Anti-Obesity and Antidiabetic Effects of Nelumbinis Semen Powder in High-Fat Diet-Induced Obese C57BL/6 Mice
Abstract
1. Introduction
2. Materials and Methods
2.1. Anti-Oxidant Activity of NS Extract
2.2. Animal Breeding and Experimental Design
2.3. Diet Preparation and Formula Composition for Animal Study
2.4. Blood and Organ Collection
2.5. Blood Chemicals Analysis
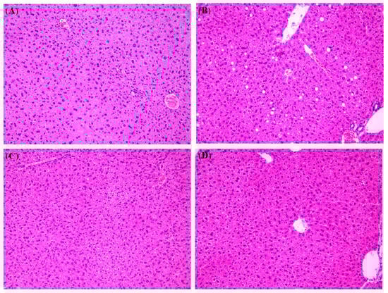
2.6. Histopathological Analysis
2.7. Blood Glucose Measurement
2.8. Intraperitoneal Glucose Tolerance Test (IPGTT)
2.9. Western Blot Analysis
2.10. Statistical Analysis
3. Results
3.1. Anti-Oxidant Activity of NS Extract
3.2. Effect of NS Powder on BW Gain, Food Intake, and Food Efficiency Ratio (FER)
3.3. Effect of NS Powder on Organ Weight per Unit
3.4. Effect of NS Powder on Blood Chemical Analysis
3.5. Effect of NS Powder on Histopathological Changes in the Liver
3.6. Effect of NS Powder on Random Blood Glucose Levels
3.7. Effect of NS Powder on IPGTT
3.8. Effect of NS Powder on PPAR-α, PPAR-γ, GLUT4, and TNF-α Protein Expression
4. Discussion
5. Conclusions
Author Contributions
Funding
Conflicts of Interest
References
- Seo, M.H.; Lee, W.-Y.; Kim, S.S.; Kang, J.-H.; Kang, J.-H.; Kim, K.K.; Kim, B.-Y.; Kim, Y.-H.; Kim, W.-J.; Kim, E.M.; et al. 2018 Korean Society for the Study of Obesity guideline for the management of obesity in Korea. J. Obes. Metab. Syndr. 2019, 28, 40–45. [Google Scholar] [CrossRef] [PubMed]
- Nam, G.E.; Kim, Y.-H.; Han, K.; Jung, J.-H.; Rhee, E.-J.; Lee, S.-S.; Kim, D.J.; Lee, K.-W.; Lee, W.-Y. Obesity fact sheet in Korea, 2019: Prevalence of obesity and abdominal obesity from 2009 to 2018 and social factors. J. Obes. Metab. Syndr. 2020, 29, 124. [Google Scholar] [CrossRef] [PubMed]
- Jayarathne, S.; Koboziev, I.; Park, O.-H.; Oldewage-Theron, W.; Shen, C.-L.; Moustaid-Moussa, N. Anti-inflammatory and anti-obesity properties of food bioactive components: Effects on adipose tissue. Prev. Nutr. Food Sci. 2017, 22, 251–262. [Google Scholar] [CrossRef] [PubMed]
- Bautista, R.J.H.; Mahmoud, A.M.; Königsberg, M.; Guerrero, N.E.L.D. Obesity: Pathophysiology, monosodium glutamate-induced model and anti-obesity medicinal plants. Biomed. Pharmacother. 2019, 111, 503–516. [Google Scholar] [CrossRef] [PubMed]
- Lozano, R.; Naghavi, M.; Foreman, K.; Lim, S.; Shibuya, K.; Aboyans, V.; Abraham, J.; Adair, T.; Aggarwal, R.; Ahn, S.Y. Global and regional mortality from 235 causes of death for 20 age groups in 1990 and 2010: A systematic analysis for the Global Burden of Disease Study 2010. Lancet 2012, 380, 2095–2128. [Google Scholar] [CrossRef]
- Guariguata, L.; Whiting, D.R.; Hambleton, I.; Beagley, J.; Linnenkamp, U.; Shaw, J.E. Global estimates of diabetes prevalence for 2013 and projections for 2035. Diabetes Res. Clin. Pract. 2014, 103, 137–149. [Google Scholar] [CrossRef]
- Rhee, E.-J. Prevalence and current management of cardiovascular risk factors in Korean adults based on fact sheets. Endocrinol. Metab. (Seoul) 2020, 35, 85–94. [Google Scholar] [CrossRef]
- American Diabetes Association 8. Cardiovascular disease and risk management. Diabetes Care 2016, 39, S60–S71. [Google Scholar] [CrossRef]
- Korean Diabetes Association. Treatment Guideline for Diabetes. 2015. Available online: http://www.diabetes.or.kr/ (accessed on 22 March 2020).
