Safety Evaluations of Single Dose of the Olive Secoiridoid S-(−)-Oleocanthal in Swiss Albino Mice
Abstract
1. Introduction
2. Materials and Methods
2.1. Chemicals and Reagents
2.2. Extraction of (-)-Oleocanthal from Extra-Virgin Olive Oil
2.3. HPLC Analysis
2.4. OC Identity and Purity Confirmation by NMR Spectral Analysis
2.5. In Vivo Studies
2.5.1. Animals
2.5.2. S-(−)-Oleocanthal Orally Administered Single Dose Acute Toxicity Study in Male and Female Mice
2.6. Data Collection
2.7. Hematological Evaluation
2.8. Hematoxylin and Eosin Y (H&E) Staining
2.9. Statistical Analysis
2.10. In Vivo Up-and-Down Procedure for LD50 Determination
3. Results
3.1. Preliminary Clinical Observations after OC Single Dose Administration in Male and Female Swiss Albino Mice
3.2. Effect of OC Single Oral Dose on Swiss Albino Mouse Bodyweights
3.3. Effect of OC Single Oral Dose on Swiss Mouse Organ Weights
3.4. Evaluation of Effects of OC Treatments on Haematological Parameters
3.5. Biochemical Analysis of Mice Sera
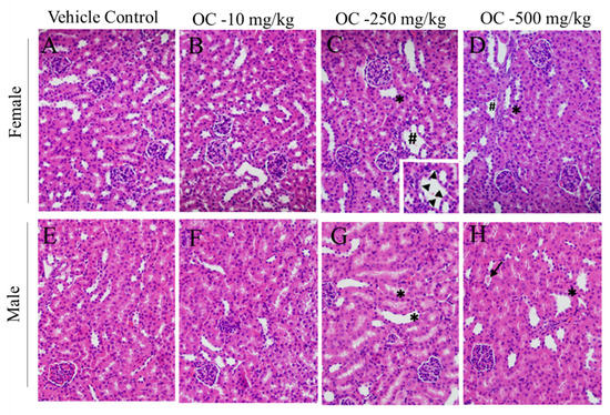
3.6. Histopathological Evaluation of the Effects of OC Dosing on Mice Brain, Heart, Lung, Liver, Kidney, Spleen, Pancrease, and Small Intestine
3.7. Assessment of Acute i.p. Oleocanthal Toxicity with the Up-and-Down Procedure
4. Discussion
5. Conclusions
Supplementary Materials
Author Contributions
Funding
Acknowledgments
Conflicts of Interest
References
- Fogliano, V.; Sacchi, R. Oleocanthal in olive oil: Between myth and reality. Mol. Nutr. Food Res. 2006, 50, 5–6. [Google Scholar] [CrossRef]
- Vissers, M.N.; Zock, P.L.; Roodenburg, A.J.C.; Leenen, R.; Katan, M.B. Olive oil phenols are absorbed in humans. J. Adv. Nutr. Hum. Metab. 2001, 132, 409–417. [Google Scholar] [CrossRef] [PubMed]
- Pang, K.-L.; Chin, K.-Y. The Biological activities of oleocanthal from a molecular perspective. Nutrients 2018, 10, 570. [Google Scholar] [CrossRef] [PubMed]
- Newman, T.M.; Vitolins, M.Z.; Cook, K.L. From the table to the tumor: The role of Mediterranean and Western dietary patterns in shifting microbial-mediated signaling to impact breast cancer risk. Nutrients 2019, 11, 2565. [Google Scholar] [CrossRef] [PubMed]
- Psaltopoulou, T.; Kosti, R.I.; Haidopoulos, D.; Dimopoulos, M.; Panagiotakos, D.B. Olive oil intake is inversely related to cancer prevalence: A systematic review and a meta-analysis of 13800 patients and 23340 controls in 19 observational studies. Lipids Health Dis. 2011, 10, 127. [Google Scholar] [CrossRef] [PubMed]
- Chin, K.Y.; Pang, K.L. Therapeutic effects of olive and its derivatives on osteoarthritis: From bench to bedside. Nutrients 2017, 9, 1060. [Google Scholar] [CrossRef] [PubMed]
- Pelucchi, C.; Bosetti, C.; Lipworth, L.; La Vecchia, C. Olive oil and cancer risk: An update of epidemiological findings through 2010. Curr. Pharm. Des. 2011, 17, 805–812. [Google Scholar] [CrossRef]
