol and Sampling
2.7. Relative Testis Weight
2.8. Hormone Assay
2.9. Preparation of Testicular Homogenate
2.10. Sperm Count and Viability
2.11. Histological Examination
2.12. Statistical Analysis
3. Results
3.1. Body Gain and Relative Testis Weight
3.2. Testosterone, SHBG, and Related Parameters
3.3. Gonadotrophins
3.4. Apoptosis Markers
3.5. Redox Balance (GSH-Px and SOD; CAT and MDH)
3.6. Sperm Quality
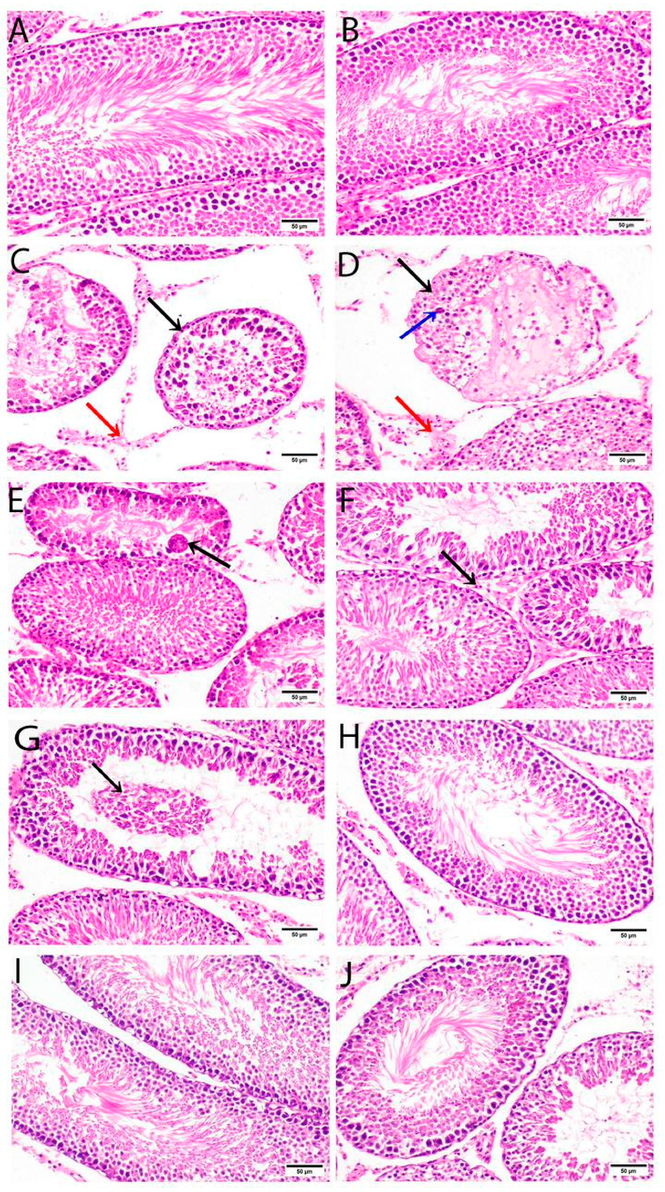
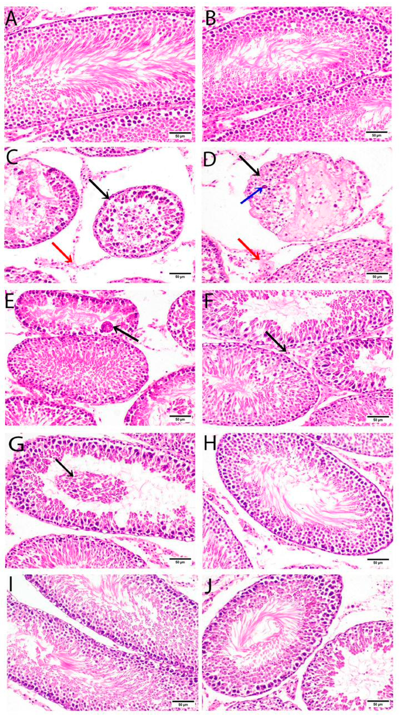
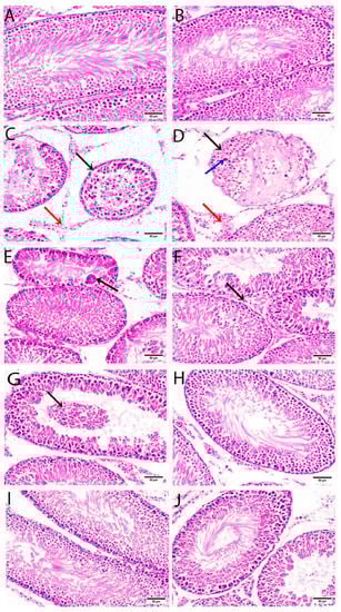
3.7. Histological Examination
4. Discussion
5. Conclusions
6. Research Limitation
Author Contributions
Funding
Institutional Review Board Statement
Informed Consent Statement
Data Availability Statement
Acknowledgments
Conflicts of Interest
References
- Agarwal, A.; Mulgund, A.; Hamada, A.; Chyatte, M.R. A unique view on male infertility around the globe. Reprod. Biol. Endocrinol. 2015, 13, 37. [Google Scholar] [CrossRef] [PubMed]
- Hassan, E.; El-Neweshy, M.; Hassan, M.; Noreldin, A. Thymoquinone attenuates testicular and spermotoxicity following subchronic lead exposure in male rats: Possible mechanisms are involved. Life Sci. 2019, 230, 132–140. [Google Scholar] [CrossRef]
- Ara, C.; Yaseen, F.; Ali, S.; Shakir, H.A.; Khan, M.; Andleeb, S.; Ramzan, N. Evaluation of sex steroid hormones and reproductive irregularities in diethyl phthalate-exposed premature mice: Modulatory effect of raw honey against potential anomalies. Environ. Sci. Pollut. Res. 2021, 28, 55265–55276. [Google Scholar] [CrossRef]
- Tanner, E.M.; Hallerbäck, M.U.; Wikström, S.; Lindh, C.; Kiviranta, H.; Gennings, C.; Bornehag, C.G. Early prenatal exposure to suspected endocrine disruptor mixtures is associated with lower IQ at age seven. Environ. Int. 2020, 134, 105185. [Google Scholar] [CrossRef] [PubMed]
- Dhama, K.; Karthik, K.; Khandia, R.; Munjal, A.; Tiwari, R.; Rana, R.; Khurana, S.K.; Ullah, S.; Khan, R.U.; Alagawany, M.; et al. Medicinal and therapeutic potential of herbs and plant metabolites/extracts countering viral pathogens-current knowledge and future prospects. Curr. Drug Metab. 2018, 19, 236–263. [Google Scholar] [CrossRef]
- Al-Griw, M.A.; Shalab, S.M.; Alghazeer, R.O.; Elnfat, A.H.; Treesh, S.A.; Benjama, A.E.; Shamlan, G.; Habibullah, M.M.; Eskandrani, A.A.; Alnajeebi, A.M.; et al. Nigella sativa oil alleviates mouse testis and sperm abnormalities induced by BPA: Potentially through redox homeostasis? Comb. Chem. High Throughput Screen. 2022, 26, 301–302. [Google Scholar] [CrossRef]
- Luqman, E.M.; Ananda, A.T.; Widjiati, W.; Hendrawan, V.F. Protective Effect of Apis dorsata Honey on Chronic Monosodium Glutamate-Induced Testicular Toxicity in Mus musculus Mice. Turk. J. Pharm. Sci. 2022, 19, 246–250. [Google Scholar] [CrossRef]
- Kulyar, M.F.; Li, R.; Mehmood, K.; Waqas, M.; Li, K.; Li, J. Potential influence of Nagella sativa (Black cumin) in reinforcing immune system: A hope to decelerate the COVID-19 pandemic. Phytomedicine 2021, 85, 153277. [Google Scholar] [CrossRef]