- American Diabetes Association 7. Obesity management for the treatment of type 2 diabetes. Diabetes Care 2017, 40, S57–S63. [Google Scholar] [CrossRef]
- Gurevich-Panigrahi, T.; Panigrahi, S.; Wiechec, E.; Los, M. Obesity: Pathophysiology and clinical management. Curr. Med. Chem. 2009, 16, 506–521. [Google Scholar] [CrossRef]
- Gross, B.; Pawlak, M.; Lefebvre, P.; Staels, B. PPARs in obesity-induced T2DM, dyslipidaemia and NAFLD. Nat. Rev. Endocrinol. 2017, 13, 36–49. [Google Scholar] [CrossRef] [PubMed]
- Yanai, H.; Yoshida, H. Beneficial effects of adiponectin on glucose and lipid metabolism and atherosclerotic progression: Mechanisms and perspectives. Int. J. Mol. Sci. 2019, 20, 1190. [Google Scholar] [CrossRef] [PubMed]
- Mirza, A.Z.; Althagafi, I.I.; Shamshad, H. Role of PPAR receptor in different diseases and their ligands: Physiological importance and clinical implications. Eur. J. Med. Chem. 2019, 166, 502–513. [Google Scholar] [CrossRef] [PubMed]
- Bao, S.; Wu, Y.-L.; Wang, X.; Han, S.; Cho, S.; Ao, W.; Nan, J.-X. Agriophyllum oligosaccharides ameliorate hepatic injury in type 2 diabetic db/db mice targeting INS-R/IRS-2/PI3K/AKT/PPAR-γ/Glut4 signal pathway. J. Ethnopharmacol. 2020, 257, 112863. [Google Scholar] [CrossRef] [PubMed]
- Fasshauer, M.; Paschke, R. Regulation of adipocytokines and insulin resistance. Diabetologia 2003, 46, 1594–1603. [Google Scholar] [CrossRef] [PubMed]
- Zheng, T.; Hao, X.; Wang, Q.; Chen, L.; Jin, S.; Bian, F. Entada phaseoloides extract suppresses hepatic gluconeogenesis via activation of the AMPK signaling pathway. J. Ethnopharmacol. 2016, 193, 691–699. [Google Scholar] [CrossRef]
- Alam, F.; Islam, A.; Khalil, I.; Hua Gan, S. Metabolic control of type 2 diabetes by targeting the GLUT4 glucose transporter: Intervention approaches. Curr. Pharm. Des. 2016, 22, 3034–3049. [Google Scholar] [CrossRef]
- Hossain, K.M.; Dayem, A.A.; Han, J.; Yin, Y.; Kim, K.; Saha, K.S.; Yang, G.-M.; Choi, H.Y.; Cho, S.-G. Molecular mechanisms of the anti-obesity and anti-diabetic properties of flavonoids. Int. J. Mol. Sci. 2016, 17, 569. [Google Scholar] [CrossRef]
- Patel, T.P.; Rawal, K.; Bagchi, A.K.; Akolkar, G.; Bernardes, N.; Silva, D.D.D.; Gupta, S.; Singal, P.K. Insulin resistance: An additional risk factor in the pathogenesis of cardiovascular disease in type 2 diabetes. Heart Fail. Rev. 2016, 21, 11–23. [Google Scholar] [CrossRef]
- Akash, M.S.H.; Rehman, K.; Liaqat, A. Tumor necrosis factor-alpha: Role in development of insulin resistance and pathogenesis of type 2 diabetes mellitus. J. Cell. Biochem. 2018, 119, 105–110. [Google Scholar] [CrossRef]
- Limwachiranon, J.; Huang, H.; Shi, Z.; Li, L.; Luo, Z. Lotus flavonoids and phenolic acids: Health promotion and safe consumption dosages. Compr. Rev. Food Sci. Food Saf. 2018, 17, 458–471. [Google Scholar] [CrossRef]