- Ruiz-Canela, M.; Martinez-Gonzalez, M.A. Olive oil in the primary prevention of cardiovascular disease. Matur 2011, 68, 245–250. [Google Scholar] [CrossRef]
- Scarmeas, N.; Luchsinger, J.A.; Schupf, N.; Brickman, A.M.; Cosentino, S.; Tang, M.X.; Stern, Y. Physical activity, diet, and risk of Alzheimer disease. J. Am. Med Assoc. 2009, 302, 627–637. [Google Scholar] [CrossRef]
- Akl, M.R.; Ayoub, N.M.; Mohyeldin, M.M.; Busnena, B.A.; Foudah, A.I.; Liu, Y.Y.; EI Sayed, K.A. Olive phenolics as c-Met inhibitors: (-)-Oleocanthal attenuates cell proliferation, invasiveness, and tumor growth in breast cancer models. PLoS ONE 2014, 9, e97622. [Google Scholar] [CrossRef]
- Maalej, A.; Mahmoudi, A.; Bouallagui, Z.; Fki, I.; Marrekchi, R.; Sayadi, S. Olive phenolic compounds attenuate deltamethrin-induced liver and kidney toxicity through regulating oxidative stress, inflammation and apoptosis. Food Chem. Toxicol. 2017, 106, 455–465. [Google Scholar] [CrossRef] [PubMed]
- Takashima, T.; Sakata, Y.; Iwakiri, R.; Shiraishi, R.; Oda, Y.; Inoue, N.; Nakayama, A.; Fujimoto, K. Feeding with olive oil attenuates inflammation in dextran sulfate sodium-induced colitis in rat. J. Nutr. Biochem. 2013, 25, 86–192. [Google Scholar] [CrossRef] [PubMed]
- Zheng, A.; Li, H.; Xu, J.; Cao, K.; Li, H.; Pu, W.; Yang, Z.; Peng, Y.; Long, J.; Liu, J. Hydroxytyrosol improves mitochondrial function and reduces oxidative stress in the brain of db/db mice: Role of AMP-activated protein kinase activation. Br. J. Nutr. 2015, 113, 1667–1676. [Google Scholar] [CrossRef] [PubMed]
- Agrawal, K.; Melliou, E.; Li, X.; Pedersen, T.L.; Wang, S.C.; Magiatis, P.; Holt, R.R. Oleocanthal-rich extra virgin olive oil demonstrates acute anti-platelet effects in healthy men in a randomized trial. J. Funct. Foods 2017, 36, 84–93. [Google Scholar] [CrossRef]
- Camargo, A.; Rangel-Zuniga, O.A.; Haro, C.; Meza-Miranda, E.R.; Pena-Orihuela, P.; Meneses, M.E.; Delgado-Lista, J. Olive oil phenolic compounds decrease the postprandial inflammatory response by reducing postprandial plasma lipopolysaccharide levels. Food Chem. 2014, 162, 161–171. [Google Scholar] [CrossRef]
- Carnevale, R.; Pignatelli, P.; Nocella, C.; Loffredo, L.; Pastori, D.; Vicario, T.; Violi, F. Extra virgin olive oil blunt post-prandial oxidative stress via NOX2 down-regulation. Atherosclerosis 2014, 235, 649–658. [Google Scholar] [CrossRef]
- Cicerale, S.; Breslin, P.A.; Beauchamp, G.K.; Keast, R.S. Sensory characterization of the irritant properties of oleocanthal, a natural anti-inflammatory agent in extra virgin olive oils. Chem. Senses 2009, 34, 333–339. [Google Scholar] [CrossRef]
- Servili, M.; Esposto, S.; Fabiani, R.; Urbani, S.; Taticchi, A.; Mariucci, F.; Selvaggini, R.; Montedoro, G.F. Phenolic compounds in olive oil: Antioxidant, health and organoleptic activities according to their chemical structure. Inflammopharmacology 2009, 17, 76–84. [Google Scholar] [CrossRef]
