Glucosinolates Extracts from Brassica juncea Ameliorate HFD-Induced Non-Alcoholic Steatohepatitis
Abstract
1. Introduction
2. Materials and Methods
2.1. Preparation of Whole-Plant Brassica juncea (WBJ) and Glucosinolates Extracts from Brassica juncea (BGE)
2.2. HPLC Analysis
2.3. Animal Models and Treatment
2.4. Blood Sample Analysis
2.5. Hepatic Histologic Analysis
2.6. Determination of Total Triglyceride and Cholesterol Contents in the Liver
2.7. Antioxidant Enzyme Activity Assays
2.8. Cell Culture and Treatment
2.9. Cell Viability and Cytotoxicity Assays
2.10. Nile Red Stain
2.11. Preparation of Cells and Hepatic Proteins
2.12. Western Blot Analysis
2.13. Statistical Analysis
3. Results
3.1. Daily Intake of BGE in Rats
3.2. Effect of WBJ Treatment on Serum Lipid Parameters
3.3. Effect of WBJ on Fat Distribution in Rats
3.4. WBJ Reduced Hepatic Steatosis Induced by an HFD
3.5. Mechanisms of WBJ Reducing Hepatic Steatosis Induced by an HFD
3.6. WBJ Enhanced Antioxidative Enzyme Activities in Rat Liver
3.7. The Cytotoxicity Effects of Brassica juncea Glucosinolates on HepG2 Cells
3.8. Brassica juncea Glucosinolates Inhibited the Lipid Accumulation in HepG2 Cells
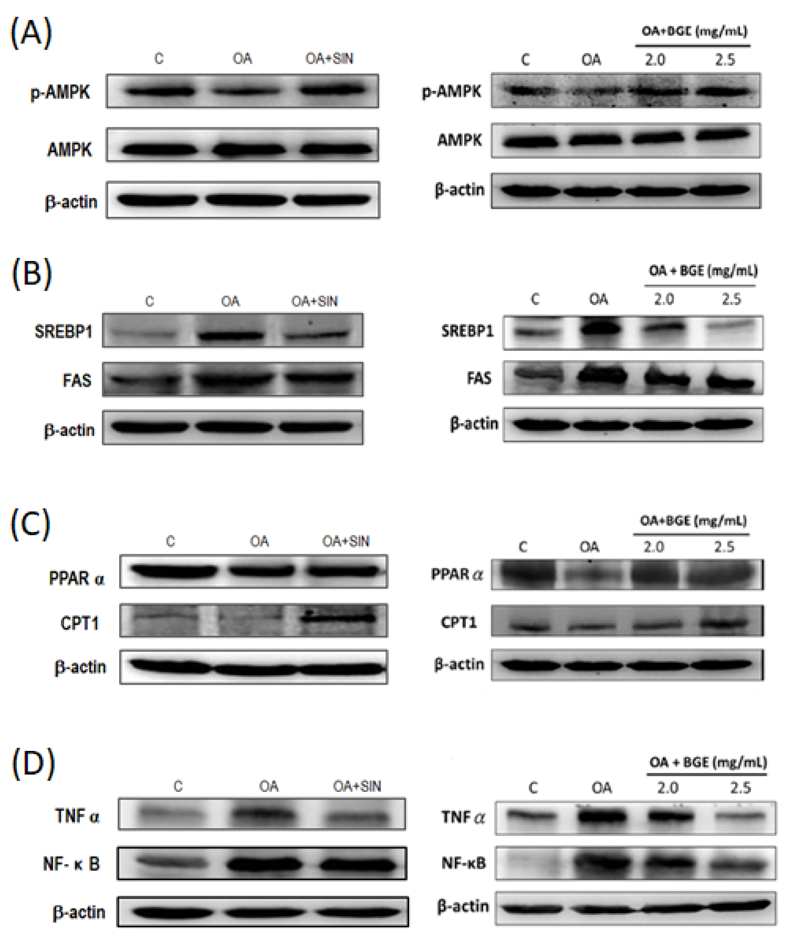
3.9. The Mechanisms of Brassica juncea Glucosinolates Reversing NAFLD
4. Discussion
Author Contributions
Funding
Institutional Review Board Statement
Informed Consent Statement
Data Availability Statement
Acknowledgments
Conflicts of Interest
References
- Younossi, Z.M.; Koenig, A.B.; Abdelatif, D.; Fazel, Y.; Henry, L.; Wymer, M. Global epidemiology of nonalcoholic fatty liver disease-Meta-analytic assessment of prevalence, incidence, and outcomes. Hepatology 2016, 64, 73–84. [Google Scholar] [CrossRef] [PubMed]
- Byrne, C.D.; Targher, G. NAFLD: A multisystem disease. J. Hepatol. 2015, 62 (Suppl. S1), S47–S64. [Google Scholar] [CrossRef]
- Targher, G.; Marchesini, G.; Byrne, C.D. Risk of type 2 diabetes in patients with non-alcoholic fatty liver disease: Causal association or epiphenomenon? Diabetes Metab. 2016, 42, 142–156. [Google Scholar] [CrossRef]
- Day, C.P.; James, O.F. Steatohepatitis: A tale of two “hits”? Gastroenterology 1998, 114, 842–845. [Google Scholar] [CrossRef] [PubMed]
- Lomonaco, R.; Ortiz-Lopez, C.; Orsak, B.; Webb, A.; Hardies, J.; Darland, C.; Finch, J.; Gastaldelli, A.; Harrison, S.; Tio, F.; et al. Effect of adipose tissue insulin resistance on metabolic parameters and liver histology in obese patients with nonalcoholic fatty liver disease. Hepatol. Baltim. Md. 2012, 55, 1389–1397. [Google Scholar] [CrossRef] [PubMed]
- Farrell, G.C.; van Rooyen, D.; Gan, L.; Chitturi, S. NASH is an Inflammatory Disorder: Pathogenic, Prognostic and Therapeutic Implications. Gut Liver 2012, 6, 149–171. [Google Scholar] [CrossRef]
