Biogas Production and Fundamental Mass Transfer Mechanism in Anaerobic Granular Sludge
Abstract
1. Introduction
2. Materials and Methods
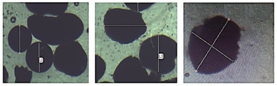
2.1. Morphology of the Granule
2.2. Micro Reactor Experiment for Biogas Production
2.3. Mass Transfer Analysis
- The selected granules were spherical in shape. This was also verified under microscopic experiment.
- The granules had a homogeneous biofilm of uniform thickness.
- The synthetic feed was entirely mixed and had uniform concentration throughout the reactor.
- The mass transfer within the granules would be the rate limiting step rather than external mass transfer. As the granules were porous, the pore network within granule facilitated the mass transfer occurring in the liquid–liquid phase. The granules pore size ranged in nanometers, thus, substrate in molecular level can reach the granule core [27].
- The substrate solution during the experiment was immobile so molecular diffusion was the primary factor responsible for the mass transfer. The advective transport cannot be neglected but in this study due to very low fluid flow (flow caused when bubbles detached from the granule) its role was not significant [12].
3. Results and Discussion
3.1. Morphology of the Granule
3.2. Weight of the Granule
3.3. Biogas Production Process in an Anaerobic Granule
3.4. Single Granule under the Same COD Level
3.5. Biogas Production of Different Granules under the Same COD Level
3.6. Biogas Production of a Single Granule under Different COD Levels
3.7. Mass Transfer Rate
4. Conclusions
Author Contributions
Funding
Conflicts of Interest
References
- Mengistu, M.G.; Simane, B.; Eshete, G.; Workneh, T.S. Factors affecting households’ decisions in biogas technology adoption, the case of Ofla and Mecha Districts, northern Ethiopia. Renew. Energy 2016, 93, 215–227. [Google Scholar] [CrossRef]
- Huang, W. An Integrated Biomass Production and Conversion Process for Sustainable Bioenergy. Sustainability 2015, 7, 522–536. [Google Scholar] [CrossRef]
- Show, K.Y.; Zhang, Z.P.; Tay, J.H.; Liang, D.T.; Lee, D.J.; Ren, N.Q.; Wang, A.J. Critical assessment of anaerobic processes for continuous biohydrogen production from organic wastewater. Int. J. Hydrog. Energy 2010, 35, 13350–13355. [Google Scholar] [CrossRef]
- Angelidaki, I.; Treu, L.; Tsapekos, P.; Luo, G.; Campanaro, S.; Wenzel, H.; Kougias, P.G. Biogas upgrading and utilization: Current status and perspectives. Biotechnol. Adv. 2018, 36, 452–466. [Google Scholar] [CrossRef] [PubMed]
- Xue, S.; Zhao, N.; Song, J.; Wang, X. Interactive Effects of Chemical Composition of Food Waste during Anaerobic Co-Digestion under Thermophilic Temperature. Sustainability 2019, 11, 2933. [Google Scholar] [CrossRef]
- Soto, M.E.; Morelos, C.S.; Torres, J.J.H. Anaerobic treatment of a medium strength industrial wastewater at low-temperature and short hydraulic retention time: A pilot-scale experience. Water Sci. Technol. 2011, 64, 1629–1635. [Google Scholar] [CrossRef]
- Van Haandel, A.; Kato, M.T.; Cavalcanti, P.F.F.; Florencio, L. Anaerobic Reactor Design Concepts for the Treatment of Domestic Wastewater. Rev. Environ. Sci. Technol. 2006, 5, 21–38. [Google Scholar] [CrossRef]
