Commercial-Scale Evaluation of Finishing Diet Containing Poultry By-Product and Insect Meals for Sparus aurata: From Fish Welfare to Consumer Acceptance
Abstract
1. Introduction
2. Materials and Methods
2.1. Feeding Trial and Husbandry Conditions
2.2. Diet Formulation
2.3. Fish Sampling
2.4. Fish Health and Welfare
2.4.1. Operational Welfare Indicators
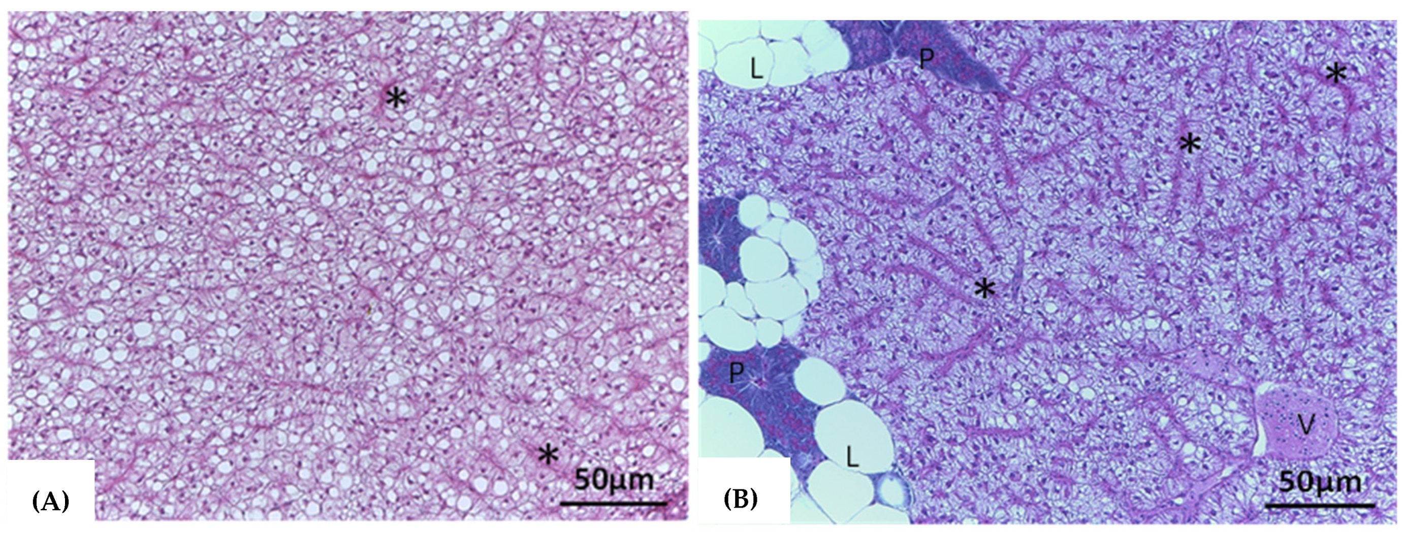
2.4.2. Histological Analysis
2.5. Food Safety and Product Quality
2.5.1. Analysis of Fillet Microbiological and Chemical Contaminants
2.5.2. Physical Analyses of Raw and Cooked Fillets
2.5.3. Analysis of Chemical Composition and Oxidative Status of Fillets
2.5.4. Consumer Test
2.6. Statistical Analysis
2.7. Ethical Statement
3. Results
3.1. Fish Health and Welfare
3.2. Microbiological and Chemical Contaminant Analysis of Fillets
3.3. Physical and Chemical Analyses of Fillets
3.4. Consumer Test
4. Discussion
4.1. Fish Health and Welfare
4.2. Fish Safety, Quality and Consumers Acceptance
5. Conclusions
Supplementary Materials
Author Contributions
Funding
Institutional Review Board Statement
Informed Consent Statement
Data Availability Statement
Acknowledgments
Conflicts of Interest
Abbreviations
| PBM | Poultry by-product meal |
| HIM | Hermetia illucens larvae meal |
| COM | Commercial diet |
| IM | Insect meal |
| FAME | Fatty acid methyl ester |
| SD | Standard deviation |
| SFA | Saturated fatty acid |
| MUFA | Monounsaturated fatty acid |
| PUFA | Polyunsaturated fatty acid |
| BW | Body weight |
| TL | Total length |
| SGR | Specific growth rate |
| FCR | Feed conversion ratio |
| FI | Feed intake |
| K | Condition factor |
| HSI | Hepatosomatic index |
| FA | Fatty acid |
| CD | Conjugated dienes |
| TBARS | Thiobarbituric aid reactive substance |
| OWIs | Operational welfare indicators |
References
- FAO. The State of World Fisheries and Aquaculture 2024—Blue Transformation in Action; FAO: Rome, Italy, 2024. [Google Scholar] [CrossRef]
- Serra, V.; Pastorelli, G.; Tedesco, D.E.A.; Turin, L.; Guerrini, A. Alternative protein sources in aquafeed: Current scenario and future perspectives. Vet. Anim. Sci. 2024, 25, 100381. [Google Scholar] [CrossRef] [PubMed]
- Lim, C.E.; Webster, C.D.; Lee, C.S. Alternative Protein Sources in Aquaculture Diets; Haworth Press: New York, NY, USA, 2008; 571p. [Google Scholar]
- Hua, K.; Cobcroft, J.M.; Cole, A.; Condon, K.; Jerry, D.R.; Mangott, A.; Praeger, C.; Vucko, M.J.; Zeng, C.; Zenger, K.; et al. The future of aquatic protein: Implications for protein sources in aquaculture diets. One Earth 2019, 1, 316–329. [Google Scholar] [CrossRef]
- Duan, Z.; Zhang, C.; Huang, L.; Lan, Q.; Hu, J.; Li, X.; Leng, X. An evaluation of replacing fish meal with fermented soybean meal in diet of hybrid snakehead (Channa argus × Channa maculata): Growth, nutrient utilization, serum biochemical indices, intestinal histology, and microbial community. Aquac. Nutr. 2022, 1, 2964779. [Google Scholar] [CrossRef]