- Beauchamp, G.K.; Keast, R.S.; Morel, D.; Lin, J.; Pika, J.; Han, Q.; Lee, C.H.; Smith, A.B.; Breslin, P.A. Phytochemistry: Ibuprofen-like activity in extra-virgin olive oil. Nature 2005, 437, 45–46. [Google Scholar] [CrossRef]
- Batarseh, Y.S.; Mohamed, L.A.; Al Rihani, S.B.; Mousa, Y.M.; Siddique, A.B.; El Sayed, K.A.; Kaddoumi, A. Oleocanthal ameliorates amyloid-beta oligomers– toxicity on astrocytes and neuronal cells: In vitro studies. Neuroscience 2017, 352, 204–215. [Google Scholar] [CrossRef]
- Pitt, J.; Roth, W.; Lacor, P.; Blankenship, M.; Velasco, P.; De Felice, F.; Klein, W.L. Alzheimer’s-associated Aβ oligomers show altered structure, immunoreactivity and synaptotoxicity with low doses of oleocanthal. Toxicol. Appl. Pharmacol. 2009, 240, 189–197. [Google Scholar] [CrossRef] [PubMed]
- Gu, Y.; Wang, J.; Peng, L. (-)-Oleocanthal exerts anti-melanoma activities and inhibits STAT3 signaling pathway. Oncol. Rep. 2017, 37, 483–491. [Google Scholar] [CrossRef] [PubMed]
- Busnena, B.A.; Foudah, A.I.; Melancon, T.; El Sayed, K.A. Olive secoiridoids and semisynthetic bioisostere analogues for the control of metastatic breast cancer. Bioorg. Med. Chem. 2013, 21, 2117–2127. [Google Scholar] [CrossRef] [PubMed]
- Elnagar, A.Y.; Sylvester, P.W.; El Sayed, K.A. (-)-Oleocanthal as a c-Met inhibitor for the control of metastatic breast and prostate cancers. Planta Med. 2011, 77, 1013–1019. [Google Scholar] [CrossRef]
- Khanfar, M.A.; Bardaweel, S.K.; Akl, M.R.; El Sayed, K.A. Olive oil-derived oleocanthal as potent inhibitor of mammalian target of rapamycin: Biological evaluation and molecular modeling studies. Phytother. Res. 2015, 29, 1776–1782. [Google Scholar] [CrossRef]
- Mohyeldin, M.M.; Busnena, B.A.; Akl, M.R.; Dragoi, A.M.; Cardelli, J.A.; El Sayed, K.A. Novel c-MET inhibitory olive secoiridoid semisynthetic analogs for the control of invasive breast cancer. Eur. J. Med. Chem. 2016, 118, 299–315. [Google Scholar] [CrossRef]
- Cusimano, A.; Balasus, D.; Azzolina, A.; Augello, G.; Emma, M.R.; Di Sano, C.; Cervello, M. Oleocanthal exerts antitumor effects on human liver and colon cancer cells through ROS generation. Int. J. Oncol. 2017, 51, 533–544. [Google Scholar] [CrossRef]
- Pei, T.; Meng, Q.; Han, J.; Sun, H.; Li, L. (-)-Oleocanthal inhibits growth and metastasis by blocking activation of STAT3 in human hepatocellular carcinoma. Oncotarget 2016, 7, 43475–43491. [Google Scholar] [CrossRef]
- Khanal, P.; Oh, W.K.; Yun, H.J.; Namgoong, G.M.; Ahn, S.G.; Kwon, S.M.; Choi, H.S. p-HPEA-EDA, a phenolic compound of virgin olive oil, activates AMP-activated protein kinase to inhibit carcinogenesis. Carcinogenesis 2011, 32, 545–553. [Google Scholar] [CrossRef]