- Raboni, M.; Gavasci, R.; Urbini, G. UASB followed by Sub-Surface Horizontal Flow Phytodepuration for the Treatment of the Sewage Generated by a Small Rural Community. Sustainability 2014, 6, 6998–7012. [Google Scholar] [CrossRef]
- Roubík, H.; Mazancová, J.; Le Dinh, P.; Dinh Van, D.; Banout, J. Biogas Quality across Small-Scale Biogas Plants: A Case of Central Vietnam. Energies 2018, 11, 1794. [Google Scholar] [CrossRef]
- Rajendran, K.; Aslanzadeh, S.; Taherzadeh, M.J. Household biogas digesters—A review. Energies 2012, 5, 2911–2942. [Google Scholar] [CrossRef]
- Brown, V.J. Biogas: A bright idea for Africa. Environ. Health Perspect. 2006, 114, A300–A303. [Google Scholar] [CrossRef] [PubMed]
- Chou, H.-H.; Huang, J.-S. Role of mass transfer resistance in overall substrate removal rate in upflow anaerobic sludge bed reactors. J. Environ. Eng. 2005, 131, 548–556. [Google Scholar] [CrossRef]
- Tang, C.J.; Zheng, P.; Wang, C.H.; Mahmood, Q.; Zhang, J.Q.; Chen, X.G.; Zhang, L.; Chen, J.W. Performance of high-loaded ANAMMOX UASB reactors containing granular sludge. Water Res. 2011, 45, 135–144. [Google Scholar] [CrossRef] [PubMed]
- Sudmalis, D.; Gagliano, M.C.; Pei, R.; Grolle, K.; Plugge, C.M.; Rijnaarts, H.H.M.; Zeeman, G.; Temmink, H. Fast anaerobic sludge granulation at elevated salinity. Water Res. 2018, 128, 293–303. [Google Scholar] [CrossRef] [PubMed]
- Tsui, T.H.; Ekama, G.A.; Chen, G.H. Quantitative characterization and analysis of granule transformations: Role of intermittent gas sparging in a super high-rate anaerobic system. Water Res. 2018, 139, 177–186. [Google Scholar] [CrossRef] [PubMed]
- Zhang, X.; Zhao, B.; Meng, J.; Zhou, A.; Yue, X.; Niu, Y.; Cui, Y. Efficiency, granulation, and bacterial populations related to pollutant removal in an upflow microaerobic sludge reactor treating wastewater with low COD/TN ratio. Bioresour. Technol. 2018, 270, 147–155. [Google Scholar] [CrossRef] [PubMed]
- Castrillo, M.; Diez-Montero, R.; Esteban-Garcia, A.L.; Tejero, I. Mass transfer enhancement and improved nitrification in MABR through specific membrane configuration. Water Res. 2019, 152, 1–11. [Google Scholar] [CrossRef]
- Wang, J.; Liu, W.; Liu, T. Biofilm based attached cultivation technology for microalgal biorefineries-A review. Bioresour. Technol. 2017, 244, 1245–1253. [Google Scholar] [CrossRef]
- Ahmad, M.; Liu, S.; Mahmood, N.; Mahmood, A.; Ali, M.; Zheng, M.; Ni, J. Effects of porous carrier size on biofilm development, microbial distribution and nitrogen removal in microaerobic bioreactors. Bioresour. Technol. 2017, 234, 360–369. [Google Scholar] [CrossRef]
- Shi, Z.J.; Guo, Q.; Xu, Y.Q.; Wu, D.; Liao, S.M.; Zhang, F.Y.; Zhang, Z.Z.; Jin, R.C. Mass transfer characteristics, rheological behavior and fractal dimension of anammox granules: The roles of upflow velocity and temperature. Bioresour. Technol. 2017, 244, 117–124. [Google Scholar] [CrossRef]
- Afridi, Z.U.R.; Wu, J.; Li, Z.H.; Akand, R.; Cao, Z.P.; Poncin, S.; Li, H.Z. Novel insight of spatial mass transfer conditions of upflow anaerobic reactor. J. Clean. Prod. 2018, 204, 390–398. [Google Scholar] [CrossRef]
- Schmidt, J.E.; Ahring, B.K. Granular sludge formation in upflow anaerobic sludge blanket (UASB) reactors. Biotechnol. Bioeng. 1996, 49, 229–246. [Google Scholar] [CrossRef]