- Kim, Y.-H.; Choi, K.-S.; Shin, K.-O. The effect of lotus (Nelumbo nucifera) leaf, stem, and yeonjabang powder extract on the biochemical factors in serum in mice fed a high-fat diet. Korean J. Food Nutr. 2016, 29, 684–691. [Google Scholar] [CrossRef]
- Sharma, B.R.; Gautam, L.N.S.; Adhikari, D.; Karki, R. A comprehensive review on chemical profiling of Nelumbo nucifera: Potential for drug development. Phytother. Res. 2017, 31, 3–26. [Google Scholar] [CrossRef] [PubMed]
- You, J.S.; Lee, Y.J.; Kim, K.S.; Kim, S.H.; Chang, K.J. Anti-obesity and hypolipidaemic effects of Nelumbo nucifera seed ethanol extract in human pre-adipocytes and rats fed a high-fat diet. J. Sci. Food Agric. 2014, 94, 568–575. [Google Scholar] [CrossRef] [PubMed]
- Shahnaz, H.K.; Ali, F.; Shah, A.; Kamran, F.; Jahan, S. Evaluation of antihyperglycemic and antihyperlipidemic potential of Nelumbo nucifera seeds in diabetic rats. Sains Malays. 2016, 45, 1517–1523. [Google Scholar]
- Singleton, V.L.; Orthofer, R.; Lamuela-Raventós, R.M. Analysis of total phenols and other oxidation substrates and antioxidants by means of Folin–Ciocalteu reagent. Methods Enzymol. 1999, 299, 152–178. [Google Scholar] [CrossRef]
- Blois, M.S. Antioxidant determinations by the use of a stable free radical. Nature 1958, 181, 1199–1200. [Google Scholar] [CrossRef]
- Kim, E.-J.; Choi, J.-Y.; Yu, M.-R.; Kim, M.-Y.; Lee, S.-H.; Lee, B.-H. Total polyphenols, total flavonoid contents, and antioxidant activity of Korean natural and medicinal plants. Korean J. Food Sci. Technol. 2012, 44, 337–342. [Google Scholar] [CrossRef]
- Zhu, M.; Liu, T.; Guo, M. Current advances in the metabolomics study on lotus seeds. Front. Plant Sci. 2016, 7, 891. [Google Scholar] [CrossRef]
- Ono, Y.; Hattori, E.; Fukaya, Y.; Imai, S.; Ohizumi, Y. Anti-obesity effect of Nelumbo nucifera leaves extract in mice and rats. J. Ethnopharmacol. 2006, 106, 238–244. [Google Scholar] [CrossRef]
- Choi, I.; Park, Y.; Choi, H.; Lee, E.H. Anti-adipogenic activity of rutin in 3T3-L1 cells and mice fed with high-fat diet. Biofactors 2006, 26, 273–281. [Google Scholar] [CrossRef] [PubMed]
- Li, Y.Q.; Zhou, F.C.; Gao, F.; Bian, J.S.; Shan, F. Comparative evaluation of quercetin, isoquercetin and rutin as inhibitors of α-glucosidase. J. Agric. Food Chem. 2009, 57, 11463–11468. [Google Scholar] [CrossRef] [PubMed]
- Liu, S.; Li, D.; Huang, B.; Chen, Y.; Lu, X.; Wang, Y. Inhibition of pancreatic lipase, α-glucosidase, α-amylase, and hypolipidemic effects of the total flavonoids from Nelumbo nucifera leaves. J. Ethnopharmacol. 2013, 149, 263–269. [Google Scholar] [CrossRef] [PubMed]