- Scotece, M.; Gomez, R.; Conde, J.; Lopez, V.; Gomez-Reino, J.J. Oleocanthal inhibits proliferation and MIP-1α expression in human multiple myeloma cells. Curr. Med. Chem. 2013, 20, 2467–2475. [Google Scholar] [CrossRef]
- Fabiani, R.; De Bartolomeo, A.; Rosignoli, P.; Servili, M.; Selvaggini, R.; Montedoro, G.F.; Morozzi, G. Virgin olive oil phenols inhibit proliferation of human promyelocytic leukemia cells (HL60) by inducing apoptosis and differentiation. J. Nutr. 2006, 136, 614–619. [Google Scholar] [CrossRef] [PubMed]
- Fogli, S.; Arena, C.; Carpi, S.; Polini, B.; Bertini, S.; Digiacomo, M.; Macchia, M. Cytotoxic Activity of Oleocanthal Isolated from Virgin Olive Oil on Human Melanoma Cells. Nutr. Cancer 2016, 68, 873–877. [Google Scholar] [CrossRef]
- LeGendre, O.; Breslin, P.A.; Foster, D.A. (-)-Oleocanthal rapidly and selectively induces cancer cell death via lysosomal membrane permeabilization. Mol. Cell. Oncol. 2015, 2, e1006077. [Google Scholar] [CrossRef] [PubMed]
- Siddique, A.B.; Ibrahim, H.Y.; Akl, M.R.; Ayoub, N.M.; Goda, A.A.; Mohammad, M.M.; El Sayed, K.A. (-)-Oleocanthal combined with lapatinib treatment synergized against HER-2 positive breast cancer in vitro and in vivo. Nutrients 2019, 11, 412. [Google Scholar] [CrossRef] [PubMed]
- Siddique, A.B.; Ibrahim, H.Y.; Mohyeldin, M.M.; Qusa, M.; Batarseh, Y.; El Sayed, K.A. Novel liquid-liquid extraction and self-emulsion methods for simplified isolation of extra-virgin olive oil phenolics with emphasis on (-)-oleocanthal and its oral anti-breast cancer activity. PLoS ONE 2019, 14, e0214798. [Google Scholar] [CrossRef] [PubMed]
- Ayoub, N.M.; Siddique, A.B.; Ebrahim, H.Y.; Mohyeldin, M.M.; El Sayed, K.A. The olive oil phenolic (-)-oleocanthal modulates estrogen receptor expression in luminal breast cancer in vitro and in vivo and synergizes with tamoxifen treatment. Eur. J. Pharmacol. 2017, 81, 100–111. [Google Scholar] [CrossRef]
- Siddique, A.B.; Ayoub, N.M.; Tajmim, A.; Meyer, S.A.; Hill, R.A.; El Sayed, K.A. (−)-Oleocanthal prevents breast cancer locoregional recurrence after primary tumor surgical excision and neoadjuvant targeted therapy in orthotopic nude mouse models. Cancers 2019, 11, 637. [Google Scholar] [CrossRef]
- Tajmim, A.; Siddique, A.B.; El Sayed, K. Optimization of taste-masked (–)-oleocanthal effervescent formulation with potent breast cancer progression and recurrence suppressive activities. Pharmaceutics 2019, 11, 515. [Google Scholar] [CrossRef]
- Qusa, M.H.; Siddique, A.B.; El Sayed, K. Novel olive oil phenolic (−)-oleocanthal (+)-xylitol-based solid dispersion formulations with potent oral anti-breast cancer activities. Int. J. Pharm. 2019, 569, 118596. [Google Scholar] [CrossRef]
- Tekland7012. Available online: https://www.envigo.com/resources/data-sheets/7012-datasheet-0915.pdf (accessed on 15 January 2020).
