Abstract
Hepatocellular carcinoma (HCC) is the most common primary liver malignancy, with increasing global incidence. Morbidity and mortality associated with HCC remains high, and HCC is the leading cause of cancer death worldwide. Early detection and treatment of HCC can increase five-year survival by over 60%. Detection of HCC remains challenging, however, as HCC arises from a variety of environmental, genetic, and viral etiologies, and it demonstrates a complex pathophysiology and displays a heterogeneous morphology. Current diagnostic methods rely on abdominal ultrasound with or without concurrent AFP biomarker testing for high-risk individuals. This review provides an overview of HCC diagnostic modalities and highlights the promising nature of translational developments in biomarkers, next generation sequencing (NGS), artificial intelligence, molecular imaging, and liquid biopsy for earlier and more accurate diagnosis of HCC. Furthermore, we identify areas for improvement that must be addressed before the widespread usage and implementation of these methods. 
    1. Introduction
According to the World Health Organization (WHO) and the Global Cancer Observatory 2020 database, primary liver cancer is the third leading cause of cancer deaths [,,] and the seventh most frequently occurring cancer in the world []. The incidence of liver cancer is highest in East and Southeast Asia and North Africa []. Overall prognosis is poor worldwide, with global age-standardized incidence and mortality at 9.5 and 8.7 per 100,000 person-years, respectively []. Hepatocellular carcinoma (HCC) makes up approximately 75% of primary liver cancers. Incidence of HCC and age are directly correlated until 75 years of age. There is a male predominance of 2-4:1 [].
HCC is often precipitated by genetic and environmental risk factors, predominantly liver cirrhosis, Hepatitis B and C viruses (HBV and HCV), excess alcohol consumption, and non-alcoholic steatohepatitis (NASH). Others include aflatoxin exposure, diabetes mellitus, tobacco use, and genetic diseases, such as hemochromatosis and Wilson’s disease []. Multiple comorbidities significantly increase an individual’s risk for HCC; for example, concomitant chronic HCV infection and excess alcohol intake can double the risk of HCC compared to infection alone []. Moreover, several studies have shown that treatment of risk factors, such as HBV and HCV, can reduce but not eliminate risk of HCC [,,].
A proposed schema for the development of HCC describes non-alcohol fatty liver disease (NAFLD) as a spectrum from steatosis to NASH to cirrhosis, each of which can independently lead to HCC []. Steatosis largely develops from diseases of metabolic syndrome, such as diabetes, which has growing prevalence. Individuals with diabetes are at an increased risk of developing HCC, independent of HBV, HCV, and alcohol consumption []. 
Life expectancy of patients with HCC varies by the stage of cancer at diagnosis. In advanced disease, patients can survive a few months, whereas, with early detection and appropriate treatment, there is a five-year survival rate of over 60% to 80% with treatment []. Earlier diagnosis broadens therapy options, including surgical resection, liver transplant, and local ablation [,].
Transplantation is an important part of the treatment for HCC, typically for earlier stages of disease. The Barcelona Clinic Liver Cancer Staging guidelines recommend transplant as an option for Stage 0-A disease with three or fewer nodules and increased portal pressure or bilirubin, as well as certain stage B disease with extended transplant criteria based on size and AFP []. For patients with concomitant cirrhosis, transplants can reduce recurrence rate and improve survival [,]. Both deceased and living donor transplants are available, although the former has a limited supply, and the latter is associated with a high relapse rate [,,]. 
2. HCC Pathophysiology
HCC is a primary liver malignancy with a complex pathophysiology. Risk factors associated with HCC result in a state of chronic liver inflammation and fibrosis, which is thought to cause HCC development. Over 80% of patients with HCC initially have cirrhosis of the liver, which is characterized by immature hepatocytes and disorganized liver histology []. These patients also often have features of dysplasia on histology in the form of foci (<1 mm) or nodules (>1 mm) []. These nodules are considered pre-malignant and are classified as low grade or high grade. The presence of stromal invasion by the nodule defines HCC, and nodules with high grade dysplasia are more likely to develop into HCC. Histologically, HCC displays heterogeneity with a range of morphology []. 
In patients with HCC, genetic mutations are common; some etiologies have specific common mutations. TP53 is a known tumor suppressor gene, and TP53 mutations are seen in up to 50% of HCC cases. TP53 pathway mutations, such as ATM and RPS6KA3, are also common. B-catenin mutations are seen in up to 40% of HCC cases. Another common mutation in HCC involves telomers, which represent a region of repetitive DNA at the end of chromosomes that protects against chromosome destruction. Mutations of the telomerase promoter region are commonly seen in HCC, and this shortens the telomer, which activates apoptosis. The liver is then unable to fully regenerate, resulting in fibrosis and cirrhosis []. 
3. Screening Methods
Common screening options for HCC include abdominal ultrasounds and alpha-fetoprotein (AFP) biomarker testing []. Abdominal ultrasound is the preferred imaging modality over computed tomography (CT) and magnetic resonance imaging (MRI) due to the inexpensive cost and widespread availability []. The sensitivity of abdominal ultrasound for early HCC detection is around 45% []. Additional screening with AFP biomarker testing may improve HCC detection rates []. AFP is a serum glycoprotein and elevations are associated with liver malignancy. AFP levels greater than 400–500 ng/mL are diagnostic for HCC []. The sensitivity of HCC detection with a combination approach is around 63%, however, ultrasound with concurrent AFP testing has a lower specificity than ultrasound alone []. AFP specificity is higher among HCC secondary to non-viral related etiologies []. As a result, clinical consideration is recommended for final decision making on screening modalities.
An early diagnosis of HCC is critical for early intervention and survival. Several studies suggest that early surveillance may improve overall survival []. International guidelines recommend that patients with cirrhosis should receive HCC screening, as the risk of HCC development in a patient with cirrhosis is between 2–4% each year []. The American Association of Liver Diseases (AASLD) classifies the following patients as high risk for HCC development: a patient with cirrhosis (Child Pugh stage A and B), a patient with cirrhosis (Child Pugh stage C awaiting liver transplant), and a patient without cirrhosis but with HBV []. The AASLD currently recommends that high risk patients receive abdominal ultrasound surveillance testing every six months with or without concurrent AFP testing []. Currently, less than one in five high risk patients receive screening for HCC, suggesting the need for provider education and stricter adherence to screening guidelines []. 
4. Diagnostic Modalities
Current standards for diagnostic modalities for hepatocellular carcinoma include imaging with CT, MRI, and ultrasound, as well as tissue biopsy, which has been strongly recommended before transplantation with uncertain imaging. The specificity and positive predictive value of tumor biopsy is 100%, but the sensitivity may vary between 66% to 93%, depending on the size of the needle and nodule, thus making ruling out diagnosis less reliable with biopsy []. Patients with negative biopsy findings should undergo surveillance via imaging. Imaging is a non-invasive option compared to traditional tissue biopsy, and MRI is the gold standard for imaging of HCC due to its diagnostic accuracy and significantly higher sensitivity, as well as significantly lower negative likelihood ratio as compared to CT []. Studies have found that there is an increase in sensitivity for gadoxetate-enhanced MRI and for extracellular contrast-enhanced MRI over CT. Gadoxetate-MRI is more sensitive for <2 cm HCCs than CT or extracellular contrast MRI. Extracellular contrast agent MRI is marginally more specific for <2 cm HCCs than gadoxetate-MRI and may be preferred in clinical practice for liver transplantation evaluation without tissue biopsy []. 
Liver biopsy remains a reliable diagnostic tool for HCC and includes different modalities, with percutaneous, ultrasound-guided liver biopsy as the most common method due to its cost-effectiveness and speed. A comprehensive review of 30 cohort studies reporting on complications from percutaneous liver biopsy procedures from 2010–2020 found an incidence of major (2.4%) and minor (9.5%) complications, as well as technical failure (0.91%) []. The transvenous approach to liver biopsy can be used for patients with HCC who may be higher risk for bleeding, potentially due to the severity of their disease. The transvenous approach avoids penetrating the liver capsule and instead uses a catheter with biopsy needle through a hepatic vein. Liver biopsy is an accurate tool to assess the degree of inflammation and extent of fibrosis, with the greatest sensitivity and specificity in terms of determination of malignancy []. The major disadvantage of tissue biopsy is its invasive nature; the most significant risk is bleeding, which may occur up to one week after the procedure. Other risks can include hemobilia, non-hepatic organ puncture, infection, and reaction to local anesthetic []. 