- Zaretabar, A.; Ouraji, H.; Abedian Kenari, A.; Yeganeh, S.; Esmaeili, M.; Keramat Amirkolaee, A. One step toward aquaculture sustainability of a carnivorous species: Fish meal replacement with barley protein concentrate plus wheat gluten meal in Caspian brown trout (Salmo trutta caspius). Aquac. Rep. 2021, 20, 100714. [Google Scholar] [CrossRef]
- Qian, Y.-F.; Limbu, M.S.; Qiao, F.; Luo, Y.; Chen, L.-Q.; Zhang, M.-L.; Du, Z.-Y. Seeking the best alternatives: A systematic review and meta-analysis on replacing fishmeal with plant protein sources in carnivorous fish species. Rev. Aquacult. 2024, 16, 1099–1126. [Google Scholar] [CrossRef]
- Colombo, S.M.; Roy, K.; Mraz, J.; Wan, A.H.L.; Davies, S.J.; Tibbetts, S.M.; Øverland, M.; Francis, D.S.; Rocker, M.M.; Gasco, L.; et al. Towards achieving circularity and sustainability in feeds for farmed blue foods. Rev. Aquacult. 2023, 15, 1115–1141. [Google Scholar] [CrossRef]
- Maulu, S.; Langi, S.; Hasimuna, O.J.; Missinhoun, D.; Munganga, B.P.; Hampuwo, B.M.; Gabriel, N.N.; Elsabagh, M.; Van Doan, H.; Abdul Kari, Z.; et al. Recent advances in the utilization of insects as an ingredient in aquafeeds: A review. Anim. Nutr. 2022, 11, 334–349. [Google Scholar] [CrossRef]
- Dhiman, S.; Mukherjee, G.; Kumar, A.; Krishan, B. Alternative proteins from waste streams: A circular economy roadmap for sustainable food systems. Sustain. Food Technol. 2026. [Google Scholar] [CrossRef]
- Chaklader, M.R.; Chung, W.H.; Howieson, J.; Fotedar, R.A. combination of Hermetia illucens reared on fish waste and poultry by-product meal improves sensory and physicochemical quality of farmed Barramundi filets. Front. Nutr. 2022, 8, 788064. [Google Scholar] [CrossRef]
- Donadelli, V.; Di Marco, P.; Mandich, A.; Finoia, M.G.; Cardinaletti, G.; Petochi, T.; Longobardi, A.; Tibaldi, E.; Marino, G. Effects of dietary plant protein replacement with insect and poultry by-product meals on the liver health and serum metabolites of sea bream (Sparus aurata) and sea bass (Dicentrarchus labrax). Animals 2024, 14, 241. [Google Scholar] [CrossRef]
- Pulido-Rodriguez, L.F.; Bruni, L.; Secci, G.; Moutinho, S.; Peres, H.; Petochi, T.; Marino, G.; Tibaldi, E.; Parisi, G. Growth, hepatic enzymatic activity, and quality of European seabass fed on Hermetia illucens and poultry by-product meal in a commercial farm. Animals 2024, 14, 1449. [Google Scholar] [CrossRef]
- Rimoldi, S.; Di Rosa, A.R.; Oteri, M.; Chiofalo, B.; Hasan, I.; Saroglia, M.; Terova, G. The impact of diets containing Hermetia illucens meal on the growth, intestinal health, and microbiota of gilthead seabream (Sparus aurata). Fish. Physiol. Biochem. 2024, 50, 1003–1024. [Google Scholar] [CrossRef] [PubMed]
- Bušelić, I.; Trumbić, Ž.; Hrabar, J.; Lepen-Pleić, I.; Šegvić-Bubić, T.; Kaitetzidou, E.; Tibaldi, E.; Bočina, I.; Grubišić, L.; Sarropoulou, E. Unravelling the intricate language of fish guts: Impact of plant-based vs. plant-insect-poultry-based diets on intestinal pathways in European seabass. Aquaculture 2025, 594, 741385. [Google Scholar] [CrossRef]
- FAO. Global Aquaculture Production Quantity (1950–2023); FAO: Rome, Italy, 2025; Available online: https://www.fao.org/fishery/statistics-query/en/aquaculture/aquaculture_quantity (accessed on 19 December 2025).