- Wu, J.; Zhang, J.; Poncin, S.; Li, H.Z.; Jiang, J.; Rehman, Z.U. Effects of rising biogas bubbles on the hydrodynamic shear conditions around anaerobic granule. Chem. Eng. J. 2015, 273, 111–119. [Google Scholar] [CrossRef]
- Altaş, L. Inhibitory effect of heavy metals on methane-producing anaerobic granular sludge. J. Hazard. Mater. 2009, 162, 1551–1556. [Google Scholar] [CrossRef]
- Wu, J.-H.; Liu, W.-T.; Tseng, I.-C.; Cheng, S.-S. Characterization of microbial consortia in a terephthalate-degrading anaerobic granular sludge system. Microbiology 2001, 147, 373–382. [Google Scholar] [CrossRef]
- Maegaard, K.; Garcia-Robledo, E.; Kofoed, M.V.W.; Agneessens, L.M.; de Jonge, N.; Nielsen, J.L.; Ottosen, L.D.M.; Nielsen, L.P.; Revsbech, N.P. Biogas upgrading with hydrogenotrophic methanogenic biofilms. Bioresour. Technol. 2019, 287, 121422. [Google Scholar] [CrossRef]
- Gonzalez-Gil, G.; Seghezzo, L.; Lettinga, G.; Kleerebezem, R. Kinetics and mass-transfer phenomena in anaerobic granular sludge. Biotechnol. Bioeng. 2001, 73, 125–134. [Google Scholar] [CrossRef]
- Del Nery, V.; Pozzi, E.; Damianovic, M.H.R.Z.; Domingues, M.R.; Zaiat, M. Granules characteristics in the vertical profile of a full-scale upflow anaerobic sludge blanket reactor treating poultry slaughterhouse wastewater. Bioresour. Technol. 2008, 99, 2018–2024. [Google Scholar] [CrossRef]
- Wu, J.; Afridi, Z.U.; Cao, Z.P.; Zhang, Z.L.; Poncin, S.; Li, H.Z.; Zuo, J.E.; Wang, K.J. Size effect of anaerobic granular sludge on biogas production: A micro scale study. Bioresour. Technol. 2016, 202, 165–171. [Google Scholar] [CrossRef]
- Van den Heuvel, J.C.; Beuling, E.E.; Van Dusschoten, D.; Roosenschoon, O.L.; Verschuren, P.G. Convective flow in methanogenic granules. Water Sci. Technol. 1997, 36, 311–316. [Google Scholar] [CrossRef]
- Russell, K.; Hobbie, B.J.R. Intermediate Physics for Medicine and Biology, 4th ed.; Springer: New York, NY, USA, 2007. [Google Scholar]
- Baloch, M.I.; Akunna, J.C.; Collier, P.J. Assessment of morphology for anaerobic-granular particles. Water Environ. Res. 2006, 78, 643–646. [Google Scholar] [CrossRef]
- Pol, L.H.; de Castro Lopes, S.; Lettinga, G.; Lens, P. Anaerobic sludge granulation. Water Res. 2004, 38, 1376–1389. [Google Scholar]
- He, Q.; Chen, L.; Zhang, S.; Chen, R.; Wang, H. Hydrodynamic shear force shaped the microbial community and function in the aerobic granular sequencing batch reactors for low carbon to nitrogen (C/N) municipal wastewater treatment. Bioresour. Technol. 2019, 271, 48–58. [Google Scholar] [CrossRef]
- Gupta, P.; Sreekrishnan, T.; Ahammad, S.Z. Role of sludge volume index in anaerobic sludge granulation in a hybrid anaerobic reactor. Chem. Eng. J. 2016, 283, 338–350. [Google Scholar] [CrossRef]
- Li, Z.H.; Zhu, Y.M.; Zhang, Y.L.; Zhang, Y.R.; He, C.B.; Yang, C.J. Characterization of aerobic granular sludge of different sizes for nitrogen and phosphorus removal. Environ. Technol. 2018. [Google Scholar] [CrossRef]
- Tassew, F.A.; Bergland, W.H.; Dinamarca, C.; Bakke, R. Settling velocity and size distribution measurement of anaerobic granular sludge using microscopic image analysis. J. Microbiol. Methods 2019, 159, 81–90. [Google Scholar] [CrossRef]