Ultrasound is a safe, cost-effective, and widely available diagnostic test for HCC. However, ultrasound has several disadvantages in grading of liver disease. Many factors can alter results of ultrasound screening for liver disease, such as pre-existing conditions including NASH, NAFLD, and cirrhosis. There may be issues with imaging of the liver via ultrasound, as echogenicity of the liver may be confounded by fibrosis, inflammation, and other features of chronic liver disease. For diagnosing HCC, ultrasound has low sensitivity and specificity. The liver may also not be entirely visualized due to shadowing from the ribs, gas, and other patient factors, such as patient habitus []. Ultrasound can be used as a sensitive screening tool for liver steatosis and fibrosis but may not be the most reliable for diagnosing and staging HCC. 
CT, as with ultrasound, is advantageous as a quick procedure with quantitative results. However, a downside of CT is that the X-ray beam is not specific for steatosis versus other liver disease processes, a similar drawback to hyperechogenicity on ultrasound. Despite this, contrast-enhanced CT has high sensitivity (93%) and specificity (100%) for detecting hepatic metastases and is preferred over US and MRI due to its easy access and evaluation of the extra-hepatic abdomen []. Another downside of CT is that liver density can be influenced by the presence of iron, glycogen, hematocrit, and other metallic ions, which can affect X-ray beam attenuation []. CT also exposes the patient to radiation. 
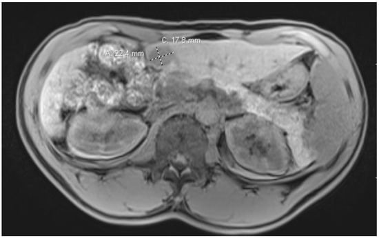
MRI is the most sensitive and specific imaging tool for detecting HCC. Unlike ultrasound and CT, MRI measures the signal intensity of protons at different resonance frequencies, such as fibrosis, steatosis, and water, as seen in Figure 1. This can be useful to differentiate benign liver lesions from metastases. However, patient factors such as claustrophobia, implanted devices, discomfort, and cost may hinder MRI use for diagnostic imaging in liver disease. The Liver Imaging Reporting and Data system (LI-RADS) was developed by the American College of Radiology and later incorporated into the 2018 AASLD HCC clinical practice guidelines as an algorithm for the stratification of the probability of HCC and overall malignancy based on both CT and MRI imaging (Table 1). The LI-RADS algorithms provide a score for liver lesions defined by eight unique diagnostic categories based on imaging ranging from LR-1 (definitely benign) to LR-5 (definitely malignant) []. In terms of diagnostic accuracy, LI-RADS has a sensitivity of 92% and a specificity of 55.5%, as compared to qualitative imaging, which has a sensitivity of 92.3% and a specificity of 41.4%. When used in conjunction, LI-RADS with qualitative imaging has a sensitivity of 97% and a specificity of 30% []. The LI-RADS classification system should be used only for livers with risk factors for HCC such as cirrhosis or chronic HBV infection and not for patients less than 18 years old or with congenital hepatic fibrosis or cirrhosis due to vascular disorders [].
 
      
    
    Figure 1.
      MRI of a patient with chronic HBV.
  
 
       
    
    Table 1.
    Liver Imaging Reporting and Data System (LI-RADS).
  
5. Biomarkers/Next Generation Sequencing
HCC screening tools have been utilized in high-risk patients to identify HCC early. In addition to abdominal ultrasound, tumor biomarkers have been incorporated into the screening protocol. While AFP is the primary biomarker used in addition to ultrasound for HCC screening, studies are beginning to elucidate the utility of other biomarkers for HCC screening and prognosis. 
AFP is one of the most well-known tumor markers used to identify HCC. It is a glycoprotein usually produced by the fetal liver and yolk sac during the first trimester of pregnancy, but can become elevated in HCC and liver disease []. Although it has been widely studied and is often used as an initial screening tool, the sensitivity and specificity of this marker is relatively low—the sensitivity of AFP using a cutoff of 20 ng/mL has been estimated to be about 58–68%, with an estimated specificity from 78–90% [,,,,]. When the cutoff of AFP is increased to 400, the specificity drastically increases to 95–100%, but the sensitivity is reduced drastically to 20–45% [,]. Other studies have shown that, for HCV-related HCC, the sensitivity is 41–65% with a specificity of 80–94% for detection of HCC with an AFP cutoff of >20 μg/L []. AFP values may also differ depending on the underlying etiology of the HCC. For example, several studies have shown that HBV-related HCC tends to result in higher overall AFP levels compared to non-HBV-related HCC [,]. However, AFP values can often be seen in other diseases affecting the liver, including cirrhosis, necrosis, and chronic hepatitis [,]. In up to 30% of patients with advanced liver disease from HCC, AFP will remain normal [,]. 
AFP can be utilized not only for identifying patients with HCC, but also in determining overall likelihood of disease progression and prognosis. AFP blood levels greater than 400 were found to be associated with larger tumor size, involvement of multiple lobes, higher risk of portal vein thrombosis, and overall lower survival rate []. One study looked at tumors immunohistochemically after cancer resection and found that tumors that expressed AFP correlated with a greater likelihood of portal vein invasion and lower rate of recurrence-free survival []. Additionally, elevated AFP values can independently predict the presence of microvascular invasion of HCC. This is relevant because microvascular invasion of HCC is both a poor prognostic factor and indicator of higher risk of recurrence of HCC after curative treatment [,]. 
While AFP is a useful tumor marker, and glycoforms of AFP have also been used in conjunction with AFP as a tumor marker. One of these glycoforms is lens culinaris agglutinin-reactive AFP (AFP-L3). When using the ratio of AFP-L3 to AFP and a cutoff of 15%, the sensitivity was as high as 75% with a specificity of 90% []. Using AFP-L3 ratios in conjunction with AFP can increase the sensitivity and specificity for detecting HCC []. As with AFP, AFP-L3 can help determine overall prognosis and give insight into how aggressively the HCC behaves. One study showed that, in patients who underwent a curative partial hepatectomy, pre-op ratios of ALP-L3 to AFP that were higher (>10%) were found to be predictive of earlier tumor recurrence and lesser overall survival time []. 
Another tumor marker that has shown promise as a biomarker for identifying HCC is GP73. GP73 is a transmembrane protein that is expressed in the biliary epithelial cells in normal livers but is expressed to a greater amount in hepatitis, with greatest expression in HCC (Ba MC). GP73 is found in significantly higher amounts in HCC compared to cirrhosis without HCC []. Using a cutoff value of 10 relative units, GP73 was found to have a sensitivity of 69% and specificity of 75% for detecting HCC []. Some studies have shown that GP73 has a higher sensitivity for detecting early-stage HCC compared to AFP [,].
Another marker of interest is dex-gamma-carboxyprothrombin (DCP), also known as protein induced by vitamin K absence II (PVIKA-II). In damaged livers with reduced/absent ability of the enzyme y-glutamyl carboxylase (a vitamin K-dependent enzyme), prothrombin precursors are unable to obtain carboxylated and instead secrete DCP, a non-carboxylated prothrombin precursor, from hepatocytes []. Higher DCP levels have been found to be correlated with more advanced stages of HCC []. Serum DCP, using a cutoff value of 60 mAU/mL, was found to have a sensitivity of 41.4% and specificity of 90.9% []. Another study found a sensitivity of 52% and specificity of 87% in distinguishing between HCC and cirrhosis when using a higher cutoff of 40 mAU/mL []. In a study comparing patients with cirrhosis and evidence of liver nodules on ultrasound with unclear diagnosis of HCC, elevated PIVKA-II values showed a 69% sensitivity and 88% specificity for diagnosis of HCC []. Higher DCP concentrations were also found to be correlated with larger tumor size, TNM stage, increased likelihood of lymph node and distal metastases, and decreased tumor cell differentiation []. Additionally, elevated DCP was seen more frequently in patients with residual HCC and recurrent HCC compared to patients with HCC recovery []. 
We are increasingly recognizing the benefits of using several markers in conjunction for better accuracy in identifying HCC. A study that used immunosorbent assays to detect tumor markers in serum found that in HCC that was seronegative for AFP, 40% of the patients were positive for AFP and GP73 []. Using GP73 and AFP-L3 in conjunction with the standard tumor marker AFP can increase utility in identifying HCC. Another study showed that using DCP and AFP together improved diagnostic accuracy in distinguishing HCC from benign liver disease, and use of the markers combined was more sensitive and specific than use of either marker alone []. One study looked at AFP, AFP-L3, and DCP in combination and found that the overall diagnostic accuracy was greater when using all three markers compared to each one alone []. 
These tumor markers not only have utility in diagnosing HCC, but also have utility in predicting severity and spread of disease and in monitoring for recurrence of cancer after treatment. For example, a study testing for positivity of three tumor markers (AFP cutoff of 20 ng/mL, AFP-L3 ratio cutoff of 10%, and DCP cutoff 40 mAU/mL) found that a greater number of markers over the cutoff values were associated with a greater size and number of lesions, more poorly differentiated cancer, more infiltrative growth, and portal vein invasion []. 