- Karapanagiotidis, I.T.; Psofakis, P.; Mente, E.; Malandrakis, E.; Golomazou, E. Effect of fishmeal replacement by poultry by-product meal on growth performance, proximate composition, digestive enzyme activity, haematological parameters and gene expression of gilthead sea bream (Sparus aurata). Aquac. Nutr. 2019, 25, 3–14. [Google Scholar] [CrossRef]
- Pulido-Rodriguez, L.; Secci, G.; Maricchiolo, G.; Gasco, L.; Gai, F.; Serra, A.; Conte, G.; Parisi, G. Effect of dietary black soldier fly larvae meal on fatty acid composition of lipids and sn-2 position of triglycerides of marketable size gilthead sea bream fillets. Aquaculture 2022, 546, 737351. [Google Scholar] [CrossRef]
- Rimoldi, S.; Di Rosa, A.R.; Armone, R.; Chiofalo, B.; Hasan, I.; Saroglia, M.; Kalemi, V.; Terova, G. The replacement of fish meal with poultry by-product meal and insect exuviae: Effects on growth performance, gut health and microbiota of the European seabass, Dicentrarchus labrax. Microorganisms 2024, 12, 744. [Google Scholar] [CrossRef] [PubMed]
- Basili, M.; Randazzo, B.; Caccamo, L.; Guicciardi, S.; Meola, M.; Perdichizzi, A.; Quero, G.M.; Maricchiolo, G. Effect of graded inclusion of black soldier fly (Hermetia illucens, Linnaeus, 1758) pre-pupae meal in diets for gilthead seabream (Sparus aurata, Linnaeus, 1758) on gut microbiome and liver morphology. Fish Physiol. Biochem. 2025, 51, 85. [Google Scholar] [CrossRef]
- Fernandes, A.M.; Calduch-Giner, J.À.; Pereira, G.V.; Gonçalves, A.T.; Dias, J.; Johansen, J.; Silva, T.; Naya-Català, F.; Piazzon, C.; Sitjà-Bobadilla, A.; et al. Sustainable fish meal-free diets for gilthead sea bream (Sparus aurata): Integrated biomarker response to assess the effects on growth performance, lipid metabolism, antioxidant defense and immunological status. Animals 2024, 14, 2166. [Google Scholar] [CrossRef] [PubMed]
- Pulido-Rodriguez, L.F.; Cardinaletti, G.; Secci, G.; Randazzo, B.; Bruni, L.; Cerri, R.; Olivotto, I.; Tibaldi, E.; Parisi, G. Appetite regulation, growth performances and fish quality are modulated by alternative dietary protein ingredients in gilthead sea bream (Sparus aurata) culture. Animals 2021, 11, 1919. [Google Scholar] [CrossRef]
- Randazzo, B.; Zarantoniello, M.; Cardinaletti, G.; Cerri, R.; Giorgini, E.; Belloni, A.; Contò, M.; Tibaldi, E.; Olivotto, I. Hermetia illucens and poultry by-product meals as alternatives to plant protein sources in gilthead sea bream (Sparus aurata) diet: A multidisciplinary study on fish gut status. Animals 2021, 11, 677. [Google Scholar] [CrossRef]
- Šegvić-Bubić, T.; Zrnčić, S.; Tibaldi, E.; Pleadin, J.; Oraić, D.; Balenović, I.; Lešić, T.; Kudumija, N.; Cvitić, I.; Zupičić, I.G.; et al. Commercial sea cage farming assessment of sustainable diets on growth performance and fillet quality of gilthead sea bream and European sea bass. Future Foods 2025, 12, 100747. [Google Scholar] [CrossRef]
- Vergara-Rubín, V.J.; Guevara-Carrasco, V.R.; Yance-Flores, B.; Marchán-Timorán, A.; Bustamante-Gonzales, P. Substituting fishmeal with poultry by-product meal enhances economic efficiency in rainbow trout (Oncorhynchus mykiss) farming. Animals 2025, 15, 2723. [Google Scholar] [CrossRef]
- Commission Regulation (EU) 56/2013 of 16 January 2013 amending Annexes I and IV to Regulation (EC) No 999/2001 of the European Parliament and of the Council laying down rules for the prevention, control and eradication of certain transmissible spongiform encephalopathies. Off. J. Eur. Union 2013, L 21, 3–16.
- Commission Regulation (EU) 2017/893 of 24 May 2017 amending Annexes I and IV to Regulation (EC) No 999/2001 of the European Parliament and of the Council and Annexes X, XIV and XV to Commission Regulation (EU) No 142/2011 as regards the provisions on processed animal protein. Off. J. Eur. Union 2017, L 138, 92–116.
- Commission Regulation (EU) 2021/1372 of 17 August 2021 amending Annex IV to Regulation (EC) No 999/2001 of the European Parliament and of the Council as regards the prohibition to feed non-ruminant farmed animals, other than fur animals, with protein derived from animals. Off. J. Eur. Union 2021, L 295, 1–17.
- Føre, M.; Alver, M.O.; Alfredsen, J.A.; Senneset, G.; Espmark, Å.; Terjesen, B.F. Modelling how the physical scale of experimental tanks affects salmon growth performance. Aquaculture 2018, 495, 731–737. [Google Scholar] [CrossRef]
- Benedito-Palos, L.; Navarro, J.C.; Bermejo-Nogales, A.; Saera-Vila, A.; Kaushik, S.; Pérez-Sánchez, J. The time course of fish oil wash-out follows a simple dilution model in gilthead sea bream (Sparus aurata L.) fed graded levels of vegetable oils. Aquaculture 2009, 288, 98–105. [Google Scholar] [CrossRef]
- Fountoulaki, E.; Vasilaki, A.; Hurtado, R.; Grigorakis, K.; Karacostas, I.; Nengas, I.; Rigos, G.; Kotzamanis, Y.; Venou, B.; Alexis, M.N. Fish oil substitution by vegetable oils in commercial diets for gilthead sea bream (Sparus aurata L.); effects on growth performance, flesh quality and fillet fatty acid profile: Recovery of fatty acid profiles by a fish oil finishing diet under fluctuating water temperatures. Aquaculture 2009, 289, 317–326. [Google Scholar] [CrossRef]
- Topic Popovic, N.; Strunjak-Perovic, I.; Coz-Rakovac, R.; Barisic, J.; Jadan, M.; Persin Berakovic, A.; Sauerborn Klobucar, R. Tricaine Methane-Sulfonate (MS-222) application in fish anaesthesia. J. Appl. Ichthyol. 2012, 28, 553–564. [Google Scholar] [CrossRef]
- Di Marco, P.; Petochi, T.; Marino, G.; Priori, A.; Finoia, M.G.; Tomassetti, P.; Porrello, S.; Giorgi, G.; Lupi, P.; Bonelli, A.; et al. Insights into organic farming of European sea bass Dicentrarchus labrax and gilthead sea bream Sparus aurata through the assessment of environmental impact, growth performance, fish welfare and product quality. Aquaculture 2017, 471, 92–105. [Google Scholar] [CrossRef]
- Person-Le Ruyet, J.; Le Bayon, N. Effects of temperature, stocking density and farming conditions on fin damage in European sea bass (Dicentrarchus labrax). Aquat. Living Resour. 2009, 22, 349–362. [Google Scholar] [CrossRef]
- Commission Regulation (EU) 2023/915 of 25 April 2023 on maximum levels for certain contaminants in food and repealing Regulation (EC) No 1881/2006. Off. J. Eur. Union 2023, L 119, 103–157.