- Mihaylova, M.M.; Shaw, R.J. The AMPK signalling pathway coordinates cell growth, autophagy and metabolism. Nat. Cell Biol. 2011, 13, 1016–1023. [Google Scholar] [CrossRef]
- Kim, T.; Davis, J.; Zhang, A.J.; He, X.; Mathews, S.T. Curcumin activates AMPK and suppresses gluconeogenic gene expression in hepatoma cells. Biochem. Biophys. Res. Commun. 2009, 388, 377–382. [Google Scholar] [CrossRef]
- Inagaki, T.; Dutchak, P.; Zhao, G.; Ding, X.; Gautron, L.; Parameswara, V.; Li, Y.; Goetz, R.; Mohammadi, M.; Esser, V.; et al. Endocrine regulation of the fasting response by PPARalpha-mediated induction of fibroblast growth factor 21. Cell Metab. 2007, 5, 415–425. [Google Scholar] [CrossRef]
- Dixon, E.D.; Nardo, A.D.; Claudel, T.; Trauner, M. The Role of Lipid Sensing Nuclear Receptors (PPARs and LXR) and Metabolic Lipases in Obesity, Diabetes and NAFLD. Genes 2021, 12, 645. [Google Scholar] [CrossRef]
- Francque, S.; Verrijken, A.; Caron, S.; Prawitt, J.; Paumelle, R.; Derudas, B.; Lefebvre, P.; Taskinen, M.R.; Van Hul, W.; Mertens, I.; et al. PPARalpha gene expression correlates with severity and histological treatment response in patients with non-alcoholic steatohepatitis. J. Hepatol. 2015, 63, 164–173. [Google Scholar] [CrossRef] [PubMed]
- Fuentes, E.; Guzman-Jofre, L.; Moore-Carrasco, R.; Palomo, I. Role of PPARs in inflammatory processes associated with metabolic syndrome (Review). Mol. Med. Rep. 2013, 8, 1611–1616. [Google Scholar] [CrossRef] [PubMed]
- Pawlak, M.; Bauge, E.; Bourguet, W.; De Bosscher, K.; Lalloyer, F.; Tailleux, A.; Lebherz, C.; Lefebvre, P.; Staels, B. The transrepressive activity of peroxisome proliferator-activated receptor alpha is necessary and sufficient to prevent liver fibrosis in mice. Hepatology 2014, 60, 1593–1606. [Google Scholar] [CrossRef] [PubMed]
- Raiola, A.; Errico, A.; Petruk, G.; Monti, D.M.; Barone, A.; Rigano, M.M. Bioactive Compounds in Brassicaceae Vegetables with a Role in the Prevention of Chronic Diseases. Molecules 2017, 23, 15. [Google Scholar] [CrossRef]
- Arumugam, A.; Abdull Razis, A.F. Apoptosis as a Mechanism of the Cancer Chemopreventive Activity of Glucosinolates: A Review. Asian Pac. J. Cancer Prev. 2018, 19, 1439–1448. [Google Scholar] [CrossRef]
- Krajka-Kuzniak, V.; Paluszczak, J.; Szaefer, H.; Baer-Dubowska, W. The activation of the Nrf2/ARE pathway in HepG2 hepatoma cells by phytochemicals and subsequent modulation of phase II and antioxidant enzyme expression. J. Physiol. Biochem. 2015, 71, 227–238. [Google Scholar] [CrossRef] [PubMed]