While standard screening protocol has yet to definitively incorporate these biomarkers, recognizing the role that tumor biomarkers have in distinguishing HCC from other causes of liver disease is important. Another tool that may have diagnostic utility is next generation sequencing (NGS). NGS analyzes the DNA of tumor cells compared to non-tumor cells adjacent to the tumor, thereby detecting mutations specific to the cancer cells of HCC. This field has promise because if the mutations in HCC can be identified, more targeted therapies can be created and used to fight HCC.
In examining the DNA of HCC, studies have found that a commonly mutated gene that drives development is TP53 (often missense or nonsense mutations in specific exons) in the cancerous tissues of HCC patients [,]. The study, although utilizing a small sample size, found that the gene RUNX1 (all missense mutations) was the second most mutated gene in HCC, along with JAK3 []. Mutations often present in the genome of HCC include abnormal reverse transcriptase (TERT) activation, seen in up to 70% of HCC cases []. Somatic mutations in CTNNB1 (which codes for B-catenin) were also frequently seen in the development of HCC [,]. 
Studies have just begun to elucidate other genes that are often mutated in HCC. These include ARID1A, ARID2, KMT2 gene mutations [], AXIN1, JAK1, LRP1B [,] and PIK3CA and PTEN deletions []. Additionally, there are certain differences in the mutations seen with specific pathologies of HCC—for example, HBV-related HCC was found to have more inactivating TP53 and KMT2B mutations, while alcohol-related HCC was found to have high amounts of TERT mutations and ARID1 inactivating mutations []. Additionally, CTNNB1 was often seen in HCV-associated HCC and non-virus associated HCC []. Gaining a greater understanding of the mutations that lead to HCC will lead to the development of drugs that specifically target these mutations. 
6. Artificial Intelligence
Artificial intelligence (AI) describes the mechanism by which computer programs are designed to replicate human cognitive functions. Machine learning, a branch of AI, has been used in other industries to accomplish these tasks through pattern recognition. HCC is a particularly optimal application for AI because the disease can often be diagnosed based on characteristic radiologic features. Traditional analysis relies on subjective interpretation of images and awareness of the clinical heterogeneity of HCC tumors []. AI can streamline the workflow to improve accuracy and diagnostic efficiency and can be continually modified to enhance its function. Several research groups have already developed AI algorithms to improve various aspects of HCC management. Zhang et al. published a tool using relative expression orderings (REOs), where the relative expression of genes correlates with changes in phenotype. They identified 11 gene pairs that can serve as HCC biosignatures. These gene pairs were found to accurately distinguish HCC tissues from adjacent non-HCC tissues, even with minimal sample mass and inaccurately sampled specimens (sensitivity 91.93%, specificity 100%, AUC 0.9597). Furthermore, they demonstrated superior diagnostic accuracy compared to a model described by Ao et al., who used similar technologies to identify 19 gene pairs []. Radha and Divya (2020) used a measurement boosted decision tree (MMBDT) model to demonstrate the ability of machine progressive optimization in accurately predicting HCC recurrence based on various clinical characteristics, such as BCLC classification, patient demographics, and tumor features. Their model showed a prediction accuracy of 70.1% for 30-day recurrence, compared to the multiple measurement of naïve Bayesian (MMNB) model (66.1%) [].
Radiomics, a specific approach to analyzing radiologic images using AI, has also been explored for HCC diagnostics. Its goal is to extract large volumes of data from radiographic images using existing scales, such as LI-RADS, with increased throughput and accuracy compared to human-driven radiological review. Using mathematical algorithms commonplace in AI, it can correlate radiographic features, including intensity, shape, or texture, with biological processes relevant for management decisions [,]. Currently, indeterminate liver lesions on CT, MRI, or ultrasound require a subsequent liver biopsy. Given biopsy’s inherent risks and potential poor sampling, various clinical study groups have proposed radiomics models using anatomic landmarks to assess high-risk liver lesions [,]. Prioritizing analysis of focal areas of suspicion, these radiomics programs can be instructed to review liver segments systematically with a prescribed algorithm. Radiomics models have demonstrated superior predictive value of HCC pathological grade compared to clinical factors-based models (AUC: 0.74 vs. 0.60). Moreover, a combined approach using both radiomics and clinical features outperformed each individual model (AUC 0.80) []. Moreover, radiomics have demonstrated promise in differentiating radiographically similar diagnoses of cholangiocarcinoma, hepatic hemangioma, and hepatic adenoma [,,].
Beyond innovative diagnostics, AI is also poised to play a pivotal role in individualized management. Several groups have explored predictor models of HCC tumor behavior and survival [,,]. Microvascular invasion, based on ultrasound and contrast-enhanced CT, can independently predict tumor recurrence [,,]. Other models using the Barcelona Clinical Liver Cancer classification can determine appropriate candidates for transcatheter arterial chemoembolization (TACE) for intermediate stage B HCC []. These approaches use different patterns of clinical courses to make statistically driven predictions of treatment responses. 
Further innovations have evolved AI to incorporate multilayer network algorithms, such as convolutional neural networks (CNN), to achieve more comprehensive data acquisition and independent analyses. These optimized networks send data through various channels before being processed into a single output [,,]. CNNs have demonstrated accuracy in distinguishing liver lesions and improving image quality, but currently have limitations in predicting prognosis [,,]. Chen et al. developed a CNN algorithm using histopathological images of HCC and non-HCC liver tissues that demonstrated comparable accuracy and specificity to human experts (AI: 99%, 99%, respectively) with reduced variability in sensitivity (98.5% vs. 86–97%). Using that same algorithm, they successfully taught the model to accurately identify colorectal cancer and invasive ductal breast carcinoma []. Their work highlights the broad applications of CNN, given its capability to handle vast volumes of data, and can lay the framework for standardized algorithms across different pathologies. 
Studies of AI applications in HCC diagnostics are limited due to their retrospective nature and the use of databases designed for other analyses. Most publications rely on small sample sizes within single-center studies that limit reproducibility and comparability without standardized image processing and data retrieval [,]. More evidence is required to show its applicability for a heterogenous patient population and its ability to accurately augment the current diagnostic process. A cost-benefit analysis must also be considered to avoid unnecessarily inflating healthcare costs with a software-intensive, investment-heavy tool.
If future studies demonstrate significant benefits of radiomics and AI in improving diagnostic limitations, there must be a significant onboarding process with multidisciplinary input to ensure generalizability and feasibility among models. In addition to producing accurate analyses, models should accomplish their tasks in a timely manner to reduce delays in care and poorer health outcomes. Radiomic models will also require continued optimization to improve accuracy of data acquisition and reporting in clinical practice []. Clinicians should be educated on the benefits and limitations of radiomic diagnostics and continue to apply clinical judgment as the tool improves. Patients should be informed about this tool, and appropriate concerns about accuracy and privacy must be addressed. 
7. Molecular Imaging
Molecular imaging is broadly defined as the imaging of targeted molecular events (that may result from or produce a specific disease), both in an anatomic location and at a specific time []. An example of “imageable” molecular events may be an overexpressed protein due to a mRNA mutation. Any step in the molecular processing of this protein, from its mRNA mutation to the use of the protein in cellular functioning, is a target for molecular imaging. Current standards for HCC screening are founded on traditional clinical imaging, such as MRI or ultrasound. Traditional clinical imaging, while incredibly useful, has been limited to the detection of physical changes as a result of molecular events and thus is prone to false negatives with small hepatocellular malignancies. Molecular imaging has the advantage of detecting changes at the molecular level before these physical changes are discernible, allowing for diagnosis of the disease at earlier stages, particularly for small HCCs and malignant nodules. 
With advances in research on the tumor characteristics of HCC, an increasing number of tumor markers have been identified as targets for molecular imaging []. As one of the earliest protein tumor markers discovered, AFP has been routinely used in HCC surveillance and screening for years. AFP is a valuable marker for improving diagnostic and therapeutic efficacy due to its significant overexpression in HCC tumor cells compared to normal tissues, but is limited as a diagnostic marker due to its low sensitivity []. Many other tumor markers have been identified as potential targets for molecular imaging. The most promising and widely used tumor markers are discussed below.
Glypican (GPC-3) is a biomarker that has recently gained interest due to its high expression in tumor tissues, making it an ideal target for imaging and treatment of HCC. GPC-3 monoclonal antibody has been used in recent studies and can target the GPC-3 receptor expressed on the HCC cell surfaces. GPC-3 also appears to have a higher sensitivity and specificity than AFP, potentially due to its higher expression level, with approximately 70% of HCC detected with the high expression of GPC-3 [,].
Vascular endothelial growth factor (VEGF) is another promising tumor marker that is highly expressed in tumor tissues and plays a crucial function in tumor neovascularization and angiogenesis when bound to its receptor, VEGFR [,]. Thus, when considering targeted probes for VEGF there are two options: target VEGF or target VEGFR. Previous studies on probes targeting VEGF and VEGFR have shown excellent ability to efficiently target HCC cells for early detection [,,].