- USEPA, U.S. Environmental Protection Agency Health Effects Test Guidelines; OPPTS 870.1100, Acute Oral Toxicity EPA 712–C–02–190; USEPA: Washington, DC, USA, 2002. [Google Scholar]
- Meyer, S.A.; Marchand, A.J.; Hight, J.L.; Roberts, G.H.; Escalon, L.B.; Inouye, L.S.; MacMillan, D.K. Up-and-down procedure (UDP) determinations of acute oral toxicity of nitroso degradation products of hexahydro-1,3,5-trinitro-1,3,5-triazine (RDX). J. Appl. Toxicol. 2005, 25, 427–434. [Google Scholar] [CrossRef]
- Sallam, A.A.; Ayoub, N.A.; Foudah, A.I.; Gissendanner, C.R.; Meyer, S.A.; El Sayed, K.A. Indole diterpene alkaloids as novel inhibitors of the Wnt/β-catenin pathway in breast cancer cells. Eur. J. Med. Chem. 2013, 70, 594–606. [Google Scholar] [CrossRef] [PubMed]
- Porwal, M.; Khan, N.A.; Maheshwari, K.K. Evaluation of acute and subacute oral toxicity induced by ethanolic extract of Marsdenia tenacissima leaves in experimental rats. Sci. Pharm. 2017, 85, 29. [Google Scholar] [CrossRef] [PubMed]
- Saleem, U.; Amin, S.; Ahmad, B.; Azeem, H.; Anwar, F.; Mary, S. Acute oral toxicity evaluation of aqueous ethanolic extract of Saccharum munja Roxb. roots in albino mice as per OECD 425 TG. Toxicol. Rep. 2017, 31, 580–585. [Google Scholar] [CrossRef] [PubMed]
- National Research Council (NRC). Toxicity Testing for Assessing Environmental Agents; Interim Report; National Academics Press: Washington, DC, USA, 2006. [Google Scholar]
- OECD Test Guideline 420: Acute Oral Toxicity-Fixed Dose Procedure. 2001; pp. 1–14. Available online: https://ntp.niehs.nih.gov/iccvam/suppdocs/feddocs/oecd/oecd_gl420.pdf (accessed on 1 December 2019).
- Uzma, S.; Bashir, A.; Mobasher, A.; Alia, E.; Khalid, H.; Nadeem, I.B. Is folklore use of Euphorbia helioscopia devoid of toxic effects? Drug Chem. Toxicol. 2016, 39, 233–237. [Google Scholar] [CrossRef]
- Walum, E.; Nilsson, M.; Clemedson, C.; Ekwall, B. The MEIC program and its implications for the prediction of acute human systemic toxicity. Altern. Methods Toxicol. Life Sci. 1995, 11, 275–282. [Google Scholar]
- Hodgson, E. A Textbook of Modern Toxicology; John Wiley & Sons: Hoboken, NJ, USA, 2010; ISBN-13 978-0470462065. [Google Scholar]
- Manjunatha, B.K.; Vidya, S.M.; Dhiman, P.; Pallavi, R.; Mankani, K.L. Hepatoprotective activity of Leucas hirta against CCl4 induced hepatic damage in rats. Indian J. Exp. Biol. 2005, 43, 722–727. [Google Scholar]
- Uchida, N.S.; Silva-Filho, S.E.; Cardia, G.; Cremer, E.; Silva-Comar, F.; Silva, E.L.; Bersani-Amado, C.A.; Cuman, R.K.N. Hepatoprotective effect of citral on acetaminophen-induced liver toxicity in mice. Evid. Based Complement. Altern. Med. 2017, 2017, 1796209. [Google Scholar] [CrossRef]