- Bhandari, S.R.; Jo, J.S.; Lee, J.G. Comparison of Glucosinolate Profiles in Different Tissues of Nine Brassica Crops. Molecules 2015, 20, 15827–15841. [Google Scholar] [CrossRef]
- Marklund, S.; Marklund, G. Involvement of the superoxide anion radical in the autoxidation of pyrogallol and a convenient assay for superoxide dismutase. Eur. J. Biochem. 1974, 47, 469–474. [Google Scholar] [CrossRef]
- Bellomo, G.; Mirabelli, F.; DiMonte, D.; Richelmi, P.; Thor, H.; Orrenius, C.; Orrenius, S. Formation and reduction of glutathione-protein mixed disulfides during oxidative stress. A study with isolated hepatocytes and menadione (2-methyl-1,4-naphthoquinone). Biochem. Pharmacol. 1987, 36, 1313–1320. [Google Scholar] [CrossRef]
- Hao, W.; Friedman, A. The LDL-HDL profile determines the risk of atherosclerosis: A mathematical model. PLoS ONE 2014, 9, e90497. [Google Scholar] [CrossRef]
- Yang, T.Y.; Yu, M.H.; Wu, Y.L.; Hong, C.C.; Chen, C.S.; Chan, K.C.; Wang, C.J. Mulberry Leaf (Morus alba L.) Extracts and Its Chlorogenic Acid Isomer Component Improve Glucolipotoxicity-Induced Hepatic Lipid Accumulation via Downregulating miR-34a and Decreased Inflammation. Nutrients 2022, 14, 4808. [Google Scholar] [CrossRef] [PubMed]
- Peng, C.H.; Cheng, J.J.; Yu, M.H.; Chung, D.J.; Huang, C.N.; Wang, C.J. Solanum nigrum polyphenols reduce body weight and body fat by affecting adipocyte and lipid metabolism. Food Funct. 2020, 11, 483–492. [Google Scholar] [CrossRef] [PubMed]
- Chang, J.J.; Chung, D.J.; Lee, Y.J.; Wen, B.H.; Jao, H.Y.; Wang, C.J. Solanum nigrum Polyphenol Extracts Inhibit Hepatic Inflammation, Oxidative Stress, and Lipogenesis in High-Fat-Diet-Treated Mice. J. Agric. Food Chem. 2017, 65, 9255–9265. [Google Scholar] [CrossRef] [PubMed]
- Ma, Y.; Lee, G.; Heo, S.Y.; Roh, Y.S. Oxidative Stress Is a Key Modulator in the Development of Nonalcoholic Fatty Liver Disease. Antioxidants 2021, 11, 91. [Google Scholar] [CrossRef]
- Mohammed, E.D.; Abdel-Naim, A.B.; Kangpeng, J.; Jiang, R.; Wei, J.; Sun, B. The mother relationship between insulin resistance and non-alcoholic steatohepatitis: Glucosinolates hydrolysis products as a promising insulin resistance-modulator and fatty liver-preventer. Life Sci. 2021, 264, 118615. [Google Scholar] [CrossRef]
- Wang, Q.; Liu, S.; Zhai, A.; Zhang, B.; Tian, G. AMPK-Mediated Regulation of Lipid Metabolism by Phosphorylation. Biol. Pharm. Bull. 2018, 41, 985–993. [Google Scholar] [CrossRef]
- Cotter, T.G.; Rinella, M. Nonalcoholic Fatty Liver Disease 2020: The State of the Disease. Gastroenterology 2020, 158, 1851–1864. [Google Scholar] [CrossRef]
- Gomes, A.L.; Teijeiro, A.; Buren, S.; Tummala, K.S.; Yilmaz, M.; Waisman, A.; Theurillat, J.P.; Perna, C.; Djouder, N. Metabolic Inflammation-Associated IL-17A Causes Non-alcoholic Steatohepatitis and Hepatocellular Carcinoma. Cancer Cell 2016, 30, 161–175. [Google Scholar] [CrossRef]