Carbon-11, labeled acetate, is an impressive target that appears to show improved sensitivity for low and intermediate grade HCCs, with up to 87% sensitivity. Specificity for HCC is also high, as there is no observed uptake in other liver tumors, such as cholangiocarcinoma, carcinoid, and metastatic lesions from colon, lung, and breast cancer []. Thus, carbon-11 acetate appears to be an excellent choice for diagnosing HCC, as a positive test is highly suggestive of well differentiated HCC, while a lesion negative for C-11 acetate and positive for FDG is more likely a non-HCC or poorly differentiated HCC.
The major challenge of molecular imaging is the discovery of biomarkers that can successfully translate into molecular imaging biomarkers. Because HCC is a highly heterogeneous and genetically complex disease, identifying potential biomarker targets for molecular imaging of all HCC patients is difficult. Thus, discovery and research of biomarkers more universally expressed in HCC is needed to maximize the impact of molecular imaging on the diagnosis of HCC. Another significant barrier to clinical application is the potential for long-term adverse effects of the nanomaterials used in molecular imaging probes. Previous experiments have focused on targeting, imaging specificity, and short-term events, but more research is needed to comprehensively evaluate the long-term toxic effects of these materials. Further, the expression of HCC-related biomarkers will be reduced due to the necrosis of tumor cells after treatment. Whether molecular imaging can be used for evaluation after treatment must be investigated [].
Molecular imaging is a diagnostic technique with great potential and is rapidly increasing in scope. With continued research and exploration, it can greatly improve screening, early diagnosis, and patient outcomes for those with HCC.
8. Liquid Biopsy
Liquid biopsy hinges on the analysis of circulating tumor cells (CTCs), circulating cell-free tumor DNA (ctDNA), and exosomes as biomarkers in the blood of patients with cancer, primarily those with solid tumors or their metastatic foci. Promising clinical applications of liquid biopsy in the form of successful implementation for disease and therapy monitoring have already been shown in colorectal cancer, prostate cancer, lung cancer, and breast cancer [,,,]. The appeal of liquid biopsy lies in the potential application for personalized treatment through diagnosis, staging, and stratification of patients for curative or systemic therapy. It is convenient, noninvasive, dynamic, and repeatable []. Unlike tissue biopsy, it can be used to monitor dynamic tumor progression at different time points throughout a patient’s course. This is especially useful because a single biopsy may not be a sufficient representation of comprehensive tumor biology given the heterogeneity of HCC []. Identifying specific tumor markers and drug targets through CTCs, ctDNA, or exosomes would benefit the assessment and prediction of treatment response to therapies. 
Through analysis of ctDNA, specific mutations have been detected in the genome of these cancer cells that could be useful in targeted cancer therapy. The most frequent mutation detected via cfDNA sequencing was TP53, followed by CTNNB1 []. Some mutations were found to have potentially actionable drug targets []. Another study supported these findings, showing that, in 65% of patients with HCC, a pathologic variant was found in the p53 gene, the gene CTNNB1, or both []. 
A combination of tests would likely be most useful for HCC diagnosis and prognosis, yet it remains to be seen which ones and in what order. ctDNA has thus far been the strongest marker. A systematic review of 112 studies found that ctDNA methylation scores had comparable sensitivity to AFP and ultrasound for early-stage HCC. In large studies of more than 2000 patients, these scores had more than 75% sensitivity and more than 90% specificity for TNM stage I or Barcelona Clinic Liver Cancer (BCLC) stage 0 disease in phase 2 biomarker studies []. However, ctDNA mutations had low sensitivity for early-stage HCC, and CTC mutational profiles have not been substantially studied. The presence of CTCs had high specificity (>90%) but only modest sensitivity (~60%), while exosomes had variable diagnostic accuracy []. Other studies have elicited more promising roles for CTCs and exosomes. Wang et al. found that exosomal expression of microRNA-21 was significantly elevated in HCC, with higher expression and better discrimination from chronic HBV patients []. CTC count and percentage of CTCs undergoing epithelial-mesenchymal transition in patients with HCC have been associated with multi-intrahepatic recurrence and lung metastasis as a predictor of early recurrence []. Future studies should, therefore, pursue multiple avenues.
Multiple isolation and detection technologies have gained popularity. To perform robust validation studies for the clinical implementation of liquid biopsy, there must be a standardization of the methods of detection and quantification. Overall, current studies lack adequate selection of controls, consistency in reported outcomes for prognostic studies, and the establishment of optimal methodologies and standards in analyzing the biopsies, and are therefore difficult to compare en masse [,]. Because target analytes that are elevated in HCC may be elevated in nonmalignant liver disease as a consequence of an underlying proinflammatory or diseased state, biomarkers for liquid biopsy must be able to differentiate between the two []. Multicenter, prospective studies with large sample sizes are necessary to better evaluate and fine tune the clinical utility of liquid biopsy.
9. Conclusions
HCC is the most common hepatic malignancy and is the third deadliest cancer worldwide. Its heterogeneous and genetically complex nature has complicated detection and treatment. Diagnostic accuracy of currently available detection modalities has limited the identification of initial disease, as well as later recurrence. This review encompasses the current landscape of HCC diagnostic modalities, with a focus on the promising nature of the evolving translational applications of biomarkers/NGS, artificial intelligence, molecular imaging, and liquid biopsy. The increasing popularity of research and development in these areas has uncovered their utility in improving not only diagnostic accuracy, but also targeted monitoring and prognosis of HCC. With improvement in diagnostic accuracy, earlier detection and intervention has been shown to increase overall HCC survival. The newer diagnostic methods discussed are still in their early stages and, along with identifying appropriate genes, targets, or methods, researchers need to better define generalizability, cost, and logistics of their use for implementation in patient care. Multi-center, prospective studies are needed to determine benefits and limitations of each method when compared to one another and to standard practice. Further research is needed to explore how they can be used in conjunction with one another to be most effective for early detection of HCC.
Funding
This research received no external funding.
Institutional Review Board Statement
Not applicable.
Informed Consent Statement
Not applicable.
Data Availability Statement
Not applicable.
Conflicts of Interest
The authors declare no conflict of interest.
References
- Ferlay, J.; Soerjomataram, I.; Dikshit, R.; Eser, S.; Mathers, C.; Rebelo, M.; Parkin, D.M.; Forman, D.; Bray, F. Cancer incidence and mortality worldwide: Sources, methods and major patterns in GLOBOCAN 2012. Int. J. Cancer 2015, 136, E359–E386. [Google Scholar] [CrossRef]
- El-Serag, H.B. Epidemiology of viral hepatitis and hepatocellular carcinoma. Gastroenterology 2012, 142, 1264–1273.e1. [Google Scholar] [CrossRef] [PubMed]
- Jemal, A.; Bray, F.; Center, M.M.; Ferlay, J.; Ward, E.; Forman, D. Global cancer statistics. CA Cancer J. Clin. 2011, 61, 69–90. [Google Scholar] [CrossRef] [PubMed]
- Globocan. Cancer Incidence and Mortality Statistics Worldwide and by Region. 2020. Available online: https://gco.iarc.fr/today/data/factsheets/cancers/11-Liver-fact-sheet.pdf (accessed on 2 November 2022).