- Bin, X.; Jin, W.; Wenqing, W.; Chunyang, S.; Xiaolong, H.; Jianguo, F. Nelumbo nucifera alkaloid inhibits 3T3-L1 preadipocyte differentiation and improves high-fat diet-induced obesity and body fat accumulation in rats. J. Med. Plants Res. 2011, 5, 2021–2028. [Google Scholar] [CrossRef]
- Cho, A.-S.; Jeon, S.-M.; Kim, M.-J.; Yeo, J.; Seo, K.-I.; Choi, M.-S.; Lee, M.-K. Chlorogenic acid exhibits anti-obesity property and improves lipid metabolism in high-fat diet-induced-obese mice. Food Chem. Toxicol. 2010, 48, 937–943. [Google Scholar] [CrossRef]
- Guo, Y.-R.; Choung, S.-Y. Germacrone attenuates hyperlipidemia and improves lipid metabolism in high-fat diet-induced obese C57BL/6J mice. J. Med. Food 2017, 20, 46–55. [Google Scholar] [CrossRef]
- Pang, J.; Choi, Y.; Park, T. Ilex paraguariensis extract ameliorates obesity induced by high-fat diet: Potential role of AMPK in the visceral adipose tissue. Arch. Biochem. Biophys. 2008, 476, 178–185. [Google Scholar] [CrossRef]
- Niroumand, S.; Khajedaluee, M.; Khadem-Rezaiyan, M.; Abrishami, M.; Juya, M.; Khodaee, G.; Dadgarmoghaddam, M. Atherogenic index of plasma (AIP): A marker of cardiovascular disease. Med. J. Islam. Repub. Iran 2015, 29, 240. [Google Scholar]
- Shoeb, A.; Alwar, M.C.; Shenoy, P.J.; Gokul, P. Effect of Morinda citrifolia (noni) fruit juice on high fat diet induced dyslipidemia in rats. J. Clin. Diagn. Res. 2016, 10, FF06–FF10. [Google Scholar] [CrossRef]
- Bordenave, N.; Hamaker, B.R.; Ferruzzi, M.G. Nature and consequences of non-covalent interactions between flavonoids and macronutrients in foods. Food Funct. 2014, 5, 18–34. [Google Scholar] [CrossRef]
- Hakani, A.H.G.; Aslam, M.; Khatian, N. A review of the important pharmacological activities of Nelumbo nucifera: A prodigious rhizome. Int. J. Biomed. Adv. Res. 2019, 10, e5007. [Google Scholar] [CrossRef]
- Zhao, P.; Tian, D.; Song, G.; Ming, Q.; Liu, J.; Shen, J.; Liu, Q.-H.; Yang, X. Neferine promotes GLUT4 expression and fusion with the plasma membrane to induce glucose uptake in L6 cells. Front. Pharmacol. 2019, 10, 999. [Google Scholar] [CrossRef] [PubMed]
- Pan, Y.; Cai, B.; Wang, K.; Wang, S.; Zhou, S.; Yu, X.; Xu, B.; Chen, L. Neferine enhances insulin sensitivity in insulin resistant rats. J. Ethnopharmacol. 2009, 124, 98–102. [Google Scholar] [CrossRef] [PubMed]
- Hwang, E.-Y.; Hong, J.-H.; Choi, J.-H.; Choi, E.-J.; Lee, I.-S. Study on anti-obesity and hypoglycemic effects of Lycium chinense Mill extracts. J. Korean Soc. Food Sci. Nutr. 2009, 38, 1528–1534. [Google Scholar] [CrossRef]
- Lee, Y.-S.; Cha, B.-Y.; Choi, S.-S.; Choi, B.-K.; Yonezawa, T.; Teruya, T.; Nagai, K.; Woo, J.-T. Nobiletin improves obesity and insulin resistance in high-fat diet-induced obese mice. J. Nutr. Biochem. 2013, 24, 156–162. [Google Scholar] [CrossRef]