- Zafar, K.; Noorul, H.; Nesar, A.; Vartika, S.; Khalid, M.; Prashant, S.; Xeeshan, A.; Zohrameena, S. Pharmacological activity of Nigella sativa: A review. World J. Pharm. Sci. 2016, 45, 234–241. [Google Scholar] [CrossRef]
- Usta, C.; Algin, A.K. Kardiyovasküler hastalıklara çörekotu (Nigella sativa) ile fitoterapötik yaklaşım. Ank. Akupunkt. 2016, 4, 15–21. [Google Scholar]
- Kumar, P.; Patra, A.K.; Mandal, G.P.; Samanta, I.; Pradhan, S. Effect of black cumin seeds on growth performance, nutrient utilization, immunity, gut health and nitrogen excretion in broiler chickens. J. Sci. Food Agric. 2017, 97, 3742–3751. [Google Scholar] [CrossRef] [PubMed]
- Leisegang, K.; Almaghrawi, W.; Henkel, R. The effect of Nigella sativa oil and metformin on male seminal parameters and testosterone in Wistar rats exposed to an obesogenic diet. Biomed. Pharmacother. 2021, 133, 111085. [Google Scholar] [CrossRef] [PubMed]
- Selvaraju, K.; Vikram, P.; Soon, J.M.; Krishnan, K.T.; Mohammed, A. Melissopalynological, physicochemical and antioxidant properties of honey from West Coast of Malaysia. J. Food Sci. Technol. 2019, 56, 2508–2521. [Google Scholar] [CrossRef] [PubMed]
- Al-Seeni, M.N.; El Rabey, H.A.; Al-Solamy, S.M. The protective role of bee honey against the toxic effect of melamine in the male rat kidney. Toxicol. Ind. Health 2015, 31, 485–493. [Google Scholar] [CrossRef]
- da Silva, P.M.; Gauche, C.; Gonzaga, L.V.; Costa, A.C.; Fett, R. Honey: Chemical composition, stability and authenticity. Food Chem. 2016, 196, 309–323. [Google Scholar] [CrossRef]
- Banihani, S.A. Mechanisms of honey on testosterone levels. Heliyon 2019, 5, e02029. [Google Scholar] [CrossRef]
- NRC (National Research Council). US Committee for the Update of the Guide for the Care and Use of Laboratory Animals, 8th ed.; National Academies Press: Washington, DC, USA, 2011. [Google Scholar] [CrossRef]
- Onanuga, I.O.; Ibrahim, R.B.; Amin, A.; Omotoso, G.O. Testicular alteration in overdosage of azathioprine: A histological and histochemical study in Wistar rats. Afr. J. Cell. Pathol. 2014, 2, 83–88. [Google Scholar] [CrossRef]
- Abdul-Hamid, M.; Abdel-Reheim, E.S.; Hegazy, W.; Allam, A.A.; Othman, S.I.; ALqhtani, H.; Abdel-Kawi, S.H. Impact of gervital against histopathological, ultrastructural, and biochemical alterations caused by methotrexate or azathioprine in albino rat testis. Environ. Sci. Pollut. Res. 2022, 30, 21914–21926. [Google Scholar] [CrossRef]
- Sadeghimanesh, A.; Gholipour, S.; Torki, A.; Amini-Khoei, H.; Lorigooini, Z.; Habtemariam, S. Inhibitory effects of Nigella sativa seed oil on the testosterone-induced benign prostatic hyperplasia in rats. BioMedicine 2021, 11, 19. [Google Scholar] [CrossRef]
- Shin, J.W.; Seol, I.C.; Son, C.G. Interpretation of animal dose and human equivalent dose for drug development. J. Korean Med. 2010, 31, 1–7. [Google Scholar]
- Sherif, I.O.; Sarhan, O.M. Candesartan in a rat model of testicular toxicity: New insight on its protective mechanism. Exp. Biol. Med. 2019, 244, 593–601. [Google Scholar] [CrossRef] [PubMed]
- Marianne, F.; Sohrabi, F.; Free Androgen Index. Online Medical Encyclopedia. University of Rochester Medical Center. Available online: https://en.wikipedia.org/wiki/Free_androgen_index (accessed on 11 July 2014).
