Thymoquinone Produces Cardioprotective Effect in β-Receptor Stimulated Myocardial Infarcted Rats via Subsiding Oxidative Stress and Inflammation
Abstract
:1. Introduction
2. Materials and Methods
2.1. Subjects
2.2. Chemicals
2.3. Experimental Groups
- Group 1 (control) (olive oil + saline): olive oil (0.2 mL, i.p.) was administered at an interval of 4 h for 48 h (2 days), i.e., 6 multiple doses per day. In parallel, on days 1 and 2, normal saline (s.c.) was administered at an interval of 24 h.
- Group 2 (olive oil + isoproterenol): olive oil (0.2 mL, i.p.) was administered at an interval of 4 h for 2 days. In parallel, on days 1 and 2, ISO (100 mg/kg, s.c.) was administered at an interval of 24 h.
- Group 3 (thymoquinone + saline): TQ (5 mg/kg, i.p.) was administered at an interval of 4 h for 48 h, i.e., 6 multiple doses per day. This dosing strategy was adopted since the plasma half-life of TQ is 3.5–4 h [18]. Since we were interested in studying the effects of the lower and safer dose of TQ, a multiple-dosing regimen was essential. In parallel, on days 1 and 2, normal saline (s.c.) was administered at an interval of 24 h.
- Group 4 (thymoquinone + isoproterenol): TQ (5 mg/kg, i.p.) was injected at an interval of 4 h for 48 h. Two doses of ISO (100 mg/kg) were administered on days 1 and 2 at an interval of 24 h.
2.4. Hemodynamic Parameters
2.4.1. ECG Monitoring
2.4.2. Blood Pressure and Left Ventricular Pressure Monitoring
2.5. Biochemical Parameters
2.5.1. Serum and Tissue Homogenate Preparation
2.5.2. Estimation of Protein Concentration
2.5.3. Estimation of Oxidative Biomarkers
2.5.4. Estimation of CK-MB
2.5.5. Estimation of TNF-α, IL-6 and IL-1β
2.5.6. Estimation of SGPT (ALT) and SGOT (AST)
2.6. Histopathological Studies
2.7. Statistical Analysis
3. Results
3.1. Effect of TQ on Hemodynamic and ECG Parameters
3.2. Effects of TQ on Left Ventricular Function in ISO-Induced MI
3.3. Effect of TQ on ECG in ISO-Induced MI
3.4. Effect of TQ on Oxidative Parameters in the Heart Tissues
3.5. Effect of TQ on Myocardial Injury Enzyme Markers and Hepatic Enzymes
3.6. Effect of TQ on Proinflammatory Markers
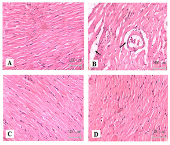
3.7. Effect of TQ on Histopathological Changes in the Heart Tissues
4. Discussion
5. Conclusions
Author Contributions
Funding
Institutional Review Board Statement
Informed Consent Statement
Data Availability Statement
Acknowledgments
Conflicts of Interest
References
- Jayaraj, J.C.; Davatyan, K.; Subramanian, S.S.; Priya, J. Epidemiology of Myocardial Infarction. Minerva Med. 2018, 54, 2083–2087. [Google Scholar] [CrossRef]
- Radhiga, T.; Rajamanickam, C.; Sundaresan, A.; Ezhumalai, M.; Pugalendi, K.V. Effect of ursolic acid treatment on apoptosis and DNA damage in isoproterenol-induced myocardial infarction. Biochimie 2012, 94, 1135–1142. [Google Scholar] [CrossRef]
- Saxena, P.; Panjwani, D. Cardioprotective potential of hydro-alcoholic fruit extract of Ananas comosus against isoproterenol induced myocardial infraction in Wistar Albino rats. J. Acute Dis. 2014, 3, 228–234. [Google Scholar] [CrossRef] [Green Version]