- Li, M.; Jia, Z.; Hu, Z.; Zhang, R.; Shen, T. Experimental study on the hemostatic activity of the Tibetan medicinal herb Lamiophlomis rotata. Phytother. Res. 2008, 22, 759–765. [Google Scholar] [CrossRef]


| Index | Male | Female | ||||||
|---|---|---|---|---|---|---|---|---|
| Vehicle Control | OC-10 mg/kg | OC-250 mg/kg | OC-500 mg/kg | Vehicle Control | OC-10 mg/kg | OC-250 mg/kg | OC-500 mg/kg | |
| Body wt. (g) | 29.4 ± 1.5 | 36.6 ± 1.9 | 32.2 ± 1.8 | 34.6 ± 2.3 | 26.0 ± 0.9 | 28.0 ± 1.8 | 27.9 ± 2.5 | 28.6 ± 2.0 |
| Brain (g) | 0.5 ± 0.03 | 0.5 ± 0.04 | 0.5 ± 0.03 | 0.5 ± 0.03 | 0.4 ± 0.04 | 0.5 ± 0.02 | 0.4 ± 0.05 | 0.4 ± 0.06 |
| Heart (g) | 0.2 ± 0.01 | 0.2 ± 0.02 | 0.2 ± 0.02 | 0.2 ± 0.02 | 0.1 ± 0.01 | 0.1 ± 0.02 | 0.1 ± 0.02 | 0.1 ± 0.02 |
| Lung (g) | 0.3 ± 0.06 | 0.3 ± 0.06 | 0.3 ± 0.03 | 0.3 ± 0.06 | 0.2 ± 0.04 | 0.2 ± 0.04 | 0.2 ± 0.06 | 0.2 ± 0.07 |
| Liver (g) | 1.0 ± 0.14 | 1.6 ± 0.07 | 1.2 ± 0.19 | 1.5 ± 0.11 | 1.0 ± 0.12 | 1.2 ± 0.17 | 1.2 ± 0.05 | 1.2 ± 0.13 |
| Spleen (g) | 0.06 ± 0.01 | 0.1 ± 0.01 | 0.1 ± 0.01 | 0.1 ± 0.02 | 0.1 ± 0.02 | 0.1 ± 0.02 | 0.1 ± 0.01 | 0.1 ± 0.01 |
| Kidney (g) | 0.5 ± 0.05 | 0.6 ± 0.03 | 0.6 ± 0.04 | 0.6 ± 0.09 | 0.4 ± 0.02 | 0.4 ± 0.04 | 0.4 ± 0.04 | 0.4 ± 0.03 |
| Blood Index | Male | Female | ||||||
|---|---|---|---|---|---|---|---|---|
| Vehicle Control | OC-10 mg/kg | OC-250 mg/kg | OC-500 mg/kg | Vehicle Control | OC-10 mg/kg | OC-250 mg/kg | OC-500 mg/kg | |
| WBC (103/uL) | 2.18 ± 0.84 | 2.86 ± 0.60 | 3.46 ± 1.78 | 2.66 ± 1.59 | 3.48 ± 1.15 | 3.46 ± 1.09 | 3.28 ± 0.80 | 2.74 ± 1.22 |
| RBC (106/uL) | 10.10 ± 0.36 | 8.66 ± 0.53 * | 10.02 ± 0.68 | 9.23 ± 0.40 | 9.74 ± 0.57 | 9.56 ± 0.31 | 9.46 ± 0.17 | 8.99 ± 0.39 |
| Plt (103/uL) | 652 ± 184.8 | 815 ± 315.9 | 1007 ± 130.9 | 910 ± 249.1 | 440 ± 90.6 | 501 ± 51.9 | 338 ± 51.9 | 928 ± 212.3 * |
| MPV (fL) | 8.32 ± 0.53 | 8.63 ± 2.13 | 7.22 ± 0.17 | 7.38 ± 0.55 | 7.85 ± 0.34 | 7.76 ± 0.19 | 7.90 ± 0.19 | 7.74 ± 0.48 |
| Pct (%) | 0.54 ± 0.13 | 0.50 ± 0.23 | 0.72 ± 0.07 | 0.66 ± 0.13 | 0.32 ± 0.08 | 0.41 ± 0.04 | 0.27 ± 0.04 | 0.72 ± 0.20 * |
| Hgb (g/dL) | 14.20 ± 0.65 | 12.36 ± 0.63 * | 13.52 ± 0.96 | 13.12 ± 0.47 | 14.00 ± 0.56 | 13.84 ± 0.34 | 13.40 ± 0.25 | 13.54 ± 0.43 |
| Hct (%) | 44.04 ± 1.92 | 40.26 ± 3.19 | 44.78 ± 3.34 | 43.14 ± 1.63 | 44.80 ± 2.14 | 43.90 ± 1.20 | 43.38 ± 1.20 | 43.18 ± 2.31 |
| MCV (fL) | 44.60 ± 1.02 | 46.48 ± 1.39 | 44.70 ± 1.28 | 46.80 ± 0.97 | 45.98 ± 0.75 | 45.92 ± 1.30 | 45.88 ± 1.30 | 47.94 ± 0.77 |
| MCH (pg) | 14.06 ± 0.34 | 14.26 ± 0.25 | 13.54 ± 0.21 | 14.20 ± 0.39 | 14.35 ± 0.32 | 14.46 ± 0.45 | 14.38 ± 0.45 | 14.98 ± 0.32 |