- Lowry, O.H.; Rosebrough, N.J.; Farr, A.L.; Randall, R.J. Protein measurement with Folin-phenol reagent. J. Biol. Chem. 1951, 193, 265–275. [Google Scholar] [CrossRef] [PubMed]
- Salahshoor, M.R.; Khazaei, M.; Jalili, C.; Keivan, M. Crocin improves damage induced by nicotine on a number of reproductive parameters in male mice. Int. J. Fertil. Steril. 2016, 10, 71. [Google Scholar] [CrossRef] [PubMed]
- Jalili, C.; Salahshoor, M.R.; Naderi, T. The effect of hydroalcoholic extract of P. crispum on sperm parameters, testis tissue and serum nitric oxide levels in mice. Adv. Biomed. Res. 2015, 4, 40. [Google Scholar] [CrossRef]
- Day, C.E. Histopathology; Methods and Protocols; Human Press: Totowa, NJ, USA, 2014; pp. 3–31. [Google Scholar]
- Karawya, F.S.; El-Nahas, A.F. The protective effect of vitamin C on Azathioprine induced seminiferous tubular structural changes and cytogenetic toxicity in albino rats. Cancer Ther. 2006, 4, 125–134. [Google Scholar]
- Laurent, M.R.; Hammond, G.L.; Blokland, M.; Jardí, F.; Antonio, L.; Dubois, V.; Khalil, R.; Sterk, S.S.; Gielen, E.; Decallonne, B.; et al. Sex hormone-binding globulin regulation of androgen bioactivity in vivo: Validation of the free hormone hypothesis. Sci. Rep. 2016, 6, 35539. [Google Scholar] [CrossRef]
- Haseena, S.; Aithal, M.; Das, K.K.; Saheb, S.H. Effect of Nigella sativa seed powder on testosterone and LH levels in sterptozotocine induced diabetes male albino rats. J. Pharm. Sci. Res. 2015, 7, 234. [Google Scholar]
- Parandin, R.; Yousofvand, N.; Ghorbani, R. The enhancing effects of alcoholic extract of Nigella sativa seed on fertility potential, plasma gonadotropins and testosterone in male rats. Iran. J. Reprod. Med. 2012, 10, 355. [Google Scholar]
- Mansour, S.W.; Sangi, S.; Harsha, S.; Khaleel, M.A.; Ibrahim, A.R. Sensibility of male rats fertility against olive oil, Nigella sativa oil and pomegranate extract. Asian Pac. J. Trop. Biomed. 2013, 3, 563–568. [Google Scholar] [CrossRef]
- Mahaneem, M.; Sulaiman, S.A.; Jaafar, H.; Nainamohamed, K.; Sirajudeen, S.; Ismail, Z.I.M.; Islam, M.N. Effect of Honey on Testicular Functions in Rats Exposed to Cigarette Smoke. J. ApiProduct ApiMed. Sci. 2011, 3, 12–17. [Google Scholar] [CrossRef]
- Patel, A.S.; Leong, J.Y.; Ramos, L.; Ramasamy, R. Testosterone is a contraceptive and should not be used in men who desire fertility. World J. Men’s Health 2019, 37, 45–54. [Google Scholar] [CrossRef] [PubMed]
- Schaalan, M.F.; Ramadan, B.K.; HAbd Elwahab, A. Ameliorative effect of taurine-chloramine in azathioprine-induced testicular damage; a deeper insight into the mechanism of protection. BMC Complement. Altern. Med. 2018, 18, 1–4. [Google Scholar] [CrossRef] [PubMed]
- Mylchreest, E.; Sar, M.; Wallace, D.G.; Foster, P.M. Fetal testosterone insufficiency and abnormal proliferation of Leydig cells and gonocytes in rats exposed to di (n-butyl) phthalate. Reprod. Toxicol. 2002, 16, 19–28. [Google Scholar] [CrossRef] [PubMed]