- Commission Regulation (EC) No 2073/2005 of 15 November 2005 on microbiological criteria for foodstuffs. Off. J. Eur. Union 2005, L 338, 1–26.
- Standing Committee for Relations between the State, the Regions and the Autonomous Provinces of Trento and Bolzano. Implementation Guidelines on the Application of Regulation (EC) No 2073/2005, as Amended, on Microbiological Criteria for Foodstuffs (Rep. Atti 41/CSR); Standing Committee for Relations between the State, the Regions and the Autonomous Provinces of Trento and Bolzano: Rome, Italy, 3 March 2016. [Google Scholar]
- CIE. Official Recommendations on Uniform Colour Space, Colour Difference Equations and Metric Colour Terms; CIE Publication No. 15; CIE Publication: Vienna, Austria, 1976. [Google Scholar]
- Iaconisi, V.; Bonelli, A.; Pupino, R.; Gai, F.; Parisi, G. Mealworm as dietary protein source for rainbow trout: Body and fillet quality traits. Aquaculture 2018, 484, 197–204. [Google Scholar] [CrossRef]
- AOAC. Official Methods of Analysis of AOAC International, 19th ed.; Latimer, G.W., Jr., Ed.; AOAC: Gaithersburg, MD, USA, 2012. [Google Scholar]
- Folch, J.; Lees, M.; Sloane Stanley, G.H. A simple method for the isolation and purification of total lipids from animal tissues. J. Biol. Chem. 1957, 226, 497–509. [Google Scholar] [CrossRef] [PubMed]
- Morrison, W.R.; Smith, L.M. Preparation of fatty acid methyl esters and dimethylacetals from lipids. J. Lipid Res. 1964, 5, 600–608. [Google Scholar] [CrossRef]
- Secci, G.; Mancini, S.; Iaconisi, V.; Gasco, L.; Basto, A.; Parisi, G. Can the inclusion of black soldier fly (Hermetia illucens) in diet affect the flesh quality/nutritional traits of rainbow trout (Oncorhynchus mykiss) after freezing and cooking? Int. J. Food Sci. Nutr. 2019, 70, 161–171. [Google Scholar] [CrossRef]
- Srinivasan, S.; Xiong, Y.L.; Decker, E.A. Inhibition of protein and lipid oxidation in beef heart surimi-like material by antioxidants and combinations of pH, NaCl, and buffer type in the washing media. J. Agric. Food Chem. 1996, 44, 119–125. [Google Scholar] [CrossRef]
- Vyncke, W. Direct Determination of the thiobarbituric acid value in trichloracetic acid extracts of fish as a measure of oxidative rancidity. Fette Seifen Anstrichm. 1970, 72, 1084–1087. [Google Scholar] [CrossRef]
- Bruni, L.; Belghit, I.; Lock, E.J.; Secci, G.; Taiti, C.; Parisi, G. Total replacement of dietary fish meal with black soldier fly (Hermetia illucens) larvae does not impair physical, chemical or volatile composition of farmed Atlantic salmon (Salmo salar L.). J. Sci. Food Agric. 2020, 100, 1038–1047. [Google Scholar] [CrossRef]
- SAS. SAS/STAT 9.3 User’s Guide. User’s Guide; SAS Institute Inc.: Cary, NC, USA, 2011. [Google Scholar]
- Luthada-Raswiswi, R.; Mukaratirwa, S.; O’Brien, G. Animal protein sources as a substitute for fishmeal in aquaculture diets: A systematic review and meta-analysis. Appl. Sci. 2021, 11, 3854. [Google Scholar] [CrossRef]
- Fantatto, R.R.; Mota, J.; Ligeiro, C.; Vieira, I.; Guilgur, L.G.; Santos, M.; Murta, D. Exploring sustainable alternatives in aquaculture feeding: The role of insects. Aquac. Rep. 2024, 37, 102228. [Google Scholar] [CrossRef]
- Oliva-Teles, A. Nutrition and health of aquaculture fish. J. Fish Dis. 2012, 35, 83–108. [Google Scholar] [CrossRef] [PubMed]
- Pietsch, C. Editorial: Fish welfare in aquaculture and research—Where are we going? Animals 2025, 15, 2367. [Google Scholar] [CrossRef]
- EC; European Commission. Communication from the Commission to the European Parliament, the Council, the European Economic and Social Committee and the Committee of the Regions. Strategic Guidelines for a More Sustainable and Competitive EU Aquaculture for the Period 2021 to 2030. COM (2021) 236 Final; EC, European Commission: Brussels, Belgium, 2021.