- Patel, V.; Upaganlawar, A.; Zalawadia, R.; Balaraman, R. Cardioprotective effect of melatonin against isoproterenol induced myocardial infarction in rats: A biochemical, electrocardiographic and histoarchitectural evaluation. Eur. J. Pharmacol. 2010, 644, 160–168. [Google Scholar] [CrossRef] [PubMed]
- Roy, S.J.; Prince, P.S.M. Protective effects of sinapic acid on lysosomal dysfunction in isoproterenol induced myocardial infarcted rats. Food Chem. Toxicol. 2012, 50, 3984–3989. [Google Scholar] [CrossRef]
- Ahmed, M.A.; Hassanein, K.M.A. Cardio protective effects of Nigella sativa oil on lead induced cardio toxicity: Anti inflammatory and antioxidant mechanism. J. Physiol. Pathophysiol. 2013, 4, 72–80. [Google Scholar] [CrossRef]
- Gonca, E.; Kurt, Ç. Cardioprotective effect of Thymoquinone: A constituent of Nigella sativa L., against myocardial ischemia/reperfusion injury and ventricular arrhythmias in anaesthetized rats. Pak. J. Pharm. Sci. 2015, 28, 1267–1273. [Google Scholar]
- Gholamnezhad, Z.; Havakhah, S.; Boskabady, M.H. Preclinical and clinical effects of Nigella sativa and its constituent, thymoquinone: A review. J. Ethnopharmacol. 2016, 190, 372–386. [Google Scholar] [CrossRef]
- Nickavar, B.; Mojab, F.; Javidnia, K.; Amoli, M.A.R. Chemical composition of the fixed and volatile oils of Nigella sativa L. from Iran. Z. Nat. C 2003, 58, 629–631. [Google Scholar] [CrossRef] [Green Version]
- Loh, H.K.; Sahoo, K.C.; Kishore, K.; Ray, R.; Nag, T.C.; Kumari, S.; Arya, D.S. Effects of thalidomide on isoprenaline-induced acute myocardial injury: A haemodynamic, histopathological and ultrastructural study. Basic Clin. Pharmacol. Toxicol. 2007, 100, 233–239. [Google Scholar] [CrossRef]
- Ojha, S.; Azimullah, S.; Mohanraj, R.; Sharma, C.; Yasin, J.; Arya, D.S.; Adem, A. Thymoquinone Protects against Myocardial Ischemic Injury by Mitigating Oxidative Stress and Inflammation. Evid. Based. Complementary Alternat. Med. 2015, 2015, 143629. [Google Scholar] [CrossRef] [PubMed]
- Khalifa, A.A.; Rashad, R.M.; El-Hadidy, W.F. Thymoquinone protects against cardiac mitochondrial DNA loss, oxidative stress, inflammation and apoptosis in isoproterenol-induced myocardial infarction in rats. Heliyon 2021, 7, e07561. [Google Scholar] [CrossRef] [PubMed]
- Medhet, M.; El-Bakly, W.M.; Badr, A.M.; Awad, A.; El-Demerdash, E. Thymoquinone attenuates isoproterenol-induced myocardial infarction by inhibiting cytochrome C and matrix metalloproteinase-9 expression. Clin. Exp. Pharmacol. Physiol. 2022, 49, 391–405. [Google Scholar] [CrossRef] [PubMed]
- Al Asoom, L.I.; Al-Hariri, M.T. Cardiac Inotropic Effect of Long-Term Administration of Oral Thymoquinone. Evid. Based. Complementary Alternat. Med. 2019, 2019, 8575136. [Google Scholar] [CrossRef]