- Walczak-Jedrzejowska, R.; Wolski, J.K.; Slowikowska-Hilczer, J. The role of oxidative stress and antioxidants in male fertility. Central Eur. J. Urol. 2013, 66, 60–67. [Google Scholar] [CrossRef]
- Abd-Elkareem, M.; Abd El-Rahman, M.A.; Khalil, N.S.; Amer, A.S. Antioxidant and cytoprotective effects of Nigella sativa L. seeds on the testis of monosodium glutamate challenged rats. Sci. Rep. 2021, 11, 13519. [Google Scholar] [CrossRef]
- Mustari, A.; Nooruzzaman, M.; Miah, M.A.; Sujan, K.M.; Chowdhury, E.H. Promoting action of vitamin E and black seed oil on reproductive hormones and organ histoarchitecture of Swiss albino mice. Vet. Med. Sci. 2022, 8, 710–718. [Google Scholar] [CrossRef]
- Rahma, N.; Wurlina, W.; Madyawati, S.P.; Utomo, B.; Hernawati, T.; Safitri, E. Kaliandra honey improves testosterone levels, diameter and epithelial thickness of seminiferous tubule of white rat (Rattus norvegicus) due to malnutrition through stimulation of HSP70. Open Vet. J. 2021, 11, 401–406. [Google Scholar] [CrossRef]
- Becchis, M.; Sullivan, P.M.; Ordronneau, P.; Petrusz, P.; Joseph, D.R. Distribution of immunoreactive androgen-binding protein/sex hormone-binding globulin in tissues of the fetal rat. Steroids 1996, 61, 392–400. [Google Scholar] [CrossRef]
- Li, H.; Pham, T.; McWhinney, B.C.; Ungerer, J.P.; Pretorius, C.J.; Richard, D.J.; Mortimer, R.H.; d’Emden, M.C.; Richard, K. Sex hormone binding globulin modifies testosterone action and metabolism in prostate cancer cells. Int. J. Endocrinol. 2016, 2016, 6437585. [Google Scholar] [CrossRef]
- Caldwell, J.D.; Höfle, S.; Englöf, I. Sex hormone binding globulin facilitates female sexual receptivity except when coupled to dihydrotestosterone. Brain Res. 2002, 948, 102–107. [Google Scholar] [CrossRef]
- Hammond, G.L. Diverse roles for sex hormone-binding globulin in reproduction. Biol. Reprod. 2011, 85, 431–441. [Google Scholar] [CrossRef] [PubMed]
- Czub, M.P.; Venkataramany, B.S.; Majorek, K.A.; Handing, K.B.; Porebski, P.J.; Beeram, S.R.; Suh, K.; Woolfork, A.G.; Hage, D.S.; Shabalin, I.G.; et al. Testosterone meets albumin–the molecular mechanism of sex hormone transport by serum albumins. Chem. Sci. 2019, 10, 1607–1618. [Google Scholar] [CrossRef] [PubMed]
- Laurent, M.R.; Vanderschueren, D. Functional effects of sex hormone-binding globulin variants. Nat. Rev. Endocrinol. 2014, 10, 516–517. [Google Scholar] [CrossRef]
- Murray, R.K.; Bender, D.A.; Botham, K.M.; Kennekky, P.J.; Rodwell, V.W.; Anthony Weil, P. (Eds.) The Diversity of the endocrine system. In Harper’s Illustrated Biochemistry, 28th ed.; McGraw-Hill: New York, NY, USA, 2009; Chapter 41. [Google Scholar]
- Ly, L.P.; Handelsman, D.J. Empirical estimation of free testosterone from testosterone and sex hormone-binding globulin immunoassays. Eur. J. Endocrinol. 2005, 152, 471–478. [Google Scholar] [CrossRef]
- Thabbah, B.D.; Al-Katib, S.R.; AlGhazali, B.S. Antiovarian antibody and free androgen index in subfertile women and their relation to intracytoplasmic sperm injection outcome. Am. J. Res. Commun. 2015, 3, 1–13. Available online: www.usa-journals.com (accessed on 1 December 2015).