- Zhang, Y.; Lu, X.; Zeng, S.; Huang, X.; Guo, Z.; Zheng, Y.; Tian, Y.; Zheng, B. Nutritional composition, physiological functions and processing of lotus (Nelumbo nucifera Gaertn.) seeds: A review. Phytochem. Rev. 2015, 14, 321–334. [Google Scholar] [CrossRef]
- Fuentes-Zaragoza, E.; Riquelme-Navarrete, M.J.; Sánchez-Zapata, E.; Pérez-Álvarez, J.A. Resistant starch as functional ingredient: A review. Food Res. Int. 2010, 43, 931–942. [Google Scholar] [CrossRef]
- Lockyer, S.; Nugent, A.P. Health effects of resistant starch. Nutr. Bull. 2017, 42, 10–41. [Google Scholar] [CrossRef]
- Kahn, B.B.; Flier, J.S. Obesity and insulin resistance. J. Clin. Investig. 2000, 106, 473–481. [Google Scholar] [CrossRef]
- Choi, C.S. Pathogenesis of insulin resistance. Korean J. Med. 2009, 77, 171–177. [Google Scholar]
- Czech, M.P. Insulin action and resistance in obesity and type 2 diabetes. Nat. Med. 2017, 23, 804–814. [Google Scholar] [CrossRef] [PubMed]
- Morigny, P.; Houssier, M.; Mouisel, E.; Langin, D. Adipocyte lipolysis and insulin resistance. Biochimie 2016, 125, 259–266. [Google Scholar] [CrossRef] [PubMed]
- Ghadge, A.A.; Khaire, A.A.; Kuvalekar, A.A. Adiponectin: A potential therapeutic target for metabolic syndrome. Cytokine Growth Factor Rev. 2018, 39, 151–158. [Google Scholar] [CrossRef] [PubMed]
- Pedersen, B.K. Anti-inflammatory effects of exercise: Role in diabetes and cardiovascular disease. Eur. J. Clin. Investig. 2017, 47, 600–611. [Google Scholar] [CrossRef] [PubMed]


, CON, control group;
, HFD, high-fat diet;
, HFD-NS5%, high-fat diet with 5% Nelumbinis Semen powder;
, HFD-NS10%, high-fat diet with 10% Nelumbinis Semen powder. Values are the mean ± SE (n = 8). a–c The different letters represent significant differences at p < 0.05 by Duncan’s multiple range test.
, CON, control group;
, HFD, high-fat diet;
, HFD-NS5%, high-fat diet with 5% Nelumbinis Semen powder;
, HFD-NS10%, high-fat diet with 10% Nelumbinis Semen powder. Values are the mean ± SE (n = 8). a–c The different letters represent significant differences at p < 0.05 by Duncan’s multiple range test.
, CON, control group;
, HFD, high-fat diet;
, HFD-NS5%, high-fat diet with 5% Nelumbinis Semen powder;
, HFD-NS10%, high-fat diet with 10% Nelumbinis Semen powder. (B) Effect of Nelumbinis Semen powder on the area under the curve of IPGTT. Values are the mean ± SE (n = 8/group). a,b The different letters represent significant differences at p < 0.05 by Duncan’s multiple range test.
, CON, control group;
, HFD, high-fat diet;
, HFD-NS5%, high-fat diet with 5% Nelumbinis Semen powder;
, HFD-NS10%, high-fat diet with 10% Nelumbinis Semen powder. (B) Effect of Nelumbinis Semen powder on the area under the curve of IPGTT. Values are the mean ± SE (n = 8/group). a,b The different letters represent significant differences at p < 0.05 by Duncan’s multiple range test.