- AAC, Aquaculture Advisory Council. Code of Good Practices on Fish Welfare Among Aquaculture Producers; AAC 2024-5; AAC: Brussels, Belgium, 2024; 17p. [Google Scholar]
- Aragão, C.; Gonçalves, A.T.; Costas, B.; Azeredo, R.; Xavier, M.J.; Engrola, S. Alternative proteins for fish diets: Implications beyond growth. Animals 2022, 12, 1211. [Google Scholar] [CrossRef]
- Porcino, N.; Genovese, L. Review on alternative meals for gilthead seabream, Sparus aurata. Aquac. Res. 2022, 53, 2109–2145. [Google Scholar] [CrossRef]
- Noble, C.; Gismervik, K.; Iversen, M.H.; Kolarevic, J.; Nilsson, J.; Stien, L.H.; Turnbull, J.F. (Eds.) Welfare Indicators for Farmed Atlantic Salmon: Tools for Assessing Fish Welfare; Nofima: Tromsø, Norway, 2018; 351p, ISBN 978-82-8296-556-9. [Google Scholar]
- Petochi, T.; Cardia, F.; Massaccesi, C.; Marino, G. ThePerformFISH Welfare Scoring Tool for Farmed Sea Bass and Sea Bream. In Proceedings of the 2023 IEEE International Workshop on Measurements and Applications in Veterinary and Animal Sciences, Naples, Italy, 26–28 April 2023; ISBN 979-8-3503-3461-6. [Google Scholar]
- Arechavala López, P.; Bassett, D.; Llorente Manzanares, M.; Pacchiarini, T.; Xandri Royo, P.M. Code of Good Practices on Fish welfare and Fish Welfare Indicators; Publications Office of the European Union: Luxembourg, 2025. [Google Scholar] [CrossRef]
- Bordignon, F.; Ferrarese, L.; Solimeo, A.; Di Leva, V.; Trocino, A. Animal-based measures for operational welfare indicators at wholesale level in gilthead seabream (Sparus aurata) reared in the Mediterranean Sea. Aquaculture 2025, 603, 742417. [Google Scholar] [CrossRef]
- Di Rosa, A.R.; Caccamo, L.; Pansera, L.; Oteri, M.; Chiofalo, B.; Maricchiolo, G. Influence of Hermetia illucens larvae meal dietary inclusion on growth performance, gut histological traits and stress parameters in Sparus aurata. Animals 2023, 13, 339. [Google Scholar] [CrossRef] [PubMed]
- Busti, S.; Bonaldo, A.; Candela, M.; Scicchitano, D.; Trapella, G.; Brambilla, F.; Guidou, C.; Trespeuch, C.; Sirri, F.; Dondi, F.; et al. Hermetia illucens larvae meal as an alternative protein source in practical diets for gilthead sea bream (Sparus aurata): A study on growth, plasma biochemistry and gut microbiota. Aquaculture 2024, 578, 740093. [Google Scholar] [CrossRef]
- Pleić, I.L.; Bušelić, I.; Messina, M.; Hrabar, J.; Žuvić, L.; Talijančić, I.; Žužul, I.; Pavelin, T.; Anđelić, I.; Pleadin, J.; et al. A plant-based diet supplemented with Hermetia illucens alone or in combination with poultry by-product meal: One step closer to sustainable aquafeeds for European seabass. J. Anim. Sci. Biotechnol. 2022, 13, 77. [Google Scholar] [CrossRef]
- Mastoraki, M.; Panteli, N.; Kotzamanis, Y.P.; Gasco, L.; Antonopoulou, E.; Chatzifotis, S. Nutrient digestibility of diets containing five different insect meals in gilthead sea bream (Sparus aurata) and European sea bass (Dicentrarchus labrax). Anim. Feed Sci. Technol. 2022, 292, 115425. [Google Scholar] [CrossRef]
- Bjerkås, E.; Breck, O.; Waagbo, R. The Role of Nutrition in Cataract Formation in Farmed Fish; CABI: Wallingford, UK, 2006; 16p. [Google Scholar]
- Ellis, T.; Oidtmann, B.; St-Hilaire, S.; Turnbull, J.F.; North, B.P.; MacIntyre, C.M.; Nikolaidis, J.; Hoyle, I.; Kestin, S.C.; Knowles, T.G. Fin Erosion in Farmed Fish; Branson, E.G., Ed.; Fish Welfare; Wiley-Blackwell: Oxford, UK, 2008; pp. 121–149. [Google Scholar]
- Rodger, H.D.; Henry, L.; Mitchell, S.O. Non-infectious gill disorders of marine salmonid fish. Rev. Fish Biol. Fish. 2011, 21, 423–440. [Google Scholar] [CrossRef]
- McLean, E.; Campbell, K.B.; Kuhn, D.D.; Tlusty, M.F.; Barrows, F.T. The impact of marine resources-free diets on quality attributes of Atlantic salmon. Fishes 2024, 9, 37. [Google Scholar] [CrossRef]
- Mozes, N.; Papandroulakis, N.; Vergara, J.M.; Biswas, A.; Takii, K.; Ntatsopoulos, A. Production System; Pavlidis, M.A., Mylonas, C.C., Eds.; Sparidae. Biology and Aquaculture of Gilthead Sea Bream and Other Species; Wiley-Blackwell: Oxford, UK, 2011; pp. 169–198. [Google Scholar]