- Gholami, M.; Abbaszadeh, A.; Khanipour Khayat, Z.; Anbari, K.; Baharvand, P.; Gharravi, A.M. Honey improves spermatogenesis and hormone secretion in testicular ischaemia–reperfusion-induced injury in rats. Andrologia 2018, 50, e12804. [Google Scholar] [CrossRef]
- Gamit, K.G.; Raval, M.A.; Vyas, N.Y. Intervention of medicinal plants for improving male fertility. Pharmacophore 2022, 13, 72–79. [Google Scholar] [CrossRef]
- Kolawole, T.A.; Oyeyemi, W.A.; Adigwe, C.; Leko, B.; Udeh, C.; Dapper, D.V. Honey attenuates the detrimental effects of nicotine on testicular functions in nicotine treated wistar rats. Niger. J. Physiol. Sci. 2015, 30, 10–16. [Google Scholar]
- Desai, S.D.; Saheb, S.H.; Das, K.K.; Haseena, S. Effect of thymoquinone on MDA and SOD levels in sterptozotocine induced diabetic albino rats. J. Pharm. Sci. Res. 2015, 7, 523. [Google Scholar]
- El Khasmi, M.; Allah, A.I.; Farh, M.; Riad, F.; Safwate, A.; El Abbadi, N.; Tahri, E.H. Effect of Nigella sativa fixed oil on the hormonal profile of androgens and circulating in male rats. Phytotherapie 2011, 9, 338–342. [Google Scholar] [CrossRef]
- Mohamed, M.; Sulaiman, S.A.; Jaafar, H.; Sirajudeen, K.N. Effect of different doses of Malaysian honey on reproductive parameters in adult male rats. Andrologia 2012, 44, 182–186. [Google Scholar] [CrossRef] [PubMed]
- Jalili, C.; Ahmadi, S.; Roshankhah, S.; Salahshoor, M. Effect of Genistein on reproductive parameter and serum nitric oxide levels in morphine-treated mice. Int. J. Reprod. Biomed. 2016, 14, 95. Available online: https://www.ncbi.nlm.nih.gov/pmc/articles/PMC4869156/ (accessed on 1 February 2016). [CrossRef] [PubMed]
- Sarhan, N.R. The ameliorating effect of sodium selenite on the histological changes and expression of caspase-3 in the testis of monosodium glutamate-treated rats: Light and electron microscopic study. J. Microsc. Ultrastruct. 2018, 6, 105. [Google Scholar] [CrossRef] [PubMed]
- Anbarkeh, F.R.; Baradaran, R.; Ghandy, N.; Jalali, M.; Nikravesh, M.R.; Soukhtanloo, M. Effects of monosodium glutamate on apoptosis of germ cells in testicular tissue of adult rat: An experimental study. Int. J. Reprod. BioMed. 2019, 17, 261. [Google Scholar] [CrossRef]
- Shokoohi, M.; Khaki, A.; Shoorei, H.; Khaki, A.A.; Moghimian, M.; Abtahi-Eivary, S.H. Hesperidin attenuated apoptotic-related genes in testicle of a male rat model of varicocoele. Andrology 2020, 8, 249–258. [Google Scholar] [CrossRef]
- Aksu, E.H.; Özkaraca, M.U.; Kandemir, F.M.; Ömür, A.D.; Eldutar, E.; Küçükler, S.; Çomaklı, S. Mitigation of paracetamol-induced reproductive damage by chrysin in male rats via reducing oxidative stress. Andrologia 2016, 48, 1145–1154. [Google Scholar] [CrossRef]
- Jalili, C.; Salahshoor, M.R.; Hoseini, M.; Roshankhah, S.; Sohrabi, M.; Shabanizadeh, A. Protective effect of thymoquinone against morphine injuries to kidneys of mice. Iran. J. Kidney Dis. 2017, 11, 142. [Google Scholar]
- Izadpanah, M.; Alizadeh, R.; Minaee, M.B.; Heydari, L.; Babatunde, A.; Abbasi, M. The effects of curcumin on sperm parameters and nitric oxide production in varicocelized rats Efectos de la cúrcuma sobre los pará metros espermá ticos y producciÃ3n de Ã3xido nÃtrico en ratas varicocelizadas. Int. J. Morphol. 2015, 33, 1530–1535. [Google Scholar] [CrossRef]
- Liu, D.; Homan, L.L.; Dillon, J.S. Genistein acutely stimulates nitric oxide synthesis in vascular endothelial cells by a cyclic adenosine 5′-monophosphate-dependent mechanism. Endocrinology 2004, 145, 5532–5539. [Google Scholar] [CrossRef]