- Zhao, L.; Zhong, S.; Qu, H.; Xie, Y.; Cao, Z.; Li, Q.; Yang, P.; Varghese, Z.; Moorhead, J.F.; Chen, Y.; et al. Chronic inflammation aggravates metabolic disorders of hepatic fatty acids in high-fat diet-induced obese mice. Sci. Rep. 2015, 5, 10222. [Google Scholar] [CrossRef]
- Lee, Y.J.; Hsu, J.D.; Lin, W.L.; Kao, S.H.; Wang, C.J. Upregulation of caveolin-1 by mulberry leaf extract and its major components, chlorogenic acid derivatives, attenuates alcoholic steatohepatitis via inhibition of oxidative stress. Food Funct. 2017, 8, 397–405. [Google Scholar] [CrossRef]
- Tang, C.C.; Lin, W.L.; Lee, Y.J.; Tang, Y.C.; Wang, C.J. Polyphenol-rich extract of Nelumbo nucifera leaves inhibits alcohol-induced steatohepatitis via reducing hepatic lipid accumulation and anti-inflammation in C57BL/6J mice. Food Funct. 2014, 5, 678–687. [Google Scholar] [CrossRef] [PubMed]
- Kao, E.S.; Yang, M.Y.; Hung, C.H.; Huang, C.N.; Wang, C.J. Polyphenolic extract from Hibiscus sabdariffa reduces body fat by inhibiting hepatic lipogenesis and preadipocyte adipogenesis. Food Funct. 2016, 7, 171–182. [Google Scholar] [CrossRef]
- Kumar, V.; Thakur, A.K.; Dev Barothia, N.; Chatterjee, S.S. Therapeutic potentials of Brassica juncea: An overview. CellMed 2011, 1, 2.1–2.16. [Google Scholar] [CrossRef]
- Moyano, G.; Sáyago-Ayerdi, S.G.; Largo, C.; Caz, V.; Santamaria, M.; Tabernero, M. Potential use of dietary fibre from Hibiscus sabdariffa and Agave tequilana in obesity management. J. Funct. Foods 2016, 21, 1–9. [Google Scholar] [CrossRef]
- Tabernero, M.; Venema, K.; Maathuis, A.J.; Saura-Calixto, F.D. Metabolite production during in vitro colonic fermentation of dietary fiber: Analysis and comparison of two European diets. J. Agric. Food Chem. 2011, 59, 8968–8975. [Google Scholar] [CrossRef]
- Al-Lahham, S.; Roelofsen, H.; Rezaee, F.; Weening, D.; Hoek, A.; Vonk, R.; Venema, K. Propionic acid affects immune status and metabolism in adipose tissue from overweight subjects. Eur. J. Clin. Investig. 2012, 42, 357–364. [Google Scholar] [CrossRef]
- Mirmiran, P.; Bahadoran, Z.; Khalili Moghadam, S.; Zadeh Vakili, A.; Azizi, F. A Prospective Study of Different Types of Dietary Fiber and Risk of Cardiovascular Disease: Tehran Lipid and Glucose Study. Nutrients 2016, 8, 686. [Google Scholar] [CrossRef] [PubMed]
- Chen, J.G.; Cai, J.; Wu, H.L.; Xu, H.; Zhang, Y.X.; Chen, C.; Wang, Q.; Xu, J.; Yuan, X.L. Colorectal cancer screening: Comparison of transferrin and immuno fecal occult blood test. World J. Gastroenterol. 2012, 18, 2682–2688. [Google Scholar] [CrossRef]