- McGlynn, K.A.; Petrick, J.L.; London, W.T. Global epidemiology of hepatocellular carcinoma: An emphasis on demographic and regional variability. Clin. Liver Dis. 2015, 19, 223–238. [Google Scholar] [CrossRef] [PubMed]
- Rumgay, H.; Arnold, M.; Ferlay, J.; Lesi, O.; Cabasag, C.J.; Vignat, J.; Laversanne, M.; McGlynn, K.A.; Soerjomataram, I. Global burden of primary liver cancer in 2020 and predictions to 2040. J. Hepatol. 2022, 77, 1598–1606. [Google Scholar] [CrossRef]
- McGlynn, K.A.; Petrick, J.L.; El-Serag, H.B. Epidemiology of Hepatocellular Carcinoma. Hepatology 2021, 73 (Suppl. 1), 4–13. [Google Scholar] [CrossRef]
- Jelic, S.; Sotiropoulos, G.C.; Group, E.G.W. Hepatocellular carcinoma: ESMO Clinical Practice Guidelines for diagnosis, treatment and follow-up. Ann. Oncol. 2010, 21 (Suppl. S5), v59–v64. [Google Scholar] [CrossRef]
- Huang, A.C.; Mehta, N.; Dodge, J.L.; Yao, F.Y.; Terrault, N.A. Direct-acting antivirals do not increase the risk of hepatocellular carcinoma recurrence after local-regional therapy or liver transplant waitlist dropout. Hepatology 2018, 68, 449–461. [Google Scholar] [CrossRef]
- Hsu, Y.C.; WWu, C.Y.; Lane, H.Y.; Chang, C.Y.; Tai, C.M.; Tseng, C.H.; Lo, G.H.; Perng, D.S.; Lin, J.T.; Mo, L.R. Determinants of hepatocellular carcinoma in cirrhotic patients treated with nucleos(t)ide analogues for chronic hepatitis B. J. Antimicrob. Chemother. 2014, 69, 1920–1927. [Google Scholar] [CrossRef]
- Papatheodoridis, G.V.; Lampertico, P.; Manolakopoulos, S.; Lok, A. Incidence of hepatocellular carcinoma in chronic hepatitis B patients receiving nucleos(t)ide therapy: A systematic review. J. Hepatol. 2010, 53, 348–356. [Google Scholar] [CrossRef]
- Tunissiolli, N.M.; Castanhole-Nunes, M.M.U.; Biselli-Chicote, M.M.; Pavarino, E.C.; Ferreira da Silva, R.; Alves da Silva, R.; Goloni-Bertollo, E.M. Hepatocellular Carcinoma: A Comprehensive Review of Biomarkers, Clinical Aspects, and Therapy. Asian Pac. J. Cancer Prev. 2017, 18, 863–872. [Google Scholar]
- Yang, J.D. Detect or not to detect very early stage hepatocellular carcinoma? The western perspective. Clin. Mol. Hepatol. 2019, 25, 335–343. [Google Scholar] [CrossRef]
- Forner, A.; Llovet, J.M.; Bruix, J. Hepatocellular carcinoma. Lancet 2012, 379, 1245–1255. [Google Scholar] [CrossRef]
- Liu, Y.R.; Tang, R.X.; Huang, W.T.; Ren, F.H.; He, R.Q.; Yang, L.H.; Luo, D.Z.; Dang, Y.W.; Chen, G. Long noncoding RNAs in hepatocellular carcinoma: Novel insights into their mechanism. World J. Hepatol. 2015, 7, 2781–2791. [Google Scholar] [CrossRef] [PubMed]
- Clavien, P.A.; Lesurtel, M.; Bossuyt, P.M.M.; Gores, G.J.; Langer, B.; Perrier, A. Recommendations for liver transplantation for hepatocellular carcinoma: An international consensus conference report. Lancet Oncol. 2012, 13, e11–e22. [Google Scholar] [CrossRef]
- Adam, R.; Karam, V.; Delvart, V.; O’Grady, J.; Mirza, D.; Klempnauer, J.; Castaing, D.; Neuhaus, P.; Jamieson, N.; Salizzoni, M.; et al. Evolution of indications and results of liver transplantation in Europe. A report from the European Liver Transplant Registry (ELTR). J. Hepatol. 2012, 57, 675–688. [Google Scholar] [CrossRef] [PubMed]
- Rahimi, R.S.; Trotter, J.F. Liver transplantation for hepatocellular carcinoma: Outcomes and treatment options for recurrence. Ann. Gastroenterol. 2015, 28, 323–330. [Google Scholar]
- Akamatsu, N.; Sugawara, Y.; Kokudo, N. Living-donor vs. deceased-donor liver transplantation for patients with hepatocellular carcinoma. World J. Hepatol. 2014, 6, 626–631. [Google Scholar] [CrossRef]
- Chen, L.P.; Li, C.; Wen, T.; Yan, L.; Li, B.; Yang, J. Can living donor liver transplantation offer similar outcomes to deceased donor liver transplantation using expanded selection criteria for hepatocellular carcinoma? Pak. J. Med. Sci. 2015, 31, 763–769. [Google Scholar] [PubMed]
- Dhanasekaran, R.; Bandoh, S.; Roberts, L.R. Molecular pathogenesis of hepatocellular carcinoma and impact of therapeutic advances. F1000Res 2016, 5, F1000. [Google Scholar] [CrossRef] [PubMed]
- Frenette, C.T.; Isaacson, A.J.; Bargellini, I.; Saab, S.; Singal, A.G. A Practical Guideline for Hepatocellular Carcinoma Screening in Patients at Risk. Mayo Clin. Proc. Innov. Qual. Outcomes 2019, 3, 302–310. [Google Scholar] [CrossRef] [PubMed]
- Bialecki, E.S.; di Bisceglie, A.M. Diagnosis of hepatocellular carcinoma. HPB 2005, 7, 26–34. [Google Scholar] [CrossRef] [PubMed]
- Heimbach, J.K.; Kulik, L.M.; Finn, R.S.; Sirlin, C.B.; Abecassis, M.M.; Roberts, L.R.; Zhu, A.X.; Murad, M.H.; Marrero, J.A. AASLD guidelines for the treatment of hepatocellular carcinoma. Hepatology 2018, 67, 358–380. [Google Scholar] [CrossRef] [PubMed]
- Jain, D. Tissue diagnosis of hepatocellular carcinoma. J. Clin. Exp. Hepatol. 2014, 4 (Suppl. 3), S67–S73. [Google Scholar] [CrossRef]
- Roberts, L.R.; Sirlin, C.B.; Zaiem, F.; Almasri, J.; Prokop, L.J.; Heimbach, J.K.; Murad, M.H.; Mohammed, K. Imaging for the diagnosis of hepatocellular carcinoma: A systematic review and meta-analysis. Hepatology 2018, 67, 401–421. [Google Scholar] [CrossRef]
- Thomaides-Brears, H.B.; Alkhouri, N.; Allende, D.; Harisinghani, M.; Noureddin, M.; Reau, N.S.; French, M.; Pantoja, C.; Mouchti, S.; Cryer, D.R.H. Incidence of Complications from Percutaneous Biopsy in Chronic Liver Disease: A Systematic Review and Meta-Analysis. Dig. Dis. Sci. 2022, 67, 3366–3394. [Google Scholar] [CrossRef]
- Tannapfel, A.; Dienes, H.P.; Lohse, A.W. The indications for liver biopsy. Dtsch. Arztebl. Int. 2012, 109, 477–483. [Google Scholar] [CrossRef]
- Boyd, A.; Cain, O.; Chauhan, A.; Webb, G.J. Medical liver biopsy: Background, indications, procedure and histopathology. Front. Gastroenterol. 2020, 11, 40–47. [Google Scholar] [CrossRef]
- Zhang, Y.N.; Fowler, K.J.; Hamilton, G.; Cui, J.Y.; Sy, E.Z.; Balanay, M.; Hooker, J.C.; Szeverenyi, N.; Sirlin, C.B. Liver fat imaging-a clinical overview of ultrasound, CT, and MR imaging. Br. J. Radiol. 2018, 91, 20170959. [Google Scholar] [CrossRef]
- Oliva, M.R.; Saini, S. Liver cancer imaging: Role of CT, MRI, US and PET. Cancer Imaging 2004, 4, S42–S46. [Google Scholar] [CrossRef]
- Chernyak, V.; Fowler, K.J.; Kamaya, A.; Kielar, A.Z.; Elsayes, K.M.; Bashir, M.R.; Kono, Y.; Do, R.K.; Mitchell, D.G.; Singal, A.G.; et al. Liver Imaging Reporting and Data System (LI-RADS) Version 2018: Imaging of Hepatocellular Carcinoma in At-Risk Patients. Radiology 2018, 289, 816–830. [Google Scholar] [CrossRef] [PubMed]
- Laroia, S.T.; Yadav, K.; Rastogi, A.; Kumar, G.; Kumar, S.; Sarin, S.K. Diagnostic efficacy of dynamic liver imaging using qualitative diagnostic algorithm versus LI-RADS v2018 lexicon for atypical versus classical HCC lesions: A decade of experience from a tertiary liver institute. Eur. J. Radiol. Open 2020, 7, 100219. [Google Scholar] [CrossRef] [PubMed]