- Mercan, T.; Yamasan, B.E.; Erkan, O.; Ozdemir, S. Acute effect of thymoquinone on action potential and ionic currents of rat cardiac myocytes. Bratisl. Lek. Listy 2021, 122, 424–431. [Google Scholar] [CrossRef] [PubMed]
- Randhawa, M.A.; Alghamdi, M.S.; Maulik, S.K. The effect of thymoquinone, an active component of Nigella sativa, on isoproterenol induced myocardial injury. Pak. J. Pharm. Sci. 2013, 26, 1215–1219. [Google Scholar]
- Al-Ali, A.; Alkhawajah, A.A.; Randhawa, M.A.; Shaikh, N.A. Oral and intraperitoneal LD50 of thymoquinone, an active principle of Nigella sativa, in mice and rats. J. Ayub Med. Coll. Abbottabad 2008, 20, 25–27. [Google Scholar]
- Farkhondeh, T.; Samarghandian, S.; Shahri, A.M.P.; Samini, F. The Neuroprotective Effects of Thymoquinone: A Review. Dose Response 2018, 16, 1559325818761455. [Google Scholar] [CrossRef]
- Kumar, P.; Srivastava, P.; Gupta, A.; Bajpai, M. Noninvasive recording of electrocardiogram in conscious rat: A new device. Indian J. Pharmacol. 2017, 49, 116. [Google Scholar] [CrossRef]
- El Tahir, K.E.H.; Ashour, M.M.S.; Al-Harbi, M.M. The cardiovascular actions of the volatile oil of the black seed (Nigella sativa) in rats: Elucidation of the mechanism of action. Gen. Pharmacol. Vasc. Syst. 1993, 24, 1123–1131. [Google Scholar] [CrossRef]
- Reddy, N.M.; Mahajan, U.B.; Patil, C.R.; Agrawal, Y.O.; Ojha, S.; Goyal, S.N. Eplerenone attenuates cardiac dysfunction and oxidative stress in β-receptor stimulated myocardial infarcted rats. Am. J. Transl. Res. 2015, 7, 1602. [Google Scholar] [PubMed]
- Bradford, M.M. A rapid and sensitive method for the quantitation of microgram quantities of protein utilizing the principle of protein-dye binding. Anal. Biochem. 1976, 72, 248–254. [Google Scholar] [CrossRef]
- Buwa, C.C.; Mahajan, U.B.; Patil, C.R.; Goyal, S.N. Apigenin attenuates β-receptor-stimulated myocardial injury via safeguarding cardiac functions and escalation of antioxidant defence system. Cardiovasc. Toxicol. 2016, 16, 286–297. [Google Scholar] [CrossRef] [PubMed]
- Moron, M.S.; Depierre, J.W.; Mannervik, B. Levels of glutathione, glutathione reductase and glutathione S-transferase activities in rat lung and liver. Biochim. Biophys. Acta (BBA) Gen. Subj. 1979, 582, 67–78. [Google Scholar] [CrossRef]
- Wickenberg, J.; Ingemansson, S.L.; Hlebowicz, J. Effects of Curcuma longa (turmeric) on postprandial plasma glucose and insulin in healthy subjects. Nutr. J. 2010, 9, 43. [Google Scholar] [CrossRef] [Green Version]
- Wills, E. Mechanisms of lipid peroxide formation in animal tissues. Biochem. J. 1966, 99, 667. [Google Scholar] [CrossRef]
- Marklund, S.; Marklund, G. Involvement of the superoxide anion radical in the autoxidation of pyrogallol and a convenient assay for superoxide dismutase. Eur. J. Biochem. 1974, 47, 469–474. [Google Scholar] [CrossRef]
- March, C.J.; Mosley, B.; Larsen, A.; Cerretti, D.P.; Braedt, G.; Price, V.; Gillis, S.; Henney, C.S.; Kronheim, S.R.; Grabstein, K.; et al. Cloning, sequence and expression of two distinct human interleukin-1 complementary DNAs. Nature 1985, 315, 641–647. [Google Scholar] [CrossRef]