- Kohen, R.; Nyska, A. Invited review: Oxidation of biological systems: Oxidative stress phenomena, antioxidants, redox reactions, and methods for their quantification. Toxicol. Pathol. 2002, 30, 620–650. [Google Scholar] [CrossRef]
- Ayan, M.; Tas, U.; Sogut, E.; Caylı, S.; Kaya, H.; Esen, M.; Erdemir, F.; Uysal, M. Protective effect of thymoquinone against testicular torsion induced oxidative injury. Andrologia 2016, 48, 143–151. [Google Scholar] [CrossRef] [PubMed]
- El Rabey, H.A.; Al-Seeni, M.N.; Al-Sieni, A.I.; Al-Hamed, A.M.; Zamzami, M.A.; Almutairi, F.M. Honey attenuates the toxic effects of the low dose of tartrazine in male rats. J. Food Biochem. 2019, 43, e12780. [Google Scholar] [CrossRef] [PubMed]
- Mohamed, M.; Sulaiman, S.A.; Jaafar, H.; Sirajudeen, K.N. Antioxidant protective effect of honey in cigarette smoke-induced testicular damage in rats. Int. J. Mol. Sci. 2011, 12, 5508–5521. [Google Scholar] [CrossRef] [PubMed]
- Trang, N.T.; Huyen, V.T.; Linh, N.T.; Sang, T.T. Seminal fructose concentration in man infertility and the fructose test’s meaning in diagnosis reason of azoospermia man. Biomed. J. Sci. Tech. Res. 2018, 8, 6270–6274. [Google Scholar] [CrossRef]
- Hadi, I.H. Effect of honey on sperm characteristics and pregnancy rate in mice. Bull. Iraq Nat. Hist. Mus. 2017, 14, 223–233. [Google Scholar] [CrossRef]
- Darand, M.; Mirmiran, P.; Mokari-Yamchi, A.; Mokari-Yamchi, A. The effect of Nigella sativa on infertility in men and women: A systematic review. Progr. Nutr. 2020, 21, 33–41. Available online: https://mattioli1885journals.com/index.php/progressinnutrition/article/view/7088 (accessed on 8 March 2023). [CrossRef]
- Kolahdooz, M.; Nasri, S.; Modarres, S.Z.; Kianbakht, S.; Huseini, H.F. Effects of Nigella sativa L. seed oil on abnormal semen quality in infertile men: A randomized, double-blind, placebo-controlled clinical trial. Phytomedicine 2014, 21, 901–905. [Google Scholar] [CrossRef]
- Alenzi, F.Q.; Altamimi, M.A.A.; Kujan, O.; Tarakji, B.; Tamimi, W.; Bagader, O.; Al-Shangiti, A.; Talohi, A.N.; Alenezy, A.K.; Al-Swailmi, F.; et al. Antioxidant properties of Nigella sativa. J. Mol. Genet. Med. 2013, 7, 1–5. [Google Scholar] [CrossRef]
- Nissen, H.P.; Kreysel, H.W. Polyunsaturated fatty acids in relation to sperm motility. Andrologia 1983, 15, 264–269. [Google Scholar] [CrossRef]
- Dare, W.N.; Igbigbi, P.S.; Avwioro, O.G. The effect of chronic honey intake on sperm parameters and fertility potential in adult male wistar rats. World Appl. Sci. J. 2013, 22, 657–661. [Google Scholar] [CrossRef]
- Oyeniran, D.A.; Ojewale, A.O.; Jewo, P.I.; Ashamu, E.A.; Adeniyi, O.O.; Adelakun, S.A. Infertility: A product of smoke emanating from Transfluthrin coated insecticide paper (TCIP). Toxicol. Res. Appl. 2021, 5, 23978473211025467. [Google Scholar] [CrossRef]
- Brown, S.M.; Aljefri, K.; Waas, R.; Hampton, P. Systemic medications used in treatment of common dermatological conditions: Safety profile with respect to pregnancy, breast feeding and content in seminal fluid. J. Dermatol. Treat. 2019, 30, 2–18. [Google Scholar] [CrossRef] [PubMed]
- Abd El-Hakem, A.H.; Ewis, S.H.; Ahmed, M.A.; Eid, R.A. An Ultrastructural Study on the Effect of Nigella Sativa and Hydrocortisone on Adult Albino Rat Testis. J. Am. Sci. 2013, 7, 9. [Google Scholar] [CrossRef]
- Abdallah, M.A.; Kelany, M.E. Could Thymoquinone Protect The Liver Against Indomethacin Toxicity? Life Sci. J. 2014, 11, 26–33. Available online: http://www.lifesciencesite.com (accessed on 25 August 2014).