- Pettersen, J.M.; Bracke, M.B.M.; Midtlyng, P.J.; Folkedal, O.; Stien, L.H.; Steffenak, H.; Kristiansen, T.S. Salmon welfare index model 2.0: An extended model for overall welfare assessment of caged Atlantic salmon, based on a review of selected welfare indicators and intended for fish health professionals. Rev. Aquacult. 2014, 6, 162–179. [Google Scholar] [CrossRef]
- Bruslé, J.; Gonzàlez i Anadon, G. The Structure and Function of Fish Liver. In Fish Morphology; Datta Munshi, J.S., Dutta, H.M., Eds.; Routledge: London, UK, 2017; pp. 95–111. ISBN 978-0-203-75599-0. [Google Scholar]
- Eliasen, K.; Patursson, E.J.; McAdam, B.J.; Pino, E.; Morro, B.; Betancor, M.; Baily, J.; Rey, S. Liver colour scoring index, carotenoids and lipid content assessment as a proxy for lumpfish (Cyclopterus lumpus L.) health and welfare condition. Sci. Rep. 2020, 10, 8927. [Google Scholar] [CrossRef]
- Roberts, R.J. Nutritional Pathology. In Fish Nutrition, 4th ed.; Hardy, R.W., Kaushik, S.J., Eds.; Academic Press: London, UK, 2022; pp. 823–855. ISBN 978-0-12-819587-1. [Google Scholar]
- Villasante, A.; Figueroa, E.; Godoy, K.; Dantagnan, P.; López-Polo, J.; Opazo, R.; Romero, J. Impact of plant-based diets on hepatosomatic index, circulating globulins and growth in rainbow trout (Oncorhynchus mykiss). Fishes 2025, 10, 110. [Google Scholar] [CrossRef]
- Anedda, R.; Melis, R.; Palomba, A.; Vitangeli, I.; Biosa, G.; Braca, A.; Antonini, M.; Moroni, F.; Rimoldi, S.; Terova, G.; et al. Balanced replacement of fish meal with Hermetia illucens meal allows efficient hepatic nutrient metabolism and increases fillet lipid quality in gilthead sea bream (Sparus aurata). Aquaculture 2023, 576, 739862. [Google Scholar] [CrossRef]
- Trocino, A.; Xiccato, G.; Majolini, D.; Tazzoli, M.; Tulli, F.; Tibaldi, E.; Messina, C.M.; Santulli, A. Levels of dioxin-like polychlorinated biphenyls (DL-PCBs) and metals in European sea bass from fish farms in Italy. Food Chem. 2012, 134, 333–338. [Google Scholar] [CrossRef]
- Álvarez, A.; Fontanillas, R.; Hernández-Contreras, A.; Hernández, M.D. Partial replacement of fish oil with vegetal oils in commercial diets: The effect on the quality of gilthead sea bream (Sparus aurata). Anim. Feed. Sci. Technol. 2020, 265, 114504. [Google Scholar] [CrossRef]
- Busti, S.; Magnani, M.; Badiani, A.; Silvi, M.; Baldi, G.; Soglia, F.; Petracci, M.; Sirri, F.; Gasco, L.; Brambilla, F.; et al. Effect of different inclusion levels of defatted Hermetia illucens larvae meal on fillet quality of gilthead sea bream (Sparus aurata). J. Insects Food Feed 2023, 9, 1615–1629. [Google Scholar] [CrossRef]
- Bruni, L.; Secci, G.; Husein, Y.; Faccenda, F.; de Medeiros, A.C.L.; Parisi, G. Is it possible to cut down fishmeal and soybean meal use in aquafeed limiting the negative effects on rainbow trout (Oncorhynchus mykiss) fillet quality and consumer acceptance? Aquaculture 2021, 543, 736996. [Google Scholar] [CrossRef]
- Castro, P.L.; Caballero, M.J.; Ginés, R.; Penedo, J.C.; Montero, D.; Lastilla, M.T.; Izquierdo, M. Linseed oil inclusion in sea bream diets: Effect on muscle quality and shelf life. Aquac. Res. 2015, 46, 75–85. [Google Scholar] [CrossRef]
- Pereira da Costa, D.; Campos Miranda-Filho, K. The use of carotenoid pigments as food additives for aquatic organisms and their functional roles. Rev. Aquacult. 2020, 12, 1567–1578. [Google Scholar] [CrossRef]
- Matos, E.; Gonçalves, A.; Bandarra, N.; Colen, R.; Nunes, M.L.; Valente, L.M.P.; Dinis, M.T.; Dias, J. Plant proteins and vegetable oil do not have detrimental effects on post-mortem muscle instrumental texture, sensory properties and nutritional value of gilthead seabream. Aquaculture 2012, 358, 205–212. [Google Scholar] [CrossRef]
- Pulcini, D.; Capoccioni, F.; Franceschini, S.; Martinoli, M.; Tibaldi, E. Skin pigmentation in gilthead sea bream (Sparus aurata) fed conventional and novel protein sources in diets deprived of fish meal. Animals 2020, 10, 2138. [Google Scholar] [CrossRef]
- Pelusio, N.F.; Scicchitano, D.; Parma, L.; Dondi, F.; Brini, E.; D’Amico, F.; Candela, M.; Yúfera, M.; Gilannejad, N.; Moyano, F.J.; et al. Interaction between dietary lipid level and seasonal temperature changes in gilthead sea bream Sparus aurata: Effects on growth, fat deposition, plasma biochemistry, digestive enzyme activity, and gut bacterial community. Front. Mar. Sci. 2021, 8, 664701. [Google Scholar] [CrossRef]