- Tremaroli, V.; Backhed, F. Functional interactions between the gut microbiota and host metabolism. Nature 2012, 489, 242–249. [Google Scholar] [CrossRef] [PubMed]
- Henao-Mejia, J.; Elinav, E.; Jin, C.; Hao, L.; Mehal, W.Z.; Strowig, T.; Thaiss, C.A.; Kau, A.L.; Eisenbarth, S.C.; Jurczak, M.J.; et al. Inflammasome-mediated dysbiosis regulates progression of NAFLD and obesity. Nature 2012, 482, 179–185. [Google Scholar] [CrossRef]
- Fang, C.; Pan, J.; Qu, N.; Lei, Y.; Han, J.; Zhang, J.; Han, D. The AMPK pathway in fatty liver disease. Front. Physiol. 2022, 13, 970292. [Google Scholar] [CrossRef] [PubMed]
- Hurley, R.L.; Anderson, K.A.; Franzone, J.M.; Kemp, B.E.; Means, A.R.; Witters, L.A. The Ca2+/calmodulin-dependent protein kinase kinases are AMP-activated protein kinase kinases. J. Biol. Chem. 2005, 280, 29060–29066. [Google Scholar] [CrossRef] [PubMed]
- Okulicz, M. Multidirectional time-dependent effect of sinigrin and allyl isothiocyanate on metabolic parameters in rats. Plant Foods Hum. Nutr. 2010, 65, 217–224. [Google Scholar] [CrossRef] [PubMed]
- Paul, S.; Geng, C.A.; Yang, T.H.; Yang, Y.P.; Chen, J.J. Phytochemical and Health-Beneficial Progress of Turnip (Brassica rapa). J. Food Sci. 2019, 84, 19–30. [Google Scholar] [CrossRef] [PubMed]








| Ingredients (g/kg Dietary Weight) | Control | HFD | |||
|---|---|---|---|---|---|
| - | LD | MD | HD | ||
| Casein | 260 | 260 | 260 | 260 | 260 |
| Corn sstarch | 500 | 150 | 150 | 150 | 150 |
| Sucrose | 90 | 90 | 90 | 90 | 90 |
| Corn oil | 50 | ||||
| Beef tallow | 400 | 400 | 400 | 400 | |
| Cellulose | 50 | 50 | 50 | 50 | 50 |
| Mineral mixture a | 40 | 40 | 40 | 40 | 40 |
| Vitamin mixture a | 10 | 10 | 10 | 10 | 10 |
| WBJ | 5 | 10 | 20 |
| Control | HFD | HFD + 0.5% WBJ | HFD + 1.0% WBJ | HFD + 2.0%WBJ | |
|---|---|---|---|---|---|
| Total cholesterol (mg/dL) | 70.9 ± 3.57 a | 71.3 ± 9.25 | 51.9 ± 6.19 c | 55.2 ± 7.09 c | 59.2 ± 7.23 c |
| Total triglyceride (mg/dL) | 34.7 ± 7.24 | 121.4 ± 26.98 b | 64.4 ± 8.77 c | 74.2 ± 16.47 c | 62.1 ± 15.09 c |
| FFA (mmol/L) | 0.73 ± 0.10 | 1.12 ± 0.20 b | 0.77 ± 0.16 c | 0.95 ± 0.07 c | 0.85 ± 0.10 c |
| LDL-C (mg/dL) | 11.4 ± 3.27 | 18 ± 3.20 b | 15.8 ± 1.75 | 13.9 ± 2.13 c | 12 ± 2.11 c |
| HDL-C (mg/dL) | 49.3 ± 5.96 | 30.8 ± 4.78 b | 36.1 ± 6.31 c | 37.4 ± 7.72 c | 43.1 ± 6.61 c |
| LDL-C/HDL-C ratio | 0.23 ± 0.05 | 0.60 ± 0.15 | 0.45 ± 0.09 c | 0.38 ± 0.08 c | 0.28 ± 0.06 c |
| Glucose (mg/dL) | 155.7 ± 52.95 | 267.7 ± 51.48 b | 235 ± 71.04 | 268.6 ± 65.61 | 248 ± 38.34 |
| AST (U/L) | 121.7 ± 10.45 | 140.2 ± 27.32 | 145 ± 26.44 | 133.8 ± 17.81 | 127.9 ± 11.76 |
| ALT (U/L) | 33.2 ± 3.91 | 59.4 ± 9.16 b | 49.3 ± 5.81 c | 44.2 ± 7.45 c | 41.6 ± 8.42 c |