- Cunha, G.M.; Fowler, K.J.; Roudenko, A.; Taouli, B.; Fung, A.W.; Elsayes, K.M.; Marks, R.M.; Cruite, I.; Horvat, N.; Chernyak, V.; et al. How to Use LI-RADS to Report Liver CT and MRI Observations. Radiographics 2021, 41, 1352–1367. [Google Scholar] [CrossRef] [PubMed]
- Santillan, C.; Fowler, K.; Kono, Y.; Chernyak, V. LI-RADS major features: CT, MRI with extracellular agents, and MRI with hepatobiliary agents. Abdom. Radiol. 2018, 43, 75–81. [Google Scholar] [CrossRef]
- Galle, P.R.; Foerster, F.; Kudo, M.; Chan, S.L.; Llovet, J.M.; Qin, S.; Schelman, W.R.; Chintharlapalli, S.; Abada, P.B.; Sherman, M.; et al. Biology and significance of alpha-fetoprotein in hepatocellular carcinoma. Liver Int. 2019, 39, 2214–2229. [Google Scholar] [CrossRef]
- Hu, J.; Wang, N.; Yang, Y.; Ma, L.; Han, R.; Zhang, W.; Yan, C.; Zheng, Y.Y.; Wang, X. Diagnostic value of alpha-fetoprotein combined with neutrophil-to-lymphocyte ratio for hepatocellular carcinoma. BMC Gastroenterol. 2018, 18, 186. [Google Scholar] [CrossRef]
- Gupta, S.; Bent, S.; Kohlwes, J. Test characteristics of alpha-fetoprotein for detecting hepatocellular carcinoma in patients with hepatitis C. A systematic review and critical analysis. Ann. Intern. Med. 2003, 139, 46–50. [Google Scholar] [CrossRef]
- Marrero, J.A.; Romano, P.R.; Nikolaeva, O.; Steel, L.; Mehta, A.; Fimmel, C.J.; Comunale, M.A.; D’Amelio, A.; Lok, A.S.; Block, T.M. GP73, a resident Golgi glycoprotein, is a novel serum marker for hepatocellular carcinoma. J. Hepatol. 2005, 43, 1007–1012. [Google Scholar] [CrossRef]
- Wong, R.J.; Ahmed, A.; Gish, R.G. Elevated alpha-fetoprotein: Differential diagnosis—Hepatocellular carcinoma and other disorders. Clin. Liver Dis. 2015, 19, 309–323. [Google Scholar] [CrossRef]
- Taketa, K.; Okada, S.; Win, N.; Hlaing, N.K.T.; Wind, K.M. Evaluation of tumor markers for the detection of hepatocellular carcinoma in Yangon General Hospital, Myanmar. Acta Med. Okayama 2002, 56, 317–320. [Google Scholar]
- Liu, C.; Xiao, G.; Yan, L.; Li, B.; Jiang, L.; Wen, T.; Wang, W.; Xu, M.; Yang, J. Value of alpha-fetoprotein in association with clinicopathological features of hepatocellular carcinoma. World J. Gastroenterol. 2013, 19, 1811–1819. [Google Scholar] [CrossRef] [PubMed]
- Yao, M.; Zhao, J.; Lu, F. Alpha-fetoprotein still is a valuable diagnostic and prognosis predicting biomarker in hepatitis B virus infection-related hepatocellular carcinoma. Oncotarget 2016, 7, 3702–3708. [Google Scholar] [CrossRef]
- Alpert, E.; Feller, E.R. Alpha-fetoprotein (AFP) in benign liver disease. Evidence that normal liver regeneration does not induce AFP synthesis. Gastroenterology 1978, 74, 856–858. [Google Scholar] [CrossRef]
- Tangkijvanich, P.; Anukulkarnkusol, N.; Suwangool, P.; Lertmaharit, S.; Hanvivatvong, O.; Kullavanijaya, P.; Poovorawan, Y. Clinical characteristics and prognosis of hepatocellular carcinoma: Analysis based on serum alpha-fetoprotein levels. J. Clin. Gastroenterol. 2000, 31, 302–308. [Google Scholar] [CrossRef] [PubMed]
- Fujioka, M.; Nakashima, Y.; Nakashima, O.; Kojiro, M. Immunohistologic study on the expressions of alpha-fetoprotein and protein induced by vitamin K absence or antagonist II in surgically resected small hepatocellular carcinoma. Hepatology 2001, 34, 1128–1134. [Google Scholar] [CrossRef]
- Lee, J.C.; Hung, H.C.; Wang, Y.C.; Cheng, C.H.; Wu, T.H.; Lee, C.F.; Wu, T.J.; Chou, H.S.; Chan, K.M.; Lee, W.C. Risk Score Model for Microvascular Invasion in Hepatocellular Carcinoma: The Role of Tumor Burden and Alpha-Fetoprotein. Cancers 2021, 13, 4403. [Google Scholar] [CrossRef] [PubMed]
- Koizumi, S.; Yamashita, S.; Matsumara, S.; Takeda, K.; Minagawa, T.; Kobayashi, S.; Hibi, T.; Shinoda, M.; Endo, I.; Tanabe, M. Significance of a preoperative tumor marker gradient for predicting microvascular invasion in cases of hepatocellular carcinoma. Mol. Clin. Oncol. 2020, 12, 290–294. [Google Scholar] [CrossRef]
- Zhang, X.F.; Lai, E.C.H.; Kang, X.Y.; Qian, H.H.; Zhou, Y.M.; Shi, L.H.; Shen, F.; Yang, Y.F.; Zhang, Y.; Lau, W.Y. Lens culinaris agglutinin-reactive fraction of alpha-fetoprotein as a marker of prognosis and a monitor of recurrence of hepatocellular carcinoma after curative liver resection. Ann. Surg. Oncol. 2011, 18, 2218–2223. [Google Scholar] [CrossRef]
- Hu, J.S.; Wu, D.W.; Liang, S.; Miao, X.Y. GP73, a resident Golgi glycoprotein, is sensibility and specificity for hepatocellular carcinoma of diagnosis in a hepatitis B-endemic Asian population. Med. Oncol. 2010, 27, 339–345. [Google Scholar] [CrossRef]
- Yu, R.; Tan, Z.; Xiang, X.; Dan, Y.; Deng, G. Effectiveness of PIVKA-II in the detection of hepatocellular carcinoma based on real-world clinical data. BMC Cancer 2017, 17, 608. [Google Scholar] [CrossRef]
- Ishii, M.; Gama, H.; Chida, N.; Shinzawa, H.; Takagi, T.; Toyota, T.; Takahashi, T.; Kasukawa, R. Simultaneous measurements of serum alpha-fetoprotein and protein induced by vitamin K absence for detecting hepatocellular carcinoma. South Tohoku District Study Group. Am. J. Gastroenterol. 2000, 95, 1036–1040. [Google Scholar]
- Lau, W.Y.; Leow, C.K.; Li, A.K. Hepatocellular carcinoma. Br. J. Hosp. Med. 1997, 57, 101–104. [Google Scholar]
- Saitta, C.; Raffa, G.; Alibrandi, A.; Brancatelli, S.; Lombardo, D.; Tripodi, G.; Raimondo, G.; Pollicino, T. PIVKA-II is a useful tool for diagnostic characterization of ultrasound-detected liver nodules in cirrhotic patients. Medicine 2017, 96, e7266. [Google Scholar] [CrossRef] [PubMed]
- Feng, H.; Li, B.; Li, Z.; Wei, Q.; Ren, L. PIVKA-II serves as a potential biomarker that complements AFP for the diagnosis of hepatocellular carcinoma. BMC Cancer 2021, 21, 401. [Google Scholar] [CrossRef] [PubMed]
- Zhang, Z.; Zhang, Y.; Wang, Y.; Xu, L.; Xu, W. Alpha-fetoprotein-L3 and Golgi protein 73 may serve as candidate biomarkers for diagnosing alpha-fetoprotein-negative hepatocellular carcinoma. Onco Targets Ther. 2016, 9, 123–129. [Google Scholar] [PubMed]
- Lim, T.S.; Kim, D.Y.; Han, K.H.; Kim, H.S.; Shin, S.H.; Jung, K.S.; Kim, B.K.; Kim, S.U.; Park, J.Y.; Ahn, S.H. Combined use of AFP, PIVKA-II, and AFP-L3 as tumor markers enhances diagnostic accuracy for hepatocellular carcinoma in cirrhotic patients. Scand. J. Gastroenterol. 2016, 51, 344–353. [Google Scholar] [CrossRef]
- Toyoda, H.; Kumada, T.; Tada, T.; Sone, Y.; Kaneoka, Y.; Maeda, A. Tumor Markers for Hepatocellular Carcinoma: Simple and Significant Predictors of Outcome in Patients with HCC. Liver Cancer 2015, 4, 126–136. [Google Scholar] [CrossRef]