| Composition | Group 1 | ||
|---|---|---|---|
| HFD | HFD-NS5% | HFD-NS10% | |
| Casein | 26.50 | 25.18 | 23.85 |
| L-Cysteine | 0.40 | 0.38 | 0.36 |
| Maltodextrin | 16.0 | 15.2 | 14.4 |
| Sucrose | 9.00 | 8.55 | 8.10 |
| Lard | 31.00 | 29.45 | 27.90 |
| Soybean oil | 3.00 | 2.85 | 2.70 |
| Cellulose | 6.55 | 6.55 | 5.90 |
| Mineral mix 2 | 4.80 | 4.56 | 4.32 |
| Calcium phosphate | 0.34 | 0.32 | 0.31 |
| Vitamin mix 3 | 2.10 | 2.00 | 1.89 |
| Choline bitartrate | 0.30 | 0.29 | 0.27 |
| Blue food color | 0.01 | 0.01 | 0.01 |
| Nelumbinis Semen powder 4 | - | 5 | 10 |
| Group 1 | ||||
|---|---|---|---|---|
| CON | HFD | HFD-NS5% | HFD-NS10% | |
| Initial body weight (g) | 21.45 ± 0.21 NS | 20.68 ± 0.45 | 20.96 ± 0.55 | 20.73 ± 0.20 |
| Final body weight (g) | 28.80 ± 0.60 b | 39.27 ± 1.67 a | 39.05 ± 2.49 a | 41.45 ± 1.51 a |
| Body weight gain (g/week) | 0.61 ± 0.04 b | 1.55 ± 0.13 a | 1.51 ± 0.19 a | 1.73 ± 1.12 a |
| Total food intake (g) | 256.43 ± 2.17 a | 215.46 ± 3.83 c | 235.63 ± 5.03 b | 249.46 ± 5.35 a |
| Daily food intake (g/day) | 3.08 ± 0.02 a | 2.58 ± 0.04 c | 2.83 ± 0.06 b | 2.99 ± 0.07 a |
| FER | 2.87 ± 0.19 b | 8.59 ± 0.67 a | 7.63 ± 0.90 a | 8.26 ± 0.43 a |
| Group 1 | |||||
|---|---|---|---|---|---|
| CON | HFD | HFD-NS5% | HFD-NS10% | ||
| Organ weight | Liver | 35.35 ± 0.33 a | 28.52 ± 0.17 b | 25.38 ± 0.31 c | 24.39 ± 0.30 d |
| Heart | 3.64 ± 0.08 a | 3.55 ± 0.06 a | 3.17 ± 0.09 b | 2.87 ± 0.05 c | |
| Kidney | 11.36 ± 0.18 a | 10.02 ± 0.15 b | 9.46 ± 0.14 c | 8.38 ± 0.06 d | |
| Spleen | 1.69 ± 0.04 b | 1.80 ± 0.03 a | 1.41 ± 0.05 d | 1.51 ± 0.02 c | |
| Testis | 6.90 ± 0.18 a | 5.83 ± 0.11 b | 4.74 ± 0.08 c | 4.43 ± 0.03 c | |
| Epididymis | 0.70 ± 0.01 a | 0.60 ± 0.02 b | 0.45 ± 0.01 c | 0.47 ± 0.01 c | |
| Fat weight | Epididymal fat | 0.70 ± 0.02 b | 0.92 ± 0.04 a | 0.56 ± 0.04 c | 0.85 ± 0.03 a |
| Perirenal fat | 25.12 ± 0.79 c | 59.94 ± 1.12 a | 42.82 ± 2.13 b | 56.98 ± 0.64 a | |
| Brown fat | 2.48 ± 0.09 b | 2.85 ± 0.09 a | 2.43 ± 0.02 b | 2.27 ± 0.08 b | |
| Group 1 | ||||
|---|---|---|---|---|
| CON | HFD | HFD-NS5% | HFD-NS10% | |
| Total cholesterol (mg/dL) | 59.20 ± 3.43 b | 81.90 ± 6.37 a | 89.95 ± 3.62 a | 90.50 ± 3.22 a |
| LDL cholesterol (mg/dL) | 6.25 ± 0.31 b | 11.75 ± 0.41 a | 7.25 ± 0.56 b | 10.50 ± 1.21 a |