| BUN (mg/dL) | 20.64 ±1.81 | 12.92 ± 1.37 b | 9.74 ± 0.92 c | 11.4 ± 0.96 c | 10.54 ± 0.39 c |
| UA (mg/dL) | 4.01 ± 1.25 | 4.58 ± 1.05 | 4.75 ± 1.03 | 5.13 ± 1.34 | 4.93 ± 1.22 |
| Creatinine (mg/dL) | 0.61 ± 0.05 | 0.68 ± 0.04 b | 0.62 ± 0.07 c | 0.66 ± 0.05 | 0.63 ± 0.04 |
| Liver-triglyceride (mg/dL) | 253.74 ± 30.21 | 328.05 ± 26.48 b | 309.23 ± 58.54 | 265.17 ± 54.82 c | 194.04 ± 58.57 c |
| Liver cholesterol (mg/dL) | 38.12 ± 12.43 | 136.38 ± 21.00 b | 113.12 ± 31.21 | 99.96 ± 27.93 c | 96.69 ± 39.85 c |
| Tissue Weights (mg) | Control | HFD | HFD + 0.5% WBJ | HFD + 1.0% WBJ | HFD + 2.0% WBJ |
|---|---|---|---|---|---|
| Kidney fat | 21.63 ± 25.56 a | 7766.00 ± 1408.37 b | 5978.75 ± 1844.83 c | 5622.25 ± 1346.33 c | 5310.25 ± 1976.94 c |
| Intestinal fat | 331.63 ± 230.70 | 8306.75 ± 2210.45 b | 6125.63 ± 1394.05 c | 6037.50 ± 994.79 c | 5783.75 ± 577.86 c |
| Gonad fat | 326.63 ± 116.79 | 5936.75 ± 874.64 b | 4827.13 ± 1891.91 | 4766.75 ± 1046.01 | 4426.00 ± 1184.69 c |
Disclaimer/Publisher’s Note: The statements, opinions and data contained in all publications are solely those of the individual author(s) and contributor(s) and not of MDPI and/or the editor(s). MDPI and/or the editor(s) disclaim responsibility for any injury to people or property resulting from any ideas, methods, instructions or products referred to in the content. |
© 2023 by the authors. Licensee MDPI, Basel, Switzerland. This article is an open access article distributed under the terms and conditions of the Creative Commons Attribution (CC BY) license (https://creativecommons.org/licenses/by/4.0/).
Share and Cite
Sheu, M.-J.; Yeh, M.-C.; Tsai, M.-C.; Wang, C.-C.; Chang, Y.-L.; Wang, C.-J.; Huang, H.-P. Glucosinolates Extracts from Brassica juncea Ameliorate HFD-Induced Non-Alcoholic Steatohepatitis. Nutrients 2023, 15, 3497. https://doi.org/10.3390/nu15163497
Sheu M-J, Yeh M-C, Tsai M-C, Wang C-C, Chang Y-L, Wang C-J, Huang H-P. Glucosinolates Extracts from Brassica juncea Ameliorate HFD-Induced Non-Alcoholic Steatohepatitis. Nutrients. 2023; 15(16):3497. https://doi.org/10.3390/nu15163497
Chicago/Turabian StyleSheu, Ming-Jen, Mei-Chen Yeh, Ming-Chang Tsai, Chi-Chih Wang, Yen-Ling Chang, Chau-Jong Wang, and Hui-Pei Huang. 2023. "Glucosinolates Extracts from Brassica juncea Ameliorate HFD-Induced Non-Alcoholic Steatohepatitis" Nutrients 15, no. 16: 3497. https://doi.org/10.3390/nu15163497
APA StyleSheu, M.-J., Yeh, M.-C., Tsai, M.-C., Wang, C.-C., Chang, Y.-L., Wang, C.-J., & Huang, H.-P. (2023). Glucosinolates Extracts from Brassica juncea Ameliorate HFD-Induced Non-Alcoholic Steatohepatitis. Nutrients, 15(16), 3497. https://doi.org/10.3390/nu15163497