- Morishita, A.; Iwama, H.; Fujihara, S.; Watanabe, M.; Fujita, K.; Tadokoro, T.; Ohura, K.; Chiyo, T.; Sakamoto, T.; Mimura, S.; et al. Targeted sequencing of cancer-associated genes in hepatocellular carcinoma using next-generation sequencing. Oncol. Lett. 2018, 15, 528–532. [Google Scholar] [CrossRef]
- Lu, J.; Yin, J.; Dong, R.; Yang, T.; Yuan, L.; Zang, L.; Xu, C.; Peng, B.; Zhao, J.; Du, X. Targeted sequencing of cancer-associated genes in hepatocellular carcinoma using next generation sequencing. Mol. Med. Rep. 2015, 12, 4678–4682. [Google Scholar] [CrossRef]
- Schulze, K.; Nault, J.C.; Villanueva, A. Genetic profiling of hepatocellular carcinoma using next-generation sequencing. J. Hepatol. 2016, 65, 1031–1042. [Google Scholar] [CrossRef]
- Kan, Z.; Zheng, H.; Liu, X.; Li, S.; Barber, T.D.; Gong, Z.; Gao, H.; Hao, K.; Willard, M.D.; Xu, J.; et al. Whole-genome sequencing identifies recurrent mutations in hepatocellular carcinoma. Genome Res. 2013, 23, 1422–1433. [Google Scholar] [CrossRef] [PubMed]
- Yang, F.; Deng, K.; Zheng, H.; Liu, Z.; Zheng, Y. Progress of targeted and immunotherapy for hepatocellular carcinoma and the application of next-generation sequencing. Ann. Hepatol. 2022, 27, 100677. [Google Scholar] [CrossRef]
- Lu, L.C.; Hsu, C.H.; Hsu, C.; Cheng, A.L. Tumor Heterogeneity in Hepatocellular Carcinoma: Facing the Challenges. Liver Cancer 2016, 5, 128–138. [Google Scholar] [CrossRef]
- Zhang, Z.M.; Tan, J.X.; Wang, F.; Dao, F.Y.; Zhang, Z.Y.; Lin, H. Early Diagnosis of Hepatocellular Carcinoma Using Machine Learning Method. Front. Bioeng. Biotechnol. 2020, 8, 254. [Google Scholar] [CrossRef]
- Radha, P.; Divya, R. An Efficient Detection of HCC-recurrence in Clinical Data Processing using Boosted Decision Tree Classifier. Procedia Comput. Sci. 2020, 167, 193–204. [Google Scholar] [CrossRef]
- Gillies, R.J.; Kinahan, P.E.; Hricak, H. Radiomics: Images Are More than Pictures, They are Data. Radiology 2016, 278, 563–577. [Google Scholar] [CrossRef]
- Lambin, P.; Leijenaar, R.T.H.; Deist, T.M.; Peerlings, J.; de Jong, E.E.C.; van Timmeren, J.; Sanduleanu, S.; Larue, R.T.H.M.; Even, A.J.G.; Jochems, A.; et al. Radiomics: The bridge between medical imaging and personalized medicine. Nat. Rev. Clin. Oncol. 2017, 14, 749–762. [Google Scholar] [CrossRef]
- Yasaka, K.; Akai, H.; Abe, O.; Kiryu, S. Deep Learning with Convolutional Neural Network for Differentiation of Liver Masses at Dynamic Contrast-enhanced CT: A Preliminary Study. Radiology 2018, 286, 887–896. [Google Scholar] [CrossRef]
- Maryanski, J.L.; Pala, P.; Cerottini, J.C.; MacDonald, H.R. Antigen recognition by H-2-restricted cytolytic T lymphocytes: Inhibition of cytolysis by anti-CD8 monoclonal antibodies depends upon both concentration and primary sequence of peptide antigen. Eur. J. Immunol. 1988, 18, 1863–1866. [Google Scholar] [CrossRef] [PubMed]
- Liu, X.; Khalvati, F.; Namdar, K.; Fischer, S.; Lewis, S.; Taouli, B.; Haider, M.A.; Jhaveri, K.S. Can machine learning radiomics provide pre-operative differentiation of combined hepatocellular cholangiocarcinoma from hepatocellular carcinoma and cholangiocarcinoma to inform optimal treatment planning? Eur. Radiol. 2021, 31, 244–255. [Google Scholar] [CrossRef] [PubMed]
- Wu, J.; Liu, A.; Cui, J.; Chen, A.; Song, Q.; Xie, L. Radiomics-based classification of hepatocellular carcinoma and hepatic haemangioma on precontrast magnetic resonance images. BMC Med. Imaging 2019, 19, 23. [Google Scholar] [CrossRef] [PubMed]
- Nie, P.; Wang, N.; Pang, J.; Yang, G.; Duan, S.; Chen, J.; Xu, W. CT-Based Radiomics Nomogram: A Potential Tool for Differentiating Hepatocellular Adenoma from Hepatocellular Carcinoma in the Noncirrhotic Liver. Acad. Radiol. 2021, 28, 799–807. [Google Scholar] [CrossRef]
- Kim, J.; Choi, S.J.; Lee, S.H.; Lee, H.Y.; Park, H. Predicting Survival Using Pretreatment CT for Patients with Hepatocellular Carcinoma Treated with Transarterial Chemoembolization: Comparison of Models Using Radiomics. Am. J. Roentgenol. 2018, 211, 1026–1034. [Google Scholar] [CrossRef]
- Wu, M.; Tan, H.; Gao, F.; Hai, J.; Ning, P.; Chen, J.; Zhu, S.; Wang, M.; Dou, S.; Shi, D. Predicting the grade of hepatocellular carcinoma based on non-contrast-enhanced MRI radiomics signature. Eur. Radiol. 2019, 29, 2802–2811. [Google Scholar] [CrossRef]
- Wang, X.H.; Long, L.H.; Cui, Y.; Jia, A.Y.; Zhu, X.G.; Wang, H.Z.; Wang, Z.; Zhan, C.M.; Wang, Z.H.; Wang, W.H. MRI-based radiomics model for preoperative prediction of 5-year survival in patients with hepatocellular carcinoma. Br. J. Cancer 2020, 122, 978–985. [Google Scholar] [CrossRef]
- Xu, X.; Zhang, H.L.; Liu, Q.P.; Sun, S.W.; Zhang, J.; Zhu, F.P.; Yang, G.; Yan, X.; Zhang, Y.D.; Liu, X.S. Radiomic analysis of contrast-enhanced CT predicts microvascular invasion and outcome in hepatocellular carcinoma. J. Hepatol. 2019, 70, 1133–1144. [Google Scholar] [CrossRef]
- Erstad, D.J.; Tanabe, K.K. Prognostic and Therapeutic Implications of Microvascular Invasion in Hepatocellular Carcinoma. Ann. Surg. Oncol. 2019, 26, 1474–1493. [Google Scholar] [CrossRef]
- Dong, Y.; Zhou, L.; Xia, W.; Zhao, X.Y.; Zhang, Q.; Jian, J.M.; Gao, X.; Wang, W.P. Preoperative Prediction of Microvascular Invasion in Hepatocellular Carcinoma: Initial Application of a Radiomic Algorithm Based on Grayscale Ultrasound Images. Front. Oncol. 2020, 10, 353. [Google Scholar] [CrossRef] [PubMed]
- Morshid, A.; Elsayes, K.M.; Khalaf, A.M.; Elmohr, M.M.; Yu, J.; Kaseb, A.O.; Hassan, M.; Mahvash, A.; Wang, Z.; Hazle, J.D.; et al. A machine learning model to predict hepatocellular carcinoma response to transcatheter arterial chemoembolization. Radiol. Artif. Intell. 2019, 1, e180021. [Google Scholar] [CrossRef] [PubMed]
- Kaul, V.; Enslin, S.; Gross, S.A. History of artificial intelligence in medicine. Gastrointest Endosc. 2020, 92, 807–812. [Google Scholar] [CrossRef]
- Le Berre, C.; Sandborn, W.J.; Aridhi, S.; Devignes, M.D.; Fournier, L.; Smail-Tabbone, M.; Danese, S.; Peyrin-Biroulet, L. Application of Artificial Intelligence to Gastroenterology and Hepatology. Gastroenterology 2020, 158, 76–94.e2. [Google Scholar] [CrossRef]
- Yang, Y.J.; Bang, C.S. Application of artificial intelligence in gastroenterology. World J. Gastroenterol. 2019, 25, 1666–1683. [Google Scholar] [CrossRef]
- Hamm, C.A.; Wang, C.J.; Savic, L.J.; Ferrante, M.; Schobert, I.; Schlachter, T.; Lin, M.; Duncan, J.S.; Weinreb, J.C.; Chapiro, J.; et al. Deep learning for liver tumor diagnosis part I: Development of a convolutional neural network classifier for multi-phasic MRI. Eur. Radiol. 2019, 29, 3338–3347. [Google Scholar] [CrossRef]
- Tamada, D.; Kromrey, M.L.; Ichikawa, S.; Onishi, H.; Motosugi, U. Motion Artifact Reduction Using a Convolutional Neural Network for Dynamic Contrast Enhanced MR Imaging of the Liver. Magn. Reson. Med. Sci. 2020, 19, 64–76. [Google Scholar] [CrossRef] [PubMed]