- Mahdavi, R.; Heshmati, J.; Namazi, N. Effects of black seeds (Nigella sativa) on male infertility: A systematic review. J. Herb. Med. 2015, 5, 133–139, ISSN: 2210-8033. [Google Scholar] [CrossRef]
- Al-Sa’aidi, J.A.; Al-Khuzai, A.L.; Al-Zobaydi, N.F. Effect of alcoholic extract of Nigella sativa on fertility in male rats. Iraqi J. Vet. Sci. 2009, 23, 123–128. [Google Scholar]
- Moskaug, J.Ø.; Carlsen, H.; Myhrstad, M.C.; Blomhoff, R. Polyphenols and glutathione synthesis regulation. Am. J. Clin. Nutr. 2005, 81, 277S–283S. [Google Scholar] [CrossRef]
- Ciftci, O.S.; Ozdemir, I.; Aydin, M.; Beytur, A. Beneficial effects of chrysin on the reproductive system of adult male rats. Andrologia 2012, 44, 181–186. [Google Scholar] [CrossRef]
- Jaroenporn, S.; Yamamoto, T.; Itabashi, A.; Nakamura, K.; Azumano, I.; Watanabe, G.; Taya, K. Effects of pantothenic acid supplementation on adrenal steroid secretion from male rats. Biol. Pharm. Bull. 2008, 31, 1205–1208. [Google Scholar] [CrossRef]
- Mohamed, Z.H.; Ibrahim, M.; Alfarisi, H.H.; Wahab, A.A.; Abd Fuaat, A.; Mohamad, C.C. Effect of Trihoney (A Mixture of Trigona, Mellifera and Tualang) on Male Reproductive Hormones and Insulin Resistance in Hypercholesterolaemic Rabbits. IIUM Med. J. Malays. 2020, 19, 21–29. [Google Scholar] [CrossRef]

| Parameter | Initial Body Weight (g) | Final Body Weight (g) | Body Weight Gain (g) | Testis Weight (g) | Relative Testis Weight (%) | |
|---|---|---|---|---|---|---|
| Group | ||||||
| Negative control | 156.6 ± 3.5 | 276.2 ± 6.2 | 119.8 ± 3.7 | 1.72 ± 0.18 | 0.624 ± 0.071 | |
| AZA model | 160.3 ± 2.7 | 237.3 ± 7.8 * | 77.4 ± 8.5 ** | 0.96 ± 0.05 * | 0.408 ± 0.012 * | |
| M-floral honey | 159.8 ± 3.4 | 252.9 ± 4.6 | 93.7 ± 4.5 | 1.51 ± 0.25 | 0.605 ± 0.047 a | |
| NS floral honey | 155.7 ± 2.7 | 271.8 ± 5.0 a | 116.4 ± 5.7 a | 1.53 ± 0.12 a | 0.566 ± 0.042 a | |
| NS oil | 154.9 ± 3.6 | 269.2 ± 4.2 a | 114.5 ± 3.9 a | 1.67 ± 0.16 a | 0.624 ± 0.060 a | |
| p-value | <0.1364 | <0.0437 | <0.0333 | <0.01543 | <0.03641 | |
| Parameter | TT (ng/mL) | SHBG (ng/mL) | Free Testosterone (FT) | Free Androgen Index (FAI) | TT/FT Ratio | |
|---|---|---|---|---|---|---|
| Group | ||||||
| Negative control | 5.35 ± 0.77 | 3.27 ± 0.27 | 2.10 ± 0.38 | 163.53 ± 4.31 | 2.57 ± 0.45 | |
| AZA model | 2.61 ± 0.41 * | 1.84 ± 0.18 ** | 0.78 ± 0.09 * | 141.82 ± 4.28 * | 3.21 ± 0.79 | |
| M-floral honey | 3.87 ± 0.95 | 2.43 ± 0.53 | 1.47 ± 0.34 | 159.31 ± 4.64 | 2.69 ± 0.34 | |
| NS floral honey | 4.97 ± 0.42 a | 3.16 ± 0.37 a | 1.82 ± 0.29 | 157.77 ± 4.93 | 2.76 ± 0.61 | |
| NS oil | 4.82 ± 0.38 a | 2.97 ± 0.23 a | 1.87 ± 0.17 b | 162.11 ± 3.74 a | 2.60 ± 0.37 | |
| p-value | <0.00232 | <0.001240 | <0.03332 | <0.02931 | <0.06482 | |
| Parameter | Gametogenic H (FSH) (ng/mL) | ICSH (LH) (mlU/mL) | |
|---|---|---|---|
| Group | |||
| Negative control | 4.56 ± 0.11 | 8.78 ± 0.56 | |
| AZA model | 4.11 ± 0.07 * | 6.23 ± 0.49 * | |
| M-floral honey | 4.77 ± 0.19 a | 8.27 ± 1.34 a | |
| NS floral honey | 4.73 ± 0.14 b | 8.84 ± 1.22 a | |
| NS oil | 4.85 ± 0.21 a | 9.62 ± 1.10 a | |
| p-value | <0.00241 | <0.00363 | |
| Parameter | Caspase-3 (ng/mg Protein) | Caspase-9 (ng/mg Protein) | Nitric Oxide (µmol/mg Protein) | |
|---|---|---|---|---|
| Group | ||||
| Negative control | 10.32 ± 1.43 | 1.70 ± 0.17 | 0.064 ± 0.008 | |
| AZA model | 25.63 ± 2.54 * | 2.83 ± 0.13 ** | 0.141 ± 0.014 * | |