- Kwon, J.; Chung, Y.; Benveniste, E.N. Cloning and sequence analysis of the rat tumor necrosis factor-encoding genes. Gene 1993, 132, 227–236. [Google Scholar] [CrossRef]
- Goyal, S.; Siddiqui, M.K.; Siddiqui, K.M.; Arora, S.; Mittal, R.; Joshi, S.; Arya, D.S. Cardioprotective effect of ‘Khamira Abresham Hakim Arshad Wala’a unani formulation in isoproterenol-induced myocardial necrosis in rats. Exp. Toxicol. Pathol. 2010, 62, 61–74. [Google Scholar] [CrossRef]
- Goyal, S.N.; Sharma, C.; Mahajan, U.B.; Patil, C.R.; Agrawal, Y.O.; Kumari, S.; Arya, D.S.; Ojha, S. Protective effects of cardamom in isoproterenol-induced myocardial infarction in rats. Int. J. Mol. Sci. 2015, 16, 27457–27469. [Google Scholar] [CrossRef] [PubMed] [Green Version]
- Adams, D.J.; Head, G.A.; Markus, M.A.; Lovicu, F.J.; van der Weyden, L.; Ko, F.; Arends, M.J.; Thiru, S.; Mayorov, D.N.; Morris, B.J. Renin enhancer is critical for control of renin gene expression and cardiovascular function. J. Biol. Chem. 2006, 281, 31753–31761. [Google Scholar] [CrossRef]
- Dias, D.P.M.; Oliveira, M.; Salgado, H.C.; Fazan, R., Jr. Ovariectomy does not affect the cardiac sympathovagal balance of female SHR but estradiol does. Braz. J. Med. Biol. Res. 2010, 43, 969–975. [Google Scholar] [CrossRef] [PubMed] [Green Version]
- Farah, D.; Nunes, J.; Sartori, M.; da Silva Dias, D.; Sirvente, R.; Silva, M.B.; Fiorino, P.; Morris, M.; Llesuy, S.; Farah, V. Exercise training prevents cardiovascular derangements induced by fructose overload in developing rats. PLoS ONE 2016, 11, e0167291. [Google Scholar] [CrossRef] [Green Version]
- Pawar, H.D.; Mahajan, U.B.; Nakhate, K.T.; Agrawal, Y.O.; Patil, C.R.; Meeran, M.F.N.; Sharma, C.; Ojha, S.; Goyal, S.N. Curcumin Protects Diabetic Mice against Isoproterenol-Induced Myocardial Infarction by Modulating CB2 Cannabinoid Receptors. Life 2022, 12, 624. [Google Scholar] [CrossRef]
- Lamprecht, W.; Stan, F.; Weisser, H.; Heinz, F. Determination of creatine phosphate and adenosine triphosphate with creatine kinase. In Methods of Enzymatic Analysis; Bergmeyer, H.U., Ed.; Academic Press: New York, NY, USA, 1974; pp. 1776–1778. [Google Scholar]
- Pope, J.H.; Aufderheide, T.P.; Ruthazer, R.; Woolard, R.H.; Feldman, J.A.; Beshansky, J.R.; Griffith, J.L.; Selker, H.P. Missed diagnoses of acute cardiac ischemia in the emergency department. N. Engl. J. Med. 2000, 342, 1163–1170. [Google Scholar] [CrossRef]
- Rajadurai, M.; Prince, P.S.M. Preventive effect of naringin on isoproterenol-induced cardiotoxicity in Wistar rats: An in vivo and in vitro study. Toxicology 2007, 232, 216–225. [Google Scholar] [CrossRef]
- Ziaee, M.; Khorrami, A.; Ebrahimi, M.; Nourafcan, H.; Amiraslanzadeh, M.; Rameshrad, M.; Garjani, M.; Garjani, A. Cardioprotective effects of essential oil of Lavandula angustifolia on isoproterenol-induced acute myocardial infarction in rat. Iran. J. Pharm. Res. 2015, 14, 279. [Google Scholar]