| MCHC (g/dL) | 31.52 ± 0.32 | 30.70 ± 1.05 | 30.28 ± 0.47 | 30.34 ± 0.30 | 31.25 ± 0.36 | 31.54 ± 0.46 | 30.95 ± 0.46 | 31.40 ± 1.23 |
| CHCM (g/dL) | 30.14 ± 0.30 | 28.50 ± 0.55 | 29.24 ± 0.61 | 28.84 ± 0.36 | 29.50 ± 0.42 | 29.50 ± 0.48 | 28.68 ± 0.48 | 28.20 ± 0.70 |
| RDW (%) | 13.52 ± 0.20 | 13.56 ± 0.33 | 13.38 ± 0.24 | 14.86 ± 0.64 * | 13.65 ± 0.17 | 13.78 ± 0.54 | 14.20 ± 0.55 | 14.78 ± 0.61 * |
| Blood Index | Male | Female | ||||||
|---|---|---|---|---|---|---|---|---|
| Vehicle Control | OC-10 mg/kg | OC-250 mg/kg | OC-500 mg/kg | Vehicle Control | OC-10 mg/kg | OC-250 mg/kg | OC-500 mg/kg | |
| GLU (mg/dL) | 95.0 ± 10.0 | 240.5 ± 4.5 * | 236.0 ± 27.0 * | 185.5 ± 12.5 * | 205.0 ± 1.0 | 235.0 ± 1.0 | 205.0 ± 11.0 | 274.0 ± 28.5 * |
| AST (U/L) | 173.5 ± 15.5 | 165.0 ± 76.0 * | 93.5 ± 17.5 * | 100.0 ± 6.0 * | 158.5 ± 10.5 | 128.0 ± 7.0 * | 174.5 ± 0.0 | 145.5 ± 13.5 |
| ALT (U/L) | 62.0 ± 2.0 | 35.5 ± 12.5 * | 25.0 ± 7.0 * | 33.0 ± 8.0 * | 53.0 ± 14.0 | 36.5 ± 1.5 | 41.0 ± 5.0 | 32.5 ± 2.5 * |
| ALP (U/L) | 15.0 ± 3.0 | 6.0 ± 1.0 * | 5.5 ± 0.5 * | 7.0 ± 1.0 * | 7.5 ± 2.5 | <5.0# | 7.5 ± 2.5 | 7.5 ± 2.5 |
| BUN (mg/dL) | 36.0 ± 5.0 | 21.5 ± 0.5 * | 22.0 ± 1.0 * | 21.5 ± 0.5 * | 21.5 ± 1.5 | 23.0 ± 0.0 | 26.0 ± 1.0 * | 24.5 ± 1.5 * |
| CREAT (mg/dL) | <0.2# | <0.2# | <0.2# | <0.2# | <0.2# | <0.2# | <0.2# | <0.2# |
© 2020 by the authors. Licensee MDPI, Basel, Switzerland. This article is an open access article distributed under the terms and conditions of the Creative Commons Attribution (CC BY) license (http://creativecommons.org/licenses/by/4.0/).
Share and Cite
Siddique, A.B.; King, J.A.; Meyer, S.A.; Abdelwahed, K.; Busnena, B.; El Sayed, K.A. Safety Evaluations of Single Dose of the Olive Secoiridoid S-(−)-Oleocanthal in Swiss Albino Mice. Nutrients 2020, 12, 314. https://doi.org/10.3390/nu12020314
Siddique AB, King JA, Meyer SA, Abdelwahed K, Busnena B, El Sayed KA. Safety Evaluations of Single Dose of the Olive Secoiridoid S-(−)-Oleocanthal in Swiss Albino Mice. Nutrients. 2020; 12(2):314. https://doi.org/10.3390/nu12020314
Chicago/Turabian StyleSiddique, Abu Bakar, Judy Ann King, Sharon A. Meyer, Khaldoun Abdelwahed, Belnaser Busnena, and Khalid A. El Sayed. 2020. "Safety Evaluations of Single Dose of the Olive Secoiridoid S-(−)-Oleocanthal in Swiss Albino Mice" Nutrients 12, no. 2: 314. https://doi.org/10.3390/nu12020314
APA StyleSiddique, A. B., King, J. A., Meyer, S. A., Abdelwahed, K., Busnena, B., & El Sayed, K. A. (2020). Safety Evaluations of Single Dose of the Olive Secoiridoid S-(−)-Oleocanthal in Swiss Albino Mice. Nutrients, 12(2), 314. https://doi.org/10.3390/nu12020314