| M-floral honey | 20.81 ± 3.11 | 1.76 ± 0.26 a | 0.068 ± 0.012 b | |
| NS floral honey | 14.23 ± 2.08 a | 1.83 ± 0.29 a | 0.064 ± 0.017 a | |
| NS oil | 13.40 ± 3.81 a | 1.60 ± 0.18 b | 0.058 ± 0.016 a | |
| p-value | <0.01117 | <0.03442 | <0.01432 | |
| Parameter | GSH-Px (U/mg Protein) | SOD (U/mg Protein) | CAT (U/mg Protein) | MDA (nmol/g Protein) | |
|---|---|---|---|---|---|
| Group | |||||
| Negative control | 11.42 ± 1.04 | 20.83 ± 2.5 | 5.71 ± 1.34 | 25.8 ± 4.2 | |
| AZA model | 5.43 ± 1.28 * | 11.61 ± 1.2 * | 2.84 ± 0.36 | 45.7 ± 3.7 * | |
| M-floral honey | 8.14 ± 1.95 | 17.53 ± 3.2 | 6.17 ± 1.24 | 30.8 ± 4.8 | |
| NS floral honey | 5.50 ± 1.87 | 19.76 ± 1.9 a | 6.53 ± 1.93 | 26.2 ± 3.1 a | |
| NS oil | 10.46 ± 0.41 a | 22.85 ± 2.6 a | 6.83 ± 1.23 a | 24.8 ± 4.3 a | |
| p-value | <0.03215 | <0.02863 | <0.01749 | <0.02953 | |
| Parameter | Epididymal Sperm Count (106/mL) | Sperm Viability (%) | Fructose (mmol/L) | |||
|---|---|---|---|---|---|---|
| Group | Caudal | Corpus | Caput | |||
| Negative control | 92.56 ± 4.51 | 48.74 ± 2.8 | 38.74 ± 2.3 | 88.56 ± 4.5 | 13.57 ± 1.2 | |
| AZA model | 54.59 ± 9.94 ** | 38.66 ± 3.6 | 32.26 ± 1.1 | 63.43 ± 4.1 * | 22.23 ± 2.02 * | |
| M-floral honey | 68.43 ± 4.61 | 42.34 ± 3.1 | 36.21 ± 2.8 | 77.38 ± 3.7 | 18.81 ± 1.8 | |
| NS floral honey | 63.12 ± 5.53 | 45.11 ± 2.5 | 37.38 ± 3.1 | 74.28 ± 2.6 | 17.98 ± 2.3 | |
| NS oil | 85.87 ± 3.42 a | 44.09 ± 4.1 | 34.73 ± 2.4 | 83.73 ± 2.8 a | 14.91 ± 1.4 a | |
| p-value | <0.00321 | <0.15468 | <0.11112 | <0.04333 | <0.00763 | |
Disclaimer/Publisher’s Note: The statements, opinions and data contained in all publications are solely those of the individual author(s) and contributor(s) and not of MDPI and/or the editor(s). MDPI and/or the editor(s) disclaim responsibility for any injury to people or property resulting from any ideas, methods, instructions or products referred to in the content. |
© 2023 by the authors. Licensee MDPI, Basel, Switzerland. This article is an open access article distributed under the terms and conditions of the Creative Commons Attribution (CC BY) license (https://creativecommons.org/licenses/by/4.0/).
Share and Cite
Almujaydil, M.S.; Algheshairy, R.M.; Alhomaid, R.M.; Alharbi, H.F.; Ali, H.A. Nigella sativa-Floral Honey and Multi-Floral Honey versus Nigella sativa Oil against Testicular Degeneration Rat Model: The Possible Protective Mechanisms. Nutrients 2023, 15, 1693. https://doi.org/10.3390/nu15071693
Almujaydil MS, Algheshairy RM, Alhomaid RM, Alharbi HF, Ali HA. Nigella sativa-Floral Honey and Multi-Floral Honey versus Nigella sativa Oil against Testicular Degeneration Rat Model: The Possible Protective Mechanisms. Nutrients. 2023; 15(7):1693. https://doi.org/10.3390/nu15071693
Chicago/Turabian StyleAlmujaydil, Mona S., Reham M. Algheshairy, Raghad M. Alhomaid, Hend F. Alharbi, and Hoda A. Ali. 2023. "Nigella sativa-Floral Honey and Multi-Floral Honey versus Nigella sativa Oil against Testicular Degeneration Rat Model: The Possible Protective Mechanisms" Nutrients 15, no. 7: 1693. https://doi.org/10.3390/nu15071693
APA StyleAlmujaydil, M. S., Algheshairy, R. M., Alhomaid, R. M., Alharbi, H. F., & Ali, H. A. (2023). Nigella sativa-Floral Honey and Multi-Floral Honey versus Nigella sativa Oil against Testicular Degeneration Rat Model: The Possible Protective Mechanisms. Nutrients, 15(7), 1693. https://doi.org/10.3390/nu15071693