- Zhang, G.-D.; Li, M.-Z.; Xue, J.-Q.; Wang, L.; Tian, J.-L. Wall-retardation effects on particles settling through non-Newtonian fluids in parallel plates. Chem. Pap. 2016, 70, 1389–1398. [Google Scholar] [CrossRef]
- Jian, C.; Shi-yi, L. Study on mechanism of anaerobic sludge granulation in UASB reactors. Water Sci. Technol. 1993, 28, 171–178. [Google Scholar] [CrossRef]
- Odriozola, M.; López, I.; Borzacconi, L. Modeling granule development and reactor performance on anaerobic granular sludge reactors. J. Environ. Chem. Eng. 2016, 4, 1615–1628. [Google Scholar] [CrossRef]
- Etterer, T.; Wilderer, P.A. Generation and properties of aerobic granular sludge. Water Sci. Technol. 2001, 43, 19–26. [Google Scholar] [CrossRef]
- Saravanan, V.; Sreekrishnan, T.R. Hydrodynamic study of biogranules obtained from an anaerobic hybrid reactor. Biotechnol. Bioeng. 2005, 91, 715–721. [Google Scholar] [CrossRef]
- Rusanowska, P.; Cydzik-Kwiatkowska, A.; Świątczak, P.; Wojnowska-Baryła, I. Changes in extracellular polymeric substances (EPS) content and composition in aerobic granule size-fractions during reactor cycles at different organic loads. Bioresour. Technol. 2019, 272, 188–193. [Google Scholar] [CrossRef]
- Hegde, S.; Trabold, T.A. Anaerobic Digestion of Food Waste with Unconventional Co-Substrates for Stable Biogas Production at High Organic Loading Rates. Sustainability 2019, 11, 3875. [Google Scholar] [CrossRef]
- Alfa, I.M.; Dahunsi, S.O.; Iorhemen, O.T.; Okafor, C.C.; Ajayi, S.A. Comparative evaluation of biogas production from Poultry droppings, Cow dung and Lemon grass. Bioresour. Technol. 2014, 157, 270–277. [Google Scholar] [CrossRef]
- Pind, P.F.; Angelidaki, I.; Ahring, B.K. A novel in-situ sampling and VFA sensor technique for anaerobic systems. Water Sci. Technol. 2002, 45, 261–268. [Google Scholar] [CrossRef]
- Jensen, P.D.; Mehta, C.M.; Carney, C.; Batstone, D.J. Recovery of energy and nutrient resources from cattle paunch waste using temperature phased anaerobic digestion. Waste Manag. 2016, 51, 72–80. [Google Scholar] [CrossRef]
- Wang, Y.; Zhang, W.; Dong, H.; Zhu, Z.; Li, B. Performance Evaluation of a Large-Scale Swine Manure Mesophilic Biogas Plant in China. ASABE 2017, 60, 1713–1720. [Google Scholar] [CrossRef]












© 2019 by the authors. Licensee MDPI, Basel, Switzerland. This article is an open access article distributed under the terms and conditions of the Creative Commons Attribution (CC BY) license (http://creativecommons.org/licenses/by/4.0/).
Share and Cite
Afridi, Z.U.R.; Jing, W.; Younas, H. Biogas Production and Fundamental Mass Transfer Mechanism in Anaerobic Granular Sludge. Sustainability 2019, 11, 4443. https://doi.org/10.3390/su11164443
Afridi ZUR, Jing W, Younas H. Biogas Production and Fundamental Mass Transfer Mechanism in Anaerobic Granular Sludge. Sustainability. 2019; 11(16):4443. https://doi.org/10.3390/su11164443
Chicago/Turabian StyleAfridi, Zohaib Ur Rehman, Wu Jing, and Hassan Younas. 2019. "Biogas Production and Fundamental Mass Transfer Mechanism in Anaerobic Granular Sludge" Sustainability 11, no. 16: 4443. https://doi.org/10.3390/su11164443
APA StyleAfridi, Z. U. R., Jing, W., & Younas, H. (2019). Biogas Production and Fundamental Mass Transfer Mechanism in Anaerobic Granular Sludge. Sustainability, 11(16), 4443. https://doi.org/10.3390/su11164443