| HDL cholesterol (mg/dL) | 44.25 ± 2.96 c | 58.25 ± 5.78 b | 73.25 ± 3.05 a | 68.75 ± 1.93 a,b |
| Triglyceride (mg/dL) | 43.50 ± 1.02 b | 59.50 ± 1.38 a | 47.25 ± 3.12 b | 56.25 ± 0.56 a |
| AI (mg/dL) | 0.34 ± 0.01 b | 0.43 ± 0.03 a | 0.23 ± 0.01 c | 0.32 ± 0.01 b |
| CRF (mg/dL) | 1.34 ± 0.01 b | 1.43 ± 0.03 a | 1.23 ± 0.01 c | 1.32 ± 0.01 b |
| ALT (U/L) | 78.75 ± 4.93 b | 135.50 ± 14.05 a | 63.75 ± 2.66 b | 79.00 ± 5.10 b |
| Group 1 | ||||
|---|---|---|---|---|
| CON | HFD | HFD-NS5% | HFD-NS10% | |
| Week 0 | 216.88 ± 5.19 NS,A | 213.13 ± 9.46 A | 209.14 ± 11.24 A | 217.20 ± 5.45 A |
| Week 2 | 232.57 ± 11.63 a,A | 209.80 ± 9.89 a,b,A | 182.20 ± 2.17 b,B | 205.13 ± 23.07 a,b,A |
| Week 4 | 133.00 ± 1.95 b,C | 145.00 ± 1.56 a,C | 147.83 ± 4.02 a,D | 141.20 ± 4.34 a,b,B |
| Week 6 | 150.38 ± 3.72 a,C | 161.80 ± 5.26 a,B,C | 150.25 ± 4.01 a,C,D | 136.00 ± 4.69 b,B |
| Week 8 | 172.67 ± 5.40 a,B | 177.00 ± 4.58 a,B | 166.20 ± 3.20 a,B,C | 130.43 ± 4.44 b,B |
| Week 10 | 133.29 ± 3.19 c,C | 165.56 ± 2.91 a,B | 149.00 ± 5.80 b,C,D | 147.33 ± 4.76 b,B |
| Mean | 173.13 ± 5.18 a,b | 178.71 ± 2.93 a | 167.44 ± 2.59 b,c | 162.88 ± 4.50 c |
Publisher’s Note: MDPI stays neutral with regard to jurisdictional claims in published maps and institutional affiliations. |
© 2020 by the authors. Licensee MDPI, Basel, Switzerland. This article is an open access article distributed under the terms and conditions of the Creative Commons Attribution (CC BY) license (http://creativecommons.org/licenses/by/4.0/).
Share and Cite
Hwang, S.B.; Lee, B.-H. Anti-Obesity and Antidiabetic Effects of Nelumbinis Semen Powder in High-Fat Diet-Induced Obese C57BL/6 Mice. Nutrients 2020, 12, 3576. https://doi.org/10.3390/nu12113576
Hwang SB, Lee B-H. Anti-Obesity and Antidiabetic Effects of Nelumbinis Semen Powder in High-Fat Diet-Induced Obese C57BL/6 Mice. Nutrients. 2020; 12(11):3576. https://doi.org/10.3390/nu12113576
Chicago/Turabian StyleHwang, Su Bin, and Bog-Hieu Lee. 2020. "Anti-Obesity and Antidiabetic Effects of Nelumbinis Semen Powder in High-Fat Diet-Induced Obese C57BL/6 Mice" Nutrients 12, no. 11: 3576. https://doi.org/10.3390/nu12113576
APA StyleHwang, S. B., & Lee, B.-H. (2020). Anti-Obesity and Antidiabetic Effects of Nelumbinis Semen Powder in High-Fat Diet-Induced Obese C57BL/6 Mice. Nutrients, 12(11), 3576. https://doi.org/10.3390/nu12113576