- Abdel-Tawwab, M.; Khalil, R.H.; Metwally, A.A.; Shakweer, M.S.; Khallaf, M.A.; Abdel-Latif, H.M. Effects of black soldier fly (Hermetia illucens L.) larvae meal on growth performance, organs-somatic indices, body composition, and hemato-biochemical variables of European sea bass, Dicentrarchus labrax. Aquaculture 2020, 522, 735136. [Google Scholar] [CrossRef]
- Gu, X.; Ding, Z.L.; Yuan, Z.Z.; Yang, S.; Fei, H. Recent developments and applications of vegetable oil in fish feed. Eur. J. Lipid Sci. Technol. 2025, 127, e202300235. [Google Scholar] [CrossRef]
- Tocher, D.R. Omega-3 long-chain polyunsaturated fatty acids and aquaculture in perspective. Aquaculture 2015, 449, 94–107. [Google Scholar] [CrossRef]
- Abraha, B.; Admassu, H.; Mahmud, A.; Tsighe, N.; Shui, X.W.; Fang, Y. Effect of processing methods on nutritional and physico-chemical composition of fish: A review. MOJ Food Process. Technol. 2018, 66, 376–382. [Google Scholar] [CrossRef]
- Melis, R.; Vitangeli, I.; Anedda, R. Effect of fish diet and cooking mode on the composition and microstructure of ready-to-eat fish fillets of gilthead sea bream (Sparus aurata) juveniles. J. Food Compos. Anal. 2022, 114, 104847. [Google Scholar] [CrossRef]
- Wang, K.; Lin, X.; Zhao, W.; Fan, X.; Yu, W.; Ma, Z.; Yu, C.; Dong, X. Low-temperature steaming improves eating quality of whitefish. J. Texture Stud. 2020, 51, 830–840. [Google Scholar] [CrossRef]
- Conchillo, A.; Ansorena, D.; Astiasarán, I. The effect of cooking and storage on the fatty acid profile of chicken breast. Eur. J. Lipid Sci. Technol. 2004, 106, 301–306. [Google Scholar] [CrossRef]
- Pankyamma, V.; Madhusudana Rao, B.; Debbarma, J.; Pallela Panduranga Naga, V. Physicochemical, microstructural, and microbial qualities of dehydrated Tuna chunks: Effects of microwave power and drying methods. J. Food Process. Preserv. 2021, 45, e15426. [Google Scholar] [CrossRef]
- Zhang, H.; Zhao, H.; Zhang, Y.; Shen, Y.; Su, H.; Jin, J.; Jin, Q.; Wang, X. Characterization of positional distribution of fatty acids and triacylglycerol molecular compositions of marine fish oils rich in Omega-3 polyunsaturated fatty acids. Biomed. Res. Int. 2018, 1, 3529682. [Google Scholar] [CrossRef] [PubMed]
- Shaviklo, A.R. The influence of insect-derived and marine-based diets on sensory quality of poultry meat and egg: A systematic review. J. Food Sci. Technol. 2023, 60, 1903–1922. [Google Scholar] [CrossRef]






| COM | H10P30 | |
|---|---|---|
| Chemical composition | ||
| Crude protein | 45.0 | 45.0 |
| Total lipids | 18.0 | 19.4 |
| Fibre | 1.6 | 1.8 |
| Ash | 9.0 | 8.0 |
| Calcium | 1.8 | 1.7 |
| Phosphor | 1.2 | 1.1 |
| Sodium | 0.4 | 0.2 |
| Fatty acids | ||
| C14:0 | 1.3 ± 0.1 | 4.0 ± 0.4 |
| C16:0 | 14.8 ± 0.5 | 14.8 ± 0.4 |
| C18:0 | 4.7 ± 0.0 | 3.8 ± 0.1 |
| ∑ SFAs 1 | 22.2 ± 0.7 | 26.4 ± 1.1 |
| C16:1n-7 | 2.0 ± 0.2 | 4.3 ± 0.2 |
| C18:1n-9 | 26.7 ± 0.5 | 30.2 ± 0.8 |
| ∑ MUFAs | 33.2 ± 0.4 | 41.8 ± 0.8 |
| C18:2n-6 | 32.6 ± 0.5 | 14.3 ± 0.7 |
| ∑ n-6 PUFAs | 33.8 ± 0.5 | 15.7 ± 1.2 |
| C18:3n-3 | 5.3 ± 0.0 | 3.4 ± 0.0 |
| C20:5n-3 | 1.2 ± 0.0 | 4.7 ± 0.0 |
| C22:6n-3 | 3.2 ± 0.0 | 5.2 ± 0.1 |
| ∑ n-3 PUFAs | 10.6 ± 0.2 | 15.1 ± 0.7 |
| COM | H10P30 | |
|---|---|---|
| Total Length (cm) | 29.0 ± 1.5 b | 29.5 ± 1.7 a |
| Body Weight (g) | 397.8 ± 57.4 b | 425.9 ± 74.9 a |
| Condition Factor (K) | 1.62 ± 0.1 | 1.65 ± 0.1 |
| Hepatosomatic Index (HSI) | 1.65 ± 0.3 | 1.59 ± 0.3 |
| Specific Growth Rate (SGR) | 0.58 ± 0.2 b | 0.70 ± 0.2 a |
| Feed Intake (FI) | 11.6 | 11.4 |
| Feed Conversion Ratio (FCR) | 1.97 | 1.75 |
| Mortality (%) | 1.9 | 1.4 |
| Diet, D | Thermal Treatment, T | p-Value 1 | RMSE 2 | |||||
|---|---|---|---|---|---|---|---|---|
| COM | H10P30 | Raw | Cooked | D | T | D × T | ||
| L* 3 | 64.26 | 64.74 | 47.27 | 81.73 | ns | <0.0001 | ns | 1.77 |
| a* | −0.33 | −0.37 | −0.24 | −0.45 | ns | ns | ns | 0.76 |
| b* | 4.30 | 3.99 | −0.61 | 8.90 | ns | <0.0001 | ns | 0.88 |