- Ghoneim, M.A.M.; Hassan, A.I.; Mahmoud, M.G.; Asker, M.S. Protective effect of Adansonia digitata against isoproterenol-induced myocardial injury in rats. Anim. Biotechnol. 2016, 27, 84–95. [Google Scholar] [CrossRef]
- Al-Nimer, M.S.M.; Rajab, B.R.; Al-Aani, H.A. Thymoquinone protects the heart against isoproterenol-induced myocardial ischemia in mice: A histopathological study. Indian J. Pharmacol. 2016, 48, 97. [Google Scholar] [CrossRef]
- De Haan, J.J.; Smeets, M.B.; Pasterkamp, G.; Arslan, F. Danger signals in the initiation of the inflammatory response after myocardial infarction. Mediat. Inflamm. 2013, 2013, 206039. [Google Scholar] [CrossRef] [PubMed] [Green Version]
- El-Tahir, K.E.-D.H.; Bakeet, D.M. The black seed Nigella sativa Linnaeus-A mine for multi cures: A plea for urgent clinical evaluation of its volatile oil. J. Taibah Univ. Med. Sci. 2006, 1, 1–19. [Google Scholar]







| Groups | SAP (mm of Hg) | DAP (mm of Hg) | MAP (mm of Hg) | HR (Beats/Min) |
|---|---|---|---|---|
| Normal | 119.6 ± 2.04 | 101.12 ± 1.65 | 110 ± 1.71 | 371.3 ± 3.33 |
| ISO | 92.71 ± 1.21 # | 75.3 ± 3.32 # | 84 ± 1.86 # | 245 ± 3.51 # |
| TQ | 111 ± 3.07 | 99 ± 4.30 | 105 ± 1.21 | 360 ± 2.85 |
| ISO + TQ | 112 ± 1.61 * | 93 ± 3.02 * | 102 ± 2.03 * | 350 ± 2.92 * |
Publisher’s Note: MDPI stays neutral with regard to jurisdictional claims in published maps and institutional affiliations. |
© 2022 by the authors. Licensee MDPI, Basel, Switzerland. This article is an open access article distributed under the terms and conditions of the Creative Commons Attribution (CC BY) license (https://creativecommons.org/licenses/by/4.0/).
Share and Cite
Rathod, S.; Agrawal, Y.; Sherikar, A.; Nakhate, K.T.; Patil, C.R.; Nagoor Meeran, M.F.; Ojha, S.; Goyal, S.N. Thymoquinone Produces Cardioprotective Effect in β-Receptor Stimulated Myocardial Infarcted Rats via Subsiding Oxidative Stress and Inflammation. Nutrients 2022, 14, 2742. https://doi.org/10.3390/nu14132742
Rathod S, Agrawal Y, Sherikar A, Nakhate KT, Patil CR, Nagoor Meeran MF, Ojha S, Goyal SN. Thymoquinone Produces Cardioprotective Effect in β-Receptor Stimulated Myocardial Infarcted Rats via Subsiding Oxidative Stress and Inflammation. Nutrients. 2022; 14(13):2742. https://doi.org/10.3390/nu14132742
Chicago/Turabian StyleRathod, Sumit, Yogeeta Agrawal, Abdulla Sherikar, Kartik T. Nakhate, Chandragouda R. Patil, M. F. Nagoor Meeran, Shreesh Ojha, and Sameer N. Goyal. 2022. "Thymoquinone Produces Cardioprotective Effect in β-Receptor Stimulated Myocardial Infarcted Rats via Subsiding Oxidative Stress and Inflammation" Nutrients 14, no. 13: 2742. https://doi.org/10.3390/nu14132742
APA StyleRathod, S., Agrawal, Y., Sherikar, A., Nakhate, K. T., Patil, C. R., Nagoor Meeran, M. F., Ojha, S., & Goyal, S. N. (2022). Thymoquinone Produces Cardioprotective Effect in β-Receptor Stimulated Myocardial Infarcted Rats via Subsiding Oxidative Stress and Inflammation. Nutrients, 14(13), 2742. https://doi.org/10.3390/nu14132742