- Wang, G.; Jian, W.; Cen, X.; Zhang, L.; Guo, H.; Liu, Z.; Liang, C.; Zhou, W. Prediction of Microvascular Invasion of Hepatocellular Carcinoma Based on Preoperative Diffusion-Weighted MR Using Deep Learning. Acad. Radiol. 2021, 28 (Suppl. 1), S118–S127. [Google Scholar] [CrossRef] [PubMed]
- Chen, W.M.; Fu, M.; Zhang, C.J.; Xing, Q.Q.; Zhou, F.; Lin, M.J.; Dong, X.; Huang, J.; Lin, S.; Hong, M.Z.; et al. Deep Learning-Based Universal Expert-Level Recognizing Pathological Images of Hepatocellular Carcinoma and Beyond. Front. Med. 2022, 9, 853261. [Google Scholar] [CrossRef] [PubMed]
- Scalco, E.; Belfatto, A.; Mastropietro, A.; Rancati, T.; Avuzzi, B.; Messina, A.; Valdagni, R.; Rizzo, G. T2w-MRI signal normalization affects radiomics features reproducibility. Med. Phys. 2020, 47, 1680–1691. [Google Scholar] [CrossRef]
- Zwanenburg, A.; Vallieres, M.; Abdalah, M.A.; Aerts, H.J.W.L.; Andrearczyk, V.; Apte, A.; Ashrafinia, S.; Bakas, S.; Beukinga, R.J.; Boellaard, R.; et al. The Image Biomarker Standardization Initiative: Standardized Quantitative Radiomics for High-Throughput Image-based Phenotyping. Radiology 2020, 295, 328–338. [Google Scholar] [CrossRef]
- Yao, S.; Ye, Z.; Wei, Y.; Jiang, H.Y.; Song, B. Radiomics in hepatocellular carcinoma: A state-of-the-art review. World J. Gastrointest. Oncol. 2021, 13, 1599–1615. [Google Scholar] [CrossRef]
- Miller, J.C.; Thrall, J.H.; Imaging, C.M. Clinical molecular imaging. J. Am. Coll. Radiol. 2004, 1 (Suppl. 1), 4–23. [Google Scholar] [CrossRef]
- Singh, G.; Yoshida, E.M.; Rathi, S.; Marquez, V.; Kim, P.; Erb, S.R.; Salh, B.S. Biomarkers for hepatocellular cancer. World J. Hepatol. 2020, 12, 558–573. [Google Scholar] [CrossRef]
- Zhou, J.M.; Wang, T.; Zhang, K.H. AFP-L3 for the diagnosis of early hepatocellular carcinoma: A meta-analysis. Medicine 2021, 100, e27673. [Google Scholar] [CrossRef] [PubMed]
- Zhou, F.; Shang, W.; Yu, X.; Tian, J. Glypican-3: A promising biomarker for hepatocellular carcinoma diagnosis and treatment. Med. Res. Rev. 2018, 38, 741–767. [Google Scholar] [CrossRef]
- Schutte, K.; Schulz, C.; Link, A.; Malfertheiner, P. Current biomarkers for hepatocellular carcinoma: Surveillance, diagnosis and prediction of prognosis. World J. Hepatol. 2015, 7, 139–149. [Google Scholar] [CrossRef]
- Zhou, Z.; Lu, Z.R. Molecular imaging of the tumor microenvironment. Adv. Drug Deliv. Rev. 2017, 113, 24–48. [Google Scholar] [CrossRef]
- Wang, S.W.; Liu, S.C.; Sun, H.L.; Huang, T.Y.; Chan, C.H.; Yang, C.Y.; Yeh, H.I.; Huang, Y.L.; Chou, W.Y.; Lin, Y.M.; et al. CCL5/CCR5 axis induces vascular endothelial growth factor-mediated tumor angiogenesis in human osteosarcoma microenvironment. Carcinogenesis 2015, 36, 104–114. [Google Scholar] [CrossRef] [PubMed]
- Huang, H.; Li, Y.; Li, C.; Wang, Y.; Sun, Y.; Wang, J. A novel anti-VEGF targeting and MRI-visible smart drug delivery system for specific diagnosis and therapy of liver cancer. Macromol. Biosci. 2013, 13, 1358–1368. [Google Scholar] [CrossRef]
- Liu, Y.; Wu, X.; Sun, X.; Wang, D.; Zhong, Y.; Jiang, D.; Wang, T.; Yu, D.; Zhang, N. Design, synthesis, and evaluation of VEGFR-targeted macromolecular MRI contrast agent based on biotin-avidin-specific binding. Int. J. Nanomed. 2017, 12, 5039–5052. [Google Scholar] [CrossRef] [PubMed]
- Ho, C.L.; Yu, S.C.; Yeung, D.W. 11C-acetate PET imaging in hepatocellular carcinoma and other liver masses. J. Nucl. Med. 2003, 44, 213–221. [Google Scholar]
- Zhao, D.; Cao, J.; Zhang, L.; Zhang, S.; Wu, S. Targeted Molecular Imaging Probes Based on Magnetic Resonance Imaging for Hepatocellular Carcinoma Diagnosis and Treatment. Biosensors 2022, 12, 342. [Google Scholar] [CrossRef]
- Zhou, H.; Zhu, L.; Song, J.; Wang, G.; Li, P.; Li, W.; Luo, P.; Sun, X.; Wu, J.; Liu, Y.; et al. Liquid biopsy at the frontier of detection, prognosis and progression monitoring in colorectal cancer. Mol. Cancer 2022, 21, 86. [Google Scholar] [CrossRef] [PubMed]
- Matuszczak, M.; Schalken, J.A.; Salagierski, M. Prostate Cancer Liquid Biopsy Biomarkers’ Clinical Utility in Diagnosis and Prognosis. Cancers 2021, 13, 3373. [Google Scholar] [CrossRef] [PubMed]
- Nagasaka, M.; Uddin, M.H.; Al-Hallak, M.N.; Rahman, S.; Balasubramanian, S.; Sukari, A.; Azmi, A.S. Liquid biopsy for therapy monitoring in early-stage non-small cell lung cancer. Mol. Cancer 2021, 20, 82. [Google Scholar] [CrossRef] [PubMed]
- Tay, T.K.Y.; Tan, P.H. Liquid Biopsy in Breast Cancer: A Focused Review. Arch. Pathol. Lab. Med. 2021, 145, 678–686. [Google Scholar] [CrossRef]
- Yang, J.C.; Hu, J.J.; Li, Y.X.; Luo, W.; Liu, J.Z.; Ye, D.W. Clinical Applications of Liquid Biopsy in Hepatocellular Carcinoma. Front. Oncol. 2022, 12, 781820. [Google Scholar] [CrossRef] [PubMed]
- Ikeda, S.; Lim, J.S.; Kurzrock, R. Analysis of Tissue and Circulating Tumor DNA by Next-Generation Sequencing of Hepatocellular Carcinoma: Implications for Targeted Therapeutics. Mol. Cancer Ther. 2018, 17, 1114–1122. [Google Scholar] [CrossRef]
- Chae, H.; Sung, P.S.; Choi, H.; Kwon, A.; Kang, D.; Kim, Y.; Kim, M.; Yoon, S.K. Targeted Next-Generation Sequencing of Plasma Cell-Free DNA in Korean Patients with Hepatocellular Carcinoma. Ann. Lab. Med. 2021, 41, 198–206. [Google Scholar] [CrossRef]
- Chen, V.L.; Xu, D.; Wicha, M.S.; Lok, A.S.; Parikh, N.D. Utility of Liquid Biopsy Analysis in Detection of Hepatocellular Carcinoma, Determination of Prognosis, and Disease Monitoring: A Systematic Review. Clin. Gastroenterol. Hepatol. 2020, 18, 2879–2902.e9. [Google Scholar] [CrossRef]
- Dhama, K.; Latheef, S.K.; Dadar, M.; Samad, H.A.; Munjal, A.; Khandia, R.; Karthik, K.; Tiwari, R.; Yatoo, M.I.; Bhatt, P.; et al. Biomarkers in Stress Related Diseases/Disorders: Diagnostic, Prognostic, and Therapeutic Values. Front. Mol. Biosci. 2019, 6, 91. [Google Scholar] [CrossRef]
- Qi, L.N.; Xiang, B.D.; Wu, F.X.; Ye, J.Z.; Zhong, J.H.; Wang, Y.Y.; Chen, Y.Y.; Chen, Z.S.; Ma, L.; Chen, J.; et al. Circulating Tumor Cells Undergoing EMT Provide a Metric for Diagnosis and Prognosis of Patients with Hepatocellular Carcinoma. Cancer Res. 2018, 78, 4731–4744. [Google Scholar] [CrossRef]
| Disclaimer/Publisher’s Note: The statements, opinions and data contained in all publications are solely those of the individual author(s) and contributor(s) and not of MDPI and/or the editor(s). MDPI and/or the editor(s) disclaim responsibility for any injury to people or property resulting from any ideas, methods, instructions or products referred to in the content. | 
© 2023 by the authors. Licensee MDPI, Basel, Switzerland. This article is an open access article distributed under the terms and conditions of the Creative Commons Attribution (CC BY) license (https://creativecommons.org/licenses/by/4.0/).