| Shear force | 52.15 | 52.74 | 73.91 | 30.98 | ns | <0.0001 | ns | 9.43 |
| Diet, D | Thermal Treatment, T | p-Value 1 | RMSE 2 | |||||
|---|---|---|---|---|---|---|---|---|
| COM | H10P30 | Raw | Cooked | D | T | D × T | ||
| Moisture | 66.97 | 65.57 | 68.53 | 64.01 | 0.01 | <0.0001 | ns | 1.57 |
| Total lipids | 9.69 | 9.59 | 9.18 | 10.10 | ns | ns | ns | 2.01 |
| C12:0 | 2.55 | 30.69 | 15.80 | 17.44 | <0.0001 | ns | ns | 6.63 |
| C14:0 | 67.03 | 118.24 | 87.91 | 97.36 | <0.0001 | ns | ns | 24.77 |
| C16:0 | 711.29 | 716.04 | 668.58 | 758.75 | ns | ns | ns | 172.93 |
| C16:1n-7 | 142.94 | 193.68 | 158.21 | 178.41 | 0.001 | ns | ns | 43.64 |
| C18:0 | 191.63 | 164.38 | 166.42 | 189.59 | ns | ns | ns | 43.83 |
| C18:1n-7 | 99.97 | 118.98 | 103.48 | 115.47 | 0.03 | ns | ns | 26.52 |
| C18:1n-9 | 1189.70 | 1358.74 | 1197.91 | 1350.54 | ns | ns | ns | 316.95 |
| C18:2n-6 | 1180.56 | 890.83 | 970.91 | 1100.47 | 0.001 | ns | ns | 240.86 |
| C18:3n-3 | 154.31 | 137.46 | 137.40 | 154.37 | ns | ns | ns | 34.37 |
| C20:1n-9 | 46.02 | 68.04 | 53.53 | 60.52 | <0.0001 | ns | ns | 15.14 |
| C20:5n-3 | 49.48 | 102.39 | 71.46 | 80.42 | <0.0001 | ns | ns | 21.94 |
| C22:5n-3 | 32.04 | 54.95 | 40.55 | 46.44 | <0.0001 | ns | ns | 11.00 |
| C22:6n-3 | 178.08 | 217.87 | 183.33 | 212.62 | 0.01 | 0.05 | ns | 46.10 |
| ∑SFAs 3 | 1013.28 | 1073.28 | 977.68 | 1108.89 | ns | ns | ns | 253.54 |
| ∑MUFAs | 1546.53 | 1822.78 | 1582.42 | 1786.89 | 0.04 | ns | ns | 419.40 |
| ∑n-3PUFAs | 451.02 | 562.32 | 474.12 | 539.22 | 0.01 | ns | ns | 121.11 |
| ∑n-6PUFAs | 1266.55 | 960.65 | 1043.55 | 1183.65 | 0.001 | ns | ns | 260.85 |
| Diet, D | Thermal Treatment, T | p-Value 1 | RMSE 2 | |||||
|---|---|---|---|---|---|---|---|---|
| COM | H10P30 | Raw | Cooked | D | T | D × T | ||
| CD | 0.21 | 0.23 | 0.21 | 0.23 | ns | ns | ns | 0.05 |
| TBARS | 0.15 | 0.12 | 0.05 | 0.22 | ns | <0.0001 | ns | 0.12 |
Disclaimer/Publisher’s Note: The statements, opinions and data contained in all publications are solely those of the individual author(s) and contributor(s) and not of MDPI and/or the editor(s). MDPI and/or the editor(s) disclaim responsibility for any injury to people or property resulting from any ideas, methods, instructions or products referred to in the content. |
© 2026 by the authors. Licensee MDPI, Basel, Switzerland. This article is an open access article distributed under the terms and conditions of the Creative Commons Attribution (CC BY) license.
Share and Cite
Pulido-Rodríguez, L.F.; Petochi, T.; Secci, G.; Lira de Medeiros, A.C.; Donadelli, V.; Di Marco, P.; Di Giacinto, F.; Marino, G.; Longobardi, A.; Capoccioni, F.; et al. Commercial-Scale Evaluation of Finishing Diet Containing Poultry By-Product and Insect Meals for Sparus aurata: From Fish Welfare to Consumer Acceptance. Sustainability 2026, 18, 3235. https://doi.org/10.3390/su18073235
Pulido-Rodríguez LF, Petochi T, Secci G, Lira de Medeiros AC, Donadelli V, Di Marco P, Di Giacinto F, Marino G, Longobardi A, Capoccioni F, et al. Commercial-Scale Evaluation of Finishing Diet Containing Poultry By-Product and Insect Meals for Sparus aurata: From Fish Welfare to Consumer Acceptance. Sustainability. 2026; 18(7):3235. https://doi.org/10.3390/su18073235
Chicago/Turabian StylePulido-Rodríguez, Lina Fernanda, Tommaso Petochi, Giulia Secci, Adja Cristina Lira de Medeiros, Valeria Donadelli, Patrizia Di Marco, Federica Di Giacinto, Giovanna Marino, Alessandro Longobardi, Fabrizio Capoccioni, and et al. 2026. "Commercial-Scale Evaluation of Finishing Diet Containing Poultry By-Product and Insect Meals for Sparus aurata: From Fish Welfare to Consumer Acceptance" Sustainability 18, no. 7: 3235. https://doi.org/10.3390/su18073235
APA StylePulido-Rodríguez, L. F., Petochi, T., Secci, G., Lira de Medeiros, A. C., Donadelli, V., Di Marco, P., Di Giacinto, F., Marino, G., Longobardi, A., Capoccioni, F., Di Marzio, V., Pomilio, F., Cardinaletti, G., & Parisi, G. (2026). Commercial-Scale Evaluation of Finishing Diet Containing Poultry By-Product and Insect Meals for Sparus aurata: From Fish Welfare to Consumer Acceptance. Sustainability, 18(7), 3235. https://doi.org/10.3390/su18073235

